The Utility of a Community-Based Knee Ultrasound in Detecting Meniscal Tears: A Retrospective Analysis in Comparison with MRI
Abstract
1. Introduction
2. Materials and Methods
2.1. Study Desing and Setting
2.2. Participants
2.3. Imaging Techniques and Analysis
2.4. Statistical Analysis
2.5. US Criteria
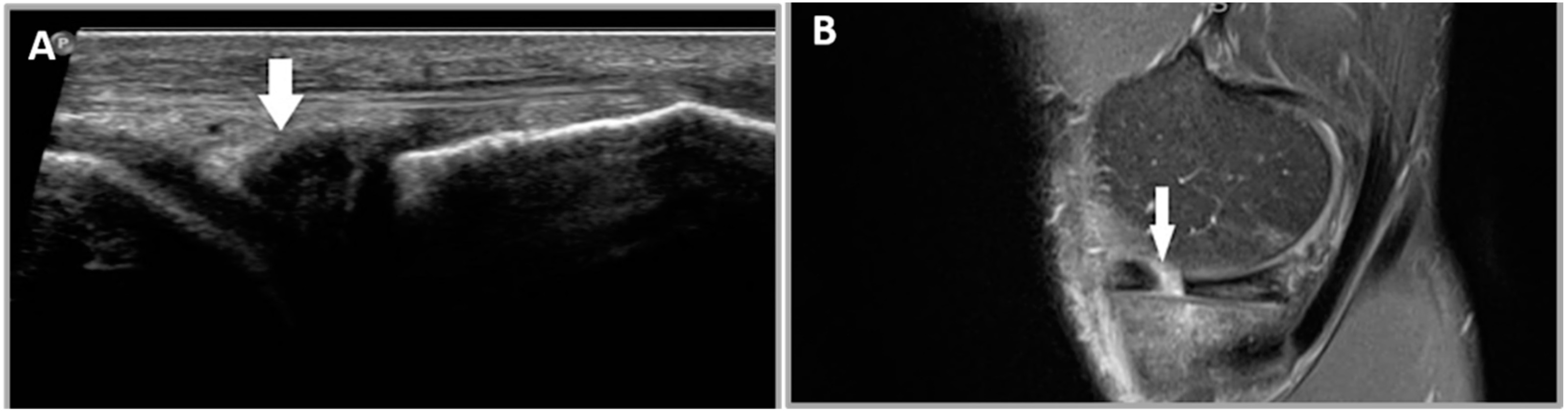
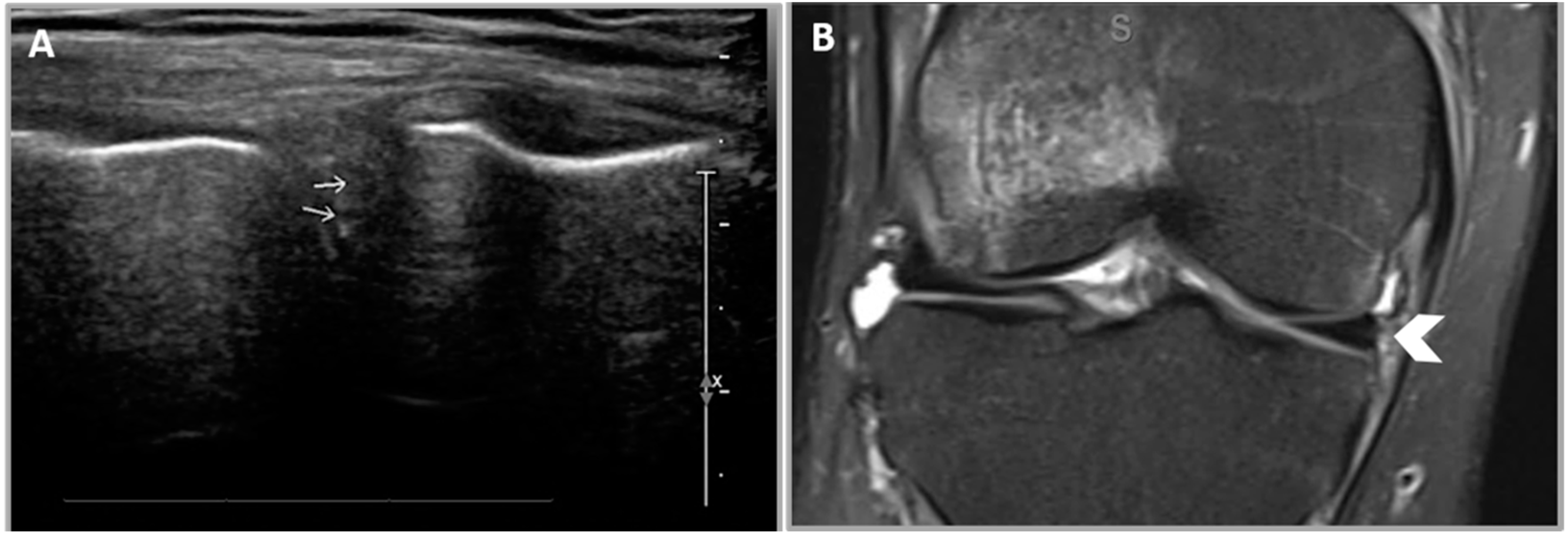
2.5.1. Criterion 1—Meniscal Cleft
2.5.2. Criterion 2—Parameniscal Cyst
2.5.3. Criterion 3—Diminutive Meniscus
2.5.4. Criterion 4—Displaced Meniscal Fragment
2.5.5. Criterion 5—Extruded Meniscus
3. Results
3.1. Medial Meniscus
3.2. Lateral Meniscus
4. Discussion
5. Conclusions
Author Contributions
Funding
Institutional Review Board Statement
Informed Consent Statement
Data Availability Statement
Conflicts of Interest
References
- Fox, A.J.; Bedi, A.; Rodeo, S.A. The basic science of human knee menisci: Structure, composition, and function. Sports Health 2012, 4, 340–351. [Google Scholar] [CrossRef] [PubMed]
- Marigi, E.M.; Davies, M.R.; Marx, R.G.; Rodeo, S.A.; Williams, R.J., 3rd. Meniscus Tears in Elite Athletes: Treatment Considerations, Clinical Outcomes, and Return to Play. Curr. Rev. Musculoskelet. Med. 2024, 17, 313–320. [Google Scholar] [CrossRef] [PubMed]
- Bhan, K. Meniscal Tears: Current Understanding, Diagnosis, and Management. Cureus 2020, 12, e8590. [Google Scholar] [CrossRef]
- Luvsannyam, E.; Jain, M.S.; Leitao, A.R.; Maikawa, N.; Leitao, A.E. Meniscus Tear: Pathology, Incidence, and Management. Cureus 2022, 14, e25121. [Google Scholar] [CrossRef]
- Englund, M. Meniscal tear—A feature of osteoarthritis. Acta Orthop. Scand. Suppl. 2004, 75, 1–45. [Google Scholar]
- Jarraya, M.; Roemer, F.W.; Englund, M.; Crema, M.D.; Gale, H.I.; Hayashi, D.; Katz, J.N.; Guermazi, A. Meniscus morphology: Does tear type matter? A narrative review with focus on relevance for osteoarthritis research. Semin. Arthritis Rheum. 2017, 46, 552–561. [Google Scholar] [CrossRef]
- Ozeki, N.; Koga, H.; Sekiya, I. Degenerative Meniscus in Knee Osteoarthritis: From Pathology to Treatment. Life 2022, 12, 603. [Google Scholar] [CrossRef] [PubMed]
- Abrams, G.D.; Frank, R.M.; Gupta, A.K.; Harris, J.D.; McCormick, F.M.; Cole, B.J. Trends in meniscus repair and meniscectomy in the United States, 2005–2011. Am. J. Sports Med. 2013, 41, 2333–2339. [Google Scholar] [CrossRef] [PubMed]
- Deviandri, R.; Daulay, M.C.; Iskandar, D.; Kautsar, A.P.; Lubis, A.M.T.; Postma, M.J. Health-economic evaluation of meniscus tear treatments: A systematic review. Knee Surg. Sports Traumatol. Arthrosc. 2023, 31, 3582–3593. [Google Scholar] [CrossRef]
- Lefevre, N.; Naouri, J.F.; Herman, S.; Gerometta, A.; Klouche, S.; Bohu, Y. A Current Review of the Meniscus Imaging: Proposition of a Useful Tool for Its Radiologic Analysis. Radiol. Res. Pract. 2016, 2016, 8329296. [Google Scholar] [CrossRef]
- Lecouvet, F.; Van Haver, T.; Acid, S.; Perlepe, V.; Kirchgesner, T.; Berg, B.V.; Triqueneaux, P.; Denis, M.-L.; Thienpont, E.; Malghem, J. Magnetic resonance imaging (MRI) of the knee: Identification of difficult-to-diagnose meniscal lesions. Diagn. Interv. Imaging 2018, 99, 55–64. [Google Scholar] [CrossRef] [PubMed]
- Bolog, N.V.; Andreisek, G. Reporting knee meniscal tears: Technical aspects, typical pitfalls and how to avoid them. Insights Imaging 2016, 7, 385–398. [Google Scholar] [CrossRef] [PubMed]
- Moseley, I. Safety and magnetic resonance imaging. BMJ 1994, 308, 1181–1182. [Google Scholar] [CrossRef][Green Version]
- Nguyen, X.V.; Tahir, S.; Bresnahan, B.W.; Andre, J.B.; Lang, E.V.; Mossa-Basha, M.; Bourekas, E.C. Prevalence and Financial Impact of Claustrophobia, Anxiety, Patient Motion, and Other Patient Events in Magnetic Resonance Imaging. Top. Magn. Reson. Imaging 2020, 29, 125–130. [Google Scholar] [CrossRef] [PubMed]
- Ahmadi, O.; Motififard, M.; Heydari, F.; Golshani, K.; Azimi Meibody, A.; Hatami, S. Role of point-of-care ultrasonography (POCUS) in the diagnosing of acute medial meniscus injury of knee joint. Ultrasound J. 2022, 14, 7. [Google Scholar] [CrossRef]
- Pandya, S.; Melville, D.M. Evaluation of the knee joint with ultrasound and magnetic resonance imaging. J. Ultrason. 2023, 23, e239–e250. [Google Scholar] [CrossRef]
- Johnson, S.E.; Kruse, R.C.; Boettcher, B.J. The Role of Ultrasound in the Diagnosis and Treatment of Meniscal Injuries. Curr. Rev. Musculoskelet. Med. 2024, 17, 171–184. [Google Scholar] [CrossRef]
- Dong, F.; Zhang, L.; Wang, S.; Dong, D.; Xu, J.; Wu, H.; Liu, Y.; Li, M. The diagnostic accuracy of B-mode ultrasound in detecting meniscal tears: A systematic review and pooled meta-analysis. Med. Ultrason. 2018, 20, 164–169. [Google Scholar] [CrossRef]
- Bankier, A.A.; Levine, D.; Halpern, E.F.; Kressel, H.Y. Consensus interpretation in imaging research: Is there a better way? Radiology 2010, 257, 14–17. [Google Scholar] [CrossRef]
- Wasilczyk, C. The Value of Ultrasound Diagnostic Imaging of Meniscal Knee Injuries Verified by Experimental and Arthroscopic Investigations. Diagnostics 2023, 13, 3264. [Google Scholar] [CrossRef]
- Alves, T.I.; Girish, G.; Kalume Brigido, M.; Jacobson, J.A. US of the Knee: Scanning Techniques, Pitfalls, and Pathologic Conditions. Radiographics 2016, 36, 1759–1775. [Google Scholar] [CrossRef] [PubMed]
- Azzoni, R.; Cabitza, P. Is there a role for sonography in the diagnosis of tears of the knee menisci? J. Clin. Ultrasound. 2002, 30, 472–476. [Google Scholar] [CrossRef] [PubMed]
- Kaiser, J.T.; Damodar, D.; Udine, M.J.; Meeker, Z.D.; McCormick, J.R.; Wagner, K.R.; Krych, A.J.; Chahla, J.A.; Cole, B.J. Meniscal Extrusion: A Critical Analysis Review. JBJS Rev. 2022, 10, e22. [Google Scholar] [CrossRef] [PubMed]
- Akatsu, Y.; Yamaguchi, S.; Mukoyama, S.; Morikawa, T.; Yamaguchi, T.; Tsuchiya, K.; Iwasaki, J.; Akagi, R.; Muramatsu, Y.; Katsuragi, J.; et al. Accuracy of high-resolution ultrasound in the detection of meniscal tears and determination of the visible area of menisci. J. Bone Jt. Surg. Am. 2015, 97, 799–806. [Google Scholar] [CrossRef] [PubMed]
- Timotijevic, S.; Vukasinovic, Z.; Bascarevic, Z. Correlation of clinical examination, ultrasound sonography, and magnetic resonance imaging findings with arthroscopic findings in relation to acute and chronic lateral meniscus injuries. J. Orthop. Sci. 2014, 19, 71–76. [Google Scholar] [CrossRef]
- Cook, C.R.; Stannard, J.P.; Vaughn, G.; Wilson, N.; Roller, B.L.; Stoker, A.M.; Jayabalan, P.; Hdeib, M.; Kuroki, K.; Cook, J.L. MRI versus ultrasonography to assess meniscal abnormalities in acute knees. J. Knee Surg. 2014, 27, 319–324. [Google Scholar] [CrossRef]
- Sharafat Vaziri, A.; Aghaghazvini, L.; Jahangiri, S.; Tahami, M.; Borazjani, R.; Tahmasebi, M.N.; Salimi, M. Determination of Normal Reference Values for Meniscal Extrusion Using Ultrasonography During the Different Range of Motion: A Pilot, Feasibility Study. J. Ultrasound Med. 2022, 41, 2715–2723. [Google Scholar] [CrossRef]
- Elshimy, A.; Osman, A.M.; Awad, M.E.S.; Abdel Aziz, M.M. Diagnostic accuracy of point-of-care knee ultrasound for evaluation of meniscus and collateral ligaments pathology in comparison with MRI. Acta Radiol. 2023, 64, 2283–2292. [Google Scholar] [CrossRef]
- Najafi, J.; Bagheri, S.; Lahiji, F.A. The value of sonography with micro convex probes in diagnosing meniscal tears compared with arthroscopy. J. Ultrasound Med. 2006, 25, 593–597. [Google Scholar] [CrossRef]
- Mureşan, S.; Mureşan, M.; Voidăzan, S.; Neagoe, R. The accuracy of musculoskeletal ultrasound examination for the exploration of meniscus injuries in athletes. J. Sports Med. Phys. Fit. 2017, 57, 589–594. [Google Scholar] [CrossRef]
- Selby, B.; Richardson, M.; Nelson, B.; Graney, D.; Mack, L.; Selby, M.R.B.; De Maeseneer, M.; Vanderdood, K.; Marcelis, S.; Shabana, W.; et al. Sonography in the detection of meniscal injuries of the knee: Evaluation in cadavers. AJR Am. J. Roentgenol. 1987, 149, 549–553. [Google Scholar] [CrossRef] [PubMed]
- Park, G.Y.; Kim, J.M.; Lee, S.M.; Lee, M.Y. The value of ultrasonography in the detection of meniscal tears diagnosed by magnetic resonance imaging. Am. J. Phys. Med. Rehabil. 2008, 87, 14–20. [Google Scholar] [CrossRef] [PubMed]
- Ahmadi, O.; Motififard, M.; Heydari, F.; Hatami, S.; Meibody, A.A. The predictive value of point-of-care ultrasonography versus magnetic resonance imaging in assessing medial meniscal tears in patients with acute knee injury. Clin. Exp. Emerg. Med. 2024, 11, 188–194. [Google Scholar] [CrossRef] [PubMed]








| Meniscal Changes in US | Medial Meniscus | Lateral Meniscus |
|---|---|---|
| Cyst | 8 | 8 |
| Cleft | 41 | 12 |
| Diminutive | 19 | 3 |
| Displaced Fragment | 8 | 0 |
| Extrusion | 40 | 14 |
| Medial Meniscus Tears US | US Frequency (%) | MRI Frequency (%) |
|---|---|---|
| No tear (0) | 164 (65.86%) | 146 (58.63%) |
| Tear present (1) | 85 (34.14%) | 103 (41.37%) |
| Medial Meniscal Pathology | False-Negative Frequency | False-Positive Frequency |
|---|---|---|
| Bucket handle tears | 3 | |
| Radial tears | 10 | 2 |
| Horizontal tears | 7 | |
| Complex tears | 2 | |
| Meniscal Extrusion | 2 | |
| Total | 22 | 4 |
| Lateral Meniscus US | US Frequency (%) | MRI Frequency (%) |
|---|---|---|
| No tear (0) | 222 (89.16%) | 208 (83.53%) |
| Tear present (1) | 27 (10.84%) | 41 (16.47%) |
| Lateral Meniscal Pathology | False-Negative Frequency | False-Positive Frequency |
|---|---|---|
| Horizontal tears | 6 | |
| Complex tears | 1 | |
| Radial tears | 8 | |
| Diminutive meniscus | 1 | |
| Total | 15 | 1 |
Disclaimer/Publisher’s Note: The statements, opinions and data contained in all publications are solely those of the individual author(s) and contributor(s) and not of MDPI and/or the editor(s). MDPI and/or the editor(s) disclaim responsibility for any injury to people or property resulting from any ideas, methods, instructions or products referred to in the content. |
© 2024 by the authors. Licensee MDPI, Basel, Switzerland. This article is an open access article distributed under the terms and conditions of the Creative Commons Attribution (CC BY) license (https://creativecommons.org/licenses/by/4.0/).
Share and Cite
Awan, F.; Mondal, P.; van der Merwe, J.M.; Vassos, N.; Obaid, H. The Utility of a Community-Based Knee Ultrasound in Detecting Meniscal Tears: A Retrospective Analysis in Comparison with MRI. Healthcare 2024, 12, 2051. https://doi.org/10.3390/healthcare12202051
Awan F, Mondal P, van der Merwe JM, Vassos N, Obaid H. The Utility of a Community-Based Knee Ultrasound in Detecting Meniscal Tears: A Retrospective Analysis in Comparison with MRI. Healthcare. 2024; 12(20):2051. https://doi.org/10.3390/healthcare12202051
Chicago/Turabian StyleAwan, Fatima, Prosanta Mondal, Johannes M. van der Merwe, Nicholas Vassos, and Haron Obaid. 2024. "The Utility of a Community-Based Knee Ultrasound in Detecting Meniscal Tears: A Retrospective Analysis in Comparison with MRI" Healthcare 12, no. 20: 2051. https://doi.org/10.3390/healthcare12202051
APA StyleAwan, F., Mondal, P., van der Merwe, J. M., Vassos, N., & Obaid, H. (2024). The Utility of a Community-Based Knee Ultrasound in Detecting Meniscal Tears: A Retrospective Analysis in Comparison with MRI. Healthcare, 12(20), 2051. https://doi.org/10.3390/healthcare12202051

