Benign Metastasizing Leiomyoma of the Lung: Diagnostic Process and Treatment Based on Three Case Reports and a Review of the Literature
Abstract
1. Introduction
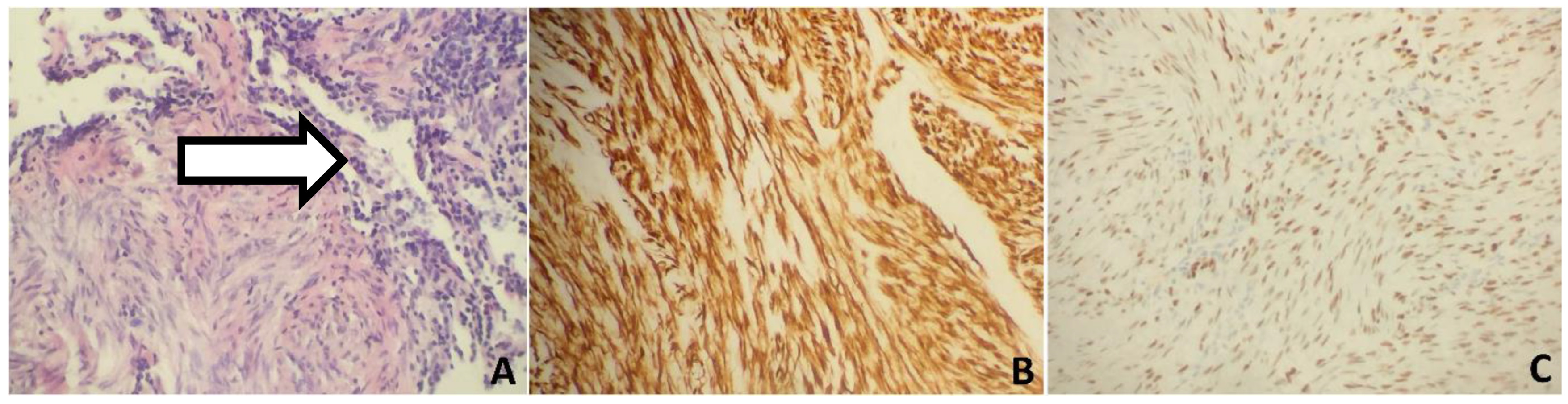
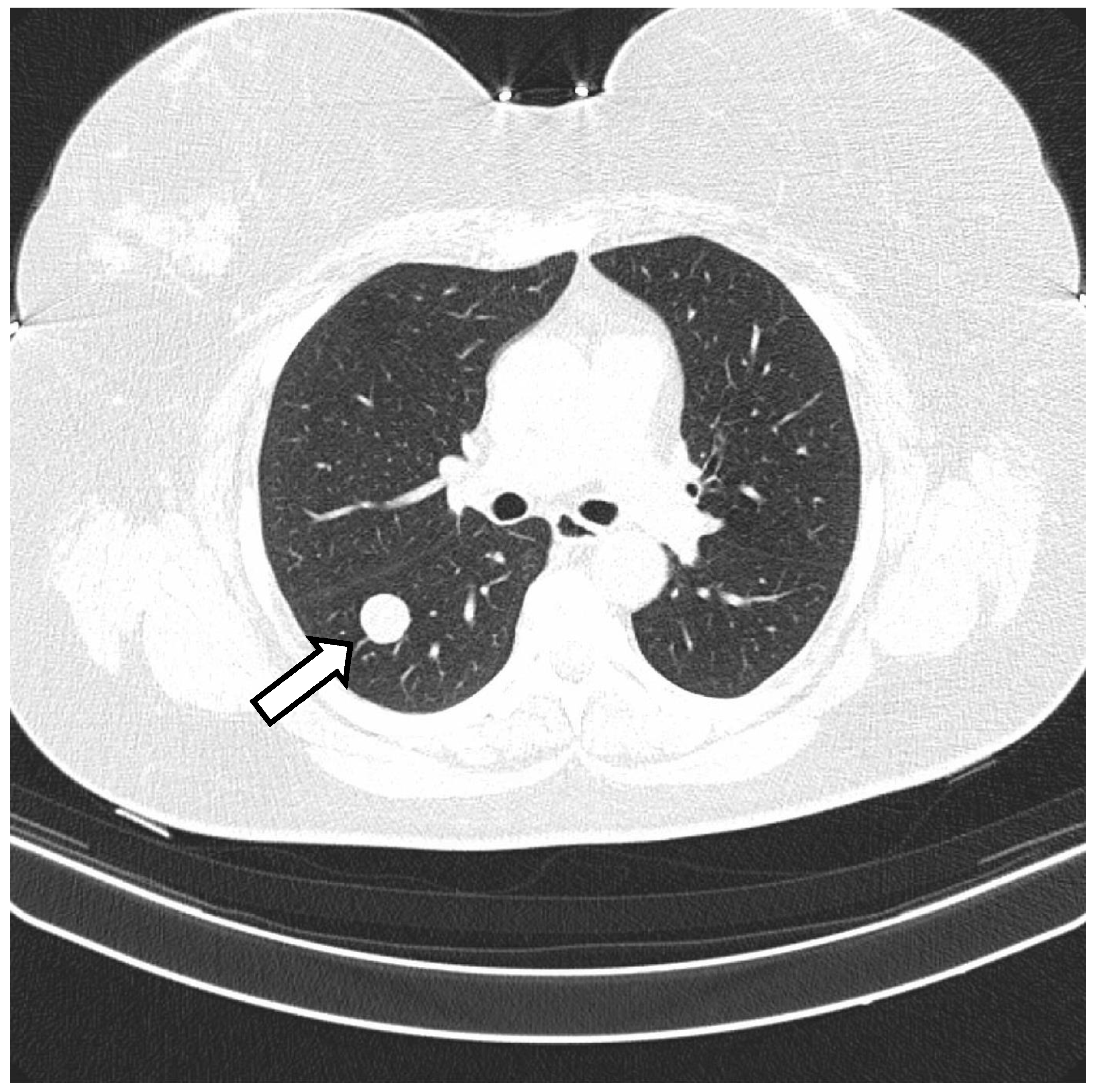
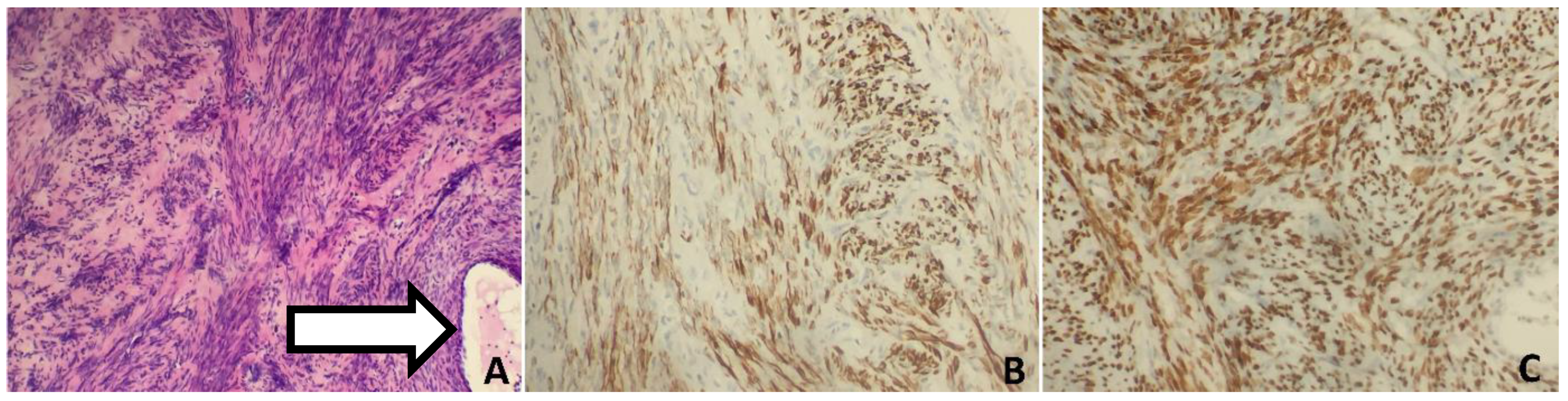
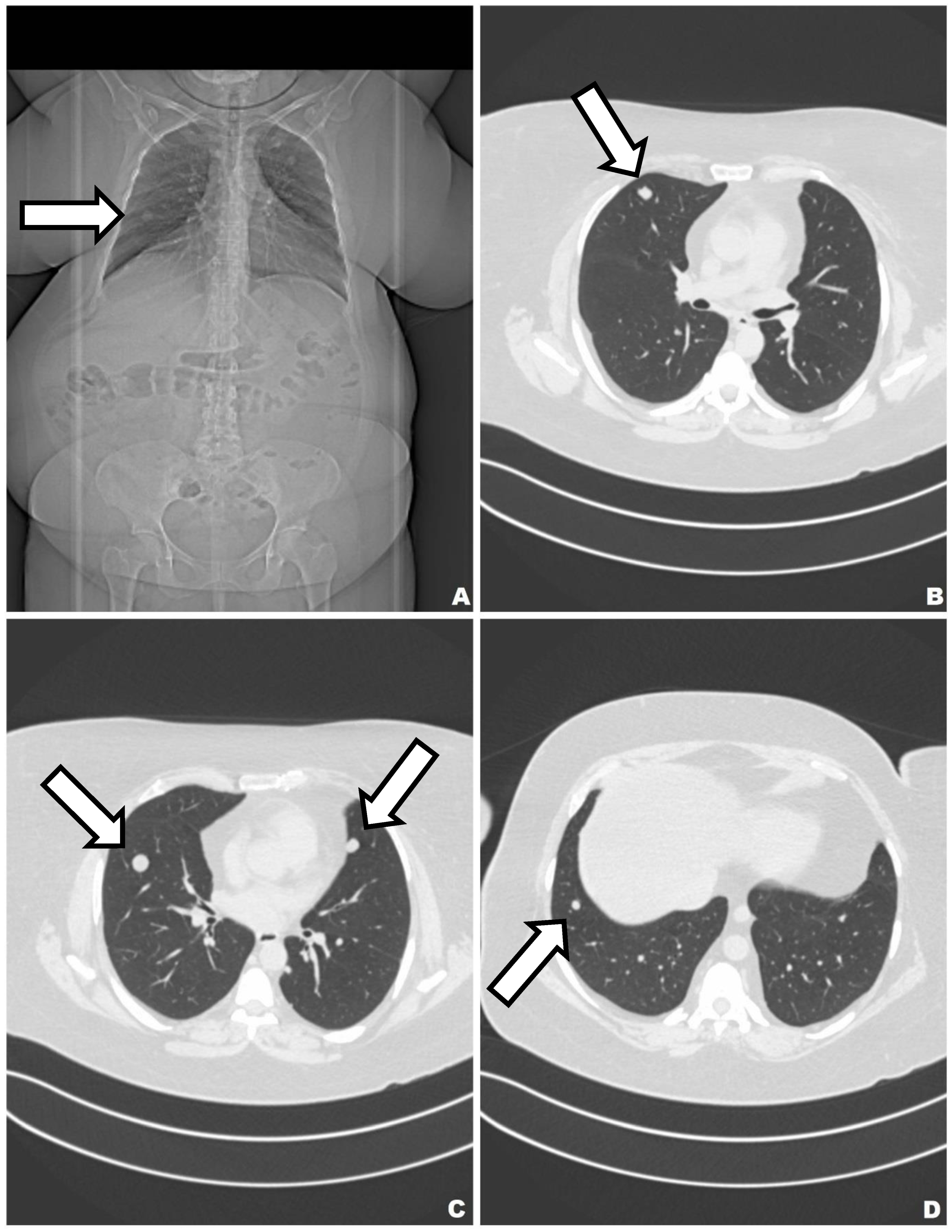
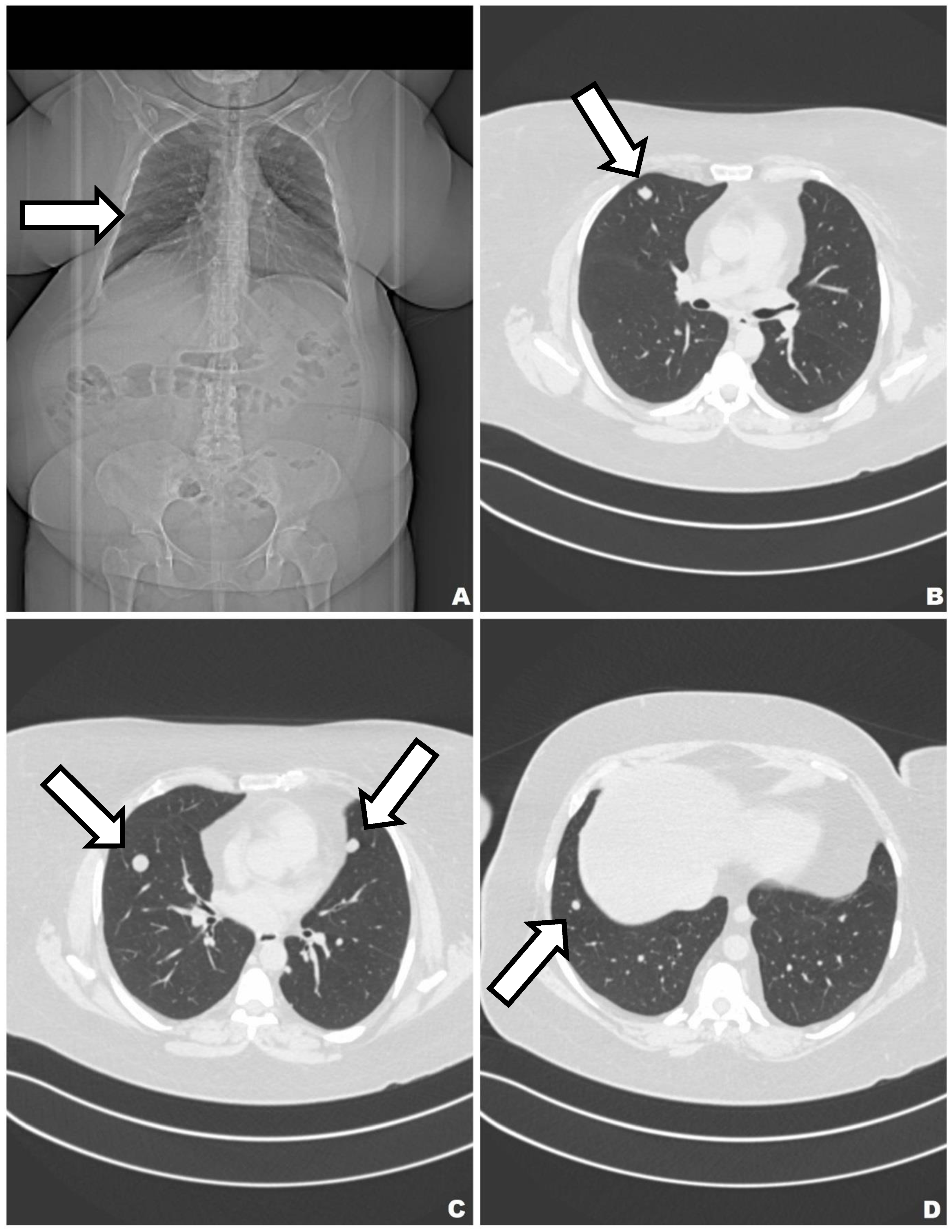
2. Case 1
3. Case 2
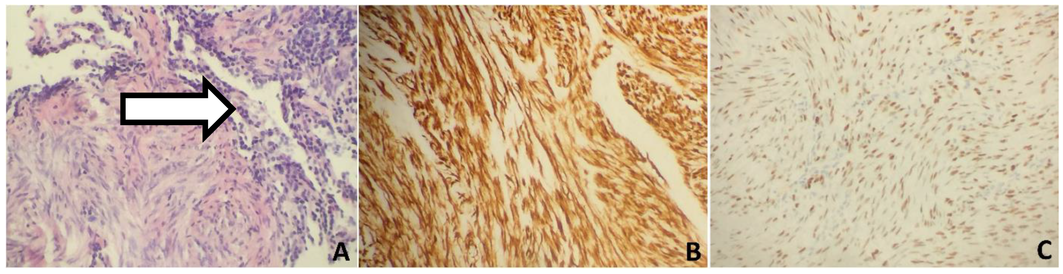
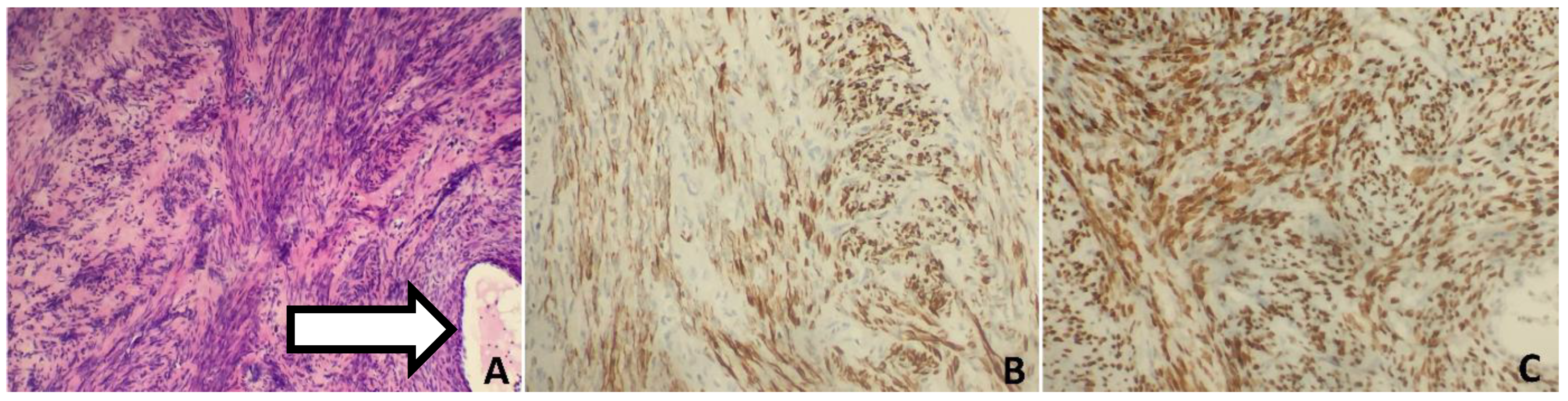
4. Case 3
5. Discussion
6. Conclusions
Author Contributions
Funding
Institutional Review Board Statement
Informed Consent Statement
Data Availability Statement
Conflicts of Interest
References
- Ki, E.Y.; Hwang, S.J.; Lee, K.H.; Park, J.S.; Hur, S.Y. Benign metastasizing leiomyoma of the lung. World J. Surg. Oncol. 2013, 11, 279. [Google Scholar] [CrossRef]
- Baird, D.; Dunson, D.B.; Hill, M.C.; Cousins, D.; Schectman, J.M. High cumulative incidence of uterine leiomyoma in black and white women: Ultrasound evidence. Am. J. Obstet. Gynecol. 2003, 188, 100–107. [Google Scholar] [CrossRef]
- Sabry, M.; Al-Hendy, A. Medical Treatment of Uterine Leiomyoma. Reprod. Sci. 2012, 19, 339–353. [Google Scholar] [CrossRef]
- Croxtall, J.D. Ulipristal acetate: In uterine fibroids. Drugs 2012, 28, 1075–1085. [Google Scholar] [CrossRef]
- Donnez, J.; Tomaszewski, J.; Vázquez, F.; Bouchard, P.; Lemieszczuk, B.; Baro, F.; Nouri, K.; Selvaggi, L.; Sodowski, K.; Bestel, E.; et al. Ulipristal acetate versus leuprolide acetate for uterine fibroids. N. Engl. J. Med. 2012, 366, 421–432. [Google Scholar] [CrossRef]
- Donnez, J.; Courtoy, G.E.; Donnez, O.; Dolmans, M.-M. Ulipristal acetate for the management of large uterine fibroids associated with heavy bleeding: A review. Reprod. Biomed. Online 2018, 37, 216–223. [Google Scholar] [CrossRef]
- Rizzo, V.; Parissis, H. A rare case of benign metastasizing leiomyoma. J. Surg. Case. Rep. 2017, 2017, rjx190. [Google Scholar] [CrossRef] [PubMed]
- Barnaś, E.; Książek, M.; Raś, R.; Skręt, A.; Magierło, J.S.; Gajzlerska, E.D. Benign metastasizing leiomyoma: A review of current literature in respect to the time and type of previous gynecological surgery. PLoS ONE 2017, 12, e0175875. [Google Scholar] [CrossRef]
- Wiencek-Weiss, A.J.; Bruliński, K. Benign metastasizing leiomyomas in the lungs: A case study. Kardiochir Torakochirurgia Pol. 2016, 13, 61–63. [Google Scholar] [CrossRef]
- Bakkensen, J.B.; Samore, W.; Bortoletto, P.; Morton, C.C.; Anchan, R.M. Pelvic and pulmonary benign metastasizing leiomyoma: A case report. Case Rep. Women’s Health. 2018, 18, e00061. [Google Scholar] [CrossRef] [PubMed]
- Wei, W.-T.; Chen, P.-C. Benign metastasizing leiomyoma of the lung: A case report and literature review. Oncol. Lett. 2015, 10, 307–312. [Google Scholar] [CrossRef][Green Version]
- Choe, Y.H.; Jeon, S.Y.; Lee, Y.C.; Chung, M.J.; Park, S.Y.; Lee, Y.C.; Kim, S.R. Benign metastasizing leiomyoma presenting as multiple cystic pulmonary nodules: A case report. BMC Women’s Health 2017, 17, 81. [Google Scholar] [CrossRef]
- Ma, H.; Cao, J. Benign pulmonary metastasizing leiomyoma of the uterus: A case report. Oncol. Lett. 2015, 9, 1347–1350. [Google Scholar] [CrossRef]
- Aka, N.; Iscan, R.; Köse, G.; Kaban, I. Benign pulmonary metastasizing leiomyoma of the uterus. J. Clin. Diagn. Res. 2016, 10, QD01–QD03. [Google Scholar] [CrossRef]
- Lee, S.R.; Choi, Y.-I.; Lee, S.J.; Shim, S.S.; Lee, J.H.; Kim, Y.K.; Sung, S.H. Multiple cavitating pulmonary nodules: Rare manifestation of benign metastatic leiomyoma. J. Thorac. Dis. 2017, 9, E1–E5. [Google Scholar] [CrossRef] [PubMed]
- Fan, D.; Yi, X. Pulmonary benign metastasizing leiomyoma: A case report. Int. J. Clin. Exp. Pathol. 2014, 7, 7072–7075. [Google Scholar] [PubMed]
- Sawicki, M.; Kołaczyk, K.; Chamier-Ciemińska, K.; Walecka, A.; Chosia, M.; Szydłowska, I.; Starczewski, A.; Grodzki, T.; Smereczyński, A. Pulmonary Benign Metastasizing Leiomyoma from the Uterine Leiomyoma: A Case Report. Pol. J. Radiol. 2015, 80, 107–110. [Google Scholar] [CrossRef][Green Version]
- Khan, M.M.K.S.; Faisal, A.; Ibrahim, H.; Barnes, T.; van Otteren, G.M. Pulmonary benign metastasizing leiomyoma: A case report. Respir. Med. Case Rep. 2018, 24, 117–121. [Google Scholar] [CrossRef] [PubMed]
- Hann, M.; Manacheril, R.; Pierre, J.S.; Gala, R. Recurrent Pneumothoraces in a Patient With Pulmonary Benign Metastasizing Leiomyoma. Ochsner J. 2017, 17, 284–287. [Google Scholar] [PubMed]
- Ottlakan, A.; Borda, B.; Lazar, G.; Tiszlavicz, L.; Furak, J. Treatment decision based on the biological behavior of pulmonary benign metastasizing leiomyoma. J. Thorac. Dis. 2016, 8, E672–E676. [Google Scholar] [CrossRef]
- Efared, B.; Atsame-Ebang, G.; Sani, R.; Tahiri, L.; Sidibe, I.S.; Erregad, F.; Hammas, N.; Smahi, M.; Serraj, M.; Chbani, L.; et al. Unexpected pulmonary tumor: Metastasis from a benign uterine leiomyoma in a post-menopausal woman: A case report. BMC Res. Notes 2017, 10, 662. [Google Scholar] [CrossRef]
- Maskey-Warzęchowska, M.; Chojnowska, M.; Ptaszyński, K.; Rubinsztajn, R.; Padzik-Moczydłowska, M.; Krenke, R. Metastasising Leiomyoma of the Uterus with Pulmonary Involvement—Case Report. Adv. Respir. Med. 2017, 85, 211–215. [Google Scholar] [CrossRef] [PubMed][Green Version]
- Jo, H.; Baek, J. Case of pulmonary benign metastasizing leiomyoma from synchronous uterine leiomyoma in a postmenopausal woman. Gynecol. Oncol. Rep. 2018, 26, 33–36. [Google Scholar] [CrossRef]
- Ofori, K.; Fernandes, H.; Cummings, M.; Colby, T.; Saqi, A. Benign metastasizing leiomyoma presenting with miliary pattern and fatal outcome: Case report with molecular analysis & review of the literature. Respir. Med. Case Rep. 2019, 27, 100831. [Google Scholar] [PubMed]
- Canzonieri, V.; Carbone, A.; D’Amore, E.S.G.; Bartoloni, G.; Piazza, M.; Blandamura, S. Leiomyomatosis with vascular invasion. A unified pathogenesis regarding leiomyoma with vascular microinvasion, benign metastasizing leiomyoma and intravenous leiomyomatosis. Virchows Arch. 1994, 425, 541–545. [Google Scholar] [CrossRef]
- Pacheco-Rodriguez, G.; da Silva, A.M.; Moss, J. Benign metastasizing leiomyoma. Clin. Chest Med. 2016, 37, 589–595. [Google Scholar] [CrossRef] [PubMed]
- Nuovo, G.; Schmittgen, T. Benign metastasizing leiomyoma of the lung: Clinicopathologic, immunohistochemical, and micro-RNA analyses. Diagn. Mol. Pathol. 2008, 3, 145–150. [Google Scholar] [CrossRef] [PubMed]
- Jolissaint, J.; Kilbourne, S.K.; LaFortune, K.; Patel, M.; Lau, C.L. Benign metastasizing leiomyomatosis (BML): A rare cause of cavitary and cystic pulmonary nodules. Respir. Med. Case Rep. 2015, 16, 122–124. [Google Scholar] [CrossRef][Green Version]
- Awonuga, A.O.; Shavell, V.I.; Imudia, A.N.; Rotas, M.; Diamond, M.; Puscheck, E.E. pathogenesis of benign metastasizing leiomyoma: A review. Obstet. Gynecol. Surv. 2010, 65, 189–195. [Google Scholar] [CrossRef] [PubMed]
- Yoon, G.; Kim, T.-J.; Sung, C.-O.; Choi, C.H.; Lee, J.-W.; Lee, J.-H.; Bae, D.-S.; Kim, B.-G. Benign Metastasizing Leiomyoma with Multiple Lymph Node Metastasis: A Case Report. Cancer Res. Treat. 2011, 43, 131–133. [Google Scholar] [CrossRef]
- Goto, T.; Maeshima, A.; Akanabe, K.; Hamaguchi, R.; Wakaki, M.; Oyamada, Y.; Kato, R. Benign Metastasizing Leiomyoma of the Lung. Ann. Thorac. Cardiovasc. Surg. 2012, 18, 121–124. [Google Scholar] [CrossRef] [PubMed]
- Funakoshi, Y.; Sawabata, N.; Takeda, S.-I.; Hayakawa, M.; Okumura, Y.; Maeda, H. Pulmonary Benign Metastasizing Leiomyoma from the Uterus in a Postmenopausal Woman: Report of a Case. Surg. Today 2004, 34, 55–57. [Google Scholar] [CrossRef] [PubMed]
- Levy, G.; Elkas, J.; Armstrong, A.Y.; Nieman, L.K. Endometrial Effects of Prolonged Therapy with the Selective Progesterone Receptor Modulator Ulipristal Acetate: A Case Report. J. Reprod. Med. 2016, 61, 159–162. [Google Scholar] [PubMed]
- Verguts, J.; Orye, G.; Marquette, S. Symptom relief of leiomyomatosis peritonealis disseminata with ulipristal acetate. Gynecol. Surg. 2014, 11, 57–58. [Google Scholar] [CrossRef]
- Kortekaas, K.; Pelikan, H.M.P. Non-surgical intervention for retroperitoneal lymphogenic and pulmonary metastases of a benign leiomyoma: Treatment with ulipristal acetate. BMJ Case Rep. 2018, 2018, bcr2017222693. [Google Scholar] [CrossRef] [PubMed]
- Kyriakopoulos, K.; Domali, E.; Stavrou, S.; Rodolakis, A.; Loutradis, D.; Drakakis, P. Recurrent benign leiomyomas after total abdominal hysterectomy. Rich or poor estrogenic environment may lead to their recurrence? Int. J. Surg. Case Rep. 2018, 44, 191–193. [Google Scholar] [CrossRef]
- Gad, M.M.; Găman, M.A.; Bazarbashi, N.; Friedman, K.A.; Gupta, A. Suspicious right heart mass. A rare case of benign metastasizing leiomyoma of the tricuspid valve. JACC Case Rep. 2020, 1, 51–54. [Google Scholar]
- Parker, N.; Dakhil, C.S.; Dakhil, S.R.; Lalich, D. Metastasis of Benign Leiomyomas Outside the Uterus. Kans. J. Med. 2018, 11, 56–58. [Google Scholar] [CrossRef]
- Matos, F.; Santiago, C.; Silva, D. Multisystemic Benign Metastasizing Leiomyoma: An Unusual Condition with an Atypical Clinical Presentation. Case Rep. Radiol. 2019, 2019, 7014248. [Google Scholar] [CrossRef]






Publisher’s Note: MDPI stays neutral with regard to jurisdictional claims in published maps and institutional affiliations. |
© 2022 by the authors. Licensee MDPI, Basel, Switzerland. This article is an open access article distributed under the terms and conditions of the Creative Commons Attribution (CC BY) license (https://creativecommons.org/licenses/by/4.0/).
Share and Cite
Wojtyś, M.E.; Kacalska-Janssen, O.; Ptaszyński, K.; Lisowski, P.; Kunc, M.; Wójcik, J.; Grodzki, T. Benign Metastasizing Leiomyoma of the Lung: Diagnostic Process and Treatment Based on Three Case Reports and a Review of the Literature. Biomedicines 2022, 10, 2465. https://doi.org/10.3390/biomedicines10102465
Wojtyś ME, Kacalska-Janssen O, Ptaszyński K, Lisowski P, Kunc M, Wójcik J, Grodzki T. Benign Metastasizing Leiomyoma of the Lung: Diagnostic Process and Treatment Based on Three Case Reports and a Review of the Literature. Biomedicines. 2022; 10(10):2465. https://doi.org/10.3390/biomedicines10102465
Chicago/Turabian StyleWojtyś, Małgorzata Edyta, Olga Kacalska-Janssen, Konrad Ptaszyński, Piotr Lisowski, Michał Kunc, Janusz Wójcik, and Tomasz Grodzki. 2022. "Benign Metastasizing Leiomyoma of the Lung: Diagnostic Process and Treatment Based on Three Case Reports and a Review of the Literature" Biomedicines 10, no. 10: 2465. https://doi.org/10.3390/biomedicines10102465
APA StyleWojtyś, M. E., Kacalska-Janssen, O., Ptaszyński, K., Lisowski, P., Kunc, M., Wójcik, J., & Grodzki, T. (2022). Benign Metastasizing Leiomyoma of the Lung: Diagnostic Process and Treatment Based on Three Case Reports and a Review of the Literature. Biomedicines, 10(10), 2465. https://doi.org/10.3390/biomedicines10102465

