Collection, Establishment and Assessment of Complex Human Osteocartilaginous Explants for Modeling Osteoarthritis
Abstract
1. Introduction
2. Protocol
2.1. Method 1
Establishment of Long-Term Culture of Human Osteochondral and Synovial Samples
2.2. Materials
2.3. Equipment
2.4. Protocol Steps
- Washing solution PBS with 2% antibiotics—500 mL.
- Chondrogenic media—500 mL (Table 1).
- Transport the tissues from the operating room to the lab in a thermal insulating bag.
- Disinfect the surface of the container with 80% alcohol and place it inside the biosafety cabinet.
- Remove the PBS used for transportation using an aspirator or a sterile serological pipette.
- Wash tissue 3 times using PBS with 2% antibiotics at room temperature prepared in advance.
- Place tissue on a sterile surface for macroscopic evaluation using sterile forceps. Take pictures for documenting the samples and for gross assessment of the stage of osteoarthritis (optional, if needed for the experiment).
- Carefully cut the bone and cartilage block tissue in the needed number of specimens perpendicular to the surgical cut.
- Place the tissue fragments within a sterile Petri dish.
- Add chondrogenic media until fully covering the tissue.
- For co-culture with synovial tissue, place fragmented synovial tissue inside the Petri dish.
- Place in the incubator.
3. Western Blot Assessment of Osteochondral and Synovial Tissues from Human Osteochondral Explants
3.1. Tissue Sample Processing
3.2. Sample and BUFFERS Preparation
- Running Buffer 10×—1000 mL
- 2.
- Running Buffer 1—1000 mL
- 3.
- Transfer Buffer—1000 mL
- 4.
- Blocking Buffer
- 5.
- Washing Buffer—2000 mL
3.3. Protein Quantification
3.4. Gel Electrophoresis
3.5. Protein Transfer
3.6. Membrane Blocking
3.7. Antibody Incubation
3.8. WB Detection and Visualization
3.9. Difficulties
4. Immunohistochemistry in Human Osteocartilaginous and Synovial Explant Tissue
4.1. Materials, Reagents, and Solutions
- Tissue Processor: HistoCore Pearl (Leica Biosystems, Nussloch, Germany)
- Paraffin Embedding Station: HistoCore Arcadia C + H (Leica Biosystems, Nussloch, Germany)
- Microtome: HistoCore AS (Leica Biosystems, Nussloch, Germany)
- Autostainer: Autostainer XL (Leica Biosystems, Nussloch, Germany)
- Automated IHC Benchmark: Ventana GX Benchmark (Roche Diagnostics, Risch, Switzerland)
- Slide Scanner: EasyScan Pro 6 (Motic, Xiamen, China)
- Filtration Fume Hood: Cruma G-5 (Cruma, Barcelona, Spain)
- Slides moisture chamber
- Pipettes
- Embedding cassettes
- Staining jars and racks
- Superfrost Adhesion Microscope Slides (TOMO®, Cat. No. 11 10748-166)
- Cover glass (sufficient to cover tissue sections, such as VWR, Cat. No. 48393-060)
- Barcode labels (Roche, Cat. No. 05247829001)
- Prep Kits for BenchMark Instruments (Roche, Cat. Nos. 05275814001, 05275822001, 05275849001, 05275857001, 05275865001)
- IHC Prep Kits for Primary Antibody Dispenser (Roche, Cat. No. 1637700)
Reagents and Solutions for IHC
- Neutral Buffered Formalin (10% v/v): Sigma (Sigma-Aldrich, USA, Cat. No. HT501128)
- EDTA (0.07%): Sigma-Aldrich, Cat. No. E4884, CAS N° 6381-92-6
- Ethanol: Available in different concentrations:
- ✓
- 70% (v/v)
- ✓
- 80% (v/v)
- ✓
- 95% (v/v)
- ✓
- 99.8% (v/v)
- Xylene or substituent
- Paraffin (55–60%)
- Citrate Buffer (pH 6.0)
- Phosphate-buffered saline (PBS)
- Bovine Serum Albumin (BSA)
- EZ Prep Concentrate (10×): Roche, Cat. No. 950-102/05279771001
- Reaction Buffer Concentrate (10×): Roche, Cat. No. 950-300/05353955001
- LCS (Predilute): Roche, Cat. No. 650-010/05264839001 for BenchMark XT and GX instruments
- Cell Conditioning Solution (CC1): Roche, Cat. No. 950-124/05279801001 for BenchMark XT and GX instruments
- Hematoxylin II Counterstain: Roche, Cat. No. 790-2208/05277965001
- Bluing Reagent: Roche, Cat. No. 760-2037/05266769001
- Permanent Mounting Medium: Permount™ (Fisher Scientific, USA, Cat. No. SP15-500 or equivalent)
- Primary Antibodies:
- MMP13 Recombinant Polyclonal Antibody (3HCLC), Thermo Fisher Scientific, Cat. No. 710311
- Perlecan Monoclonal Antibody (A7L6), Thermo Fisher Scientific, Cat. No. MA1-06821
- Collagen II Polyclonal Antibody, Thermo Fisher Scientific, Cat. No. PA1-26206
- CD68 Antibody, Thermo Fisher Scientific, Cat. No. MA5-13324
- Beta Galactosidase Polyclonal Antibody, Thermo Fisher Scientific, Cat. No. PA5-102503
- ultraView Universal DAB Detection Kit: Ventana, Cat. No. 760-500
- Wash buffer
- Slide mounting media
4.2. Tissue Preparation for IHC of Osteochondral and Synovial Tissue
4.3. Slide Preparation and Primary Antibody Incubation
4.4. Automated IHC—Secondary Antibody Incubation and Counterstain on Ventana GX Benchmark
4.5. Dehydration and Mounting
4.6. Analysis and Storage
4.7. Difficulties
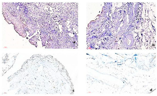
5. Representative Results
6. Discussion and Conclusions
- Ensure all procedures were performed under sterile conditions to maintain sample integrity.
- Documentation at each step is crucial for reproducibility and assessment accuracy.
- Adjust timings and concentrations based on specific sample conditions and experimental needs.
Author Contributions
Funding
Data Availability Statement
Conflicts of Interest
References
- Duncan, B.B.; Schmidt, M.I.; GBD 2019 Collaborators. Global, regional, and national burden of diseases and injuries for adults 70 years and older: Systematic analysis for the Global Burden of Disease 2019 Study. BMJ 2022, 376, e068208. [Google Scholar]
- Allen, K.D.; Thoma, L.M.; Golightly, Y.M. Epidemiology of osteoarthritis. Osteoarthr. Cartil. 2022, 30, 184–195. [Google Scholar] [CrossRef] [PubMed]
- Leifer, V.P.; Katz, J.N.; Losina, E. The burden of OA-health services and economics. Osteoarthr. Cartil. 2022, 30, 10–16. [Google Scholar] [CrossRef] [PubMed]
- Mobasheri, A.; Saarakkala, S.; Finnilä, M.; Karsdal, M.A.; Bay-Jensen, A.C.; van Spil, W.E. Recent advances in understanding the phenotypes of osteoarthritis. F1000Research 2019, 8, 2091. [Google Scholar] [CrossRef] [PubMed]
- Giannasi, C.; Mangiavini, L.; Niada, S.; Colombo, A.; Della Morte, E.; Vismara, V.; Ambrosanio, A.; Savadori, P.; Casati, S.; Peretti, G.M.; et al. Human Osteochondral Explants as an Ex Vivo Model of Osteoarthritis for the Assessment of a Novel Class of Orthobiologics. Pharmaceutics 2022, 10, 1231. [Google Scholar] [CrossRef]
- Brophy, R.H.; Fillingham, Y.A. AAOS Clinical Practice Guideline Summary: Management of Osteoarthritis of the Knee (Nonarthroplasty), Third Edition. J. Am. Acad. Orthop. Surg. 2022, 30, e721–e729. [Google Scholar] [CrossRef]
- Shah, A.; Cieremans, D.; Slover, J.; Schwarzkopf, R.; Meftah, M. Trends in Complications and Outcomes in Patients Aged 65 Years and Younger Undergoing Total Knee Arthroplasty: Data From the American Joint Replacement Registry. J. Am. Acad. Orthop. Surg. Glob. Res. Rev. 2022, 6, e22.00116. [Google Scholar] [CrossRef]
- Houtman, E.; van Hoolwerff, M.; Lakenberg, N.; Suchiman, E.H.D.; van der Linden-van der Zwaag, E.; Nelissen, R.G.; Ramos, Y.F.; Meulenbelt, I. Human Osteochondral Explants: Reliable Biomimetic Models to Investigate Disease Mechanisms and Develop Personalized Treatments for Osteoarthritis. Rheumatol. Ther. 2021, 8, 499–515. [Google Scholar] [CrossRef]
- Abadie, E.; Ethgen, D.; Avouac, B.; Bouvenot, G.; Branco, J.; Bruyere, O.; Calvo, G.; Devogelaer, J.-P.; Dreiser, R.L.; Herrero-Beaumont, G.; et al. Recommendations for the use of new methods to assess the efficacy of disease-modifying drugs in the treatment of osteoarthritis. Osteoarthr. Cartil. 2004, 12, 263–268. [Google Scholar] [CrossRef]
- Sah, R.L.; Kim, Y.J.; Doong, J.Y.; Grodzinsky, A.J.; Plaas, A.H.; Sandy, J.D. Biosynthetic response of cartilage explants to dynamic compression. J. Orthop. Res. 1989, 7, 619–636. [Google Scholar] [CrossRef]
- Asanbaeva, A.; Masuda, K.; Thonar, E.J.; Klisch, S.M.; Sah, R.L. Mechanisms of cartilage growth: Modulation of balance between proteoglycan and collagen in vitro using chondroitinase ABC. Arthritis Rheum. 2007, 56, 188–198. [Google Scholar] [CrossRef] [PubMed]
- Bian, L.; Lima, E.G.; Angione, S.L.; Ng, K.W.; Williams, D.Y.; Xu, D.; Stoker, A.M.; Cook, J.L.; Ateshian, G.A.; Hung, C.T. Mechanical and biochemical characterization of cartilage explants in serum-free culture. J. Biomech. 2008, 41, 1153–1159. [Google Scholar] [CrossRef] [PubMed]
- McCreery, K.P.; Calve, S.; Neu, C.P. Ontogeny informs regeneration: Explant models to investigate the role of the extracellular matrix in cartilage tissue assembly and development. Connect. Tissue Res. 2020, 61, 278–291. [Google Scholar] [CrossRef] [PubMed]
- de Vries-van Melle, M.L.; Mandl, E.W.; Kops, N.; Koevoet, W.J.; Verhaar, J.A.; van Osch, G.J. An osteochondral culture model to study mechanisms involved in articular cartilage repair. Tissue Eng. Part C Methods 2012, 18, 45–53. [Google Scholar] [CrossRef]
- Li, K.; Zhang, P.; Zhu, Y.; Alini, M.; Grad, S.; Li, Z. Establishment of an Ex Vivo Inflammatory Osteoarthritis Model With Human Osteochondral Explants. Front. Bioeng. Biotechnol. 2021, 9, 787020. [Google Scholar] [CrossRef]
- Geurts, J.; Jurić, D.; Müller, M.; Schären, S.; Netzer, C. Novel Ex Vivo Human Osteochondral Explant Model of Knee and Spine Osteoarthritis Enables Assessment of Inflammatory and Drug Treatment Responses. Int. J. Mol. Sci. 2018, 19, 1314. [Google Scholar] [CrossRef]
- Haltmayer, E.; Ribitsch, I.; Gabner, S.; Rosser, J.; Gueltekin, S.; Peham, J.; Giese, U.; Dolezal, M.; Egerbacher, M.; Jenner, F. Co-culture of osteochondral explants and synovial membrane as in vitro model for osteoarthritis. PLoS ONE 2019, 14, e0214709. [Google Scholar] [CrossRef] [PubMed]
- Harvanova, D.; Matejova, J.; Slovinska, L.; Lacko, M.; Gulova, S.; Fecskeova, L.K.; Janockova, J.; Spakova, T.; Rosocha, J. The Role of Synovial Membrane in the Development of a Potential In Vitro Model of Osteoarthritis. Int. J. Mol. Sci. 2022, 23, 2475. [Google Scholar] [CrossRef]
- Chan, M.W.Y.; Gomez-Aristizábal, A.; Mahomed, N.; Gandhi, R.; Viswanathan, S. A tool for evaluating novel osteoarthritis therapies using multivariate analyses of human cartilage-synovium explant co-culture. Osteoarthr. Cartil. 2022, 30, 147–159. [Google Scholar] [CrossRef]
- Hoemann, C.; Kandel, R.; Roberts, S.; Saris, D.B.; Creemers, L.; Mainil-Varlet, P.; Méthot, S.; Hollander, A.P.; Buschmann, M.D. International Cartilage Repair Society (ICRS) Recommended Guidelines for Histological Endpoints for Cartilage Repair Studies in Animal Models and Clinical Trials. Cartilage 2011, 2, 153–172. [Google Scholar] [CrossRef]
- Waldstein, W.; Perino, G.; Gilbert, S.L.; Maher, S.A.; Windhager, R.; Boettner, F. OARSI osteoarthritis cartilage histopathology assessment system: A biomechanical evaluation in the human knee. J. Orthop. Res. 2016, 34, 135–140. [Google Scholar] [CrossRef] [PubMed]
- Pritzker, K.P.; Gay, S.; Jimenez, S.A.; Ostergaard, K.; Pelletier, J.P.; Revell, P.A.; Salter, D.; van den Berg, W.B. Osteoarthritis cartilage histopathology: Grading and staging. Osteoarthr. Cartil. 2006, 14, 13–29. [Google Scholar] [CrossRef]
- Krenn, V.; Morawietz, L.; Häupl, T.; Neidel, J.; Petersen, I.; König, A. Grading of chronic synovitis--a histopathological grading system for molecular and diagnostic pathology. Pathol. Res. Pract. 2002, 198, 317–325. [Google Scholar] [CrossRef] [PubMed]
- Bendele, A.M. Animal models of osteoarthritis. J. Musculoskelet. Neuronal Interact. 2001, 1, 363–376. [Google Scholar]
- Estrada, A.L.; Valenti, Z.J.; Hehn, G.; Amorese, A.J.; Williams, N.S.; Balestrieri, N.P.; Deighan, C.; Allen, C.P.; Spangenburg, E.E.; Kruh-Garcia, N.A.; et al. Extracellular vesicle secretion is tissue-dependent ex vivo and skeletal muscle myofiber extracellular vesicles reach the circulation in vivo. Am. J. Physiol. Cell Physiol. 2022, 322, C246–C259. [Google Scholar] [CrossRef] [PubMed]
- Mocanu, V.; Timofte, D.V.; Zară-Dănceanu, C.M.; Labusca, L. Obesity, Metabolic Syndrome, and Osteoarthritis Require Integrative Understanding, Management. Biomedicines 2024, 12, 1262. [Google Scholar] [CrossRef]
- Hnasko, T.S.; Hnasko, R.M. The Western Blot. Methods Mol. Biol. 2015, 1318, 87–96. [Google Scholar]
- Burnette, W.N. “Western blotting”: Electrophoretic transfer of proteins from sodium dodecyl sulfate–polyacrylamide gels to unmodified nitrocellulose and radiographic detection with antibody and radioiodinated protein A. Anal. Biochem. 1981, 112, 195–203. [Google Scholar] [CrossRef]
- Ghosh, R.; Gilda, J.E.; Gomes, A.V. The necessity of and strategies for improving confidence in the accuracy of western blots. Expert Rev. Proteom. 2014, 11, 549–560. [Google Scholar] [CrossRef]
- MacPhee, D.J. Methodological considerations for improving Western blot analysis. J. Pharmacol. Toxicol. Methods 2010, 61, 171–177. [Google Scholar] [CrossRef]
- Rees, P.A.; Lowy, R.J. Optimizing reduction of western blotting analytical variations: Use of replicate test samples, multiple normalization methods, and sample loading positions. Anal. Biochem. 2023, 674, 115198. [Google Scholar] [CrossRef] [PubMed]
- Begum, H.; Murugesan, P.; Tangutur, A.D. Western blotting: A powerful staple in scientific and biomedical research. Biotechniques 2022, 73, 58–69. [Google Scholar] [CrossRef] [PubMed]
- Ayoubi, R.; Ryan, J.; Fotouhi, M.; Alshafie, W.; Bolivar, S.G.; Moleon, V.R.; Reintsch, W.; Eckmann, P.; Worrall, D.; McDowell, I.; et al. Assessing the performance of commercial reagent antibodies. bioRxiv 2023. preprint. [Google Scholar] [CrossRef]
- González-Guede, I.; Garriguez-Perez, D.; Fernandez-Gutierrez, B. Osteochondral Tissue-On-a-Chip: A Novel Model for Osteoarthritis Research. Int. J. Mol. Sci. 2024, 25, 9834. [Google Scholar] [CrossRef]
- Williamson, A.K.; Chen, A.C.; Sah, R.L. Compressive properties and function-composition relationships of developing bovine articular cartilage. J. Orthop. Res. 2001, 19, 1113–1121. [Google Scholar] [CrossRef]
- Byron, A.; Humphries, J.D.; Humphries, M.J. Defining the extracellular matrix using proteomics. Int. J. Exp. Pathol. 2013, 94, 75–92. [Google Scholar] [CrossRef]
- Alexander, R.O.; Madeline, M.K.; Tamara, L.K.U.; Sarah, C. Perlecan Knockdown Significantly Alters Extracellular Matrix Composition and Organization During Cartilage Development. Mol. Cell Proteom. 2020, 19, 1220–1235. [Google Scholar]
- Gustafsson, E.; Aszódi, A.; Ortega, N.; Hunziker, E.B.; Denker, H.; Werb, Z.; Fässler, R. Role of collagen type II and perlecan in skeletal development. Ann. N. Y. Acad. Sci. 2003, 995, 140–150. [Google Scholar] [CrossRef]
- Mengshol, J.A.; Vincenti, M.P.; Brinckerhoff, C.E. IL-1 induces collagenase-3 (MMP-13) promoter activity in stably transfected chondrocytic cells: Requirement for Runx-2 and activation by p38 MAPK and JNK pathways. Nucleic Acids Res. 2001, 29, 4361–4372. [Google Scholar] [CrossRef]
- Vincenti, M.P.; Coon, C.I.; Mengshol, J.A.; Yocum, S.; Mitchell, P.; Brinckerhoff, C.E. Cloning of the gene for interstitial collagenase-3 (matrix metalloproteinase-13) from rabbit synovial fibroblasts: Differential expression with collagenase-1 (matrix metalloproteinase-1). Biochem. J. 1998, 331, 341–346. [Google Scholar] [CrossRef]
- Ji, M.-L.; Jiang, H.; Li, Z.; Geng, R.; Hu, J.Z.; Lin, Y.C.; Lu, J. Sirt6 attenuates chondrocyte senescence and osteoarthritis progression. Nat. Commun. 2022, 13, 7658. [Google Scholar] [CrossRef] [PubMed]
- Castania, V.A.; Silveira, J.W.d.S.d.; Issy, A.C.; Pitol, D.L.; Castania, M.L.; Neto, A.D.; Del Bel, E.A.; Defino, H.L.A. Advantages of a combined method of decalcification compared to EDTA. Microsc. Res. Tech. 2015, 78, 111–118. [Google Scholar] [CrossRef] [PubMed]
- Martel-Pelletier, J.; Barr, A.J.; Cicuttini, F.M.; Conaghan, P.G.; Cooper, C.; Goldring, M.B.; Goldring, S.R.; Jones, G.; Teichtahl, A.J.; Pelletier, J.P. Osteoarthritis. Nat. Rev. Dis. Primers 2016, 2, 16072. [Google Scholar] [CrossRef] [PubMed]
- Loeser, R. Osteoarthritis: A disease of the joint as an organ. Arthritis Rheumatol. 2020, 72, 942–951. [Google Scholar] [CrossRef]
- McArthur, M.E.; Irving-Rodgers, H.F.; Byers, S.; Rodgers, R.J. Identification and immunolocalization of decorin, versican, perlecan, nidogen, and chondroitin sulfate proteoglycans in bovine small-antral ovarian follicles. Biol. Reprod. 2000, 63, 913–924. [Google Scholar] [CrossRef]
- Shamdani, S.; Chantepie, S.; Flageollet, C.; Henni-Chebra, N.; Jouan, Y.; Eymard, F.; Hay, E.; Cohen-Solal, M.; Papy-Garcia, D.; Chevalier, X.; et al. Heparan sulfate functions are altered in the osteoarthritic cartilage. Arthritis Res. Ther. 2020, 22, 283. [Google Scholar] [CrossRef]
- Pajak, A.; Kostrzewa, M.; Malek, N.; Korostynski, M.; Starowicz, K. Expression of matrix metalloproteinases and components of the endocannabinoid system in the knee joint are associated with biphasic pain progression in a rat model of osteoarthritis. J. Pain Res. 2017, 10, 1973–1989. [Google Scholar] [CrossRef] [PubMed] [PubMed Central][Green Version]
- Goldring, M.; Goldring, S. Articular cartilage and subchondral bone in the pathogenesis of osteoarthritis. Ann. N. Y. Acad. Sci. 2016, 1410, 99–107. [Google Scholar] [CrossRef]
- Bae, I.H.; Jeong, M.H.; Kim, J.H.; Park, Y.H.; Lim, K.S.; Park, D.S.; Shim, J.W.; Kim, J.H.; Ahn, Y.; Hong, Y.J.; et al. The Control of Drug Release and Vascular Endothelialization after Hyaluronic Acid-Coated Paclitaxel Multi-Layer Coating Stent Implantation in Porcine Coronary Restenosis Model. Korean Circ. J. 2017, 47, 123–131. [Google Scholar] [CrossRef] [PubMed][Green Version]
- Re, R.N.; Cook, J.L. Senescence, apoptosis, and stem cell biology: The rationale for an expanded view of intracrine action. Am. J. Physiol. Heart Circ. Physiol. 2009, 297, H893–H901. [Google Scholar] [CrossRef]







| Reagent | Volume (To Make 500 mL) | Final Concentration |
|---|---|---|
| DMEM (HG) | 485 mL | 500 mL |
| Dexamethasone 1 mM | 50 µL | 100 nM |
| Ascorbic acid 2-P: 5 mg/mL | 5 mL | 50 µg/mL |
| L-Proline: 4 mg/mL | 5 mL | 40 µg/mL |
| ITS+ supplement | 5 mL | 6.25 μg/mL bovine insulin 6.25 μg/mL transferrin 6.25 μg/mL selenous acid 5.33 μg/mL linoleic acid 1.25 mg/mL BSA |
| Sodium pyruvate | 5 mL | 1 mM |
| Antibiotic | 5 mL | 2% |
| Fume Hood | |
|---|---|
| Centrifuge | |
| IBright FL1500 Imaging System | Invitrogen by Thermo Fisher Scientific (Life Technologies Holdings Pte Ltd., Singapore) |
| Magnetic stirrer | BioSanRiga, Latvia |
| Gel electrophoresis system | Bio-Rad, Richmond, California |
| Mini-PROTEAN System Casting Stand | Bio-Rad, Richmond, CA, USA |
| Power source | Bio-Rad, Richmond, CA, USA |
| Heat block | BioSan, Riga, Latvia |
| Balance | Kern ABJ80-4NM, Balingen, Germany |
| Vortexer | BioSan, Riga, Latvia |
| Lysis buffer (RIPA) | Bio-Rad, Richmond, CA, USA |
| 4× Laemmli Sample Buffer | Bio-Rad, Richmond, CA, USA |
| 2 Mercaptoethanol | Bio-Rad, Richmond, CA, USA |
| Mini-PROTEAN TGX Gels | Bio-Rad, Richmond, CA, USA |
| PVDF membranes | Bio-Rad, Richmond, CA, USA |
| Filter paper | Bio-Rad, Richmond, CA, USA |
| Sponges | Bio-Rad, Richmond, CA, USA |
| Washing buffer | Bio-Rad, Richmond, CA, USA |
| Loading buffer | Bio-Rad, Richmond, CA, USA |
| Transfer buffer | Bio-Rad, Richmond, CA, USA |
| EveryBlot Blocking buffer | Bio-Rad, Richmond, CA, USA |
| Methanol 100% | Bio-Rad, Richmond, CA, USA |
| Clarity Western ECL Substrate | Bio-Rad, Richmond, CA, USA |
| MMP 1 Recombinant Polyclonal Antibody | PA5-27210, Thermo Fisher Scientific, Rockford, IL, USA |
| MMP13 Recombinant Polyclonal Antibody | 3HCLC, 710311, Thermo Fisher Scientific, Rockford, IL, USA |
| Collagen II Polyclonal Antibody | PA1-26206, Thermo Fisher Scientific, Rockford, IL, USA |
| beta Galactosidase Polyclonal Antibody | PA5-102503, Thermo Fisher Scientific, Rockford, IL, USA |
| Stacking Gel Components | 1 Gel |
|---|---|
| Acrylamide/Bis Solution 40% | 0.5 mL |
| 0.5 M Tris HCl buffer pH 6.8 | 1.25 mL |
| dH2O | 3.2 mL |
| SDS 10% | 50 µL |
| APS 10% | 50 µL |
| TEMED | 5 µL |
| Running Gel Components | 8% | 10% | 12% | 15% |
|---|---|---|---|---|
| Acrylamide/Bis Solution 40% | 2 mL | 2.5 mL | 3 mL | 3.75 mL |
| 1.5 M Tris HCl buffer pH 8.8 | 2.5 mL | 2.5 mL | 2.5 mL | 2.5 mL |
| dH2O | 5.35 mL | 4.85 mL | 4.35 mL | 3.6 mL |
| SDS 10% | 100 µL | 100 µL | 100 µL | 100 µL |
| APS 10% | 100 µL | 100 µL | 100 µL | 100 µL |
| TEMED | 10 µL | 10 µL | 10 µL | 10 µL |
| Problem | Possible Cause | Solution |
|---|---|---|
| Lack of bands | Over-transfer or under-transfer Sodium azide may be present in buffers | Check and optimize the conditions of transfer. Use azide-free buffers |
| Spotty background | Aggregated secondary antibody Contamination | Filter to remove aggregates Use fresh buffers |
| High background | High concentration of the antibody | Optimize concentrations Use fresh buffers Increasing the washing time |
| Curved bands | Gel overheated | Reduce voltage Run gel at 4 °C |
| Antibody Name | Supplier | Type | Host | Dilution |
|---|---|---|---|---|
| MMP-1(PA5-27210) | Thermo Fisher Scientific, Rockford, IL, USA | Primary antibody/Polyclonal | Rabbit/IgG | 1:1000 |
| MMP-13 (710311) | Thermo Fisher Scientific, Rockford, IL, USA | Primary antibody/Oligoclonal | Rabbit/IgG | 1:1000 |
| Collagen II(PA1-26206) | Thermo Fisher Scientific, Rockford, IL, USA | Primary antibody/Polyclonal | Rabbit/IgG | 1:1000 |
| Beta-Galactosidase (PA5-102503) | Thermo Fisher Scientific, Rockford, IL, USA | Primary antibody/Polyclonal | Rabbit/IgG | 1:1000 |
| Perlecan (MA1-06821) | Thermo Fisher Scientific, Kandel, Germany | Primary antibody | Rat/IgG2a | 1:1000 |
| Actin (MA1-744) | Thermo Fisher Scientific, Rockford, IL, USA | Primary antibody/Monoclonal | Mouse/IgG1 | 1:1000 |
| Goat anti-rabbit IgG (H + L) HRP | Thermo Fisher Scientific, Rockford, IL, USA | Secondary antibody/Polyclonal | Goat/IgG | 1:500 |
| Goat anti-mouse IgG | Thermo Fisher Scientific, Rockford, IL, USA | Secondary antibody/Polyclonal | Goat/IgG | 1:500 |
| Antibody | Manufacturer | Clone | Monoclonal/ Polyclonal | Localization | Epitope Retrieval Condition | Host | Dilution |
|---|---|---|---|---|---|---|---|
| MMP13 (710311) | Thermo Fisher Scientific, Rockford, IL, USA | 3HCLC | Polyclonal | cytoplasm | 0.01 M sodium citrate buffer, pH 6.0 at 99–100 °C—30 min | Rabbit/IgG | pre-blocked with 3% BSA-PBS for 30 min at RT 1:100 overnight at 4 °C in a humidified chamber |
| Perlecan (MA1-06821) | A7L6 | Monoclonal | extracellular matrix and basement membrane | 0.01 M sodium citrate buffer, pH 6.0 at 99–100 °C—30 min | Rat/IgG2a | pre-blocked with 3% BSA-PBS for 30 min at RT 1:200 for 45 min at RT in a moisture chamber | |
| Collagen II (PA1-26206) | - | Polyclonal | extracellular matrix structural protein | 0.01 M sodium citrate buffer, pH 6.0 at 99–100 °C—30 min | Rabbit/IgG | pre-blocked with 3% BSA-PBS for 30 min at RT 1:400 for 45 min at RT in a moisture chamber | |
| CD68 (MA5-13324) | KP1 | Monoclonal | intracellular lysosomes of monocytes and macrophages and to a lesser extent by dendritic cells and peripheral blood granulocytes | 0.01 M sodium citrate buffer, pH 6.0 at 99–100 °C—30 min | Mouse/IgG1, kappa | pre-blocked with 3% BSA-PBS for 30 min at RT 1:100 and incubated overnight at 4 °C in a moisture chamber | |
| beta Galactosidase (PA5-102503) | - | Polyclonal | intracellular lysosomes enzyme | 0.01 M sodium citrate buffer, pH 6.0 at 99–100 °C—30 min | Rabbit/IgG | pre-blocked with 3% BSA-PBS for 30 min at RT 1:50 for 1.5 h at RT in a moisture chamber |
| Recommended Staining Protocol with UltraView Universal DAB Detection Kit (760–500) Ventana | |
|---|---|
| 1. | Load slides, ultraView™ detection kit, and counterstain kit dispensers onto BenchMark® instrument. |
| 2. | Check the EZ Prep, Reaction Buffer, LCS, and Cell Conditioning Solution containers to be at least at 50% of their capacity. |
| 3. | Start the run. |
| 4. | When the staining run is complete, move the slides from the instrument and rinse well with a wash buffer. |
| Problem | Possible Cause | Solution |
|---|---|---|
| Lack of tissue on slides at the end of IHC reaction | Problems with the processing protocol Incorrect use of slides Tissue cut too thick IHC protocol too aggressive with the tissue | The protocol must be very carefully designed to assure the tissue needs Positively charged or silane adhesive slides are required Some automated benchmarks can be incompatible with a new protocol |
| Spotty background | Aggregated secondary antibody Not enough washing between steps | Use fresh buffers Rince 3–5 times Improve the blocking step |
| High background | High concentration of the antibody Not enough blocking of endogenous peroxidase | Optimize primary and secondary antibody concentrations Improve the blocking protocol Use fresh buffers Increasing the washing time |
| Destroyed tissue morphology | Problems with the processing protocol Tissue cut too thick | Special attention to fixation and decalcification Hard tissues should be cut at 2 μm |
| Weak target staining | Low concentration of the antibody Degraded target or antibody | Increase the antibody concentration Test on a positive control |
| Step | Description | Materials | Duration | Notes |
|---|---|---|---|---|
| Harvesting | Collect samples during knee arthroplasty | Surgical tools, sterile containers | 2–8 h post-surgery | Ensure samples are from affected areas |
| Transport | Move samples to lab in sterile conditions | Sterile containers with PBS | Immediate | Prevent contamination and leakage |
| Maintenance | Wash and set up culture using sterile instruments | PBS, antibiotics, chondrogenic media or DMEM, serum free sterile Petri dishes | Up to 24 h post-collection | Maintain sterile conditions |
| Assessment | Western blot and IHC for protein analysis * | Western blot and IHC kits, specific antibodies ** | Varies | Tailor protocols based on specific protein targets |
Disclaimer/Publisher’s Note: The statements, opinions and data contained in all publications are solely those of the individual author(s) and contributor(s) and not of MDPI and/or the editor(s). MDPI and/or the editor(s) disclaim responsibility for any injury to people or property resulting from any ideas, methods, instructions or products referred to in the content. |
© 2024 by the authors. Licensee MDPI, Basel, Switzerland. This article is an open access article distributed under the terms and conditions of the Creative Commons Attribution (CC BY) license (https://creativecommons.org/licenses/by/4.0/).
Share and Cite
Danceanu-Zara, C.-M.; Petrovici, A.; Labusca, L.; Minuti, A.E.; Stavila, C.; Plamadeala, P.; Tiron, C.E.; Aniţă, D.; Aniţă, A.; Lupu, N. Collection, Establishment and Assessment of Complex Human Osteocartilaginous Explants for Modeling Osteoarthritis. Biomedicines 2024, 12, 2406. https://doi.org/10.3390/biomedicines12102406
Danceanu-Zara C-M, Petrovici A, Labusca L, Minuti AE, Stavila C, Plamadeala P, Tiron CE, Aniţă D, Aniţă A, Lupu N. Collection, Establishment and Assessment of Complex Human Osteocartilaginous Explants for Modeling Osteoarthritis. Biomedicines. 2024; 12(10):2406. https://doi.org/10.3390/biomedicines12102406
Chicago/Turabian StyleDanceanu-Zara, Camelia-Mihaela, Adriana Petrovici, Luminita Labusca, Anca Emanuela Minuti, Cristina Stavila, Petru Plamadeala, Crina Elena Tiron, Dragoş Aniţă, Adriana Aniţă, and Nicoleta Lupu. 2024. "Collection, Establishment and Assessment of Complex Human Osteocartilaginous Explants for Modeling Osteoarthritis" Biomedicines 12, no. 10: 2406. https://doi.org/10.3390/biomedicines12102406
APA StyleDanceanu-Zara, C.-M., Petrovici, A., Labusca, L., Minuti, A. E., Stavila, C., Plamadeala, P., Tiron, C. E., Aniţă, D., Aniţă, A., & Lupu, N. (2024). Collection, Establishment and Assessment of Complex Human Osteocartilaginous Explants for Modeling Osteoarthritis. Biomedicines, 12(10), 2406. https://doi.org/10.3390/biomedicines12102406

