COVID-19 and Prosthetic Emergencies, Home Care in Fragile Patients: A Case Report
Abstract
:1. Introduction
2. Materials and Methods
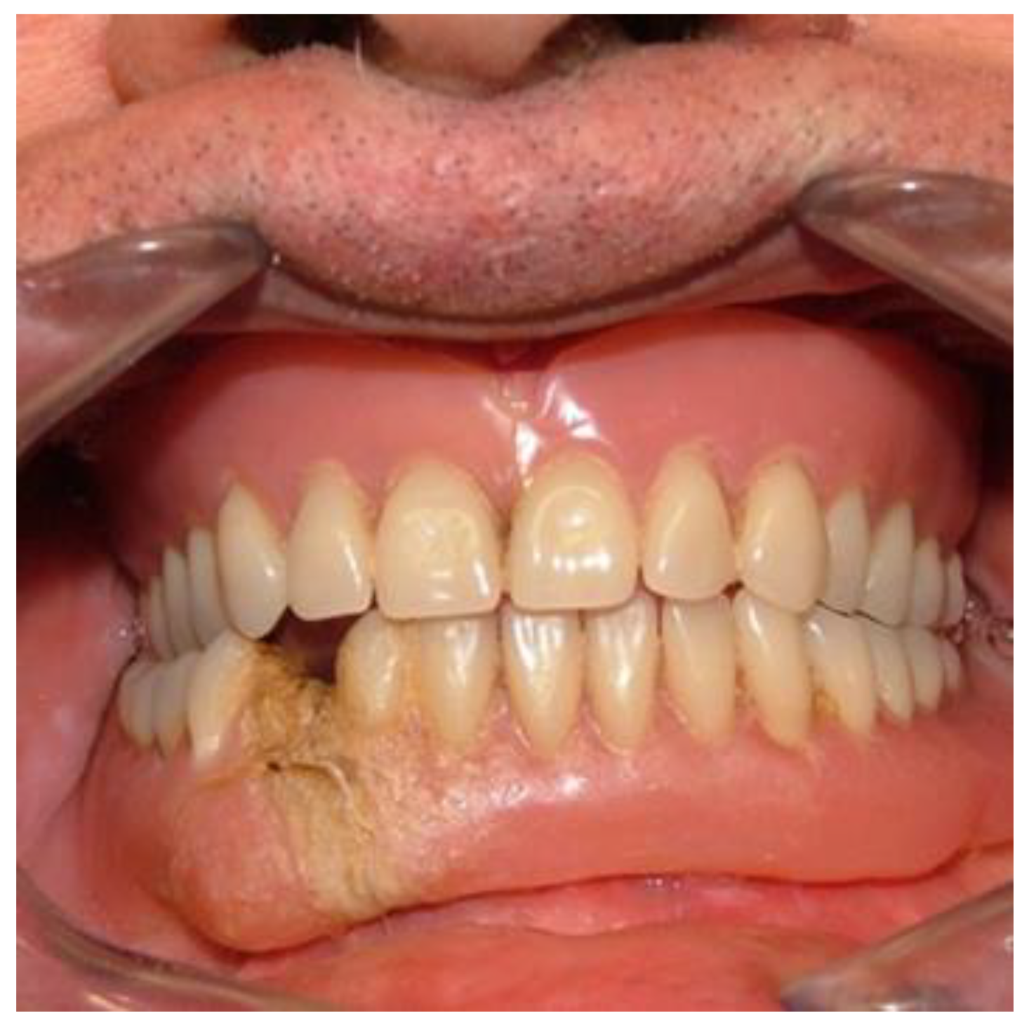
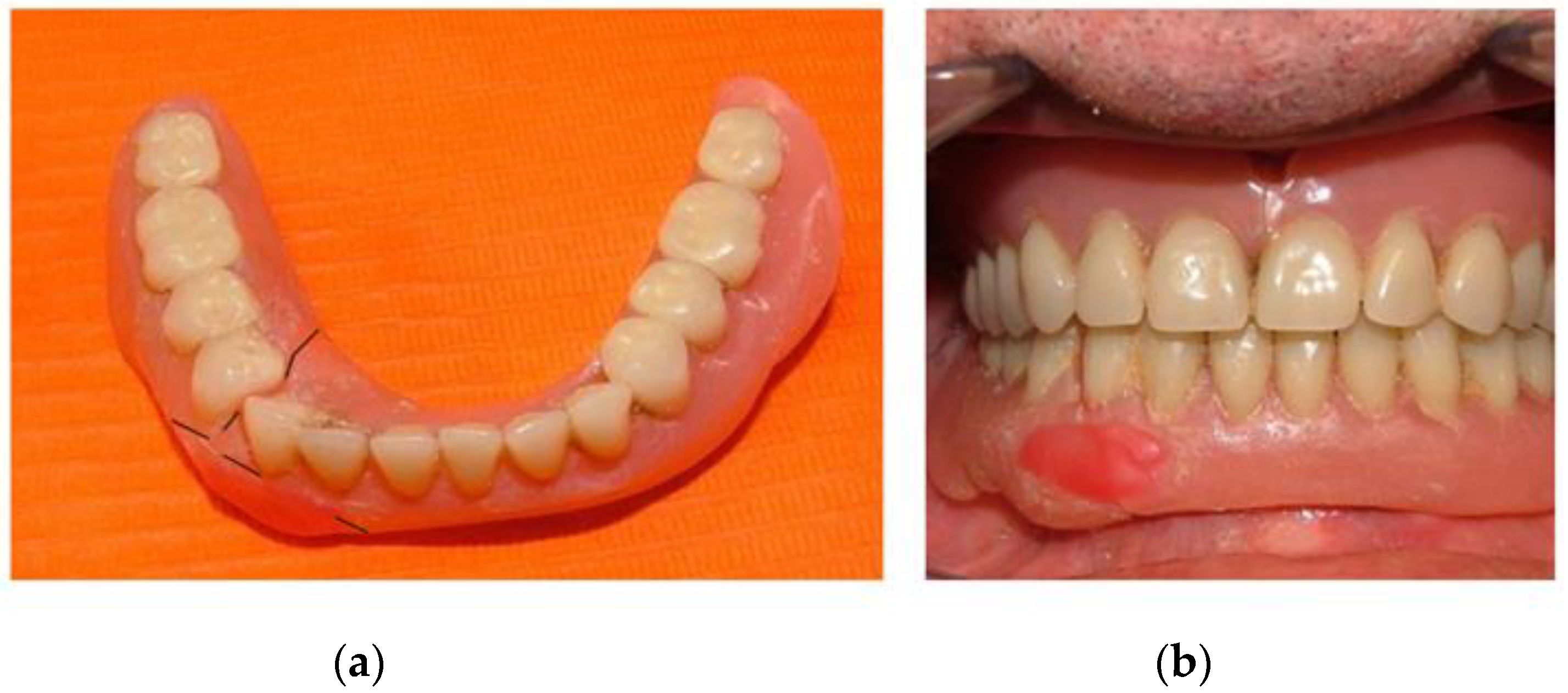
3. Results
4. Discussion
5. Conclusions
Author Contributions
Funding
Institutional Review Board Statement
Informed Consent Statement
Conflicts of Interest
References
- Chen, K.L.; Hung, W.C.; Lee, M.B.; Chen, I.M.; Wu, C.Y. The Impact of the COVID-19 Pandemic on the Health and Coping Behaviors of Patients with Treatment-Resistant Depression. Hu Li Za Zhi 2020, 67, 56–64. (In Chinese) [Google Scholar] [CrossRef]
- Marinangeli, F.; Giarratano, A.; Petrini, F. Chronic Pain and COVID-19: Pathophysiological, clinical and organizational issues. Minerva Anestesiol. 2020; epub ahead of print. [Google Scholar] [CrossRef]
- De Baat, C.; Witter, D.J.; Creugers, N.H. Partiële kunststof plaatprothesen [Acrylic resin removable partial dentures]. Ned. Tijdschr. Tandheelkd. 2011, 118, 32–37. (In Dutch) [Google Scholar] [CrossRef] [Green Version]
- Almufleh, B.; Emami, E.; Alesawy, A.; Rodan, R.; Morris, M.; Umebayashi, M.; Tamimi, F. Patient-Reported Outcomes of Metal and Acrylic Resin Removable Partial Dentures: A Systematic Review and Meta-Analysis. J. Prosthodont. 2020, 29, 378–386. [Google Scholar] [CrossRef]
- Mamatha, N.; Madineni, P.K.; Sisir, R.; Sravani, S.; Nallamilli, S.; Jyothy, J.R. Evaluation of Transverse Strength of Heat Cure Denture Bases Repaired with Different Joint Surface Contours: An In Vitro Study. J. Contemp. Dent. Pract. 2020, 21, 166–170. [Google Scholar] [CrossRef]
- Anasane, N.; Ahirrao, Y.; Chitnis, D.; Meshram, S. The effect of joint surface contours and glass fiber reinforcement on the transverse strength of repaired acrylic resin: An in vitro study. Dent. Res. J. 2013, 10, 214–219. [Google Scholar] [CrossRef]
- Shanoj, R.P.; Razak, P.A.; Kumar, K.N.; Francis, J.; Ashok, K.; Sameer, K.K. Comparative Evaluation of the Strength of Denture Base Resin repaired with Glass Fiber-reinforced Acrylic Resin: An in vitro Study. J. Contemp. Dent. Pract. 2018, 19, 792–798. [Google Scholar] [CrossRef]
- Kostoulas, I.; Kavoura, V.T.; Frangou, M.J.; Polyzois, G.L. Fracture force, deflection, and toughness of acrylic denture repairs involving glass fiber reinforcement. J. Prosthodont. 2008, 17, 257–261. [Google Scholar] [CrossRef]
- Ceraulo, S. Vertical dimension modification. Case report. PROtech 2008, 9, 17–22. [Google Scholar]
- Alkurt, M.; Yeşil Duymuş, Z.; Gundogdu, M. Effect of repair resin type and surface treatment on the repair strength of heat-polymerized denture base resin. J. Prosthet. Dent. 2014, 111, 71–78. [Google Scholar] [CrossRef]
- Limpuangthip, N.; Somkotra, T.; Arksornnukit, M. Modified retention and stability criteria for complete denture wearers: A risk assessment tool for impaired masticatory ability and oral health-related quality of life. J. Prosthet. Dent. 2018, 120, 43–49. [Google Scholar] [CrossRef]
- Żmudzki, J.; Chladek, G.; Krawczyk, C. Relevance of Tongue Force on Mandibular Denture Stabilization during Mastication. J. Prosthodont. 2019, 28, e27–e33. [Google Scholar] [CrossRef] [Green Version]
- Hampelska, K.; Jaworska, M.M.; Babalska, Z.Ł.; Karpiński, T.M. The Role of Oral Microbiota in Intra-Oral Halitosis. J. Clin. Med. 2020, 9, 2484. [Google Scholar] [CrossRef]
- Ademovski, S.E.; Persson, G.R.; Winkel, E.; Tangerman, A.; Lingström, P.; Renvert, S. The short-term treatment effects on the microbiota at the dorsum of the tongue in intra-oral halitosis patients—A randomized clinical trial. Clin. Oral Investig. 2013, 17, 463–473. [Google Scholar] [CrossRef]
- Ceraulo, S.; Lauritano, D.; Caccianiga, G.; Baldoni, M. Reduce the spread of COVID-19 within the dental practice: The era of single use. Minerva Stomatol. 2020; epub ahead of print. [Google Scholar] [CrossRef]
- Clum, S.; Rumbak, M. The quality of life after tracheotomy. Minerva Anestesiol. 2018, 84, 1005–1006. [Google Scholar] [CrossRef]
- Mendes, J.; Mendes, J.M.; Barreiros, P.; Aroso, C.; Silva, A.S. Retention Capacity of Original Denture Adhesives and White Brands for Conventional Complete Dentures: An In Vitro Study. Polymers 2022, 14, 1749. [Google Scholar] [CrossRef]




| Publisher’s Note: MDPI stays neutral with regard to jurisdictional claims in published maps and institutional affiliations. | 
© 2022 by the authors. Licensee MDPI, Basel, Switzerland. This article is an open access article distributed under the terms and conditions of the Creative Commons Attribution (CC BY) license (https://creativecommons.org/licenses/by/4.0/).
Share and Cite
Ceraulo, S.; Caccianiga, P.; Casto, C.; Baldoni, M.; Caccianiga, G. COVID-19 and Prosthetic Emergencies, Home Care in Fragile Patients: A Case Report. Healthcare 2022, 10, 1407. https://doi.org/10.3390/healthcare10081407
Ceraulo S, Caccianiga P, Casto C, Baldoni M, Caccianiga G. COVID-19 and Prosthetic Emergencies, Home Care in Fragile Patients: A Case Report. Healthcare. 2022; 10(8):1407. https://doi.org/10.3390/healthcare10081407
Chicago/Turabian StyleCeraulo, Saverio, Paolo Caccianiga, Carmelo Casto, Marco Baldoni, and Gianluigi Caccianiga. 2022. "COVID-19 and Prosthetic Emergencies, Home Care in Fragile Patients: A Case Report" Healthcare 10, no. 8: 1407. https://doi.org/10.3390/healthcare10081407
APA StyleCeraulo, S., Caccianiga, P., Casto, C., Baldoni, M., & Caccianiga, G. (2022). COVID-19 and Prosthetic Emergencies, Home Care in Fragile Patients: A Case Report. Healthcare, 10(8), 1407. https://doi.org/10.3390/healthcare10081407
 
         
                                                



