Transthyretin Cardiac Amyloidosis: A Cardio-Orthopedic Disease
Abstract
1. Introduction
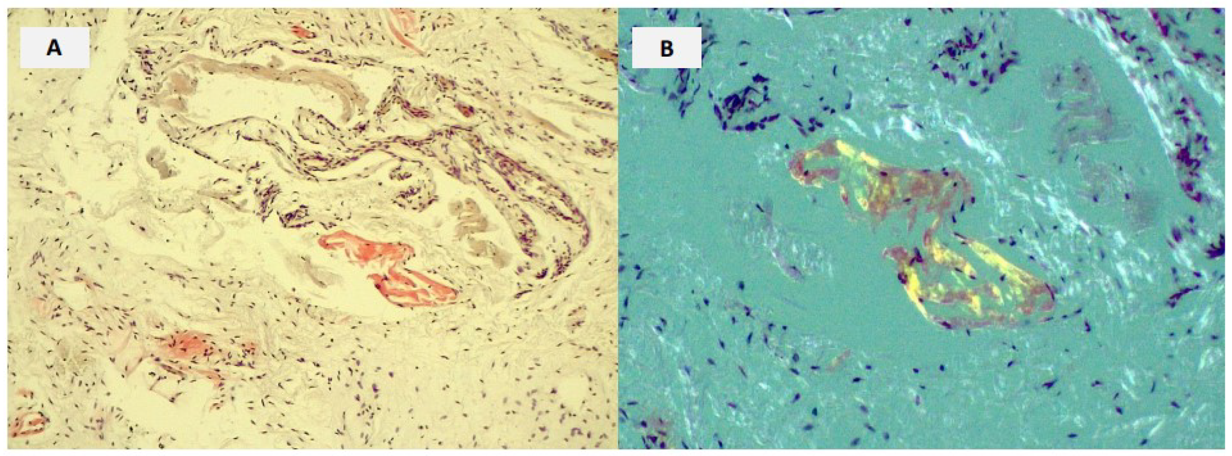
2. Carpal Tunnel Syndrome
3. Brachial Biceps Tendon Rupture
4. Lumbar Spine Stenosis
5. Hip and Knee Osteoarthritis
6. Trigger Finger
7. Rotator Cuff Disease
8. Musculoskeletal versus Cardiac Involvement in TTRwt Amyloidosis: Two Sides of the Same Coin or Two Different Pathologies?
9. Conclusive Remarks
Supplementary Materials
Author Contributions
Funding
Institutional Review Board Statement
Informed Consent Statement
Data Availability Statement
Conflicts of Interest
Abbreviations
| ATTRwt-CA | Transthyretin wild-type cardiac amyloidosis. |
| ATTRv-CA | Transthyretin variant cardiac amyloidosis. |
| AL | Light chain amyloidosis. |
| HF | Heart failure. |
| CTS | Carpal tunnel syndrome. |
| CTR | Carpal tunnel release. |
| BBTR | Brachial biceps tendon rupture. |
| HCM | Hypertrophic cardiomyopathy. |
| AFD | Anderson Fabry disease. |
| LSS | Lumbar spine stenosis. |
| THA | Total hip arthroplasty. |
| TKA | Total knee arthroplasty. |
| FAP | Familial amyloid polyneuropathy. |
| TR | Digit-trigger release. |
References
- Ruberg, F.L.; Grogan, M.; Hanna, M.; Kelly, J.W.; Maurer, M.S. Transthyretin Amyloid Cardiomyopathy: JACC State-of-the-Art Review. J. Am. Coll. Cardiol. 2019, 11, 2872–2891. [Google Scholar] [CrossRef]
- Brunjes, D.L.; Castano, A.; Clemons, A.; Rubin, J.; Maurer, M.S. Transthyretin cardiac amyloidosis in older Americans. J. Card. Fail. 2016, 22, 996–1003. [Google Scholar] [CrossRef] [PubMed]
- Gillmore, J.D.; Maurer, M.S.; Falk, R.H.; Merlini, G.; Damy, T.; Dispenzieri, A.; Wechalekar, A.D.; Berk, J.L.; Quarta, C.C.; Grogan, M.; et al. Nonbiopsy diagnosis of cardiac transthyretin amyloidosis. Circulation 2016, 133, 2404–2412. [Google Scholar] [CrossRef]
- González-López, E.; Gallego-Delgado, M.; Guzzo-Merello, G.; de Haro-Del Moral, F.J.; Cobo-Marcos, M.; Robles, C.; Bornstein, B.; Salas, C.; Lara-Pezzi, E.; Alonso-Pulpon, L.; et al. Wild-type transthyretin amyloidosis as a cause of heart failure with preserved ejection fraction. Heart J. 2015, 7, 2585–2594. [Google Scholar] [CrossRef] [PubMed]
- Castaño, A.; Narotsky, D.L.; Hamid, N.; Khalique, O.K.; Morgenstern, R.; De Luca, A.; Rubin, J.; Chiuzan, C.; Nazif, T.; Vahl, T.; et al. Unveiling transthyretin cardiac amyloidosis and its predictors among elderly patients with severe aortic stenosis undergoing transcatheter aortic valve replacement. Eur. Heart J. 2017, 7, 2879–2887. [Google Scholar] [CrossRef] [PubMed]
- Mohammed, S.F.; Mirzoyev, S.A.; Edwards, W.D.; Dogan, A.; Grogan, D.R.; Dunlay, S.M.; Roger, V.L.; Gertz, M.A.; Dispenzieri, A.; Zeldenrust, S.R.; et al. Left ventricular amyloid deposition in patientswith heart failure and preserved ejection fraction. JACC Heart Fail. 2014, 2, 113–122. [Google Scholar] [CrossRef] [PubMed]
- Zampieri, M.; Nardi, G.; Del Monaco, G.; Allinovi, M.; Gabriele, M.; Zocchi, C.; Casagrande, S.; Fumagalli, C.; Di Mario, C.; Olivotto, I.; et al. Changes in the perceived epidemiology of amyloidosis: 20 year-experience from a Tertiary Referral Centre in Tuscany. Int. J. Cardiol. 2021, 15, 123–127. [Google Scholar] [CrossRef]
- Lane, T.; Fontana, M.; Martinez-Naharro, A.; Quarta, C.C.; Whelan, C.J.; Petrie, A.; Rowczenio, D.M.; Gilbertson, J.A.; Hutt, D.F.; Rezk, T.; et al. Natural History, Quality of Life, and Outcome in Cardiac Transthyretin Amyloidosis. Circulation 2019, 2, 16–26, Erratum in Circulation 2019, 140, e185. [Google Scholar] [CrossRef] [PubMed]
- González-López, E.; Gagliardi, C.; Dominguez, F.; Quarta, C.C.; de Haro-Del Moral, F.J.; Milandri, A.; Salas, C.; Cinelli, M.; Cobo-Marcos, M.; Lorenzini, M.; et al. Clinical characteristics of wild-type transthyretin cardiac amyloidosis: Disproving myths. Eur. Heart J. 2017, 38, 1895–1904. [Google Scholar] [CrossRef]
- Adams, D.; Gonzalez-Duarte, A.; O’Riordan, W.D.; Yang, C.C.; Ueda, M.; Kristen, A.V.; Tournev, I.; Schmidt, H.H.; Coelho, T.; Berk, J.L.; et al. Patisiran, an RNAi Therapeutic, for Hereditary Transthyretin Amyloidosis. N. Engl. J. Med. 2018, 379, 11–21. [Google Scholar] [CrossRef]
- Benson, M.D.; Waddington-Cruz, M.; Berk, J.L.; Polydefkis, M.; Dyck, P.J.; Wang, A.K.; Planté-Bordeneuve, V.; Barroso, F.A.; Merlini, G.; Obici, L.; et al. Inotersen treatment for patients with hereditary transthyretin amyloidosis. N. Engl. J. Med. 2018, 379, 22–31. [Google Scholar] [CrossRef] [PubMed]
- Maurer, M.S.; Schwartz, J.H.; Gundapaneni, B.; Elliott, P.M.; Merlini, G.; Waddington-Cruz, M.; Kristen, A.V.; Grogan, M.; Witteles, R.; Damy, T.; et al. Tafamidis treatment for patients with transthyretin amyloid cardiomyopathy. N. Engl. J. Med. 2018, 379, 1007–1016. [Google Scholar] [CrossRef] [PubMed]
- Judge, D.P.; Heitner, S.B.; Falk, R.H.; Maurer, M.S.; Shah, S.J.; Witteles, R.M.; Grogan, M.; Selby, V.N.; Jacoby, D.; Hanna, M.; et al. Transthyretin Stabilization by AG10 in Symptomatic Transthyretin Amyloid Cardiomyopathy. J. Am. Coll. Cardiol. 2019, 23, 285–295. [Google Scholar] [CrossRef]
- Garcia-Pavia, P.; Rapezzi, C.; Adler, Y.; Arad, M.; Basso, C.; Brucato, A.; Burazor, I.; Caforio, A.L.P.; Damy, T.; Eriksson, U.; et al. Diagnosis and treatment of cardiac amyloidosis. A position statement of the European Society of Cardiology Working Group on Myocardial and Pericardial Diseases. Eur. J. Heart Fail. 2021, 23, 512–526. [Google Scholar] [CrossRef] [PubMed]
- Farioli, A.; Curti, S.; Bonfiglioli, R.; Baldasseroni, A.; Spatari, G.; Mattioli, S.; Violante, F.S. Observed differences between males and females in surgically treated carpal tunnel syndrome among non-manual workers: A sensitivity analysis of findings from a large population study. Ann. Work Expo. Health 2018, 62, 505–515. [Google Scholar] [CrossRef] [PubMed]
- Pourmemari, M.H.; Heliövaara, M.Z.; Viikari-Juntura, E.; Shiri, R. Carpal tunnel release: Lifetime prevalence, annual incidence, and risk factors. Muscle Nerve 2018, 58, 497–502. [Google Scholar] [CrossRef] [PubMed]
- Maurer, M.S.; Hanna, M.; Grogan, M.; Dispenzieri, A.; Witteles, R.; Drachman, B.; Judge, D.P.; Lenihan, D.J.; Gottlieb, S.S.; Shah, S.J.; et al. THAOS Investigators. Genotype and Phenotype of Transthyretin Cardiac Amyloidosis: THAOS (Transthyretin Amyloid Outcome Survey). J. Am. Coll. Cardiol. 2016, 12, 161–172. [Google Scholar] [CrossRef]
- Nakagawa, M.; Sekijima, Y.; Yazaki, M.; Tojo, K.; Yoshinaga, T.; Doden, T.; Koyama, J.; Yanagisawa, S.; Ikeda, S.-I. Carpal tunnel syndrome: A common initial symptom of systemic wild-type ATTR (ATTRwt) amyloidosis. Amyloid 2016, 1, 58–63. [Google Scholar] [CrossRef]
- Aus dem Siepen, F.; Hein, S.; Prestel, S.; Baumgärtner, C.; Schönland, S.; Hegenbart, U.; Röcken, C.; Katus, H.A.; Kristen, A.V. Carpal tunnel syndrome and spinal canal stenosis: Harbingers of transthyretin amyloid cardiomyopathy? Clin. Res. Cardiol. 2019, 108, 1324–1330. [Google Scholar] [CrossRef]
- Sperry, B.W.; Reyes, B.A.; Ikram, A.; Donnelly, J.P.; Phelan, D.; Jaber, W.A.; Shapiro, D.; Evans, P.J.; Maschke, S.; Kilpatrick, S.E.; et al. Tenosynovial and Cardiac Amyloidosis in Patients Undergoing Carpal Tunnel Release. J. Am. Coll. Cardiol. 2018, 72, 2040–2050. [Google Scholar] [CrossRef]
- Fosbøl, E.L.; Rørth, R.; Leicht, B.P.; Schou, M.; Maurer, M.S.; Kristensen, S.L.; Kober, L.; Gustafsson, F. Association of Carpal Tunnel Syndrome With Amyloidosis, Heart Failure, and Adverse Cardiovascular Outcomes. J. Am. Coll. Cardiol. 2019, 74, 15–23. [Google Scholar] [CrossRef] [PubMed]
- Vianello, P.F.; La Malfa, G.; Tini, G.; Mazzola, V.; Miceli, A.; Santolini, E.; Briano, S.; Porto, I.; Canepa, M. Prevalence of transthyretin amyloid cardiomyopathy in male patients who underwent bilateral carpal tunnel surgery: The ACTUAL study. Int. J. Cardiol. 2021, 329, 144–147. [Google Scholar] [CrossRef] [PubMed]
- Milandri, A.; Farioli, A.; Gagliardi, C.; Longhi, S.; Salvi, F.; Curti, S.; Foffi, S.; Caponetti, A.G.; Lorenzini, M.; Ferlini, A. Carpal tunnel syndrome in cardiac amyloidosis: Implications for early diagnosis and prognostic role across the spectrum of aetiologies. Eur. J. Heart Fail. 2020, 22, 507–515. [Google Scholar] [CrossRef]
- Severi, D.; Aruta, F.; Iovino, A.; Spina, E.; Nolano, M.; Manganelli, F.; Tozza, S. Can we identify hereditary TTR amyloidosis by the screening of carpal tunnel syndrome patients? Neurol. Sci. 2022, 43, 3435–3438. [Google Scholar] [CrossRef] [PubMed]
- Porcari, A.; Merlo, M.; Varrà, G.G.; Pagura, L.; Rozze, D.; Sinagra, G. Incidence and Characterization of Concealed Cardiac Amyloidosis Among Unselected Elderly Patients Undergoing Post-mortem Examination. Front. Cardiovasc. Med. 2021, 23, 749523. [Google Scholar] [CrossRef] [PubMed]
- Ladefoged, B.; Clemmensen, T.; Dybro, A.; Hartig-Andreasen, C.; Kirkeby, L.; Gormsen, L.C.; Bomholt, P.; Gillmore, J.; Poulsen, S.H. Identification of wild-type transthyretin cardiac amyloidosis in patients with carpal tunnel syndrome surgery (CACTuS). ESC Heart Fail. 2022, 3, 14173. [Google Scholar] [CrossRef] [PubMed]
- Clayton, R.A.; Court-Brown, C.M. The epidemiology of musculoskeletal tendinous and ligamentous injuries. Injury 2008, 39, 1338–1344. [Google Scholar] [CrossRef]
- Yoshida, N.; Tsuchida, Y. “Popeye” Sign. N. Engl. J. Med. 2017, 377, 1976. [Google Scholar] [CrossRef]
- Geller, H.I.; Singh, A.; Alexander, K.M.; Mirto, T.M.; Falk, R.H. Association between ruptured distal biceps tendon and wild-type transthyretin cardiac amyloidosis. JAMA-J. Am. Med. Assoc. 2017, 318, 962–963. [Google Scholar] [CrossRef]
- Cappelli, F.; Zampieri, M.; Fumagalli, C.; Nardi, G.; Del Monaco, G.; Cerinic, M.M.; Allinovi, M.; Taborchi, G.; Martone, R.; Gabriele, M.; et al. Tenosynovial complications identify TTR cardiac amyloidosis among patients with hypertrophic cardiomyopathy phenotype. J. Intern. Med. 2021, 289, 831–839. [Google Scholar] [CrossRef]
- Sekijima, Y.; Yazaki, M.; Ueda, M.; Koike, H.; Yamada, M.; Ando, Y. First nationwide survey on systemic wild-type ATTR amyloidosis in Japan. Amyloid 2018, 25, 8–10. [Google Scholar] [CrossRef] [PubMed]
- De Villiers, P.D.; Booysen, E.L. Fibrous spinal stenosis. A report on 850 myelograms with a water-soluble contrast medium. Clin. Orthop. Relat. Res. 1976, 115, 140–144. [Google Scholar]
- Roberson, G.H.; Llewellyn, H.J.; Taveras, J.M. The narrow lumbar spinal canal syndrome. Radiology 1973, 107, 89–97. [Google Scholar] [CrossRef]
- Fanuele, J.C.; Birkmeyer, N.; Abdu, W.A.; Tosteson, T.D.; Weinstein, J.N. The impact of spinal problems on the health status of patients: Have we underestimated the effect? Spine 2000, 25, 1509–1514. [Google Scholar] [CrossRef] [PubMed]
- Wininger, A.E.; Phelps, B.M.; Le, J.T.; Harris, J.D.; Trachtenberg, B.H.; Liberman, S.R. Musculoskeletal pathology as an early warning sign of systemic amyloidosis: A systematic review of amyloid deposition and orthopedic surgery. BMC Musculoskelet. Disord. 2021, 22, 51. [Google Scholar] [CrossRef]
- Yanagisawa, A.; Ueda, M.; Sueyoshi, T.; Okada, T.; Fujimoto, T.; Ogi, Y.; Kitagawa, K.; Tasaki, M.; Misumi, Y.; Oshima, T.; et al. Amyloid deposits derived from transthyretin in the ligamentum flavum as related to lumbar spinal canal stenosis. Mod. Pathol. 2015, 28, 201–207. [Google Scholar] [CrossRef]
- George, K.M.; Hernandez, N.S.; Breton, J.; Cooper, B.; Dowd, R.S.; Nail, J.; Yu, A.; Mastroianni, M.; Wang, A.; Godara, A.; et al. Increased thickness of lumbar spine ligamentum flavum in wild-type transthyretin amyloidosis. J. Clin. Neurosci. 2021, 84, 33–37. [Google Scholar] [CrossRef]
- Eldhagen, P.; Berg, S.; Lund, L.H.; Sörensson, P.; Suhr, O.B.; Westermark, P. Transthyretin amyloid deposits in lumbar spinal stenosis and assessment of signs of systemic amyloidosis. J. Intern. Med. 2021, 289, 895–905. [Google Scholar] [CrossRef]
- Godara, A.; Riesenburger, R.I.; Zhang, D.X.; Varga, C.; Fogaren, T.; Siddiqui, N.S.; Yu, A.; Wang, A.; Mastroianni, M.; Dowd, R.; et al. Association between spinal stenosis and wild-type ATTR amyloidosis. Amyloid 2021, 28, 226–233. [Google Scholar] [CrossRef]
- Egan, M.S.; Goldenberg, D.L.; Cohen, A.; Segal, D. The association of amyloid deposits and osteoarthritis. Arthritis Rheum. 1982, 25, 204–208. [Google Scholar] [CrossRef]
- Mitrovic, D.R.; Stankovic, A.; Quintero, M.; Ryckewaert, A. Amyloid deposits in human knee and hip joints. Rheumatol. Int. 1985, 5, 83–89. [Google Scholar] [CrossRef] [PubMed]
- Ladefoged, C. Amyloid deposits in the knee joint at autopsy. Ann. Rheum. Dis. 1986, 45, 668–672. [Google Scholar] [CrossRef]
- Takanashi, T.; Matsuda, M.; Yazaki, M.; Yamazaki, H.; Nawata, M.; Katagiri, Y.; Ikeda, S. Synovial deposition of wild-type transthyretin-derived amyloid in knee joint osteoarthritis patients. Amyloid 2013, 20, 151–155. [Google Scholar] [CrossRef] [PubMed]
- Rubin, J.; Alvarez, J.; Teruya, S.; Castano, A.; Lehman, R.A.; Weidenbaum, M.; Geller, J.A.; Helmke, S.; Maurer, M.S. Hip and knee arthroplasty are common among patients with transthyretin cardiac amyloidosis, occurring years before cardiac amyloid diagnosis: Can we identify affected patients earlier? Amyloid 2017, 24, 226–230. [Google Scholar] [CrossRef] [PubMed]
- Young, L.; Holtmann, B. Trigger finger and thumb, secondary to amyloidosis. Plast Reconstr. Surg. 1980, 65, 68–69. [Google Scholar] [CrossRef] [PubMed]
- Cordiner-Lawrie, S.; Diaz, J.; Burge, P.; Athanasou, N.A. Localized amyloid deposition in trigger finger. J. Hand Surg. Am. 2001, 26, 380–383. [Google Scholar] [CrossRef] [PubMed]
- Uotani, K.; Kawata, A.; Nagao, M.; Mizutani, T.; Hayashi, H. Trigger finger as an initial manifestation of familial amyloid polyneuropathy in a patient with Ile107Val TTR. Intern. Med 2007, 46, 501–504. [Google Scholar] [CrossRef]
- Hara, Y.; Tajiri, Y.; Kawano, K.; Hoshikawa, S.; Kita, Y. The tenosynovitis of fingers associated with transthyretin amyloidosis. J. Hand Surg. Asian Pac. Vol. 2020, 25, 340–344. [Google Scholar] [CrossRef]
- Sood, R.F.; Lipira, A.B. Risk of Amyloidosis and Heart Failure Among Patients Undergoing Surgery for Trigger Digit or Carpal Tunnel Syndrome: A Nationwide Cohort Study With Implications for Screening. J. Hand Surg. Am. 2022, 47, 517–525.e4. [Google Scholar] [CrossRef]
- M’bappé, P.; Grateau, G. Osteo-articular manifestations of amyloidosis. Best Pract. Res. Clin. Rheumatol. 2012, 26, 459–475. [Google Scholar] [CrossRef]
- Katz, G.A.; Peter, J.B.; Pearson, C.M.; Adams, W.S. The shoulder-pad sign--a diagnostic feature of amyloid arthropathy. N. Engl. J. Med. 1973, 288, 354–355. [Google Scholar] [CrossRef] [PubMed]
- Perfetto, F.; Moggi-Pignone, A.; Livi, R.; Tempestini, A.; Bergesio, F.; Matucci-Cerinic, M. Systemic amyloidosis: A challenge for the rheumatologist. Nat. Rev. Rheumatol. 2010, 6, 417–429. [Google Scholar] [CrossRef] [PubMed]
- Cardinal, E.; Buckwalter, K.A.; Braunstein, E.M.; Raymond-Tremblay, D.; Benson, M.D. Amyloidosis of the shoulder in patients on chronic hemodialysis: Sonographic findings. AJR Am. J. Roentgenol. 1996, 166, 153–156. [Google Scholar] [CrossRef] [PubMed]
- Sommer, R.; Valen, G.J.; Ori, Y.; Weinstein, T.; Katz, M.; Hendel, D.; Korzets, A. Sonographic features of dialysisrelated amyloidosis of the shoulder. J. Ultrasound. Med. 2000, 19, 765–770. [Google Scholar] [CrossRef]
- Takashio, S.; Nishi, M.; Tsuruta, Y.; Tsujita, K. Wild-type transthyretin amyloid cardiomyopathy complicated by spinal canal stenosis, carpal tunnel syndrome, and rotator cuff tears: A case report. Eur. Heart J. Case Rep. 2020, 4, 1–6. [Google Scholar] [CrossRef]
- Sueyoshi, T.; Ueda, M.; Jono, H.; Irie, H.; Sei, A.; Ide, J.; Ando, Y.; Mizuta, H. Wild-type transthyretin-derived amyloidosis in various ligaments and tendons. Hum. Pathol. 2011, 42, 1259–1264. [Google Scholar] [CrossRef]
- Mangione, P.P.; Porcari, R.; Gillmore, J.D.; Pucci, P.; Monti, M.; Porcari, M.; Giorgetti, S.; Marchese, L.; Raimondi, S.; Serpell, L.C.; et al. Proteolytic cleavage of Ser52Pro variant transthyretin triggers its amyloid fibrillogenesis. Proc. Natl. Acad. Sci. USA 2014, 28, 1539–1544. [Google Scholar] [CrossRef]
- Marcoux, J.; Mangione, P.P.; Porcari, R.; Degiacomi, M.; Verona, G.; Taylor, G.W.; Giorgetti, S.; Raimondi, S.; Sanglier-Cianferani, S.; Benesch, J.; et al. A novel mechano-enzymatic cleavage mechanism underlies transthyretin amyloidogenesis. EMBO Mol. Med. 2015, 7, 1337–1349. [Google Scholar] [CrossRef]
- Mangione, P.P.; Verona, G.; Corazza, A.; Marcoux, J.; Canetti, D.; Giorgetti, S.; Raimondi, S.; Stoppini, M.; Esposito, M.; Relini, A.; et al. Plasminogen activation triggers transthyretin amyloidogenesis in vitro. J. Biol. Chem. 2018, 14, 14192–14199. [Google Scholar] [CrossRef]
- Fumagalli, C.; Zampieri, M.; Perfetto, F.; Zocchi, C.; Maurizi, N.; Tassetti, L.; Ungar, A.; Gabriele, M.; Nardi, G.; Del Monaco, G.; et al. Early diagnosis and outcome in patients with wild-type transthyretin cardiac amyloidosis. Mayo Clin. Proc. 2021, 96, 2185–2191. [Google Scholar] [CrossRef]
- Donnelly, J.P.; Hanna, M.; Sperry, B.W.; Seitz, W.H., Jr. Carpal Tunnel Syndrome: A Potential Early, Red-Flag Sign of Amyloidosis. J. Hand Surg. Am. 2019, 44, 868–876. [Google Scholar] [CrossRef] [PubMed]
- Benson, M.D.; Berk, J.L.; Dispenzieri, A.; Damy, T.; Gillmore, J.D.; Hazenberg, B.P.; Lavatelli, F.; Picken, M.M.; Röcken, C.; Schönland, S.; et al. Tissue biopsy for the diagnosis of amyloidosis: Experience from some centres. Amyloid 2021, 12, 8–13. [Google Scholar] [CrossRef] [PubMed]






Publisher’s Note: MDPI stays neutral with regard to jurisdictional claims in published maps and institutional affiliations. |
© 2022 by the authors. Licensee MDPI, Basel, Switzerland. This article is an open access article distributed under the terms and conditions of the Creative Commons Attribution (CC BY) license (https://creativecommons.org/licenses/by/4.0/).
Share and Cite
Perfetto, F.; Zampieri, M.; Bandini, G.; Fedi, R.; Tarquini, R.; Santi, R.; Novelli, L.; Allinovi, M.; Argirò, A.; Cappelli, F. Transthyretin Cardiac Amyloidosis: A Cardio-Orthopedic Disease. Biomedicines 2022, 10, 3226. https://doi.org/10.3390/biomedicines10123226
Perfetto F, Zampieri M, Bandini G, Fedi R, Tarquini R, Santi R, Novelli L, Allinovi M, Argirò A, Cappelli F. Transthyretin Cardiac Amyloidosis: A Cardio-Orthopedic Disease. Biomedicines. 2022; 10(12):3226. https://doi.org/10.3390/biomedicines10123226
Chicago/Turabian StylePerfetto, Federico, Mattia Zampieri, Giulia Bandini, Roberto Fedi, Roberto Tarquini, Raffaella Santi, Luca Novelli, Marco Allinovi, Alessia Argirò, and Francesco Cappelli. 2022. "Transthyretin Cardiac Amyloidosis: A Cardio-Orthopedic Disease" Biomedicines 10, no. 12: 3226. https://doi.org/10.3390/biomedicines10123226
APA StylePerfetto, F., Zampieri, M., Bandini, G., Fedi, R., Tarquini, R., Santi, R., Novelli, L., Allinovi, M., Argirò, A., & Cappelli, F. (2022). Transthyretin Cardiac Amyloidosis: A Cardio-Orthopedic Disease. Biomedicines, 10(12), 3226. https://doi.org/10.3390/biomedicines10123226

