Articular Cartilage Regeneration by Hyaline Chondrocytes: A Case Study in Equine Model and Outcomes
Abstract
1. Introduction
2. Materials and Methods
2.1. Hyaline Cartilage Sample Preparation
2.2. CCs Isolation and Growth
Differentiation Potential of CCs
- osteogenic differentiation
- 2.
- adipogenic differentiation:
- 3.
- chondrogenic differentiation:
2.3. CCs Suspension Implantation
2.4. Arthroscopy Follow-Up and Biopsies
3. Results
3.1. Morphological Characterization of Cultured Chondrocytes
Evaluation of Differentiation
3.2. Arthroscopic Evaluation of the Lesion Site
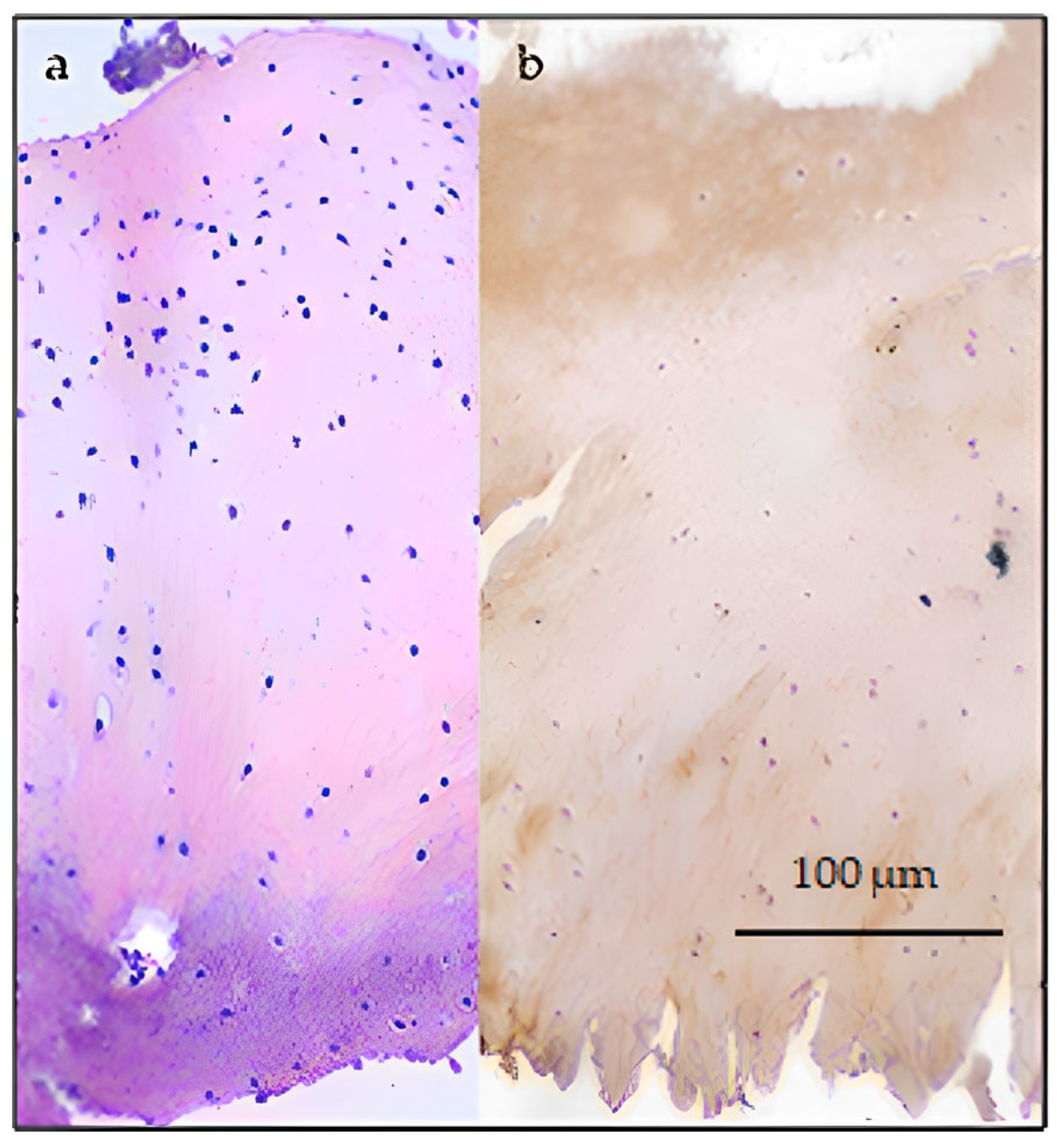
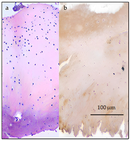
3.3. Microscopic Evaluation of the Lesion Site
3.4. Clinical Evaluation
4. Discussion and Conclusions
Author Contributions
Funding
Institutional Review Board Statement
Informed Consent Statement
Data Availability Statement
Conflicts of Interest
References
- Liu, Y.; Shah, K.M.; Luo, J. Strategies for Articular Cartilage Repair and Regeneration. Front. Bioeng. Biotechnol. 2021, 9, 770655. [Google Scholar] [CrossRef] [PubMed]
- McIlwraith, C.W.; Frisbie, D.D.; Kawcak, C.E. The horse as a model of naturally occurring osteoarthritis. Bone Jt. Res. 2012, 1, 297–309. [Google Scholar] [CrossRef] [PubMed]
- Baccarin, R.Y.A.; Seidel, S.R.T.; Michelacci, Y.M.; Tokawa, P.K.A.; Oliveira, T.M. Osteoarthritis: A common disease that should be avoided in the athletic horse’s life. Anim. Front. 2022, 12, 25–36. [Google Scholar] [CrossRef]
- Mirza, U.; Shubeena, S.; Shah, M.S.; Zaffer, B.; Jan, A.; Anjum, S. Microfracture: A technique for repair of chondral defects. J. Entomol. Zool. Stud. 2018, 6, 1092–1097. [Google Scholar]
- McIlwraith, C.W.; Fortier, L.A.; Frisbie, D.D.; Nixon, A.J. Equine Models of Articular Cartilage Repair. Cartilage 2011, 2, 317–326. [Google Scholar] [CrossRef]
- Van Hecke, L.; Magri, C.; Duchateau, L.; Beerts, C.; Geburek, F.; Suls, M.; Da Dalt, L.; Patruno, M.; Saunders, J.; Broeckx, S.Y.; et al. Repeated intra-articular administration of equine allogeneic peripheral blood-derived mesenchymal stem cells does not induce a cellular and humoral immune response in horses. Vet. Immunol. Immunopathol. 2021, 239, 110306. [Google Scholar] [CrossRef]
- Cokelaere, S.; Malda, J.; van Weeren, R. Cartilage defect repair in horses: Current strategies and recent developments in regenerative medicine of the equine joint with emphasis on the surgical approach. Vet. J. 2016, 214, 61–71. [Google Scholar] [CrossRef]
- Hunziker, E.B.; Lippuner, K.; Keel, M.J.; Shintani, N. An educational review of cartilage repair: Precepts & practice--myths & misconceptions—Progress & prospects. Osteoarthr. Cartil. 2015, 23, 334–350. [Google Scholar] [CrossRef]
- Fugazzola, M.C.; van Weeren, P.R. Surgical osteochondral defect repair in the horse—A matter of form or function? Equine Vet. J. 2020, 52, 489–499. [Google Scholar] [CrossRef]
- Bourebaba, L.; Rocken, M.; Marycz, K. Osteochondritis dissecans (OCD) in Horses—Molecular Background of its Pathogenesis and Perspectives for Progenitor Stem Cell Therapy. Stem Cell. Rev. Rep. 2019, 15, 374–390. [Google Scholar] [CrossRef]
- McIlwraith, C.W.; Nixon, A.J.; Wright, I.M.; Boening, K.J. Arthroscopic methods 1009 for cartilage repair. In Diagnostic and Surgical Arthroscopy in the Horse, 3rd ed.; Elsevier: Amsterdam, The Netherlands, 2005; pp. 455–742. [Google Scholar]
- Apostolakos, J.M.; Lazaro, L.; Williams, R.J. The Use of Bone Marrow Concentrate in the Treatment of Full-Thickness Chondral Defects. HSS J. 2019, 15, 96–99. [Google Scholar] [CrossRef] [PubMed]
- Davies, R.L.; Kuiper, N.J. Regenerative Medicine: A Review of the Evolution of Autologous Chondrocyte Implantation (ACI) Therapy. Bioengineering 2019, 6, 22. [Google Scholar] [CrossRef] [PubMed]
- McIlwraith, C.W.; Frisbie, D.D. Microfracture: Basic Science Studies in the Horse. Cartilage 2010, 1, 87–95. [Google Scholar] [CrossRef] [PubMed]
- Ribitsch, I.; Oreff, G.L.; Jenner, F. Regenerative Medicine for Equine Musculoskeletal Diseases. Animals 2021, 11, 234. [Google Scholar] [CrossRef]
- Lo Monaco, M.; Merckx, G.; Ratajczak, J.; Gervois, P.; Hilkens, P.; Clegg, P.; Bronckaers, A.; Vandeweerd, J.M.; Lambrichts, I. Stem Cells for Cartilage Repair: Preclinical Studies and Insights in Translational Animal Models and Outcome Measures. Stem Cells Int. 2018, 2018, 9079538. [Google Scholar] [CrossRef]
- Urlic, I.; Ivkovic, A. Cell Sources for Cartilage Repair-Biological and Clinical Perspective. Cells 2021, 10, 2496. [Google Scholar] [CrossRef]
- Bogers, S.H. Cell-Based Therapies for Joint Disease in Veterinary Medicine: What We Have Learned and What We Need to Know. Front. Vet. Sci. 2018, 5, 70. [Google Scholar] [CrossRef]
- Zha, K.; Li, X.; Yang, Z.; Tian, G.; Sun, Z.; Sui, X.; Dai, Y.; Liu, S.; Guo, Q. Heterogeneity of mesenchymal stem cells in cartilage regeneration: From characterization to application. NPJ Regen. Med. 2021, 6, 14. [Google Scholar] [CrossRef]
- Daou, F.; Cochis, A.; Leigheb, M.; Rimondini, L. Current Advances in the Regeneration of Degenerated Articular Cartilage: A Literature Review on Tissue Engineering and Its Recent Clinical Translation. Materials 2021, 15, 31. [Google Scholar] [CrossRef]
- Shaz, B.H.; Hilley, C.D.; Gil, M.R. Transfusion Medicine and Hemostasis: Clinical and Laboratory Aspects, 3rd ed.; Elsevier: Amsterdam, The Netherlands, 2019; pp. 219–223. [Google Scholar]
- Watkins, A.; Fasanello, D.; Stefanovski, D.; Schurer, S.; Caracappa, K.; D’Agostino, A.; Costello, E.; Freer, H.; Rollins, A.; Read, C.; et al. Investigation of synovial fluid lubricants and inflammatory cytokines in the horse: A comparison of recombinant equine interleukin 1 beta-induced synovitis and joint lavage models. BMC Vet. Res. 2021, 17, 189. [Google Scholar] [CrossRef]
- Dozin, B.; Malpeli, M.; Cancedda, R.; Bruzzi, P.; Calcagno, S.; Molfetta, L.; Priano, F.; Kon, E.; Marcacci, M. Comparative evaluation of autologous chondrocyte implantation and mosaicplasty: A multicentered randomized clinical trial. Clin. J. Sport. Med. 2005, 15, 220–226. [Google Scholar] [CrossRef]
- Armiento, A.R.; Alini, M.; Stoddart, M.J. Articular fibrocartilage—Why does hyaline cartilage fail to repair? Adv. Drug. Deliv. Rev. 2019, 146, 289–305. [Google Scholar] [CrossRef]
- Zylinska, B.; Silmanowicz, P.; Sobczynska-Rak, A.; Jarosz, L.; Szponder, T. Treatment of Articular Cartilage Defects: Focus on Tissue Engineering. In Vivo 2018, 32, 1289–1300. [Google Scholar] [CrossRef]
- Jammes, M.; Contentin, R.; Casse, F.; Galera, P. Equine osteoarthritis: Strategies to enhance mesenchymal stromal cell-based acellular therapies. Front. Vet. Sci. 2023, 10, 1115774. [Google Scholar] [CrossRef]
- Mustonen, A.M.; Lehmonen, N.; Oikari, S.; Capra, J.; Raekallio, M.; Mykkanen, A.; Paakkonen, T.; Rilla, K.; Niemela, T.; Nieminen, P. Counts of hyaluronic acid-containing extracellular vesicles decrease in naturally occurring equine osteoarthritis. Sci. Rep. 2022, 12, 17550. [Google Scholar] [CrossRef]









Disclaimer/Publisher’s Note: The statements, opinions and data contained in all publications are solely those of the individual author(s) and contributor(s) and not of MDPI and/or the editor(s). MDPI and/or the editor(s) disclaim responsibility for any injury to people or property resulting from any ideas, methods, instructions or products referred to in the content. |
© 2023 by the authors. Licensee MDPI, Basel, Switzerland. This article is an open access article distributed under the terms and conditions of the Creative Commons Attribution (CC BY) license (https://creativecommons.org/licenses/by/4.0/).
Share and Cite
Canonici, F.; Cocumelli, C.; Cersini, A.; Marcoccia, D.; Zepparoni, A.; Altigeri, A.; Caciolo, D.; Roncoroni, C.; Monteleone, V.; Innocenzi, E.; et al. Articular Cartilage Regeneration by Hyaline Chondrocytes: A Case Study in Equine Model and Outcomes. Biomedicines 2023, 11, 1602. https://doi.org/10.3390/biomedicines11061602
Canonici F, Cocumelli C, Cersini A, Marcoccia D, Zepparoni A, Altigeri A, Caciolo D, Roncoroni C, Monteleone V, Innocenzi E, et al. Articular Cartilage Regeneration by Hyaline Chondrocytes: A Case Study in Equine Model and Outcomes. Biomedicines. 2023; 11(6):1602. https://doi.org/10.3390/biomedicines11061602
Chicago/Turabian StyleCanonici, Fernando, Cristiano Cocumelli, Antonella Cersini, Daniele Marcoccia, Alessia Zepparoni, Annalisa Altigeri, Daniela Caciolo, Cristina Roncoroni, Valentina Monteleone, Elisa Innocenzi, and et al. 2023. "Articular Cartilage Regeneration by Hyaline Chondrocytes: A Case Study in Equine Model and Outcomes" Biomedicines 11, no. 6: 1602. https://doi.org/10.3390/biomedicines11061602
APA StyleCanonici, F., Cocumelli, C., Cersini, A., Marcoccia, D., Zepparoni, A., Altigeri, A., Caciolo, D., Roncoroni, C., Monteleone, V., Innocenzi, E., Alimonti, C., Ghisellini, P., Rando, C., Pechkova, E., Eggenhöffner, R., Scicluna, M. T., & Barbaro, K. (2023). Articular Cartilage Regeneration by Hyaline Chondrocytes: A Case Study in Equine Model and Outcomes. Biomedicines, 11(6), 1602. https://doi.org/10.3390/biomedicines11061602

