Seasonal Growth of Zygophyllum dumosum Boiss.: Summer Dormancy Is Associated with Loss of the Permissive Epigenetic Marker Dimethyl H3K4 and Extensive Reduction in Proteins Involved in Basic Cell Functions
Abstract
1. Introduction
2. Materials and Methods
2.1. Field Site
2.2. Plant Materials, Acid Extraction of Proteins, and Immunoblotting
2.3. Acid Soluble Protein Extraction for Proteome Analysis
2.4. Proteome Analysis
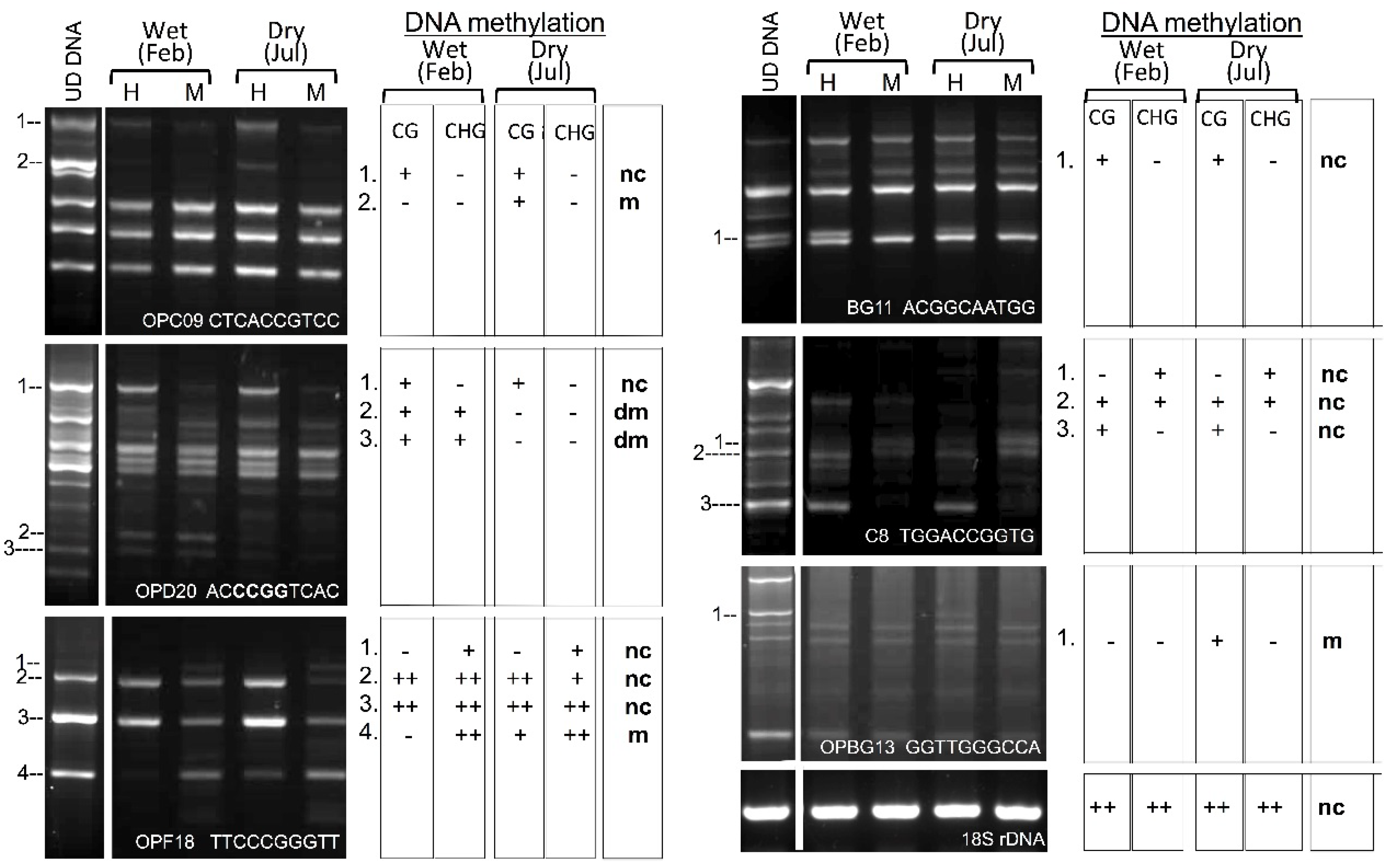
2.5. DNA Extraction and Methylation Analysis
3. Results
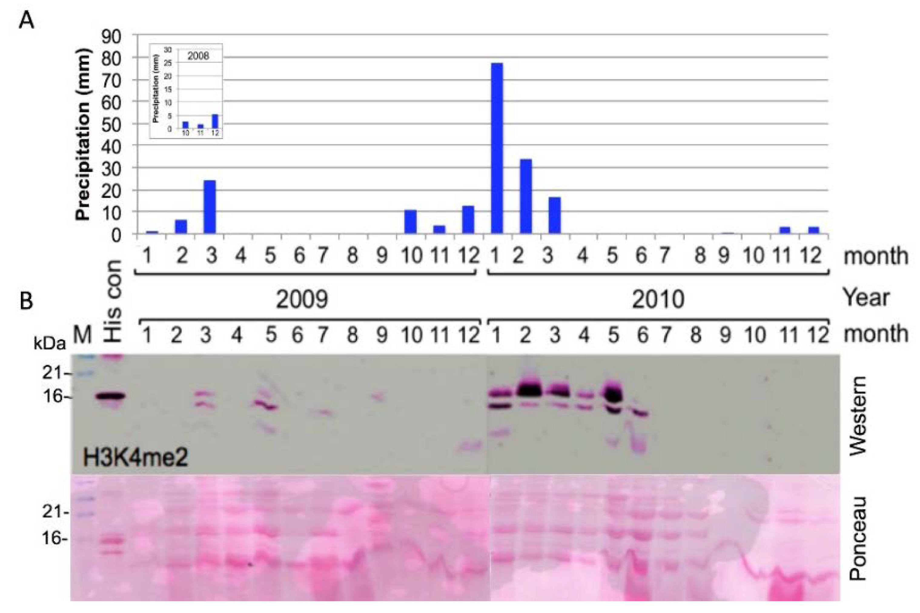
3.1. Histone H3K4 Methylation is Associated with Seasonal Growth of Z. dumosum
3.2. DNA Methylation in Z. dumosum
3.3. Seasonal Changes in Heat Shock Proteins (HSPs)
3.4. Changes in Acid Soluble Proteins in Petioles During the Transition from the Wet to the Dry Season
4. Discussion
5. Conclusions
Supplementary Materials
Author Contributions
Funding
Acknowledgments
Conflicts of Interest
References
- Bray, E.A.; Bailey-Serres, J.; Weretilnyk, E. Responses to abiotic stresses. In Biochemistry and Molecular Biology of Plants; Gruissem, W., Buchannan, B., Jones, R., Eds.; American Society of Plant Physiologists: Rockville, MD, USA, 2000; pp. 1158–1249. [Google Scholar]
- Danin, A. Desert Vegetation of Israel and Sinai; Cana Publishing House: Jerusalem, Israel, 1983; pp. 1–148. [Google Scholar]
- Granot, G.; Sikron-Persi, N.; Gaspan, O.; Florentin, A.; Talwara, S.; Paul, L.K.; Morgenstern, Y.; Granot, Y.; Grafi, G. Histone modifications associated with drought tolerance in the desert plant Zygophyllum dumosum Boiss. Planta 2009, 231, 27–34. [Google Scholar] [CrossRef] [PubMed]
- Waisel, Y.; Liphschitz, N.; Fahn, A. Cambial activity in Zygophyllum dumosum Boiss. Ann. Bot. 1970, 34, 409–414. [Google Scholar] [CrossRef]
- Gillespie, L.M.; Volaire, F.A. Are winter and summer dormancy symmetrical seasonal adaptive strategies? The case of temperate herbaceous perennials. Ann. Bot. 2017, 119, 311–323. [Google Scholar] [CrossRef] [PubMed]
- Volaire, F.A. A unified framework of plant adaptive strategies to drought: Crossing scales and disciplines. Glob. Chang. Biol. 2018, 24, 2929–2938. [Google Scholar] [CrossRef] [PubMed]
- Granot, G.; Grafi, G. Epigenetic information can reveal phylogenetic relationships within Zygophyllales. Plant Syst. Evol. 2014, 300, 1819–1824. [Google Scholar] [CrossRef]
- Thorstensen, T.; Grini, P.E.; Aalen, R.B. SET domain proteins in plant development. Biochim. Biophys. Acta 2011, 1809, 407–420. [Google Scholar] [CrossRef] [PubMed]
- Stroud, H.; Do, T.; Du, J.; Zhong, X.; Feng, S.; Johnson, L.; Patel, D.J.; Jacobsen, S.E. Non-CG methylation patterns shape the epigenetic landscape in Arabidopsis. Nat. Struct. Mol. Biol. 2014, 21, 64–72. [Google Scholar] [CrossRef] [PubMed]
- Lindroth, A.M.; Cao, X.; Jackson, J.P.; Zilberman, D.; McCallum, C.M.; Henikoff, S.; Jacobsen, S.E. Requirement of CHROMOMETHYLASE3 for maintenance of CpXpG methylation. Science 2001, 292, 2077–20780. [Google Scholar] [CrossRef] [PubMed]
- Bartee, L.; Malagnac, F.; Bender, J. Arabidopsis cmt3 chromomethylase mutations block non-CG methylation and silencing of an endogenous gene. Genes Dev. 2001, 15, 1753–1758. [Google Scholar] [CrossRef] [PubMed]
- Johnson, L.M.; Bostick, M.; Zhang, X.; Kraft, E.; Henderson, I.; Callis, J.; Jacobsen, S.E. The SRA methyl-cytosine-binding domain links DNA and histone methylation. Curr. Biol. 2007, 17, 379–384. [Google Scholar] [CrossRef] [PubMed]
- Bräutigam, K.; Vining, K.J.; Lafon-Placette, C.; Fossdal, C.G.; Mirouze, M.; Marcos, J.G.; Fluch, S.; Fraga, M.F.; Guevara, M.Á.; Abarca, D.; et al. Epigenetic regulation of adaptive responses of forest tree species to the environment. Ecol. Evol. 2013, 3, 399–415. [Google Scholar] [CrossRef] [PubMed]
- Lämke, J.; Bäurle, I. Epigenetic and chromatin-based mechanisms in environmental stress adaptation and stress memory in plants. Gen. Biol. 2017, 18, 124. [Google Scholar] [CrossRef] [PubMed]
- Chen, W.J.; Zhu, T. Networks of transcription factors with roles in environmental stress response. Trends Plant Sci. 2004, 9, 591–596. [Google Scholar] [CrossRef] [PubMed]
- Bressan, R.A.; Zhang, C.; Zhang, H.; Hasegawa, P.M.; Bohnert, H.J.; Zhu, J.K. Learning from the Arabidopsis experience. The next gene search paradigm. Plant Physiol. 2001, 127, 1354–1360. [Google Scholar] [CrossRef] [PubMed]
- Karaba, A.; Dixit, S.; Greco, R.; Aharoni, A.; Trijatmiko, K.R.; Marsch-Martinez, N.; Krishnan, A.; Nataraja, K.N.; Udayakumar, M.; Pereira, A. Improvement of water use efficiency in rice by expression of HARDY, an Arabidopsis drought and salt tolerance gene. Proc. Natl. Acad. Sci. USA 2007, 104, 15270–15275. [Google Scholar] [CrossRef] [PubMed]
- Zhang, G.; Chen, M.; Li, L.; Xu, Z.; Chen, X.; Guo, J.; Ma, Y. Overexpression of the soybean GmERF3 gene, an AP2/ERF type transcription factor for increased tolerances to salt, drought, and diseases in transgenic tobacco. J. Exp. Bot. 2009, 60, 3781–3796. [Google Scholar] [CrossRef] [PubMed]
- Wu, X.; Shiroto, Y.; Kishitani, S.; Ito, Y.; Toriyama, K. Enhanced heat and drought tolerance in transgenic rice seedlings overexpressing OsWRKY11 under the control of HSP101 promoter. Plant Cell Rep. 2009, 28, 21–30. [Google Scholar] [CrossRef] [PubMed]
- Wang, H.; Wang, H.; Shao, H.; Tang, X. Recent Advances in Utilizing Transcription Factors to Improve Plant Abiotic Stress Tolerance by Transgenic Technology. Front. Plant Sci. 2016, 7, 67. [Google Scholar] [CrossRef] [PubMed]
- Serraj, R.; Sinclair, T.R. Osmolyte accumulation: Can it really help increase crop yield under drought conditions? Plant Cell Environ. 2002, 25, 333–341. [Google Scholar] [CrossRef] [PubMed]
- Mittler, R. Abiotic stress, the field environment and stress combination. Trends Plant Sci. 2006, 11, 15–19. [Google Scholar] [CrossRef] [PubMed]
- Herwitz, S.R.; Olsvig-Whittaker, L. Preferential Upslope Growth of Zygophyllum dumosum Boiss. (Zygophyllaceae) Roots into Bedrock Fissures in the Northern Negev Desert. J. Biogeogr. 1989, 16, 457–460. [Google Scholar] [CrossRef]
- Terwilliger, V.J.; Zeroni, M. Gas exchange of a desert shrub (Zygophyllum dumosum Boiss.) under different soil moisture regimes during summer drought. Vegetatio 1994, 115, 133–144. [Google Scholar]
- Mi, H.; Muruganujan, A.; Casagrande, J.T.; Thomas, P.D. Large-scale gene function analysis with the PANTHER classification system. Nat. Protoc. 2013, 8, 1551–1566. [Google Scholar] [CrossRef] [PubMed]
- Dellaporta, S.L.; Wood, J.; Hicks, J.B. A plant DNA minipreparation: Version II. Plant Mol. Biol. Rep. 1983, 1, 19–21. [Google Scholar] [CrossRef]
- Singh, K.P. Screening of DNA methylation changes by methylation-sensitive random amplified polymorphic DNA-polymerase chain reaction (MS-RAPD-PCR). Methods Mol. Biol. 2014, 1105, 71–81. [Google Scholar] [PubMed]
- Sun, W.; Van Montagu, M.; Verbruggen, N. Small heat shock proteins and stress tolerance in plants. Biochim. Biophys. Acta 2002, 1577, 1–9. [Google Scholar] [CrossRef]
- Xu, Z.S.; Li, Z.Y.; Chen, Y.; Chen, M.; Li, L.C.; Ma, Y.Z. Heat shock protein 90 in plants: Molecular mechanisms and roles in stress responses. Int. J. Mol. Sci. 2012, 13, 15706–15723. [Google Scholar] [CrossRef] [PubMed]
- Sung, D.Y.; Vierling, E.; Guy, C.L. Comprehensive expression profile analysis of the Arabidopsis Hsp70 gene family. Plant Physiol. 2001, 126, 789–800. [Google Scholar] [CrossRef] [PubMed]
- Volaire, F.; Norton, M. Summer dormancy in perennial temperate grasses. Ann. Bot. 2006, 98, 927–933. [Google Scholar] [CrossRef] [PubMed]
- Shaimi, N.; Kallida, R.; Volaire, F.; Saidi, N.; Al Faiz, C. Summer dormancy and drought survival of Moroccan ecotypes of orchardgrass. Crop Sci. 2009, 49, 1416–1424. [Google Scholar] [CrossRef]
- Laude, H.M. The nature of summer dormancy in perennial grasses. Bot. Gaz. 1953, 114, 284–292. [Google Scholar] [CrossRef]
- Ofir, M.; Kerem, D. The effects of temperature and photoperiod on the onset of summer–dormancy in Poa bulbosa L. Ann. Bot. 1982, 50, 259–264. [Google Scholar] [CrossRef]
- Ofir, M.; Kigel, J. Regulation of summer dormancy by water deficit and ABA in Poa bulbosa ecotypes. Ann. Bot. 2007, 99, 293–299. [Google Scholar] [CrossRef] [PubMed]
- Li, X.; Wang, X.; He, K.; Ma, Y.; Su, N.; He, H.; Stolc, V.; Tongprasit, W.; Jin, W.; Jiang, J.; et al. High-resolution mapping of epigenetic modifications of the rice genome uncovers interplay between DNA methylation, histone methylation, and gene expression. Plant Cell 2008, 20, 259–276. [Google Scholar] [CrossRef] [PubMed]
- Zhang, X.; Bernatavichute, Y.V.; Cokus, S.; Pellegrini, M.; Jacobsen, S.E. Genome-wide analysis of mono-, di- and trimethylation of histone H3 lysine 4 in Arabidopsis thaliana. Gen. Biol. 2009, 10, R62. [Google Scholar] [CrossRef] [PubMed]
- Stroud, H.; Greenberg, M.V.; Feng, S.; Bernatavichute, Y.V.; Jacobsen, S.E. Comprehensive analysis of silencing mutants reveals complex regulation of the Arabidopsis methylome. Cell 2013, 152, 352–364. [Google Scholar] [CrossRef] [PubMed]
- Kumar, G.; Rattan, U.K.; Singh, A.K. Chilling-Mediated DNA Methylation Changes during Dormancy and Its Release Reveal the Importance of Epigenetic Regulation during Winter Dormancy in Apple (Malus x domestica Borkh.). PLoS ONE 2016, 11, e0149934. [Google Scholar] [CrossRef] [PubMed]
- Pandey, G.; Sharma, N.; Sahu, P.P.; Prasad, M. Chromatin-Based Epigenetic Regulation of Plant Abiotic Stress Response. Curr. Gen. 2016, 17, 490–498. [Google Scholar] [CrossRef] [PubMed]
- Asensi-Fabado, M.A.; Amtmann, A.; Perrella, G. Plant responses to abiotic stress: The chromatin context of transcriptional regulation. Biochim. Biophys. Acta 2017, 1860, 106–122. [Google Scholar] [CrossRef] [PubMed]
- Annacondia, M.L.; Magerøy, M.H.; Martinez, G. Stress response regulation by epigenetic mechanisms: Changing of the guards. Physiol. Plant. 2018, 162, 239–250. [Google Scholar] [CrossRef] [PubMed]
- Hershko, A.; Ciechanover, A. The ubiquitin system. Annu. Rev. Biochem. 1998, 67, 425–479. [Google Scholar] [CrossRef] [PubMed]
- Kobayashi, M.; Oshima, S.; Maeyashiki, C.; Nibe, Y.; Otsubo, K.; Matsuzawa, Y.; Nemoto, Y.; Nagaishi, T.; Okamoto, R.; Tsuchiya, K.; et al. The ubiquitin hybrid gene UBA52 regulates ubiquitination of ribosome and sustains embryonic development. Sci. Rep. 2016, 6, 36780. [Google Scholar] [CrossRef] [PubMed]
- Hutchins, A.P.; Liu, S.; Diez, D.; Miranda-Saavedra, D. The repertoires of ubiquitinating and deubiquitinating enzymes in eukaryotic genomes. Mol. Biol. Evol. 2013, 30, 1172–1187. [Google Scholar] [CrossRef] [PubMed]
- Nordhues, A.; Miller, S.M.; Muhlhaus, T.; Schroda, M. New insights into the roles of molecular chaperones in Chlamydomonas and Volvox. Int. Rev. Cell Mol. Biol. 2010, 285, 75–113. [Google Scholar] [PubMed]
- Forreiter, C.; Kirschner, M.; Nover, L. Stable transformation of an Arabidopsis cell suspension culture with firefly luciferase providing a cellular system for analysis of chaperone activity in vivo. Plant Cell 1997, 9, 2171–2181. [Google Scholar] [CrossRef] [PubMed]
- Lee, G.J.; Roseman, A.M.; Saibil, H.R.; Vierling, E. A small heat shock protein stably binds heat-denatured model substrates and can maintain a substrate in a folding-competent state. EMBO J. 1997, 16, 659–671. [Google Scholar] [CrossRef] [PubMed]
- Löw, D.; Brändle, K.; Nover, L.; Forreiter, C. Cytosolic heat-stress proteins Hsp17.7 class I and Hsp17.3 class II of tomato act as molecular chaperones in vivo. Planta 2000, 211, 575–582. [Google Scholar] [CrossRef] [PubMed]
- Noy-Meir, I. Desert Ecosystems: Environment and Producers. Annu. Rev. Ecol. Syst. 1973, 4, 25–51. [Google Scholar] [CrossRef]
- Sala, O.E.; Lauenroth, W.K.; Parton, W.J.; Trlica, M.J. Water status of soil and vegetation in a shortgrass steppe. Oecologia 1981, 48, 327–331. [Google Scholar] [CrossRef] [PubMed]
- Zhang, Y.Y.; Fischer, M.; Colot, V.; Bossdorf, O. Epigenetic variation creates potential for evolution of plant phenotypic plasticity. New Phytol. 2013, 19, 314–322. [Google Scholar] [CrossRef] [PubMed]
- Salguero-Gómez, R.; Siewert, W.; Casper, B.B.; Tielbörger, K. A demographic approach to study effects of climate change in desert plants. Philos. Trans. R. Soc. Lond. B Biol. Sci. 2012, 367, 3100–3114. [Google Scholar] [CrossRef] [PubMed]




| Nucleic Acid Binding Proteins | |||
|---|---|---|---|
| Accession | Arabidopsis Gene ID | Gene Name/Gene Symbol Ortolog | Ratio Wet/Dry |
| Q93VC7 | At5g30510 | 30S ribosomal protein S1; RPS1 (Ch) | 30.40 |
| F4J3P1 | At1g04480 | 60S ribosomal protein L23; RPL23A | 5.71 |
| Q8VZB9 | At1g08360 | 60S ribosomal protein L10a-1; RPL10AA | 12.02 |
| O04527 | At1g70190 | F20P5.9 protein | Not found in dry season |
| Q9SJ36 | At2g05220 | 40S ribosomal protein S17-2; RPS17B | Not found in dry season |
| P46286 | At2g18020 | 60S ribosomal protein L8-1; RPL8A | Not found in dry season |
| Q39244 | At2g47580 | U1 small nuclear ribonucleoprotein A; U1A | 64.76 |
| A0A1P8AW31 | At3g02540 | Ubiquitin receptor RAD23c; RAD23C | Not found in dry season |
| Q9LK61 | At3g13120 | 30S ribosomal protein S10; RPS10 (Ch) | Not found in dry season |
| O23290 | At3g23390 | 60S ribosomal protein L36a; RPL36AA | Not found in dry season |
| P42036 | At3g52580 | 40S ribosomal protein S14-3; RPS14C | 5.63 |
| P38666 | At3g53020 | 60S ribosomal protein L24-2; RPL24B | 7.56 |
| Q9M352 | At3g53740 | 60S ribosomal protein L36-2; RPL36B | 59.70 |
| A8MS83 | At3g55280 | 60S ribosomal protein L23a-2; RPL23AB | 21.34 |
| Q9LZH9 | At3g62870 | 60S ribosomal protein L7a-2; RPL7AB | Not found in dry season |
| Q9M1X0 | At3g63190 | Ribosome-recycling factor; RRF (Ch) | 23.60 |
| P49693 | At4g02230 | 60S ribosomal protein L19-3; RPL19C | 34.07 |
| Q9SZD6 | At4g29060 | Elongation factor Ts, emb2726 (M) | Not found in dry season |
| Q9M0E2 | At4g29410 | 60S ribosomal protein L28-2; RPL28C | 4.44 |
| Q93VG5 | At5g20290 | 40S ribosomal protein S8-1; RPS8A | 14.12 |
| Q9FI15 | At5g44500 | Small nuclear ribonucleoprotein-associated protein | Not found in dry season |
| P55228 | At5g48300 | Glucose-1-phosphate adenylyltransferase small subunit | Not found in dry season |
| A8MQA1 | At3g49010 | 60S ribosomal protein L13-1; RPL13B | 6.94 |
| Q9FNP8 | At5g61170 | 40S ribosomal protein S19-3; RPS19C | Not found in dry season |
| Oxireductases/dehydrogenases | |||
| Q9M5K3 | At1g48030 | Dihydrolipoyl dehydrogenase 1, (M) | 8.71 |
| F4HNZ6 | At1g12900 | Glyceraldehyde-3-phosphate dehydrogenase, (Ch) | 4.6 |
| Q9ZP06 | At1g53240 | Malate dehydrogenase 1, (M) | 4.45 |
| A0A1P8BD41 | At5g52840 | NADH dehydrogenase 1 alpha subcomplex subunit 5, (M) Complex I, non-core accessory subunit B13 | Not found in dry season |
| F4JWS9 | At5g25450 | Cytochrome b-c1 complex subunit 7-2;QCR7-2 Complex III | 3.99 |
| Q9ZNZ7 | At5g04140 | Ferredoxin-dependent glutamate synthase 1, (Ch/M) | Not found in dry season |
| Q94B78 | At4g33010 | Glycine dehydrogenase (decarboxylating) 1, GLDP1 (M) | Not found in dry season |
| A0A1P8B993 | At3g14420 | Peroxisomal (S)-2-hydroxy-acid oxidase GLO1 | Not found in dry season |
| Hydrolases | |||
| Q9SSS9 | At4g09650 | ATP synthase subunit delta (Ch) AtpD; HCP | not found in dry season |
| P0DKC4 | At5g36790 | Phosphoglycolate phosphatase 1B, PGLP1B (Ch) | not found in dry season |
| P25851 | At3g54050 | Fructose-1,6-bisphosphatase 1, CFBP1 (Ch) | not found in dry season |
| Q9ZNZ7 | At5g04140 | Ferredoxin-dependent glutamate synthase 1, (Ch/M) | not found in dry season |
| O80860 | At2g30950 | ATP-dependent zinc metalloprotease FTSH 2 (Ch) | 5.7 |
| Accession | Related to Arabidopsis Gene ID | Gene Name/Gene Symbol Ortolog | Ratio Wet/Dry |
|---|---|---|---|
| Q9ZUC1 | At1g23740 | NADPH-dependent alkenal/one oxidoreductase (Ch) | 0.1 |
| O80977 | At2g14740 | Vacuolar-sorting receptor 3 | 0.1 |
| OAP01990.1 | At3g40120 | HSP17.4 | 0.2 |
| Q9SRZ6 | At1g65930 | Cytosolic isocitrate dehydrogenase [NADP] | 0.2 |
| P27323 | At5g52640 | Heat shock protein 90-1 | 0.2 |
| Q9SYT0 | At1g35720 | Annexin D1 | 0.3 |
| Q94JQ4 | At3g20390 | Reactive Intermediate Deaminase A (Ch) | 0.3 |
| O49006 | At3g14310 | Pectinesterase/pectinesterase inhibitor 3 | 0.3 |
| A0A1I9LT03 | At3g03250 | UDP-GLUCOSE PYROPHOSPHORYLASE 1 | 0.3 |
| ABH08753.1 | At4g05320 | ubiquitin | 0.4 |
| Q42202 | At2g36170 | Ubiquitin-60S ribosomal protein L40-2 | 0.4 |
| F4IGK5 | At2g21250 | NAD(P)-linked oxidoreductase superfamily protein | 0.4 |
| O03986 | At5g56000 | Heat shock protein 90-4 | 0.5 |
| P59232 | At2g47110 | Ubiquitin-40S ribosomal protein S27a-2 | 0.5 |
| F4JZ46 | At5g66190 | Ferredoxin-NADP reductase | 0.5 |
| Q9S9N1 | At1g16030 | Heat shock 70 kDa protein 5 | Not found in wet season |
| Q9ZSJ7 | At3g24160 | Peroxisome membrane protein (PMP) | Not found in wet season |
© 2018 by the authors. Licensee MDPI, Basel, Switzerland. This article is an open access article distributed under the terms and conditions of the Creative Commons Attribution (CC BY) license (http://creativecommons.org/licenses/by/4.0/).
Share and Cite
Khadka, J.; Yadav, N.S.; Granot, G.; Grafi, G. Seasonal Growth of Zygophyllum dumosum Boiss.: Summer Dormancy Is Associated with Loss of the Permissive Epigenetic Marker Dimethyl H3K4 and Extensive Reduction in Proteins Involved in Basic Cell Functions. Plants 2018, 7, 59. https://doi.org/10.3390/plants7030059
Khadka J, Yadav NS, Granot G, Grafi G. Seasonal Growth of Zygophyllum dumosum Boiss.: Summer Dormancy Is Associated with Loss of the Permissive Epigenetic Marker Dimethyl H3K4 and Extensive Reduction in Proteins Involved in Basic Cell Functions. Plants. 2018; 7(3):59. https://doi.org/10.3390/plants7030059
Chicago/Turabian StyleKhadka, Janardan, Narendra S. Yadav, Gila Granot, and Gideon Grafi. 2018. "Seasonal Growth of Zygophyllum dumosum Boiss.: Summer Dormancy Is Associated with Loss of the Permissive Epigenetic Marker Dimethyl H3K4 and Extensive Reduction in Proteins Involved in Basic Cell Functions" Plants 7, no. 3: 59. https://doi.org/10.3390/plants7030059
APA StyleKhadka, J., Yadav, N. S., Granot, G., & Grafi, G. (2018). Seasonal Growth of Zygophyllum dumosum Boiss.: Summer Dormancy Is Associated with Loss of the Permissive Epigenetic Marker Dimethyl H3K4 and Extensive Reduction in Proteins Involved in Basic Cell Functions. Plants, 7(3), 59. https://doi.org/10.3390/plants7030059

