Does the Necrotic Portion of Metastatic Lymphadenopathy from Squamous Cell Carcinoma Still Have Tumoral Oncologic Information? Differential Diagnosis of Benign Necrotic Lymphadenopathy Using microRNA
Abstract
1. Introduction
2. Materials and Methods
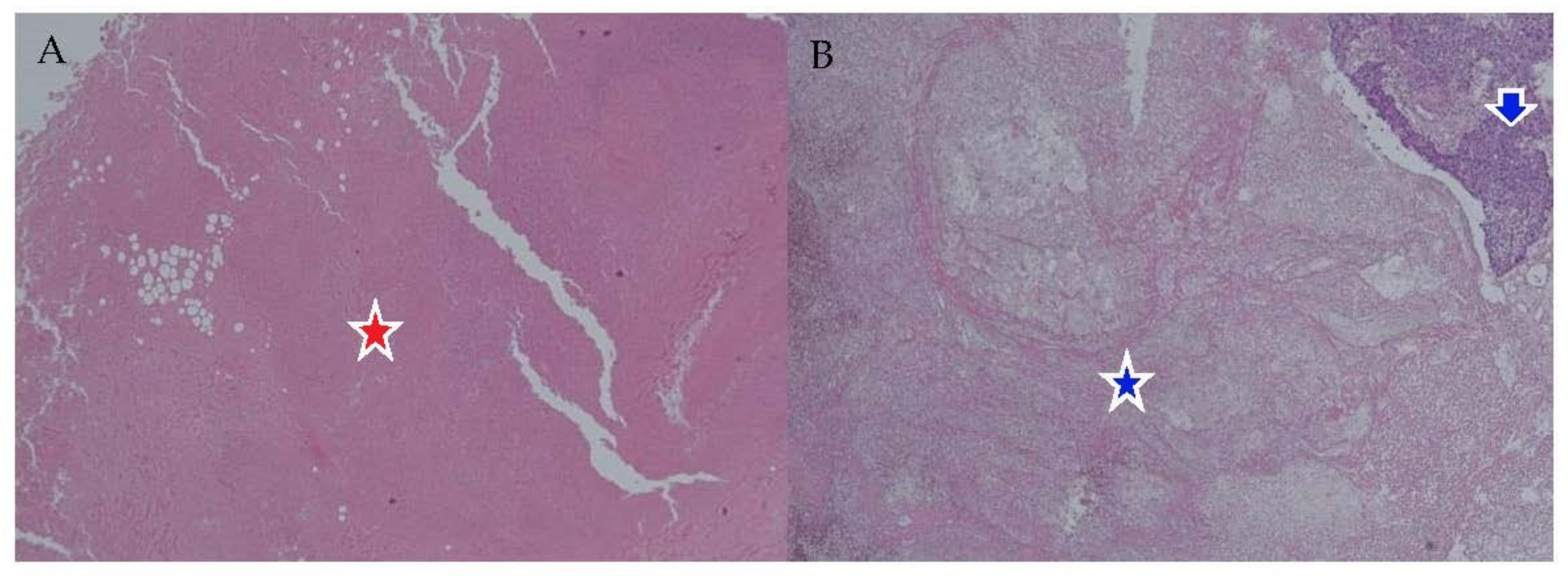
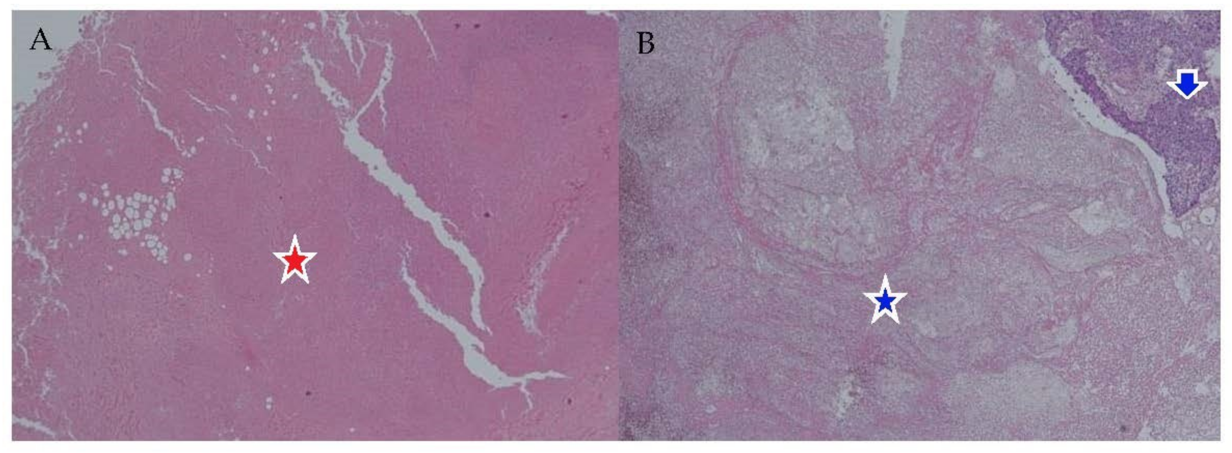
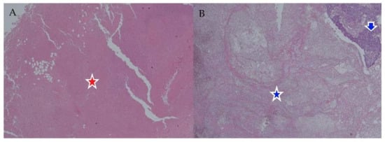
2.1. Patients and Materials—Construction of Tissue Microarray
2.2. Construction of Tissue Microarray (TMA) and RNA Isolation
2.3. Library Preparation and Sequencing
2.4. Data Analysis
3. Results
3.1. Clinicopathological Data
3.2. Identification of Differentially Expressed miRNAs
3.2.1. Tumor and Tumor Necrosis (TN) versus Benign Inflammatory Necrosis (Benign) in Necrotic Lymphadenopathy
3.2.2. Candidate Targets of miRNAs
3.3. Cancer-Related GO Terms and KEGG Pathways Analysis
4. Discussion
5. Conclusions
Author Contributions
Funding
Institutional Review Board Statement
Informed Consent Statement
Data Availability Statement
Conflicts of Interest
References
- Koç, O.; Paksoy, Y.; Erayman, I.; Kivrak, A.S.; Arbag, H. Role of diffusion weighted MR in the discrimination diagnosis of the cystic and/or necrotic head and neck lesions. Eur. J. Radiol. 2007, 62, 205–213. [Google Scholar] [CrossRef]
- Zhang, Y.; Chen, J.; Shen, J.; Zhong, J.; Ye, R.; Liang, B. Apparent diffusion coefficient values of necrotic and solid portion of lymphnodes: Differential diagnostic value in cervical lymphadenopathy. Clin. Radiol. 2013, 68, 224–231. [Google Scholar] [CrossRef] [PubMed]
- Ryoo, I.; Suh, S.; Lee, Y.H.; Seo, H.S.; Seol, H.Y. Comparison of ultrasonographic findings of biopsy-proven tuberculous lymphadenitis and Kikuchi disease. Korean J. Radiol. 2015, 16, 767–775. [Google Scholar] [CrossRef] [PubMed]
- Mitra, S.; Ray, S.; Mitra, P.K. Analysis of FNAC of cervical lymph nodes: Experience over a three-year period. J. Indian Med. Assoc. 2013, 111, 599–602. [Google Scholar]
- Rajbhandari, M.; Dhakal, P.; Shrestha, S.; Sharma, S.; Shrestha, S.; Pokharel, M.; Shrestha, I.; Shrestha, B.; Makaju, R. The correlation between fine needle aspiration cytology and histopathology of head and neck lesions in Kathmandu University Hospital. Kathmandu Univ. Med. J. 2013, 11, 296–299. [Google Scholar] [CrossRef][Green Version]
- Chin, P.D.; Zhu, C.Y.; Sajed, D.P.; Fishbein, G.A.; Yeh, M.W.; Leung, A.M.; Livhits, M.J. Correlation of ThyroSeq results with surgical histopathology in cytologically indeterminate thyroid nodules. Endocr. Pathol. 2020, 31, 377–384. [Google Scholar] [CrossRef] [PubMed]
- Papazian, M.R.; Dublin, J.C.; Patel, K.N.; Oweity, T.; Jacobson, A.S.; Brandler, T.C.; Givi, B. Repeat fine-needle aspiration with molecular analysis in management of indeterminate thyroid nodules. Otolaryngol. Head Neck Surg. 2023, 168, 738–744. [Google Scholar] [CrossRef]
- Inada, K.; Okoshi, Y.; Cho-Isoda, Y.; Ishiguro, S.; Suzuki, H.; Oki, A.; Tamaki, Y.; Shimaqui, T.; Saito, H.; Hori, M.; et al. Endogenous reference RNAs for microRNA quantitation in formalin-fixed, paraffin-embedded lymph node tissue. Sci. Rep. 2018, 8, 5918. [Google Scholar] [CrossRef]
- Martin, M. Cutadapt removes adapter sequences from high-throughput sequencing reads. EMBnet. J. 2011, 17, 10–12. [Google Scholar] [CrossRef]
- Langmead, B.; Trapnell, C.; Pop, M.; Salzberg, S.L. Ultrafast and memory-efficient alignment of short DNA sequences to the human genome. Genome Biol. 2009, 10, R25. [Google Scholar] [CrossRef]
- Friedlander, M.R.; Mackowiak, S.D.; Li, N.; Chen, W.; Rajewsky, N. miRDeep2 accurately identifies known and hundreds of novel microRNA genes in seven animal clades. Nucleic Acids Res. 2012, 40, 37–52. [Google Scholar] [CrossRef]
- McKenna, A.; Hanna, M.; Banks, E.; Sivachenko, A.; Cibulskis, K.; Kernytsky, A.; Garimella, K.; Altshuler, D.; Gabriel, S.; Daly, M.; et al. The Genome Analysis Toolkit: A MapReduce framework for analyzing next-generation DNA sequencing data. Genome Res. 2010, 20, 1297–1303. [Google Scholar] [CrossRef]
- Kozomara, A.; Griffiths-Jones, S. miRBase: Annotating high confidence microRNAs using deep sequencing data. Nucleic Acids Res. 2014, 42, D68–D73. [Google Scholar] [CrossRef] [PubMed]
- Sun, J.; Nishiyama, T.; Shimizu, K.; Kadota, K. TCC: An R package for comparing tag count data with robust normalization strategies. BMC Bioinform. 2013, 14, 219. [Google Scholar] [CrossRef] [PubMed]
- Benjamini, Y.; Hochberg, Y. Controlling the false discovery rate: A practical and powerful approach to multiple testing. J. R. Stat. Soc. Ser. B 1995, 57, 289–300. [Google Scholar] [CrossRef]
- Huang, H.Y.; Lin, Y.C.D.; Cui, S.; Huang, Y.; Tang, Y.; Xu, J.; Bao, J.; Li, Y.; Wen, J.; Zuo, H.; et al. miRTarBase update 2022: An informative resource for experimentally validated miRNA–target interactions. Nucleic Acids Res. 2022, 50, D222–D230. [Google Scholar] [CrossRef] [PubMed]
- Fan, Y.; Siklenka, K.; Arora, S.K.; Ribeiro, P.; Kimmins, S.; Xia, J. miRNet-dissecting miRNA-target interactions and functional associations through network-based visual analysis. Nucleic Acids Res. 2016, 44, W135–W141. [Google Scholar] [CrossRef] [PubMed]
- Gene Ontology Consortium. The Gene Ontology Resource: 20 years and still GOing strong. Nucleic Acids Res. 2019, 47, D330–D338. [Google Scholar] [CrossRef]
- Croft, D.; O’Kelly, G.; Wu, G.; Haw, R.; Gillespie, M.; Matthews, L.; Caudy, M.; Garapati, P.; Gopinath, G.; Jassal, B.; et al. Reactome: A database of reactions, pathways and biological processes. Nucleic Acids Res. 2011, 39, D691–D697. [Google Scholar] [CrossRef]
- Shannon, P.; Markiel, A.; Ozier, O.; Baliga, N.S.; Wang, J.T.; Ramage, D.; Amin, D.; Schwikowski, B.; Ideker, T. Cytoscape: A software environment for integrated models of biomolecular interaction networks. Genome Res. 2003, 13, 2498–2504. [Google Scholar] [CrossRef]
- Szklarczyk, D.; Gable, A.L.; Lyon, D.; Junge, A.; Wyder, S.; Huerta-Cepas, J.; Simonovic, M.; Doncheva, N.T.; Morris, J.H.; Bork, P.; et al. STRING v11: Protein-protein association networks with increased coverage, supporting functional discovery in genome-wide experimental datasets. Nucleic Acids Res. 2019, 47, D607–D613. [Google Scholar] [CrossRef] [PubMed]
- Kanehisa, M.; Goto, S. KEGG: Kyoto Encyclopedia of Genes and Genomes. Nucleic Acids Res. 2000, 28, 27–30. [Google Scholar] [CrossRef] [PubMed]
- Sham, J.S.; Cheung, Y.K.; Choy, D.; Chan, F.L.; Leong, L. Computed tomography evaluation of neck node metastases from nasopharyngeal carcinoma. Int. J. Radiat. Oncol. Biol. Phys. 1993, 26, 787–792. [Google Scholar] [CrossRef] [PubMed]
- Baik, S.H.; Seo, J.W.; Kim, J.H.; Lee, S.K.; Choi, E.C.; Kim, J. Prognostic value of cervical nodal necrosis observed in preoperative CT and MRI of patients with tongue squamous cell carcinoma and cervical node metastases: A retrospective study. AJR Am. J. Roentgenol. 2019, 213, 437–443. [Google Scholar] [CrossRef]
- Zoumalan, R.A.; Kleinberger, A.J.; Morris, L.G.; Ranade, A.; Yee, H.; DeLacure, M.D.; Myssiorek, D. Lymph node central necrosis on computed tomography as predictor of extracapsular spread in metastatic head and neck squamous cell carcinoma: Pilot study. J. Laryngol. Otol. 2010, 124, 1284–1288. [Google Scholar] [CrossRef]
- Sharma, A.; Jaiswal, A.A.; Umredkar, G.; Barle, R.; Sharma, N.; Banerjee, P.K.; Garg, A.K.; Membally, R. Lymph node central necrosis on the computed tomography as the predictor of the extra capsular spread in metastatic head and neck squamous cell carcinoma. Indian J. Otolaryngol. Head Neck Surg. 2017, 69, 323–332. [Google Scholar] [CrossRef]
- Mitchell, P.S.; Parkin, R.K.; Kroh, E.M.; Fritz, B.R.; Wyman, S.K.; Pogosova-Agadjanyan, E.L.; Peterson, A.; Noteboom, J.; O’Briant, K.C.; Allen, A.; et al. Circulating microRNAs as stable blood-based markers for cancer detection. Proc. Natl. Acad. Sci. USA 2008, 105, 10513–10518. [Google Scholar] [CrossRef]
- Seo, Y.J.; Shin, H.; Lee, H.W.; Jung, H.R. Causes of necrotic features in fine-needle aspirates from cervical lymph nodes. J. Pathol. Transl. Med. 2021, 55, 60–67. [Google Scholar] [CrossRef]
- Bhatta, S.; Singh, S.; Chalise, S.R. Cytopathological patterns of tuberculous lymphadenitis: An analysis of 126 cases in a tertiary care hospital. Int. J. Res. Med. Sci. 2018, 6, 1898–1901. [Google Scholar] [CrossRef]
- Tadesse, M.; Abebe, G.; Abdissa, K.; Bekele, A.; Bezabih, M.; Apers, L.; Colebunders, R.; Rigouts, L. Concentration of lymph node aspirate improves the sensitivity of acid fast smear microscopy for the diagnosis of tuberculous lymphadenitis in Jimma, southwest Ethiopia. PLoS ONE 2014, 9, e106726. [Google Scholar] [CrossRef]
- WHO. WHO Consolidated Guidelines on Tuberculosis Module 3: Diagnosis-Rapid Diagnostics for Tuberculosis Detection [Internet]; World Health Organization: Geneva, Switzerland, 2020. Available online: https://www.ncbi.nlm.nih.gov/books/NBK570420 (accessed on 14 August 2023).
- Carron, J.; Torricelli, C.; Silva, J.K.; Queiroz, G.S.R.; Ortega, M.M.; Lima, C.S.P.; Lourenço, G.J. microRNAs deregulation in head and neck squamous cell carcinoma. Head Neck 2021, 43, 645–667. [Google Scholar] [CrossRef] [PubMed]
- Cavallari, I.; Ciccarese, F.; Sharova, E.; Urso, L.; Raimondi, V.; Silic-Benussi, M.; D’Agostino, D.M.; Ciminale, V. The miR-200 family of microRNAs: Fine tuners of epithelial-mesenchymal transition and circulating cancer biomarkers. Cancers 2021, 13, 5874. [Google Scholar] [CrossRef] [PubMed]
- Skourti, E.; Logotheti, S.; Kontos, C.K.; Pavlopoulou, A.; Dimoragka, P.T.; Trougakos, I.P.; Gorgoulis, V.; Scorilas, A.; Michalopoulos, I.; Zoumpourlis, V. Progression of mouse skin carcinogenesis is associated with the orchestrated deregulation of mir-200 family members, mir-205 and their common targets. Mol. Carcinog. 2016, 55, 1229–1242. [Google Scholar] [CrossRef] [PubMed]
- Humphries, B.; Yang, C. The microRNA-200 family: Small molecules with novel roles in cancer development, progression and therapy. Oncotarget 2015, 6, 6472–6498. [Google Scholar] [CrossRef]
- Koshizuka, K.; Hanazawa, T.; Arai, T.; Okato, A.; Kikkawa, N.; Seki, N. Involvement of aberrantly expressed microRNAs in the pathogenesis of head and neck squamous cell carcinoma. Cancer Metastasis Rev. 2017, 36, 525–545. [Google Scholar] [CrossRef]
- Lu, W.C.; Kao, S.Y.; Yang, C.C.; Tu, H.F.; Wu, C.H.; Chang, K.W.; Lin, S.C. EGF up-regulates miR-31 through the C/EBPbeta signal cascade in oral carcinoma. PLoS ONE 2014, 9, e108049. [Google Scholar]
- Qiang, H.; Zhan, X.; Wang, W.; Cheng, Z.; Ma, S.; Jiang, C. A study on the correlations of the miR-31 expression with the pathogenesis and prognosis of head and neck squamous cell carcinoma. Cancer Biother. Radiopharm. 2019, 34, 189–195. [Google Scholar] [CrossRef]
- Yang, S.; Wang, J.; Ge, W.; Jiang, Y. Long non-coding RNA LOC554202 promotes laryngeal squamous cell carcinoma progression through regulating miR-31. J. Cell. Biochem. 2018, 119, 6953–6960. [Google Scholar] [CrossRef]
- Kyurkchiyan, S.G.; Popov, T.M.; Shakola, F.; Rangachev, J.; Mitev, V.I.; Kaneva, R. A pilot study reveals the potential of miR-31-3p and miR-196a-5p as non-invasive biomarkers in advanced laryngeal cancer. Folia Med. 2021, 63, 355–364. [Google Scholar] [CrossRef]
- Tan, J.; Jing, Y.Y.; Han, L.; Zheng, H.W.; Shen, J.X.; Zhang, L.H.; Yu, L.S. MicroRNA-203 inhibits invasion and induces apoptosis of laryngeal cancer cells via targeting LASP1. Eur. Rev. Med. Pharmacol. Sci. 2018, 22, 6350–6357. [Google Scholar]
- Tian, L.; Zhang, J.; Ge, J.; Xiao, H.; Lu, J.; Fu, S.; Liu, M.; Sun, Y. MicroRNA-205 suppresses proliferation and promotes apoptosis in laryngeal squamous cell carcinoma. Med. Oncol. 2014, 31, 785. [Google Scholar] [CrossRef]
- Zhao, Z.; Hao, J.; Li, X.; Chen, Y.L.; Qi, X. MiR-21-5p regulates mycobacterial survival and inflammatory responses by targeting Bcl-2 and TLR4 in Mycobacterium tuberculosis-infected macrophages. FEBS Lett. 2019, 593, 1326–1335. [Google Scholar] [CrossRef]
- Rothchild, A.C.; Sissons, J.R.; Shafiani, S.; Plaisier, C.; Min, D.; Mai, D.; Gilchrist, M.; Peschon, J.; Larspn, R.P.; Bergthaler, A.; et al. MiR-155-regulated molecular network orchestrates cell fate in the innate and adaptive immune response to Mycobacterium tuberculosis. Proc. Natl. Acad. Sci. USA 2016, 113, E6172–E6181. [Google Scholar] [CrossRef] [PubMed]
- Rosas-Taraco, A.G.; Higgins, D.M.; Sánchez-Campillo, J.; Lee, E.J.; Orme, I.M.; González-Juarrero, M. Local pulmonary immunotherapy with siRNA targeting TGFbeta1 enhances antimicrobial capacity in Mycobacterium tuberculosis infected mice. Tuberculosis 2011, 91, 98–106. [Google Scholar] [CrossRef] [PubMed]
- De Carvalho, A.C.; Scapulatempo-Neto, C.; Maia, D.C.; Evangelista, A.F.; Morini, M.A.; Carvalho, A.L.; Vettore, A.L. Erratum: Accuracy of microRNAs as markers for the detection of neck lymph node metastases in patients with head and neck squamous cell carcinoma. BMC Med. 2015, 13, 155. [Google Scholar] [CrossRef] [PubMed]





| SqCC Metastasis | Benign Inflammatory Necrosis | |
|---|---|---|
| Mean age (range) | 63.6 (52–73) | 42 (24–55) |
| Sex (male:female) | 6:0 | 4:2 |
| Size (cm, range) | 3.24 (2–5.3) | 2.75 (2.3–3.3) |
| Primary site of SqCC | NA | |
| Tongue | 1 | |
| Tongue base | 1 | |
| Tonsil | 2 | |
| Nasopharynx | 1 | |
| Cancer of Unknown Primary (CUP) | 1 | |
| Pathology | NA | |
| Tuberculosis | 5 | |
| Kikuchi-Fujimoto disease | 1 | |
| Total | 6 | 6 |
| miRNAs, Tumor, TN vs. Benign | Fold Change | Adjusted p-Value |
|---|---|---|
| Upregulated | ||
| hsa-miR-31-5p | 3.95 | 0.054 |
| hsa-miR-141-3p | 8.57 | <0.001 |
| hsa-miR-149-5p | 5.00 | 0.024 |
| hsa-miR-182-5p | 4.33 | 0.004 |
| hsa-miR-183-3p | 6.57 | 0.019 |
| hsa-miR-183-5p | 3.74 | 0.008 |
| hsa-miR-200a-3p | 6.52 | >0.05 |
| hsa-miR-200a-5p | 8.94 | >0.05 |
| hsa-miR-200b-3p | 5.64 | 0.002 |
| hsa-miR-200b-5p | 5.88 | 0.007 |
| hsa-miR-200c-3p | 4.68 | 0.002 |
| hsa-miR-203a-3p | 8.87 | <0.001 |
| hsa-miR-205-5p | 7.68 | <0.001 |
| hsa-miR-429 | 6.29 | 0.015 |
| hsa-miR-767-5p | 7.76 | 0.010 |
| hsa-miR-944 | 6.51 | 0.021 |
| hsa-miR-1-3p | 2.90 | 0.034 |
| Downregulated | ||
| hsa-miR-155-5p | −2.35 | 0.048 |
| hsa-miR-146b-5p | −1.91 | 0.073 |
| KEGG Pathway | p-Value | Numbers of Involved Genes | Numbers of Involved miRNAs |
|---|---|---|---|
| Adherens junction | <1.00 × 10−325 | 40 | 9 |
| Viral carcinogenesis | 1.11 × 10−15 | 84 | 8 |
| Pathways in cancer | 2.41 × 10−12 | 136 | 8 |
| MicroRNAs in cancer | 5.95 × 10−11 | 57 | 4 |
| Oocyte meiosis | 1.68 × 10−8 | 50 | 7 |
| Hippo signaling pathway | 2.23 × 10−8 | 49 | 6 |
| Hepatitis B | 6.80 × 10−7 | 64 | 6 |
| Bacterial invasion of epithelial cells | 1.14 × 10−6 | 34 | 6 |
| p53 signaling pathway | 2.07 × 10−6 | 33 | 5 |
| Ubiquitin mediated proteolysis | 3.16 × 10−6 | 52 | 4 |
| Prostate cancer | 4.84 × 10−6 | 49 | 6 |
| FoxO signaling pathway | 5.27 × 10−6 | 57 | 5 |
| Chronic myeloid leukemia | 1.37 × 10−5 | 38 | 7 |
| Lysine degradation | 1.80 × 10−5 | 14 | 7 |
| Cell cycle | 6.05 × 10−5 | 47 | 3 |
| Endocytosis | 0.000014782 | 52 | 3 |
| Colorectal cancer | 0.000913152 | 28 | 4 |
| Protein processing in the endoplasmic reticulum | 0.001171519 | 52 | 4 |
Disclaimer/Publisher’s Note: The statements, opinions and data contained in all publications are solely those of the individual author(s) and contributor(s) and not of MDPI and/or the editor(s). MDPI and/or the editor(s) disclaim responsibility for any injury to people or property resulting from any ideas, methods, instructions or products referred to in the content. |
© 2023 by the authors. Licensee MDPI, Basel, Switzerland. This article is an open access article distributed under the terms and conditions of the Creative Commons Attribution (CC BY) license (https://creativecommons.org/licenses/by/4.0/).
Share and Cite
Shin, E.; Han, S.H.; Park, I.-S.; Wee, J.H.; Lee, J.S.; Kim, H. Does the Necrotic Portion of Metastatic Lymphadenopathy from Squamous Cell Carcinoma Still Have Tumoral Oncologic Information? Differential Diagnosis of Benign Necrotic Lymphadenopathy Using microRNA. Biomedicines 2023, 11, 2407. https://doi.org/10.3390/biomedicines11092407
Shin E, Han SH, Park I-S, Wee JH, Lee JS, Kim H. Does the Necrotic Portion of Metastatic Lymphadenopathy from Squamous Cell Carcinoma Still Have Tumoral Oncologic Information? Differential Diagnosis of Benign Necrotic Lymphadenopathy Using microRNA. Biomedicines. 2023; 11(9):2407. https://doi.org/10.3390/biomedicines11092407
Chicago/Turabian StyleShin, Eun, Seung Hoon Han, Il-Seok Park, Jee Hye Wee, Joong Seob Lee, and Heejin Kim. 2023. "Does the Necrotic Portion of Metastatic Lymphadenopathy from Squamous Cell Carcinoma Still Have Tumoral Oncologic Information? Differential Diagnosis of Benign Necrotic Lymphadenopathy Using microRNA" Biomedicines 11, no. 9: 2407. https://doi.org/10.3390/biomedicines11092407
APA StyleShin, E., Han, S. H., Park, I.-S., Wee, J. H., Lee, J. S., & Kim, H. (2023). Does the Necrotic Portion of Metastatic Lymphadenopathy from Squamous Cell Carcinoma Still Have Tumoral Oncologic Information? Differential Diagnosis of Benign Necrotic Lymphadenopathy Using microRNA. Biomedicines, 11(9), 2407. https://doi.org/10.3390/biomedicines11092407

