The Challenges of Cardiac Resynchronization Therapy in Patients with Dilated Cardiomyopathy and Persistent Left Superior Vena Cava: A Case Report and Concise Literature Review
Abstract
1. Introduction
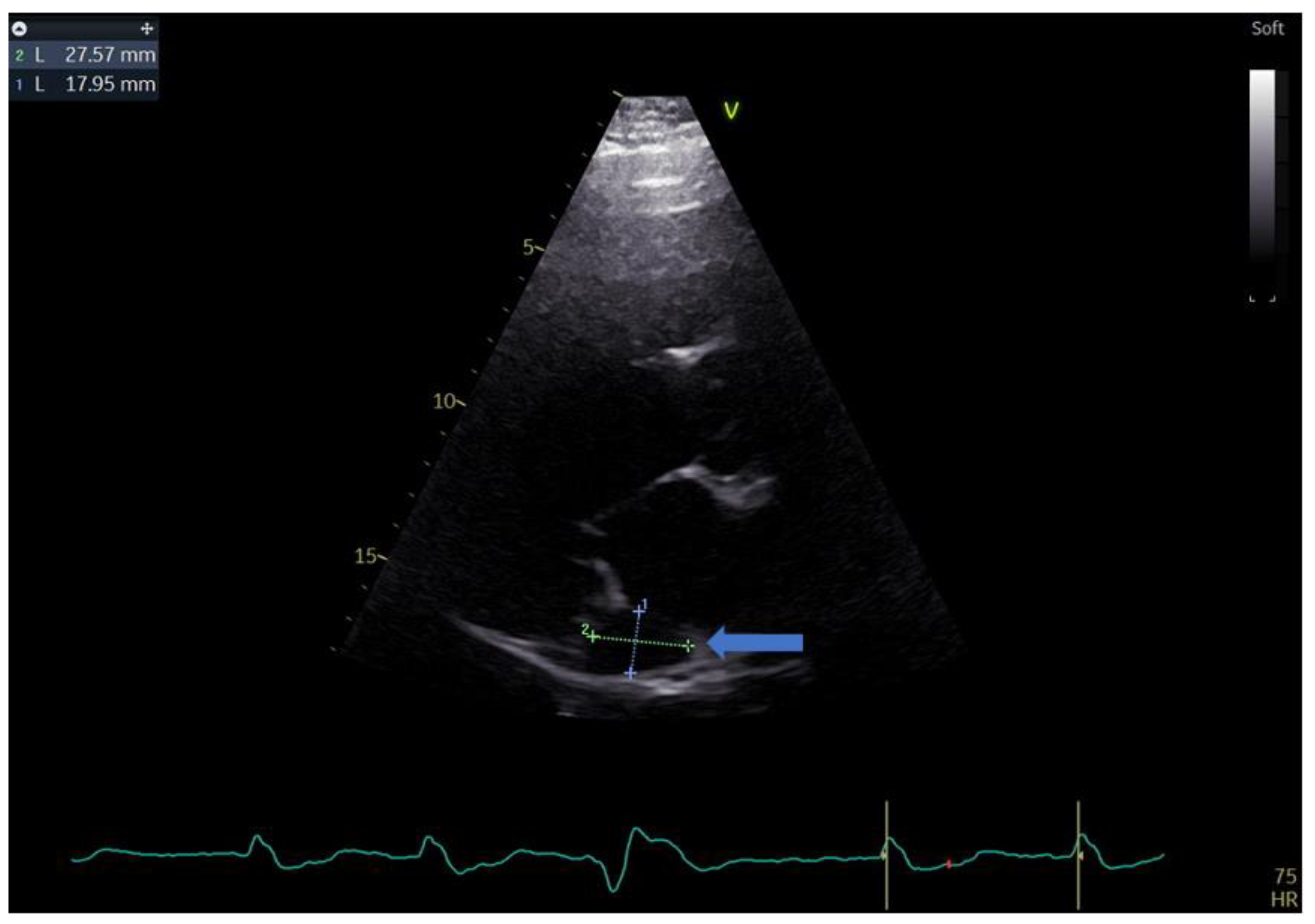
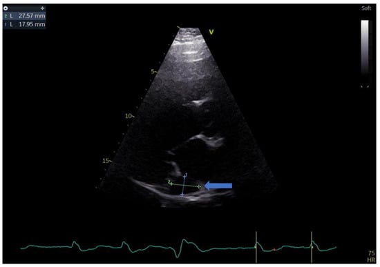
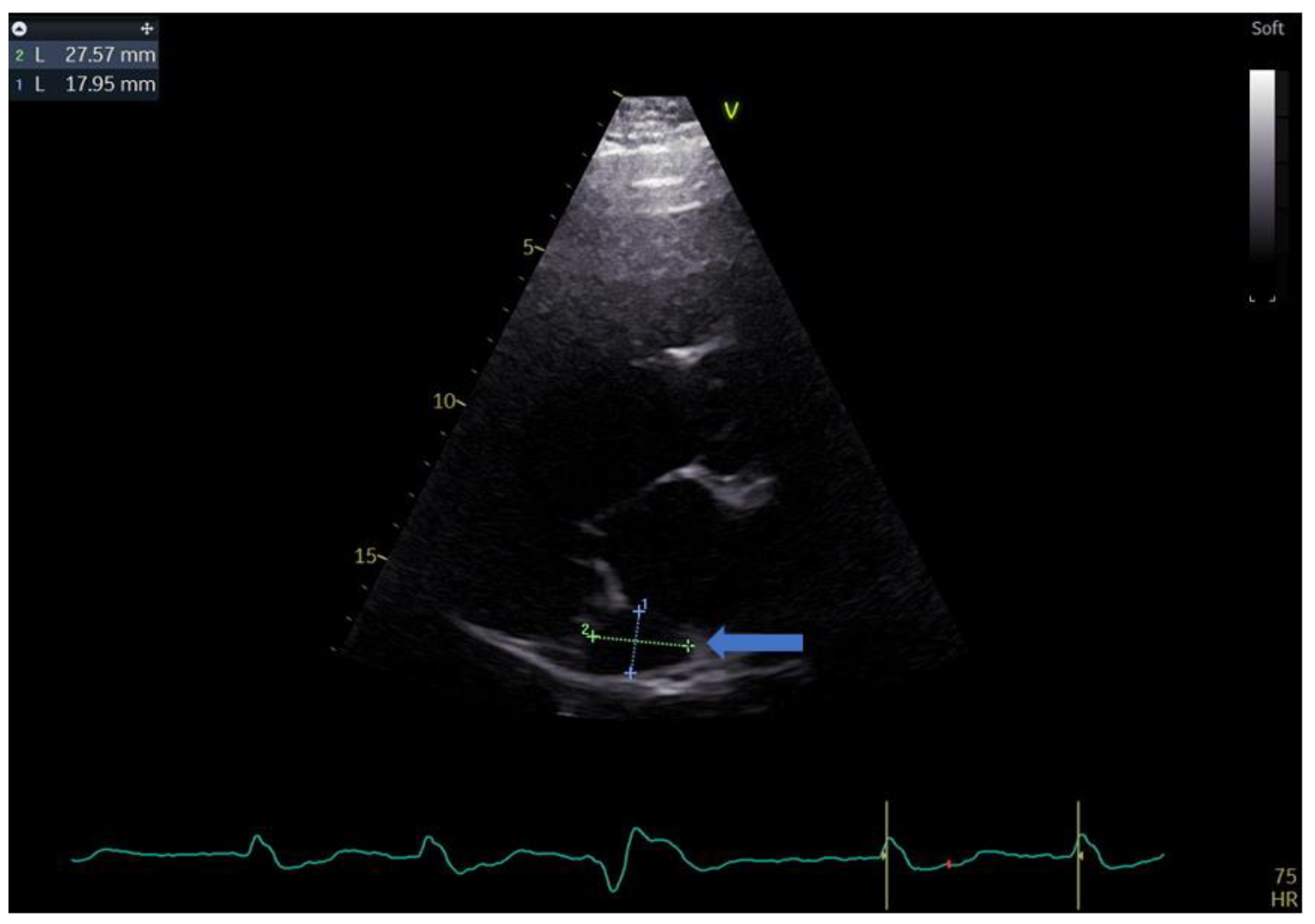
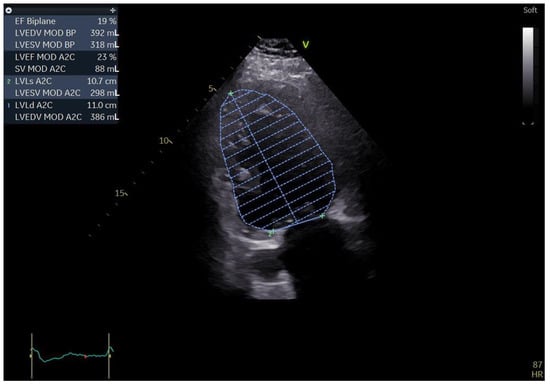
2. Case Report
3. Discussion and Literature Review
4. Conclusions
Author Contributions
Funding
Institutional Review Board Statement
Informed Consent Statement
Data Availability Statement
Conflicts of Interest
References
- Glikson, M.; Nielsen, J.C.; Kronborg, M.B.; Michowitz, Y.; Auricchio, A.; Barbash, I.M.; Barrabes, J.A.; Boriani, G.; Braunschweig, F.; Brignole, M.; et al. 2021 ESC Guidelines on Cardiac Pacing and Cardiac Resynchronization Therapy. Eur. Heart J. 2021, 42, 3427–3520. Available online: https://academic.oup.com/eurheartj/article/42/35/3427/6358547 (accessed on 16 February 2023). [CrossRef] [PubMed]
- Pescariu, S.-A.; Şoşdean, R.; Tudoran, C.; Ionac, A.; Pop, G.N.; Timar, R.Z.; Pescariu, S.; Tudoran, M. Echocardiographic Parameters as Predictors for the Efficiency of Resynchronization Therapy in Patients with Dilated Cardiomyopathy and HFrEF. Diagnostics 2021, 12, 35. [Google Scholar] [CrossRef] [PubMed]
- Petrac, D.; Radeljic, V.; Pavlovic, N.; Manola, S.; Delic-Brkljacic, D. Persistent Left Superior Vena Cava in Patients Undergoing Cardiac Device Implantation: Clinical and Long-Term Data. Cardiol. Res. 2013, 4, 64–67. [Google Scholar] [CrossRef] [PubMed][Green Version]
- Tyrak, K.W.; Hołda, M.K.; Koziej, M.; Piątek, K.; Klimek-Piotrowska, W. Persistent Left Superior Vena Cava. Cardiovasc. J. Afr. 2017, 28, e1–e4. [Google Scholar] [CrossRef] [PubMed]
- Kurtoglu, E.; Cakin, O.; Akcay, S.; Akturk, E.; Korkmaz, H. Persistent Left Superior Vena Cava Draining into the Coronary Sinus: A Case Report. Cardiol. Res. 2011, 2, 249–252. [Google Scholar] [CrossRef] [PubMed]
- Tan, J.H.; Ng, Z.Q.; Vendargon, S. Persistent Left Superior Vena Cava and Absence of Innominate Vein during Coronary Artery Bypass Surgery. BMJ Case Rep. 2018, 2018, bcr2018225271. [Google Scholar] [CrossRef] [PubMed]
- Demșa, I.; Crișu, D.; Haba, C.M.Ș.; Ursaru, A.M.; Afrăsânie, V.-A.; Costache, I.I.; Petriș, A.O.; Tesloianu, D.N. Persistent Left Superior Vena Cava with Absent Right Superior Vena Cava and Discrete Subaortic Stenosis Diagnosed in a Patient with Sick Sinus Syndrome: A Case Report and Brief Review of the Literature. Diagnostics 2020, 10, 847. [Google Scholar] [CrossRef] [PubMed]
- Al-Sadawi, M.; Aslam, F.; Tao, M.; Salam, S.; Alsaiqali, M.; Singh, A.; Fan, R.; Rashba, E.J. Is CRT-D Superior to CRT-P in Patients with Nonischemic Cardiomyopathy? Int. J. Arrhythmia 2023, 24, 3. [Google Scholar] [CrossRef]
- Gras, M.; Bisson, A.; Bodin, A.; Herbert, J.; Babuty, D.; Pierre, B.; Clementy, N.; Fauchier, L. Mortality and Cardiac Resynchronization Therapy with or without Defibrillation in Primary Prevention. EP Europace 2020, 22, 1224–1233. [Google Scholar] [CrossRef] [PubMed]
- Brignole, M.; Pentimalli, F.; Palmisano, P.; Landolina, M.; Quartieri, F.; Occhetta, E.; Calò, L.; Mascia, G.; Mont, L.; Vernooy, K.; et al. AV Junction Ablation and Cardiac Resynchronization for Patients with Permanent Atrial Fibrillation and Narrow QRS: The APAF-CRT Mortality Trial. Eur. Heart J. 2021, 42, 4731–4739. [Google Scholar] [CrossRef] [PubMed]
- Senes, J.; Mascia, G.; Bottoni, N.; Oddone, D.; Donateo, P.; Grimaldi, T.; Minneci, C.; Bertolozzi, I.; Brignole, M.; Puggioni, E.; et al. Is His-Optimized Superior to Conventional Cardiac Resynchronization Therapy in Improving Heart Failure? Results from a Propensity-Matched Study. Pacing Clin. Electrophysiol. (PACE) 2021, 44, 1532–1539. [Google Scholar] [CrossRef] [PubMed]
- Vijayaraman, P.; Herweg, B.; Ellenbogen, K.A.; Gajek, J. His-Optimized Cardiac Resynchronization Therapy to Maximize Electrical Resynchronization: A Feasibility Study. Circ. Arrhythm. Electrophysiol. 2019, 12, e006934. [Google Scholar] [CrossRef] [PubMed]
- Ravi, V.; Hanifin, J.L.; Larsen, T.; Huang, H.D.; Trohman, R.G.; Sharma, P.S. Pros and Cons of Left Bundle Branch Pacing. Circ. Arrhythm. Electrophysiol. 2020, 13, e008874. [Google Scholar] [CrossRef] [PubMed]
- Kahaly, R.O.; Afzal, R.M.; Okabe, T.; Houmsse, M. An Uncommon Dilemma: Cardiac Resynchronization Therapy in Patients with Persistent Left Superior Vena Cava Draining into the Coronary Sinus. J. Atr. Fibrillation 2020, 13, 2339. [Google Scholar] [CrossRef]
- Biffi, M.; Massaro, G.; Diemberger, I.; Martignani, C.; Corzani, A.; Ziacchi, M. Cardiac Resynchronization Therapy in Persistent Left Superior Vena Cava: Can You Do It Two-Leads-Only? Hear. Case Rep. 2016, 3, 30–32. [Google Scholar] [CrossRef] [PubMed]
- Pescariu, S.-A.; Şoşdean, R.; Enache, B.; Macarie, R.I.; Tudoran, M.; Tudoran, C.; Mornoş, C.; Ionac, A.; Pescariu, S. Single-Pass VDD Pacing Lead for Cardiac Resynchronization Therapy: A Reliable Alternative. Micromachines 2021, 12, 978. [Google Scholar] [CrossRef] [PubMed]
- Bera, D.; Bachani, N.; Pawar, P.; Rathi, C.; Ramalingam, V.; Lokhandwala, Y. Cardiac Resynchronization Therapy Device Implantation in a Patient with Persistent Left Superior Vena Cava without Communicating Innominate Vein—Should We Proceed from the Same Side?—A Dilemma Revisited. Indian Pacing Electrophysiol. J. 2017, 18, 112–114. [Google Scholar] [CrossRef] [PubMed]
- Chiang, C.K.-W.; Chan, W.K.-B.; So, A.; Yee, R.; Khan, H. Utilizing Preprocedural Imaging and Active Fixation Lead in Cardiac Resynchronization Therapy Device Upgrade for Persistent Left Superior Vena Cava. Hear. Case Rep. 2022, 8, 50–53. [Google Scholar] [CrossRef]
- Bissinger, A.; Bahadori-Esfahani, F.; Lubiński, A. Cardiac Defibrillator Implantation via Persistent Left Superior Vena Cava—Sometimes This Approach Is Facile. A Case Report. Arch. Med. Sci. AMS 2011, 7, 161–163. [Google Scholar] [CrossRef] [PubMed]






Disclaimer/Publisher’s Note: The statements, opinions and data contained in all publications are solely those of the individual author(s) and contributor(s) and not of MDPI and/or the editor(s). MDPI and/or the editor(s) disclaim responsibility for any injury to people or property resulting from any ideas, methods, instructions or products referred to in the content. |
© 2023 by the authors. Licensee MDPI, Basel, Switzerland. This article is an open access article distributed under the terms and conditions of the Creative Commons Attribution (CC BY) license (https://creativecommons.org/licenses/by/4.0/).
Share and Cite
Pescariu, S.A.; Șoșdean, R.; Mircea, M.N.; Ionac, A.; Pescariu, S. The Challenges of Cardiac Resynchronization Therapy in Patients with Dilated Cardiomyopathy and Persistent Left Superior Vena Cava: A Case Report and Concise Literature Review. Biomedicines 2023, 11, 1205. https://doi.org/10.3390/biomedicines11041205
Pescariu SA, Șoșdean R, Mircea MN, Ionac A, Pescariu S. The Challenges of Cardiac Resynchronization Therapy in Patients with Dilated Cardiomyopathy and Persistent Left Superior Vena Cava: A Case Report and Concise Literature Review. Biomedicines. 2023; 11(4):1205. https://doi.org/10.3390/biomedicines11041205
Chicago/Turabian StylePescariu, Silvius Alexandru, Raluca Șoșdean, Monica Nicoleta Mircea, Adina Ionac, and Sorin Pescariu. 2023. "The Challenges of Cardiac Resynchronization Therapy in Patients with Dilated Cardiomyopathy and Persistent Left Superior Vena Cava: A Case Report and Concise Literature Review" Biomedicines 11, no. 4: 1205. https://doi.org/10.3390/biomedicines11041205
APA StylePescariu, S. A., Șoșdean, R., Mircea, M. N., Ionac, A., & Pescariu, S. (2023). The Challenges of Cardiac Resynchronization Therapy in Patients with Dilated Cardiomyopathy and Persistent Left Superior Vena Cava: A Case Report and Concise Literature Review. Biomedicines, 11(4), 1205. https://doi.org/10.3390/biomedicines11041205

