Diagnosis of Synovial Chondromatosis of Temporomandibular Joint: Case Report and Literature Review
Abstract
1. Introduction
- Early stage (Class I) is characterized by synovial symptoms without any loose bodies visible on X-Rays.
- Intermediate stage (Class II) reunites both clinical symptoms and images of calcified loose bodies within the synovial membrane.
- Final stage (Class III) is characterized by calcified loose bodies without any synovial involvement [6].
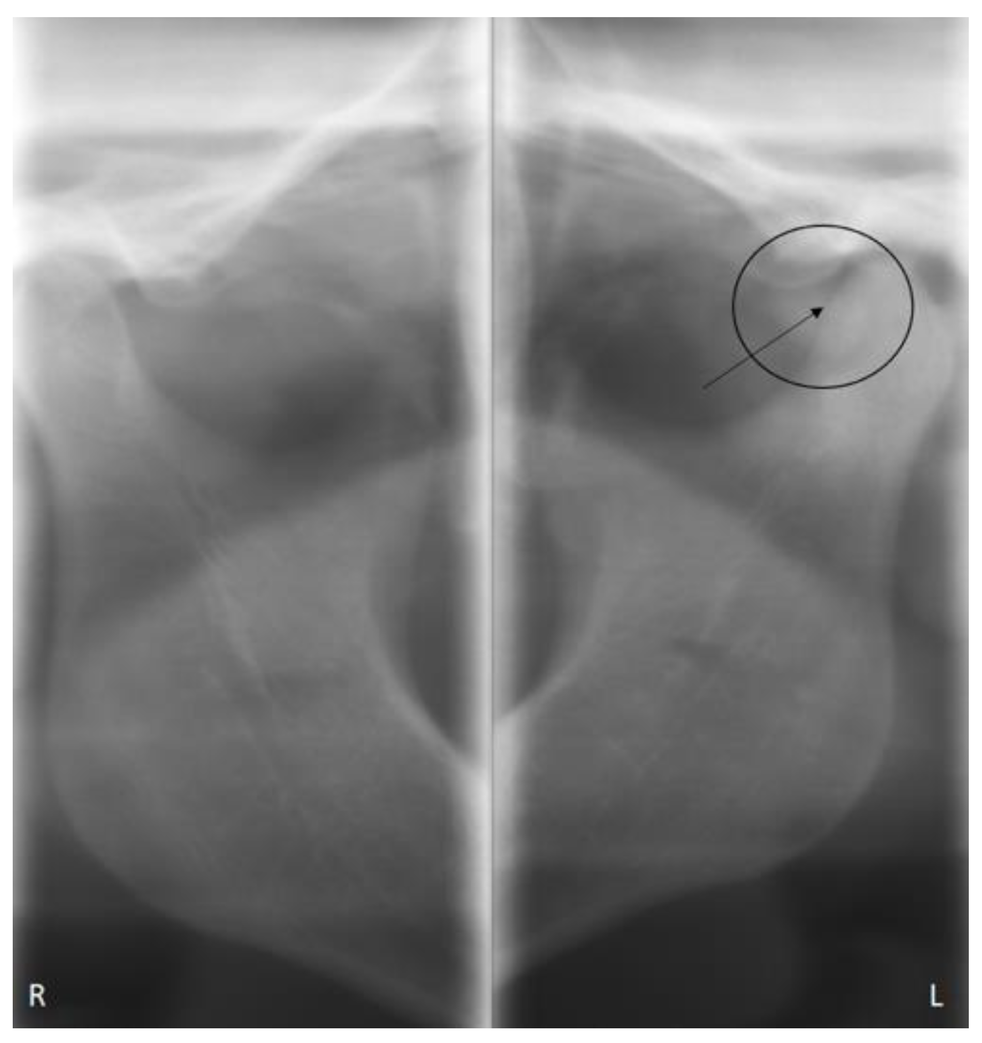
2. Case Presentation
3. Discussion
- Primary lesions, of which pathogenesis remains unknown. Cartilaginous metaplastic proliferation of fibroblasts is a hypothesis and could cause primary lesions, without any well-identified genetic or risks factors [10].
- Secondary Synovial chondromatosis following, infection, embryological disturbances or trauma such as repetitive low-grade trauma, internal derangement, parafunctions, or even degeneration [11,12]. Synovial chondromatosis could develop in a few years following whiplash [13], and signs of joint pain and noises associated in young adults should alert the practitioner, as in the clinical case presented here.
4. Conclusions
Author Contributions
Funding
Institutional Review Board Statement
Informed Consent Statement
Data Availability Statement
Conflicts of Interest
References
- Xu, W.H.; Ma, X.C.; Guo, C.B.; Yi, B.; Bao, S.D. Synovial chondromatosis of the temporomandibular joint with middle cranial fossa extension. Int. J. Oral Maxillofac. Surg. 1980, 36, 652–655. [Google Scholar] [CrossRef] [PubMed]
- Ginaldi, S. Computed tomography feature of synovial osteochondromatosis. Skelet. Radiol. 1980, 5, 219–222. [Google Scholar] [CrossRef] [PubMed]
- Sozzi, D.; Bocchialini, G.; Novelli, G.; Valente, M.G.; Moltrasio, F.; Bozzetti, A. A rare case of synovial chondromatosis of the inferior TMJ compartment. Diagnosis and treatment aspect. Ann. Di Stomatol. 2015, 6, 91–95. [Google Scholar] [CrossRef]
- Gil-Salú, J.L.; Lázaro, R.; Aldasoro, J.; Gonzalez-Darder, J.M. Giant solitary synovial chondromatosis of the temporomandibular joint with intracranial extension. Skull Base Surg. 1998, 8, 99–104. [Google Scholar] [CrossRef][Green Version]
- Fernández Sanromán, J.; Costas López, A.; Antón Badiola, I.; Fernández Ferro, M.; López de Sánchez, A. Indications of arthroscopy in the treatment of synovial chondromatosis of the temporomandibular joint: Report of 5 new cases. J. Oral Maxillofac. Surg. 2008, 66, 1694–1699. [Google Scholar] [CrossRef] [PubMed]
- Milgram, J.W. Synovial osteochondromatosis: A histopathological study of thirty cases. J. Bone Jt. Surg. Am. 1977, 59, 792–801. [Google Scholar] [CrossRef]
- Gerard, Y.; Shall, A.; Ameil, M. Synovial osteochondromatosis. Therapeutic indications based on a histological classification. Mem. Fr. Acad. Surg. 1994, 119, 190–194. [Google Scholar]
- Chen, M.; Yang, C.; Cai, X.; Jiang, B.; Qiu, Y.; Zhang, X. Synovial chondromatosis in the inferior compartment of the temporomandibular joint: Different stages with different treatments. J. Oral Maxillofac. Surg. 2012, 70, 32–38. [Google Scholar] [CrossRef]
- Schiffman, E.; Ohrbach, R.; Truelove, E.; Look, J.; Anderson, G.; Goulet, J.P.; List, T.; Svensson, P.; Gonzalez, Y.; Lobbezoo, F.; et al. Diagnostic Criteria for Temporomandibular Disorders (DC/TMD) for Clinical and Research Applications: Recommendations of the International RDC/TMD Consortium Network and Orofacial Pain Special Interest Group. J. Oral Facial Pain Headache 2014, 28, 6–27. [Google Scholar] [CrossRef]
- Koyama, J.; Ito, J.; Hayashi, T.; Kobayashi, F. Synovial chondromatosis in the temporomandibular joint complicated by displacement and calcification of the articular disk: Report of two cases. Am. J. Neuroradiol. 2001, 22, 1203–1206. [Google Scholar]
- Holmlund, A.B.; Eriksson, L.; Reinholt, F.P. Synovial chondromatosis of the temporomandibular joint: Clinical, surgical and histological aspects. Int. J. Oral Maxillofac. Surg. 2003, 32, 143–147. [Google Scholar] [CrossRef] [PubMed]
- (von) Lindern, J.J.; Theuerkauf, I.; Niederhagen, B.; Bergé, S.; Appel, T.; Reich, R.H. Synovial chondromatosis of the temporomandibular joint: Clinical, diagnostic, and histomorphologic findings. Oral Surg. Oral Med. Oral Pathol. Oral Radiol. Endod. 2002, 94, 31–38. [Google Scholar] [CrossRef] [PubMed]
- Zulian, M.A.; Mosby, E.L.; Chisum, J.W. Synovial chondromatosis of the temporomandibular joint: Report of two cases. J. Craniomandib. Disord. 1989, 3, 105–111. [Google Scholar]
- Mohlin, B.O.; Derweduwen, K.; Pilley, R.; Kingdon, A.; Shaw, W.C.; Kenealy, P. Malocclusion and temporomandibular disorder: A comparison of adolescents with moderate to severe dysfunction with those without signs and symptoms of temporomandibular disorder and their further development to 30 years of age. Angle Orthod. 2004, 74, 319–327. [Google Scholar] [PubMed]
- Benslama, L.; Schouman, T.; Toure, S.; Chardain, J.; Goudot, P. Synovial chondromatosis of the temporomandibular joint: Report and analysis of 12 cases. J. Stom. Oral Maxillofac. Surg. 2019, 120, 476–479. [Google Scholar] [CrossRef]
- Ardekian, L.L.; Faquin, W.; Troulis, M.J.; Kaban, L.B.; August, M. Synovial chondromatosis of the temporomandibular joint: Report and analysis of eleven cases. J. Oral Maxillofac. Surg. 2005, 63, 941–947. [Google Scholar] [CrossRef]
- Nath, P.; Menon, S. Synovial Chondromatosis of the Temporomandibular Joint. J. Maxillofac. Oral Surg. 2020, 19, 230–234. [Google Scholar] [CrossRef] [PubMed]
- Miyamoto, H.; Sakashita, H.; Wilson, D.F.; Goss, A.N. Synovial chondromatosis of the temporomandibular joint. Br. J. Oral Maxillofac. Surg. 2020, 38, 205–208. [Google Scholar] [CrossRef]
- Yu, Q.; Yang, J.; Wang, P.; Shi, H.; Luo, J. CT features of synovial chondromatosis in the temporomandibular joint. Oral Surg. Oral Med. Oral Pathol. Oral Radiol. Endod. 2004, 97, 524–528. [Google Scholar] [CrossRef]
- Lee, L.M.; Zhu, Y.M.; DI Zhang, D.; Deng, Y.Q.; Gu, Y. Synovial Chondromatosis of the Temporomandibular Joint: A clinical and arthroscopic study of 16 cases. J. Cranio Maxillofac. Surg. 2019, 47, 607–610. [Google Scholar]
- Cai, X.Y.; Yang, C.; Chen, M.J.; Jiang, B.; Zhou, Q.; Jin, J.M.; Chen, Z.Z. Arthroscopic management for synovial chondromatosis of the temporomandibular joint: A retrospective review of 33 cases. J. Oral Maxillofac. Surg. J. Am Assoc. Oral Maxillofac. Surg. 2012, 70, 2106–2113. [Google Scholar]
- Brabyn, P.J.; Capote, A.; Muñoz-Guerra, M.F.; Zylberberg, I.; Rodríguez-Campo, F.J.; Naval-Gías, L. Arthroscopic Management of Synovial Chondromatosis of the Temporomandibular Joint. Case Series and Systematic Review. J. Maxillofac. Oral Surg. 2018, 17, 401–409. [Google Scholar] [CrossRef] [PubMed]
- McCaffery, C.; Dodd, M.; Bekiroglu, F.; Twohig, E. Synovial chondromatosis of the temporomandibular joint with extension into the middle cranial fossa and in-ternal carotid canal. Int. J. Oral Maxillofac. Surg. 2017, 46, 867–870. [Google Scholar] [CrossRef] [PubMed]
- Paparo, F.; Massarelli, M.; Cordeschi, R.; Sciannameo, V.; Spallaccia, F. Chondromatosis of the temporomandibular joint as a consequence of persistent long-lasting joint dysfunction: Late diagnosis of a rare occurrence. J. Craniofac Surg. 2016, 27, 636–637. [Google Scholar] [CrossRef] [PubMed]
- Pau, M.; Bicsa, K.A.; Reinbacher, K.E.; Feichtinger, M.; Karche, H. Surgical treatment of synovial chondromatosis of the temporomandibular joint with erosion of the skull base: A case report and review of the literature. Int. J. Oral Maxillofac. Surg. 2014, 43, 600–605. [Google Scholar] [CrossRef] [PubMed]
- Yoshitake, H.; Kayamori, K.; Wake, S.; Sato, F.; Kino, K.; Parada, K. Synovial chondromatosis of the right side temporomandibular joint extending to the middle cranial fossa: A case report with 7-year post-operative follow up and expression of a biomarker of cell proliferative activity. Int. J. Surg. Case Rep. 2016, 20, 133–137. [Google Scholar] [CrossRef][Green Version]
- Han, Z.X.; Chen, M.J.; Yang, C.; Dong, M.-J. Recurrent synovial chondromatosis of the temporomandibular joint: Report of two cases. Br. J. Oral Maxillofac. Surg. 2017, 55, 965–967. [Google Scholar] [CrossRef] [PubMed]



Publisher’s Note: MDPI stays neutral with regard to jurisdictional claims in published maps and institutional affiliations. |
© 2021 by the authors. Licensee MDPI, Basel, Switzerland. This article is an open access article distributed under the terms and conditions of the Creative Commons Attribution (CC BY) license (https://creativecommons.org/licenses/by/4.0/).
Share and Cite
Destruhaut, F.; Dubuc, A.; Bos, A.; Fabié, L.; Pomar, P.; Combadazou, J.-C.; Hennequin, A.; Laurencin, S. Diagnosis of Synovial Chondromatosis of Temporomandibular Joint: Case Report and Literature Review. Healthcare 2021, 9, 601. https://doi.org/10.3390/healthcare9050601
Destruhaut F, Dubuc A, Bos A, Fabié L, Pomar P, Combadazou J-C, Hennequin A, Laurencin S. Diagnosis of Synovial Chondromatosis of Temporomandibular Joint: Case Report and Literature Review. Healthcare. 2021; 9(5):601. https://doi.org/10.3390/healthcare9050601
Chicago/Turabian StyleDestruhaut, Florent, Antoine Dubuc, Aurélien Bos, Laurent Fabié, Philippe Pomar, Jean-Claude Combadazou, Antonin Hennequin, and Sara Laurencin. 2021. "Diagnosis of Synovial Chondromatosis of Temporomandibular Joint: Case Report and Literature Review" Healthcare 9, no. 5: 601. https://doi.org/10.3390/healthcare9050601
APA StyleDestruhaut, F., Dubuc, A., Bos, A., Fabié, L., Pomar, P., Combadazou, J.-C., Hennequin, A., & Laurencin, S. (2021). Diagnosis of Synovial Chondromatosis of Temporomandibular Joint: Case Report and Literature Review. Healthcare, 9(5), 601. https://doi.org/10.3390/healthcare9050601

