Telomere Transcription in MLL-Rearranged Leukemia Cell Lines: Increased Levels of TERRA Associate with Lymphoid Lineage and Are Independent of Telomere Length and Ploidy
Abstract
1. Introduction
2. Materials and Methods
2.1. Cell Cultures
2.2. ChIP Analysis
2.3. RNA Slot-Blot Analysis
2.4. Terminal Restriction Fragment (TRF) Analysis
2.5. Telomeric-Repeat Amplification Protocol (TRAP)
3. Results
3.1. Telomeric Chromatin Binding of MLL Proteins and Telomerase Activity in MLL-Rearranged Acute Lymphoblastic Leukemia
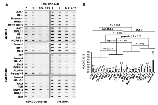
3.2. Increased Levels of UUAGGG Repeat-Containing RNA in MLL-r ALL
3.3. MLL Rearrangements Do Not Affect Telomere Length in Leukemia
3.4. UUAGGG Repeat-Containing RNA Levels in MLL-r ALL Correlate with Telomere Length and Reflect Increased Levels of TERRA
3.5. Increased Levels of TERRA in MLL-r ALL Are Independent of Ploidy
4. Discussion
Author Contributions
Funding
Institutional Review Board Statement
Informed Consent Statement
Data Availability Statement
Acknowledgments
Conflicts of Interest
References
- Azzalin, C.M.; Reichenbach, P.; Khoriauli, L.; Giulotto, E.; Lingner, J. Telomeric Repeat Containing RNA and RNA Surveillance Factors at Mammalian Chromosome Ends. Science 2007, 318, 798–801. [Google Scholar] [CrossRef] [PubMed]
- Schoeftner, S.; Blasco, M.A. Developmentally Regulated Transcription of Mammalian Telomeres by DNA-Dependent RNA Polymerase II. Nat. Cell Biol. 2008, 10, 228–236. [Google Scholar] [CrossRef] [PubMed]
- Farnung, B.O.; Brun, C.M.; Arora, R.; Lorenzi, L.E.; Azzalin, C.M. Telomerase Efficiently Elongates Highly Transcribing Telomeres in Human Cancer Cells. PLoS ONE 2012, 7, e35714. [Google Scholar] [CrossRef] [PubMed]
- Redon, S.; Zemp, I.; Lingner, J. A Three-State Model for the Regulation of Telomerase by TERRA and HnRNPA1. Nucleic Acids Res. 2013, 41, 9117–9128. [Google Scholar] [CrossRef]
- Cusanelli, E.; Romero, C.A.P.; Chartrand, P. Telomeric Noncoding RNA TERRA Is Induced by Telomere Shortening to Nucleate Telomerase Molecules at Short Telomeres. Mol. Cell 2013, 51, 780–791. [Google Scholar] [CrossRef]
- Balk, B.; Maicher, A.; Dees, M.; Klermund, J.; Luke-Glaser, S.; Bender, K.; Luke, B. Telomeric RNA-DNA Hybrids Affect Telomere-Length Dynamics and Senescence. Nat. Struct. Mol. Biol. 2013, 20, 1199–1205. [Google Scholar] [CrossRef]
- Yu, T.-Y.; Kao, Y.; Lin, J.-J. Telomeric Transcripts Stimulate Telomere Recombination to Suppress Senescence in Cells Lacking Telomerase. Proc. Natl. Acad. Sci. USA 2014, 111, 3377–3382. [Google Scholar] [CrossRef]
- Montero, J.J.; López de Silanes, I.; Graña, O.; Blasco, M.A. Telomeric RNAs Are Essential to Maintain Telomeres. Nat. Commun. 2016, 7, 12534. [Google Scholar] [CrossRef]
- Chu, H.P.; Froberg, J.E.; Kesner, B.; Oh, H.J.; Ji, F.; Sadreyev, R.; Pinter, S.F.; Lee, J.T. PAR-TERRA Directs Homologous Sex Chromosome Pairing. Nat. Struct. Mol. Biol. 2017, 24, 620–631. [Google Scholar] [CrossRef]
- De Silanes, I.L.; Graña, O.; De Bonis, M.L.; Dominguez, O.; Pisano, D.G.; Blasco, M.A. Identification of TERRA Locus Unveils a Telomere Protection Role through Association to Nearly All Chromosomes. Nat. Commun. 2014, 5, 4723. [Google Scholar] [CrossRef]
- Viceconte, N.; Loriot, A.; Lona Abreu, P.; Scheibe, M.; Fradera Sola, A.; Butter, F.; De Smet, C.; Azzalin, C.M.; Arnoult, N.; Decottignies, A. PAR-TERRA Is the Main Contributor to Telomeric Repeat-Containing RNA Transcripts in Normal and Cancer Mouse Cells. RNA 2021, 27, 106–121. [Google Scholar] [CrossRef]
- Nergadze, S.G.; Farnung, B.O.; Wischnewski, H.; Khoriauli, L.; Vitelli, V.; Chawla, R.; Giulotto, E.; Azzalin, C.M. CpG-Island Promoters Drive Transcription of Human Telomeres. RNA 2009, 15, 2186–2194. [Google Scholar] [CrossRef]
- Feretzaki, M.; Nunes, P.R.; Lingner, J. Expression and Differential Regulation of Human TERRA at Several Chromosome Ends. RNA 2019, 25, 1470–1480. [Google Scholar] [CrossRef]
- Chu, H.-P.; Cifuentes-Rojas, C.; Kesner, B.; Aeby, E.; Lee, H.; Wei, C.; Oh, H.J.; Boukhali, M.; Haas, W.; Lee, J.T. TERRA RNA Antagonizes ATRX and Protects Telomeres. Cell 2017, 170, 86–101. [Google Scholar] [CrossRef]
- Coate, J.E.; Doyle, J.J. Variation in Transcriptome Size: Are We Getting the Message? Chromosoma 2015, 124, 27–43. [Google Scholar] [CrossRef]
- Schoenfelder, K.P.; Fox, D.T. The Expanding Implications of Polyploidy. J. Cell Biol. 2015, 209, 485–491. [Google Scholar] [CrossRef]
- De Silanes, I.L.; D’Alcontres, M.S.; Blasco, M.A. TERRA Transcripts Are Bound by a Complex Array of RNA-Binding Proteins. Nat. Commun. 2010, 1, 33. [Google Scholar] [CrossRef]
- Flynn, R.L.; Centore, R.C.; O’Sullivan, R.J.; Rai, R.; Tse, A.; Songyang, Z.; Chang, S.; Karlseder, J.; Zou, L. TERRA and HnRNPA1 Orchestrate an RPA-to-POT1 Switch on Telomeric Single-Stranded DNA. Nature 2011, 471, 532–536. [Google Scholar] [CrossRef]
- Flynn, R.L.; Cox, K.E.; Jeitany, M.; Wakimoto, H.; Bryll, A.R.; Ganem, N.J.; Bersani, F.; Pineda, J.R.; Suvà, M.L.; Benes, C.H.; et al. Alternative Lengthening of Telomeres Renders Cancer Cells Hypersensitive to ATR Inhibitors. Science 2015, 347, 273–277. [Google Scholar] [CrossRef]
- Yamada, T.; Yoshimura, H.; Shimada, R.; Hattori, M.; Eguchi, M.; Fujiwara, T.K.; Kusumi, A.; Ozawa, T. Spatiotemporal Analysis with a Genetically Encoded Fluorescent RNA Probe Reveals TERRA Function around Telomeres. Sci. Rep. 2016, 6, 38910. [Google Scholar] [CrossRef]
- Arora, R.; Lee, Y.; Wischnewski, H.; Brun, C.M.; Schwarz, T.; Azzalin, C.M. RNaseH1 Regulates TERRA-Telomeric DNA Hybrids and Telomere Maintenance in ALT Tumour Cells. Nat. Commun. 2014, 5, 5220. [Google Scholar] [CrossRef] [PubMed]
- Deng, Z.; Norseen, J.; Wiedmer, A.; Riethman, H.; Lieberman, P.M. TERRA RNA Binding to TRF2 Facilitates Heterochromatin Formation and ORC Recruitment at Telomeres. Mol. Cell 2009, 35, 403–413. [Google Scholar] [CrossRef] [PubMed]
- Arnoult, N.; Van Beneden, A.; Decottignies, A. Telomere Length Regulates TERRA Levels through Increased Trimethylation of Telomeric H3K9 and HP1α. Nat. Struct. Mol. Biol. 2012, 19, 948–956. [Google Scholar] [CrossRef] [PubMed]
- Montero, J.J.; López-Silanes, I.; Megías, D.; F Fraga, M.; Castells-García, Á.; Blasco, M.A. TERRA Recruitment of Polycomb to Telomeres Is Essential for Histone Trymethylation Marks at Telomeric Heterochromatin. Nat. Commun. 2018, 9, 1548. [Google Scholar] [CrossRef]
- Ng, L.J.; Cropley, J.E.; Pickett, H.A.; Reddel, R.R.; Suter, C.M. Telomerase Activity Is Associated with an Increase in DNA Methylation at the Proximal Subtelomere and a Reduction in Telomeric Transcription. Nucleic Acids Res. 2009, 37, 1152–1159. [Google Scholar] [CrossRef]
- Episkopou, H.; Draskovic, I.; Van Beneden, A.; Tilman, G.; Mattiussi, M.; Gobin, M.; Arnoult, N.; Londoño-Vallejo, A.; Decottignies, A. Alternative Lengthening of Telomeres Is Characterized by Reduced Compaction of Telomeric Chromatin. Nucleic Acids Res. 2014, 42, 4391–4405. [Google Scholar] [CrossRef]
- Voon, H.P.J.; Collas, P.; Wong, L.H. Compromised Telomeric Heterochromatin Promotes Alternative Lengthening of Telomeres. Trends Cancer 2016, 2, 114–116. [Google Scholar] [CrossRef]
- Yehezkel, S.; Segev, Y.; Viegas-Péquignot, E.; Skorecki, K.; Selig, S. Hypomethylation of Subtelomeric Regions in ICF Syndrome Is Associated with Abnormally Short Telomeres and Enhanced Transcription from Telomeric Regions. Hum. Mol. Genet. 2008, 17, 2776–2789. [Google Scholar] [CrossRef]
- Deng, Z.; Campbell, A.E.; Lieberman, P.M. TERRA, CpG Methylation and Telomere Heterochromatin: Lessons from ICF Syndrome Cells. Cell Cycle 2010, 9, 69–74. [Google Scholar] [CrossRef]
- Sagie, S.; Toubiana, S.; Hartono, S.R.; Katzir, H.; Tzur-Gilat, A.; Havazelet, S.; Francastel, C.; Velasco, G.; Chédin, F.; Selig, S. Telomeres in ICF Syndrome Cells Are Vulnerable to DNA Damage Due to Elevated DNA:RNA Hybrids. Nat. Commun. 2017, 8, 14015. [Google Scholar] [CrossRef]
- Caslini, C.; Connelly, J.A.; Serna, A.; Broccoli, D.; Hess, J.L. MLL Associates with Telomeres and Regulates Telomeric Repeat-Containing RNA Transcription. Mol. Cell. Biol. 2009, 29, 4519–4526. [Google Scholar] [CrossRef]
- Caslini, C. Transcriptional Regulation of Telomeric Non-Coding RNA: Implications on Telomere Biology, Replicative Senescence and Cancer. RNA Biol. 2010, 7, 18–22. [Google Scholar] [CrossRef]
- Caslini, C.; Alarcòn, A.; Hess, J.; Tanaka, R.; Murti, K.; Biondi, A. The Amino Terminus Targets the Mixed Lineage Leukemia (MLL) Protein to the Nucleolus, Nuclear Matrix and Mitotic Chromosomal Scaffolds. Leukemia 2000, 14, 1898–1908. [Google Scholar] [CrossRef]
- Rao, R.C.; Dou, Y. Hijacked in Cancer: The KMT2 (MLL) Family of Methyltransferases. Nat. Rev. Cancer 2015, 15, 334–346. [Google Scholar] [CrossRef]
- Guenther, M.G.; Jenner, R.G.; Chevalier, B.; Nakamura, T.; Croce, C.M.; Canaani, E.; Young, R.A. Global and Hox-Specific Roles for the MLL1 Methyltransferase. Proc. Natl. Acad. Sci. USA 2005, 102, 8603–8608. [Google Scholar] [CrossRef]
- Caslini, C.; Yang, Z.; El-Osta, M.; Milne, T.A.; Slany, R.K.; Hess, J.L. Interaction of MLL Amino Terminal Sequences with Menin Is Required for Transformation. Cancer Res. 2007, 67, 7275–7283. [Google Scholar] [CrossRef]
- Yokoyama, A.; Cleary, M.L. Menin Critically Links MLL Proteins with LEDGF on Cancer-Associated Target Genes. Cancer Cell 2008, 14, 36–46. [Google Scholar] [CrossRef]
- Tutton, S.; Azzam, G.A.; Stong, N.; Vladimirova, O.; Wiedmer, A.; Monteith, J.A.; Beishline, K.; Wang, Z.; Deng, Z.; Riethman, H.; et al. Subtelomeric P53 Binding Prevents Accumulation of DNA Damage at Human Telomeres. EMBO J. 2016, 35, 193–207. [Google Scholar] [CrossRef]
- Scheibe, M.; Arnoult, N.; Kappei, D.; Buchholz, F.; Decottignies, A.; Butter, F.; Mann, M. Quantitative Interaction Screen of Telomeric Repeat-Containing RNA Reveals Novel TERRA Regulators. Genome Res. 2013, 23, 2149–2157. [Google Scholar] [CrossRef]
- Fujita, T.; Asano, Y.; Ohtsuka, J.; Takada, Y.; Saito, K.; Ohki, R.; Fujii, H. Identification of Telomere-Associated Molecules by Engineered DNA-Binding Molecule-Mediated Chromatin Immunoprecipitation (EnChIP). Sci. Rep. 2013, 3, 3171. [Google Scholar] [CrossRef]
- Muntean, A.G.; Hess, J.L. The Pathogenesis of Mixed-Lineage Leukemia. Annu. Rev. Pathol. 2012, 7, 283–301. [Google Scholar] [CrossRef] [PubMed]
- Meyer, C.; Burmeister, T.; Gröger, D.; Tsaur, G.; Fechina, L.; Renneville, A.; Sutton, R.; Venn, N.C.; Emerenciano, M.; Pombo-de-Oliveira, M.S.; et al. The MLL Recombinome of Acute Leukemias in 2017. Leukemia 2018, 32, 273–284. [Google Scholar] [CrossRef] [PubMed]
- Slany, R.K. The Molecular Biology of Mixed Lineage Leukemia. Haematologica 2009, 94, 984–993. [Google Scholar] [CrossRef] [PubMed]
- Monroe, S.C.; Jo, S.Y.; Sanders, D.S.; Basrur, V.; Elenitoba-Johnson, K.S.; Slany, R.K.; Hess, J.L. MLL-AF9 and MLL-ENL Alter the Dynamic Association of Transcriptional Regulators with Genes Critical for Leukemia. Exp. Hematol. 2011, 39, 77–86.e5. [Google Scholar] [CrossRef]
- Lin, C.; Smith, E.R.; Takahashi, H.; Lai, K.C.; Martin-brown, S.; Florens, L.; Washburn, M.P.; Conaway, J.W.; Conaway, R.C.; Shilatifard, A. AFF4, a Component of the ELL/P-TEFb Elongation Complex and a Shared Subunit of MLL Chimeras, Can Link Transcription Elongation to Leukemia. Mol. Cell 2010, 37, 429–437. [Google Scholar] [CrossRef]
- Yokoyama, A.; Lin, M.; Naresh, A.; Kitabayashi, I.; Cleary, M.L. A Higher-Order Complex Containing AF4 and ENL Family Proteins with P-TEFb Facilitates Oncogenic and Physiologic MLL-Dependent Transcription. Cancer Cell 2010, 17, 198–212. [Google Scholar] [CrossRef]
- Gobbi, A.; Di Berardino, C.; Scanziani, E.; Garofalo, A.; Rivolta, A.; Fontana, G.; Rambaldi, A.; Giavazzi, R.; Biondi, A. A Human Acute Lymphoblastic Leukemia Line with the T(4;11) Translocation as a Model of Minimal Residual Disease in SCID Mice. Leuk. Res. 1997, 21, 1107–1114. [Google Scholar] [CrossRef]
- Grant, J.D.; Broccoli, D.; Muquit, M.; Manion, F.J.; Tisdall, J.; Ochs, M.F. Telometric: A Tool Providing Simplified, Reproducible Measurements of Telomeric DNA from Constant Field Agarose Gels. Biotechniques 2001, 31, 1314–1316, 1318. [Google Scholar] [CrossRef]
- Broccoli, D.; Youngtt, J.W.; De Lange, T. Telomerase Activity in Normal and Malignant Hematopoietic Cells. Cell Biol. 1995, 92, 9082–9086. [Google Scholar] [CrossRef]
- Drexler, H.G.; Quentmeier, H.; MacLeod, R.A.F. Malignant Hematopoietic Cell Lines: In Vitro Models for the Study of MLL Gene Alterations. Leukemia 2004, 18, 227–232. [Google Scholar] [CrossRef]
- Sampl, S.; Pramhas, S.; Stern, C.; Preusser, M.; Marosi, C.; Holzmann, K. Expression of Telomeres in Astrocytoma WHO Grade 2 to 4: TERRA Level Correlates with Telomere Length, Telomerase Activity, and Advanced Clinical Grade. Transl. Oncol. 2012, 5, 56-IN4. [Google Scholar] [CrossRef]
- Vitelli, V.; Falvo, P.; Nergadze, S.G.; Santagostino, M.; Khoriauli, L.; Pellanda, P.; Bertino, G.; Occhini, A.; Benazzo, M.; Morbini, P.; et al. Telomeric Repeat-Containing RNAs (TERRA) Decrease in Squamous Cell Carcinoma of the Head and Neck Is Associated with Worsened Clinical Outcome. Int. J. Mol. Sci. 2018, 19, 274. [Google Scholar] [CrossRef]
- Cao, H.; Zhai, Y.; Ji, X.; Wang, Y.; Zhao, J.; Xing, J.; An, J.; Ren, T. Noncoding Telomeric Repeat-containing RNA Inhibits the Progression of Hepatocellular Carcinoma by Regulating Telomerase-mediated Telomere Length. Cancer Sci. 2020, 111, 2789–2802. [Google Scholar] [CrossRef]
- Adishesh, M.; Alnafakh, R.; Baird, D.M.; Jones, R.E.; Simon, S.; Button, L.; Kamal, A.M.; Kirwan, J.; DeCruze, S.B.; Drury, J.; et al. Human Endometrial Carcinogenesis Is Associated with Significant Reduction in Long Non-Coding RNA, TERRA. Int. J. Mol. Sci. 2020, 21, 8686. [Google Scholar] [CrossRef]
- Liu, H.; Cheng, E.H.Y.; Hsieh, J.J.D. Bimodal Degradation of MLL by SCFSkp2 and APCCdc20 Assures Cell Cycle Execution: A Critical Regulatory Circuit Lost in Leukemogenic MLL Fusions. Genes Dev. 2007, 21, 2385–2398. [Google Scholar] [CrossRef]
- Porro, A.; Feuerhahn, S.; Reichenbach, P.; Lingner, J. Molecular Dissection of Telomeric Repeat-Containing RNA Biogenesis Unveils the Presence of Distinct and Multiple Regulatory Pathways. Mol. Cell. Biol. 2010, 30, 4808–4817. [Google Scholar] [CrossRef]
- Blobel, G.A.; Kadauke, S.; Wang, E.; Lau, A.W.; Zuber, J.; Chou, M.M.; Vakoc, C.R. A Reconfigured Pattern of MLL Occupancy within Mitotic Chromatin Promotes Rapid Transcriptional Reactivation Following Mitotic Exit. Mol. Cell 2009, 36, 970–983. [Google Scholar] [CrossRef]
- Schwartz, Y.B.; Pirrotta, V. Polycomb Silencing Mechanisms and the Management of Genomic Programmes. Nat. Rev. Genet. 2007, 8, 9–22. [Google Scholar] [CrossRef]
- Yehezkel, S.; Shaked, R.; Sagie, S.; Berkovitz, R.; Shachar-Bener, H.; Segev, Y.; Selig, S. Characterization and Rescue of Telomeric Abnormalities in ICF Syndrome Type I Fibroblasts. Front. Oncol. 2013, 3, 1–21. [Google Scholar] [CrossRef]
- Mullighan, C.G.; Goorha, S.; Radtke, I.; Miller, C.B.; Coustan-Smith, E.; Dalton, J.D.; Girtman, K.; Mathew, S.; Ma, J.; Pounds, S.B.; et al. Genome-Wide Analysis of Genetic Alterations in Acute Lymphoblastic Leukaemia. Nature 2007, 446, 758–764. [Google Scholar] [CrossRef]
- Bardini, M.; Spinelli, R.; Bungaro, S.; Mangano, E.; Corral, L.; Cifola, I.; Fazio, G.; Giordan, M.; Basso, G.; De Rossi, G.; et al. DNA Copy-Number Abnormalities Do Not Occur in Infant ALL with t(4;11)/MLL-AF4. Leukemia 2010, 24, 169–176. [Google Scholar] [CrossRef] [PubMed]
- Andersson, A.K.; Ma, J.; Wang, J.; Chen, X.; Gedman, A.L.; Dang, J.; Nakitandwe, J.; Holmfeldt, L.; Parker, M.; Easton, J.; et al. The Landscape of Somatic Mutations in Infant MLL-Rearranged Acute Lymphoblastic Leukemias. Nat. Genet. 2015, 47, 330–337. [Google Scholar] [CrossRef] [PubMed]
- Beishline, K.; Vladimirova, O.; Tutton, S.; Wang, Z.; Deng, Z.; Lieberman, P.M. CTCF Driven TERRA Transcription Facilitates Completion of Telomere DNA Replication. Nat. Commun. 2017, 8, 2114. [Google Scholar] [CrossRef] [PubMed]





| Cell Type | Cell Line | Clinical Data b | Cytogenetic | Fusion Gene | Karyotype | Ploidy e | |
|---|---|---|---|---|---|---|---|
| non-MLL-rearranged leukemia | |||||||
| 1 | Chronic myeloid leukemia | K-562 | CML, 53 F, PE | t(9;22)(q34;q11) | BCR-ABL d | Hypotriploid—64(61–68)<3n> | 2.8 |
| 2 | Chronic myeloid leukemia | NALM-1 a | CML, 3 F, PB | t(9;22)(q34;q12) c | BCR-ABL | hypodiploid with 5% polyploidy—45(42–47)<2n> | 2.0 |
| 3 | Acute myeloid leukemia | ME-1 a | AML, M4eo, 40 M, PB | inv(16)(p13;q22) | CBFb-MYH11 d | near diploid—47<2n> | 2.0 |
| 4 | Acute myeloid leukemia | KASUMI-1 a | AML, M2, 7 M, PB | t(8;21)(q22;q22) c | AML1-ETO d | Hypodiploid—45<2n> | 2.0 |
| 5 | Acute myeloid leukemia | U-937 | AML, M5, 37 M, PE | t(10;11)(p13;q14) | CALM-AF10 | Hypotriploid—63(58–69)<3n> | 2.7 |
| 6 | APL, Acute promyelocytic leukemia | NB-4 a | AML, M3, 23 F, BM | t(15;17)(q22;q11-12) c | PML-RARa d | hypertriploid with 3% polyploidy—78(71–81)<3n> | 3.4 |
| 7 | B cell precursor leukemia | 697 a | pre-B ALL, 12 M, BM | t(1:19)(q23;p13) c | E2A-PBX d | near diploid—46(45–48)<2n> | 2.0 |
| 8 | B cell precursor leukemia | NALM-6 a | pre-B ALL, 19 M, PB | t(5;12)(q33;p13) c | TEL-PDGFRb | near diploid—46(4–47)<2n> | 2.0 |
| 9 | B cell precursor leukemia | REH a | pre-B ALL, 15 F, PB | t(12;21)(p13;q22) c | TEL-AML1 d | Pseudodiploid—46(44–47)<2n> | 2.0 |
| 10 | B cell precursor leukemia | HAL-01 a | pre-B ALL, 17 F, PB | t(17;19)(q22;p13) c | E2A-HLF d | near diploid with 4% polyploidy; 46(43–48)<2n> | 2.0 |
| 11 | Burkitt lymphoma | RAJI a | Burkitt Lymphoma, 12 M, LM | t(8;14)(q24;q32) c | IgH-cMYC | hypotetraploid with 12% polyploidy—89(80–91)<4n> | 3.9 |
| 12 | T cell leukemia | JURKAT a | T-ALL, 14 M, PB | add(2)(p21)/del(2)(p23)x2 | - | hypotetraploid karyotype with 7.8% polyploidy—87(78–91)<4n> | 3.8 |
| MLL-rearranged leukemia | |||||||
| 13 | Acute myeloid (eosinophilic) leukemia | EOL-1 a | AML, 33 M, PB | del(4)(q12)x2 c | FIP1L1-PDGFRa & MLL-PTD | hyperdiploid with 7.5% polyploidy—50(48–51)<2n> | 2.2 |
| 14 | Acute monocytic leukemia | KOPM-88 | AML, 11 M, PB | MLL-PTD | MLL-PTD | near tetraploid—91<4n> | 4.0 |
| 15 | Acute monocytic leukemia | MV4;11 a | AML, M5, 10 M, PB | t(4;11)(q21;q23) c | MLL-AF4 d | Hyperdiploid—48(46–48)<2n> | 2.1 |
| 16 | Acute monocytic leukemia | MONO-MAC-6 a | AML, M5, 64 M, PB | t(9;11)(p22;q23) c | MLL-AF9 | hypotetraploid with near-diploid (8%) and polyploid (17%) sidelines—84–90<4n> | 3.8 |
| 17 | Acute monocytic leukemia | THP-1 a | AML, 1 M, PB | t(9;11)(p22;q23) c | MLL-AF9 | near-tetraploid—94(88–96)<4n> | 4.1 |
| 18 | Acute myelomonocytic leukemia | ML-2 a | AML, M4, 26 M, PB | t(6;11)(q27;q23) c | MLL-AF6 d | near tetraploid—92(84–94)<4n> | 4.0 |
| 19 | B cell precursor leukemia | KOPN-8 a | pre-B ALL, <1 F, PB | t(11;19)(q23;p13) c | MLL-ENL d | hypodiploid with 4% polyploidy—45(42–45)<2n> | 2.0 |
| 20 | B cell precursor leukemia | ALL-PO | pre-B ALL, <1 F, BM | t(4;11)(q21;q23) | MLL-AF4 | hyperdiploid with 20% polyploidy—57<2n> (*) | 2.5 |
| 21 | B cell precursor leukemia | RS4;11 | pre-B ALL, 32 F, BM | t(4;11)(q21;q23) c | MLL-AF4 d | Hyperdiploid—47/48<2n> | 2.0 |
| 22 | B cell precursor leukemia | SEM a | pre-B ALL, 5 F, PB | t(4;11)(q21;q23) c | MLL-AF4 d | hypodiploid with 1.5% polyploidy—45(40–46)<2n> | 2.0 |
| 23 | T cell leukemia | KARPAS-45 a | T-ALL, 2 M, BM | t(X;11)(q13;q23) c | MLL-AFX1 | hypotetraploid with 8% polyploidy—87(84–88)<4n> | 3.8 |
Disclaimer/Publisher’s Note: The statements, opinions and data contained in all publications are solely those of the individual author(s) and contributor(s) and not of MDPI and/or the editor(s). MDPI and/or the editor(s) disclaim responsibility for any injury to people or property resulting from any ideas, methods, instructions or products referred to in the content. |
© 2023 by the authors. Licensee MDPI, Basel, Switzerland. This article is an open access article distributed under the terms and conditions of the Creative Commons Attribution (CC BY) license (https://creativecommons.org/licenses/by/4.0/).
Share and Cite
Caslini, C.; Serna, A. Telomere Transcription in MLL-Rearranged Leukemia Cell Lines: Increased Levels of TERRA Associate with Lymphoid Lineage and Are Independent of Telomere Length and Ploidy. Biomedicines 2023, 11, 925. https://doi.org/10.3390/biomedicines11030925
Caslini C, Serna A. Telomere Transcription in MLL-Rearranged Leukemia Cell Lines: Increased Levels of TERRA Associate with Lymphoid Lineage and Are Independent of Telomere Length and Ploidy. Biomedicines. 2023; 11(3):925. https://doi.org/10.3390/biomedicines11030925
Chicago/Turabian StyleCaslini, Corrado, and Amparo Serna. 2023. "Telomere Transcription in MLL-Rearranged Leukemia Cell Lines: Increased Levels of TERRA Associate with Lymphoid Lineage and Are Independent of Telomere Length and Ploidy" Biomedicines 11, no. 3: 925. https://doi.org/10.3390/biomedicines11030925
APA StyleCaslini, C., & Serna, A. (2023). Telomere Transcription in MLL-Rearranged Leukemia Cell Lines: Increased Levels of TERRA Associate with Lymphoid Lineage and Are Independent of Telomere Length and Ploidy. Biomedicines, 11(3), 925. https://doi.org/10.3390/biomedicines11030925

