Abstract
Epilepsy surgery is a viable therapy option for patients with pharmacoresistant focal epilepsies. A prerequisite for postoperative seizure freedom is the localization of the epileptogenic zone, e.g., using electro- and magnetoencephalography (EEG/MEG). Evidence shows that resting state MEG contains subtle alterations, which may add information to the workup of epilepsy surgery. Here, we investigate node degree (ND), a graph-theoretical parameter of functional connectivity, in relation to the seizure onset zone (SOZ) determined by invasive EEG (iEEG) in a consecutive series of 50 adult patients. Resting state data were subjected to whole brain, all-to-all connectivity analysis using the imaginary part of coherence. Graphs were described using parcellated ND. SOZ localization was investigated on a lobar and sublobar level. On a lobar level, all frequency bands except alpha showed significantly higher maximal ND (mND) values inside the SOZ compared to outside (ratios 1.11–1.20, alpha 1.02). Area-under-the-curve (AUC) was 0.67–0.78 for all expected alpha (0.44, ns). On a sublobar level, mND inside the SOZ was higher for all frequency bands (1.13–1.38, AUC 0.58–0.78) except gamma (1.02). MEG ND is significantly related to SOZ in delta, theta and beta bands. ND may provide new localization tools for presurgical evaluation of epilepsy surgery.
1. Introduction
More than 50 million people worldwide suffer from epilepsy. While a majority can be treated adequately with anti-seizure medication (ASM), aproximately one third of patients are pharmacoresistant [1]. In these patients, epilepsy surgery is a viable therapy option with seizure freedom rates of approximately 60% one year after surgery; however, this depends on the etiology [2]. An essential prerequisite for succesful epilepsy surgery is the exact localization of the epileptogenic zone [3]. To this end, a wide spectrum of diagnostic methods is employed during presurgical evaluation of epilepsy, ranging from MRI (magnetic resonance imaging), SPECT (single-photon emission computed tomography) and PET (positron emission tomography) to neuropsychological evaluation, magnetoencephalography (MEG) and surface/invasive electroencephalography (EEG). The latter play an especially important role as they directly acquire neurophysiologic epileptic activity. EEG/MEG data is utilized for focus localization, either by classic visual interpretation or using methods of source imaging. Numerous studies have demonstrated that taking results of electric or magnetic source imaging (ESI/MSI) into account in planning invasive recordings and epilepsy surgery is associated with significantly better postoperative seizure control in the short- and long-term [4,5,6,7,8]. This is true especially in difficult cases, such as patients without a clear structural lesion on MRI, as source imaging may provide crucial information enabling a patient to proceed to surgery [9,10]. However, the current clinical practice of ESI and MSI utilizes ictal rhythms and interictal epileptic discharge (IED) patterns. Consequently, if no or too few patterns are available, source imaging cannot be applied.
In recent years, a growing body of evidence has described electrophysiological changes associated with epileptic networks which go beyond the classical markers. Increases of oscillatory activity in MEG and invasive and scalp EEG in different frequency bands have been demonstrated with varying specificity for areas exhibiting conventional ictal and interictal patterns [11,12,13,14]. A further category of such surrogate markers of the epileptic network above and beyond activation strength are measures of connectivity, i.e., the communication structure between different areas.
The common underlying hypothesis of these approaches is that the epileptic focus’ spontaneous activity is communicated to neighboring or even distant areas via pre-existing physiological or newly formed pathological pathways. This communication then manifests as either classical pattern propagation or as more subtle influences. The epileptic focus could then be identified within this functional network as a hub node by analyzing continuous resting state data [15].
In a previous study [15], we investigated this hypothesis by employing the “node degree” measure, a graph-theoretical parameter which describes the communicative involvement of network nodes and exhibits especially high values within network hubs. We were able to demonstrate that patients with pharmacoresistant focal epilepsies show significantly higher overall node degree values compared with healthy controls, independent of several practically relevant recording conditions. However, since we selected a representative series of consecutive patients from presurgical evaluation, irrespective of etiology and whether or not invasive EEG and epilepsy surgery had been conducted, we did not evaluate spatial distribution of network hubs in detail.
Consequently, we now focus on the localization of such network hubs. The rationale of the current study is to explore MEG node degree in different frequency bands in a consecutive series of patients who have undergone invasive EEG recordings (iEEG). We compare the ability of the node degree parameter to localize the seizure onset zone (SOZ) in invasive EEG, which we utilize as reference standard. A high localization performance would support the clinical value of utilizing this marker in addition or alternatively to conventional IED-based source imaging for epileptic focus localization.
2. Materials and Methods
2.1. Participants
A total of 50 consecutive adult patients with pharmacoresistant epilepsies were selected retrospectively who had undergone presurgical evaluation for epilepsy surgery between 11/2012 and 01/2019. Further inclusion criteria were invasive EEG evaluation and a routine MEG recording as part of the presurgical workup. Patients were excluded if the iEEG could not determine the seizure onset zone or if routine MEG analysis could not be performed due to poor data quality. Outcome after epilepsy surgery was not the primary endpoint of our study; consequently, specific outcomes or a minimum duration of postoperative follow-up were not required for inclusion. Due to the retrospective nature, requirements and results of the presented analyses did not influence clinical decision making regarding the iEEG-recordings or viability and extent of surgery.
The procedures of this study were positively reviewed by the Institutional Review Board of the medical faculty, University Erlangen-Nuremberg, Germany (registration number 179_19 B, 13.6.2019). Patients provided their written informed consent for the use of their data in retrospective research studies.
2.2. MEG Acquisition
MEG data were recorded with a 248-channel whole head system (Magnes 3600 WH, 4D-Neuroimaging, San Diego, CA, USA) in a magnetically shielded room (Vacuumschmelze GmbH, Hanau, Germany). Recordings were part of clinical presurgical evaluation and followed an in-house protocol, consisting of one run of 20 min with a sampling rate of 508.6 Hz and two 10-min runs with 2034.5 Hz. Analog bandpass filters were used with 0.1 or 1 Hz high-pass frequency and 200 Hz or 800 Hz lowpass depending on sampling rate. Patients were recorded in a supine position with eyes closed. For the purposes of the presented study, only 10 min of the 20 min-run were selected for analysis to limit computational demands.
Prior to data acquisition, head position was acquired using five coils attached close to the left and right preauricular points, the nasion, vertex and inion. Coil positions and headshape for coregistration with MRI were recorded using a 3D digitizing pen (Polhemus, Colchester, VT, USA).
2.3. MRI Acquisition
All patients underwent MRI scanning with a high-resolution 1.5 or 3 T MRI system (Magnetom Trio and Aera, Siemens AG, Erlangen, Germany) using an optimized protocol for evaluation of patients with epilepsy, including a T1-weighted isotropic 1 mm 3D MP-RAGE (magnetization prepared rapid gradient echo) sequence which was used for construction of the volume conduction model and visualization of the results.
2.4. Presurgical Evaluation
Presurgical evaluation consisted of a non-invasive phase 1 evaluation, which included video-EEG, MRI, MEG, and neuropsychological evaluation, as well as PET and/or SPECT when clinically indicated. All data were reviewed in a multidisciplinary case management conference, which decided on the need for further diagnostic evaluation or the viability of epilepsy surgery. Due to the inclusion criteria, all patients proceeded to invasive phase 2 evaluation. Invasive EEG over several days was recorded using subdural and/or depth electrodes (Ad-Tech, Medical Instruments Corporation, Racine, WI, USA). Placement of electrodes was planned according to the consensus of phase 1 evaluation. A second patient management conference then decided on viability and extent of surgery.
Results from invasive EEG monitoring served as the reference standard in the current study. Involvement of individual iEEG contacts in the seizure onset were taken from clinical documentation. Locations of electrodes were determined visually using post-implantation MRI and CT (computed tomography) acquired during presurgical evaluation and were related to individual lobes and regions using the automatic anatomical labeling (AAL) atlas [16].
If available, data on performed epilepsy surgery and postoperative outcomes were collected from clinical documentation.
2.5. MEG Analysis
Preprocessing and analysis steps correspond to our previous study on MEG node degree in patients with epilepsy [15]. Here we provide an overview of the procedure.
All processing steps were conducted using the fieldtrip software version 20180124 (https://www.fieldtriptoopbox.org, accessed on 24 January 2018) [17] and SPM8 (https://www.fil.ion.ucl.ac.uk/spm/, accessed on 24 January 2018) on Matlab R2020b (The Mathworks, Natick, MA, USA).
2.6. Preprocessing
The individual patients’ 3D T1 MRI datasets were used to segment brain and skin compartments. Coregistration with the MEG coordinate system was achieved by matching the head shape-points acquired during the MEG acquisition to the segmented skin surface. A single-shell volume conductor model [18] was set up using the segmented brain compartment.
For the definition of source space nodes, an MNI (Montreal Neurological Institute)-template grid with 10 mm resolution was fit to the brain compartment (total of 3294 nodes). This was performed to allow for inter-subject comparability as well as comparison of node degree values with the AAL atlas.
As a first step of MEG preprocessing, the 10 min of data were divided into 2-s epochs. Channels and epochs with strong artifact contamination on visual inspection were excluded from further analysis. Epochs were then subjected to an independent component analysis (ICA) using the “runica” algorithm [19]. ICA components corresponding to eye blinks, eye movement and electrocardiography (ECG) artifacts were visually identified and removed. Interictal epileptic discharges were left in the data; seizures did not occur during the MEG recordings.
2.7. Source Analysis
Preprocessed data were then subjected to a multitaper frequency transformation in 1 Hz steps in delta (1–4 Hz), theta (4–7 Hz), alpha (8–15 Hz), beta (15–30 Hz) and low gamma (30–45 Hz) bands. The results were subjected to source analysis using a partial conical coherence beamformer with 5% regularization. Source-reconstructed data was then projected to the dominant orientation.
2.8. Connectivity and Graph Analysis
Imaginary part of coherence [20] was calculated as connectivity measure between all pairs of source space nodes. The resulting values were thresholded at the 95th percentile to construct a corresponding graph. The graph-theoretical node degree (ND) measure was then calculated for each source space node.
For comparison with iEEG, node degrees were parcellated based on the AAL atlas, which was also used for the description of ictal iEEG findings. For each parcel, i.e., AAL region, the maximal node degree value (mND) was determined as this had shown a consistent contrast to healthy controls in the previous study [15].
2.9. Statistical Evaluation
The aim of the statistical evaluation was to test how well node degree values can localize areas that show the seizure onset or early propagation in iEEG. This question was addressed on a lobar level (left/right frontal, temporal, parietal, occipital, and insula), as well as on a sublobar level in terms of AAL defined regions, but excluding subcortical structures and the cerebellum. In the previous study [15], all investigated frequency bands showed a contrast between patients and controls. Since quantitative differences were small, the current study did not have a specific hypothesis on which frequency band would yield the best localization results. Consequently, we investigated their value in an exploratory manner; however, we also corrected for multiple comparisons by false-discovery-rate (FDR) adjustment [21].
Comparisons were performed by comparing node degree maxima (mND) between lobar and sublobar SOZ (seizure onset) and non-SOZ regions using the paired Wilcoxon signed-rank test. Furthermore, area-under-the-curve (AUC) values of receiver-operator statistics (ROC) were calculated, taking node degree values as score and the list of areas showing epileptic activity in iEEG vs. those that do not as target (yes/no) labels. Statistical significance of AUC values was evaluated using a bootstrap procedure. To this end, node degree values were shuffled with respect to the iEEG activity labels before calculating AUC for this surrogate data. This procedure was then repeated 1000 times. Comparison of the actual AUC to the resulting distribution then yielded a p-value. The conventional value of 0.05 was applied as the threshold for statistical significance.
Further exploratory analyses were conducted, but these were limited to the sublobar level for brevity. Inside:outside SOZ ratios were correlated to the global node degree maximum to evaluate a potential marker for the quality of node degree analysis. To evaluate the relationship to IED detection in routine MEG analysis, AUC values between patients with and without such findings were compared with the Wilcoxon rank-sum test. AUC values were also compared between patients with an Engel 1 outcome vs. those with Engel 2 or 3 (Engel 4 did not occur) using the rank-sum test.
3. Results
3.1. Patients
A total of 68 consecutive patients were screened to select 50 patients according to the inclusion/exclusion criteria. Among the 50 patients, 27 were female (54%). Mean age was 31 years (±9.7, range 18–53 years). Table 1 provides an overview of patients’ characteristics.
Table 1.
Patient characteristics. FCD—Focal cortical dysplasia, HS—hippocampal sclerosis, PMG—polymicrogyria. Patients with no lesion on MRI are included in the “unclear” etiology category.
3.2. Presurgical Evaluation
MRI did not show a lesion in 14 patients (28%).
Invasive EEG showed the seizure onset within the left hemisphere in 25 (50%) patients and in 24 (48%) patients on the right, and separate left- and right-sided SOZ in one patient (2%). The SOZ was in the temporal lobe in 14 (28%), frontal lobe in 24 (48%), parietal lobe in 9 (18%), occipital lobe in 2 (4%) and insula in 3 (6%) patients.
Interictal epileptic discharges were not detected in the MEG data in 12 patients (24%). MEG findings were concordant with the iEEG SOZ on a lobar level in 25 (66% of 38 patients with IEDs in MEG), overlapping in 9 (24%) and not concordant in 4 (10%).
A total of 28 patients underwent epilepsy surgery; the outcome was Engel 1A in 17 (61% of 28 operated patients), 1B in 1 (4%), 2D in 1 (4%) and 3A in 9 (31%) after a median follow-up of 24 months (range 3–72 months, 21 patients with at least 12 months).
3.3. Node Degree
Figure 1 and Supplementary Figure S1 show an example of node degree distribution and relationship to the seizure onset in invasive EEG. Table 2, Table 3 and Table 4 as well as Figure 2 provide further details for the summary given here.
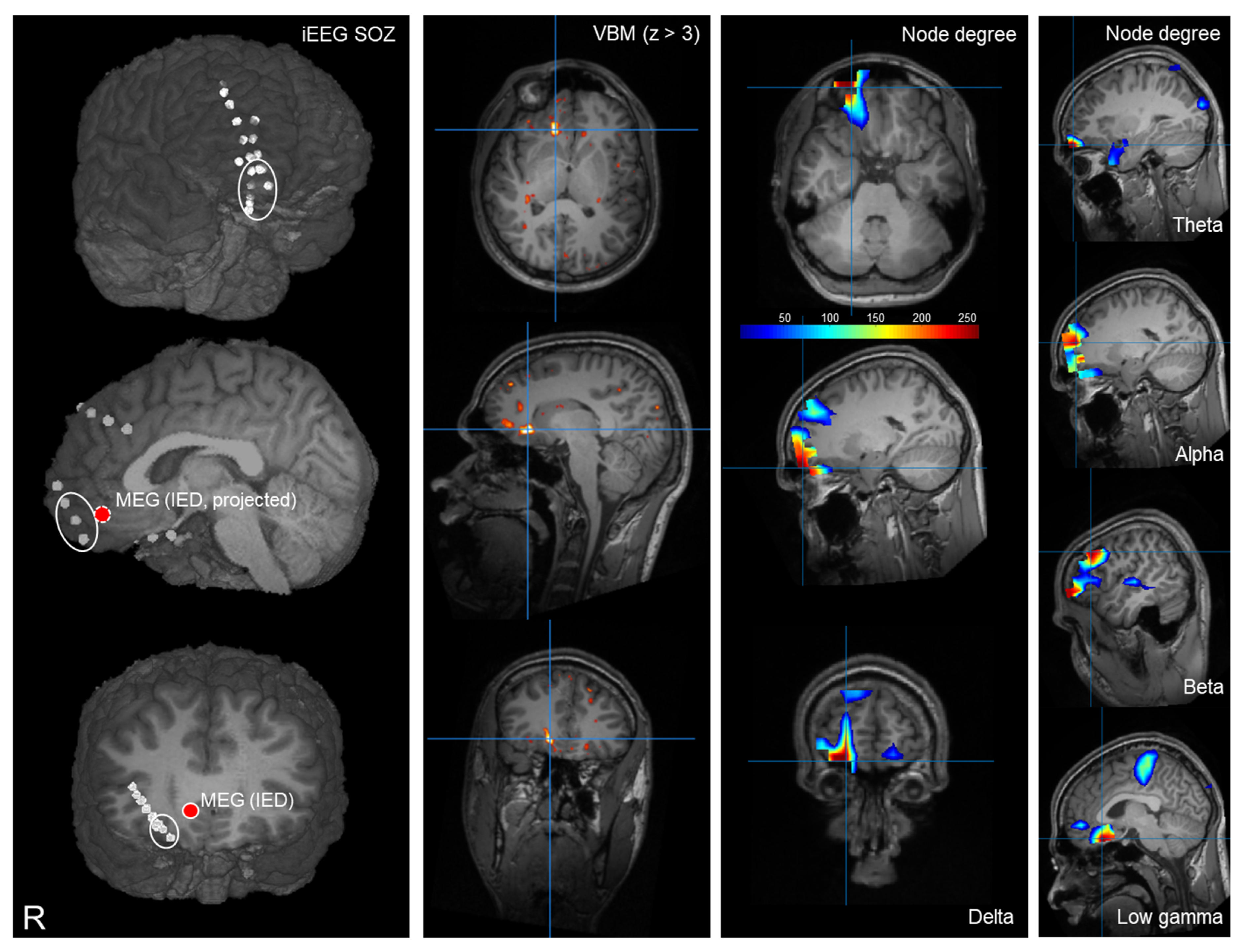
Figure 1.
Example case of a patient with right fronto-polar focal cortical dysplasia type IIb. The first column shows the iEEG findings; fronto-polar SOZ electrodes are circled. Lower inset shows depth electrodes inserted into the lesion. The circle marker shows the localization from routine MEG analysis based on IEDs. Second column shows MRI postprocessing (voxel-based morphometry, MAP19, combined z-score, thresholded at z > 3) superimposed on the patient’s T1. Third column shows delta band node degree (thresholded at 95th percentile to illustrate maximum, see Supplementary Figure S1 for full distributions). Right-most column shows sagittal slices of node degree in the other frequency bands (thresholded). The patient underwent epilepsy surgery and was seizure-free thereafter for several years; however, the patient then developed recurrent seizures with a reduced frequency.
Table 2.
Ratio of node degree values inside vs. outside the iEEG SOZ. Significance levels: * p < 0.05, ** p < 0.01, *** p < 0.001.
Table 3.
Localization performance of node degree values for invasive EEG seizure onset. Significance levels: * p < 0.05, *** p < 0.001.
Table 4.
Comparison of frequency band localization performance of node degree values for invasive EEG seizure onset. Significance levels: * p < 0.05, *** p < 0.001.
Figure 2.
Overview of localization performance of node degree in different frequency bands for the seizure onset in invasive EEG on a lobar and sublobar (AAL atlas region) level.
3.4. Lobar Level
On a lobar level, all frequency bands except alpha showed significantly higher mND values inside the SOZ compared to outside (Table 2).
Node degree showed median AUC values of 0.75 in the delta band, 0.78 in the theta, 0.44 in the alpha, 0.78 in the beta and 0.67 in the low gamma band (Figure 2). Except for alpha, localization performance in all frequency bands were statistically significant (Table 3). Differences between frequency bands were significant only for alpha with delta, theta and beta bands (Table 4). Comparison of alpha and low gamma yielded a p-value slightly above the chosen threshold for significance before FDR-adjustment (p = 0.051 unadjusted, p = 0.13 FDR-adjusted).
In a total of 7 patients, AUC values for all frequency bands exceeded the arbitrary threshold of 0.7. Excluding alpha and gamma due to lowest overall performances yields 12 patients with such high AUC values in all other bands.
3.5. Sublobar Level
On a sublobar level using AAL regions [16], ratios of inside:outside also indicated significantly higher mND inside the iEEG SOZ for all frequency bands except gamma (Table 2). This ratio was partially correlated to the global maximal node degree value: delta 0.29 (p = 0.054, FDR-adjusted), theta 0.27 (p = 0.058), alpha 0.43 (p = 0.003), beta 0.43 (p = 0.003) and gamma 0.62 (p < 0.001).
Node degree showed median AUC values of 0.78 in the delta band, 0.69 in the theta, alpha and beta band, and 0.58 in the low gamma band. All AUC values reached statistical significance (Table 3). Comparing AUC values between frequency bands on a sublobar level yielded statistically significant differences only for delta—low gamma and beta— low gamma and only before correcting for multiple comparisons (Table 4).
On the sublobar level, five patients had AUC values > 0.7 in all bands and nine when alpha and gamma are excluded. AUC values between patients with and without IEDs in routine MEG evaluation did not differ significantly (theta p = 0.09, p > 0.1 in the remainder, not FDR-adjusted). AUC did not show significant differences comparing patients with and without Engel 1 at least 12 months after surgery (13 vs. 8 patients).
4. Discussion
In the current study, we evaluated the localization performance of MEG node degree using the seizure onset in invasive EEG as the reference standard. The results show significant increases inside vs. outside the seizure onset zone in iEEG, as well as a good localization performance, especially in the delta, theta and beta band. In contrast, node degree in the low gamma and especially alpha band showed high variability and limited localization performance.
In our previous study [15], we demonstrated that node degree is consistently higher in patients with focal epilepsy compared to healthy controls in all frequency bands (delta, theta, alpha, beta and low gamma), largely independent of recording conditions. We had not, however, evaluated the spatial distribution of node degree or compared it with a reference standard. The current results now show that the increase is significantly related to the seizure onset zone as determined by iEEG, with higher node degree values inside the SOZ yielding good localization performance.
4.1. Connectivity Alterations in Epilepsy
Such increases in connectivity measures have been reported by other authors, as summarized in a recent review by Xu et al. [22]. The available evidence highlights group differences of connectivity in extended networks in patients with focal vs. generalized epilepsies [23,24] and compared with healthy controls [25,26].
Changes in the vicinity of the putative epileptogenic zone, and thus potentially useful for epileptic focus localization, are reported by fewer authors. Krishan et al. [27] were able to localize the epileptic focus in a small group of five patients based on resting state connectivity irrespective of the presence of IEDs in the data using generalized partial directed coherence. Aydin et al. [28] found more isolated resting state networks in patients who became seizure-free after epilepsy surgery compared with patients with persisting seizures using amplitude envelope correlation. Similarly, Ramaraju et al. [29] report a larger portion of network hubs (determined by amplitude correlation) contained in the resection in seizure-free patients after surgery. Although Englot et al. [30] report reduced overall connectivity in comparison with healthy controls—contrasting findings of most studies in the field [22]—they also found increases in the resection area of successfully operated patients using the imaginary part of coherence.
Further studies utilize connectivity measures to investigate IEDs [31], epileptic high frequency oscillations (HFO) [32] and ictal rhythms [33], largely with the goal to improve the accuracy of focus localization above and beyond more conventional methods.
In the context of our study, the recent publication by Fujiwara et al. on IED connectivity [31] seems especially relevant as they use a very similar approach, in contrast to the broad methodological spectrum of the previously mentioned studies. Fujiwara et al. [31] investigated 31 patients using MEG eigencentrality of weighted phase-lag-index connectivity, a graph-theoretical parameter that describes the importance of an individual node within a network, similar to the node degree used in our study. They showed that the localization of primary hubs was closer to the iEEG SOZ compared with conventional dipole localization. In addition, complete resection of either dipoles or primary nodes were related to better surgical outcomes. In contrast to our study, they investigated only short data epochs around IEDs, while our analysis evaluated continuous resting-state data irrespective of occurrence or positions of IEDs.
Despite the methodological heterogeneity, current evidence points to a functional role of network dynamics in epilepsy with promising potential for clinical application.
4.2. Differences between Frequency Bands
In our study, node degree in delta, theta and beta bands showed the highest association with the SOZ. In contrast, the performance of node degree in alpha and gamma bands was more limited. The ratio of alpha mND inside vs. outside the SOZ lobe did not significantly differ from an equal distribution and showed very high variability of AUC values on both lobar and sublobar levels. While gamma mND also showed low AUC and inside:outside ratio values, these limitations were much more consistent than in the alpha band. Consequently, we assume different reasons for the low performance.
A problem for the gamma node degree is certainly the low signal-to-noise ratio (SNR) of fast MEG/EEG activity [34]. In addition, generators of gamma activity are thought to be spatially constrained and limited to smaller areas. Furthermore, gamma oscillations often occur in short bursts and less as continuous oscillations over longer periods [35]. Consequently, gamma band connectivity may be restricted to shorter time segments with increased spatial variability and lower signal amplitude. In comparison with the lower frequency bands, detection of gamma activity as well as its connectivity structure may thus be technically more difficult, resulting in the lower performance.
However, the same reasoning does not seem to be suited for explaining the limited alpha band results. According to the 1/f power-law [34], alpha displays overall better SNR than beta. In addition, beta band activity is also thought to occur in bursts [36] rather than ongoing oscillations, as is the case for alpha. Despite these characteristics, beta performance was overall better than performance of the alpha band.
Instead, the putative functional role of alpha in physiologic networks may provide a tentative explanation. At least in the context of attentional processes, alpha is associated with inhibition of information that is irrelevant to a given task, which it achieves by masking out respective networks [37]. Details of how this masking function is coordinated remain largely unresolved. A putative direct low-level influence of task-relevant activity in addition to top-down modulation suggests a mechanism by which spontaneous epileptic activity may induce alpha oscillations. Reminiscent of lateral inhibition [38], task processes may inhibit connected networks involved with unrelated or concurrent parallel processing to improve performance. Epileptic activation could then take the role of such task-related activity, i.e., epileptic activity would be “mistaken” as physiological processing. The functional architecture would then induce alpha activity in connected networks as a response to such erroneous epileptic “task processing”. While alpha increases could then occur in the vicinity of the SOZ, pathways to distant regions could lead to more widespread activation. Due to the induction by the common driver of the epileptic focus, the resulting alpha oscillations could show synchronization and functional connectivity. Such widespread connectivity is reflected in our data by the lower localization performance at the lobar level. This contrasts with the equal or better performance of other frequency bands, which likely benefit from the coarser resolution of the lobar vs. sublobar level.
The good performance of node degree in delta, theta and beta bands corresponds well to evidence showing that the quantity of resting state oscillations in these frequency bands may be useful for epileptic focus localization [11,12,14,39,40]. Such local power increases could then reflect another perspective on activated networks. Imaginary part of coherence measures phase relations [20], and thus it seems conceivable that an activated network, if it is not constrained to few, focally concentrated nodes, shows both power-and connectivity-increases. Connectivity (and its description by graph-theory) may thus provide complementary information to power analysis, although we have not investigated this in the current study.
4.3. Clinical Aspects
Node degree analysis in epileptic focus localization has several interesting aspects for clinical application. Conventional MEG/EEG source imaging relies on subjective identification of IEDs [4,41], potentially supported by automated procedures [42]. Except for artifact rejection, our approach is completely automated and based on statistical properties of the data; it is thus reproducible and objective, albeit dependent on technical details, such as the chosen inverse solution and connectivity measure and their parameters. In terms of practical application, automation avoids the considerable time otherwise needed for visual IED detection and localization.
The unsupervised evaluation of resting state data, however, also results in a crucial downside. Any data, and specifically also physiologic data from healthy controls, yields node degree distributions with local maxima [15]. Correspondingly, the specificity of local node degree increases may be limited and, to some degree, unknown. In contrast, conventional or connectivity-based analysis of IEDs does not suffer from this issue due to the clear association to epilepsy, albeit by subjective interpretation. A potential solution, although only partial at this point, is to evaluate the levels of node degree values. Our previous study [15] showed that focal epilepsy leads to overall higher node degree levels compared with healthy participants. In concordance with this finding, the observed maximum per patient and frequency band correlated with the ratio of node degree inside to outside the SOZ in the present data. In practice, this means that overall low node degree values suggest unreliable localization results, although correlations were far from perfect. Ideally, values exceeding “normal” levels should be determined by regional comparison with healthy controls. Such an approach may also contribute to improved localization accuracy.
The observation of cases with low node degree values and incorrect localizations, i.e., “node degree negative” cases, is hardly surprising. In conventional MEG focus localization, a rate of ~20–30% of patients without IEDs is expected [4]. A main reason for this is the limited recording time of about one hour. In the present study, we even only analyzed 10 min due to computational constraints. Although this duration still exceeds recordings of other successful studies [28,29,30], it seems reasonable to assume that a portion of the recordings—not necessarily the same as the datasets without IEDs—contain little or no epilepsy-associated node degree increases. Correspondingly, analysis of longer data may offer further potential improvement.
Patients with an Engel 1 outcome after epilepsy surgery did not show significantly higher AUC values than those who did not. Other authors, however, have shown that resection of prominent network nodes is favorable with regard to postsurgical seizure control [29,30,31]. There are several potential reasons for this difference. First, AUC values referred to SOZ in iEEG. Investigation of the relationship to the resection volume in operated patients was not our primary goal, as we were interested in a comparison with the de-facto gold-standard of epileptic activity, independent of further influences such as viability of surgery, extent of resection, vicinity of essential functional cortex, postsurgical medication, and compliance, etc. Correspondingly, our selection criteria were not chosen to include a large and representative sample of surgical procedures, resulting in only 21 operated patients with a minimum follow-up of one year. Finally, the relation to outcome is likely also impacted by the “node degree negative” cases, in whom the connectivity likely depicts physiological structures unrelated to the focus and surgical outcome.
4.4. Limitations
A further limitation of our study is the fact that we did not exclude epochs with IEDs in MEG from the analysis. Strictly speaking, we therefore cannot tell whether the observed connectivity is mainly caused by such patterns or by subtle alterations of background activity. However, since we included considerably longer data than other studies [28,29,30], the overall contribution of IEDs to the recording duration is minute in basically all patients. Furthermore, the comparison of patients with and without IEDs in MEG did not reveal any statistically significant differences.
We also only made comparisons with the SOZ in iEEG and did not extend the analysis to the irritative zone. While such investigations in future studies could provide further insights into the underlying pathophysiology of epileptic networks, the clinically most relevant aspect is the localization of the SOZ as a surrogate marker of the epileptogenic zone [3]—our main interest in the current study.
Finally, the study design is a retrospective one, with the typical limitations regarding bias, representativeness of the sample, etc. However, by selecting a consecutive series of patients from clinical routine and by using automated procedures, we hope to have avoided most of the common pitfalls. Unavoidable, however, was the heterogeneity of anti-seizure and other medication. MEG recordings at our institution are usually conducted before or after video-EEG monitoring, i.e., ASM were not tapered and—again due to the retrospective nature—not limited to certain drugs.
5. Conclusions
Increases in MEG node degree from resting state data are significantly related to the seizure onset zone determined by invasive EEG at a lobar and sublobar level. This relationship is especially apparent for the delta, theta and beta bands. In contrast, alpha and gamma node degrees show overall limited association with the seizure onset zone. Additionally, alpha node degree shows a diffuse distribution and considerable variability. Node degree may provide new focus localization tools for presurgical evaluation of epilepsy surgery; however, this requires further optimization before implementation in clinical practice.
Supplementary Materials
The following supporting information can be downloaded at: https://www.mdpi.com/article/10.3390/biomedicines11020438/s1, Figure S1: Full node degree distribution of case shown in Figure 1.
Author Contributions
Conceptualization, S.R.; methodology, S.R. and N.M.-V.; software, S.R.; investigation, M.K.; resources, A.D., H.M.H. and M.B.; writing—original draft preparation, S.R.; writing—review and editing, N.M.-V., M.K., B.S.K. and S.B. All authors have read and agreed to the published version of the manuscript.
Funding
We acknowledge financial support by Deutsche Forschungsgemeinschaft and Friedrich-Alexander-Universität Erlangen-Nürnberg within the funding program “Open Access Publication Funding”.
Institutional Review Board Statement
The study was conducted in accordance with the Declaration of Helsinki, and approved by the Ethics Committee of the medical faculty, University Erlangen-Nuremberg, Germany (registration number 179_19 B, 13 June 2019).
Informed Consent Statement
Informed consent was obtained from all subjects involved in the study.
Data Availability Statement
Data is available from the authors upon reasonable request.
Conflicts of Interest
The authors state no conflict of interest relevant to the contents of this manuscript.
References
- Behr, C.; Goltzene, M.A.; Kosmalski, G.; Hirsch, E.; Ryvlin, P. Epidemiology of epilepsy. Rev. Neurol. 2016, 172, 27–36. [Google Scholar] [CrossRef] [PubMed]
- Blumcke, I.; Spreafico, R.; Haaker, G.; Coras, R.; Kobow, K.; Bien, C.G.; Pfafflin, M.; Elger, C.; Widman, G.; Schramm, J.; et al. Histopathological Findings in Brain Tissue Obtained during Epilepsy Surgery. N. Engl. J. Med. 2017, 377, 1648–1656. [Google Scholar] [CrossRef] [PubMed]
- Rosenow, F.; Luders, H. Presurgical evaluation of epilepsy. Brain 2001, 124, 1683–1700. [Google Scholar] [CrossRef]
- Rampp, S.; Stefan, H.; Wu, X.; Kaltenhauser, M.; Maess, B.; Schmitt, F.C.; Wolters, C.H.; Hamer, H.; Kasper, B.S.; Schwab, S.; et al. Magnetoencephalography for epileptic focus localization in a series of 1000 cases. Brain 2019, 142, 3059–3071. [Google Scholar] [CrossRef] [PubMed]
- van Mierlo, P.; Vorderwulbecke, B.J.; Staljanssens, W.; Seeck, M.; Vulliemoz, S. Ictal EEG source localization in focal epilepsy: Review and future perspectives. Clin. Neurophysiol. 2020, 131, 2600–2616. [Google Scholar] [CrossRef]
- Sharma, P.; Seeck, M.; Beniczky, S. Accuracy of Interictal and Ictal Electric and Magnetic Source Imaging: A Systematic Review and Meta-Analysis. Front. Neurol. 2019, 10, 1250. [Google Scholar] [CrossRef]
- Brodbeck, V.; Spinelli, L.; Lascano, A.M.; Wissmeier, M.; Vargas, M.I.; Vulliemoz, S.; Pollo, C.; Schaller, K.; Michel, C.M.; Seeck, M. Electroencephalographic source imaging: A prospective study of 152 operated epileptic patients. Brain 2011, 134, 2887–2897. [Google Scholar] [CrossRef]
- Mouthaan, B.E.; Rados, M.; Boon, P.; Carrette, E.; Diehl, B.; Jung, J.; Kimiskidis, V.; Kobulashvili, T.; Kuchukhidze, G.; Larsson, P.G.; et al. Diagnostic accuracy of interictal source imaging in presurgical epilepsy evaluation: A systematic review from the E-PILEPSY consortium. Clin. Neurophysiol. 2019, 130, 845–855. [Google Scholar] [CrossRef]
- Abdallah, C.; Maillard, L.G.; Rikir, E.; Jonas, J.; Thiriaux, A.; Gavaret, M.; Bartolomei, F.; Colnat-Coulbois, S.; Vignal, J.P.; Koessler, L. Localizing value of electrical source imaging: Frontal lobe, malformations of cortical development and negative MRI related epilepsies are the best candidates. Neuroimage Clin. 2017, 16, 319–329. [Google Scholar] [CrossRef]
- Schneider, F.; Irene Wang, Z.; Alexopoulos, A.V.; Almubarak, S.; Kakisaka, Y.; Jin, K.; Nair, D.; Mosher, J.C.; Najm, I.M.; Burgess, R.C. Magnetic source imaging and ictal SPECT in MRI-negative neocortical epilepsies: Additional value and comparison with intracranial EEG. Epilepsia 2013, 54, 359–369. [Google Scholar] [CrossRef]
- Rampp, S.; Rossler, K.; Hamer, H.; Illek, M.; Buchfelder, M.; Doerfler, A.; Pieper, T.; Hartlieb, T.; Kudernatsch, M.; Koelble, K.; et al. Dysmorphic neurons as cellular source for phase-amplitude coupling in Focal Cortical Dysplasia Type II. Clin. Neurophysiol. 2021, 132, 782–792. [Google Scholar] [CrossRef]
- Heers, M.; Hirschmann, J.; Jacobs, J.; Dumpelmann, M.; Butz, M.; von Lehe, M.; Elger, C.E.; Schnitzler, A.; Wellmer, J. Frequency domain beamforming of magnetoencephalographic beta band activity in epilepsy patients with focal cortical dysplasia. Epilepsy Res. 2014, 108, 1195–1203. [Google Scholar] [CrossRef]
- Frauscher, B.; Bartolomei, F.; Kobayashi, K.; Cimbalnik, J.; van’t Klooster, M.A.; Rampp, S.; Otsubo, H.; Holler, Y.; Wu, J.Y.; Asano, E.; et al. High-frequency oscillations: The state of clinical research. Epilepsia 2017, 58, 1316–1329. [Google Scholar] [CrossRef]
- Schonherr, M.; Stefan, H.; Hamer, H.M.; Rossler, K.; Buchfelder, M.; Rampp, S. The delta between postoperative seizure freedom and persistence: Automatically detected focal slow waves after epilepsy surgery. Neuroimage Clin. 2017, 13, 256–263. [Google Scholar] [CrossRef]
- Vogel, S.; Kaltenhauser, M.; Kim, C.; Muller-Voggel, N.; Rossler, K.; Dorfler, A.; Schwab, S.; Hamer, H.; Buchfelder, M.; Rampp, S. MEG Node Degree Differences in Patients with Focal Epilepsy vs. Controls-Influence of Experimental Conditions. Brain Sci. 2021, 11, 1590. [Google Scholar] [CrossRef]
- Tzourio-Mazoyer, N.; Landeau, B.; Papathanassiou, D.; Crivello, F.; Etard, O.; Delcroix, N.; Mazoyer, B.; Joliot, M. Automated anatomical labeling of activations in SPM using a macroscopic anatomical parcellation of the MNI MRI single-subject brain. Neuroimage 2002, 15, 273–289. [Google Scholar] [CrossRef]
- Oostenveld, R.; Fries, P.; Maris, E.; Schoffelen, J.M. FieldTrip: Open source software for advanced analysis of MEG, EEG, and invasive electrophysiological data. Comput. Intell. Neurosci. 2011, 2011, 156869. [Google Scholar] [CrossRef]
- Nolte, G. The magnetic lead field theorem in the quasi-static approximation and its use for magnetoencephalography forward calculation in realistic volume conductors. Phys. Med. Biol. 2003, 48, 3637–3652. [Google Scholar] [CrossRef]
- Jung, T.-P.; Makeig, S.; Bell, A.J.; Sejnowski, T.J. Independent Component Analysis of Electroencephalographic and Event-Related Potential Data. In Central Auditory Processing and Neural Modeling; Springer: Singapore, 1998; pp. 189–197. [Google Scholar]
- Nolte, G.; Bai, O.; Wheaton, L.; Mari, Z.; Vorbach, S.; Hallett, M. Identifying true brain interaction from EEG data using the imaginary part of coherency. Clin. Neurophysiol. 2004, 115, 2292–2307. [Google Scholar] [CrossRef]
- Yekutieli, D.; Benjamini, Y. Resampling-based false discovery rate controlling multiple test procedures for correlated test statistics. J. Stat. Plan. Inference 1999, 82, 171–196. [Google Scholar] [CrossRef]
- Xu, N.; Shan, W.; Qi, J.; Wu, J.; Wang, Q. Presurgical Evaluation of Epilepsy Using Resting-State MEG Functional Connectivity. Front. Hum. Neurosci. 2021, 15, 649074. [Google Scholar] [CrossRef] [PubMed]
- Li Hegner, Y.; Marquetand, J.; Elshahabi, A.; Klamer, S.; Lerche, H.; Braun, C.; Focke, N.K. Increased Functional MEG Connectivity as a Hallmark of MRI-Negative Focal and Generalized Epilepsy. Brain Topogr. 2018, 31, 863–874. [Google Scholar] [CrossRef] [PubMed]
- Niso, G.; Carrasco, S.; Gudin, M.; Maestu, F.; Del-Pozo, F.; Pereda, E. What graph theory actually tells us about resting state interictal MEG epileptic activity. Neuroimage Clin. 2015, 8, 503–515. [Google Scholar] [CrossRef] [PubMed]
- Pourmotabbed, H.; Wheless, J.W.; Babajani-Feremi, A. Lateralization of epilepsy using intra-hemispheric brain networks based on resting-state MEG data. Hum. Brain Mapp. 2020, 41, 2964–2979. [Google Scholar] [CrossRef]
- Routley, B.; Shaw, A.; Muthukumaraswamy, S.D.; Singh, K.D.; Hamandi, K. Juvenile myoclonic epilepsy shows increased posterior theta, and reduced sensorimotor beta resting connectivity. Epilepsy Res. 2020, 163, 106324. [Google Scholar] [CrossRef]
- Krishnan, B.; Vlachos, I.; Wang, Z.I.; Mosher, J.; Najm, I.; Burgess, R.; Iasemidis, L.; Alexopoulos, A.V. Epileptic focus localization based on resting state interictal MEG recordings is feasible irrespective of the presence or absence of spikes. Clin. Neurophysiol. 2015, 126, 667–674. [Google Scholar] [CrossRef]
- Aydin, Ü.; Pellegrino, G.; Ali, O.B.K.B.; Abdallah, C.; Dubeau, F.; Lina, J.-M.; Kobayashi, E.; Grova, C. Magnetoencephalography resting state connectivity patterns as indicatives of surgical outcome in epilepsy patients. J. Neural Eng. 2020, 17, 035007. [Google Scholar] [CrossRef]
- Ramaraju, S.; Wang, Y.; Sinha, N.; McEvoy, A.W.; Miserocchi, A.; de Tisi, J.; Duncan, J.S.; Rugg-Gunn, F.; Taylor, P.N. Removal of Interictal MEG-Derived Network Hubs Is Associated With Postoperative Seizure Freedom. Front. Neurol. 2020, 11, 563847. [Google Scholar] [CrossRef]
- Englot, D.J.; Hinkley, L.B.; Kort, N.S.; Imber, B.S.; Mizuiri, D.; Honma, S.M.; Findlay, A.M.; Garrett, C.; Cheung, P.L.; Mantle, M.; et al. Global and regional functional connectivity maps of neural oscillations in focal epilepsy. Brain 2015, 138, 2249–2262. [Google Scholar] [CrossRef]
- Fujiwara, H.; Kadis, D.S.; Greiner, H.M.; Holland, K.D.; Arya, R.; Aungaroon, G.; Fong, S.L.; Arthur, T.M.; Kremer, K.M.; Lin, N.; et al. Clinical validation of magnetoencephalography network analysis for presurgical epilepsy evaluation. Clin. Neurophysiol. 2022, 142, 199–208. [Google Scholar] [CrossRef]
- Nissen, I.A.; van Klink, N.E.; Zijlmans, M.; Stam, C.J.; Hillebrand, A. Brain areas with epileptic high frequency oscillations are functionally isolated in MEG virtual electrode networks. Clin. Neurophysiol. 2016, 127, 2581–2591. [Google Scholar] [CrossRef]
- Vespa, S.; Baroumand, A.G.; Ferrao Santos, S.; Vrielynck, P.; De Tourtchaninoff, M.; Feys, O.; Strobbe, G.; Raftopoulos, C.; Van Mierlo, P.; El Tahry, R. Ictal EEG source imaging and connectivity to localize the seizure onset zone in extratemporal lobe epilepsy. Seizure 2020, 78, 18–30. [Google Scholar] [CrossRef] [PubMed]
- He, B.J. Scale-free brain activity: Past, present, and future. Trends Cogn. Sci. 2014, 18, 480–487. [Google Scholar] [CrossRef] [PubMed]
- Buzsáki, G.; Wang, X.-J. Mechanisms of Gamma Oscillations. Annu. Rev. Neurosci. 2012, 35, 203–225. [Google Scholar] [CrossRef] [PubMed]
- Sherman, M.A.; Lee, S.; Law, R.; Haegens, S.; Thorn, C.A.; Hämäläinen, M.S.; Moore, C.I.; Jones, S.R. Neural mechanisms of transient neocortical beta rhythms: Converging evidence from humans, computational modeling, monkeys, and mice. Proc. Natl. Acad. Sci. USA 2016, 113, E4885–E4894. [Google Scholar] [CrossRef]
- Van Diepen, R.M.; Foxe, J.J.; Mazaheri, A. The functional role of alpha-band activity in attentional processing: The current zeitgeist and future outlook. Curr. Opin. Psychol. 2019, 29, 229–238. [Google Scholar] [CrossRef]
- Isaacson, J.S.; Scanziani, M. How inhibition shapes cortical activity. Neuron 2011, 72, 231–243. [Google Scholar] [CrossRef]
- Kaltenhauser, M.; Scheler, G.; Rampp, S.; Paulini, A.; Stefan, H. Spatial intralobar correlation of spike and slow wave activity localisations in focal epilepsies: A MEG analysis. Neuroimage 2007, 34, 1466–1472. [Google Scholar] [CrossRef]
- De Stefano, P.; Carboni, M.; Marquis, R.; Spinelli, L.; Seeck, M.; Vulliemoz, S. Increased delta power as a scalp marker of epileptic activity: A simultaneous scalp and intracranial electroencephalography study. Eur. J. Neurol. 2022, 29, 26–35. [Google Scholar] [CrossRef]
- Duez, L.; Tankisi, H.; Hansen, P.O.; Sidenius, P.; Sabers, A.; Pinborg, L.H.; Fabricius, M.; Rasonyi, G.; Rubboli, G.; Pedersen, B.; et al. Electromagnetic source imaging in presurgical workup of patients with epilepsy: A prospective study. Neurology 2019, 92, e576–e586. [Google Scholar] [CrossRef]
- Baroumand, A.G.; van Mierlo, P.; Strobbe, G.; Pinborg, L.H.; Fabricius, M.; Rubboli, G.; Leffers, A.M.; Uldall, P.; Jespersen, B.; Brennum, J.; et al. Automated EEG source imaging: A retrospective, blinded clinical validation study. Clin. Neurophysiol. 2018, 129, 2403–2410. [Google Scholar] [CrossRef]
Disclaimer/Publisher’s Note: The statements, opinions and data contained in all publications are solely those of the individual author(s) and contributor(s) and not of MDPI and/or the editor(s). MDPI and/or the editor(s) disclaim responsibility for any injury to people or property resulting from any ideas, methods, instructions or products referred to in the content. |
© 2023 by the authors. Licensee MDPI, Basel, Switzerland. This article is an open access article distributed under the terms and conditions of the Creative Commons Attribution (CC BY) license (https://creativecommons.org/licenses/by/4.0/).

