Non-Homologous End-Joining Pathway Genotypes Significantly Associated with Nasopharyngeal Carcinoma Susceptibility
Abstract
1. Introduction
2. Materials and Methods
2.1. Study Population
2.2. Genotyping Methodologies for NHEJ Genes
2.3. mRNA Expressions of XRCC4 and XRCC6 Genes
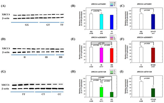
2.4. Protein Expressions of XRCC4 and XRCC6 Genes
2.5. NHEJ Capacity of Peripheral Blood Lymphocytes from NPC Patients
2.6. Statistical Analysis Methodology
3. Results
3.1. Demographic and Clinical Characteristics of Cases and Controls
3.2. NPC Risk Associated with Individual NHEJ Genotypes
3.3. Combined Effects of NHEJ Genotypes on NPC Risk
3.4. Genotype–Phenotype Correlation Analyses
3.5. Effects of Risk XRCC4 and XRCC6 Genotypes on NHEJ Repair Capacity
4. Discussion
Supplementary Materials
Author Contributions
Funding
Institutional Review Board Statement
Informed Consent Statement
Data Availability Statement
Acknowledgments
Conflicts of Interest
References
- Bray, F.; Ferlay, J.; Soerjomataram, I.; Siegel, R.L.; Torre, L.A.; Jemal, A. Global cancer statistics 2018: GLOBOCAN estimates of incidence and mortality worldwide for 36 cancers in 185 countries. CA Cancer J. Clin. 2018, 68, 394–424. [Google Scholar] [PubMed]
- Zhang, Y.; Cao, Y.; Luo, L.; Li, J.; Wang, L.; Lu, Y.; Gu, S.; Deng, H.; Shen, Z. The global, regional, and national burden of nasopharyngeal carcinoma and its attributable risk factors in 204 countries and territories, 1990–2019. Acta Otolaryngol. 2022, 142, 590–609. [Google Scholar] [CrossRef] [PubMed]
- Bai, R.; Sun, J.; Xu, Y.; Sun, Z.; Zhao, X. Incidence and mortality trends of nasopharynx cancer from 1990 to 2019 in China: An age-period-cohort analysis. BMC Public Health 2022, 22, 1351. [Google Scholar] [CrossRef] [PubMed]
- Tang, L.; Li, L.; Mao, Y.; Liu, L.; Liang, S.; Chen, Y.; Sun, Y.; Liao, X.; Tian, L.; Lin, A.; et al. Retropharyngeal lymph node metastasis in nasopharyngeal carcinoma detected by magnetic resonance imaging: Prognostic value and staging categories. Cancer 2008, 113, 347–354. [Google Scholar] [CrossRef]
- Li, J.; Jiang, R.; Liu, W.S.; Liu, Q.; Xu, M.; Feng, Q.S.; Chen, L.Z.; Bei, J.X.; Chen, M.Y.; Zeng, Y.X. A large cohort study reveals the association of elevated peripheral blood lymphocyte-to-monocyte ratio with favorable prognosis in nasopharyngeal carcinoma. PLoS ONE 2013, 8, e83069. [Google Scholar] [CrossRef] [PubMed]
- Wei, W.I.; Mok, V.W. The management of neck metastases in nasopharyngeal cancer. Curr. Opin. Otolaryngol. Head Neck Surg. 2007, 15, 99–102. [Google Scholar] [CrossRef]
- Lee, A.W.; Lau, W.H.; Tung, S.Y.; Chua, D.T.; Chappell, R.; Xu, L.; Siu, L.; Sze, W.M.; Leung, T.W.; Sham, J.S.; et al. Preliminary results of a randomized study on therapeutic gain by concurrent chemotherapy for regionally-advanced nasopharyngeal carcinoma: NPC-9901 Trial by the Hong Kong Nasopharyngeal Cancer Study Group. J. Clin. Oncol. 2005, 23, 6966–6975. [Google Scholar] [CrossRef] [PubMed]
- Karran, P. DNA double strand break repair in mammalian cells. Curr. Opin. Genet. Dev. 2000, 10, 144–150. [Google Scholar]
- Valerie, K.; Povirk, L.F. Regulation and mechanisms of mammalian double-strand break repair. Oncogene 2003, 22, 5792–5812. [Google Scholar] [CrossRef]
- Lieber, M.R. The mechanism of double-strand DNA break repair by the nonhomologous DNA end-joining pathway. Annu. Rev. Biochem. 2010, 79, 181–211. [Google Scholar] [CrossRef]
- Sipley, J.D.; Menninger, J.C.; Hartley, K.O.; Ward, D.C.; Jackson, S.P.; Anderson, C.W. Gene for the catalytic subunit of the human DNA-activated protein kinase maps to the site of the XRCC7 gene on chromosome 8. Proc. Natl. Acad. Sci. USA 1995, 92, 7515–7519. [Google Scholar] [CrossRef] [PubMed]
- Huang, C.Y.; Tsai, C.W.; Hsu, C.M.; Shih, L.C.; Chang, W.S.; Shui, H.A.; Bau, D.T. The role of XRCC6/Ku70 in nasopharyngeal carcinoma. Int. J. Oral Maxillofac. Surg. 2015, 44, 1480–1485. [Google Scholar] [CrossRef] [PubMed]
- Shih, L.C.; Tsai, C.W.; Chang, W.S.; Shen, T.C.; Wang, Y.C.; Yang, J.S.; Lin, M.L.; Wang, Z.H.; Bau, D.T. Association of Caspase-8 Genotypes with the Risk for Nasopharyngeal Carcinoma in Taiwan. Anticancer Res. 2020, 40, 5503–5508. [Google Scholar] [CrossRef]
- Yang, M.D.; Lin, K.C.; Lu, M.C.; Jeng, L.B.; Hsiao, C.L.; Yueh, T.C.; Fu, C.K.; Li, H.T.; Yen, S.T.; Lin, C.W.; et al. Contribution of matrix metalloproteinases-1 genotypes to gastric cancer susceptibility in Taiwan. Biomedicine 2017, 7, 10. [Google Scholar] [CrossRef] [PubMed]
- Tseng, H.C.; Tsai, M.H.; Chiu, C.F.; Wang, C.H.; Chang, N.W.; Huang, C.Y.; Tsai, C.W.; Liang, S.Y.; Wang, C.L.; Bau, D.T. Association of XRCC4 codon 247 polymorphism with oral cancer susceptibility in Taiwan. Anticancer Res. 2008, 28, 1687–1691. [Google Scholar] [PubMed]
- Chiu, C.F.; Tsai, M.H.; Tseng, H.C.; Wang, C.L.; Wang, C.H.; Wu, C.N.; Lin, C.C.; Bau, D.T. A novel single nucleotide polymorphism in XRCC4 gene is associated with oral cancer susceptibility in Taiwanese patients. Oral Oncol. 2008, 44, 898–902. [Google Scholar] [CrossRef] [PubMed]
- Hsu, C.F.; Tseng, H.C.; Chiu, C.F.; Liang, S.Y.; Tsai, C.W.; Tsai, M.H.; Bau, D.T. Association between DNA double strand break gene Ku80 polymorphisms and oral cancer susceptibility. Oral Oncol. 2009, 45, 789–793. [Google Scholar] [CrossRef]
- Hsia, T.C.; Chang, W.S.; Chen, W.C.; Liang, S.J.; Tu, C.Y.; Chen, H.J.; Liang, J.A.; Tsai, C.W.; Hsu, C.M.; Tsai, C.H.; et al. Genotype of DNA double-strand break repair gene XRCC7 is associated with lung cancer risk in Taiwan males and smokers. Anticancer Res. 2014, 34, 7001–7005. [Google Scholar]
- Yin, M.; Liao, Z.; Liu, Z.; Wang, L.E.; O’Reilly, M.; Gomez, D.; Li, M.; Komaki, R.; Wei, Q. Genetic variants of the nonhomologous end joining gene LIG4 and severe radiation pneumonitis in nonsmall cell lung cancer patients treated with definitive radiotherapy. Cancer 2012, 118, 528–535. [Google Scholar] [CrossRef]
- Bau, D.T.; Fu, Y.P.; Chen, S.T.; Cheng, T.C.; Yu, J.C.; Wu, P.E.; Shen, C.Y. Breast cancer risk and the DNA double-strand break end-joining capacity of nonhomologous end-joining genes are affected by BRCA1. Cancer Res. 2004, 64, 5013–5019. [Google Scholar] [CrossRef]
- Bau, D.T.; Mau, Y.C.; Ding, S.L.; Wu, P.E.; Shen, C.Y. DNA double-strand break repair capacity and risk of breast cancer. Carcinogenesis 2007, 28, 1726–1730. [Google Scholar] [CrossRef] [PubMed]
- Critchlow, S.E.; Bowater, R.P.; Jackson, S.P. Mammalian DNA double-strand break repair protein XRCC4 interacts with DNA ligase IV. Curr. Biol. 1997, 7, 588–598. [Google Scholar] [CrossRef] [PubMed]
- Leber, R.; Wise, T.W.; Mizuta, R.; Meek, K. The XRCC4 gene product is a target for and interacts with the DNA-dependent protein kinase. J. Biol. Chem. 1998, 273, 1794–1801. [Google Scholar] [CrossRef] [PubMed]
- Wang, J.; Dong, X.; Myung, K.; Hendrickson, E.A.; Reeves, W.H. Identification of two domains of the p70 Ku protein mediating dimerization with p80 and DNA binding. J. Biol. Chem. 1998, 273, 842–848. [Google Scholar] [CrossRef] [PubMed]
- van de Kooij, B.; Kruswick, A.; van Attikum, H.; Yaffe, M.B. Multi-pathway DNA-repair reporters reveal competition between end-joining, single-strand annealing and homologous recombination at Cas9-induced DNA double-strand breaks. Nat. Commun. 2022, 13, 5295. [Google Scholar] [CrossRef]
- Papalouka, C.; Adamaki, M.; Batsaki, P.; Zoumpourlis, P.; Tsintarakis, A.; Goulielmaki, M.; Fortis, S.P.; Baxevanis, C.N.; Zoumpourlis, V. DNA Damage Response Mechanisms in Head and Neck Cancer: Significant Implications for Therapy and Survival. Int. J. Mol. Sci. 2023, 24, 2760. [Google Scholar] [CrossRef]
- Schotz, U.; Balzer, V.; Brandt, F.W.; Ziemann, F.; Subtil, F.S.B.; Rieckmann, T.; Kocher, S.; Engenhart-Cabillic, R.; Dikomey, E.; Wittig, A.; et al. Dual PI3K/mTOR Inhibitor NVP-BEZ235 Enhances Radiosensitivity of Head and Neck Squamous Cell Carcinoma (HNSCC) Cell Lines Due to Suppressed Double-Strand Break (DSB) Repair by Non-Homologous End Joining. Cancers 2020, 12, 467. [Google Scholar] [CrossRef]
- Guo, Z.; Wang, Y.H.; Xu, H.; Yuan, C.S.; Zhou, H.H.; Huang, W.H.; Wang, H.; Zhang, W. LncRNA linc00312 suppresses radiotherapy resistance by targeting DNA-PKcs and impairing DNA damage repair in nasopharyngeal carcinoma. Cell Death Dis. 2021, 12, 69. [Google Scholar] [CrossRef]





| Genes | Polymorphic Sites | Primer Sequences (5′→3′) | Restriction Enzymes | Genetic Variants | DNA Fragments, bp | References |
|---|---|---|---|---|---|---|
| XRCC4 | rs3734091 | Forward: GCTAATGAGTTGCTGCATTTTA Reverse: TTTCTAGGGAAACTGCAATCTGT | BbsI | C A | 308 204 + 104 | [15] |
| rs6869366 | Forward: GATGCGAACTCAAAGATACTGA Reverse: TGTAAAGCCAGTACTCAAACTT | HincII | T G | 300 200 + 100 | [16] | |
| rs28360317 | Forward (insertion): ATACTGTGTTTGGAACTCCT Forward (deletion): ATACTGTGTTTGGAACTAGA Reverse: TATCCTATCATCTCTGGATA | Insertion Deletion | 239 No product | [16] | ||
| rs1805377 | Forward: TTCACTTATGTGTCTCTTCA Reverse: AACATAGTCTAGTGAACATC | Tsp509I | G A | 237 158 + 79 | [16] | |
| rs28360071 | Forward: TCCTGTTACCATTTCAGTGTTAT Reverse: CACCTGTGTTCAATTCCAGCTT | Insertion Deletion | 139 109 | [16] | ||
| XRCC5 | rs828907 | Forward: TAGCTGACAACCTCACAGAT Reverse: ATTCAGAGGTGCTCATAGAG | BfaI | G T | 252 171 + 81 | [17] |
| rs11685387 | Forward: TCTAACTCCAGAGCTCTGAC Reverse: AACTCTGAGCATGCGCAGAT | SpeI | C T | 311 203 + 108 | [17] | |
| rs9288518 | Forward: GGTGTGAAGACCTATCAATC Reverse: TTACAGAACAAGCCTTGCAC | BsrI | A G | 275 165 + 110 | [17] | |
| XRCC6 | rs5751129 | Forward: TCATGGACCCACGGTTGTGA Reverse: CAACTTAAATACAGGAATGTCTTG | DpnII | T C | 301 200 + 101 | [12] |
| rs2267437 | Forward: AACTCATGGACCCACGGTTGTGA Reverse: CAACTTAAATACAGGAATGTCTTG | HaeII | C G | 298 195 + 103 | [12] | |
| rs132770 | Forward: TACAGTCCTGACGTAGGAAG Reverse: AAGCGACCAACTTGGACAGA | MnlI | G A | 226 146 + 80 | [12] | |
| rs132774 | Forward: GTATACTTACTGCATTCTGG Reverse: CATAAGTGCTCAGTACCTAT | MscI | TGG CCA | 160 114 + 46 | [12] | |
| XRCC7 | rs7003908 | Forward: TGGTGCTCAGCTTCTGGCTT Reverse: CATCCCTGCCAGCTCTTCTG | TaqI | T G | 301 235 + 66 | [18] |
| Ligase4 | rs1805388 | Forward: TCTGTATTCGTTCTAAAGTTGAACA Reverse: TGCTTTACTAGTTAAACGAGAAGAT | HpyCH4III | A G | 121 65 + 56 | [19] |
| Characteristic | Controls (n = 416) | Patients (n = 208) | p-Value | ||||
|---|---|---|---|---|---|---|---|
| n | % | Mean (SD) | n | % | Mean (SD) | ||
| Age (years) | 49.9 (11.5) | 50.6 (11.0) | 0.4639 a | ||||
| Gender | |||||||
| Male | 306 | 73.6% | 153 | 73.6% | |||
| Female | 110 | 26.4% | 55 | 26.4% | 1.0000 b | ||
| Smoking status | |||||||
| Ever smokers | 158 | 38.0% | 85 | 40.9% | |||
| Non-smokers | 258 | 62.0% | 123 | 59.1% | 0.5422 b | ||
| Drinking status | |||||||
| Ever drinkers | 168 | 40.4% | 95 | 45.9% | |||
| Non-drinkers | 248 | 59.6% | 113 | 54.1% | 0.2399 b | ||
| Betel quid status | |||||||
| Ever chewers | 156 | 37.5% | 80 | 38.6% | |||
| Non-chewers | 260 | 62.5% | 128 | 61.4% | 0.8840 b | ||
| Genotype | Controls | Patients | OR (95% CI) | p-Value | ||
|---|---|---|---|---|---|---|
| n | % | n | % | |||
| XRCC4 | ||||||
| rs6869366 | ||||||
| TT | 391 | 94.0% | 192 | 92.3% | 1.00 (reference) | |
| GT | 25 | 6.0% | 16 | 7.7% | 1.30 (0.68–2.50) | 0.5298 |
| rs3734091 | ||||||
| GG | 389 | 93.5% | 182 | 87.5% | 1.00 (reference) | |
| GT | 26 | 6.3% | 24 | 11.1% | 1.89 (1.05–3.40) | 0.0303 * |
| TT | 1 | 0.2% | 2 | 1.4% | 4.27 (0.39–47.45) | 0.5043 |
| p-value for trend | 0.0465 * | |||||
| GT + TT | 2.06 (1.17–3.63) | 0.0170 * | ||||
| rs28360071 | ||||||
| II | 280 | 67.3% | 114 | 54.8% | 1.00 (reference) | |
| ID | 119 | 28.6% | 77 | 37.0% | 1.59 (1.11–2.28) | 0.0148 * |
| DD | 17 | 4.1% | 17 | 8.2% | 2.46 (1.21–4.98) | 0.0181 * |
| p-value for trend | 0.0045 * | |||||
| ID + DD | 1.70 (1.21–2.39) | 0.0030 * | ||||
| rs28360317 | ||||||
| II | 248 | 59.6% | 120 | 57.7% | 1.00 (reference) | |
| ID | 140 | 33.7% | 70 | 33.7% | 1.03 (0.72–1.48) | 0.9312 |
| DD | 28 | 6.7% | 18 | 8.6% | 1.33 (0.71–2.50) | 0.4723 |
| p-value for trend | 0.6762 | |||||
| ID + DD | 1.08 (0.77–1.52) | 0.7084 | ||||
| rs1805377 | ||||||
| AA | 216 | 51.9% | 111 | 53.3% | 1.00 (reference) | |
| AG | 172 | 41.4% | 85 | 40.9% | 0.96 (0.68–1.36) | 0.8942 |
| GG | 28 | 6.7% | 12 | 5.8% | 0.83 (0.41–1.70) | 0.7478 |
| p-value for trend | 0.8769 | |||||
| AG + GG | 0.94 (0.68–1.32) | 0.7987 | ||||
| XRCC5 | ||||||
| rs828907 | ||||||
| GG | 268 | 64.4% | 128 | 61.5% | 1.00 (reference) | |
| GT | 125 | 30.1% | 66 | 31.7% | 1.11 (0.77–1.59) | 0.6564 |
| TT | 23 | 5.5% | 14 | 6.8% | 1.27 (0.63–2.56) | 0.6169 |
| p-value for trend | 0.7233 | |||||
| GT + TT | 1.16 (0.82–1.63) | 0.4457 | ||||
| rs11685387 | ||||||
| TT | 234 | 56.3% | 120 | 57.7% | 1.00 (reference) | |
| CT | 147 | 35.3% | 70 | 33.7% | 0.93 (0.65–1.33) | 0.7548 |
| CC | 35 | 8.4% | 18 | 8.6% | 1.00 (0.55–1.85) | 0.9927 |
| p-value for trend | 0.9171 | |||||
| CT + CC | 0.94 (0.67–1.32) | 0.7971 | ||||
| rs9288518 | ||||||
| GG | 229 | 55.0% | 120 | 57.7% | 1.00 (reference) | |
| AG | 150 | 36.1% | 73 | 35.1% | 0.93 (0.65–1.33) | 0.4985 |
| AA | 37 | 8.9% | 15 | 7.2% | 0.77 (0.41–1.47) | 0.5280 |
| p-value for trend | 0.7116 | |||||
| AG + AA | 0.90 (0.64–1.26) | 0.5881 | ||||
| XRCC6 | ||||||
| rs5751129 | ||||||
| TT | 335 | 80.5% | 141 | 67.8% | 1.00 (reference) | |
| CT | 73 | 17.6% | 55 | 26.4% | 1.79 (1.20–2.67) | 0.0058 * |
| CC | 8 | 1.9% | 12 | 5.8% | 3.56 (1.43–8.91) | 0.0084 * |
| p-value for trend | 0.0006 * | |||||
| CT + CC | 1.97 (1.35–2.87) | 0.0006 * | ||||
| rs2267437 | ||||||
| CC | 276 | 66.3% | 134 | 64.4% | 1.00 (reference) | |
| CG | 123 | 29.6% | 67 | 32.2% | 1.12 (0.78–1.61) | 0.5962 |
| GG | 17 | 4.1% | 7 | 3.4% | 0.85 (0.34–2.09) | 0.8940 |
| p-value for trend | 0.7468 | |||||
| CG + GG | 1.09 (0.77–1.54) | 0.6983 | ||||
| rs132770 | ||||||
| GG | 315 | 75.7% | 158 | 76.0% | 1.00 (reference) | |
| AG | 89 | 21.4% | 41 | 19.7% | 0.92 (0.61–1.39) | 0.7678 |
| AA | 12 | 2.9% | 9 | 4.3% | 1.50 (0.62–3.62) | 0.5090 |
| p-value for trend | 0.5925 | |||||
| AG + AA | 0.99 (0.67–1.46) | 0.9473 | ||||
| rs132774 | ||||||
| GG | 329 | 79.1% | 171 | 82.2% | 1.00 (reference) | |
| CG | 79 | 20.9% | 37 | 17.8% | 0.82 (0.53–1.25) | 0.7161 |
| XRCC7 | ||||||
| rs7003908 | ||||||
| TT | 209 | 50.2% | 112 | 53.8% | 1.00 (reference) | |
| GT | 175 | 42.1% | 83 | 39.9% | 0.89 (0.63–1.25) | 0.5485 |
| GG | 32 | 7.7% | 13 | 6.3% | 0.76 (0.38–1.50) | 0.5305 |
| p-value for trend | 0.6353 | |||||
| GT + GG | 0.87 (0.62–1.21) | 0.4445 | ||||
| Ligase4 | ||||||
| rs1805388 | ||||||
| CC | 235 | 56.5% | 112 | 53.8% | 1.00 (reference) | |
| CT | 148 | 35.6% | 79 | 38.0% | 1.12 (0.79–1.60) | 0.5911 |
| TT | 33 | 7.9% | 17 | 8.2% | 1.08 (0.58–2.02) | 0.9348 |
| p-value for trend | 0.8168 | |||||
| CT + TT | 1.11 (0.80–1.56) | 0.5883 | ||||
| # of Risk Genotypes | Controls, n | Cases, n | OR (95%CI) | p-Values |
|---|---|---|---|---|
| 0 | 245 | 78 | 1.00 (Reference) | |
| 1 | 102 | 81 | 2.49 (1.69–3.67) | 0.0001 * |
| 2 | 65 | 41 | 1.98 (1.24–3.16) | 0.0055 * |
| 3 | 4 | 8 | 6.28 (1.84–21.43) | 0.0029 * |
| ptrend | 0.0001 * |
Disclaimer/Publisher’s Note: The statements, opinions and data contained in all publications are solely those of the individual author(s) and contributor(s) and not of MDPI and/or the editor(s). MDPI and/or the editor(s) disclaim responsibility for any injury to people or property resulting from any ideas, methods, instructions or products referred to in the content. |
© 2023 by the authors. Licensee MDPI, Basel, Switzerland. This article is an open access article distributed under the terms and conditions of the Creative Commons Attribution (CC BY) license (https://creativecommons.org/licenses/by/4.0/).
Share and Cite
Tsai, C.-W.; Shih, L.-C.; Chang, W.-S.; Hsu, C.-L.; He, J.-L.; Hsia, T.-C.; Wang, Y.-C.; Gu, J.; Bau, D.-T. Non-Homologous End-Joining Pathway Genotypes Significantly Associated with Nasopharyngeal Carcinoma Susceptibility. Biomedicines 2023, 11, 1648. https://doi.org/10.3390/biomedicines11061648
Tsai C-W, Shih L-C, Chang W-S, Hsu C-L, He J-L, Hsia T-C, Wang Y-C, Gu J, Bau D-T. Non-Homologous End-Joining Pathway Genotypes Significantly Associated with Nasopharyngeal Carcinoma Susceptibility. Biomedicines. 2023; 11(6):1648. https://doi.org/10.3390/biomedicines11061648
Chicago/Turabian StyleTsai, Chia-Wen, Liang-Chun Shih, Wen-Shin Chang, Che-Lun Hsu, Jie-Long He, Te-Chun Hsia, Yun-Chi Wang, Jian Gu, and Da-Tian Bau. 2023. "Non-Homologous End-Joining Pathway Genotypes Significantly Associated with Nasopharyngeal Carcinoma Susceptibility" Biomedicines 11, no. 6: 1648. https://doi.org/10.3390/biomedicines11061648
APA StyleTsai, C.-W., Shih, L.-C., Chang, W.-S., Hsu, C.-L., He, J.-L., Hsia, T.-C., Wang, Y.-C., Gu, J., & Bau, D.-T. (2023). Non-Homologous End-Joining Pathway Genotypes Significantly Associated with Nasopharyngeal Carcinoma Susceptibility. Biomedicines, 11(6), 1648. https://doi.org/10.3390/biomedicines11061648

