Mantle Cell Lymphoma Presenting as Acute Abdominal Syndrome: A Rare Case Report and Literature Review
Abstract
1. Introduction
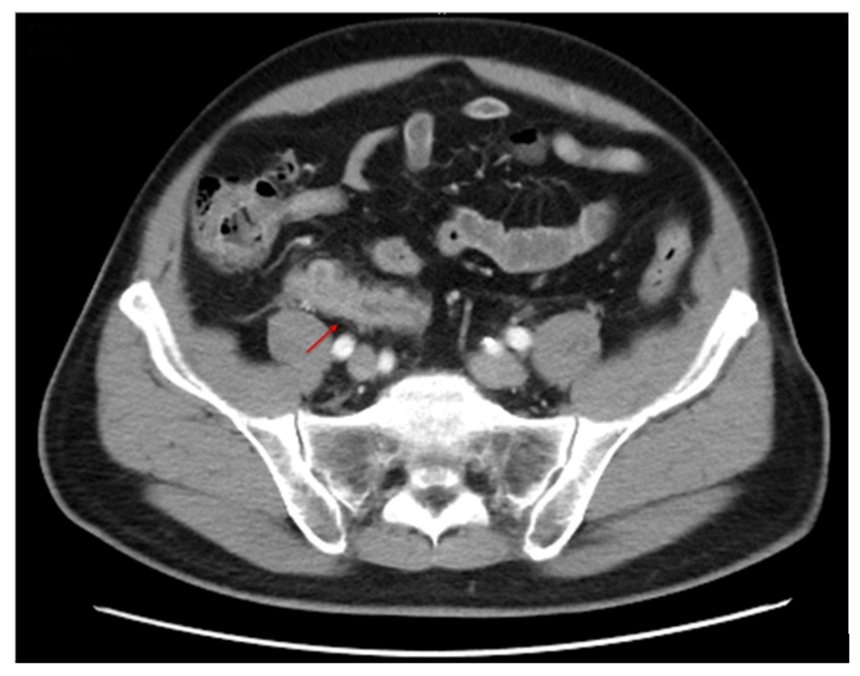
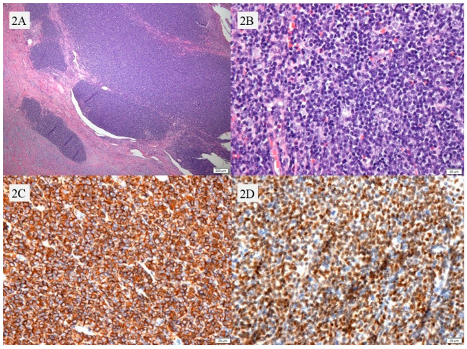
2. Case Presentation
3. Discussion
4. Conclusions
Supplementary Materials
Author Contributions
Funding
Institutional Review Board Statement
Informed Consent Statement
Data Availability Statement
Acknowledgments
Conflicts of Interest
References
- Leonards, L.M.; Pahwa, A.; Patel, M.K.; Petersen, J.; Nguyen, M.J.; Jude, C.M. Neoplasms of the appendix: Pictorial review with clinical and pathologic correlation. Radiographics 2017, 37, 1059–1083. [Google Scholar] [CrossRef]
- Freeman, C.; Berg, J.W.; Cutler, S.J. Occurrence and prognosis of extranodal lymphomas. Cancer 1972, 29, 252–260. [Google Scholar] [CrossRef]
- Herrmann, R.; Panahon, A.M.; Barcos, M.P.; Walsh, D.; Stutzman, L. Gastrointestinal involvement in non-Hodgkin’s lymphoma. Cancer 1980, 46, 215–222. [Google Scholar] [CrossRef]
- Swerdlow, S.H.; Campo, E.; Harris, N.L.; Jaffe, E.S.; Pileri, S.A.; Stein, H.; Thiele, J. WHO Classification of Tumours of Haematopoietic and Lymphoid Tissues; International Agency for Research on Cancer (IARC): Lyon, France, 2008. [Google Scholar]
- Chihara, D.; Nastoupil, L.J.; Williams, J.N.; Lee, P.; Koff, J.L.; Flowers, C.R. New insights into the epidemiology of non-Hodgkin lymphoma and implications for therapy. Expert Rev. Anticancer Ther. 2015, 15, 531–544. [Google Scholar] [CrossRef]
- Argatoff, L.H.; Connors, J.M.; Klasa, R.J.; Horsman, D.E.; Gascoyne, R.D. Mantle cell lymphoma: A clinicopathologic study of 80 cases. Blood 1997, 89, 2067–2078. [Google Scholar] [CrossRef] [PubMed]
- Lamm, W.; Dolak, W.; Kiesewetter, B.; Simonitsch-Klupp, I.; Puhr, H.; Raderer, M. Gastrointestinal involvement in patients with mantle cell lymphoma: A single center experience of eighty-five patients. Dig. Dis. 2019, 37, 194–200. [Google Scholar] [CrossRef] [PubMed]
- Schieber, M.; Gordon, L.I.; Karmali, R. Current overview and treatment of mantle cell lymphoma. F1000Research 2018, 7. [Google Scholar] [CrossRef] [PubMed]
- Ayub, A.; Santana-Rodríguez, N.; Raad, W.; Bhora, F.Y. Primary appendiceal lymphoma: Clinical characteristics and outcomes of 116 patients. J. Surg. Res. 2017, 207, 174–180. [Google Scholar] [CrossRef]
- Tan, K.B.; Tan, L.H.; Soo, R.; Putti, T.C.; Chong, S.M. Involvement of the appendix and palate by pleomorphic variant mantle cell lymphoma. Leuk. Lymphoma 2006, 47, 1704–1707. [Google Scholar] [CrossRef] [PubMed]
- Rahimi, K.; Gologan, A.; Haliotis, T.; Lamoureux, E.; Chetty, R. Gastrointestinal stromal tumor with autonomic nerve differentiation and coexistent mantle cell lymphoma involving the appendix. Int. J. Clin. Exp. Pathol. 2008, 2, 608–613. [Google Scholar] [PubMed]
- Linden, M.; Gopal, A.; Edlefsen, K. Acute appendicitis in a man undergoing therapy for mantle cell lymphoma. Case Rep. Hematol. 2012, 2012, 868151. [Google Scholar] [CrossRef][Green Version]
- Gaopande, V.L.; Deshmukh, S.D.; Shinde, V.C. Primary mantle cell lymphoma of appendix. Gulf J. Oncolog. 2015, 1, 25–27. [Google Scholar]
- Chae, M.; Kumar, S.; Cheema, M. Mantle cell lymphoma presenting as acute appendicitis. Int. J. Surg. Case Rep. 2015, 6c, 33–35. [Google Scholar] [CrossRef]
- Ambrosio, M.R.; Granai, M.; Lo Bello, G.; Cirami, M.; Mundo, L.; Leoncini, L.; Lazzi, S. How in-depth histological look may allow challenging diagnosis: The case of a primary in situ mantle cell neoplasm of the appendix. Hematol. Oncol. 2018, 36, 376–378. [Google Scholar] [CrossRef]
- Taha-Mehlitz, S.; Bockmeyer, J.; Memeti, E.; Nowack, M.; Metzger, J.; Gass, J.M. Mantle cell lymphoma-rare differential diagnosis of a tumor in the vermiform appendix. J. Surg. Case Rep. 2019, 2019, rjy367. [Google Scholar] [CrossRef]
- Aguilera, N.S.; Bijwaard, K.E.; Duncan, B.; Krafft, A.E.; Chu, W.S.; Abbondanzo, S.L.; Lichy, J.H.; Taubenberger, J.K. Differential expression of cyclin D1 in mantle cell lymphoma and other non-Hodgkin’s lymphomas. Am. J. Pathol. 1998, 153, 1969–1976. [Google Scholar] [CrossRef]
- John, R.R.; Malathi, N.; Ravindran, C.; Anandan, S. Mini review: Multifaceted role played by cyclin D1 in tumor behavior. Indian J. Dent. Res. 2017, 28, 187–192. [Google Scholar] [CrossRef] [PubMed]
- Wong, S.C.; Chan, J.K.; Lee, K.C.; Hsiao, W.L. Differential expression of p16/p21/p27 and cyclin D1/D3, and their relationships to cell proliferation, apoptosis, and tumour progression in invasive ductal carcinoma of the breast. J. Pathol. 2001, 194, 35–42. [Google Scholar] [CrossRef]
- Feakins, R.M.; Nickols, C.D.; Bidd, H.; Walton, S.J. Abnormal expression of pRb, p16, and cyclin D1 in gastric adenocarcinoma and its lymph node metastases: Relationship with pathological features and survival. Hum. Pathol. 2003, 34, 1276–1282. [Google Scholar] [CrossRef]
- Inamdar, A.A.; Goy, A.; Ayoub, N.M.; Attia, C.; Oton, L.; Taruvai, V.; Costales, M.; Lin, Y.T.; Pecora, A.; Suh, K.S. Mantle cell lymphoma in the era of precision medicine-diagnosis, biomarkers and therapeutic agents. Oncotarget 2016, 7, 48692–48731. [Google Scholar] [CrossRef]
- Mozos, A.; Royo, C.; Hartmann, E.; De Jong, D.; Baró, C.; Valera, A.; Fu, K.; Weisenburger, D.D.; Delabie, J.; Chuang, S.S.; et al. SOX11 expression is highly specific for mantle cell lymphoma and identifies the cyclin D1-negative subtype. Haematologica 2009, 94, 1555–1562. [Google Scholar] [CrossRef] [PubMed]
- Narurkar, R.; Alkayem, M.; Liu, D. SOX11 is a biomarker for cyclin D1-negative mantle cell lymphoma. Biomark. Res. 2016, 4, 6. [Google Scholar] [CrossRef]
- Lu, T.X.; Li, J.Y.; Xu, W. The role of SOX11 in mantle cell lymphoma. Leuk. Res. 2013, 37, 1412–1419. [Google Scholar] [CrossRef]
- Pickhardt, P.J.; Levy, A.D.; Rohrmann, C.A.; Abbondanzo, S.L.; Kende, A.I. Non-Hodgkin’s lymphoma of the appendix: Clinical and CT findings with pathologic correlation. AJR Am. J. Roentgenol. 2002, 178, 1123–1127. [Google Scholar] [CrossRef]
- Miao, Y.; Lin, P.; Saksena, A.; Xu, J.; Wang, M.; Romaguera, J.; Yin, C.C.; Medeiros, L.J.; Li, S. CD5-negative mantle cell lymphoma: Clinicopathologic correlations and outcome in 58 patients. Am. J. Surg. Pathol. 2019, 43, 1052–1060. [Google Scholar] [CrossRef]
- Kella, V.K.; Constantine, R.; Parikh, N.S.; Reed, M.; Cosgrove, J.M.; Abo, S.M.; King, S. Mantle cell lymphoma of the gastrointestinal tract presenting with multiple intussusceptions--case report and review of literature. World J. Surg. Oncol. 2009, 7, 60. [Google Scholar] [CrossRef]
- Rao, I.S. Role of immunohistochemistry in lymphoma. Indian J. Med. Paediatr. Oncol. 2010, 31, 145–147. [Google Scholar] [CrossRef] [PubMed]
- Gradowski, J.F.; Sargent, R.L.; Craig, F.E.; Cieply, K.; Fuhrer, K.; Sherer, C.; Swerdlow, S.H. Chronic lymphocytic leukemia/small lymphocytic lymphoma with cyclin D1 positive proliferation centers do not have CCND1 translocations or gains and lack SOX11 expression. Am. J. Clin. Pathol. 2012, 138, 132–139. [Google Scholar] [CrossRef]
- Hsiao, S.C.; Cortada, I.R.; Colomo, L.; Ye, H.; Liu, H.; Kuo, S.Y.; Lin, S.H.; Kuo, T.U.; Chuang, S.S. SOX11 is useful in differentiating cyclin D1-positive diffuse large B-cell lymphoma from mantle cell lymphoma. Histopathology 2012, 61, 685–693. [Google Scholar] [CrossRef]
- Zhou, L.; Xu, H.; Zhou, J.; Ouyang, B.; Wang, C. A rare case of hairy cell leukemia with co-expression of CD5 and cyclin D1: A diagnostic pitfall. Mol. Clin. Oncol. 2020, 13, 74. [Google Scholar] [CrossRef]
- Chinen, Y.; Tsukamoto, T.; Maegawa-Matsui, S.; Matsumura-Kimoto, Y.; Takimoto-Shimomura, T.; Tanba, K.; Mizuno, Y.; Fujibayashi, Y.; Kuwahara-Ota, S.; Shimura, Y.; et al. Tumor-specific transcript variants of cyclin D1 in mantle cell lymphoma and multiple myeloma with chromosome 11q13 abnormalities. Exp. Hematol. 2020, 84, 45–53.e1. [Google Scholar] [CrossRef]
- Fujiwara, S.I.; Tatara, R.; Okazuka, K.; Oh, I.; Ohmine, K.; Suzuki, T.; Mori, M.; Nagai, T.; Ozawa, K.; Muroi, K. Profiles of de novo CD25-positive mature B-cell lymphomas. Blood 2013, 122, 4308. [Google Scholar] [CrossRef]
- Sandes, A.F.; de Lourdes Chauffaille, M.; Oliveira, C.R.; Maekawa, Y.; Tamashiro, N.; Takao, T.T.; Ritter, E.C.; Rizzatti, E.G. CD200 has an important role in the differential diagnosis of mature B-cell neoplasms by multiparameter flow cytometry. Cytom. B Clin. Cytom. 2014, 86, 98–105. [Google Scholar] [CrossRef]
- Mason, E.F.; Pozdnyakova, O.; Li, B.; Dudley, G.; Dorfman, D.M. Flow cytometric patterns of CD200 and CD1d expression distinguish CD10-negative, CD5-negative mature B-cell lymphoproliferative disorders. Am. J. Clin. Pathol. 2017, 148, 33–41. [Google Scholar] [CrossRef] [PubMed]
- Iwamuro, M.; Okada, H.; Kawahara, Y.; Shinagawa, K.; Morito, T.; Yoshino, T.; Yamamoto, K. Endoscopic features and prognoses of mantle cell lymphoma with gastrointestinal involvement. World J. Gastroenterol. 2010, 16, 4661–4669. [Google Scholar] [CrossRef] [PubMed]
- Zheng, Q.F.; Li, J.Y.; Qin, L.; Wei, H.M.; Cai, L.Y.; Nong, B. Gastrointestinal involvement by mantle cell lymphoma identified by biopsy performed during endoscopy: A case report. Medicine (Baltimore) 2018, 97, e9799. [Google Scholar] [CrossRef]
- Hoster, E.; Rosenwald, A.; Berger, F.; Bernd, H.W.; Hartmann, S.; Loddenkemper, C.; Barth, T.F.; Brousse, N.; Pileri, S.; Rymkiewicz, G.; et al. Prognostic value of Ki-67 index, cytology, and growth pattern in mantle-cell lymphoma: Results from randomized trials of the European mantle cell lymphoma network. J. Clin. Oncol. 2016, 34, 1386–1394. [Google Scholar] [CrossRef]
- Jeong, T.D.; Chi, H.S.; Kim, M.S.; Jang, S.; Park, C.J.; Huh, J.R. Prognostic relevance of the Ki-67 proliferation index in patients with mantle cell lymphoma. Blood Res. 2016, 51, 127–132. [Google Scholar] [CrossRef]
- Aukema, S.M.; Hoster, E.; Rosenwald, A.; Canoni, D.; Delfau-Larue, M.H.; Rymkiewicz, G.; Thorns, C.; Hartmann, S.; Kluin-Nelemans, H.; Hermine, O.; et al. Expression of TP53 is associated with the outcome of MCL independent of MIPI and Ki-67 in trials of the European MCL Network. Blood 2018, 131, 417–420. [Google Scholar] [CrossRef]
- Ahmed, R.; Kumar, K.; Makker, J.; Niazi, M.; Balar, B. Recurrent mantle cell lymphoma presenting as gastrointestinal bleeding. Case Rep. Gastroenterol. 2018, 12, 379–384. [Google Scholar] [CrossRef]
- Chen, W.-P.; Chiang, W.-F.; Chen, H.-M.; Chan, J.-S.; Hsiao, P.-J. Preventive Healthcare and Management for Acute Lymphoblastic Leukaemia in Adults: Case Report and Literature Review. Healthcare 2021, 9, 531. [Google Scholar] [CrossRef]


| Parameters | Results | Normal Value |
|---|---|---|
| White blood cell count (/µL) | 18,270 | 4800–10,800 |
| Haemoglobin (g/dL) | 15.2 | 12–16 |
| Platelet count (/µL) | 199,000 | 130,000–400,000 |
| Mean corpuscular volume (fL) | 86.7 | 81–99 |
| BUN (mg/dL) | 13.6 | 15–40 |
| Creatinine (mg/dL) | 0.99 | 0.9–1.8 |
| Sodium (mEq/L) | 140 | 133–145 |
| Potassium (mEq/L) | 4.11 | 3.8–5.0 |
| Chloride (mEq/L) | 97.4 | 96–106 |
| Calcium (mg/dL) | 9.1 | 8.5–10.5 |
| Phosphate (mg/dL) | 3.25 | 2.4–4.1 |
| Uric acid (mg/dL) | 7.2 | 1.9–7.5 |
| GOT (IU/L) | 24.8 | 11–47 |
| GPT (IU/L) | 30.3 | 7–53 |
| Globulin (gm/dL) | 2.48 | 1.4–3.5 |
| Albumin (gm/dL) | 3.28 | 3.5–5.5 |
| A/G ratio | 1.32 | 0.8–2.0 |
| CRP (mg/dL) | 0.198 | <0.5 |
| LDH (U/L) | 386 | 120–240 |
| Reports | Age/Sex | Underlying Diseases | Surgical Intervention | CD Markers of Appendix | Clinical Manifestation | Survival Time |
|---|---|---|---|---|---|---|
| Tan et al. [10] | 74/M | Gastric mantle cell lymphoma | Appendectomy | CD3(+), CD5(+), CD20(+), Cyclin D1(+) CD10(−) Ki-67:10–20% | Right lower abdomen pain | 3.5 years |
| Rahimi et al. [11] | 65/F | Peritoneal mantle cell lymphoma Gastrointestinal Stromal Tumor | Right-sided hemicolectomy | CD5(+), Pax-5(+), CD20(+), Cyclin D1(+), Bcl-2(+) CD10(−), CD23(−) | Symptom-free period of 5 years and then had recurrence. Abdomen CT revealed tumor over ileocecal region. | >2 years |
| Linden et al. [12] | 71/M | Mantle cell lymphoma | Appendectomy | CD3(+), CD5(+), CD20(+), Cyclin D1(+) Bcl-6(−), Ki-67:60–80% | Right-sided abdominal after starting 1st cycle of chemotherapy. Abdomen CT revealed enlarged appendix with perforation. | 6 months |
| Gaopande et al. [13] | 50/F | Acute calculous cholecystitis | Cholecystectomy Appendectomy | CD20(+), cyclin D1(+), CD3(−), CD10(−) | Right upper abdomen pain Abdomen CT revealed tumor over right iliac fossa | 3 years |
| Chae et al. [14] | 75/M | Mantle cell lymphoma | Laparoscopic appendectomy | CD20(+), Pax-5(+), CD43(+), Bcl-1(+), Bcl-2(+), CD3(−), CD5(−), CD10(−), Bcl-6(−) | Left cervical lymphadenopathy. Right lower abdomen pain. | Unknown |
| Ambrosio et al. [15] | 38/F | Nil | Laparoscopic appendectomy | CD3(+), CD5(+), CD20(+), Cyclin D1(+), SOX-11(+) | Right lower abdominal pain and low-grade fever. | >10 months |
Publisher’s Note: MDPI stays neutral with regard to jurisdictional claims in published maps and institutional affiliations. |
© 2021 by the authors. Licensee MDPI, Basel, Switzerland. This article is an open access article distributed under the terms and conditions of the Creative Commons Attribution (CC BY) license (https://creativecommons.org/licenses/by/4.0/).
Share and Cite
Lee, F.-C.; Chang, J.-L.; Chen, H.-M.; Tsai, W.-C.; Hsiao, P.-J. Mantle Cell Lymphoma Presenting as Acute Abdominal Syndrome: A Rare Case Report and Literature Review. Healthcare 2021, 9, 1000. https://doi.org/10.3390/healthcare9081000
Lee F-C, Chang J-L, Chen H-M, Tsai W-C, Hsiao P-J. Mantle Cell Lymphoma Presenting as Acute Abdominal Syndrome: A Rare Case Report and Literature Review. Healthcare. 2021; 9(8):1000. https://doi.org/10.3390/healthcare9081000
Chicago/Turabian StyleLee, Fu-Chou, Junn-Liang Chang, Hung-Ming Chen, Wan-Chen Tsai, and Po-Jen Hsiao. 2021. "Mantle Cell Lymphoma Presenting as Acute Abdominal Syndrome: A Rare Case Report and Literature Review" Healthcare 9, no. 8: 1000. https://doi.org/10.3390/healthcare9081000
APA StyleLee, F.-C., Chang, J.-L., Chen, H.-M., Tsai, W.-C., & Hsiao, P.-J. (2021). Mantle Cell Lymphoma Presenting as Acute Abdominal Syndrome: A Rare Case Report and Literature Review. Healthcare, 9(8), 1000. https://doi.org/10.3390/healthcare9081000

