Takotsubo Syndrome: Differences between Peripartum Period and General Population
Abstract
1. Introduction
2. Our Experience
3. Epidemiology
4. Pathophysiology
5. Symptoms
6. Definition and Diagnostic Criteria
7. Types of TTS
8. Triggers
9. Risk Factors
9.1. Hormonal
9.2. Genetic
9.3. Psychiatric and Neurological Disorders
10. Diagnostic Workout
10.1. Biomarkers
10.2. Echocardiography
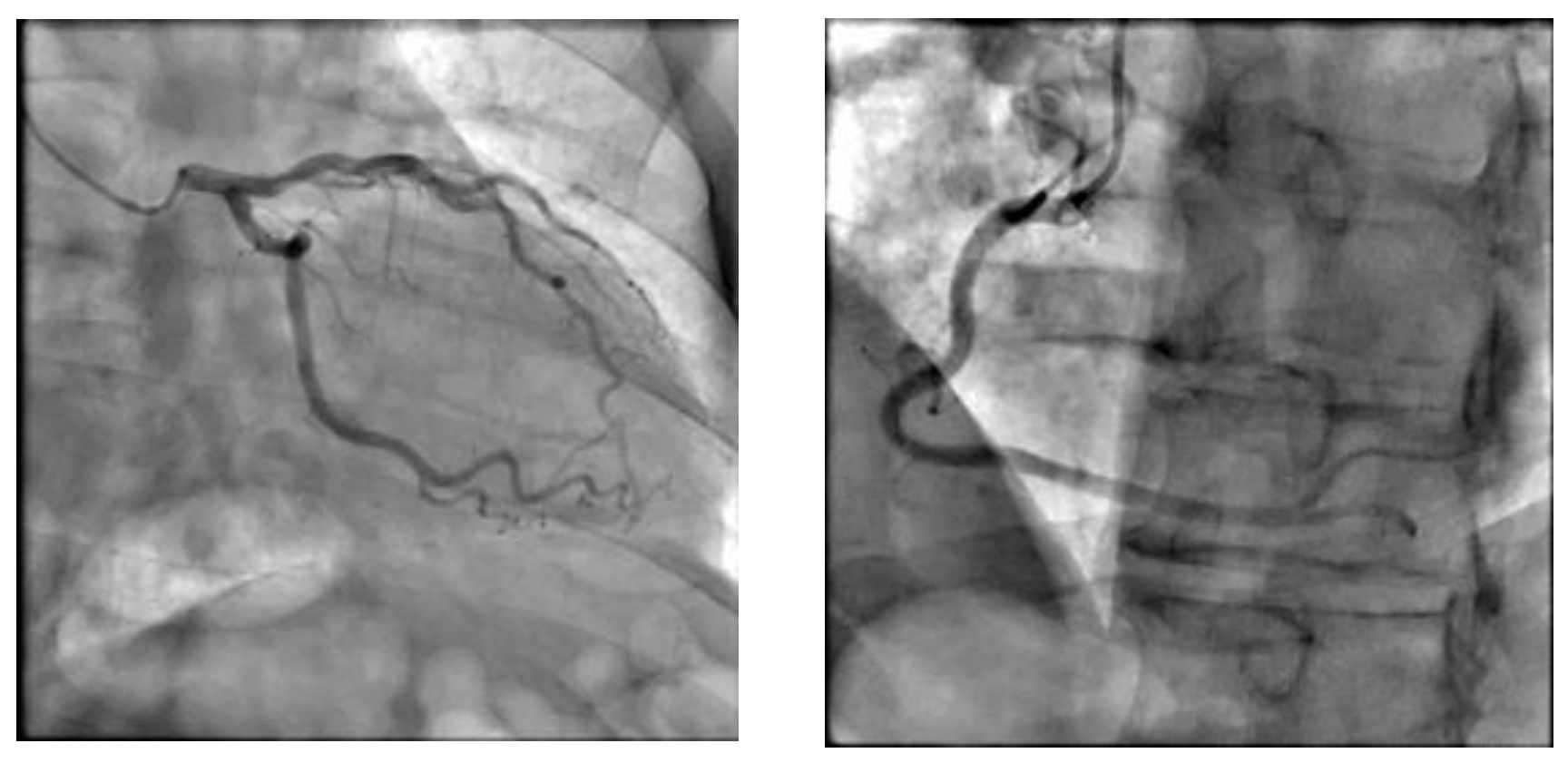
10.3. Coronary Angiography
10.4. Cardiac Computed Tomography Angiography
10.5. Cardiac Magnetic Resonance
11. Complications and Prognosis
12. Management
13. Conclusions
Author Contributions
Funding
Institutional Review Board Statement
Informed Consent Statement
Data Availability Statement
Conflicts of Interest
Abbreviation
| ACEi | Angiotensin-converting enzyme inhibitors |
| ACS | Acute coronary syndromes |
| ARB | Angiotensin receptor blockers |
| AVB | Atrioventricular block |
| BNP | Brain natriuretic peptide |
| CCTA | Cardiac computed tomographyangiography |
| CMR | Cardiac magnetic resonance |
| ECG | Electrocardiogram |
| LV | Left ventricle |
| LVAD | Left ventricular assist device |
| LVOTO | Left ventriclular outflow tract obstruction |
| ProBNP | Prohormone of brain natriuretic peptide |
| PPCM | Postpartum cadiomyopathy |
| STEMI | ST elevation myocardial infarction |
| TTS | Takotsubo syndrome |
References
- Sato, H. Tako-tsubo-like left ventricular dysfunction due to multivessel coronary spasm. In Clinical Aspect of Myocardial Injury: From Ischemia to Heart Failure; Kodama, K.K., Hori, H.M., Eds.; Kagakuhyoronsha Publishing Co.: Tokyo, Japan, 1990; pp. 56–64. (In Japanese) [Google Scholar]
- Sharkey, S.W.; Lesser, J.R.; Maron, M.S.; Maron, B.J. Why not just call it Takotsubo cardiomyopathy: A discussion of nomenclature. J. Am. Coll. Cardiol. 2011, 57, 1496–1497. [Google Scholar] [CrossRef] [PubMed]
- Ghadri, J.R.; Cammann, V.L.; Jurisic, S.; Seifert, B.; Napp, L.C.; Diekmann, J.; Bataiosu, D.R.; D’Ascenzo, F.; Ding, K.J.; Sarcon, A.; et al. A novel clinical score (InterTAK diagnostic score) to differentiate takotsubo syndrome from acute coronary syndrome: Results from the international takotsubo registry. Eur. J. Heart Fail. 2017, 19, 1036–1042. [Google Scholar] [CrossRef] [PubMed]
- Templin, C.; Ghadri, J.R.; Diekmann, J.; Napp, L.C.; Bataiosu, D.R.; Jaguszewski, M.; Cammann, V.L.; Sarcon, A.; Geyer, V.; Neumann, C.A.; et al. Clinical features and outcomes of takotsubo (stress) cardiomyopathy. N. Engl. J. Med. 2015, 373, 929–938. [Google Scholar] [CrossRef]
- Sundararajan, C.; Kubendiran, P. Takotsubo cardiomyopathy in peripartumperiod: A case report. Int. J. Reprod Contracept Obstet. Gynecol. 2021, 10, 4566–4569. [Google Scholar] [CrossRef]
- Mogos, M.F.; Ahn, S.; Muchira, J.M.; Osmundson, S.; Piano, M.R. Pregnancy-associated takotsubo cardiomyopathy hospitalizations in the United States. Am. J. Physiol. Heart Circ. Physiol. 2023, 325, H468–H474. [Google Scholar] [CrossRef] [PubMed]
- Pelliccia, F.; Kaski, J.C.; Crea, F.; Camici, P.G. Pathophysiology of Takotsubo Syndrome. Circulation 2017, 135, 2426–2441. [Google Scholar] [CrossRef] [PubMed]
- Abraham, J.; Mudd, J.O.; Kapur, N.K.; Klein, K.; Champion, H.C.; Wittstein, I.S. Stress cardiomyopathy after intravenous administration of catecholamines and beta receptor agonists. J. Am. Coll. Cardiol. 2009, 53, 1320–1325. [Google Scholar] [CrossRef] [PubMed]
- Wittstein, I.S.; Thiemann, D.R.; Lima, J.A.; Baughman, K.L.; Schulman, S.P.; Gerstenblith, G.; Wu, K.C.; Rade, J.J.; Bivalacqua, T.J.; Champion, H.C. Neurohumoral features of myocardial stunning due to sudden emotional stress. N. Engl. J. Med. 2005, 352, 539–548. [Google Scholar] [CrossRef]
- Kume, T.; Kawamoto, T.; Okura, H.; Toyota, E.; Neishi, Y.; Watanabe, N.; Hayashida, A.; Okahashi, N.; Yoshimura, Y.; Saito, K.; et al. Local release of catecholamines from the hearts of patients with Takotsubo-like left ventricular dysfunction. Circ. J. 2008, 72, 106–108. [Google Scholar] [CrossRef]
- Ortak, J.; Khattab, K.; Barantke, M.; Wiegand, U.K.; Baensch, D.; Ince, H.; Nienaber, C.A.; Bonnemeier, H. Evolution of cardiac autonomic nervous activity indices in patients presenting with transient left ventricular apical ballooning. Pacing Clin. Electrophysiol. 2009, 32, S21–S25. [Google Scholar] [CrossRef]
- Amariles, P.; Cifuentes, L. Drugs as Possible Triggers of Takotsubo Cardiomyopathy: A Comprehensive Literature Search—Update 2015. Curr. Clin. Pharmacol. 2016, 11, 95–109. [Google Scholar] [CrossRef]
- Eitel, I.; Stiermaier, T.; Graf, T.; Möller, C.; Rommel, K.P.; Eitel, C.; Schuler, G.; Thiele, H.; Desch, S. Optical coherence tomography to evaluate plaque burden and morphology in patients with Takotsubo syndrome. J. Am. Heart Assoc. 2016, 5, e004474. [Google Scholar] [CrossRef] [PubMed]
- Spieker, L.E.; Hurlimann, D.; Ruschitzka, F.; Corti, R.; Enseleit, F.; Shaw, S.; Hayoz, D.; Deanfield, J.E.; Lüscher, T.F.; Noll, G. Mental stress induces prolonged endothelial dysfunction via endothelin—A receptors. Circulation 2002, 105, 2817–2820. [Google Scholar] [CrossRef] [PubMed]
- Wittstein, I.S. Stress cardiomyopathy: A syndrome of catecholamine-mediated myocardial stunning? Cell Mol. Neurobiol. 2012, 32, 847–848. [Google Scholar] [CrossRef] [PubMed]
- Waqar, A.; Jain, A.; Joseph, C.; Srivastava, K.; Ochuba, O.; Alkayyali, T.; Poudel, S. Cardioprotective role of estrogen in takotsubo cardiomyopathy. Cureus 2022, 14, e22845. [Google Scholar] [CrossRef]
- Litvinov, I.V.; Kotowycz, M.A.; Wassmann, S. Iatrogenic epinephrine-induced reverse Takotsubo cardiomyopathy: Direct evidence supporting the role of catecholamines in the pathophysiology of the “broken heart syndrome”. Clin. Res. Cardiol. 2009, 98, 457–462. [Google Scholar] [CrossRef]
- Citro, R.; Pascotto, M.; Provenza, G.; Gregorio, G.; Bossone, E. Transient left ventricular ballooning (Takotsubo cardiomyopathy) soon after intravenous ergonovine injection following caesarean delivery. Int. J. Cardiol. 2010, 138, e31–e34. [Google Scholar] [CrossRef] [PubMed]
- Citro, R.; Giudice, R.; Mirra, M.; Petta, R.; Baldi, C.; Bossone, E.; Piscione, F. Is Tako-tsubo syndrome in the postpartum period a clinical entity different from peripartum cardiomyopathy? J. Cardiovasc. Med. 2013, 14, 568–575. [Google Scholar] [CrossRef] [PubMed]
- Awad, H.H.; McNeal, A.R.; Goyal, H. Reverse Takotsubo cardiomyopathy: A comprehensive review. Ann. Transl. Med. 2018, 6, 460. [Google Scholar] [CrossRef]
- Prasad, A.; Lerman, A.; Rihal, C.S. Apical ballooning syndrome (Takotsubo or stress cardiomyopathy): A mimic of acute myocardial infarction. Am. Heart J. 2008, 155, 408–417. [Google Scholar] [CrossRef]
- Peters, M.N.; George, P.; Irimpen, A.M. The broken heart syndrome: Takotsubo cardiomyopathy. Trends Cardiovasc. Med. 2015, 25, 351–357. [Google Scholar] [CrossRef] [PubMed]
- Garg, H.; Singh, S.; Ramachandran, R.; Trikha, A. Takotsubo cardiomyopathy in pregnancy: A focused review. J. Obstet. Anaesth. Crit. Care 2023, 13, 142–159. [Google Scholar]
- Joshi, S.; Patil, S.P.; Rojulpote, C.; Gonuguntla, K. Patient characteristics and in-hospital outcomes of takotsubo cardiomyopathy in pregnancy: A retrospective analysis. Eur. Heart J. 2020, 41, 946. [Google Scholar] [CrossRef]
- Ghadri, J.-R.; Wittstein, I.S.; Prasad, A.; Sharkey, S.; Dote, K.; Akashi, Y.J.; Cammann, V.L.; Crea, F.; Galiuto, L.; Desmet, W.; et al. International expert consensus document on takotsubo syndrome (part I): Clinical characteristics, diagnostic criteria, and pathophysiology. Eur. Heart J. 2018, 39, 2032–2046. [Google Scholar] [CrossRef] [PubMed]
- Ghadri, J.R.; Cammann, V.L.; Napp, L.C.; Jurisic, S.; Diekmann, J.; Bataiosu, D.R.; Seifert, B.; Jaguszewski, M.; Sarcon, A.; Neumann, C.A.; et al. International Takotsubo Registry. Differences in the clinical profile and outcomes of typical and atypical takotsubo syndrome: Data from the International Takotsubo Registry. JAMA Cardiol. 2016, 1, 335–340. [Google Scholar] [CrossRef] [PubMed]
- Paur, H.; Wright, P.T.; Sikkel, M.B.; Tranter, M.H.; Mansfield, C.; O’gara, P.; Stuckey, D.J.; Nikolaev, V.O.; Diakonov, I.; Pannell, L.; et al. High levels of circulating epinephrine trigger apical cardiodepression in a b2-adrenergic receptor/Gidependent manner: A new model of Takotsubo cardiomyopathy. Circulation 2012, 126, 697–706. [Google Scholar] [CrossRef] [PubMed]
- Aizawa, K.; Suzuki, T. Takotsubo cardiomyopathy: Japanese perspective. Heart Fail. Clin. 2013, 9, 243–247. [Google Scholar] [CrossRef] [PubMed]
- Kagiyama, N.; Okura, H.; Kume, T.; Hayashida, A.; Yoshida, K. Isolated right ventricular takotsubo cardiomyopathy. Eur. Heart J. Cardiovasc. Imaging 2015, 16, 285. [Google Scholar] [CrossRef] [PubMed]
- Stahli, B.E.; Ruschitzka, F.; Enseleit, F. Isolated right ventricular ballooning syndrome: A new variant of transient cardiomyopathy. Eur. Heart J. 2011, 32, 1821. [Google Scholar] [CrossRef]
- Eitel, I.; von Knobelsdorff-Brenkenhoff, F.; Bernhardt, P.; Carbone, I.; Muellerleile, K.; Aldrovandi, A.; Francone, M.; Desch, S.; Gutberlet, M.; Strohm, O.; et al. Clinical characteristics and cardiovascular magnetic resonance findings in stress (takotsubo) cardiomyopathy. JAMA 2011, 306, 277–286. [Google Scholar] [CrossRef]
- Sharkey, S.W.; Windenburg, D.C.; Lesser, J.R.; Maron, M.S.; Hauser, R.G.; Lesser, J.N.; Haas, T.S.; Hodges, J.S.; Maron, B.J. Natural history and expansive clinical profile of stress (Takotsubo) cardiomyopathy. J. Am. Coll. Cardiol. 2010, 55, 333–341. [Google Scholar] [CrossRef]
- Tagawa, M.; Nakamura, Y.; Ishiguro, M.; Satoh, K.; Chinushi, M.; Kodama, M.; Aizawa, Y. Transient left ventricular apical ballooning developing after the Central Niigata Prefecture Earthquake: Two case reports. J. Cardiol. 2006, 48, 153–158. [Google Scholar]
- Chan, C.; Elliott, J.; Troughton, R.; Frampton, C.; Smyth, D.; Crozier, I.; Bridgman, P. Acute myocardial infarction and stress cardiomyopathy following the Christchurch earthquakes. PLoS ONE 2013, 8, e68504. [Google Scholar] [CrossRef]
- Butterly, S.J.; Indrajith, M.; Garrahy, P.; Ng, A.C.; Gould, P.; Wang, W.V. Stress induced Takotsubo cardiomyopathy in survivors of the 2011 Queensland floods. Med. J. Aust. 2013, 198, 109–110. [Google Scholar] [CrossRef]
- Brezina, P.; Isler, C.M. Takotsubo cardiomyopathy in pregnancy. Obstet. Gynecol. 2008, 112, 450–452. [Google Scholar] [CrossRef]
- Citro, R.; Lyon, A.; Arbustini, E.; Bossone, E.; Piscione, F.; Templin, C.; Narula, J. Takotsubo syndrome after cesarean section: Rare but possible. J. Am. Coll. Cardiol. 2018, 71, 1838–1839. [Google Scholar] [CrossRef]
- Dundon, B.K.; Puri, R.; Leong, D.P.; Worthley, M.I. Takotsubo cardiomyopathy following lightning strike. Emerg. Med. J. 2008, 25, 460–461. [Google Scholar] [CrossRef][Green Version]
- Citro, R.; Patella, M.M.; Bossone, E.; Maione, A.; Provenza, G.; Gregorio, G. Near drowning syndrome: A possible trigger of Tako-tsubo cardiomyopathy. J. Cardiovasc. Med. 2008, 9, 501–505. [Google Scholar] [CrossRef]
- Arora, S.; Alfayoumi, F.; Srinivasan, V. Transient left ventricular apical ballooning after cocaine use: Is catecholamine cardiotoxicity the pathologic link? Mayo Clin. Proc. 2006, 81, 829–832. [Google Scholar] [CrossRef]
- Stout, B.J.; Hoshide, R.; Vincent, D.S. Takotsubo cardiomyopathy in the setting of acute alcohol withdrawal. Hawaii J. Med. Public Health 2012, 71, 193–194. [Google Scholar]
- Davin, L.; Legrand, V.; Legrand, D. A frozen heart. Eur. Heart J. 2009, 30, 1827. [Google Scholar] [CrossRef] [PubMed]
- Gianni, M.; Dentali, F.; Grandi, A.M.; Sumner, G.; Hiralal, R.; Lonn, E. Apical ballooning syndrome or takotsubo cardiomyopathy: A systematic review. Eur. Heart J. 2006, 27, 1523–1529. [Google Scholar] [CrossRef] [PubMed]
- Deshmukh, A.; Kumar, G.; Pant, S.; Rihal, C.; Murugiah, K.; Mehta, J.L. Prevalence of Takotsubo cardiomyopathy in the United States. Am. Heart J. 2012, 164, 66–71.e1. [Google Scholar] [CrossRef] [PubMed]
- Komesaroff, P.A.; Esler, M.D.; Sudhir, K. Estrogen supplementation attenuates glucocorticoid and catecholamine responses to mental stress in perimenopausal women. J. Clin. Endocrinol. Metab. 1999, 84, 606–610. [Google Scholar] [CrossRef] [PubMed]
- Sung, B.H.; Ching, M.; Izzo, J.L., Jr.; Dandona, P.; Wilson, M.F. Estrogen improves abnormal norepinephrine-induced vasoconstriction in postmenopausal women. J. Hypertens. 1999, 17, 523–528. [Google Scholar] [CrossRef] [PubMed]
- Camici, P.G.; Crea, F. Microvascular angina. Circ. Cardiovasc. Imaging 2015, 8, e003252. [Google Scholar] [CrossRef] [PubMed]
- Zaroff, J.G.; Pawlikowska, L.; Miss, J.C.; Yarlagadda, S.; Ha, C.; Achrol, A.; Kwok, P.Y.; McCulloch, C.E.; Lawton, M.T.; Ko, N.; et al. Adrenoceptor polymorphisms and the risk of cardiac injury and dysfunction after subarachnoid hemorrhage. Stroke 2006, 37, 1680–1685. [Google Scholar] [CrossRef] [PubMed]
- Compare, A.; Bigi, R.; Orrego, P.S.; Proietti, R.; Grossi, E.; Steptoe, A. Type D personality is associated with the development of stress cardiomyopathy following emotional triggers. Ann. Behav. Med. 2013, 45, 299–307. [Google Scholar] [CrossRef]
- Mausbach, B.T.; Dimsdale, J.E.; Ziegler, M.G.; Mills, P.J.; Ancoli-Israel, S.; Patterson, T.L.; Grant, I. Depressive symptoms predict norepinephrine response to a psychological stressor task in Alzheimer’s caregivers. Psychosom. Med. 2005, 67, 638–642. [Google Scholar] [CrossRef]
- Scheitz, J.F.; Mochmann, H.C.; Witzenbichler, B.; Fiebach, J.B.; Audebert, H.J.; Nolte, C.H. Takotsubo cardiomyopathy following ischemic stroke: A cause of troponin elevation. J. Neurol. 2012, 259, 188–190. [Google Scholar] [CrossRef]
- Inamasu, J.; Ganaha, T.; Nakae, S.; Ohmi, T.; Wakako, A.; Tanaka, R.; Kuwahara, K.; Kogame, H.; Kawazoe, Y.; Kumai, T.; et al. Therapeutic outcomes for patients with aneurysmal subarachnoid hemorrhage complicated by Takotsubo cardiomyopathy. Acta Neurochir. 2016, 158, 885–893. [Google Scholar] [CrossRef]
- Ghadri, J.-R.; Wittstein, I.S.; Prasad, A.; Sharkey, S.; Dote, K.; Akashi, Y.J.; Cammann, V.L.; Crea, F.; Galiuto, L.; Desmet, W.; et al. International Expert Consensus Document on Takotsubo Syndrome (Part II): Diagnostic Workup, Outcome, and Management. Eur. Heart J. 2018, 39, 2047–2062. [Google Scholar] [CrossRef]
- Nguyen, T.H.; Neil, C.J.; Sverdlov, A.L.; Mahadavan, G.; Chirkov, Y.Y.; Kucia, A.M.; Stansborough, J.; Beltrame, J.F.; Selvanayagam, J.B.; Zeitz, C.J.; et al. N-terminal pro-brain natriuretic protein levels in Takotsubo cardiomyopathy. Am. J. Cardiol. 2011, 108, 1316–1321. [Google Scholar] [CrossRef]
- Haghi, D.; Athanasiadis, A.; Papavassiliu, T.; Suselbeck, T.; Fluechter, S.; Mahrholdt, H.; Borggrefe, M.; Sechtem, U. Right ventricular involvement in Takotsubo cardiomyopathy. Eur. Heart J. 2006, 27, 2433–2439. [Google Scholar] [CrossRef]
- Burgdorf, C.; Hunold, P.; Radke, P.W.; Schunkert, H.; Kurowski, V. Isolated right ventricular stress-induced (“Tako-tsubo”) cardiomyopathy. Clin. Res. Cardiol. 2011, 100, 617–619. [Google Scholar] [CrossRef]
- Chandrasegaram, M.D.; Celermajer, D.S.; Wilson, M.K. Apical ballooning syndrome complicated by acute severe mitral regurgitation with left ventricular outflow obstruction–case report. J. Cardiothorac. Surg. 2007, 2, 14. [Google Scholar] [CrossRef][Green Version]
- Lyon, A.R.; Bossone, E.; Schneider, B.; Sechtem, U.; Citro, R.; Underwood, S.R.; Sheppard, M.N.; Figtree, G.A.; Parodi, G.; Akashi, Y.J.; et al. Current state of knowledge on Takotsubo syndrome: A Position Statement from the Taskforce on Takotsubo Syndrome of the Heart Failure Association of the European Society of Cardiology. Eur. J. Heart Fail. 2016, 18, 8–27. [Google Scholar] [CrossRef]
- Napp, L.C.; Ghadri, J.R.; Bauersachs, J.; Templin, C. Acute coronary syndrome or Takotsubo cardiomyopathy: The suspect may not always be the culprit. Int. J. Cardiol. 2015, 187, 116–119. [Google Scholar] [CrossRef]
- Murugiah, K.; Wang, Y.; Desai, N.R.; Spatz, E.S.; Nuti, S.V.; Dreyer, R.P.; Krumholz, H.M. Trends in short- and long-term outcomes for Takotsubo cardiomyopathy among medicare fee-for-service beneficiaries, 2007 to 2012. JACC Heart Fail. 2016, 4, 197–205. [Google Scholar] [CrossRef] [PubMed]
- Garcia-Bournissen, F.; Shrim, A.; Koren, G. Safety of gadolinium during pregnancy. Can. Fam. Physician 2006, 52, 309–310. [Google Scholar]
- Tornvall, P.; Collste, O.; Ehrenborg, E.; Järnbert-Petterson, H. A case-control study of risk markers and mortality in Takotsubo stress cardiomyopathy. J. Am. Coll. Cardiol. 2016, 67, 1931–1936. [Google Scholar] [CrossRef]
- Stiermaier, T.; Eitel, C.; Desch, S.; Fuernau, G.; Schuler, G.; Thiele, H.; Eitel, I. Incidence, determinants and prognostic relevance of cardiogenic shock in patients with Takotsubo cardiomyopathy. Eur. Heart J. Acute Cardiovasc. Care 2016, 5, 489–496. [Google Scholar] [CrossRef]
- Templin, C.; Ghadri, J.R.; Napp, L.C. Takotsubo (Stress) Cardiomyopathy. N. Engl. J. Med. 2015, 373, 2689–2691. [Google Scholar] [CrossRef]
- Santoro, F.; Ieva, R.; Ferraretti, A.; Ienco, V.; Carpagnano, G.; Lodispoto, M.; Di Biase, L.; Di Biase, M.; Brunetti, N.D. Safety and feasibility of levosimendan administration in Takotsubo cardiomyopathy: A case series. Cardiovasc. Ther. 2013, 31, e133–e137. [Google Scholar] [CrossRef]
- Ding, K.J.; Cammann, V.L.; Szawan, K.A.; Stähli, B.E.; Wischnewsky, M.; Di Vece, D.; Citro, R.; Jaguszewski, M.; Seifert, B.; Sarcon, A.; et al. Intraventricular thrombus formation and embolism in takotsubo syndrome: Insights from the international takotsubo registry. Arterioscler. Thromb. Vasc. Biol. 2020, 40, 279–287. [Google Scholar] [CrossRef]







| Age | Symptoms | EF (%) | TTS Type | CA/CCTA | Complications | ICU Days | ProBNP/Troponin | Outcome | Follow Up |
|---|---|---|---|---|---|---|---|---|---|
| 28 | Dyspnea | 46 | Reverse | CCTA | No | 3 | Both positive | Good | Alive w/o complications |
| 35 | Dyspnea | 40 | Apical | Refused | No | 4 | Both positive | Good | Alive w/o complications |
| 38 | Chest pain | 44 | Reverse | CA | No | 3 | Both positive | Good | Alive w/o complications |
| 40 | Dyspnea | 38 | Apical | Refused | No | 4 | Both positive | Good | Lost to follow up |
| 40 | Dyspnea | 43 | Reverse | CA | No | 3 | Both positive | Good | Alive w/o complications |
| 33 | Chest pain | 33 | Apical | CA | No | 4 | Both positive | Good | Alive w/o complications |
| 37 | Dyspnea | 35 | Apical | Refused | No | 3 | Both positive | Good | Lost to follow up |
| 35 | Dyspnea | 38 | Apical | CCTA | No | 4 | Both positive | Good | Alive w/o complications |
| 37 | Dyspnea | 34 | Apical | CA | No | 4 | Both positive | Good | Alive w/o complications |
| International Takotsubo Diagnostic Criteria (InterTAK Diagnostic Criteria) |
|---|
| 1. Patients show transient a left ventricular dysfunction (hypokinesia, akinesia, or dyskinesia) presenting as apical ballooning or midventricular, basal, or focal wall motion abnormalities. Right ventricular involvement can be present. Besides these regional wall motion patterns, transitions between all types can exist. The regional wall motion abnormality usually extends beyond a single epicardial vascular distribution. However, rare cases can exist where the regional wall motion abnormality is present in the subtended myocardial territory of a single coronary artery (focal TTS). b |
| 2. An emotional, physical, or combined trigger can precede the TTS event, but this is not obligatory. |
| 3. Neurologic disorders (eg, subarachnoid hemorrhage, stroke/transient ischaemic attack, or seizures), as well as pheochromocytoma, may serve as triggers for TTS. |
| 4. New ECG abnormalities are present (ST-segment elevation, ST-segment depression, T-wave inversion, and QTc prolongation); however, rare cases exist without any ECG changes. |
| 5. Levels of cardiac biomarkers (troponin and creatine kinase) are moderately elevated in most cases; significant elevation of brain natriuretic peptide is common. |
| 6. Significant coronary artery disease is not a contradiction in TTS. |
| 7. Patients have no evidence of infectious myocarditis. b |
| 8. Postmenopausal women are predominantly affected. |
| InterTAK Diagnostic Score | |
|---|---|
| Female sex | 25 points |
| Emotional stress | 24 points |
| Physical stress | 13 points |
| No ST-Segment depression | 12 points |
| Psychiatric disorders | 11 points |
| Neurologic disorders | 9 points |
| QTC prolongation | 6 points |
| Differentiation Features between TTS and PPCM | ||
|---|---|---|
| Criteria | TTS | PPCM |
| Onset | Commonly after C-section. Also describe in antepartum and late postpartum period | Heart failure in last month of pregnancy/within 5 months postpartum |
| Risk factor | More (twin gestation), multiple pregnancy | Less |
| Clinical features | Mimics MI, pericarditis, Heart failure, PTE | Mostly presents as heart failure |
| ECG | New onset ST segment changes or T wave inversion. | No pattern of ST segment changes |
| Cardiac enzymes | Higher elevation of CKMB, Troponin-T | Lesser elevations of CKMB, Troponin-T |
| 2D ECHO | Apical hypokinesia (Typical TTCM), Mid ventricular, basal hypokinesia (Reverse TTS) | Global hypokinesia |
| Prognosis | More favourable | Less favourable |
| Recovery | Generally, within 1 month of delivery | Delayed recovery |
| In-Hospital Complications | ||
|---|---|---|
| Frequent | Moderate | Rare |
| Acute heart failure (12–45%) LVOTO (10–25%) Mitral regurgitation (14–25%) Cardiogenic shock (6–20%) | Atrial fibrillation (5–15%) LV thrombus (2–8%) Cardiac arrest (4–6%) AV block (5%) | Tachyarrhythmia (2–5%) Bradyarrhythmia (2–5%) Torsade de pointes (2–5%) Death (1–4.5%) VT/VF (3%) Ventricular septal defect (<1%) |
Disclaimer/Publisher’s Note: The statements, opinions and data contained in all publications are solely those of the individual author(s) and contributor(s) and not of MDPI and/or the editor(s). MDPI and/or the editor(s) disclaim responsibility for any injury to people or property resulting from any ideas, methods, instructions or products referred to in the content. |
© 2024 by the authors. Licensee MDPI, Basel, Switzerland. This article is an open access article distributed under the terms and conditions of the Creative Commons Attribution (CC BY) license (https://creativecommons.org/licenses/by/4.0/).
Share and Cite
Tzerefos, S.; Aloizou, D.; Nikolakopoulou, S.; Aloizos, S. Takotsubo Syndrome: Differences between Peripartum Period and General Population. Healthcare 2024, 12, 1602. https://doi.org/10.3390/healthcare12161602
Tzerefos S, Aloizou D, Nikolakopoulou S, Aloizos S. Takotsubo Syndrome: Differences between Peripartum Period and General Population. Healthcare. 2024; 12(16):1602. https://doi.org/10.3390/healthcare12161602
Chicago/Turabian StyleTzerefos, Stavros, Dimitra Aloizou, Sofia Nikolakopoulou, and Stavros Aloizos. 2024. "Takotsubo Syndrome: Differences between Peripartum Period and General Population" Healthcare 12, no. 16: 1602. https://doi.org/10.3390/healthcare12161602
APA StyleTzerefos, S., Aloizou, D., Nikolakopoulou, S., & Aloizos, S. (2024). Takotsubo Syndrome: Differences between Peripartum Period and General Population. Healthcare, 12(16), 1602. https://doi.org/10.3390/healthcare12161602

