Malignant Post-Transplant Lymphoproliferative Disorder of Nasopharynx in Myelodysplastic Disorder
Abstract
1. Introduction
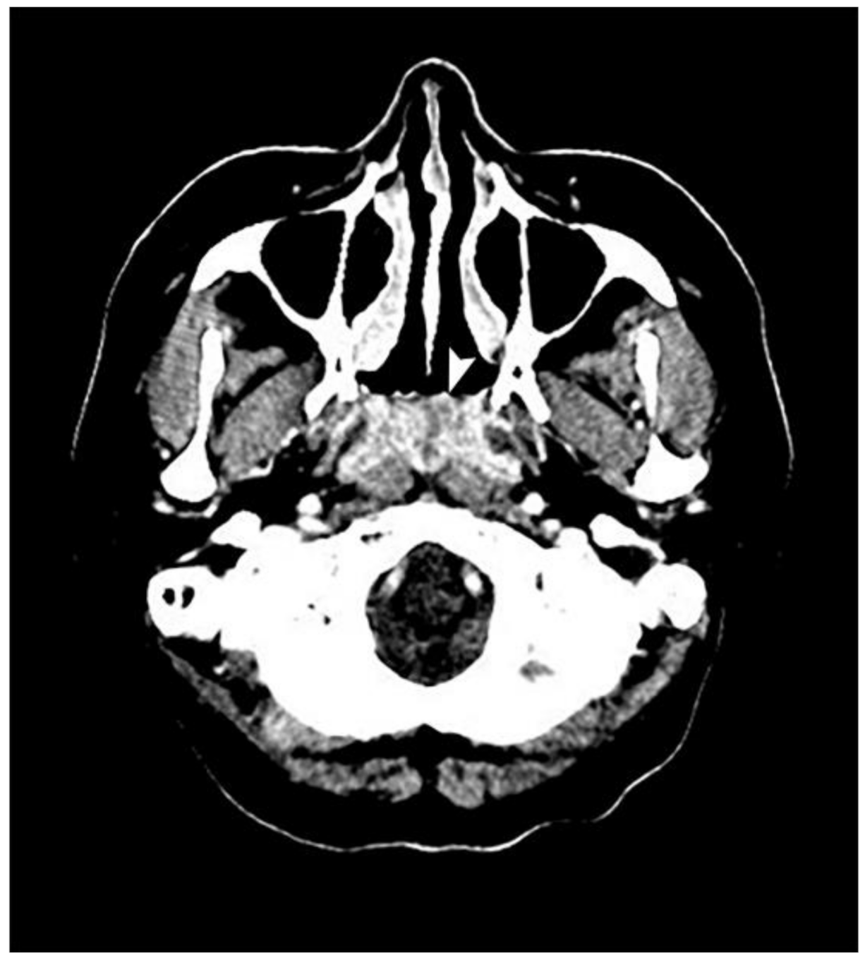
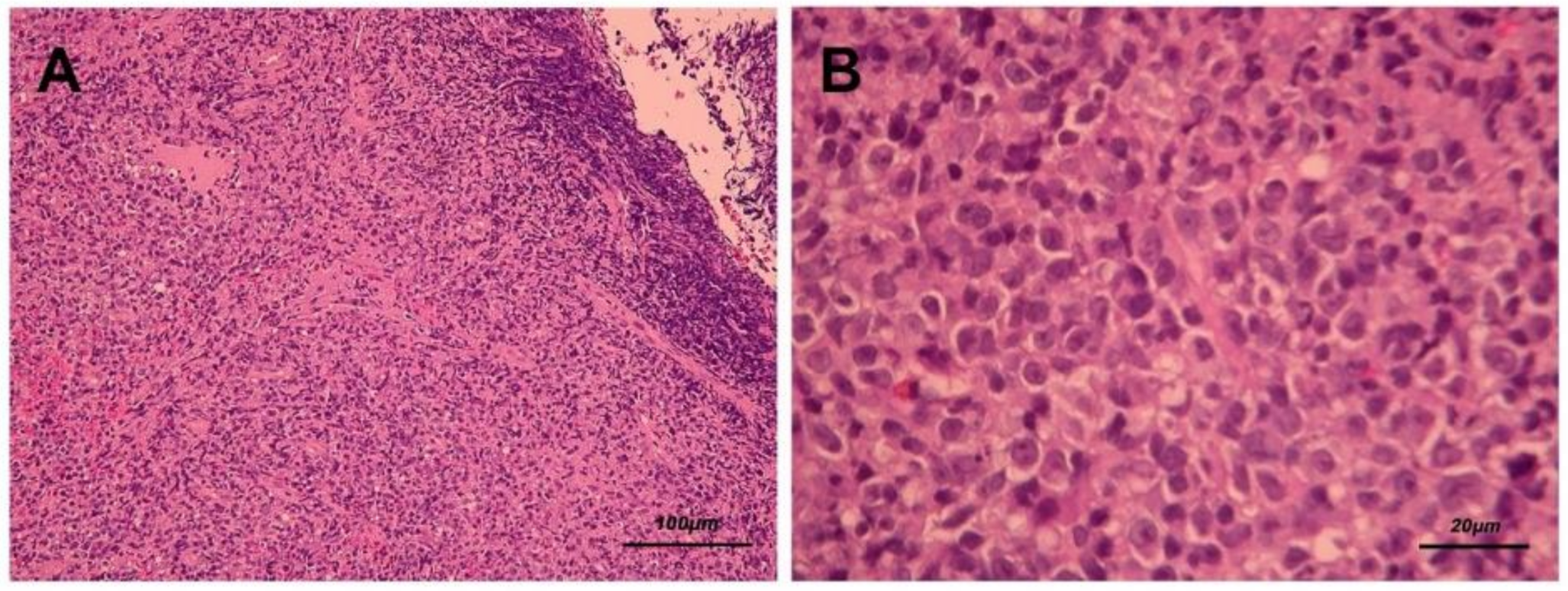
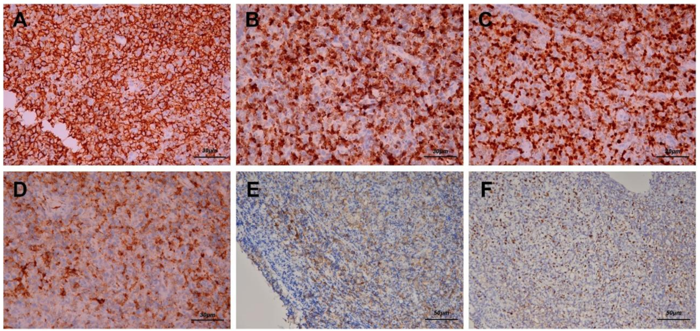
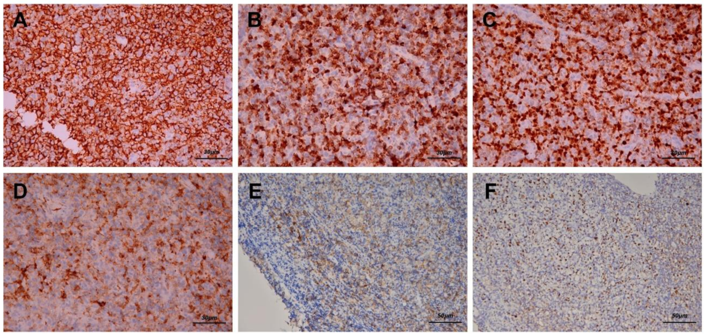
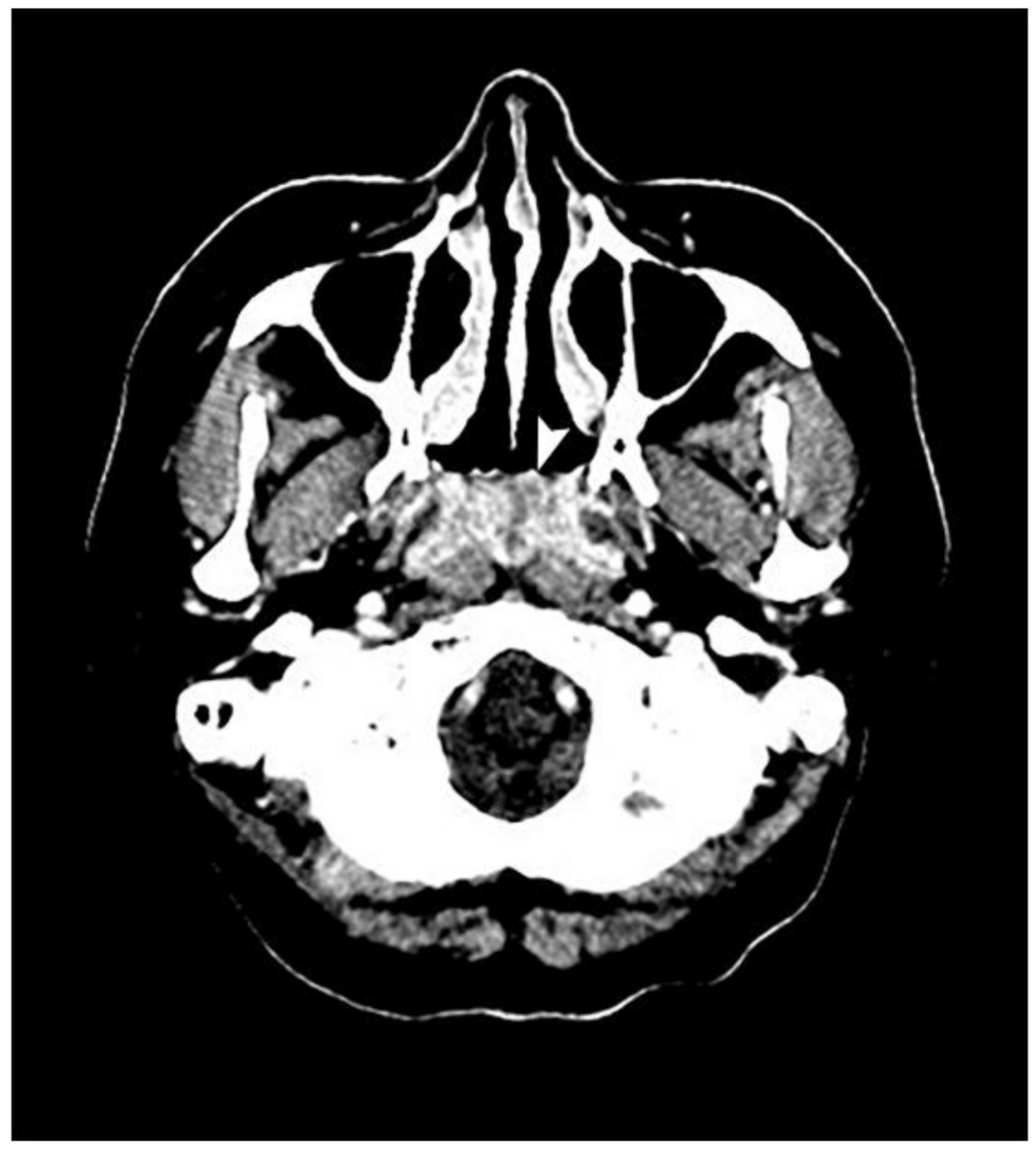
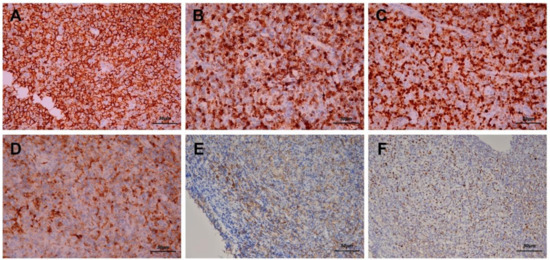
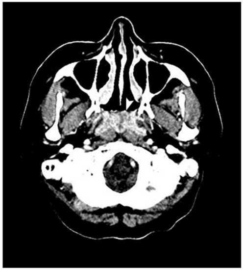
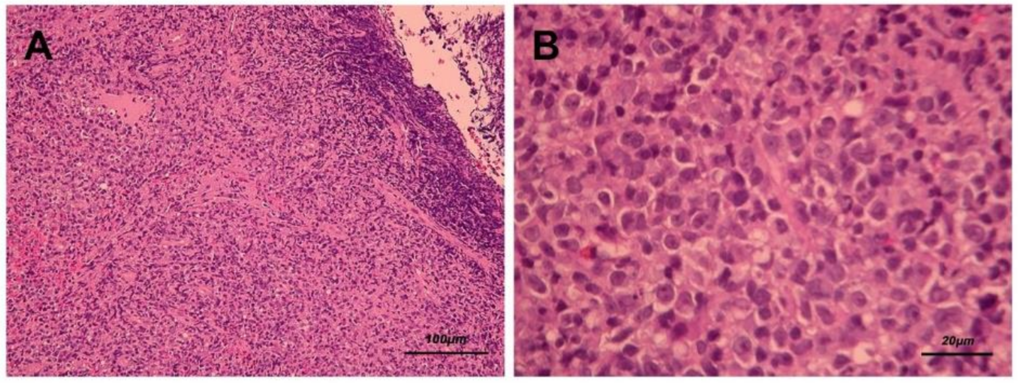
2. Case Presentation
3. Discussion
4. Conclusions
Author Contributions
Funding
Conflicts of Interest
Ethics approval and consent to participate
Consent for publication
Availability of data and materials
References
- Lones, M.A.; Mishalani, S.; Shintaku, I.P.; Weiss, L.M.; Nichols, W.S.; Said, J.W. Changes in tonsils and adenoids in children with posttransplant lymphoproliferative disorder: Report of three cases with early involvement of Waldeyer’s ring. Hum. Pathol. 1995, 26, 525–530. [Google Scholar] [CrossRef]
- Swerdlow, S.H.; Campo, E.; Pileri, S.A.; Harris, N.L.; Stein, H.; Siebert, R.; Advani, R.; Ghielmini, M.; Salles, G.A.; Zelenetz, A.D.; et al. The 2016 revision of the World Health Organization classification of lymphoid neoplasms. Blood 2016, 127, 2375–2390. [Google Scholar] [CrossRef] [PubMed]
- Arber, D.A.; Orazi, A.; Hasserjian, R.; Thiele, J.; Borowitz, M.J.; Le Beau, M.M.; Bloomfield, C.D.; Cazzola, M.; Vardiman, J.W. The 2016 revision to the World Health Organization classification of myeloid neoplasms and acute leukemia. Blood 2016, 127, 2391–2405. [Google Scholar] [CrossRef] [PubMed]
- Akbas, A.; Tiede, C.; Lemound, J.; Maecker-Kolhoff, B.; Kreipe, H.; Hussein, K. Post-transplant lymphoproliferative disorders with naso- and oropharyngeal manifestation. Transpl. Int. 2015, 28, 1299–1307. [Google Scholar] [CrossRef] [PubMed]
- Parker, A.; Bowles, K.; Bradley, J.A.; Emery, V.; Featherstone, C.; Gupte, G.; Marcus, R.; Parameshwar, J.; Ramsay, A.; Newstead, C. Diagnosis of post-transplant lymphoproliferative disorder in solid organ transplant recipients - BCSH and BTS Guidelines. Br. J. Haematol. 2010, 149, 675–692. [Google Scholar] [CrossRef] [PubMed]
- Rickinson, A.B.; Long, H.M.; Palendira, U.; Münz, C.; Hislop, A.D. Cellular immune controls over Epstein–Barr virus infection: New lessons from the clinic and the laboratory. Trends Immunol. 2014, 35, 159–169. [Google Scholar] [CrossRef] [PubMed]
- Vargas, H.; Nazeer, T.; Conti, D.; Parnes, S.M. Posttransplant Lymphoproliferative Disorder of the Nasopharynx. Am. J. Rhinol. 2002, 16, 37–42. [Google Scholar] [CrossRef] [PubMed]
- Gu, Z.; Cai, B.; Yuan, L.; Li, H.; Huang, W.; Jing, Y.; Zhu, H.; Zhao, Y.; Bo, J.; Wang, Q.; et al. Successful treatment of polymorphic post-transplant lymphoproliferative disorder after allo-HSCT with reduction of immunosuppression. Int. J. Clin. Exp. Med. 2014, 7, 1904–1909. [Google Scholar] [PubMed]
- Kfoury, H.; Alghonaim, M.; Alsuwaida, A.; Zaidi, S.N.; Arafah, M. Nasopharyngeal T-cell Monomorphic Posttransplant Lymphoproliferative Disorders and Combined IgA Nephropathy and Membranous Glomerulonephritis in a Patient with Renal Transplantation: A Case Report with Literature Review. Transplant. Proc. 2010, 42, 4653–4657. [Google Scholar] [CrossRef] [PubMed]
- Spinato, L.; Brihaye, P.; De Ganseman, A.; Marquet, T.; Mansbach, A.L. Necrotic adenoids in post-transplant lymphoproliferative disorders. B-ENT 2011, 7, 61–64. [Google Scholar] [PubMed]
- Baris, Z.; Ozcay, F.; Ozbek, O.Y.; Haberal, N.; Sarialioglu, F.; Haberal, M. A single-center experience of post-transplant lymphoproliferative disorder (PTLD) cases after pediatric liver transplantation: Incidence, outcomes, and association with food allergy. Turk. J. Gastroenterol. 2018, 29, 354–360. [Google Scholar] [CrossRef] [PubMed]




| Study | Age | Sex | Types | Transplant | Time to PTLD | Treatment | Follow | Clinical Manifestations | IHC h stains |
|---|---|---|---|---|---|---|---|---|---|
| Lones MA (1995) | 6m * | M | Polymorphous | Liver | 26m | RI b and Acyclovir | 19m | fever, pharyngitis, otitis media, enlarged tonsils and adenoids, diffuse LAPs g | CD20, EBER i |
| Lones MA (1995) | 10m | M | Polymorphous | Liver | 30m | RI and Acyclovir | 28m | sinusitis, otitis media, enlarged adenoids, neck LAPs | CD20, EBER |
| Lones MA (1995) | 35m | M | Polymorphous | Liver | 61m | RI and Acyclovir | 28m | enlarged tonsils and adenoids | CD20, EBER |
| Vargas H (2002) | 38y # | F | Monomorphic (B-cell) | Kidney | 8m | RI and Acyclovir | 12m | nasal obstruction, facial pain | CD20, CD46 |
| Kfoury HK (2010) | 49y | M | Monomorphic (T-cell) | Kidney | 48m | RI, CHOP c and MTX d | NR f | sore throat for 1y | CD3, CD4, CD56 |
| Spinato L (2011) | 12y | F | Monomorphic (B-cell) | Kidney | 9m | RI, Acyclovir and anti-CD20 antibodies | Death (1m after PTLD) | nasal obstruction, tonsillitis | CD20, CD79 |
| Zhenyang Gu (2014) | 26y | F | Polymorphic | HSCT a | 5m | RI alone | 5y | foreign body sensation in pharynx | CD20, CD45, CD3, EBER |
| Zeren Baris (2018) | 4y | M | Monomorphic (B-cell) | Liver | 4m | Rituximab and chemotherapy | 6.5y | treatment-resistant nasal stuffiness | CD20, EBER |
| Luan (2020) (Our study) | 40y | F | Polymorphic | HSCT | 3m | RI and RT e | 3y | low-grade fever, nasal obstruction, bloody rhinorrhea | CD20, CD79A, CD30, EBER, MUM1 j |
Publisher’s Note: MDPI stays neutral with regard to jurisdictional claims in published maps and institutional affiliations. |
© 2021 by the authors. Licensee MDPI, Basel, Switzerland. This article is an open access article distributed under the terms and conditions of the Creative Commons Attribution (CC BY) license (http://creativecommons.org/licenses/by/4.0/).
Share and Cite
Luan, C.-W.; Chen, C.-C.; Lee, K.-F.; Tsai, M.-S.; Tsai, Y.-T.; Hsu, C.-M.; Chang, G.-H. Malignant Post-Transplant Lymphoproliferative Disorder of Nasopharynx in Myelodysplastic Disorder. Healthcare 2021, 9, 217. https://doi.org/10.3390/healthcare9020217
Luan C-W, Chen C-C, Lee K-F, Tsai M-S, Tsai Y-T, Hsu C-M, Chang G-H. Malignant Post-Transplant Lymphoproliferative Disorder of Nasopharynx in Myelodysplastic Disorder. Healthcare. 2021; 9(2):217. https://doi.org/10.3390/healthcare9020217
Chicago/Turabian StyleLuan, Chih-Wei, Chih-Cheng Chen, Kam-Fai Lee, Ming-Shao Tsai, Yao-Te Tsai, Cheng-Ming Hsu, and Geng-He Chang. 2021. "Malignant Post-Transplant Lymphoproliferative Disorder of Nasopharynx in Myelodysplastic Disorder" Healthcare 9, no. 2: 217. https://doi.org/10.3390/healthcare9020217
APA StyleLuan, C.-W., Chen, C.-C., Lee, K.-F., Tsai, M.-S., Tsai, Y.-T., Hsu, C.-M., & Chang, G.-H. (2021). Malignant Post-Transplant Lymphoproliferative Disorder of Nasopharynx in Myelodysplastic Disorder. Healthcare, 9(2), 217. https://doi.org/10.3390/healthcare9020217

