Enhanced Attention Res-Unet for Segmentation of Knee Bones
Abstract
1. Introduction

- In the manual procedure, a trained doctor manually draws a specific label on an image portion—a lengthy and inefficient process.
- The automatic method involves the use of an algorithm that divides the image into regions with similar characteristics. However, this method does not provide the accuracy required at the present time.
- The semi-automatic method incorporates both techniques as a compromise, but it is limited by multiple 3D modelings [16] and has the disadvantages of both methods.
2. Related Work
3. Proposed Approach
3.1. Data Pre-Processing
3.2. Attention U-Net
3.3. Transfer Learning
3.4. Classifier Unit
3.5. Deeper U-Net Levels
3.6. Loss Functions
- N is the total number of pixels in the image.
- is the predicted probability for the i-th pixel belonging to the bone (foreground).
- is the ground truth label for the i-th pixel (1 if it belongs to the bone, 0 otherwise).
- is a small constant added to prevent division by zero.
- N is the total number of pixels in the image.
- is the predicted probability of the i-th pixel belonging to class c, in our case the femur.
- is the ground truth label for the i-th pixel belonging to class c (1 if it belongs to the femur, 0 otherwise).
- is the predicted probability of the i-th pixel belonging to the complement of class c (not the femur).
- is the ground truth label for the i-th pixel belonging to the complement of class c (not the femur).
- and are hyperparameters that control the weighting of false positives and false negatives, respectively.
- is a small constant added to avoid division by zero.
3.7. Complexity
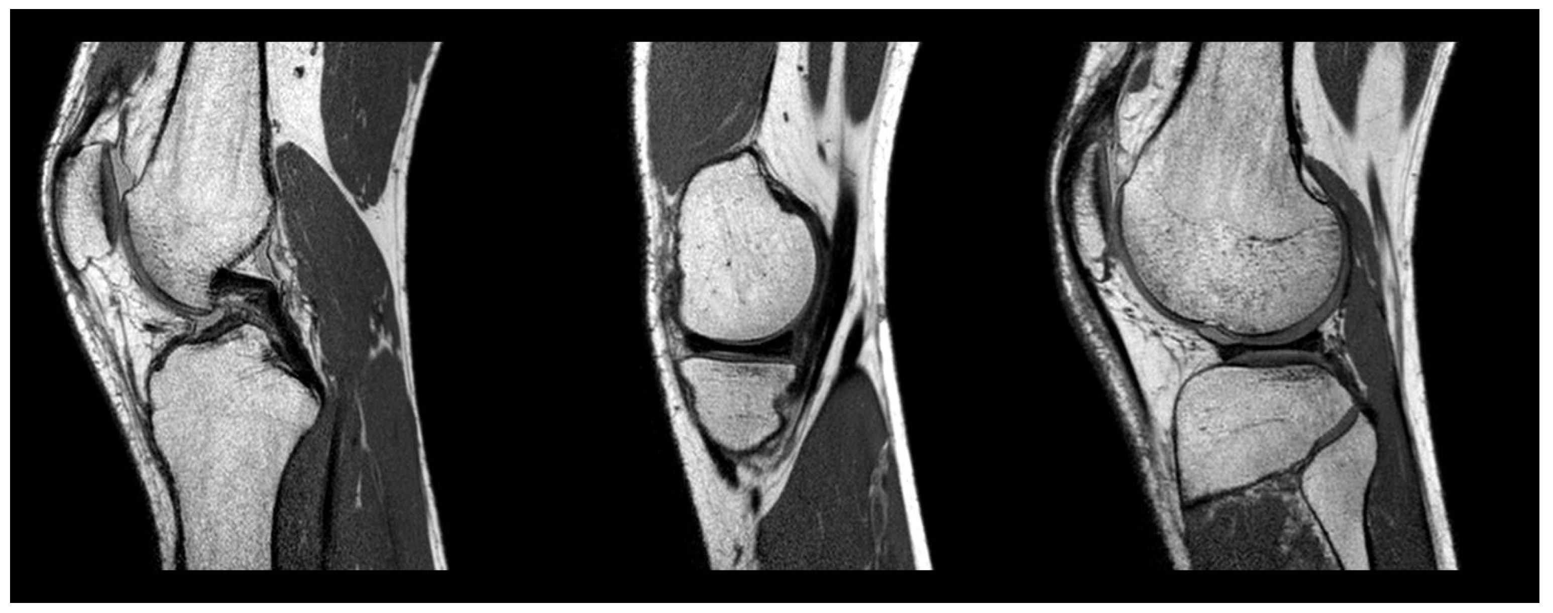
4. Results
Three-Dimensional Reconstruction
5. Discussion
6. Conclusions
Author Contributions
Funding
Data Availability Statement
Conflicts of Interest
References
- Chen, X.; Wang, X.; Zhang, K.; Fung, K.M.; Thai, T.C.; Moore, K.; Mannel, R.S.; Liu, H.; Zheng, B.; Qiu, Y. Recent advances and clinical applications of deep learning in medical image analysis. Med. Image Anal. 2022, 79, 102444. [Google Scholar] [CrossRef]
- Mahendrakar, P.; Kumar, D.; Patil, U. A Comprehensive Review on MRI-based knee joint segmentation and analysis techniques. Curr. Med. Imaging 2023, 20, e150523216894. [Google Scholar] [CrossRef]
- Chen, H.; Zhao, N.; Tan, T.; Kang, Y.; Sun, C.; Xie, G.; Verdonschot, N.; Sprengers, A. Knee bone and cartilage segmentation based on a 3D deep neural network using adversarial loss for prior shape constraint. Front. Med. 2022, 9, 792900. [Google Scholar] [CrossRef] [PubMed]
- Zhang, K.; Lu, W.; Marziliano, P. Automatic knee cartilage segmentation from multi-contrast MR images using support vector machine classification with spatial dependencies. Magn. Reson. Imaging 2013, 31, 1731–1743. [Google Scholar] [CrossRef]
- Ghidotti, A.; Vitali, A.; Regazzoni, D.; Cohen, M.W.; Rizzi, C. Comparative Analysis of Convolutional Neural Network Architectures for Automated Knee Segmentation in Medical Imaging: A Performance Evaluation. J. Comput. Inf. Sci. Eng. 2024, 24, 051005. [Google Scholar] [CrossRef]
- Marsilio, L.; Faglia, A.; Rossi, M.; Mainardi, L.; Manzotti, A.; Cerveri, P. CEL-Unet: A novel CNN architecture for 3D Segmentation of Knee Bones affected by Severe Osteoarthritis for PSI-Based Surgical Planning. In Proceedings of the 2022 44th Annual International Conference of the IEEE Engineering in Medicine & Biology Society (EMBC), Glasgow, Scotland, 11–15 July 2022; IEEE: Piscataway, NJ, USA, 2022; pp. 5039–5042. [Google Scholar]
- Hawker, G.A. Osteoarthritis is a serious disease. Clin. Exp. Rheumatol. 2019, 37, 3–6. [Google Scholar]
- Conaghan, P.; Abraham, L.; Viktrup, L.; Cappelleri, J.; Beck, C.; Bushmakin, A.; Berry, M.; Jackson, J. Impact of osteoarthritis disease severity on treatment patterns and healthcare resource use: Analysis of real-world data. Scand. J. Rheumatol. 2022, 52, 353–363. [Google Scholar] [CrossRef]
- NIH. NIH. 2023. Available online: https://www.nih.gov (accessed on 3 December 2023).
- Yao, Q.; Wu, X.; Tao, C.; Gong, W.; Chen, M.; Qu, M.; Zhong, Y.; He, T.; Chen, S.; Xiao, G. Osteoarthritis: Pathogenic signaling pathways and therapeutic targets. Signal Transduct. Target. Ther. 2023, 8, 56. [Google Scholar] [CrossRef]
- Heimann, T.; Morrison, B.J.; Styner, M.A.; Niethammer, M.; Warfield, S.K. Segmentation of knee images: A grand challenge. In Proceedings of the MICCAI Workshop on Medical Image Analysis for the Clinic, Beijing, China, 20–24 September 2010; pp. 207–214. [Google Scholar]
- Thirukumaran, C.P.; Cai, X.; Glance, L.G.; Kim, Y.; Ricciardi, B.F.; Fiscella, K.A.; Li, Y. Geographic variation and disparities in total joint replacement use for Medicare beneficiaries: 2009 to 2017. J. Bone Jt. Surg. 2020, 102, 2120. [Google Scholar] [CrossRef] [PubMed]
- Nagano, H. Special Issue on Biomechanical and Biomedical Factors of Knee Osteoarthritis. Appl. Sci. 2022, 12, 11807. [Google Scholar] [CrossRef]
- Liu, F.; Zhou, Z.; Jang, H.; Samsonov, A.; Zhao, G.; Kijowski, R. Deep Convolutional Neural Network and 3D Deformable Approach for Tissue Segmentation in Musculoskeletal Magnetic Resonance Imaging. Magn. Reson. Med. 2018, 79, 2379–2391. [Google Scholar] [CrossRef]
- Concepts, C. Knee Osteoarthritis Condition. Available online: https://www.coreconcepts.com.sg/knee-osteoarthritis/ (accessed on 10 June 2024).
- Auricchio, F.; Marconi, S. 3D printing: Clinical applications in orthopaedics and traumatology. EFORT Open Rev. 2016, 1, 121–127. [Google Scholar] [CrossRef] [PubMed]
- Leppänen, S.; Niemeläinen, M.; Huhtala, H.; Eskelinen, A. Mild knee osteoarthritis predicts dissatisfaction after total knee arthroplasty: A prospective study of 186 patients aged 65 years or less with 2-year follow-up. BMC Musculoskelet. Disord. 2021, 22, 1–8. [Google Scholar] [CrossRef] [PubMed]
- Ghidotti, A.; Landi, D.; Regazzoni, D.; Rizzi, C. Evaluation of clinical and technical parameters to customize Total Knee Arthroplasty implants. J. Comput. Inf. Sci. Eng. 2022, 22, 061006. [Google Scholar] [CrossRef]
- Bahadır, B.; Atik, O.Ş.; Kanatlı, U.; Sarıkaya, B. A brief introduction to medical image processing, designing and 3D printing for orthopedic surgeons. Jt. Dis. Relat. Surg. 2023, 34, 451. [Google Scholar] [CrossRef] [PubMed]
- Touri, M.; Kabirian, F.; Saadati, M.; Ramakrishna, S.; Mozafari, M. Additive manufacturing of biomaterials- the evolution of rapid prototyping. Adv. Eng. Mater. 2019, 21, 1800511. [Google Scholar] [CrossRef]
- Ahmed, S.M.; Mstafa, R.J. A Comprehensive Survey on Bone Segmentation Techniques in Knee Osteoarthritis Research: From Conventional Methods to Deep Learning. Diagnostics 2022, 12, 611. [Google Scholar] [CrossRef] [PubMed]
- Hwang, D.; Ahn, S.; Park, Y.B.; Kim, S.H.; Han, H.S.; Lee, M.C.; Ro, D.H. Deep learning-based muscle segmentation and quantification of full-leg plain radiograph for sarcopenia screening in patients undergoing total knee arthroplasty. J. Clin. Med. 2022, 11, 3612. [Google Scholar] [CrossRef] [PubMed]
- Mercader, A.; Röttinger, T.; Bigdeli, A.; Lüth, T.C.; Röttinger, H. A patient-specific 3D model of the knee to compare the femoral rollback before and after total knee arthroplasty (TKA). J. Exp. Orthop. 2021, 8, 1–10. [Google Scholar]
- Kerdvibulvech, C.; Yamauchi, K. Structural human shape analysis for modeling and recognition. In Proceedings of the Structural, Syntactic, and Statistical Pattern Recognition: Joint IAPR International Workshop, S+ SSPR 2014, Joensuu, Finland, 20–22 August 2014; Springer: Berlin/Heidelberg, Germany, 2014; pp. 282–290. [Google Scholar]
- Gan, H.S.; Ramlee, M.H.; Wahab, A.A.; Lee, Y.S.; Shimizu, A. From classical to deep learning: Review on cartilage and bone segmentation techniques in knee osteoarthritis research. Artif. Intell. Rev. 2021, 54, 2445–2494. [Google Scholar] [CrossRef]
- Pandey, P.U.; Quader, N.; Guy, P.; Garbi, R.; Hodgson, A.J. Ultrasound bone segmentation: A scoping review of techniques and validation practices. Ultrasound Med. Biol. 2020, 46, 921–935. [Google Scholar] [CrossRef]
- Anshad, P.Y.M.; Kumar, S.S.S. Segmentation of Chondroblastoma from Medical Images Using Modified Region Growing Algorithm. Clust. Comput. 2018, 22, 13437–13444. [Google Scholar] [CrossRef]
- Becker, M.; Magnenat-Thalmann, N. Deformable Models in Medical Image Segmentation. In 3D Multiscale Physiological Human; Springer: London, UK, 2014; pp. 81–106. [Google Scholar]
- Cootes, T.F.; Taylor, C. Active Shape Models—‘Smart Snakes’ BT—BMVC92; Springer: London, UK, 1992; pp. 266–275. [Google Scholar]
- Heimann, T.; Meinzer, H. Statistical Shape Models for 3D Medical Image Segmentation: A Review. Med. Image Anal. 2009, 13, 543–563. [Google Scholar] [CrossRef]
- Sarkalkan, N.; Weinans, H.Z.A. Statistical Shape and Appearance Models of Bones. Bone 2014, 2014, 129–140. [Google Scholar] [CrossRef]
- Boykov, Y.Y.; Jolly, M. Interactive Graph Cuts for Optimal Boundary & Region Segmentation of Objects in N-D Images. In Proceedings of the IEEE International Conference on Computer Vision, Vancouver, BC, Canada, 7–14 July 2001; Volume 1, pp. 105–112. [Google Scholar]
- Dam, E.B.; Lillholm, M.; Marques, J.; Nielsen, M. Automatic segmentation of high-and low-field knee MRIs using knee image quantification with data from the osteoarthritis initiative. J. Med. Imaging 2015, 2, 024001. [Google Scholar] [CrossRef]
- Kessler, D.A.; MacKay, J.W.; Crowe, V.A.; Henson, F.M.; Graves, M.J.; Gilbert, F.J.; Kaggie, J.D. The optimisation of deep neural networks for segmenting multiple knee joint tissues from MRIs. Comput. Med. Imaging Graph. 2020, 86, 101793. [Google Scholar] [CrossRef]
- Jamshidi, A.; Pelletier, J.P.; Martel-Pelletier, J. Machine-Learning-Based Patient-Specific Prediction Models for Knee Osteoarthritis. Nat. Rev. Rheumatol. 2019, 15, 49–60. [Google Scholar] [CrossRef]
- Kluzek, S.; Mattei, T. Machine-Learning for Osteoarthritis Research. Osteoarthr. Cartil. 2019, 27, 977–978. [Google Scholar] [CrossRef]
- Ambellan, F.; Tack, A.; Ehlke, M.; Zachow, S. Automated segmentation of knee bone and cartilage combining statistical shape knowledge and convolutional neural networks: Data from the Osteoarthritis Initiative. Med. Image Anal. 2019, 52, 109–118. [Google Scholar] [CrossRef]
- Ronneberger, O.; Fischer, P.; Brox, T. U-net: Convolutional networks for biomedical image segmentation. In Proceedings of the Medical Image Computing and Computer-Assisted Intervention–MICCAI 2015: 18th International Conference, Munich, Germany, 5–9 October 2015; Proceedings, Part III 18. Springer: Berlin/Heidelberg, Germany, 2015; pp. 234–241. [Google Scholar]
- Norman, B.; Pedoia, V.; Majumdar, S. Use of 2D U-Net convolutional neural networks for automated cartilage and meniscus segmentation of knee MR imaging data to determine relaxometry and morphometry. Radiology 2018, 288, 177–185. [Google Scholar] [CrossRef]
- Almajalid, R.; Zhang, M.; Shan, J. Fully automatic knee bone detection and segmentation on three-dimensional MRI. Diagnostics 2022, 12, 123. [Google Scholar] [CrossRef]
- Deniz, C.M.; Xiang, S.; Hallyburton, R.S.; Welbeck, A.; Babb, J.S.; Honig, S.; Cho, K.; Chang, G. Segmentation of the proximal femur from MR images using deep convolutional neural networks. Sci. Rep. 2018, 8, 16485. [Google Scholar] [CrossRef]
- Chen, F.; Liu, J.; Zhao, Z.; Zhu, M.; Liao, H. Three-Dimensional Feature-Enhanced Network for Automatic Femur Segmentation. IEEE J. Biomed. Health Inform. 2019, 23, 243–252. [Google Scholar] [CrossRef]
- Minaee, S.; Boykov, Y.Y.; Porikli, F.; Plaza, A.J.; Kehtarnavaz, N.; Terzopoulos, D. Image segmentation using deep learning: A survey. IEEE Trans. Pattern Anal. Mach. Intell. 2021, 44, 3523–3542. [Google Scholar] [CrossRef]
- Martel-Pelletier, J.; Paiement, P.; Pelletier, J.P. Magnetic resonance imaging assessments for knee segmentation and their use in combination with machine/deep learning as predictors of early osteoarthritis diagnosis and prognosis. Ther. Adv. Musculoskelet. Dis. 2023, 15, 1759720X231165560. [Google Scholar] [CrossRef]
- Maji, D.; Sigedar, P.; Singh, M. Attention Res-UNet with Guided Decoder for semantic segmentation of brain tumors. Biomed. Signal Process. Control 2022, 71, 103077. [Google Scholar] [CrossRef]
- DenOtter, T.D.; Schubert, J. Hounsfield Unit 2019. Available online: http://europepmc.org/books/NBK547721 (accessed on 3 December 2023).
- Oktay, O.; Schlemper, J.; Folgoc, L.L.; Lee, M.; Heinrich, M.; Misawa, K.; Mori, K.; McDonagh, S.; Hammerla, N.Y.; Kainz, B.; et al. Attention U-Net: Learning where to Look for the Pancreas. In Proceedings of the 1st Conference on Medical Imaging with Deep Learning, Amsterdam, The Netherlands, 4–6 July 2018. [Google Scholar]
- Bilal, A.; Sun, G.; Mazhar, S.; Imran, A.; Latif, J. A Transfer Learning and U-Net-based automatic detection of diabetic retinopathy from fundus images. Comput. Methods Biomech. Biomed. Eng. Imaging Vis. 2022, 10, 663–674. [Google Scholar] [CrossRef]
- Abraham, N.; Khan, N.M. A novel focal tversky loss function with improved attention u-net for lesion segmentation. In Proceedings of the 2019 IEEE 16th International Symposium on Biomedical Imaging (ISBI 2019), Venice, Italy, 8–11 April 2019; IEEE: Piscataway, NJ, USA, 2019; pp. 683–687. [Google Scholar]
- Salehi, S.S.M.; Erdogmus, D.; Gholipour, A. Tversky loss function for image segmentation using 3D fully convolutional deep networks. In Proceedings of the Machine Learning in Medical Imaging: 8th International Workshop, MLMI 2017, Held in Conjunction with MICCAI 2017, Quebec City, QC, Canada, 10 September 2017; Proceedings 8. Springer: Berlin/Heidelberg, Germany, 2017; pp. 379–387. [Google Scholar]
- SlicerRt. SlicerRT. 2023. Available online: https://github.com/SlicerRt/ (accessed on 29 November 2023).
- Kulseng, C.P.S.; Nainamalai, V.; Grøvik, E.; Geitung, J.T.; Årøen, A.; Gjesdal, K.I. Automatic segmentation of human knee anatomy by a convolutional neural network applying a 3D MRI protocol. BMC Musculoskelet. Disord. 2023, 24, 41. [Google Scholar] [CrossRef]
- Robert, B.; Boulanger, P. Automatic Bone Segmentation from MRI for Real-Time Knee Tracking in Fluoroscopic Imaging. Diagnostics 2022, 12, 2228. [Google Scholar] [CrossRef]
- Tang, X.; Guo, D.; Liu, A.; Wu, D.; Liu, J.; Xu, N.; Qin, Y. Fully automatic knee joint segmentation and quantitative analysis for osteoarthritis from magnetic resonance (MR) images using a deep learning model. Med. Sci. Monit. Int. Med. J. Exp. Clin. Res. 2022, 28, e936733. [Google Scholar] [CrossRef]
- Liu, W.; Ge, T.; Luo, L.; Peng, H.; Xu, X.; Chen, Y.; Zhuang, Z. A novel focal ordinal loss for assessment of knee osteoarthritis severity. Neural Process. Lett. 2022, 54, 5199–5224. [Google Scholar] [CrossRef]










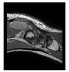
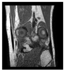
| Original Image | Ground Truth | U-Net | Attention U-Net | Our Approach |
|---|---|---|---|---|
![]() | ![]() | ![]() | ![]() | ![]() |
![]() | ![]() | ![]() | ![]() | ![]() |
![]() | ![]() | ![]() | ![]() | ![]() |
![]() | ![]() | ![]() | ![]() | ![]() |
![]() | ![]() | ![]() | ![]() | ![]() |
| Model | Dice Coefficient Scores |
|---|---|
| AU | 96.19% |
| AU + TL | 97.59% |
| AU + TL + LAYER | 95.95% |
| AU + CLS | 97.42% |
| AU + Focal TV | 94.43% |
| Proposed approach with all modules | 98.05% |
| Model | Hausdorff Distance |
|---|---|
| AU | 0.59 mm |
| AU + TL | 0.47 mm |
| AU + TL + LAYER | 0.6 mm |
| AU + CLS | 0.5 mm |
| AU + Focal TV | 1.3 mm |
| Proposed approach with all modules | 0.38 mm |
| Model | Neural Networks Architecture | Dice Score |
|---|---|---|
| Chen et al., 2022 [1] | 3D U-Net | 98.0% |
| Robert et al., 2022 [53] | 2.5D U-Net | 98.0% |
| Tang et al., 2022 [54] | 3D V-Net | 96.4% |
| Liu et al., 2022 [55] | 2D U-Net VGG16 | 96.0% |
| Almajalid et al., 2022 [40] | Modified U-Net | 96.0% |
| Kulseng et al., 2023 [52] | Modified U-Net | 98.0% |
| Proposed approach | Extended Atte.Unet | 98.05% |
Disclaimer/Publisher’s Note: The statements, opinions and data contained in all publications are solely those of the individual author(s) and contributor(s) and not of MDPI and/or the editor(s). MDPI and/or the editor(s) disclaim responsibility for any injury to people or property resulting from any ideas, methods, instructions or products referred to in the content. |
© 2024 by the authors. Licensee MDPI, Basel, Switzerland. This article is an open access article distributed under the terms and conditions of the Creative Commons Attribution (CC BY) license (https://creativecommons.org/licenses/by/4.0/).
Share and Cite
Aibinder, D.; Weisberg, M.; Ghidotti, A.; Weiss Cohen, M. Enhanced Attention Res-Unet for Segmentation of Knee Bones. Mathematics 2024, 12, 2284. https://doi.org/10.3390/math12142284
Aibinder D, Weisberg M, Ghidotti A, Weiss Cohen M. Enhanced Attention Res-Unet for Segmentation of Knee Bones. Mathematics. 2024; 12(14):2284. https://doi.org/10.3390/math12142284
Chicago/Turabian StyleAibinder, Daniel, Matan Weisberg, Anna Ghidotti, and Miri Weiss Cohen. 2024. "Enhanced Attention Res-Unet for Segmentation of Knee Bones" Mathematics 12, no. 14: 2284. https://doi.org/10.3390/math12142284
APA StyleAibinder, D., Weisberg, M., Ghidotti, A., & Weiss Cohen, M. (2024). Enhanced Attention Res-Unet for Segmentation of Knee Bones. Mathematics, 12(14), 2284. https://doi.org/10.3390/math12142284


























