Relationship between Novel Elastography Techniques and Renal Fibrosis—Preliminary Experience in Patients with Chronic Glomerulonephritis
Abstract
1. Introduction
2. Materials and Methods
2.1. Patient Selection
2.2. Elastography
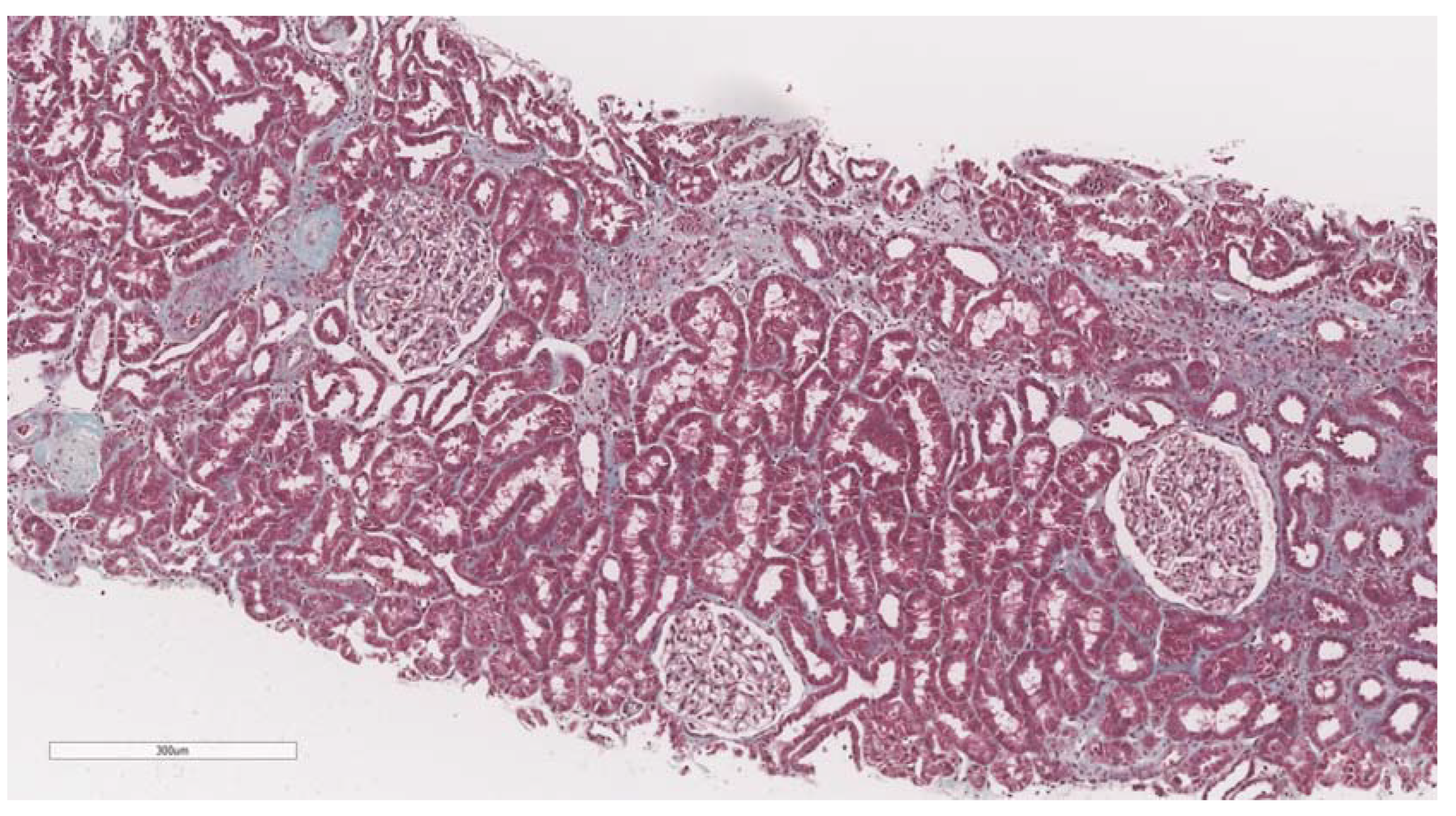
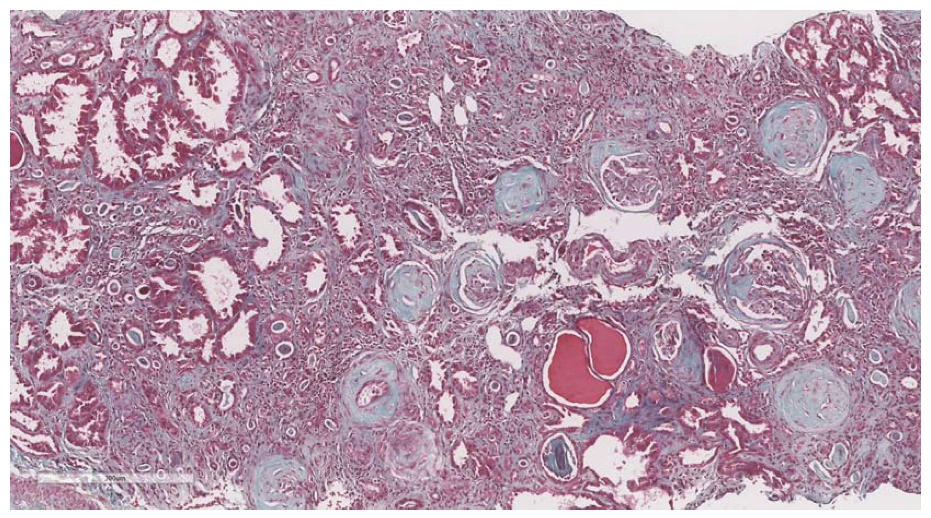
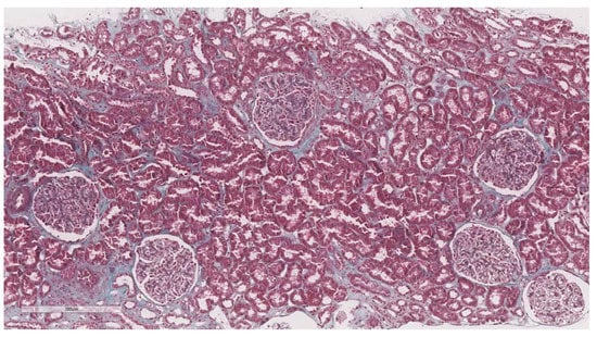
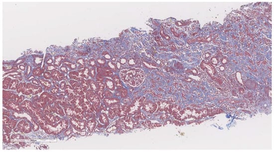
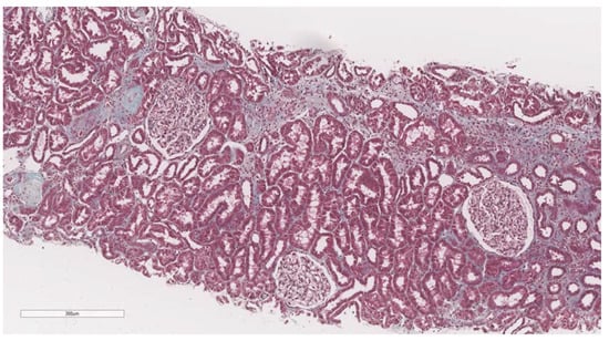
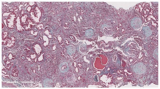
2.3. Renal Biopsy and Histopathology
2.4. Statistical Analysis
3. Results
4. Discussion
5. Conclusions
Author Contributions
Funding
Institutional Review Board Statement
Informed Consent Statement
Data Availability Statement
Conflicts of Interest
References
- Brkovic, V.; Milinkovic, M.; Kravljaca, M.; Lausevic, M.; Basta-Jovanovic, G.; Marković-Lipkovski, J.; Naumovic, R. Does the pathohistological pattern of renal biopsy change during time? Pathol. Res. Pr. 2018, 214, 1632–1637. [Google Scholar] [CrossRef]
- Xu, X.; Ning, Y.; Shang, W.; Li, M.; Ku, M.; Li, Q.; Li, Y.; Dai, W.; Shao, J.; Zeng, R.; et al. Analysis of 4931 renal biopsy data in central China from 1994 to 2014. Ren. Fail. 2016, 38, 1021–1030. [Google Scholar] [CrossRef]
- Jegatheesan, D.; Nath, K.; Reyaldeen, R.; Sivasuthan, G.; John, G.T.; Francis, L.; Rajmokan, M.; Ranganathan, D. Epidemiology of biopsy-proven glomerulonephritis in Queensland adults. Nephrology 2016, 21, 28–34. [Google Scholar] [CrossRef] [PubMed]
- Hou, J.-H.; Zhu, H.-X.; Zhou, M.-L.; Le, W.-B.; Zeng, C.-H.; Liang, S.-S.; Xu, F.; Liang, D.-D.; Shao, S.-J.; Liu, Y.; et al. Changes in the Spectrum of Kidney Diseases: An Analysis of 40,759 Biopsy-Proven Cases from 2003 to 2014 in China. Kidney Dis. 2018, 4, 10–19. [Google Scholar] [CrossRef]
- Czaja, A.J. Hepatic inflammation and progressive liver fibrosis in chronic liver disease. World J. Gastroenterol. 2014, 20, 2515–2532. [Google Scholar] [CrossRef]
- Cunningham, A.; Benediktsson, H.; Muruve, D.A.; Hildebrand, A.M.; Ravani, P. Trends in Biopsy-Based Diagnosis of Kidney Disease: A Population Study. Can. J. Kidney Health Dis. 2018, 5, 2054358118799690. [Google Scholar] [CrossRef] [PubMed]
- Chiu, H.F.; Chen, H.C.; Lu, K.C.; Shu, K.H. Distribution of glomerular diseases in Taiwan: Preliminary report of National Renal Biopsy Registry-publication on behalf of Taiwan Society of Nephrology. BMC Nephrol. 2018, 19, 90. [Google Scholar] [CrossRef] [PubMed]
- Poggio, E.D.; McClelland, R.L.; Blank, K.N.; Hansen, S.; Bansal, S.; Bomback, A.S.; Canetta, P.A.; Khairallah, P.; Kiryluk, K.; Lecker, S.H.; et al. Systematic review and meta-analysis of native kidney biopsy complications. Clin. J. Am. Soc. Nephrol. 2020, 15, 1595–1602. [Google Scholar] [CrossRef]
- Stoian, D.; Borcan, F.; Petre, I.; Mozos, I.; Varcus, F.; Ivan, V.; Cioca, A.; Apostol, A.; Dehelean, C.A. Strain elastography as a valuable diagnosis tool in intermediate cytology (Bethesda III) thyroid nodules. Diagnostics 2019, 9, 119. [Google Scholar] [CrossRef]
- Sporea, I.; Gilja, O.H.; Bota, S.; Sirli, R.; Popescu, A. Liver elastography—An update. Med. Ultrason. 2013, 15, 304–314. [Google Scholar] [CrossRef]
- Maralescu, F.-M.; Bende, F.; Sporea, I.; Popescu, A.; Șirli, R.; Schiller, A.; Petrica, L.; Moga, T.V.; Mare, R.; Grosu, I.; et al. Assessment of Renal Allograft Stiffness and Viscosity Using 2D SWE PLUS and Vi PLUS Measures—A Pilot Study. J. Clin. Med. 2022, 11, 4370. [Google Scholar] [CrossRef] [PubMed]
- Maralescu, F.-M.; Chiodan, M.; Sircuta, A.; Schiller, A.; Petrica, L.; Bob, F. Are the Currently Available Elastography Methods Useful in the Assessment of Chronic Kidney Disease? A Systematic Review and a Meta-Analysis. Appl. Sci. 2022, 12, 2359. [Google Scholar] [CrossRef]
- Leong, S.S.; Wong, J.H.D.; Md Shah, M.N.; Vijayananthan, A.; Jalalonmuhali, M.; Chow, T.K.; Sharif, N.H.M.; Ng, K.H. Shear wave elastography accurately detects chronic changes in renal histopathology. Nephrology 2021, 26, 38–45. [Google Scholar] [CrossRef] [PubMed]
- Sommerer, C.; Scharf, M.; Seitz, C.; Millonig, G.; Seitz, H.K.; Zeier, M.; Mueller, S. Assessment of renal allograft fibrosis by transient elastography. Transpl. Int. 2013, 26, 545–551. [Google Scholar] [CrossRef]
- Park, W.D.; Griffin, M.D.; Cornell, L.D.; Cosio, F.G.; Stegall, M.D. Fibrosis with inflammation at one year predicts transplant functional decline. J. Am. Soc. Nephrol. 2010, 21, 1987–1997. [Google Scholar] [CrossRef]
- Nakao, T.; Ushigome, H.; Nakamura, T.; Harada, S.; Koshino, K.; Suzuki, T.; Ito, T.; Nobori, S.; Yoshimura, N. Evaluation of renal allograft fibrosis by transient elastography (fibro scan). In Transplantation Proceedings; Elsevier Inc.: Amsterdam, The Netherlands, 2015; Volume 47, pp. 640–643. [Google Scholar] [CrossRef]
- Dai, X.; Liu, M.; Guo, Y.; Zhao, B.; Tan, Y.; Xiang, F. Noninvasive evaluation of renal allograft fibrosis by virtual touch tissue quantification. J. Cent. South Univ. (Med. Sci.) 2014, 39, 173–177. [Google Scholar] [CrossRef]
- Arndt, R.; Schmidt, S.; Loddenkemper, C.; Grünbaum, M.; Zidek, W.; van der Giet, M.; Westhoff, T.H. Noninvasive evaluation of renal allograft fibrosis by transient elastography—A pilot study. Transpl. Int. 2010, 23, 871–877. [Google Scholar] [CrossRef]
- Barr, R.G. Can Accurate Shear Wave Velocities Be Obtained in Kidneys? J. Ultrasound Med. 2020, 39, 1097–1105. [Google Scholar] [CrossRef]
- Bercoff, J.; Tanter, M.; Fink, M. Supersonic Shear Imaging: A New Technique for Soft Tissue Elasticity Mapping. IEEE Trans. Ultrason. Ferroelectr. Freq. Control 2004, 51, 396–409. [Google Scholar] [CrossRef]
- Sugimoto, K.; Moriyasu, F.; Oshiro, H.; Takeuchi, H.; Yoshimasu, Y.; Kasai, Y.; Furuichi, Y.; Itoi, T. Viscoelasticity Measurement in Rat Livers Using Shear-Wave US Elastography. Ultrasound Med. Biol. 2018, 44, 2018–2024. [Google Scholar] [CrossRef]
- Haas, M.; Seshan, S.V.; Barisoni, L.; Amann, K.; Bajema, I.M.; Becker, J.U.; Joh, K.; Ljubanovic, D.; Roberts, I.S.; Roelofs, J.J.; et al. Consensus definitions for glomerular lesions by light and electron microscopy: Recommendations from a working group of the Renal Pathology Society. Kidney Int. 2020, 98, 1120–1134. [Google Scholar] [CrossRef]
- Krassanairawiwong, K.; Charoenpitakchai, M.; Supasyndh, O.; Satirapoj, B. Revised ISN/RPS 2018 classification of lupus renal pathology predict clinical remission. Int. Urol. Nephrol. 2021, 53, 1391–1398. [Google Scholar] [CrossRef]
- Lukenda, V.; Mikolasevic, I.; Racki, S.; Jelic, I.; Stimac, D.; Orlic, L. Transient elastography: A new noninvasive diagnostic tool for assessment of chronic allograft nephropathy. Int. Urol. Nephrol. 2014, 46, 1435–1440. [Google Scholar] [CrossRef]
- Maralescu, F.-M.; Bende, F.; Sporea, I.; Popescu, A.; Sirli, R.; Schiller, A.; Petrica, L.; Miutescu, B.; Borlea, A.; Popa, A.; et al. Non-Invasive Evaluation of Kidney Elasticity and Viscosity in a Healthy Cohort. Biomedicines 2022, 10, 2859. [Google Scholar] [CrossRef]
- Bob, F.; Grosu, I.; Sporea, I.; Timar, R.; Lighezan, D.; Popescu, A.; Sirli, R.; Buzas, R.; Petrica, L.; Munteanu, M.; et al. Is Kidney Stiffness Measured Using Elastography Influenced Mainly by Vascular Factors in Patients with Diabetic Kidney Disease? Ultrason. Imaging 2018, 40, 300–309. [Google Scholar] [CrossRef] [PubMed]
- Stock, K.F.; Klein, B.S.; Cong, M.T.V.; Regenbogen, C.; Kemmner, S.; Büttner, M.; Wagenpfeil, S.; Matevossian, E.; Renders, L.; Heemann, U.; et al. ARFI-based tissue elasticity quantification and kidney graft dysfunction: First clinical experiences. Clin. Hemorheol. Microcirc. 2011, 49, 527–535. [Google Scholar] [CrossRef]
- Syversveen, T.; Brabrand, K.; Midtvedt, K.; Strøm, E.H.; Hartmann, A.; Jakobsen, J.A.; Berstad, A.E. Assessment of renal allograft fibrosis by acoustic radiation force impulse quantification–A pilot study. Transpl. Int. 2011, 24, 100–105. [Google Scholar] [CrossRef] [PubMed]
- Lee, J.; Taik Oh, Y.; Joo, D.J.; Ma, B.G.; Lee, A.L.; Lee, J.G.; Song, S.H.; Kim, S.U.; Jung, D.C.; Chung, Y.E. Acoustic radiation force impulse measurement in renal transplantation: A prospective, longitudinal study with protocol biopsies. Medicine 2015, 94, e1590. [Google Scholar] [CrossRef]
- Grenier, N.; Poulain, S.; Lepreux, S.; Gennisson, J.L.; Dallaudière, B.; Lebras, Y.; Bavu, E.; Servais, A.; Meas-Yedid, V.; Piccoli, M.; et al. Quantitative elastography of renal transplants using supersonic shear imaging: A pilot study. Eur. Radiol. 2012, 22, 2138–2146. [Google Scholar] [CrossRef] [PubMed]
- Dillman, J.R.; Smith, E.A.; Davenport, M.S.; DiPietro, M.A.; Sanchez, R.; Kraft, K.H.; Brown, R.K.J.; Rubin, J.M. Can shear-wave elastography be used to discriminate obstructive hydronephrosis from nonobstructive hydronephrosis in children?1. Radiology 2015, 277, 259–267. [Google Scholar] [CrossRef]
- Yang, X.; Yu, N.; Yu, J.; Wang, H.; Li, X. Virtual Touch Tissue Quantification for Assessing Renal Pathology in Idiopathic Nephrotic Syndrome. Ultrasound Med. Biol. 2018, 44, 1318–1326. [Google Scholar] [CrossRef]
- Wang, L. New insights on the role of anisotropy in renal ultrasonic elastography: From trash to treasure. Med. Hypotheses 2020, 143, 110146. [Google Scholar] [CrossRef]
- Bota, S.; Bob, F.; Sporea, I.; Şirli, R.; Popescu, A. Factors that Influence Kidney Shear Wave Speed Assessed by Acoustic Radiation Force Impulse Elastography in Patients without Kidney Pathology. Ultrasound Med. Biol. 2015, 41, 1–6. [Google Scholar] [CrossRef] [PubMed]
- Hu, Q.; Zhang, W.J.; Lin, Z.Q.; Wang, X.Y.; Zheng, H.Y.; Wei, H.M.; He, H.-G. Combined Acoustic Radiation Force Impulse and Conventional Ultrasound in the Quantitative Assessment of Immunoglobulin a Nephropathy. Ultrasound Med. Biol. 2019, 45, 2309–2316. [Google Scholar] [CrossRef] [PubMed]
- Bob, F.; Grosu, I.; Sporea, I.; Bota, S.; Popescu, A.; Şirli, R.; Petrica, L.; Schiller, A. Is there a correlation between kidney shear wave velocity measured with VTQ and histological parameters in patients with chronic glomerulonephritis? A pilot study. Med. Ultrason. 2018, 20, 27–31. [Google Scholar] [CrossRef]
- Alan, B.; Göya, C.; Aktan, A.; Alan, S. Renal acoustic radiation force impulse elastography in the evaluation of coronary artery disease. Acta Radiol. 2017, 58, 156–163. [Google Scholar] [CrossRef]
- Guo, L.H.; Xu, H.X.; Fu, H.J.; Peng, A.; Zhang, Y.F.; Liu, L.N. Acoustic Radiation Force Impulse Imaging for Noninvasive Evaluation of Renal Parenchyma Elasticity: Preliminary Findings. PLoS ONE 2013, 8, e68925. [Google Scholar] [CrossRef] [PubMed]
- Popa, A.; Bende, F.; Șirli, R.; Popescu, A.; Bâldea, V.; Lupușoru, R.; Cotrău, R.; Fofiu, R.; Foncea, C.; Sporea, I. Quantification of liver fibrosis, steatosis, and viscosity using multiparametric ultrasound in patients with non-alcoholic liver disease: A “real-life” cohort study. Diagnostics 2021, 11, 783. [Google Scholar] [CrossRef]













| N = 40 | Mean Values + SD | Correlation with Kidney Stiffness | Correlation with Kidney Viscosity |
|---|---|---|---|
| Hemoglobin g/dL | 12.13 ± 2.7 | r = 0.5821, p = 0.001 | r = 0.1877, p = 0.2462 |
| Hematocrit % | 36.03 ± 7.8 | r = 0.5428, p = 0.0003 | r = 0.1889, p = 0.2429 |
| Serum creatinine mg/dL | 2.34 ± 2 | r = −0.6569, p < 0.0001 | r = −0.5282, p = 0.0005 |
| Urea mg/dL | 76.93 ± 45.94 | r = −0.6203, p < 0.0001 | r = −0.3350, p = 0.0346 |
| Proteinuria g/24 h | 6.39 ± 7.42 | r = −0.1212, p = 0.4562 | r = −0.2652, p = 0.0981 |
| Uric acid mg/dL | 6.28 ± 1.38 | r = −0.2482, p = 0.1225 | r = −0.2413, p = 0.1336 |
| Total cholesterol mg/dL | 189.15 ± 65.66 | r = 0.4106, p = 0.0085 | r = 0.4750, p = 0.0020 |
| Triglycerides mg/dL | 189.72 ± 107.23 | r = 0.3023, p = 0.0579 | r = 0.4750, p = 0.0020 |
| ALAT U/L | 24.37 ± 8.03 | r = 0.3386, p = 0.0326 | r = 0.1159, p = 0.4762 |
| ASAT U/L | 22.92 ± 7.03 | r = 0.2015, p = 0.2126 | r = −0.0896, p = 0.5824 |
| Total bilirubin mg/dL | 0.53 ± 0.28 | r = −0.0390, p = 0.8111 | r = −0.2535, p = 0.1145 |
| Sodium mmol/L | 135 ± 21.81 | r = 0.09844, p = 0.5456 | r = 0.2600, p = 0.1052 |
| Potassium mmol/L | 4.49 ± 0.68 | r = −0.04570, p = 0.7795 | r = 0.04954, p = 0.7615 |
| ESR | 19.66 ± 19.42 | r = −0.04704, p = 0.7761 | r = −0.07137, p = 0.6659 |
| CRP | 11.21 ± 31.5 | r = −0.2431, p = 0.1306 | r = −0.3695, p = 0.0189 |
Disclaimer/Publisher’s Note: The statements, opinions and data contained in all publications are solely those of the individual author(s) and contributor(s) and not of MDPI and/or the editor(s). MDPI and/or the editor(s) disclaim responsibility for any injury to people or property resulting from any ideas, methods, instructions or products referred to in the content. |
© 2023 by the authors. Licensee MDPI, Basel, Switzerland. This article is an open access article distributed under the terms and conditions of the Creative Commons Attribution (CC BY) license (https://creativecommons.org/licenses/by/4.0/).
Share and Cite
Maralescu, F.-M.; Vaduva, A.; Schiller, A.; Petrica, L.; Sporea, I.; Popescu, A.; Sirli, R.; Dema, A.; Bodea, M.; Grosu, I.; et al. Relationship between Novel Elastography Techniques and Renal Fibrosis—Preliminary Experience in Patients with Chronic Glomerulonephritis. Biomedicines 2023, 11, 365. https://doi.org/10.3390/biomedicines11020365
Maralescu F-M, Vaduva A, Schiller A, Petrica L, Sporea I, Popescu A, Sirli R, Dema A, Bodea M, Grosu I, et al. Relationship between Novel Elastography Techniques and Renal Fibrosis—Preliminary Experience in Patients with Chronic Glomerulonephritis. Biomedicines. 2023; 11(2):365. https://doi.org/10.3390/biomedicines11020365
Chicago/Turabian StyleMaralescu, Felix-Mihai, Adrian Vaduva, Adalbert Schiller, Ligia Petrica, Ioan Sporea, Alina Popescu, Roxana Sirli, Alis Dema, Madalina Bodea, Iulia Grosu, and et al. 2023. "Relationship between Novel Elastography Techniques and Renal Fibrosis—Preliminary Experience in Patients with Chronic Glomerulonephritis" Biomedicines 11, no. 2: 365. https://doi.org/10.3390/biomedicines11020365
APA StyleMaralescu, F.-M., Vaduva, A., Schiller, A., Petrica, L., Sporea, I., Popescu, A., Sirli, R., Dema, A., Bodea, M., Grosu, I., & Bob, F. (2023). Relationship between Novel Elastography Techniques and Renal Fibrosis—Preliminary Experience in Patients with Chronic Glomerulonephritis. Biomedicines, 11(2), 365. https://doi.org/10.3390/biomedicines11020365

