Next Article in Journal
Body Dysmorphic Disorder in Aesthetic and Reconstructive Plastic Surgery—A Systematic Review and Meta-Analysis
Previous Article in Journal
Nurses’ Perception of Caring and Attitudes toward Caring for Dying Patients: Exploring the Relationship Using a Descriptive Cross-Sectional Design
Previous Article in Special Issue
Pollutants in Breast Milk: A Scoping Review of the Most Recent Data in 2024
 
 
Font Type:
Arial Georgia Verdana
Font Size:
Aa Aa Aa
Line Spacing:
Column Width:
Background:
Case Report

Hamman’s Syndrome after Vaginal Delivery: A Case of Postpartum Spontaneous Pneumomediastinum with Subcutaneous Emphysema and Review of the Literature

1
Department of Obstetrics and Gynecology, Helgeland Hospital, 8802 Sandnessjøen, Norway
2
Department of Pathology, St. Elisabeth Cancer Institute, 81250 Bratislava, Slovakia
3
Department of Radiology, Helgeland Hospital, 8802 Sandnessjøen, Norway
4
Faculty of Health Care, Catholic University, 03401 Ruzomberok, Slovakia
5
VISNOVSKI Ltd., 03601 Martin, Slovakia
6
OBGY Health & Care Ltd., 01001 Zilina, Slovakia
7
Department of Obstetrics and Gynecology, Nordland Hospital, 8450 Stokmarknes, Norway
*
Author to whom correspondence should be addressed.
Healthcare 2024, 12(13), 1332; https://doi.org/10.3390/healthcare12131332
Submission received: 19 May 2024 / Revised: 30 June 2024 / Accepted: 1 July 2024 / Published: 3 July 2024
(This article belongs to the Special Issue 2nd Edition: Pregnancy and Perinatal Health)

Abstract

Hamman’s syndrome is a rare condition that mostly affects young males, often with a predisposition to asthma. It includes the presence of free air in the mediastinum and subcutaneous emphysema with no other underlying cause such as trauma, infection, or administration of any sort of mask support with hyperpressure. It occurs spontaneously and often in association with a prolonged Valsalva maneuver. This might explain why there are some cases of Hamman’s syndrome among young females giving birth. Here, we present a case report of a 24-year-old non-smoker primigravida with Hamman’s syndrome. She presented with symptoms a few hours after an uncomplicated vaginal delivery at 40 + 1 weeks of pregnancy where the active phase of labor lasted for three hours with normal progress. The second stage lasted for 30 min, with no signs of distress on CTG. The symptoms (pain in the right ear, swelling and pain in the neck, chest tightness, shortness of breath, dysphagia, odynophagia, and pain in the upper thorax on the right side) and objective findings as subcutaneous crepitations in the neck, parasternal region, right axillary fossa, clavicle and over the chest resolved spontaneously after a few days of observation and conservative management. We also give a systemic review of reported cases since 2000 to provide an overview of the pathomechanism, symptoms, diagnostics, treatment, and management of this condition. Hamman’s syndrome is a rare, usually benign, but potentially serious complication that can occur during the second stage of labor. Diagnostics include inquiring about typical symptoms, clinical examination, and chest x-ray or CT scan. Treatment is usually conservative with oxygen, bronchodilators, and pain relief. The recurrence rate is low and there is no contraindication to vaginal delivery in future pregnancies. However, it is suggested that physicians and midwives be cautious and consider a low threshold for instrumental delivery or cesarean section to avoid excessive Valsalva maneuvers.

1. Introduction

Spontaneous pneumomediastinum (SPM) during labor is a rare event, occurring in about 1 in 100,000 deliveries. Together with subcutaneous emphysema, it is called Hamman’s syndrome [1]. The condition was named after Louis Hamman (1877–1946), the physician who described it in several case reports from 1939 to 1945 in postpartum women [2,3].
SPM is defined as the presence of free air in the mediastinum with no underlying trauma and mostly affects young males and pregnant females. It may be associated with a pulse-synchronous crunching sound, referred to as the “Hamman’s sign”, best heard when the patient is lying in the left lateral decubitus position [4,5].
Hamman’s syndrome may occur during prolonged labor, usually in the second stage, after a prolonged Valsalva maneuver. Here, it is pneumomediastinum and subcutaneous emphysema not linked to any sort of mask support with hyperpressure. Other predisposing events may be intensive coughing, retching/vomiting, or physical activity [6].
The condition is usually benign and self-limiting, but in rare cases, there may be complications such as significant dyspnea and chest pain, and even the development of malignant pneumomediastinum, which requires surgical intervention [7]. In this paper, we report a case of Hamman’s syndrome in a 24-year-old primigravida with underlying asthma. We examine the pathomechanism and management of this condition, and provide an overview of 42 other published cases in the last two decades.

2. Case Presentation

A 24-year-old primiparous woman, with a normal pregnancy, presented to the maternity ward in spontaneous labor, with regular uterine contractions at 40 + 1 weeks. She was a non-smoker and denied drinking alcohol or using illicit drugs. Her body mass index was 27.1, and her past medical history was significant for depression, ADHD (Attention Deficit Hyperactivity Disorder), and childhood asthma, without flare-ups or need for medical treatment in the last years. There was no history of any heart condition.
In the latent phase of delivery, she received morphine for analgesia. The water broke spontaneously, and the amniotic fluid was discolored. The patient had a normal temperature and there was no fetal tachycardia or other signs of fetal distress on cardiotocography (CTG). The active phase of labor lasted for three hours with normal progress. After one hour of passive descent, she started pushing, and the second stage lasted for 30 min. It was a spontaneous vaginal delivery of a healthy baby with a normal Apgar score (9-10-10) weighing 4170 g. There was a normal expulsion of the placenta, and there was normal bleeding. Eight hours after delivery, she complained of pain in the right ear, swelling and pain in the neck, chest tightness, shortness of breath, dysphagia, odynophagia, and pain in the upper thorax on the right side. Her vital signs were stable (BP 128/67 mmHg, pulse 91/min, temperature 36.0 °C, respiratory rate 14/min, and oxygen saturation 99% on room air). The ECG was unremarkable. Blood gas showed normal values with pH 7.45 and pCO2 4.2 kPa. A PCR test from the nasopharynx was negative for viral infections (analyzed for Adenovirus DNA, Chlamydia pneumoniae DNA, Coronavirus 229E RNA, Coronavirus NL63 RNA, Coronavirus OC43 RNA, SARS-CoV-2 RNA, Enterovirus RNA, Influenza A virus RNA, Influenza B virus RNA, Humant metapneumovirus RNA, Mycoplasma pneumoniae DNA, Humant parainfluenza virus 1 RNA, Humant parainfluenza virus 2 RNA, Humant parainfluenza virus 3 RNA, Humant parainfluenza virus 4 RNA, Bordetella pertussis DNA, Bordetella parapertussis DNA, Rhinovirus RNA, and Respiratorisk syncytial virus RNA). There were no findings on otoscopy. On palpation, there were subcutaneous crepitations in the neck, parasternal region, right axillary fossa, clavicle, and over the chest. Auscultation of the heart and lungs was normal. A chest X-ray (Figure 1) was taken immediately, revealing subcutaneous emphysema extending bilaterally to the neck but more prominent on the right side, and suspicious for pneumomediastinum. There were no signs of pneumothorax, esophageal, or skeletal pathology. The heart configuration was normal. The patient received 1 g of paracetamol and 2.5 mg of morphine intravenously. The situation was clinically stable. The next day, a CT scan (Figure 2) without contrast was performed, confirming pneumomediastinum, with air extending from the diaphragm up to the thoracic apexes and across the larynx. There were discreet amounts of pleural fluid bilaterally, and subcutaneous emphysema from the base of the skull to the neck and upper thorax.
The patient was reviewed by the medical team (radiologist, gynecologist, and surgeon) and diagnosed with Hamman’s syndrome. As the patient was hemodynamically stable, she was managed conservatively with observation and analgesics. Her symptoms resolved gradually over the next three days and she was discharged home on her third day postpartum. She was advised to avoid strenuous physical activity for the next four weeks. At the 6-week postnatal follow-up, she was well and completely without symptoms. Follow-up correspondence was also conducted over the phone at five months. The patient had recovered well and was now practicing normal physical activity.

3. Discussion

Hamman’s syndrome is a rare clinical entity. Its incidence is 1:100,000 women giving birth. The incidence is higher in cases of accidents or emergencies and has a male predisposition, accounting for 76% of cases [8]. It is believed to be a result of a sudden increase in intra-alveolar pressure. Mostly it is associated with the Valsalva maneuver, extensive vomiting, or coughing, all of which can occur in pregnancy and labor.
There have been several cases of Hamman’s syndrome occurring in labor, but it has also been reported in association with other medical conditions, such as diabetic ketoacidosis with repeated vomiting or Kussmaul breathing [9,10] and bronchial asthma, with vomiting and coughing as common precipitating factors [11,12]. There have also been reports of SPM occurring after intense coughing during strenuous physical activity [13] or hyperemesis gravidarum [14].
In our case, we believe the extensive breathing during the first stage and intensive Valsalva maneuver in the second stage of labor, in a patient with underlying bronchial asthma, led to the development of symptoms of Hamman’s syndrome after delivery. Moreover, it is known that a history of ADHD and anxiety could be another favorable factor that would cause hyperventilation during delivery, thus this underlying condition could impact the development of spontaneous pneumomediastinum as well. A similar situation in a woman with a history of bipolar disorder and anxiety was reported previously [15].
The CT scan of the chest was taken to exclude other severe diseases like pulmonary embolism, amniotic fluid embolism, myocardial infarction, and Boerhaave syndrome.
The pathophysiology of Hamman’s syndrome is explained as follows: The intra-alveolar pressure is acutely increased during the Valsalva maneuver, causing rupture of marginal alveoli adjacent to blood vessels. The free air moves from ruptured alveoli along peribronchial vascular sheaths towards the hilum of the lung. From there, it extends proximally and can spread within the mediastinum, pericardium, neck, subcutaneous tissue, and retroperitoneum. The absence of transverse fascial planes in the mediastinum allows the unobstructed passage of air along tissue planes into the neck and around the larynx. The air may also be trapped between the parietal and visceral pleura, causing pneumothorax. The pressure of the interstitial air rarely causes respiratory compromise [1]. Coughing, vomiting, screaming, and the force of pushing in labor, together, can increase intrathoracic pressure.
The most common symptoms are chest (retrosternal) pain radiating to the back or neck, dyspnea, and swelling of the face and neck. The crepitus palpable in the face and neck is pathognomonic of the condition [4,16]. Other symptoms include change of voice (dysphonia), cough, sore throat, tachycardia, dysphagia, and hemoptysis. A characteristic sign is the bubbling or crunching sounds over the heart, synchronous with the cardiac cycle, known as Hamman’s sign or murmur. The occurrence of the symptoms, time onset after/during delivery, severity of the condition, and management can be very variable, as described in our summarized overview of the reported cases over the last two decades (Table 1).
In our case, the woman presented immediately after delivery with pain around the ear and the feeling of a plugged ear. A few hours later she reported swelling of the neck, chest tightness, and shortness of breath. On examination, crepitus on the neck and thorax was obvious, but there was no typical Hamman’s murmur.
Hamman’s syndrome is usually a benign and non-recurrent condition. However, in rare cases, it may be life-threatening and lead to cardiac tamponade with significant hemodynamic compromise. Such situations require surgical intervention [17]. Prior to any intervention, it is important to exclude other serious, potentially life-threatening conditions such as esophageal rupture (cancer-related), Boerhaave syndrome (rupture of the esophagus due to forceful vomiting), pharyngeal rupture, pulmonary embolism, amniotic fluid embolism, aortic dissection, myocardial infarction, pneumopericardium, or pneumothorax of any cause [18,19].
Apart from the clinical picture, a CT scan is the gold standard in diagnosing pneumomediastinum. In a systematic review, it was found that about 30% of cases of pneumomediastinum were poorly detected by chest X-ray, but were easily detected on a CT scan [20]. The CT scan also provides more accurate information on the extension of subcutaneous emphysema and other thoracic pathologies. An additional tool that can be considered is diagnostic endoscopy (bronchoscopy or esophagoscopy) or esophagography [21]. While the direct relevance of these methods for the detection of Hamman’s syndrome is lacking, they can exclude serious injuries (ruptures) of the airways or upper gastrointestinal tract leading to the pneumomediastinum.
Initial management is supportive treatment with oxygen, sedatives, and analgesics, as needed. In severe cases, treatment with antibiotics and bronchodilators, along with oxygen support, may be added. The patient should be reassured about a good prognosis and expected spontaneous resolution within 3–14 days [22]. Patients can be discharged if they are in good general condition and do not have a significant pneumothorax. There is no recommended routine follow-up.
There have been a few reports of cases with spontaneous pneumomediastinum occurring in the setting of hyperemesis gravidarum in early pregnancy [14] or spontaneously in the third trimester. Here, the operative delivery should be considered to prevent the worsening/recurrence of this condition [23].
Table 1. An overview of 42 previously published cases of pregnancy associated with Hamman’s syndrome (database Pubmed.gov from 2000 to 3/2024).
Table 1. An overview of 42 previously published cases of pregnancy associated with Hamman’s syndrome (database Pubmed.gov from 2000 to 3/2024).
Author Age
y/o
ParityWhen Symptoms DevelopedDuration of LaborWeek of GestationTreatment
Sutherland et al. 2002 [24]32Para 1Postpartum8 hN/ANone
Sutherland et al. 2002 [24]22Para 113 h postpartumN/AN/ANone
Miguil et al. 2004 [25]19Para 0N/AN/A40Oxygen and analgesics, C-section
Duffy 2004 [26]19Para 02 h90 min 2nd stage40Oxygen v analgesics
Bonin et al. 2006 [27]27Para 02nd stage6 h38Lorazepam for anxiety and anxiolytics for dyspnea
Norzilawati et al. 2007 [28]21Para 012 h postpartum4 h, 100 min 2nd stage40None
Yadav et al. 2008 [29]21Para 02nd stage2nd stage 1.5 hN/AOxygen and analgesics
Mahboob et al. 2008 [30]24Para 018 h postpartumN/A
Normal
39Oral antibiotics, IV fluids, and analgesics
Zapardiel et al. 2009 [31]29Para 0PostpartumN/A39Oxygen
Revicky et al. 2010 [32]32Para 03 h14 h40None
Beynon et al. 2011 [33]18Para 08 h postpartum4 h39Antibiotics and analgesics
Wozniak et al. 2011 [34]20Para 05 h postpartum9 h41Observation
Shrestha et al. 2011 [35]19Para 0N/AN/A36None
Kuruba et al. 2011 [1]32Para 12nd stage1.5 h40None
McGregor et al. 2011 [36]27Para 02nd stage7.5 h40Oxygen and analgesics
Houari et al. 2012 [37]21Para 0Postpartum N/A40Conservative management
Kandiah et al. 2013 [38]25Para 02nd day postpartum2nd stage 3 h, 16 min. Ending in a C-section40Observation
Kandiah et al. 2013 [38]30Para 02nd stage6 h38Observation
Kouki et al. 2013 [39]23Para 02nd stage9 h40Oxygen and analgesics and sedatives
Khoo et al. 2015 [40]33Para 02nd stage12 h40Analgesics and bed rest
Cho et al. 2015 [7]28Para 02nd stage5 h36Oxygen and analgesics
Wijesuriya et al. 2015 [41]24Para 0N/AN/AN/AN/A
Khurram et al. 2015 [4]24Para 12 h postpartum2nd stage prolonged40None
Scala et al. 2016 [42]30N/A2nd stageN/A40None
Elshirif et al. 2016 [43]27Para 04 h postpartum19 h
2nd stage 3 h
41Analgesics, oxygen, and antibiotics
Berdai et al. 2017 [44]22Para 02nd stage2 h40Oxygen
Lou et al. 2017 [45]29Para 02nd stageProlongedAt termSupportive
Sagar et al. 2018 [46]22Para 03 h postpartum4.5 h37None
Khan et al. 2018 [47]30Para 0N/AN/AN/AAntibiotics, oxygen, and bronchodilators
Jakes et al. 2019 [48]23Para 040 min postpartum2nd stage 2 h38Oxygen
Madhok et al. 2019 [49]21Para 02 h postpartum3 h39None
Lee et al. 2019 [50]31Para 02nd stage8.4 h41IV antibiotics, hydrocortisone and Loratadine
Chavan et al. 2019 [51]33Para 010 h postpartum90 min 2nd stage38Oxygen and analgesics
Opstelten et al. 2019 [52]25Para 02nd stageN/AN/AN/A
Oshovskyy et al. 2020 [53]34Para 42nd stage4.5 h39Pigtail catheter
Badran et al. 2020 [54]N/APara 04 h postpartumN/AFull termNil by mouth
Zethner-Møller et al. 2021 [55]35Para 12nd stageN/A36Oxygen
Mullins et al. 2021 [56]17Para 0postpartum, prolonged second stageN/A39Oxygen and opioids
La Verde et al. 2022 [18]23Para 02nd stage5 h41None
Gomes et al. 2022 [6]21Para 02nd stageN/A40C-section and observation
Peña-Vega 2023 [57]18Para 030 h postpartum12 h39Oxygen
Chooi et al. 2023 [58]22Para 02nd stage3 h 2nd stage39None
Hülsemann et al. 2023 [59]21Para 02nd stageProlongedN/AN/A
Inesse et al. 2023 [60]29Para 01 h postpartum2nd stage lasted 2 h, 40 min active pushing 40None
Chen et al. 2023 [61]20Para 0Immediately after deliveryProlonged43Analgesics and antibiotics iv
Abbreviations: N/A—not available; IV—intravenous; h—hours.

4. Conclusions

Postpartum pneumomediastinum (Hamman’s syndrome) is a rare complication, and its timely diagnosis is necessary for patient safety and management. Most cases in pregnant women occur in the second stage of labor, as a result of excessive straining and Valsalva maneuver. The recurrence rate in subsequent pregnancies is low, and there are no established guidelines on the management of this condition. It is suggested that measures that can be implemented should aim to minimize barotrauma with the low threshold for instrumental or operative delivery and limit the duration of the second stage of labor. However, this is not evidence-based and may require a meta-analytical approach. Furthermore, we need to pay more attention to the predisposing risk factors for this condition (e.g., asthma, smoking, emphysema, chronic cough conditions, chronic lung obstructive diseases, history of pneumothorax, diabetes, or hyperemesis conditions). This will enhance the practical management of pregnant women, especially if we could develop a model for risk identification and stratification focusing on identifying a subpopulation of pregnant women at high risk for Hamman’s syndrome. This stratification could be crucial for improving patient outcomes and minimizing the incidence of this rare syndrome.

Author Contributions

K.O.-B.: original draft preparation, clinical management; M.M.K.: retrieving clinical data, database search, clinical management; K.K.: methodology, conceptualization; L.J.R.: clinical management, original draft preparation; J.V.: writing, review, and editing; P.Z.: writing and original draft preparation, clinical management, conceptualization, review and editing, supervision. All authors have read and agreed to the published version of the manuscript.

Funding

This research received no external funding.

Institutional Review Board Statement

The presented study was carried out following the rules of the Declaration of Helsinki of 1975, revised in 2013. According to local IRB principles, ethical approval from IRB for a single case is not required, as long as data are kept anonymous and the subject signed informed consent for publication.

Informed Consent Statement

Written informed consent was obtained from the patients. The principles of the Helsinki Declaration were followed.

Data Availability Statement

Data sharing is not applicable to this article as no datasets were generated or analyzed during the current study. The data presented in this study are available on request.

Acknowledgments

The authors thank Petra Zuborova for their technical help with managing this paper, and the patient who approved the content of the paper and gave their consent for the publication of this case.

Conflicts of Interest

Author Jozef Visnovsky was employed by the company VISNOVSKI Ltd., Pavol Zubor was employed by the company OBGY Health & Care Ltd. The remaining authors declare that the research was conducted in the absence of any commercial or financial relationships that could be construed as a potential conflict of interest.

References

  1. Kuruba, N.; Hla, T.T. Postpartum spontaneous pneumomediastinum and subcutaneous emphysema: Hamman’s syndrome. Obstet. Med. 2011, 4, 127–128. [Google Scholar] [CrossRef]
  2. Hamman, L. Spontaneous mediastinal emphysema. Bull. Johns Hopkins Hosp. 1939, 64, 1–21. [Google Scholar]
  3. Hamman, L. Mediastinal emphysema. J. Am. Med. Assoc. 1945, 128, 1–6. [Google Scholar] [CrossRef]
  4. Khurram, D.; Patel, B.; Farra, M.W. Hamman’s Syndrome: A Rare Cause of Chest Pain in a Postpartum Patient. Case Rep. Pulmonol. 2015, 2015, 201051. [Google Scholar] [CrossRef]
  5. Cohen, A.G. Hamman’s Crunch: An historical note. Bull. N. Y. Acad. Med. 1971, 47, 1111–1112. [Google Scholar]
  6. Gomes, S.; Mogne, T.; Carvalho, A.; Pereira, B.; Ramos, A. Post-partum Hamman’s Syndrome. Cureus 2022, 14, e33144. [Google Scholar] [CrossRef]
  7. Cho, C.; Parratt, J.R.; Smith, S.; Patel, R. Spontaneous pneumomediastinum (Hamman’s syndrome): A rare cause of postpartum chest pain. BMJ Case Rep. 2015, 2015, bcr1220103603. [Google Scholar] [CrossRef]
  8. Kouritas, V.K.; Papagiannopoulos, K.; Lazaridis, G.; Baka, S.; Mpoukovinas, I.; Karavasilis, V.; Lampaki, S.; Kioumis, I.; Pitsiou, G.; Papaiwannou, A.; et al. Pneumomediastinum. J. Thorac. Dis. 2015, 7 (Suppl. S1), S44–S49. [Google Scholar]
  9. Yamashita, K.; Hongo, T.; Nojima, T.; Yumoto, T.; Nakao, A.; Naito, H. Hamman’s Syndrome Accompanied by Diabetic Ketoacidosis; a Case Report. Arch. Acad. Emerg. Med. 2022, 10, e68. [Google Scholar]
  10. Kamei, S.; Kaneto, H.; Tanabe, A.; Shigemoto, R.; Irie, S.; Hirata, Y.; Takai, M.; Kohara, K.; Shimoda, M.; Mune, T.; et al. Hamman’s syndrome triggered by the onset of type 1 diabetes mellitus accompanied by diabetic ketoacidosis. Acta Diabetol. 2016, 53, 1067–1068. [Google Scholar] [CrossRef][Green Version]
  11. Kelly, S.; Hughes, S.; Nixon, S.; Paterson-Brown, S. Spontaneous pneumomediastinum (Hamman’s syndrome). Surgeon 2010, 8, 63–66. [Google Scholar] [CrossRef]
  12. Früh, J.; Abbas, J.; Cheufou, D.; Baron, S.; Held, M. Spontaneous pneumomediastinum (Hamman’s syndrome) with pneumorrhachis as a rare cause of acute chest pain in a young patient with acute asthma exacerbation. Pneumologie 2023, 77, 430–434. [Google Scholar]
  13. Rosinhas, J.F.A.M.; Soares, S.M.C.B.; Pereira, A.B.M. Hamman’s syndrome. J. Bras. Pneumol. 2018, 44, 433. [Google Scholar] [CrossRef]
  14. Buchanan, G.M.; Franklin, V. Hamman and Boerhaave syndromes—Diagnostic dilemmas in a patient presenting with hyperemesis gravidarum: A case report. Scott. Med. J. 2014, 59, e12–e16. [Google Scholar] [CrossRef]
  15. Eslaamizaad, Y.; Berrou, M.; Almalouf, P. Spontaneous pneumomediastinum (Hamman’s Syndrome): A Case Report. Am. J. Respir. Crit. Care Med. 2018, 197, A6678. [Google Scholar]
  16. Jayran-Nejad, Y. Subcutaneous emphysema in labour. Anaesthesia 1993, 48, 139–140. [Google Scholar] [CrossRef]
  17. Barbosa, P.N.V.P.; Stefanini, F.S.; Bitencourt, A.G.V.; Gross, J.L.; Chojniak, R. Computed tomography-guided percutaneous drainage of tension pneumomediastinum. Radiol. Bras. 2022, 55, 62–63. [Google Scholar] [CrossRef]
  18. La Verde, M.; Palmisano, A.; Iavarone, I.; Ronsini, C.; Labriola, D.; Cianci, S.; Schettino, F.; Reginelli, A.; Riemma, G.; De Franciscis, P. A Rare Complication during Vaginal Delivery, Hamman’s Syndrome: A Case Report and Systematic Review of Case Reports. Int. J. Environ. Res. Public Health 2022, 19, 4618. [Google Scholar] [CrossRef]
  19. Tixier, H.; Rattin, C.; Dunand, A.; Peaupardin, Y.; Douvier, S.; Sagot, P.; Mourtialon, P. Hamman’s syndrome associated with pharyngeal rupture occurring during childbirth. Acta Obstet. Gynecol. Scand. 2010, 89, 407–408. [Google Scholar] [CrossRef]
  20. Kaneki, T.; Kubo, K.; Kawashima, A.; Koizumi, T.; Sekiguchi, M.; Sone, S. Spontaneous pneumomediastinum in 33 patients: Yield of chest computed tomography for the diagnosis of the mild type. Respiration 2000, 67, 408–411. [Google Scholar] [CrossRef]
  21. Jougon, J.B.; Ballester, M.; Delcambre, F.; Mac Bride, T.; Dromer, C.E.; Velly, J.F. Assessment of spontaneous pneumomediastinum: Experience with 12 patients. Ann. Thorac. Surg. 2003, 75, 1711–1714. [Google Scholar] [CrossRef] [PubMed]
  22. Brandfass, R.T.; Martinez, D.M. Mediastinal and subcutaneous emphysema in labor. South. Med. J. 1976, 69, 1554–1555. [Google Scholar] [CrossRef] [PubMed]
  23. Balkan, M.E.; Alver, G. Spontaneous pneumomediastinum in 3rd trimester of pregnancy. Ann. Thorac. Cardiovasc. Surg. 2006, 12, 362–364. [Google Scholar]
  24. Sutherland, F.W.; Ho, S.Y.; Campanella, C. Pneumomediastinum during spontaneous vaginal delivery. Ann. Thorac. Surg. 2002, 73, 314–315. [Google Scholar] [CrossRef] [PubMed]
  25. Miguil, M.; Chekairi, A. Pneumomediastinum and pneumothorax associated with labour. Int. J. Obstet. Anesth. 2004, 13, 117–119. [Google Scholar] [CrossRef] [PubMed]
  26. Duffy, B.L. Post partum pneumomediastinum. Anaesth. Intensive Care 2004, 32, 117–119. [Google Scholar] [CrossRef] [PubMed]
  27. Bonin, M.M. Hamman’s syndrome (spontaneous pneumomediastinum) in a parturient: A case report. J. Obstet. Gynaecol. Can. 2006, 28, 128–131. [Google Scholar] [CrossRef]
  28. Norzilawati, M.N.; Shuhaila, A.; Zainul Rashid, M.R. Postpartum pneumomediastinum. Singap. Med. J. 2007, 48, e174–e176. [Google Scholar]
  29. Yadav, Y.; Ramesh, L.; Davies, J.A.; Nawaz, H.; Wheeler, R. Gross spontaneous pneumomediastinum (Hamman’s syndrome) in a labouring patient. J. Obstet. Gynaecol. 2008, 28, 651–652. [Google Scholar] [CrossRef] [PubMed]
  30. Mahboob, A.; Eckford, S.D. Hamman’s syndrome: An atypical cause of postpartum chest pain. J. Obstet. Gynaecol. 2008, 28, 652–653. [Google Scholar] [CrossRef] [PubMed]
  31. Zapardiel, I.; Delafuente-Valero, J.; Diaz-Miguel, V.; Godoy-Tundidor, V.; Bajo-Arenas, J.M. Pneumomediastinum during the fourth stage of labor. Gynecol. Obstet. Investig. 2009, 67, 70–72. [Google Scholar] [CrossRef] [PubMed]
  32. Revicky, V.; Simpson, P.; Fraser, D. Postpartum pneumomediastinum: An uncommon cause for chest pain. Obstet. Gynecol. Int. 2010, 2010, 956142. [Google Scholar] [CrossRef] [PubMed]
  33. Beynon, F.; Mearns, S. Spontaneous pneumomediastinum following normal labour. BMJ Case Rep. 2011, 2011, bcr0720114556. [Google Scholar] [CrossRef] [PubMed]
  34. Wozniak, D.R.; Blackburn, A. Postpartum pneumomediastinum manifested by surgical emphysema. Should we always worry about underlying oesophageal rupture? BMJ Case Rep. 2011, 2011, bcr0420114137. [Google Scholar] [CrossRef] [PubMed]
  35. Shrestha, A.; Acharya, S. Subcutaneous emphysema in pregnancy. JNMA J. Nepal. Med. Assoc. 2011, 51, 141–143. [Google Scholar] [CrossRef] [PubMed]
  36. McGregor, A.; Ogwu, C.; Uppal, T.; Wong, M.G. Spontaneous subcutaneous emphysema and pneumomediastinum during second stage of labour. BMJ Case Rep. 2011, 2011, bcr0420114067. [Google Scholar] [CrossRef] [PubMed]
  37. Houari, N.; Labib, S.; Berdai, M.A.; Harandou, M. Postpartum pneumomediastinum associated with subcutaneous emphysema: A case report. Ann. Fr. Anesth. Reanim. 2012, 31, 728–730. [Google Scholar] [CrossRef] [PubMed]
  38. Kandiah, S.; Iswariah, H.; Elgey, S. Postpartum pneumomediastinum and subcutaneous emphysema: Two case reports. Case Rep. Obstet. Gynecol. 2013, 2013, 735154. [Google Scholar] [CrossRef]
  39. Kouki, S.; Fares, A.A. Postpartum spontaneous pneumomediastinum ‘Hamman’s syndrome’. BMJ Case Rep. 2013, 2013, bcr2013010354. [Google Scholar] [CrossRef] [PubMed]
  40. Khoo, J.; Mahanta, V.R. Spontaneous pneumomediastinum with severe subcutaneous emphysema secondary to prolonged labor during normal vaginal delivery. Radiol. Case Rep. 2015, 7, 713. [Google Scholar] [CrossRef] [PubMed]
  41. Wijesuriya, J.; Van Hoogstraten, R. Postpartum Hamman’s syndrome presenting with facial asymmetry. BMJ Case Rep. 2015, 2015, bcr2015213397. [Google Scholar] [CrossRef] [PubMed]
  42. Scala, R.; Madioni, C.; Manta, C.; Maggiorelli, C.; Maccari, U.; Ciarleglio, G. Spontaneous pneumomediastinum in pregnancy: A case report. Rev. Port. Pneumol. 2016, 22, 129–131. [Google Scholar] [CrossRef]
  43. Elshirif, A.; Tyagi-Bhatia, J. Postpartum pneumomediastinum and subcutaneous emphysema (Hamman’s syndrome). J. Obstet. Gynaecol. 2016, 36, 281–282. [Google Scholar] [CrossRef] [PubMed]
  44. Berdai, M.A.; Benlamkadem, S.; Labib, S.; Harandou, M. Spontaneous Pneumomediastinum in Labor. Case Rep. Obstet. Gynecol. 2017, 2017, 6235076. [Google Scholar] [CrossRef] [PubMed]
  45. Lou, Y.Y. Hamman’s syndrome: Spontaneous pneumomediastinum and subcutaneous emphysema during second stage of labour. Int. J. Reprod. Contracept. Obstet. Gynecol. 2017, 6, 2622–2624. [Google Scholar] [CrossRef][Green Version]
  46. Sagar, D.; Rogers, T.K.; Adeni, A. Postpartum pneumomediastinum and subcutaneous emphysema. BMJ Case Rep. 2018, 2018, bcr2018224800. [Google Scholar] [CrossRef] [PubMed]
  47. Khan, S.I.; Shah, R.A.; Yasir, S.; Ahmed, M.S. Post partumpneumomediastinum (Hamman syndrome): A case report. J. Pak. Med. Assoc. 2018, 68, 1108–1109. [Google Scholar] [PubMed]
  48. Jakes, A.D.; Kunde, K.; Banerjee, A. Case report: Postpartum pneumomediastinum and subcutaneous emphysema. Obstet. Med. 2019, 12, 143–145. [Google Scholar] [CrossRef] [PubMed]
  49. Madhok, D.; Smith, V.; Gunderson, E. An Unexpected Case of Intrapartum Pneumomediastinum. Case Rep. Obstet. Gynecol. 2019, 2019, 4093768. [Google Scholar] [CrossRef] [PubMed]
  50. Lee, S.Y.; Young, A. Hamman syndrome: Spontaneous postpartum pneumomediastinum. Intern. Med. J. 2019, 49, 130–131. [Google Scholar] [CrossRef] [PubMed]
  51. Chavan, R. Hamman’s syndrome in a parturient: A case report. BJMP 2019, 12, a007. [Google Scholar]
  52. Opstelten, J.L.; Zwinkels, J.R.; van Velzen, E. Sudden dyspnoea and facial swelling during labour. Ned. Tijdschr. Geneeskd. 2019, 163, D3044. [Google Scholar] [PubMed]
  53. Oshovskyy, V.; Poliakova, Y. A rare case of spontaneous pneumothorax, pneumomediastinum and subcutaneous emphysema in the II stage of labour. Int. J. Surg. Case Rep. 2020, 70, 130–132. [Google Scholar] [CrossRef] [PubMed]
  54. Badran, D.; Ismail, S.; Ashcroft, J. Pneumomediastinum following spontaneous vaginal delivery: Report of a rare phenomenon. J. Surg. Case Rep. 2020, 2020, rjaa076. [Google Scholar] [CrossRef] [PubMed]
  55. Zethner-Møller, R.; Wulff, C.B. Spontaneous pneumomediastinum during labour. Ugeskr. Laeger. 2021, 183, V05210403. [Google Scholar] [PubMed]
  56. Mullins, K.V.J.; Mlawa, G. Postpartum chest pain and the Hamman syndrome. J. Clin. Images Med. Case Rep. 2021, 2, 1522. [Google Scholar] [CrossRef]
  57. Peña-Vega, C.J.; Buitrón-García, R.; Zavala-Barrios, B.; Aguirre-García, R. Postpartum Hamman (pneumomediastinal) syndrome. Synthesis of the literature and case report. Ginecol. Obstet. Mex. 2023, 91, 197–209. [Google Scholar]
  58. Chooi, K.Y.L. Hamman’s Syndrome: A Case of Pneumomediastinum, Pneumothorax and Extensive Subcutaneous Emphysema in the Second Stage of Labour. The Royal Australian and New Zealand College of Obstetricians and Gynaecologists Congress. Perth, 2021. Aiming Higher: More Than Healthcare. Poster No 80. Available online: https://ranzcogasm.com.au/wp-content/uploads/2019/10/80.pdf (accessed on 9 October 2019).
  59. Hülsemann, P.; Vollmann, D.; Kulenkampff, D. Spontaneous Pneumomediastinum-Hamman Syndrome. Dtsch. Arztebl. Int. 2023, 120, 525. [Google Scholar] [CrossRef] [PubMed]
  60. Inesse, A.A.; Ilaria, R.; Camille, O. Protracted Labor Complicated by Pneumomediastinum and Subcutaneous Emphysema: A Rare Case Report and Management Considerations. Am. J. Case Rep. 2023, 24, e940989. [Google Scholar] [CrossRef] [PubMed]
  61. Chen, N.; Daly, T.K.; Nadaraja, R. Pneumomediastinum and Pericardium during Labour: A Report on a Rare Postpartum Phenomenon. Cureus 2023, 15, e50850. [Google Scholar] [CrossRef] [PubMed]
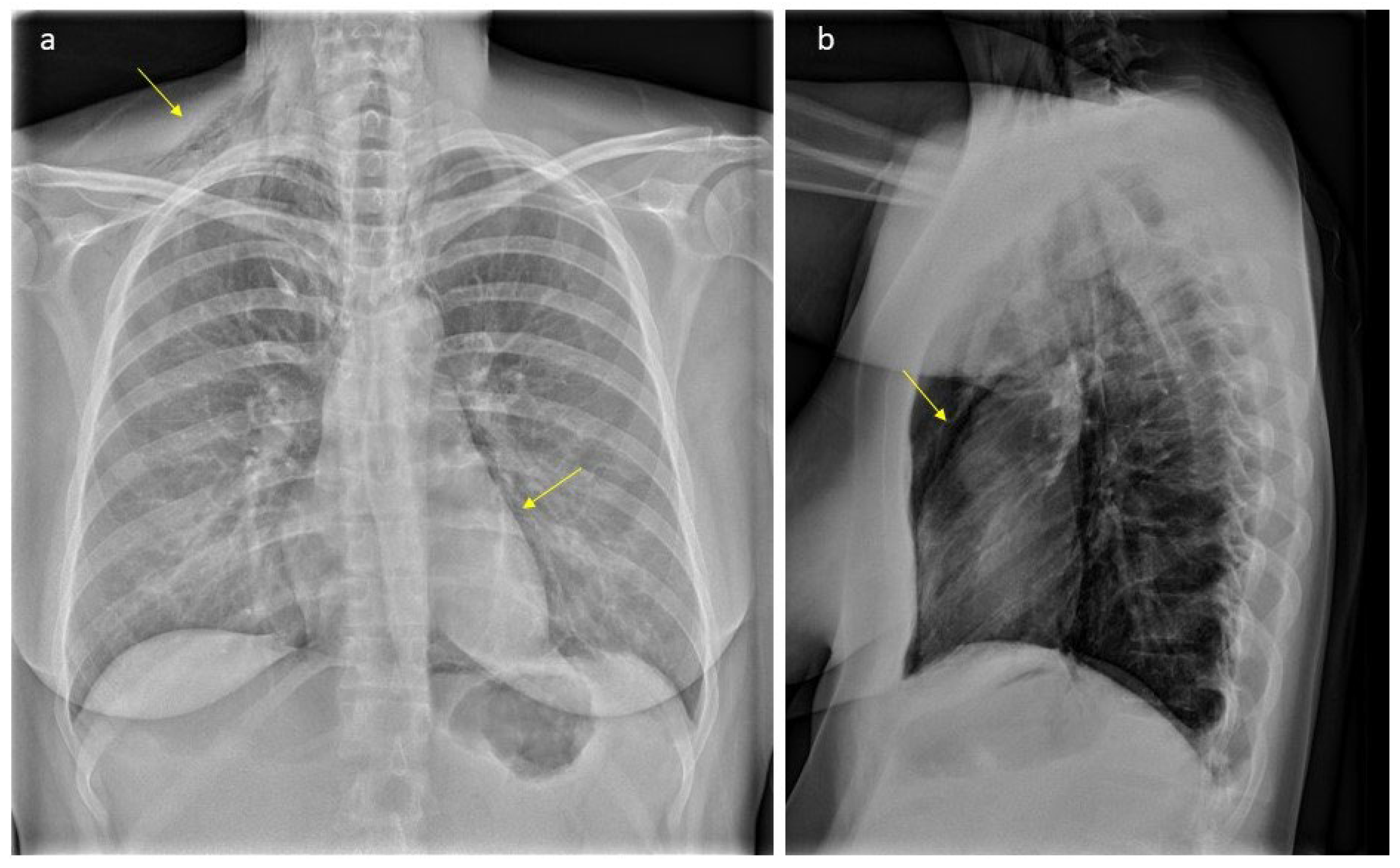
Figure 1. Plain radiograph scan showing typical gas accumulations seen subcutaneously and with pneumomediastinum (arrows, part (a)): There is significant subcutaneous emphysema, more pronounced on the right side (arrow, part (a)). We can see an outlining of the pericardium both in lateral projection (arrow, part (b)) and with a “continuous diaphragm sign” on frontal projection (arrow, part (a)). You can also see continuous lucencies along upper mediastinum to the neck, through upper thoracic aperture.
Figure 1. Plain radiograph scan showing typical gas accumulations seen subcutaneously and with pneumomediastinum (arrows, part (a)): There is significant subcutaneous emphysema, more pronounced on the right side (arrow, part (a)). We can see an outlining of the pericardium both in lateral projection (arrow, part (b)) and with a “continuous diaphragm sign” on frontal projection (arrow, part (a)). You can also see continuous lucencies along upper mediastinum to the neck, through upper thoracic aperture.
Healthcare 12 01332 g001
Figure 2. Low dose CT scan showing air within the mediastinum starting caudally in the level of hiatus aorticus, surrounding the pericardium, throughout the mediastinum. At the neck level, air was seen subcutaneously (part (a)), along the great vessels (carotid space), and in the retropharyngeal space (part (b)). The patient has an “azygos lobe”, a normal variant with the vena azygos running laterally with a pleural fissure surrounding it (arrow, part (a)). Air bubbles can be seen along the vein and small amounts of air within the pleural cavity apically on the right side. Apart from this, no signs of pneumothorax. Small amounts of pleural effusion are seen bilaterally. The upper abdomen was included in the low-dose scan, without any signs of air below the diaphragm.
Figure 2. Low dose CT scan showing air within the mediastinum starting caudally in the level of hiatus aorticus, surrounding the pericardium, throughout the mediastinum. At the neck level, air was seen subcutaneously (part (a)), along the great vessels (carotid space), and in the retropharyngeal space (part (b)). The patient has an “azygos lobe”, a normal variant with the vena azygos running laterally with a pleural fissure surrounding it (arrow, part (a)). Air bubbles can be seen along the vein and small amounts of air within the pleural cavity apically on the right side. Apart from this, no signs of pneumothorax. Small amounts of pleural effusion are seen bilaterally. The upper abdomen was included in the low-dose scan, without any signs of air below the diaphragm.
Healthcare 12 01332 g002
Disclaimer/Publisher’s Note: The statements, opinions and data contained in all publications are solely those of the individual author(s) and contributor(s) and not of MDPI and/or the editor(s). MDPI and/or the editor(s) disclaim responsibility for any injury to people or property resulting from any ideas, methods, instructions or products referred to in the content.

Share and Cite

MDPI and ACS Style

Olafsen-Bårnes, K.; Kaland, M.M.; Kajo, K.; Rydsaa, L.J.; Visnovsky, J.; Zubor, P. Hamman’s Syndrome after Vaginal Delivery: A Case of Postpartum Spontaneous Pneumomediastinum with Subcutaneous Emphysema and Review of the Literature. Healthcare 2024, 12, 1332. https://doi.org/10.3390/healthcare12131332

AMA Style

Olafsen-Bårnes K, Kaland MM, Kajo K, Rydsaa LJ, Visnovsky J, Zubor P. Hamman’s Syndrome after Vaginal Delivery: A Case of Postpartum Spontaneous Pneumomediastinum with Subcutaneous Emphysema and Review of the Literature. Healthcare. 2024; 12(13):1332. https://doi.org/10.3390/healthcare12131332

Chicago/Turabian Style

Olafsen-Bårnes, Kristina, Marte Mari Kaland, Karol Kajo, Lars Jakob Rydsaa, Jozef Visnovsky, and Pavol Zubor. 2024. "Hamman’s Syndrome after Vaginal Delivery: A Case of Postpartum Spontaneous Pneumomediastinum with Subcutaneous Emphysema and Review of the Literature" Healthcare 12, no. 13: 1332. https://doi.org/10.3390/healthcare12131332

APA Style

Olafsen-Bårnes, K., Kaland, M. M., Kajo, K., Rydsaa, L. J., Visnovsky, J., & Zubor, P. (2024). Hamman’s Syndrome after Vaginal Delivery: A Case of Postpartum Spontaneous Pneumomediastinum with Subcutaneous Emphysema and Review of the Literature. Healthcare, 12(13), 1332. https://doi.org/10.3390/healthcare12131332

Note that from the first issue of 2016, this journal uses article numbers instead of page numbers. See further details here.

Article Metrics

Back to TopTop