A Retrospective Histological Study on Palatal and Gingival Mucosa Changes during a Rapid Palatal Expansion Procedure
Abstract
1. Introduction
2. Materials and Methods
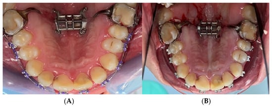
2.1. Specimens and Sampling Technique
- -
- Gingival and palatal mucosa enlargement associated/consecutive with the rapid palatal expansion procedure.
- -
- No medication for associated systemic conditions.
- -
- The exclusion criteria for the study group were:
- -
- Smokers.
- -
- Patients with cardiovascular disease, diabetes, or epilepsy.
- -
- Associated systemic medication, which could induce soft tissue modifications.
2.2. Palatal Expander Placement
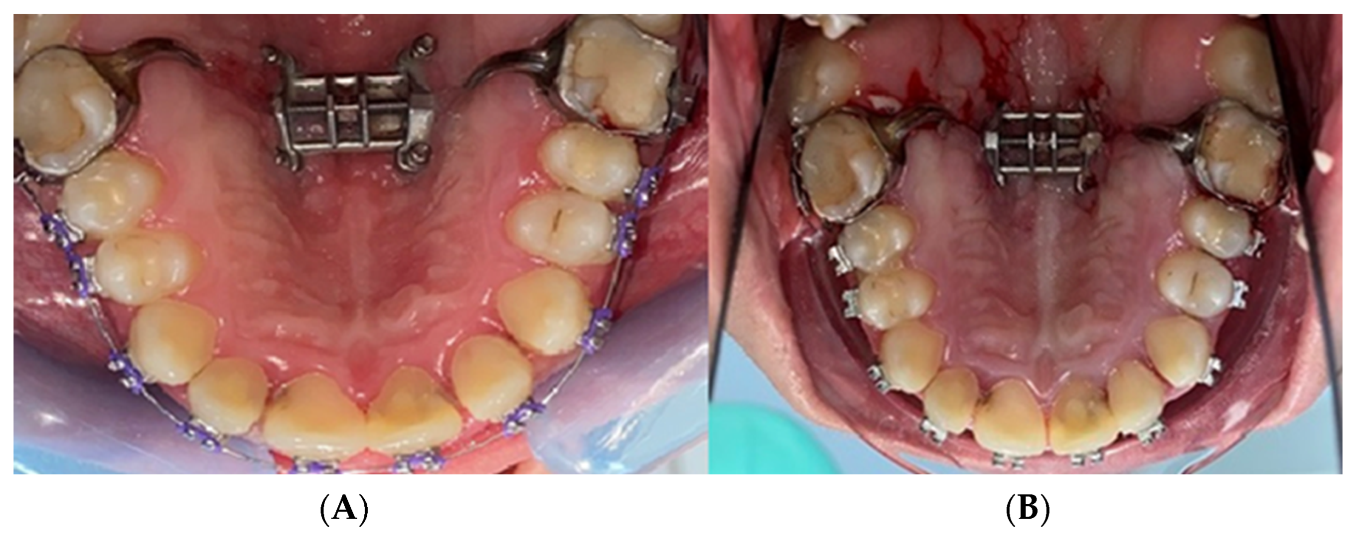
2.3. Assessment of the Study Group
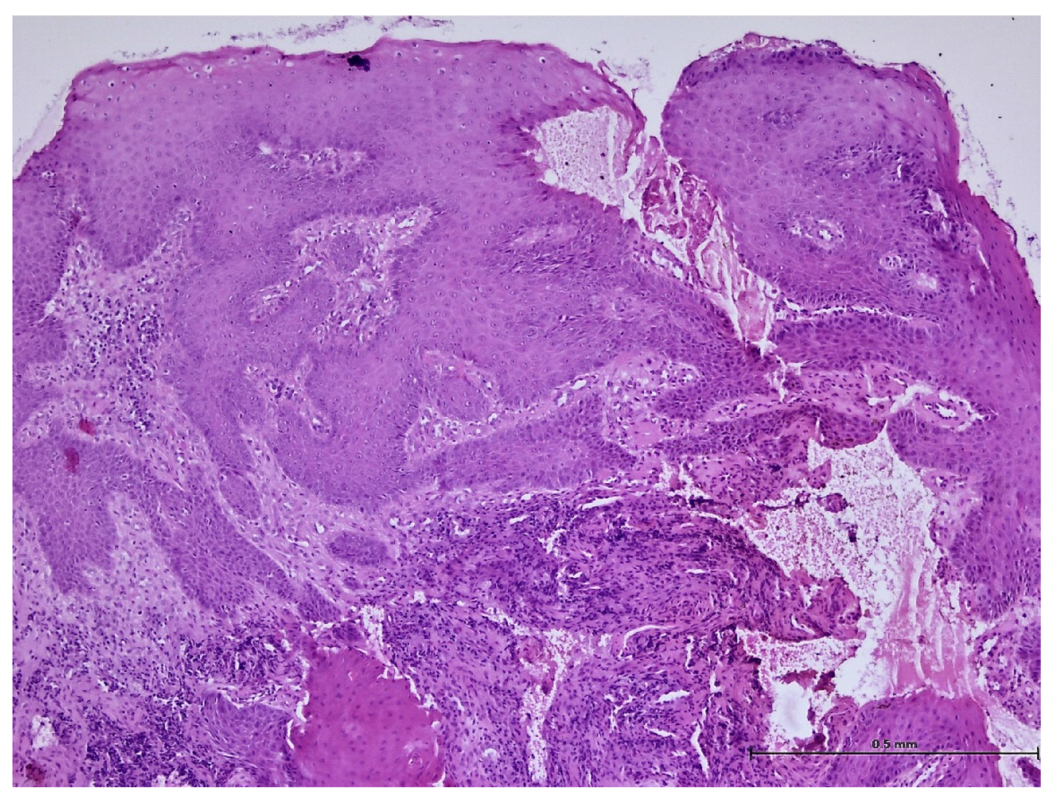
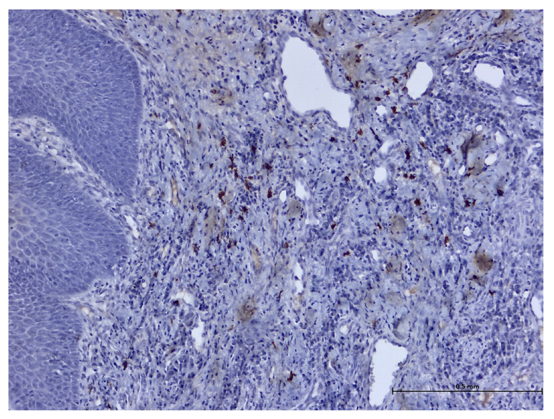
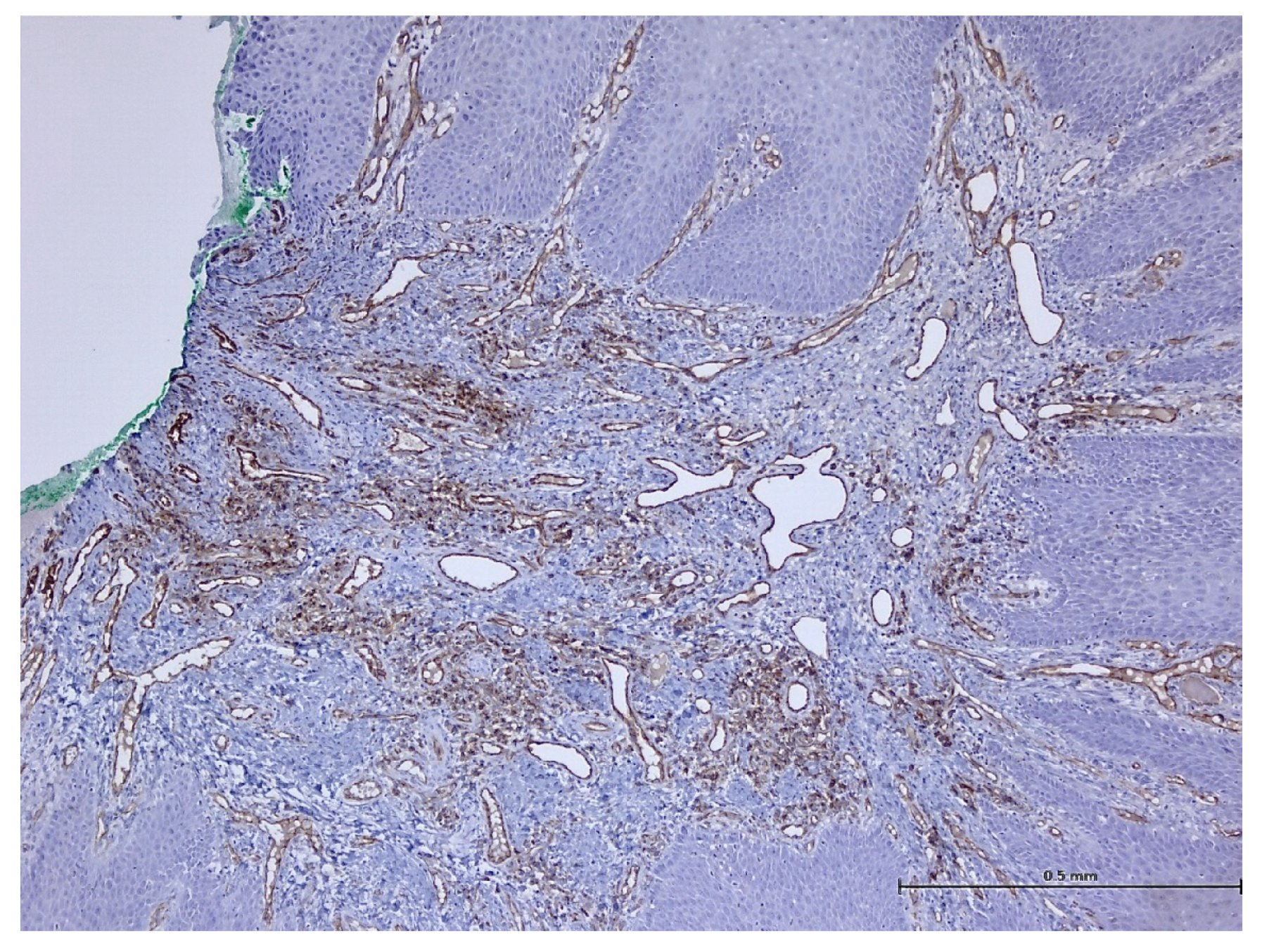
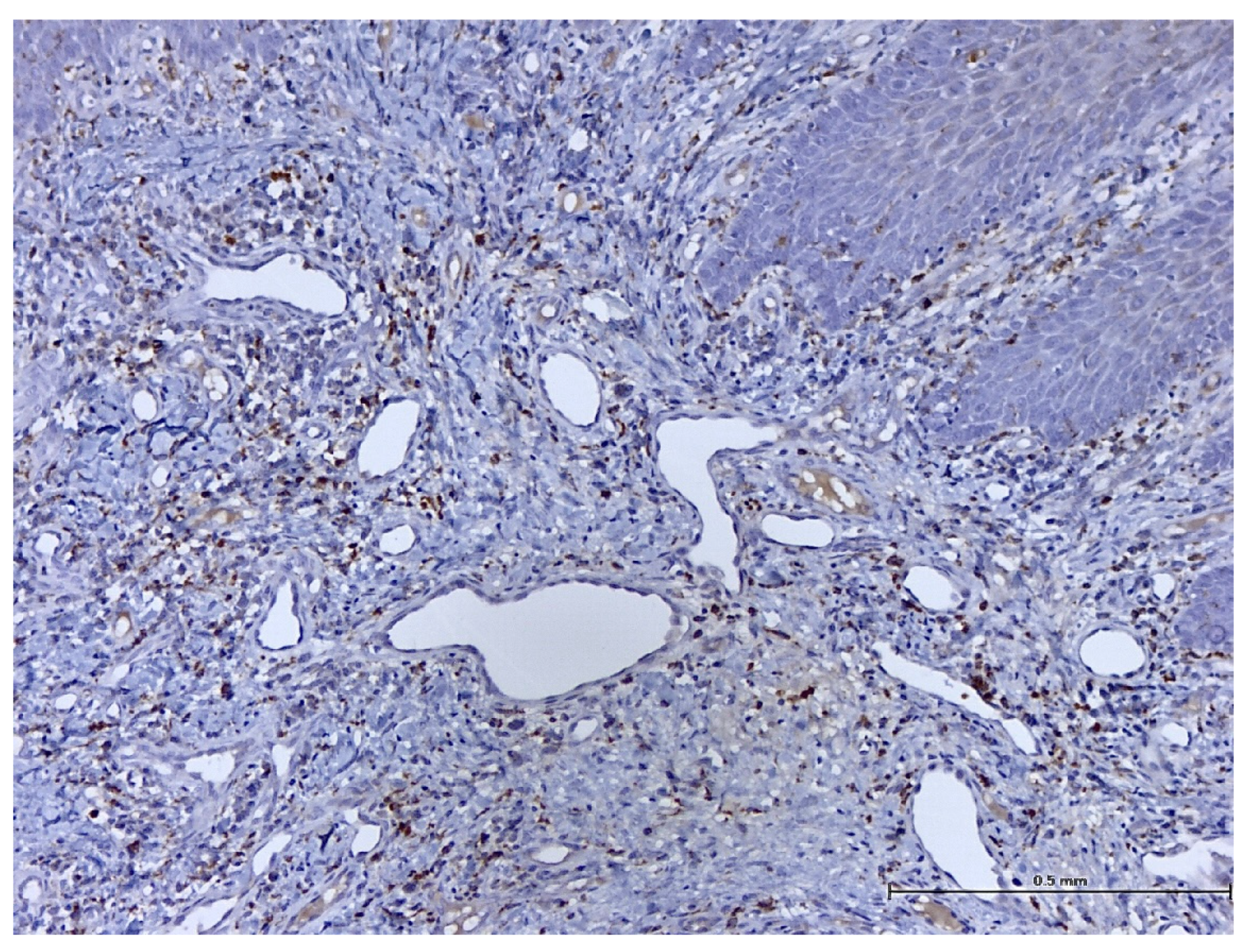
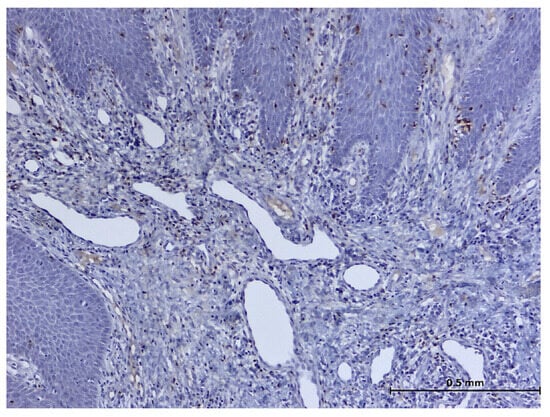
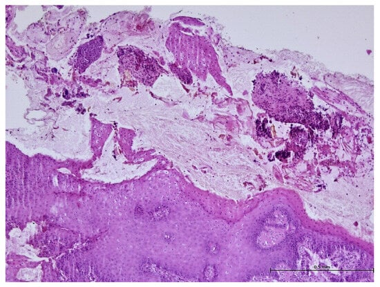
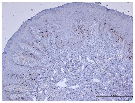
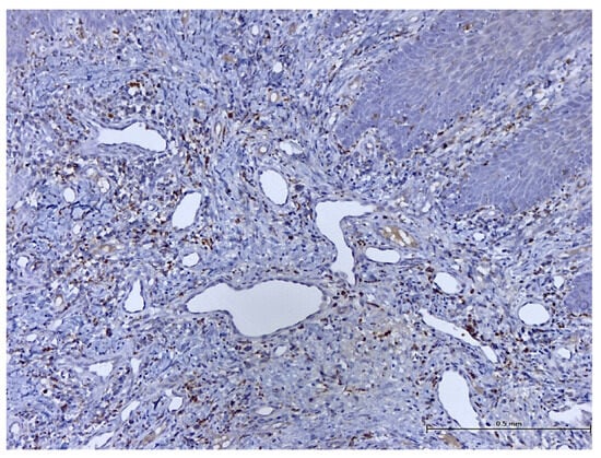
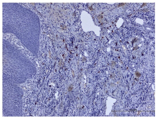
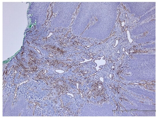
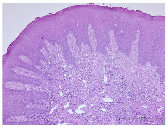
2.4. Histopathological Analysis Protocol
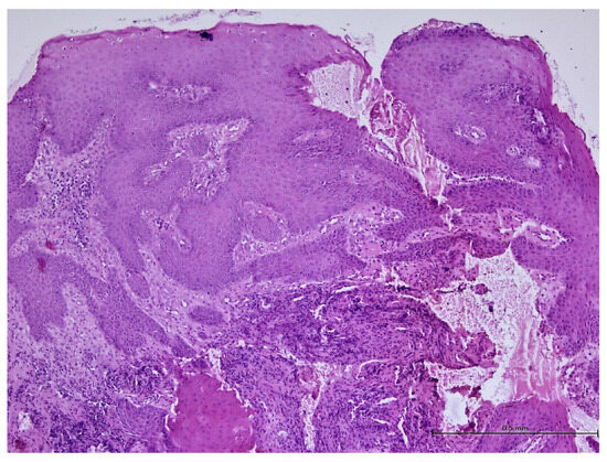
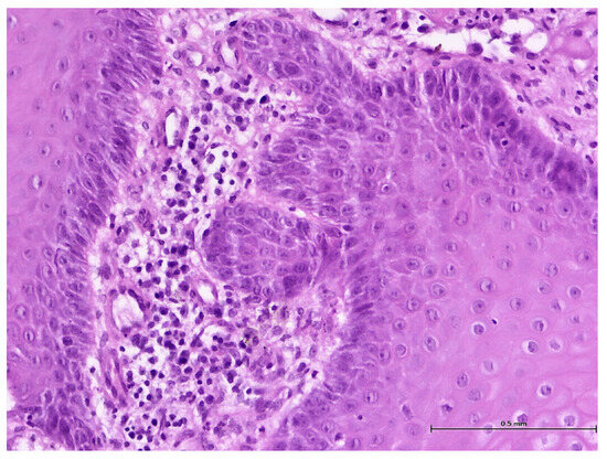
3. Results
4. Discussion
5. Conclusions
Author Contributions
Funding
Institutional Review Board Statement
Informed Consent Statement
Data Availability Statement
Conflicts of Interest
List of Abbreviation
| RPE | Rapid Palatal expander |
| MARPE | Mini-implant anchorage rapid palatal expander |
| PICO | Population, intervention, control, and outcomes |
| Pwr | Power |
| H&E | Hematoxylin and Eosin |
| AE1/AE3/PCK26 | Anti-Pan Keratin primary antibody |
| CONFIRM Anti-Ki-67 | Rabbitt Monoclonal Primary Antibody |
| CD31 (JC70) | Mouse Monoclonal Antibody |
References
- Ozgoz, M.; Arabaci, T. Chronic Inflammatory Gingival Enlargement and Treatment: A Case Report. Adv. Dent. Oral Health 2018, 9, 555766. [Google Scholar] [CrossRef]
- Ferreira, L.; Peng, H.-H.; Cox, D.P.; Chambers, D.W.; Bhula, A.; Young, J.D.; Ojcius, D.M.; Ramos-Junior, E.S.; Morandini, A.C. Investigation of foreign materials in gingival lesions: A clinicopathologic, energy-dispersive microanalysis of the lesions and in vitro confirmation of pro-inflammatory effects of the foreign materials. Oral Surg. Oral Med. Oral Pathol. Oral Radiol. 2019, 128, 250–267. [Google Scholar] [CrossRef]
- O’connell, S.; Davies, J.; Smallridge, J.; Vaidyanathan, M. Amelogenesis imperfecta associated with dental follicular-like hamartomas and generalised gingival enlargement. Eur. Arch. Paediatr. Dent. 2013, 15, 361–368. [Google Scholar] [CrossRef]
- Rosa, E.P.; Murakami-Malaquias-Silva, F.; Schalch, T.O.; Teixeira, D.B.; Horliana, R.F.; Tortamano, A.; Tortamano, I.P.; Buscariolo, I.A.; Longo, P.L.; Negreiros, R.M.; et al. Efficacy of photodynamic therapy and periodontal treatment in patients with gingivitis and fixed orthodontic appliances. Medicine 2020, 99, e19429. [Google Scholar] [CrossRef] [PubMed]
- Cekici, A.; Kantarci, A.; Hasturk, H.; Van Dyke, T.E. Inflammatory and immune pathways in the pathogenesis of periodontal disease. Periodontol. 2000 2013, 64, 57–80. [Google Scholar] [CrossRef] [PubMed]
- Gual-Vaques, P.; Jane-Salas, E.; Egido-Moreno, S.; Ayuso-Montero, R.; Mari-Roig, A.; Lopez-Lopez, J. Inflammatory papillary hyperplasia: A systematic review. Med. Oral Patol. Oral Cir. Buccal 2016, 22, e36–e42. [Google Scholar] [CrossRef][Green Version]
- Brunetto, D.P.; Sant’Anna, E.F.; Machado, A.W.; Moon, W. Non-surgical treatment of transverse deficiency in adults using Micro implant-assisted Rapid Palatal Expansion (MARPE). Dent. Press J. Orthod. 2017, 22, 110–125. [Google Scholar] [CrossRef] [PubMed]
- Lo Giudice, A.; Barbato, E.; Cosentino, L.; Ferraro, C.M.; Leonardi, R. Alveolar bone changes after rapid maxillary expansion with tooth-born appliances: A systematic review. Eur. J. Orthod. 2017, 40, 296–303. [Google Scholar] [CrossRef]
- Bucci, R.; D’Antò, V.; Rongo, R.; Valletta, R.; Martina, R.; Michelotti, A. Dental and skeletal effects of palatal expansion techniques: A systematic review of the current evidence from systematic reviews and meta-analyses. J. Oral Rehabil. 2016, 43, 543–564. [Google Scholar] [CrossRef]
- Campanile, G.L.; Lotti, T.M.; Orlandini, S.Z. Macroscopic Anatomy, Histology and Electron Microscopy of the Oral Cavity and Normal Anatomic Variants. In Oral Diseases; Springer: Berlin/Heidelberg, Germany, 1999; pp. 1–5. [Google Scholar] [CrossRef]
- Oh, H.; Park, J.; Lagravere-Vich, M.O. Comparison of traditional RPE with two types of micro-implant assisted RPE: CBCT study. Semin. Orthod. 2019, 25, 60–68. [Google Scholar] [CrossRef]
- Centre for Evidence-Based Medicine (CEBM). Asking Focused Questions. University of Oxford, Oxford, UK. Available online: https://www.cebm.ox.ac.uk/resources/ebm-tools/asking-focused-questions (accessed on 25 October 2023).
- Ömezli, M.M.; Torul, D.; Avci, T. Persistent Palatal Hypertrophy Associated with Rapid Maxillary Expansion Procedure: Report of a Rare Case. Biomedicine 2020, 10, 49–51. [Google Scholar] [CrossRef] [PubMed]
- Pinto, A.S.; Alves, L.S.; Zenkner, J.E.; Zanatta, A.; Maltz, F.B. Gingival enlargement in orthodontic patients: Effect of treatment duration. Am. J. Orthod. Dentofac. Orthop. 2017, 152, 477–482. [Google Scholar] [CrossRef] [PubMed]
- Manuelli, M.; Marcolina, M.; Nardi, N.; Bertossi, D.; De Santis, D.; Ricciardi, G.; Luciano, U.; Nocini, R.; Mainardi, A.; Lissoni, A.; et al. Oral mucosal complications in orthodontic treatment. Minerva Dent. Oral Sci. 2019, 68, 84–88. [Google Scholar] [CrossRef] [PubMed]
- Awartani, F.; Atassi, F. Oral Hygiene Status among Orthodontic Patients. J. Contemp. Dent. Pract. 2010, 11, 25–32. [Google Scholar] [CrossRef]
- Arab, S.; Malekshah, S.N.; Mehrizi, E.A.; Khanghah, A.E.; Naseh, R.; Imani, M.M. Effect of fixed orthodontic treatment on salivary flow, pH and microbial count. J. Dent. 2016, 13, 18–22. [Google Scholar]
- Türkkahraman, H.; Sayin, M.O.; Bozkurt, F.Y.; Yetkin, Z.; Kaya, S.; Onal, S. Archwireligation techniques, microbial colonization, and periodontal status inorthodontically treated patients. Angle Orthod. 2005, 75, 231–236. [Google Scholar]
- Sukontapatipark, W.; El-Agroudi, M.A.; Selliseth, N.J.; Thunold, K.; Selvig, K.A. Bacterial colonization associated with fixed orthodontic appliances. A scanning electron microscopy study. Eur. J. Orthod. 2001, 23, 475–484. [Google Scholar] [CrossRef] [PubMed]
- Jeon, J.Y.; Choi, S.-H.; Chung, C.J.; Lee, K.-J. The success and effectiveness of miniscrew-assisted rapid palatal expansion are age- and sex-dependent. Clin. Oral Investig. 2022, 26, 2993–3003. [Google Scholar] [CrossRef]
- Yacout, Y.M.; Abdalla, E.M.; El Harouny, N.M. Skeletal and dentoalveolar effects of slow vs rapid activation protocols of miniscrew-supported maxillary expanders in adolescents: A randomized clinical trial. Angle Orthod. 2022, 92, 579–588. [Google Scholar] [CrossRef]
- Schuster, G.; Borel-Scherf, I.; Schopf, P.M. Frequency of and complications in the use of RPE appliances—Results of a survey in the Federal State of Hesse, Germany. J. Orofac. Orthop. 2005, 66, 148–161. [Google Scholar] [CrossRef]
- Bishara, S.E.; Staley, R.N. Maxillary expansion: Clinical implications. Am. J. Orthod. Dentofac. Orthop. 1987, 91, 3–14. [Google Scholar] [CrossRef] [PubMed]
- Capelozza Filho, L.; da Silva Filho, O.G.; Ursi, W.J. Non-surgically assisted rapid maxillary expansion in adults. Int. J. Adult Orthod. Orthognath. Surg. 1996, 11, 57–70. [Google Scholar]
- Carlson, C.; Sung, J.; McComb, R.W.; Machado, A.W.; Moon, W. Microimplant-assisted rapid palatal expansion appliance to orthopedically correct transverse maxillary deficiency in an adult. Am. J. Orthod. Dentofac. Orthop. 2016, 149, 716–728. [Google Scholar] [CrossRef] [PubMed]
- Tsai, H.-R.; Ho, K.-H.; Wang, C.-W.; Wang, K.-L.; Hsieh, S.-C.; Chang, H.-M. Evaluation of Patients’ Experiences after Microimplant-Assisted Rapid Palatal Expansion (MARPE) Treatment. Taiwan. J. Orthod. 2021, 33, 2. [Google Scholar] [CrossRef]
- Yoon, A.; Abdelwahab, M.; Bockow, R.; Vakili, A.; Lovell, K.; Chang, I.; Ganguly, R.; Liu, S.Y.-C.; Kushida, C.; Hong, C. Impact of rapid palatal expansion on the size of adenoids and tonsils in children. Sleep Med. 2022, 92, 96–102. [Google Scholar] [CrossRef] [PubMed]
- Compadretti, G.C.; Tasca, I.; Alessandri-Bonetti, G.; Peri, S.; D’addario, A. Acoustic rhinometric measurements in children undergoing rapid maxillary expansion. Int. J. Pediatr. Otorhinolaryngol. 2006, 70, 27–34. [Google Scholar] [CrossRef] [PubMed]
- Cerritelli, L.; Hatzopoulos, S.; Catalano, A.; Bianchini, C.; Cammaroto, G.; Meccariello, G.; Iannella, G.; Vicini, C.; Pelucchi, S.; Skarzynski, P.H.; et al. Rapid Maxillary Expansion (RME): An Otolaryngologic Perspective. J. Clin. Med. 2022, 11, 5243. [Google Scholar] [CrossRef]
- Stasiak, M.; Adamska, P. Should Cone-Beam Computed Tomography Be Performed Prior to Orthodontic Miniscrew Placement in the Infrazygomatic Crest Area?—A Systematic Review. Biomedicines 2023, 11, 2389. [Google Scholar] [CrossRef]
- Guan, H.; Yonemitsu, I.; Ikeda, Y.; Ono, T. Reversible Effects of Functional Mandibular Lateral Shift on Masticatory Muscles in Growing Rats. Biomedicines 2023, 11, 2126. [Google Scholar] [CrossRef]
- Kirschneck, C.; Straßmair, N.; Cieplik, F.; Paddenberg, E.; Jantsch, J.; Proff, P.; Schröder, A. Myeloid HIF1α Is Involved in the Extent of Orthodontically Induced Tooth Movement. Biomedicines 2021, 9, 796. [Google Scholar] [CrossRef]


















Disclaimer/Publisher’s Note: The statements, opinions and data contained in all publications are solely those of the individual author(s) and contributor(s) and not of MDPI and/or the editor(s). MDPI and/or the editor(s) disclaim responsibility for any injury to people or property resulting from any ideas, methods, instructions or products referred to in the content. |
© 2023 by the authors. Licensee MDPI, Basel, Switzerland. This article is an open access article distributed under the terms and conditions of the Creative Commons Attribution (CC BY) license (https://creativecommons.org/licenses/by/4.0/).
Share and Cite
Bud, E.; Vlasa, A.; Pacurar, M.; Matei, A.; Bud, A.; Szoke, A.-R.; Minervini, G. A Retrospective Histological Study on Palatal and Gingival Mucosa Changes during a Rapid Palatal Expansion Procedure. Biomedicines 2023, 11, 3246. https://doi.org/10.3390/biomedicines11123246
Bud E, Vlasa A, Pacurar M, Matei A, Bud A, Szoke A-R, Minervini G. A Retrospective Histological Study on Palatal and Gingival Mucosa Changes during a Rapid Palatal Expansion Procedure. Biomedicines. 2023; 11(12):3246. https://doi.org/10.3390/biomedicines11123246
Chicago/Turabian StyleBud, Eugen, Alexandru Vlasa, Mariana Pacurar, Adrian Matei, Anamaria Bud, Andreea-Raluca Szoke, and Giuseppe Minervini. 2023. "A Retrospective Histological Study on Palatal and Gingival Mucosa Changes during a Rapid Palatal Expansion Procedure" Biomedicines 11, no. 12: 3246. https://doi.org/10.3390/biomedicines11123246
APA StyleBud, E., Vlasa, A., Pacurar, M., Matei, A., Bud, A., Szoke, A.-R., & Minervini, G. (2023). A Retrospective Histological Study on Palatal and Gingival Mucosa Changes during a Rapid Palatal Expansion Procedure. Biomedicines, 11(12), 3246. https://doi.org/10.3390/biomedicines11123246

