Dietary Collagen Hydrolysates Retard Estrogen Deficiency-Induced Bone Loss through Blocking Osteoclastic Activation and Enhancing Osteoblastic Matrix Mineralization
Abstract
1. Introduction
2. Materials and Method
2.1. Materials
2.2. Animals and Ovariectomy (OVX)
2.3. Biochemical Assessment of Bone Minerals and Plasma Lipids
2.4. Histological Examination of Uterus and Femoral Bone
2.5. Enzyme-Linked Immunosorbent Assay (ELISA)
2.6. Histological Tartrate-Resistant Acid Phosphatase (TRAP) Staining of Femoral Bone
2.7. MC3T3-E1 Cell Culture and Osteoblastic Differentiation
2.8. Measurement of Activity of Serum and Osteoblast Alkaline Phosphatase (ALP)
2.9. Western Blot Analysis
2.10. Alizarin Red S Staining
2.11. Statistical Analyses
3. Results
3.1. Recovery of Uterine Size and Serum 17β-Estradiol Level by fsCH
3.2. Effects of fsCH on Bone Minerals and Osteoclast Activation in OVX Mice
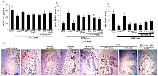
3.3. Effects of fsCH on Induction of Osteoclastic Markers
3.4. Effects of fsCH on Collagen Metabolism by OVX
3.5. Formation of Trabecular Bone by fsCH in OVX Mice
3.6. Inhibition of Secretion of ALP and Osteocalcin into Circulation by fsCH
3.7. Effects of fsCH on Osteoblastogenesis
4. Discussion
Author Contributions
Funding
Institutional Review Board Statement
Informed Consent Statement
Data Availability Statement
Conflicts of Interest
Abbreviations
| ALP | alkaline phosphatase |
| BMD | bone mineral density |
| BMP-2 | bone morphogenetic protein 2 |
| BSPII | bone sialoprotein II |
| CAII | carbonic anhydrase II |
| CTX-1 | carboxy-terminal telopeptide of type 1 collagen |
| fsCH | Pangasius hypophthalmus fish skin collagen hydrolysate |
| GP | glycine–proline |
| GPH | glycine–proline–hydroxyproline |
| NTX-1 | amino-terminal telopeptide of type 1 collagen |
| OPG | osteoprotegerin |
| OVX | ovariectomy |
| PICP | procollagen type 1 carboxy-terminal propeptide |
| PH | proline–hydroxyproline |
| PINP | procollagen type 1 amino-terminal propeptide |
| RANKL | receptor activator of nuclear factor kappa-Β ligand |
| TRAP | tartrate-resistant acid phosphatase |
| V-ATPase | vacuolar-type H(+)- ATPase |
References
- Sözen, T.; Özışık, L.; Başaran, N.Ç. An overview and management of osteoporosis. Eur. J. Rheumatol. 2017, 4, 46–56. [Google Scholar] [CrossRef]
- Joestl, J.; Lang, N.; Bukaty, A.; Tiefenboeck, T.M.; Platzer, P. Osteoporosis associated vertebral fractures-health economic implications. PLoS ONE 2017, 12, e0178209. [Google Scholar] [CrossRef]
- Ji, M.X.; Yu, Q. Primary osteoporosis in postmenopausal women. Chronic Dis. Transl. Med. 2015, 1, 9–13. [Google Scholar]
- Eastell, R.; O’Neill, T.W.; Hofbauer, L.C.; Langdahl, B.; Reid, I.R.; Gold, D.T.; Cummings, S.R. Postmenopausal osteoporosis. Nat. Rev. Dis. Primers 2016, 2, 16069. [Google Scholar] [CrossRef]
- Qadir, A.; Liang, S.; Wu, Z.; Chen, Z.; Hu, L.; Qian, A. Senile osteoporosis: The involvement of differentiation and senescence of bone marrow stromal cells. Int. J. Mol. Sci. 2020, 21, 349. [Google Scholar] [CrossRef]
- Akesson, K. Principles of bone and joint disease control programs-osteoporosis. J. Rheumatol. Suppl. 2003, 67, 21–25. [Google Scholar]
- Beard, M.K. Bisphosphonate therapy for osteoporosis: Combining optimal fracture risk reduction with patient preference. Curr. Med. Res. Opin. 2012, 28, 141–147. [Google Scholar] [CrossRef]
- Dawson-Hughes, B.; Bischoff-Ferrari, H.A. Therapy of osteoporosis with calcium and vitamin D. J. Bone Miner. Res. 2007, 22 (Suppl. 2), V59–V63. [Google Scholar] [CrossRef]
- Ozaki, K.; Okamoto, M.; Fukasawa, K.; Iezaki, T.; Onishi, Y.; Yoneda, Y.; Sugiura, M.; Hinoi, E. Daily intake of β-cryptoxanthin prevents bone loss by preferential disturbance of osteoclastic activation in ovariectomized mice. J. Pharmacol. Sci. 2015, 129, 72–77. [Google Scholar] [CrossRef]
- Yee, M.M.F.; Chin, K.Y.; Ima-Nirwana, S.; Wong, S.K. Vitamin a and bone health: A review on current evidence. Molecules 2021, 26, 1757. [Google Scholar] [CrossRef]
- Cauley, J.A. Estrogen and bone health in men and women. Steroids 2015, 99 Pt A, 11–15. [Google Scholar] [CrossRef]
- Jamka, K.; Adamczuk, P.; Skowrońska, A.; Bojar, I.; Raszewski, G. Assessment of the effect of estradiol on biochemical bone turnover markers among postmenopausal women. Ann. Agric. Environ. Med. 2021, 28, 326–330. [Google Scholar] [CrossRef]
- Eriksen, E.F.; Halse, J.; Moen, M.H. New developments in the treatment of osteoporosis. Acta Obstet. Gynecol. Scand. 2013, 92, 620–636. [Google Scholar] [CrossRef]
- Body, J.J. How to manage postmenopausal osteoporosis? Acta Clin. Belg. 2011, 66, 443–447. [Google Scholar]
- Azam, S.; Jacobsen, K.K.; Aro, A.R.; Lynge, E.; Andersen, Z.J. Hormone replacement therapy and mammographic density: A systematic literature review. Breast Cancer Res. Treat. 2020, 182, 555–579. [Google Scholar] [CrossRef]
- Stepan, J.J.; Hruskova, H.; Kverka, M. Update on menopausal hormone therapy for fracture prevention. Curr. Osteoporos. Rep. 2019, 17, 465–473. [Google Scholar] [CrossRef]
- Josse, R.; Khan, A.; Ngui, D.; Shapiro, M. Denosumab, a new pharmacotherapy option for postmenopausal osteoporosis. Curr. Med. Res. Opin. 2013, 29, 205–216. [Google Scholar] [CrossRef]
- Drake, M.T.; Clarke, B.L.; Oursler, M.J.; Khosla, S. Cathepsin K inhibitors for osteoporosis: Biology, potential clinical utility, and lessons learned. Endocr. Rev. 2017, 38, 325–350. [Google Scholar] [CrossRef]
- Bedell, S.; Nachtigall, M.; Naftolin, F. The pros and cons of plant estrogens for menopause. J. Steroid Biochem. Mol. Biol. 2014, 139, 225–236. [Google Scholar] [CrossRef]
- Al-Anazi, A.F.; Qureshi, V.F.; Javaid, K.; Qureshi, S. Preventive effects of phytoestrogens against postmenopausal osteoporosis as compared to the available therapeutic choices: An overview. J. Nat. Sci. Biol. Med. 2011, 2, 154–163. [Google Scholar]
- Turner, J.V.; Agatonovic-Kustrin, S.; Glass, B.D. Molecular aspects of phytoestrogen selective binding at estrogen receptors. J. Pharm. Sci. 2007, 96, 1879–1885. [Google Scholar] [CrossRef]
- Boué, S.M.; Wiese, T.E.; Nehls, S.; Burow, M.E.; Elliott, S.; Carter-Wientjes, C.H.; Shih, B.Y.; McLachlan, J.A.; Cleveland, T.E. Evaluation of the estrogenic effects of legume extracts containing phytoestrogens. J. Agric. Food Chem. 2003, 51, 2193–2199. [Google Scholar] [CrossRef] [PubMed]
- Kaczmarczyk-Sedlak, I.; Wojnar, W.; Zych, M.; Ozimina-Kamińska, E.; Taranowicz, J.; Siwek, A. Effect of formononetin on mechanical properties and chemical composition of bones in rats with ovariectomy-induced osteoporosis. Evid. Based Compl. Alternat. Med. 2013, 2013, 457052. [Google Scholar] [CrossRef] [PubMed]
- Lee, E.J.; Kim, J.L.; Kim, Y.H.; Kang, M.K.; Gong, J.H.; Kang, Y.H. Phloretin promotes osteoclast apoptosis in murine macrophages and inhibits estrogen deficiency-induced osteoporosis in mice. Phytomedicine 2014, 21, 1208–1215. [Google Scholar] [CrossRef] [PubMed]
- Lee, S.H.; Kim, B.J.; Choi, H.J.; Cho, S.W.; Shin, C.S.; Park, S.Y.; Lee, Y.S.; Lee, S.Y.; Kim, H.H.; Kim, G.S.; et al. (-)-Epigallocathechin-3-gallate, an AMPK activator, decreases ovariectomy-induced bone loss by suppression of bone resorption. Calcif. Tissue Int. 2012, 90, 404–410. [Google Scholar] [CrossRef] [PubMed]
- Chen, C.H.; Kang, L.; Lin, R.W.; Fu, Y.C.; Lin, Y.S.; Chang, J.K.; Chen, H.T.; Chen, C.H.; Lin, S.Y.; Wang, G.J.; et al. (-)-Epigallocatechin-3-gallate improves bone microarchitecture in ovariectomized rats. Menopause 2013, 20, 687–694. [Google Scholar] [CrossRef] [PubMed]
- Kim, J.L.; Kim, Y.H.; Kang, M.K.; Gong, J.H.; Han, S.J.; Kang, Y.H. Antiosteoclastic activity of milk thistle extract after ovariectomy to suppress estrogen deficiency-induced osteoporosis. Biomed Res. Int. 2013, 2013, 919374. [Google Scholar] [CrossRef][Green Version]
- Lee, S.K.; Kim, H.; Park, J.; Kim, H.J.; Kim, K.R.; Son, S.H.; Park, K.K.; Chung, W.Y. Artemisia annua extract prevents ovariectomy-induced bone loss by blocking receptor activator of nuclear factor kappa-B ligand-induced differentiation of osteoclasts. Sci. Rep. 2017, 7, 17332. [Google Scholar] [CrossRef]
- Liu, Y.; Liu, W.; Yu, Z.; Zhang, Y.; Li, Y.; Xie, D.; Xie, G.; Fan, L.; He, S. A novel BRD4 inhibitor suppresses osteoclastogenesis and ovariectomized osteoporosis by blocking RANKL-mediated MAPK and NF-kappaB pathways. Cell Death Dis. 2021, 12, 654. [Google Scholar] [CrossRef]
- Liang, S.; Nian, Z.; Shi, K. Inhibition of RIPK1/RIPK3 ameliorates osteoclastogenesis through regulating NLRP3-dependent NF-kappaB and MAPKs signaling pathways. Biochem. Biophys. Res. Commun. 2020, 526, 1028–1035. [Google Scholar] [CrossRef]
- Moskowitz, R.W. Role of collagen hydrolysate in bone and joint disease. Semin. Arthritis Rheum. 2000, 30, 87–99. [Google Scholar] [CrossRef] [PubMed]
- Daneault, A.; Prawitt, J.; Soulé, V.F.; Coxam, V.; Wittrant, Y. Biological effect of hydrolyzed collagen on bone metabolism. Crit. Rev. Food Sci. Nutr. 2017, 57, 1922–1937. [Google Scholar] [CrossRef] [PubMed]
- Cúneo, F.; Costa-Paiva, L.; Pinto-Neto, A.M.; Morais, S.S.; Amaya-Farfan, J. Effect of dietary supplementation with collagen hydrolysates on bone metabolism of postmenopausal women with low mineral density. Maturitas 2010, 65, 253–257. [Google Scholar] [CrossRef] [PubMed]
- Kang, M.K.; Kim, D.Y.; Oh, H.; Kim, S.I.; Oh, S.Y.; Na, W.; Park, S.H.; Park, K.; Kim, J.I.; Kim, A.H.; et al. Dietary collagen hydrolysates ameliorate furrowed and parched skin caused by photoaging in hairless mice. Int. J. Mol. Sci. 2021, 22, 6137. [Google Scholar] [CrossRef] [PubMed]
- Yazaki, M.; Ito, Y.; Yamada, M.; Goulas, S.; Teramoto, S.; Nakaya, M.A.; Ohno, S.; Yamaguchi, K. Oral ingestion of collagen hydrolysate leads to the transportation of highly concentrated Gly-Pro-Hyp and its hydrolyzed form of Pro-Hyp into the bloodstream and skin. J. Agric. Food Chem. 2017, 65, 2315–2322. [Google Scholar] [CrossRef]
- Aito-Inoue, M.; Lackeyram, D.; Fan, M.Z.; Sato, K.; Mine, Y. Transport of a tripeptide, Gly-Pro-Hyp, across the porcine intestinal brush-border membrane. J. Pept. Sci. 2007, 13, 468–474. [Google Scholar] [CrossRef]
- Glover, S.J.; Eastell, R.; McCloskey, E.V.; Rogers, A.; Garnero, P.; Lowery, J.; Belleli, R.; Wright, T.M.; John, M.R. Rapid and robust response of biochemical markers of bone formation to teriparatide therapy. Bone 2009, 45, 1053–1058. [Google Scholar] [CrossRef]
- Golub, E.E.; Boesze-Battaglia, K. The role of alkaline phosphatase in mineralization. Curr. Opin. Orthop. 2007, 18, 444–448. [Google Scholar] [CrossRef]
- Quarles, L.D.; Yohay, D.A.; Lever, L.W.; Caton, R.; Wenstrup, R.J. Distinct proliferative and differentiation stages of murine MC3T3-E1 cells in culture: An in vitro model of osteoblast development. J. Bone Miner. Res. 1992, 7, 683–693. [Google Scholar] [CrossRef]
- Lee, E.J.; Na, W.; Kang, M.K.; Kim, Y.H.; Kim, D.Y.; Oh, H.; Kim, S.I.; Oh, S.Y.; Park, S.; Park, K.; et al. Hydroxycoumarin scopoletin inhibits bone loss through enhancing induction of bone turnover markers in a mouse model of type 2 diabetes. Biomedicines 2021, 9, 648. [Google Scholar] [CrossRef]
- Roach, H.I. Why does bone matrix contain non-collagenous proteins? The possible roles of osteocalcin, osteonectin, osteopontin and bone sialoprotein in bone mineralisation and resorption. Cell. Biol. Int. 1994, 18, 617–628. [Google Scholar] [CrossRef] [PubMed]
- Jimi, E.; Hirata, S.; Shin, M.; Yamazaki, M.; Fukushima, H. Molecular mechanisms of BMP-induced bone formation: Cross-talk between BMP and NF-κB signaling pathways in osteoblastogenesis. Jpn. Dent. Sci. Rev. 2010, 46, 33–42. [Google Scholar] [CrossRef]
- Na, W.; Kang, M.K.; Park, S.H.; Kim, D.Y.; Oh, S.Y.; Oh, M.S.; Park, S.; Kang, I.J.; Kang, Y.H. Aesculetin accelerates osteoblast differentiation and matrix-vesicle-mediated mineralization. Int. J. Mol. Sci. 2021, 22, 12391. [Google Scholar] [CrossRef]
- Seeman, E. Structural basis of growth-related gain and age-related loss of bone strength. Rheumatology 2008, 47 (Suppl. 4), iv2–iv8. [Google Scholar] [PubMed]
- Tella, S.H.; Gallagher, J.C. Prevention and treatment of postmenopausal osteoporosis. J. Steroid Biochem. Mol. Biol. 2014, 142, 155–170. [Google Scholar] [CrossRef] [PubMed]
- Watts, N.B. Postmenopausal osteoporosis: A clinical review. J. Womens Health 2018, 27, 1093–1096. [Google Scholar] [CrossRef]
- Kim, B.; Cho, Y.J.; Lim, W. Osteoporosis therapies and their mechanisms of action (Review). Exp. Ther. Med. 2021, 22, 1379. [Google Scholar] [CrossRef]
- Langdahl, B.L.; Harsløf, T. Medical treatment of osteoporotic vertebral fractures. Ther. Adv. Musculoskelet. Dis. 2011, 3, 17–29. [Google Scholar] [CrossRef]
- Schuiling, K.D.; Robinia, K.; Nye, R. Osteoporosis update. J. Midwifery Womens Health 2011, 56, 615–627. [Google Scholar] [CrossRef]
- Ramshaw, J.A.; Shah, N.K.; Brodsky, B. Gly-X-Y tripeptide frequencies in collagen: A context for host-guest triple-helical peptides. J. Struct. Biol. 1998, 122, 86–91. [Google Scholar] [CrossRef]
- Lecart, M.P.; Bruyere, O.; Reginster, J.Y. Combination/sequential therapy in osteoporosis. Curr. Osteoporos. Rep. 2004, 2, 123–130. [Google Scholar] [CrossRef] [PubMed]
- Langdahl, B. Treatment of postmenopausal osteoporosis with bone-forming and antiresorptive treatments: Combined and sequential approaches. Bone 2020, 139, 115516. [Google Scholar] [CrossRef] [PubMed]







| Animals | Control Mice | OVX Mice | OVX Mice | ||||||
|---|---|---|---|---|---|---|---|---|---|
| 2 mg/kg Isoflavone | 15 mg/kg GPH | 206 mg/kg Calcium Lactate | fsCH | ||||||
| Parameters | 206 mg/kg | 618 mg/kg | 206 mg/kg Calcium Lactate | ||||||
| total cholesterol | 79.8 ± 5.5 b | 91.2 ± 2.5 a | 84.2 ± 3.6 a,b | 94.6 ± 3.17 a | 89.4 ± 3.9 a | 90.6 ± 3.0 a | 95.6 ± 2.8 a | 93.4 ± 3.5 a | |
| triglyceride | 35 ± 4.3 c | 51.4 ± 9.6 a | 43 ± 2.2 b | 53.6 ± 6.0 a | 34 ± 2.6 c | 34.4 ± 2.7 c | 51.6 ± 3.0 a | 42.6 ± 7.1 a,b | |
| HDL-C | 47.2 ± 7.1 a,b | 44.6 ± 2.5 b | 50 ± 3.9 a | 53.8 ± 3.4 a | 48.4 ± 2.9 a,b | 48.2 ± 3.1 a,b | 51 ± 1.6 a | 51 ± 1.4 a | |
| LDL-C | 25.6 ± 5.4 b | 36.3 ± 6.1 a | 25.6 ± 2.7 b | 30.08 ± 1.0 a,b | 34.2 ± 0.8 a | 35.5 ± 3.4 a | 34.3 ± 2.6 a | 33.9 ± 2.5 a | |
| Animals | Control Mice | OVX Mice | OVX Mice | ||||||
|---|---|---|---|---|---|---|---|---|---|
| 2 mg/kg Isoflavone | 15 mg/kg GPH | 206 mg/kg Calcium Lactate | fsCH | ||||||
| Parameters | 206 mg/kg | 618 mg/kg | 206 mg/kg Calcium Lactate | ||||||
| femur | BMD | 89.3 ± 0.5 a | 72.6 ± 0.4 d | 84.6 ± 0.5 b | 81.6 ± 0.3 c | 79.6 ± 0.3 c | 78.5 ± 0.2 c | 82.5 ± 0.5 b,c | 84.4 ± 0.4 b |
| BMC | 18.8 ± 0.3 a | 14.9 ± 0.2 c | 17.3 ± 0.9 a,b | 16.5 ± 0.4 b | 16.1 ± 0.3 b | 16.4 ± 0.4 b | 17.2 ± 0.4 a,b | 17.1 ± 0.4 a,b | |
| area | 20.8 ± 0.3 | 20.9 ± 0.3 | 20 ± 1.2 | 20.5 ± 0.4 | 20.6 ± 0.4 | 21 ± 0.5 | 20.8 ± 0.4 | 19.9 ± 0.6 | |
| tibia | BMD | 63.8 ± 0.3 a | 51.2 ± 0.3 d | 62.2 ± 0.1 a | 57.8 ± 0.2 b | 56.8 ± 0.4 b | 54.6 ± 0.4 c | 59.9 ± 0.3 a,b | 61.4 ± 0.3 a |
| BMC | 9.4 ± 0.2 a | 7.4 ± 0.2 d | 8.7 ± 0.3 b | 8.1 ± 0.2 c | 8.2 ± 0.1 c | 8 ± 0.0 c | 8.8 ± 0.1 b | 9 ± 0.2 b | |
| area | 14.8 ± 0.2 | 14.4 ± 0.2 | 14 ± 0.6 | 14.3 ± 0.3 | 14.8 ± 1.3 | 14.3 ± 0.2 | 14.4 ± 0.2 | 14.4 ± 0.2 | |
Publisher’s Note: MDPI stays neutral with regard to jurisdictional claims in published maps and institutional affiliations. |
© 2022 by the authors. Licensee MDPI, Basel, Switzerland. This article is an open access article distributed under the terms and conditions of the Creative Commons Attribution (CC BY) license (https://creativecommons.org/licenses/by/4.0/).
Share and Cite
Kim, S.-I.; Park, S.-H.; Na, W.; Shin, Y.C.; Oh, M.-S.; Sim, Y.E.; Zheng, Y.; Kim, A.H.; Kang, I.-J.; Kang, Y.-H. Dietary Collagen Hydrolysates Retard Estrogen Deficiency-Induced Bone Loss through Blocking Osteoclastic Activation and Enhancing Osteoblastic Matrix Mineralization. Biomedicines 2022, 10, 1382. https://doi.org/10.3390/biomedicines10061382
Kim S-I, Park S-H, Na W, Shin YC, Oh M-S, Sim YE, Zheng Y, Kim AH, Kang I-J, Kang Y-H. Dietary Collagen Hydrolysates Retard Estrogen Deficiency-Induced Bone Loss through Blocking Osteoclastic Activation and Enhancing Osteoblastic Matrix Mineralization. Biomedicines. 2022; 10(6):1382. https://doi.org/10.3390/biomedicines10061382
Chicago/Turabian StyleKim, Soo-Il, Sin-Hye Park, Woojin Na, Yong Chul Shin, Moon-Sik Oh, Young Eun Sim, Yulong Zheng, Ae Hyang Kim, Il-Jun Kang, and Young-Hee Kang. 2022. "Dietary Collagen Hydrolysates Retard Estrogen Deficiency-Induced Bone Loss through Blocking Osteoclastic Activation and Enhancing Osteoblastic Matrix Mineralization" Biomedicines 10, no. 6: 1382. https://doi.org/10.3390/biomedicines10061382
APA StyleKim, S.-I., Park, S.-H., Na, W., Shin, Y. C., Oh, M.-S., Sim, Y. E., Zheng, Y., Kim, A. H., Kang, I.-J., & Kang, Y.-H. (2022). Dietary Collagen Hydrolysates Retard Estrogen Deficiency-Induced Bone Loss through Blocking Osteoclastic Activation and Enhancing Osteoblastic Matrix Mineralization. Biomedicines, 10(6), 1382. https://doi.org/10.3390/biomedicines10061382

