Selective Arterial Embolization of Pseudoaneurysms and Arteriovenous Fistulas after Partial Nephrectomy: Safety, Efficacy, and Mid-Term Outcomes
Abstract
1. Introduction
2. Materials and Methods
2.1. Study Design and Patients
2.2. Data Collection
2.3. Outcome Measures
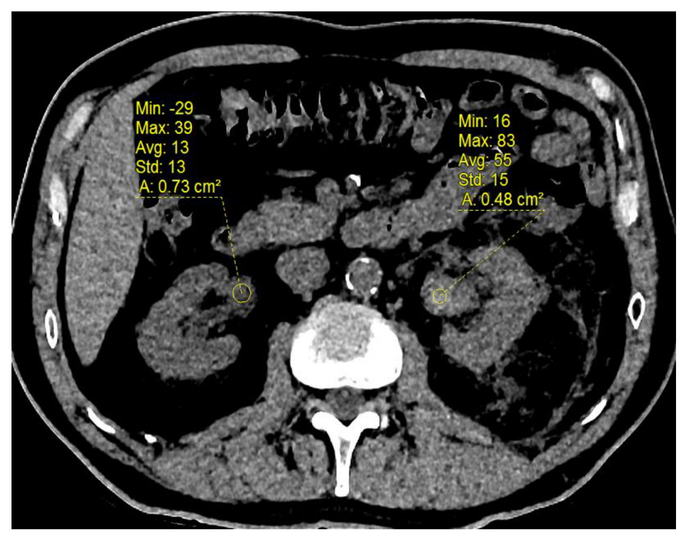
2.4. Computed Tomography (CT) Acquisition
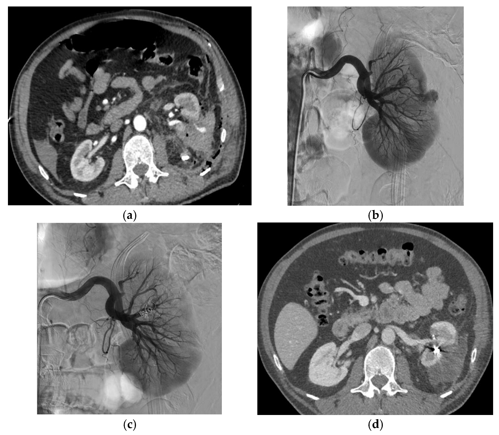
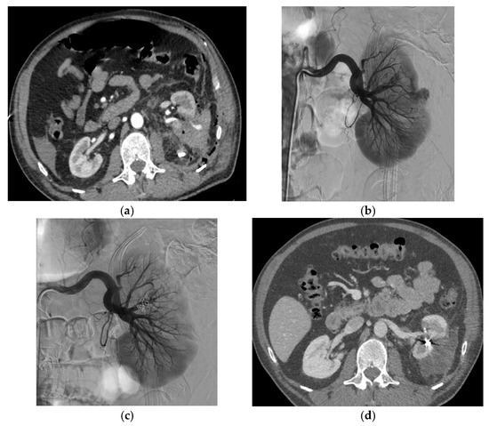
2.5. Selective Arterial Embolization (SAE)
2.6. Statistical Analysis
3. Results
3.1. Study Population and Surgical Data
3.2. Endovascular Treatment
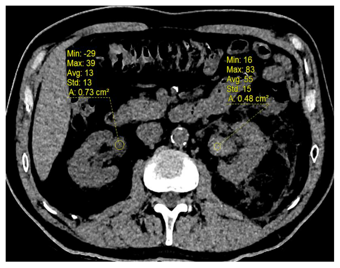
3.3. Kidney Function after Selective Arterial Embolization (SAE)
3.4. Change in Renal Functional Volume
4. Discussion
5. Conclusions
Author Contributions
Funding
Institutional Review Board Statement
Informed Consent Statement
Data Availability Statement
Conflicts of Interest
References
- Lipworth, L.; Tarone, R.E.; McLaughlin, J.K. The epidemiology of renal cell carcinoma. J. Urol. 2006, 176, 2353–2358. [Google Scholar] [CrossRef] [PubMed]
- Jemal, A.; Siegel, R.; Ward, E.; Hao, Y.; Xu, J.; Murray, T.; Thun, M.J. Cancer statistics, 2008. CA Cancer J. Clin. 2008, 58, 71–96. [Google Scholar] [CrossRef] [PubMed]
- Maroni, P.; Moss, J. Nephron-sparing surgery. Semin. Interv. Radiol. 2014, 31, 104–106. [Google Scholar] [CrossRef]
- Bensalah, K.; Albiges, L.; Bernhard, J.C.; Bigot, P.; Bodin, T.; Boissier, R.; Correas, J.M.; Gimel, P.; Hetet, J.F.; Long, J.A.; et al. French ccAFU guidelines—Update 2018–2020: Management of kidney cancer. Prog. Urol. 2018, 28, R5–R33. [Google Scholar] [CrossRef]
- Thompson, R.H.; Boorjian, S.A.; Lohse, C.M.; Leibovich, B.C.; Kwon, E.D.; Cheville, J.C.; Blute, M.L. Radical nephrectomy for pT1a renal masses may be associated with decreased overall survival compared with partial nephrectomy. J. Urol. 2008, 179, 468–471. [Google Scholar] [CrossRef]
- Reix, B.; Bernhard, J.C.; Patard, J.J.; Bigot, P.; Villers, A.; Suer, E.; Vuong, N.S.; Verhoest, G.; Alimi, Q.; Beauval, J.B.; et al. Overall survival and oncological outcomes after partial nephrectomy and radical nephrectomy for cT2a renal tumors: A collaborative international study from the French kidney cancer research network UroCCR. Prog. Urol. 2018, 28, 146–155. [Google Scholar] [CrossRef]
- Leibovich, B.C.; Blute, M.L.; Cheville, J.C.; Lohse, C.M.; Weaver, A.L.; Zincke, H. Nephron sparing surgery for appropriately selected renal cell carcinoma between 4 and 7 cm results in outcome similar to radical nephrectomy. J. Urol. 2004, 171, 1066–1070. [Google Scholar] [CrossRef] [PubMed]
- Huang, W.C.; Levey, A.S.; Serio, A.M.; Snyder, M.; Vickers, A.J.; Raj, G.V.; Scardino, P.T.; Russo, P. Chronic kidney disease after nephrectomy in patients with renal cortical tumours: A retrospective cohort study. Lancet Oncol. 2006, 7, 735–740. [Google Scholar] [CrossRef] [PubMed]
- MacLennan, S.; Imamura, M.; Lapitan, M.C.; Omar, M.I.; Lam, T.B.L.; Hilvano-Cabungcal, A.M.; Royle, P.; Stewart, F.; MacLennan, G.; MacLennan, S.J.; et al. Systematic review of perioperative and quality-of-life outcomes following surgical management of localised renal cancer. Eur. Urol. 2012, 62, 1097–1117. [Google Scholar] [CrossRef] [PubMed]
- Patard, J.J.; Pantuck, A.J.; Crepel, M.; Lam, J.S.; Bellec, L.; Albouy, B.; Lopes, D.; Bernhard, J.C.; Guillé, F.; Lacroix, B.; et al. Morbidity and clinical outcome of nephron-sparing surgery in relation to tumour size and indication. Eur. Urol. 2007, 52, 148–154. [Google Scholar] [CrossRef]
- Jain, S.; Nyirenda, T.; Yates, J.; Munver, R. Incidence of renal artery pseudoaneurysm following open and minimally invasive partial nephrectomy: A systematic review and comparative analysis. J. Urol. 2013, 189, 1643–1648. [Google Scholar] [CrossRef]
- Hyams, E.S.; Pierorazio, P.; Proteek, O.; Sukumar, S.; Wagner, A.A.; Mechaber, J.L.; Rogers, C.; Kavoussi, L.; Allaf, M. Iatrogenic vascular lesions after minimally invasive partial nephrectomy: A multi-institutional study of clinical and renal functional outcomes. Urology 2011, 78, 820–826. [Google Scholar] [CrossRef]
- Stephenson, A.J.; Hakimi, A.A.; Snyder, M.E.; Russo, P. Complications of radical and partial nephrectomy in a large contemporary cohort. J. Urol. 2004, 171, 130–134. [Google Scholar] [CrossRef] [PubMed]
- Hirsch, A.T.; Haskal, Z.J.; Hertzer, N.R.; Bakal, C.W.; Creager, M.A.; Halperin, J.L.; Hiratzka, L.F.; Murphy, W.R.; Olin, J.W.; Puschett, J.B.; et al. ACC/AHA Guidelines for the Management of Patients with Peripheral Arterial Disease (lower extremity, renal, mesenteric, and abdominal aortic): A collaborative report from the American Associations for Vascular Surgery/Society for Vascular Surgery, Society for Cardiovascular Angiography and Interventions, Society for Vascular Medicine and Biology, Society of Interventional Radiology, and the ACC/AHA Task Force on Practice Guidelines (writing committee to develop guidelines for the management of patients with peripheral arterial disease)—Summary of recommendations. J. Vasc. Interv. Radiol. 2006, 17, 1383–1397, quiz 1398. [Google Scholar] [CrossRef] [PubMed]
- Abath, C.; Andrade, G.; Cavalcanti, D.; Brito, N.; Marques, R. Complex renal artery aneurysms: Liquids or coils? Tech. Vasc. Interv. Radiol. 2007, 10, 299–307. [Google Scholar] [CrossRef]
- Nouhaud, F.X.; Gas, J.; Peyronnet, B.; Roumiguié, M.; Beauval, J.B.; Lagarde, S.; Soulié, M.; Rischmann, P.; Doumerc, N. Treatment of pseudoaneurysm following partial nephrectomy. Prog. Urol. 2015, 25, 18–21. [Google Scholar] [CrossRef] [PubMed]
- Levey, A.S.; Coresh, J.; Greene, T.; Marsh, J.; Stevens, L.A.; Kusek, J.W.; Van Lente, F.; Chronic Kidney Disease Epidemiology Collaboration. Expressing the modification of diet in renal disease study equation for estimating glomerular filtration rate with standardized serum creatinine values. Clin. Chem. 2007, 53, 766–772. [Google Scholar] [CrossRef]
- National Kidney Foundation. K/DOQI clinical practice guidelines for chronic kidney disease: Evaluation, classification, and stratification. Am. J. Kidney Dis. 2002, 39, S1–S266. [Google Scholar]
- Gahan, J.C.; Gaitonde, M.; Wadskier, L.; Cadeddu, J.A.; Trimmer, C. Renal function outcomes following selective angioembolization for iatrogenic vascular lesions after partial nephrectomy. J. Endourol. 2013, 27, 1516–1519. [Google Scholar] [CrossRef]
- Strobl, F.F.; D’Anastasi, M.; Hinzpeter, R.; Franke, P.S.; Trumm, C.G.; Waggershauser, T.; Staehler, M.; Clevert, D.A.; Reiser, M.; Graser, A.; et al. Renal pseudoaneurysms and arteriovenous fistulas as a complication of nephron-sparing partial nephrectomy: Technical and functional outcomes of patients treated with selective microcoil embolization During a ten-year period. Rofo 2016, 188, 188–194. [Google Scholar] [CrossRef]
- Shapiro, E.Y.; Hakimi, A.A.; Hyams, E.S.; Cynamon, J.; Stifelman, M.; Ghavamian, R. Renal artery pseudoaneurysm following laparoscopic partial nephrectomy. Urology 2009, 74, 819–823. [Google Scholar] [CrossRef] [PubMed]
- Netsch, C.; Brüning, R.; Bach, T.; Gross, A.J. Management of renal artery pseudoaneurysm after partial nephrectomy. World J. Urol. 2010, 28, 519–524. [Google Scholar] [CrossRef] [PubMed]
- Helck, A.; Hoffmann, R.T.; Sommer, W.H.; Notohamiprodjo, M.; Albyaa, H.; Reiser, M.; Clevert, D.A. Diagnosis, therapy monitoring and follow up of renal artery pseudoaneurysm with contrast-enhanced ultrasound in three cases. Clin. Hemorheol. Microcirc. 2010, 46, 127–137. [Google Scholar] [CrossRef] [PubMed]
- Jung, S.; Min, G.E.; Chung, B.I.; Jeon, S.H. Risk factors for postoperative hemorrhage after partial nephrectomy. Korean J. Urol. 2014, 55, 17–22. [Google Scholar] [CrossRef]
- Singh, D.; Gill, I.S. Renal artery pseudoaneurysm following laparoscopic partial nephrectomy. J. Urol. 2005, 174, 2256–2259. [Google Scholar] [CrossRef]
- Ghoneim, T.P.; Thornton, R.H.; Solomon, S.B.; Adamy, A.; Favaretto, R.L.; Russo, P. Selective arterial embolization for pseudoaneurysms and arteriovenous fistula of renal artery branches following partial nephrectomy. J. Urol. 2011, 185, 2061–2065. [Google Scholar] [CrossRef]
- Parsons, J.K.; Schoenberg, M.P. Renal artery pseudoaneurysm occurring after partial nephrectomy. Urology 2001, 58, 105. [Google Scholar] [CrossRef]
- Cohenpour, M.; Strauss, S.; Gottlieb, P.; Peer, A.; Rimon, U.; Stav, K.; Gayer, G. Pseudoaneurysm of the renal artery following partial nephrectomy: Imaging findings and coil embolization. Clin. Radiol. 2007, 62, 1104–1109. [Google Scholar] [CrossRef]
- Baboudjian, M.; Gondran-Tellier, B.; Abdallah, R.; Lannes, F.; Sichez, P.C.; Akiki, A.; Gaillet, S.; Toledano, H.; Delaporte, V.; Andre, M.; et al. Selective trans-arterial embolization of iatrogenic vascular lesions did not influence the global renal function after partial nephrectomy. Urology 2020, 141, 108–113. [Google Scholar] [CrossRef]
- Li, L.; Zhang, Y.; Chen, Y.; Zhu, K.S.; Chen, D.J.; Zeng, X.Q.; Wang, X.B. A multicentre retrospective study of transcatheter angiographic embolization in the treatment of delayed haemorrhage after percutaneous nephrolithotomy. Eur. Radiol. 2015, 25, 1140–1147. [Google Scholar] [CrossRef]
- Solomon, R.; Deray, G.; Consensus Panel for CIN. How to prevent contrast-induced nephropathy and manage risk patients: Practical recommendations. Kidney Int. Suppl. 2006, 100, S51–S53. [Google Scholar] [CrossRef] [PubMed]
- Laskey, W.K.; Jenkins, C.; Selzer, F.; Marroquin, O.C.; Wilensky, R.L.; Glaser, R.; Cohen, H.A.; Holmes, D.R., Jr.; NHLBI Dynamic Registry Investigators. Volume-to-creatinine clearance ratio: A pharmacokinetically based risk factor for prediction of early creatinine increase after percutaneous coronary intervention. J. Am. Coll. Cardiol. 2007, 50, 584–590. [Google Scholar] [CrossRef] [PubMed]
- Inci, K.; Cil, B.; Yazici, S.; Peynircioglu, B.; Tan, B.; Sahin, A.; Bilen, C.K. Renal artery pseudoaneurysm: Complication of minimally invasive kidney surgery. J. Endourol. 2010, 24, 149–154. [Google Scholar] [CrossRef] [PubMed]
- Albani, J.M.; Novick, A.C. Renal artery pseudoaneurysm after partial nephrectomy: Three case reports and a literature review. Urology 2003, 62, 227–231. [Google Scholar] [CrossRef]
- Baumann, C.; Westphalen, K.; Fuchs, H.; Oesterwitz, H.; Hierholzer, J. Interventional management of renal bleeding after partial nephrectomy. Cardiovasc. Intervent. Radiol. 2007, 30, 828–832. [Google Scholar] [CrossRef]
- Ierardi, A.M.; Floridi, C.; Fontana, F.; Duka, E.; Pinto, A.; Petrillo, M.; Kehagias, E.; Tsetis, D.; Brunese, L.; Carrafiello, G. Transcatheter embolisation of iatrogenic renal vascular injuries. Radiol. Med. (Torino) 2014, 119, 261–268. [Google Scholar] [CrossRef]
- Tinto, H.R.; Di Primio, M.; Tselikas, L.; Rico, A.P.; Pellerin, O.; Pagny, J.Y.; Sapoval, M. Selective arterial embolization of life-threatening renal hemorrhage in four patients after partial nephrectomy. Diagn. Interv. Imaging 2014, 95, 601–609. [Google Scholar] [CrossRef]
- Güneyli, S.; Gök, M.; Bozkaya, H.; Çınar, C.; Tizro, A.; Korkmaz, M.; Akin, Y.; Parildar, M.; Oran, I. Endovascular management of iatrogenic renal arterial lesions and clinical outcomes. Diagn. Interv. Radiol. 2015, 21, 229–234. [Google Scholar] [CrossRef]
- Simmons, M.N.; Fergany, A.F.; Campbell, S.C. Effect of parenchymal volume preservation on kidney function after partial nephrectomy. J. Urol. 2011, 186, 405–410. [Google Scholar] [CrossRef]





| Variable | Mean ± SD or N (%) |
|---|---|
| Age (years) | 66.6 ± 11.2 |
| Males/Females | 19 (76)/6 (24) |
| Body Mass Index (BMI) (kg/m2) | 25.9 ± 4.3 |
| Patients with BMI ≥ 30 kg/m2 | 4 (16) |
| Diabetes | 2 (8) |
| Tumor size (cm) | 3.9 ± 1.7 |
| Surgical approach | |
| Lumbotomy and open PN | 18 (72) |
| Robot-assisted transperitoneal PN | 4 (16) |
| Laparoscopy completed by lumbotomy | 3 (12) |
| Tumor pathology | |
| Clear-cell renal cell carcinoma | 13 (52) |
| Oncocytoma | 4 (16) |
| Papillary renal cell cancer | 3 (12) |
| Chromophobe renal cell cancer | 3 (12) |
| Cyst | 3 (12) |
| Variable | Mean ± SD or N (%) |
|---|---|
| Clinical presentation | |
| Gross hematuria | 18 (72%) |
| Symptomatic anemia | 9 (36%) |
| Flank pain | 1 (4%) |
| Surgical wound bleeding | 2 (8%) |
| Time from PN to diagnostic imaging (days) | 14.8 (±12.6) |
| Iatrogenic vascular lesion | |
| Number of renal false arterial aneurysms | 47 |
| Number of renal arteriovenous fistulas | 9 |
| Number of patients with both | 7 (28%) |
| Aneurysm size (mm) | 10.5 (±4.7) |
| Diagnostic imaging | |
| Computed tomography a | 22 (88%) |
| Angiography | 3 (12%) |
| Embolization technique | |
| Coils | 8 (32%) |
| Liquid embolic agent | 8 (6 Glubran2, 1 Onyx, 1 Gelatispon) (32%) |
| Coils and liquid embolic agent | 9 (36%) |
| Outcomes | |
| Technical success at first attempt | 24 (96%) |
| Technical success at first or second attempt | 25 (100%) |
| Clinical success, one attempt | 24 (96%) |
| Clinical success, one or two attempts | 25 (100%) |
| Fluoroscopy time (min and s) | 25 min 12 s (±19 min 35 s) |
| Radiation dose (mGy·cm2) | 177,046 (±115,481) |
| Variable | Pre-Procedure | Post-Procedure | Difference | p Value |
|---|---|---|---|---|
| Partial nephrectomy | ||||
| eGFR, mean (±SD) | 61.7 (±16.2) | 50.6 (±14.5) | −10.96 | <0.01 |
| CKD stage, n of patients | ||||
| 1 | 4 | 0 | ||
| 2 | 14 | 14 | ||
| 3 | 6 | 10 | ||
| 4 | 1 | 0 | ||
| 5 | 0 | 1 | ||
| Endovascular embolization | 1–7 days | |||
| eGFR, mean (±SD) | 59.0 (±18.4) | 50.2 (±19.5) | −5.51 | 0.039 |
| CKD stage, n of patients | ||||
| 1 | 1 | 1 | ||
| 2 | 17 | 15 | ||
| 3 | 6 | 6 | ||
| 4 | 0 | 2 | ||
| 5 | 1 | 1 | ||
| Endovascular embolization | 6–12 months | |||
| eGFR, mean (±SD) | 58.5 (±14.6) | 56.2 (±14.8) | −1.78 | 0.368 |
| CKD stage, n of patients | ||||
| 1 | 1 | 1 | ||
| 2 | 17 | 15 | ||
| 3 | 6 | 8 | ||
| 4 | 0 | 0 | ||
| 5 | 0 | 0 |
Disclaimer/Publisher’s Note: The statements, opinions and data contained in all publications are solely those of the individual author(s) and contributor(s) and not of MDPI and/or the editor(s). MDPI and/or the editor(s) disclaim responsibility for any injury to people or property resulting from any ideas, methods, instructions or products referred to in the content. |
© 2023 by the authors. Licensee MDPI, Basel, Switzerland. This article is an open access article distributed under the terms and conditions of the Creative Commons Attribution (CC BY) license (https://creativecommons.org/licenses/by/4.0/).
Share and Cite
Loffroy, R.; Mazit, A.; Comby, P.-O.; Falvo, N.; Tinel, C.; Chevallier, O. Selective Arterial Embolization of Pseudoaneurysms and Arteriovenous Fistulas after Partial Nephrectomy: Safety, Efficacy, and Mid-Term Outcomes. Biomedicines 2023, 11, 1935. https://doi.org/10.3390/biomedicines11071935
Loffroy R, Mazit A, Comby P-O, Falvo N, Tinel C, Chevallier O. Selective Arterial Embolization of Pseudoaneurysms and Arteriovenous Fistulas after Partial Nephrectomy: Safety, Efficacy, and Mid-Term Outcomes. Biomedicines. 2023; 11(7):1935. https://doi.org/10.3390/biomedicines11071935
Chicago/Turabian StyleLoffroy, Romaric, Amin Mazit, Pierre-Olivier Comby, Nicolas Falvo, Claire Tinel, and Olivier Chevallier. 2023. "Selective Arterial Embolization of Pseudoaneurysms and Arteriovenous Fistulas after Partial Nephrectomy: Safety, Efficacy, and Mid-Term Outcomes" Biomedicines 11, no. 7: 1935. https://doi.org/10.3390/biomedicines11071935
APA StyleLoffroy, R., Mazit, A., Comby, P.-O., Falvo, N., Tinel, C., & Chevallier, O. (2023). Selective Arterial Embolization of Pseudoaneurysms and Arteriovenous Fistulas after Partial Nephrectomy: Safety, Efficacy, and Mid-Term Outcomes. Biomedicines, 11(7), 1935. https://doi.org/10.3390/biomedicines11071935

