No Significant Radiological Signs of Adult Spinal Deformity Progression after a Mean of 11 Years of Follow-Up Following Harrington Rod Instrumentation Removal and Watchful Waiting
Abstract
1. Introduction
2. Materials and Methods
Data Analysis
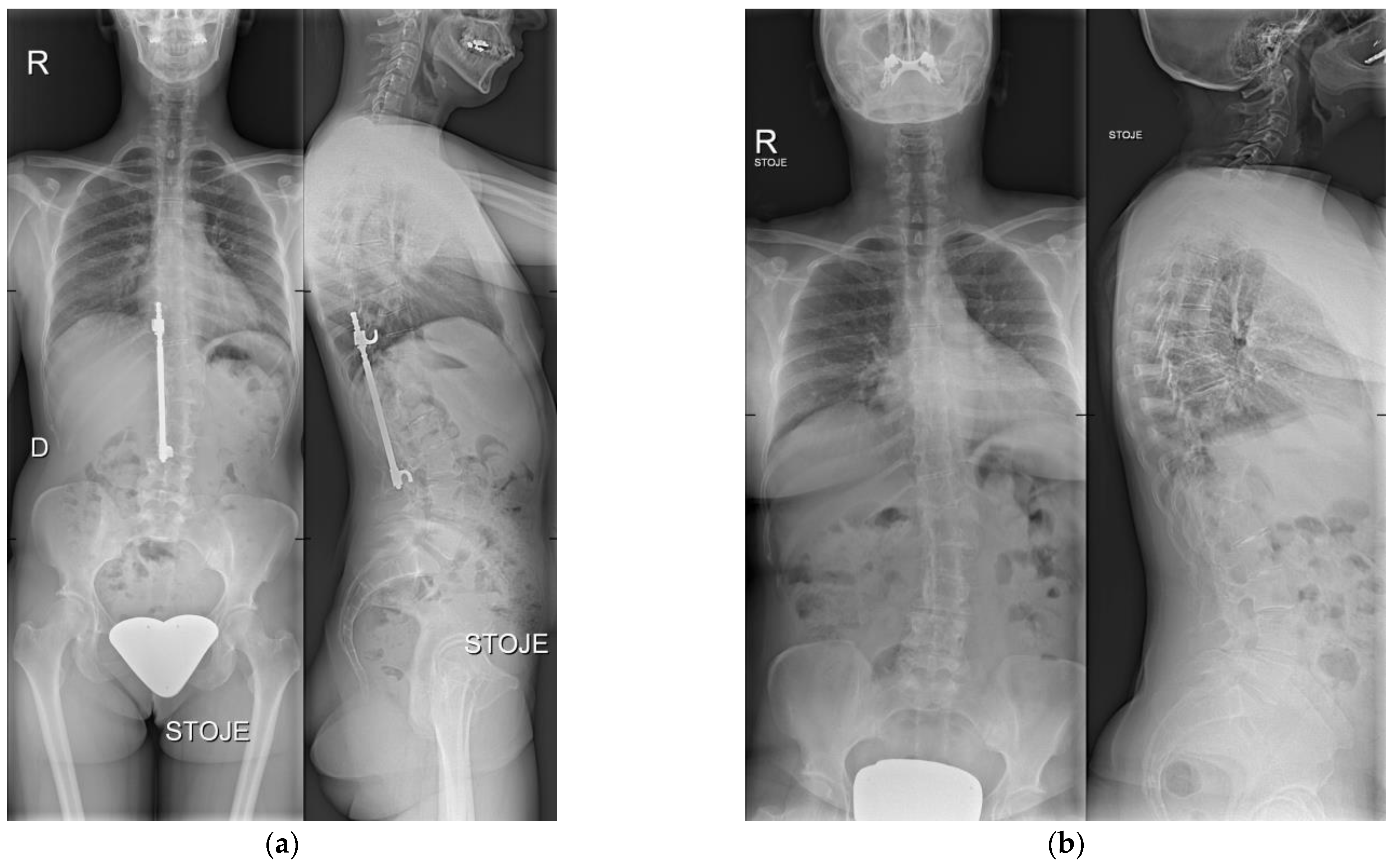
3. Results
4. Discussion
5. Conclusions
Author Contributions
Funding
Institutional Review Board Statement
Informed Consent Statement
Data Availability Statement
Acknowledgments
Conflicts of Interest
References
- Louie, P.K.; Iyer, S.; Khanna, K.; Harada, G.K.; Khalid, A.; Gupta, M.; Burton, D.; Shaffrey, C.; Lafage, R.; Lafage, V.; et al. Revision Strategies for Harrington Rod Instrumentation: Radiographic Outcomes and Complications. Glob. Spine J. 2022, 12, 654–662. [Google Scholar] [CrossRef] [PubMed]
- Diebo, B.G.; Shah, N.V.; Boachie-Adjei, O.; Zhu, F.; Rothenfluh, D.A.; Paulino, C.B.; Schwab, F.J.; Lafage, V. Adult Spinal Deformity. Lancet 2019, 394, 160–172. [Google Scholar] [CrossRef] [PubMed]
- Kim, H.J.; Yang, J.H.; Chang, D.-G.; Suk, S.-I.; Suh, S.W.; Song, K.-S.; Park, J.-B.; Cho, W. Adult Spinal Deformity: Current Concepts and Decision-Making Strategies for Management. Asian Spine J. 2020, 14, 886–897. [Google Scholar] [CrossRef] [PubMed]
- Alvarado, A.M.; Schatmeyer, B.A.; Arnold, P.M. Cost-Effectiveness of Adult Spinal Deformity Surgery. Glob. Spine J. 2021, 11, 73S–78S. [Google Scholar] [CrossRef] [PubMed]
- Jia, Y.; Peng, Z.; Qin, Y.; Wang, G. Surgical versus Nonsurgical Treatment for Adult Spinal Deformity: A Systematic Review and Meta-Analysis. World Neurosurg. 2022, 159, 1–11. [Google Scholar] [CrossRef]
- Adler, D.; Almansour, H.; Akbar, M. Was ist eigentlich eine adulte spinale Deformität?: Entwicklung, Klassifikation und Indikation zur operativen Therapie. Orthopäde 2018, 47, 276–287. [Google Scholar] [CrossRef]
- Kose, K.C.; Bozduman, O.; Yenigul, A.E.; Igrek, S. Spinal Osteotomies: Indications, Limits and Pitfalls. EFORT Open Rev. 2017, 2, 73–82. [Google Scholar] [CrossRef]
- Glassman, S.D.; Carreon, L.Y.; Shaffrey, C.I.; Kelly, M.P.; Crawford, C.H.; Yanik, E.L.; Lurie, J.D.; Bess, R.S.; Baldus, C.R.; Bridwell, K.H. Cost Effectiveness of Adult Lumbar Scoliosis Surgery: An As-Treated Analysis from the Adult Symptomatic Scoliosis Surgery Trial with Five Year Follow-Up. Spine Deform. 2020, 8, 1333–1339. [Google Scholar] [CrossRef] [PubMed]
- Cirillo Totera, J.I.; Fleiderman Valenzuela, J.G.; Garrido Arancibia, J.A.; Pantoja Contreras, S.T.; Beaulieu Lalanne, L.; Alvarez-Lemos, F.L. Sagittal Balance: From Theory to Clinical Practice. EFORT Open Rev. 2021, 6, 1193–1202. [Google Scholar] [CrossRef] [PubMed]
- Schwab, F.; Ungar, B.; Blondel, B.; Buchowski, J.; Coe, J.; Deinlein, D.; DeWald, C.; Mehdian, H.; Shaffrey, C.; Tribus, C.; et al. Scoliosis Research Society—Schwab Adult Spinal Deformity Classification: A Validation Study. Spine 2012, 37, 1077–1082. [Google Scholar] [CrossRef] [PubMed]
- Diebo, B.G.; Varghese, J.J.; Lafage, R.; Schwab, F.J.; Lafage, V. Sagittal Alignment of the Spine: What Do You Need to Know? Clin. Neurol. Neurosurg. 2015, 139, 295–301. [Google Scholar] [CrossRef] [PubMed]
- Zhang, H.; Zhang, Z.; Wang, Z.; Cheng, J.; Wu, Y.; Fan, Y.; Wang, T.; Wang, Z. Optimal Pelvic Incidence Minus Lumbar Lordosis Mismatch after Long Posterior Instrumentation and Fusion for Adult Degenerative Scoliosis. Orthop. Surg. 2017, 9, 304–310. [Google Scholar] [CrossRef] [PubMed]
- Pecina, M.; Dapic, T. More than 20-Year Follow-up Harrington Instrumentation in the Treatment of Severe Idiopathic Scoliosis. Eur. Spine J. 2007, 16, 299–300. [Google Scholar] [CrossRef] [PubMed]
- Glassman, S.D.; Berven, S.; Bridwell, K.; Horton, W.; Dimar, J.R. Correlation of Radiographic Parameters and Clinical Symptoms in Adult Scoliosis. Spine 2005, 30, 682–688. [Google Scholar] [CrossRef] [PubMed]
- Barrey, C.; Jund, J.; Noseda, O.; Roussouly, P. Sagittal Balance of the Pelvis-Spine Complex and Lumbar Degenerative Diseases. A Comparative Study about 85 Cases. Eur. Spine J. 2007, 16, 1459–1467. [Google Scholar] [CrossRef] [PubMed]
- Protopsaltis, T.; Schwab, F.; Bronsard, N.; Smith, J.S.; Klineberg, E.; Mundis, G.; Ryan, D.J.; Hostin, R.; Hart, R.; Burton, D.; et al. TheT1 Pelvic Angle, a Novel Radiographic Measure of Global Sagittal Deformity, Accounts for Both Spinal Inclination and Pelvic Tilt and Correlates with Health-Related Quality of Life. J. Bone Jt. Surg. Am. 2014, 96, 1631–1640. [Google Scholar] [CrossRef] [PubMed]
- Ryan, D.J.; Protopsaltis, T.S.; Ames, C.P.; Hostin, R.; Klineberg, E.; Mundis, G.M.; Obeid, I.; Kebaish, K.; Smith, J.S.; Boachie-Adjei, O.; et al. T1 Pelvic Angle (TPA) Effectively Evaluates Sagittal Deformity and Assesses Radiographical Surgical Outcomes Longitudinally. Spine 2014, 39, 1203–1210. [Google Scholar] [CrossRef] [PubMed]
- Yang, M.; Yang, C.; Xu, Z.; Chen, Z.; Wei, X.; Zhao, J.; Shao, J.; Zhang, G.; Zhao, Y.; Ni, H.; et al. Role of T1 Pelvic Angle in Assessing Sagittal Balance in Outpatients with Unspecific Low Back Pain. Medicine 2016, 95, e2964. [Google Scholar] [CrossRef] [PubMed]
- Sheikh Alshabab, B.; Gupta, M.C.; Lafage, R.; Bess, S.; Shaffrey, C.; Kim, H.J.; Ames, C.P.; Burton, D.C.; Smith, J.S.; Eastlack, R.K.; et al. Does Achieving Global Spinal Alignment Lead to Higher Patient Satisfaction and Lower Disability in Adult Spinal Deformity? Spine 2021, 46, 1105–1110. [Google Scholar] [CrossRef] [PubMed]
- Ames, C.P.; Smith, J.S.; Pellisé, F.; Kelly, M.; Alanay, A.; Acaroğlu, E.; Pérez-Grueso, F.J.S.; Kleinstück, F.; Obeid, I.; Vila-Casademunt, A.; et al. Artificial Intelligence Based Hierarchical Clustering of Patient Types and Intervention Categories in Adult Spinal Deformity Surgery: Towards a New Classification Scheme That Predicts Quality and Value. Spine 2019, 44, 915–926. [Google Scholar] [CrossRef] [PubMed]

| Patient # | Sex | Age at HR Instrumentation Implantation (Years) | Instrumentation (UIV–LIV) | Age at HR Instrumentation Removal (Years) | Follow-Up after HR Instrumentation Implantation to HR Instrumentation Removal (Years) | Follow-Up after HR Instrumentation Removal and Watchful Waiting (Years) |
|---|---|---|---|---|---|---|
| #1 | Female | 17 | Th5-L4 | 19 | 2 | 36 |
| #2 | Female | 24 | Th5-L4 | 31 | 7 | 21 |
| #3 | Female | 35 | Th4-L4 | 54 | 19 | 21 |
| #4 | Female | 11 | Th3-Th12 | 28 | 17 | 15 |
| #5 | Female | 11 | Th2-L1 | 26 | 15 | 10 |
| #6 | Female | 8 | Th10-L3 | 33 | 25 | 8 |
| #7 | Female | 13 | Th7-L4 | 38 | 25 | 6 |
| #8 | Female | 17 | Th6-L4 | 41 | 24 | 5 |
| #9 | Female | 14 | Th4-L3 | 41 | 27 | 4 |
| #10 | Female | 13 | Th5-L4 | 50 | 37 | 3 |
| #11 | Female | 15 | Th5-L4 | 46 | 31 | 2 |
| #12 | Female | 17 | Th5-L4 | 43 | 26 | 2 |
| Mean ± SD | 16 ± 7 | 38 ± 10 | 21 ± 10 | 11 ± 10 | ||
| Median (range) | 15 (8–35) | 40 (19–54) | 25 (2–37) | 7 (2–36) |
| N (100%) | Average ± SD | p | |
|---|---|---|---|
| LL (pre) | 12 (100%) | 39° ± 22° | 0.504 |
| LL (post) | 12 (100%) | 35° ± 27° | |
| TK (pre) | 12 (100%) | 27° ± 12° | 0.164 |
| TK (post) | 12 (100%) | 23° ± 11° | |
| PT (pre) | 12 (100%) | 18° ± 6° | 0.165 |
| PT (pre) | 12 (100%) | 23° ± 14° | |
| SS (pre) | 12 (100%) | 33° ± 12° | 0.129 |
| SS (post) | 12 (100%) | 27° ± 17° | |
| PI (pre) | 12 (100%) | 51° ± 14° | 0.174 |
| PI (post) | 12 (100%) | 50° ± 16° | |
| PI–LL (pre) | 12 (100%) | 11° ± 14° | 0.291 |
| PI–LL (post) | 12 (100%) | 16° ± 21° | |
| SVA (pre) | 12 (100%) | 18 ± 54 mm | 0.233 |
| SVA (post) | 12 (100%) | 33 ± 31 mm | |
| C7-CSVL (pre) | 12 (100%) | 17 ± 14 mm | 0.387 |
| C7-CSVL (post) | 12 (100%) | 21 ± 12 mm | |
| SSA (pre) | 12 (100%) | 115° ± 35° | 0.894 |
| SSA (post) | 12 (100%) | 120° ± 20° | |
| TPA (pre) | 12 (100%) | 17° ± 9° | 0.121 |
| TPA (post) | 12 (100%) | 21° ± 13° | |
| Coronal Cobb angle, proximal (pre) | 7 (58%) | 17° ± 7° | 0.538 |
| Coronal Cobb angle, proximal (post) | 7 (58%) | 19° ± 5° | |
| Coronal Cobb angle, main thoracic (pre) | 11 (92%) | 32° ± 11° | 0.136 |
| Coronal Cobb angle, main thoracic (post) | 11 (92%) | 35° ± 13° | |
| Coronal Cobb angle, lumbar (pre) | 11 (92%) | 30° ± 13° | 0.413 |
| Coronal Cobb angle, lumbar (post) | 11 (92%) | 32° ± 17° |
Disclaimer/Publisher’s Note: The statements, opinions and data contained in all publications are solely those of the individual author(s) and contributor(s) and not of MDPI and/or the editor(s). MDPI and/or the editor(s) disclaim responsibility for any injury to people or property resulting from any ideas, methods, instructions or products referred to in the content. |
© 2023 by the authors. Licensee MDPI, Basel, Switzerland. This article is an open access article distributed under the terms and conditions of the Creative Commons Attribution (CC BY) license (https://creativecommons.org/licenses/by/4.0/).
Share and Cite
Brumat, P.; Mohar, J.; Čeleš, D.; Erdani, D.; Hero, N.; Topolovec, M. No Significant Radiological Signs of Adult Spinal Deformity Progression after a Mean of 11 Years of Follow-Up Following Harrington Rod Instrumentation Removal and Watchful Waiting. Healthcare 2023, 11, 1149. https://doi.org/10.3390/healthcare11081149
Brumat P, Mohar J, Čeleš D, Erdani D, Hero N, Topolovec M. No Significant Radiological Signs of Adult Spinal Deformity Progression after a Mean of 11 Years of Follow-Up Following Harrington Rod Instrumentation Removal and Watchful Waiting. Healthcare. 2023; 11(8):1149. https://doi.org/10.3390/healthcare11081149
Chicago/Turabian StyleBrumat, Peter, Janez Mohar, Dejan Čeleš, Danijel Erdani, Nikša Hero, and Matevž Topolovec. 2023. "No Significant Radiological Signs of Adult Spinal Deformity Progression after a Mean of 11 Years of Follow-Up Following Harrington Rod Instrumentation Removal and Watchful Waiting" Healthcare 11, no. 8: 1149. https://doi.org/10.3390/healthcare11081149
APA StyleBrumat, P., Mohar, J., Čeleš, D., Erdani, D., Hero, N., & Topolovec, M. (2023). No Significant Radiological Signs of Adult Spinal Deformity Progression after a Mean of 11 Years of Follow-Up Following Harrington Rod Instrumentation Removal and Watchful Waiting. Healthcare, 11(8), 1149. https://doi.org/10.3390/healthcare11081149

