A Foldable Thermoplastic Microdevice Integrating Isothermal Amplification and Schiff-Reaction-Based Colorimetric Assay for the Detection of Infectious Pathogens
Abstract
1. Introduction
2. Materials and Methods
2.1. Chemicals and Materials
2.2. LAMP Amplification
2.3. Colorimetric Detection Using Schiff’s Reagent
2.4. Fabrication and Operation of a Foldable Microdevice
3. Results and Discussions
3.1. Acid Hydrolysis of DNA in Amplicons
3.2. Specificity Test of the LAMP Assay
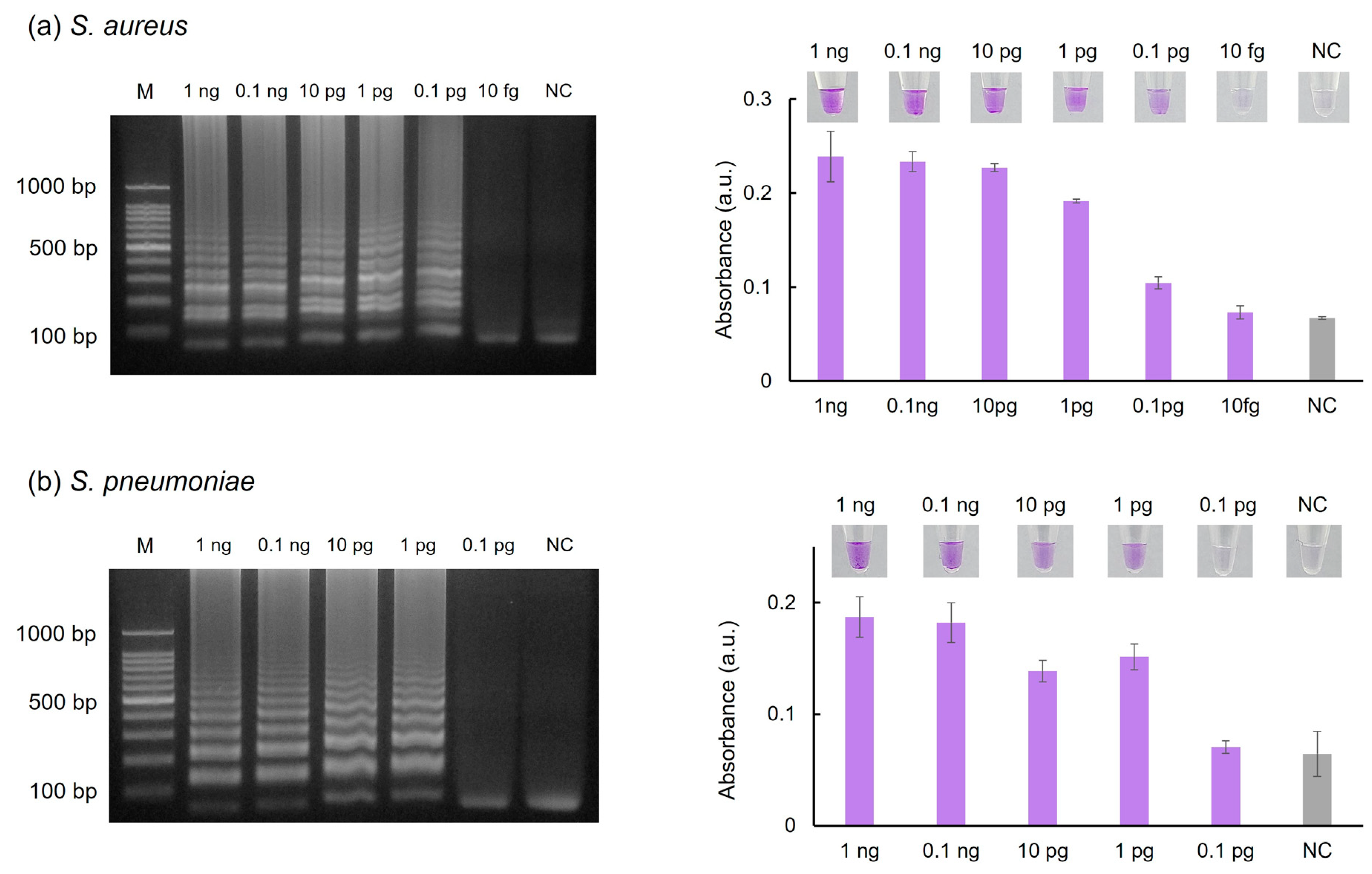
3.3. Sensitivity Test of the LAMP Assay
3.4. Effect of dNTPs on the Colorimetric Assay
3.5. Effect of the HCl-Soaked Paper on the Colorimetric Assay
3.6. Visual Detection of Amplicons Using a Foldable Microdevice
4. Conclusions
Author Contributions
Funding
Data Availability Statement
Conflicts of Interest
References
- McNeil, J.C.; Flores, A.R.; Kaplan, S.L.; Hulten, K.G. The indirect impact of the SARS-CoV-2 pandemic on invasive group A Streptococcus, Streptococcus pneumoniae and Staphylococcus aureus infections in Houston area children. Pediatr. Infect. Dis. 2021, 40, e313. [Google Scholar] [CrossRef] [PubMed]
- Simon, C.; Rachel, T.; Benoît, L.G.; Emmanuel, H.; Denis, M.; Camille, L.; Estelle, L.P.; Laurie, C.; Helene, C.; Raphael, L.; et al. Septic arthritis of the facet joint is also a severe vertebral infection: A multicenter retrospective study of 65 patients. Jt. Bone Spine 2024, 91, 105703. [Google Scholar] [CrossRef]
- McNeil, J.C.; Sommer, L.M.; Vallejo, J.G.; Boyle, M.; Hulten, K.G.; Kaplan, S.L.; Fritz, S.A. Going back in time: Increasing penicillin susceptibility among methicillin-susceptible Staphylococcus aureus osteoarticular infections in children. Antimicrob. Agents Chemother. 2023, 67, e01196-22. [Google Scholar] [CrossRef]
- Howden, B.P.; Giulieri, S.G.; Lung, T.W.F.; Baines, S.L.; Sharkey, L.K.; Lee, J.Y.; Hachani, A.; Monk, I.R.; Stinear, T.P. Staphylococcus aureus host interactions and adaptation. Nat. Rev. Microbiol. 2023, 21, 380–395. [Google Scholar] [CrossRef] [PubMed]
- Kim, J.; Lee, H.W.; Rhee, D.K.; Paton, J.C.; Pyo, S. Pneumolysin-induced autophagy contributes to inhibition of osteoblast differentiation through downregulation of Sp1 in human osteosarcoma cells. Biochim. Biophys. Acta (BBA) Gen. Subj. 2017, 1861, 2663–2673. [Google Scholar] [CrossRef]
- Oh, M.W.; Lin, J.; Chong, S.Y.; Lew, S.Q.; Alam, T.; Lau, G.W. Time-resolved RNA-seq analysis to unravel the in vivo competence induction by Streptococcus pneumoniae during pneumonia-derived sepsis. Microbiol. Spectr. 2024, 12, e03050-23. [Google Scholar] [CrossRef]
- Jacques, L.C.; Green, A.E.; Barton, T.E.; Baltazar, M.; Aleksandrowicz, J.; Xu, R.; Trochu, E.; Kadioglu, A.; Neill, D.R. Influence of Streptococcus pneumoniae within-strain population diversity on virulence and pathogenesis. Microbiol. Spectr. 2023, 11, e03103-22. [Google Scholar] [CrossRef]
- Foddai, A.C.; Grant, I.R. Methods for detection of viable foodborne pathogens: Current state-of-art and future prospects. Appl. Microbiol. Biotechnol. 2020, 104, 4281–4288. [Google Scholar] [CrossRef]
- Riu, J.; Giussani, B. Electrochemical biosensors for the detection of pathogenic bacteria in food. TrAC Trends Anal. Chem. 2020, 126, 115863. [Google Scholar] [CrossRef]
- Wang, C.; Liu, M.; Wang, Z.; Li, S.; Deng, Y.; He, N. Point-of-care diagnostics for infectious diseases: From methods to devices. Nano Today 2021, 37, 101092. [Google Scholar] [CrossRef]
- Craw, P.; Balachandran, W. Isothermal nucleic acid amplification technologies for point-of-care diagnostics: A critical review. Lab Chip 2012, 12, 2469–2486. [Google Scholar] [CrossRef] [PubMed]
- Obande, G.A.; Banga Singh, K.K. Current and future perspectives on isothermal nucleic acid amplification technologies for diagnosing infections. Infect. Drug Resist. 2020, 13, 455–483. [Google Scholar] [CrossRef]
- Zhu, H.; Zhang, H.; Xu, Y.; Laššáková, S.; Korabečná, M.; Neužil, P. PCR past, present and future. Biotechniques 2020, 69, 317–325. [Google Scholar] [CrossRef] [PubMed]
- Li, J.; Macdonald, J. Advances in isothermal amplification: Novel strategies inspired by biological processes. Biosens. Bioelectron. 2015, 64, 196–211. [Google Scholar] [CrossRef] [PubMed]
- Notomi, T.; Okayama, H.; Masubuchi, H.; Yonekawa, T.; Watanabe, K.; Amino, N.; Hase, T. Loop-mediated isothermal amplification of DNA. Nucleic Acids Res. 2000, 28, e63. [Google Scholar] [CrossRef] [PubMed]
- Notomi, T.; Mori, Y.; Tomita, N.; Kanda, H. Loop-mediated isothermal amplification (LAMP): Principle, features, and future prospects. J. Microbiol. 2015, 53, 1–5. [Google Scholar] [CrossRef]
- Augustine, R.; Hasan, A.; Das, S.; Ahmed, R.; Mori, Y.; Notomi, T.; Kevadiya, B.D.; Thakor, A.S. Loop-mediated isothermal amplification (LAMP): A rapid, sensitive, specific, and cost-effective point-of-care test for coronaviruses in the context of COVID-19 pandemic. Biology 2020, 9, 182. [Google Scholar] [CrossRef] [PubMed]
- Kashir, J.; Yaqinuddin, A. Loop mediated isothermal amplification (LAMP) assays as a rapid diagnostic for COVID-19. Med. Hypotheses 2020, 141, 109786. [Google Scholar] [CrossRef] [PubMed]
- Garg, N.; Ahmad, F.J.; Kar, S. Recent advances in loop-mediated isothermal amplification (LAMP) for rapid and efficient detection of pathogens. Curr. Res. Microb. Sci. 2022, 3, 100120. [Google Scholar] [CrossRef]
- Li, Y.; Fan, P.; Zhou, S.; Zhang, L. Loop-mediated isothermal amplification (LAMP): A novel rapid detection platform for pathogens. Microb. Pathog. 2017, 107, 54–61. [Google Scholar] [CrossRef]
- Alves, P.A.; de Oliveira, E.G.; Franco-Luiz, A.P.M.; Almeida, L.T.; Gonçalves, A.B.; Borges, I.A.; Rocha, F.d.S.; Rocha, R.P.; Bezerra, M.F.; Miranda, P.; et al. Optimization and clinical validation of colorimetric reverse transcription loop-mediated isothermal amplification, a fast, highly sensitive and specific COVID-19 molecular diagnostic tool that is robust to detect SARS-CoV-2 variants of concern. Front. Microbiol. 2021, 12, 713713. [Google Scholar] [CrossRef]
- Fischbach, J.; Xander, N.C.; Frohme, M.; Glökler, J.F. Shining a light on LAMP assays’ A comparison of LAMP visualization methods including the novel use of berberine. Biotechniques 2015, 58, 189–194. [Google Scholar] [CrossRef]
- Anupama, K.P.; Nayak, A.; Karunasagar, I.; Maiti, B. Rapid visual detection of Vibrio parahaemolyticus in seafood samples by loop-mediated isothermal amplification with hydroxynaphthol blue dye. World J. Microbiol. Biotechnol. 2020, 36, 1–10. [Google Scholar] [CrossRef]
- Bruneval, P.; Choucair, J.; Paraf, F.; Casalta, J.P.; Raoult, D.; Scherchen, F.; Mainardi, J.L. Detection of fastidious bacteria in cardiac valves in cases of blood culture negative endocarditis. J. Clin. Pathol. 2001, 54, 238–240. [Google Scholar] [CrossRef] [PubMed]
- Trinh, T.N.D.; Lee, N.Y. A foldable isothermal amplification microdevice for fuchsin-based colorimetric detection of multiple foodborne pathogens. Lab Chip 2019, 19, 1397–1405. [Google Scholar] [CrossRef]
- Trinh, K.T.L.; Trinh, T.N.D.; Lee, N.Y. Fully integrated and slidable paper-embedded plastic microdevice for point-of-care testing of multiple foodborne pathogens. Biosens. Bioelectron. 2019, 135, 120–128. [Google Scholar] [CrossRef] [PubMed]
- Mello, M.L.S.; de Campos Vidal, B. The Feulgen reaction: A brief review and new perspectives. Acta Histochem. 2017, 119, 603–609. [Google Scholar] [CrossRef]
- Thai, D.A.; Lee, N.Y. A point-of-care platform for hair loss-related single nucleotide polymorphism genotyping. Anal. Chim. Acta 2023, 1283, 341973. [Google Scholar] [CrossRef] [PubMed]
- Kampmann, M.L.; Børsting, C.; Morling, N. Decrease DNA contamination in the laboratories. Forensic Sci. Int. Genet. 2017, 6, e577–e578. [Google Scholar] [CrossRef]









| Target | Primer Name | Primer Sequences (5′-3′) |
|---|---|---|
| katA gene (S. aureus) | F3 | AGATCTTAATGTCAGATAGAGG |
| B3 | TTGGATGAATCGCGATCT | |
| FIP | ACACGTTCACCAGAATCATTATACAG ATTCCTAAAGATTTGCGTCAC | |
| BIP | AATTCCATTTTAGAACGCAACAAGG TGCTATAATTTCAGCAGCTACT | |
| LB | GTGTGTGAACCGAACCCATGCA | |
| ply gene (S. pneumoniae) | F3 | AAAGAAGCGGAGCTGTC |
| B3 | TCCACTTGGAGAAAGCTATC | |
| FIP | ACTACGAGAAGTGCTCCAGGTGATAT TTCTGTAACAGCTACCAA | |
| BIP | AATCCCACTCTTCTTGCGGTGCTACTT GCCAAACCAGG | |
| LB | CGATCGTGCTCCGATGACTT |
Disclaimer/Publisher’s Note: The statements, opinions and data contained in all publications are solely those of the individual author(s) and contributor(s) and not of MDPI and/or the editor(s). MDPI and/or the editor(s) disclaim responsibility for any injury to people or property resulting from any ideas, methods, instructions or products referred to in the content. |
© 2024 by the authors. Licensee MDPI, Basel, Switzerland. This article is an open access article distributed under the terms and conditions of the Creative Commons Attribution (CC BY) license (https://creativecommons.org/licenses/by/4.0/).
Share and Cite
Kim, H.M.; Lee, N.Y. A Foldable Thermoplastic Microdevice Integrating Isothermal Amplification and Schiff-Reaction-Based Colorimetric Assay for the Detection of Infectious Pathogens. Chemosensors 2024, 12, 75. https://doi.org/10.3390/chemosensors12050075
Kim HM, Lee NY. A Foldable Thermoplastic Microdevice Integrating Isothermal Amplification and Schiff-Reaction-Based Colorimetric Assay for the Detection of Infectious Pathogens. Chemosensors. 2024; 12(5):75. https://doi.org/10.3390/chemosensors12050075
Chicago/Turabian StyleKim, Hee Mang, and Nae Yoon Lee. 2024. "A Foldable Thermoplastic Microdevice Integrating Isothermal Amplification and Schiff-Reaction-Based Colorimetric Assay for the Detection of Infectious Pathogens" Chemosensors 12, no. 5: 75. https://doi.org/10.3390/chemosensors12050075
APA StyleKim, H. M., & Lee, N. Y. (2024). A Foldable Thermoplastic Microdevice Integrating Isothermal Amplification and Schiff-Reaction-Based Colorimetric Assay for the Detection of Infectious Pathogens. Chemosensors, 12(5), 75. https://doi.org/10.3390/chemosensors12050075

