Next Article in Journal
Elucidating the Mechanistic Role of Exogenous Melatonin in Salt Stress Tolerance of Maize (Zea mays L.) Seedlings: An Integrated Physiological, Metabolomic, and Proteomic Profiling Analysis
Previous Article in Journal
First Phenotypic Characterization of the Edible Fruits of Lardizabala biternata: A Baseline for Conservation and Domestication of a Neglected and Endemic Vine
Previous Article in Special Issue
5-AzaC Facilitates Somatic Embryogenesis and Germination Across Two Embryogenic Lines in Larix olgensis
 
 
Font Type:
Arial Georgia Verdana
Font Size:
Aa Aa Aa
Line Spacing:
Column Width:
Background:
Article

A Cryopreservation and Regeneration Protocol for Embryogenic Callus of Larix olgensis

State Key Laboratory of Tree Genetics and Breeding, Northeast Forestry University, Harbin 150040, China
*
Authors to whom correspondence should be addressed.
Plants 2025, 14(20), 3127; https://doi.org/10.3390/plants14203127
Submission received: 17 September 2025 / Revised: 5 October 2025 / Accepted: 9 October 2025 / Published: 10 October 2025
(This article belongs to the Special Issue Sexual and Asexual Reproduction in Forest Plants—2nd Edition)

Abstract

Larix olgensis is a valuable timber species in northern China, typically propagated through somatic embryogenesis (SE). However, long-term subculture can lead to a loss of embryogenic potential. This study aimed to establish a simple and stable protocol for the cryopreservation and regeneration of L. olgensis embryogenic callus (EC) that preserves its SE potential and regenerative capacity. The slow-freezing method was employed for cryopreservation. A cryopreservation protocol for L. olgensis EC was developed by optimizing the preculture duration and conditions, cryoprotectant composition and thawing temperature. The results showed that optimal outcomes were achieved using a 24 h stepwise preculture on medium containing 0.2 and 0.4 mol∙L−1 sucrose, followed by cryoprotectant treatment with 0.4 mol∙L−1 sucrose, 2.5% (v/v) dimethyl sulfoxide (DMSO) and 10% polyethylene glycol 6000 (PEG6000), and thawing at 37 °C. EC cryopreserved using this protocol achieved a 100% recovery rate. Moreover, the cryopreserved recoverable EC successfully underwent SE, progressing through germination and rooting. Cryopreservation duration (storage duration in liquid nitrogen) did not affect cell viability and proliferation rate, confirming the protocol’s suitability for long-term cryopreservation of L. olgensis EC. This study provides a valuable reference for the cryopreservation and regeneration of L. olgensis EC, with potential applications for other coniferous species. It establishes a robust foundation for the large-scale propagation of conifers.

1. Introduction

Larix olgensis is a commercially valuable timber species in northern China and also possesses significant ecological importance. It contributes to soil and water conservation, air purification, and noise reduction and provides habitats for wildlife, playing an irreplaceable role in maintaining ecological balance [1]. Somatic embryogenesis (SE) is a process in which structures similar to zygotic embryos are formed directly from somatic cells without gamete fusion [2]. Compared to conventional breeding methods, SE offers several advantages, including high propagation efficiency, enhanced genetic stability, shorter breeding cycles, and lower production costs [3]. Furthermore, SE is highly controllable and easy to observe, making it valuable for both theoretical and applied research [4]. To date, SE has been successfully applied in L. olgensis for rapid propagation, germplasm preservation, and genetic improvement [5]. However, the long-term subculture of embryogenic callus (EC) leads to a series of adverse effects on subsequent development. These effects manifest as reduced cell viability, loss of regenerative capacity, alterations in gene expression patterns, and morphological and physiological abnormalities in regenerated plantlets [6]. These issues significantly impair the efficiency and stability of tissue regeneration. Cryopreservation refers to the long-term preservation of plant organs, tissues, or cells at the ultra-low temperature of −196 °C (typically in liquid nitrogen) [7]. At this temperature, EC are in metabolic standstill or suspended animation, in the case of the kinetic energy, enzymatic reactions, and molecular motion within biological systems, diminishing or ceasing entirely [8]. This technique is commonly integrated with in vitro culture methods. Therefore, the development of successful micropropagation systems is critical for cryopreserving propagules [9,10]. This enables the long-term, secure preservation of diverse materials, including pollens, calli, somatic embryos, zygotic embryos, seeds, shoot tips, and dormant buds [11,12,13,14]. Consequently, cryopreservation is universally recognized as the most effective and ideal method for the long-term preservation of plant germplasm resources [15]. The integration of SE and cryopreservation technologies shortens forest tree breeding cycles by allowing long-term cryopreservation of EC from diverse genotypes in liquid nitrogen. This approach minimizes the risks of somaclonal variation and reduces the labor and resources required for repeated subculturing [16]. Concurrently, elite genotypes identified through clonal field trials can be retrieved from cryopreservation, thawed, and mass-propagated via SE. This enables the rapid deployment of somatic embryo-derived plantlets in clonal forestry operations [17].
Since its initial development, cryopreservation protocols have been continuously refined. Current methods can be broadly classified into three categories: conventional techniques such as rapid-freezing [18] and slow-freezing [19] (used for over 40 years); vitrification-based approaches, including droplet vitrification [20], encapsulation–vitrification [21], and standard vitrification [22] and alternative methods such as air desiccation-freezing [23] and cryoplate protocols [24,25]. Each method has distinct advantages and limitations, and their suitability varies across plant species. Among these, conventional slow-freezing and vitrification-based methods are the most widely used in plant cryopreservation, with slow-freezing being particularly common in coniferous species [26,27,28,29,30]. The cryopreservation and regeneration process involves multiple stressors, including osmotic stress, chemical toxicity, ice crystallization, and cold shock, which collectively threaten cellular integrity and compromise preservation efficacy [24]. To mitigate these challenges, the three critical steps of preculture, cryoprotection, and optimized thawing form the foundation of successful cryopreservation. Preculture enables controlled cellular dehydration, reducing intracellular water content to enhance tolerance against rapid temperature fluctuations and extreme desiccation [27]. Cryoprotectants further improve preservation efficiency through synergistic mechanisms that establish a biological protection barrier during dehydration and low-temperature stress, primarily by inhibiting lethal ice crystal formation and maintaining membrane integrity [31]. Additionally, tailored thawing protocols prevent destructive ice recrystallization during rewarming, ensuring structural and functional recovery of preserved tissues [24]. Cryopreservation serves as a critical technique for the long-term and efficient conservation of forest tree germplasm resources. Its efficiency is co-regulated by multiple factors, including explant type, genotype, tissue culture procedure, and cryopreservation methodology [32]. Therefore, species-specific protocol optimization is essential to improve cryopreservation outcomes. Although L. olgensis is an important coniferous species in northern China, cryopreservation techniques for its EC have not yet been established. Our laboratory has successfully developed a stable SE system for L. olgensis [33], providing a consistent material basis for such studies. Therefore, the preservation of elite embryogenic cell lines is urgently required.
This study aims to establish a simple and efficient cryopreservation protocol by optimizing key steps in the cryopreservation process (including preculture, cryoprotectant, and thawing temperature). The goal is to maximize the retention of somatic embryogenic potential, thereby laying a crucial foundation for the long-term cryopreservation of elite germplasm resources in L. olgensis.

2. Results

2.1. Optimization of 2,3,5-Triphenyltetrazolium Chloride (TTC) Concentration for Cell Viability Assay

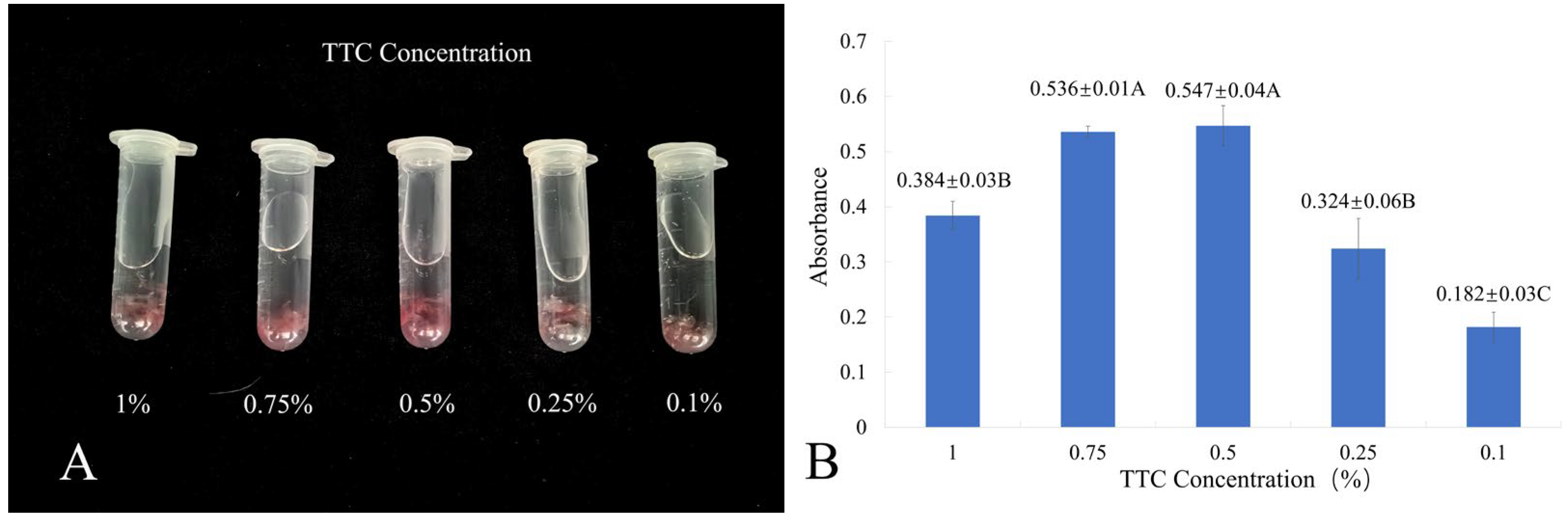
TTC is reduced by hydrogen in biological materials to form the insoluble red compound triphenylformazan. EC incubated in varying TTC concentrations under dark conditions for 24 h exhibited differential red coloration intensity (Figure 1A). The 0.5% TTC treatment yielded the deepest coloration, contrasting with the lightest color at 0.1%.
The TTC reduction assay is a widely used method for assessing cell viability [34]. The results showed highly significant differences in absorbance among the TTC concentrations tested (Figure 1B). The highest absorbance value was observed at 0.5% TTC (0.547), followed by 0.75% TTC (0.536), and the lowest at 0.1% TTC (0.182). These quantitative findings are consistent with the qualitative color observations.

2.2. Screening of Optimal Preculture and Cryoprotectant Protocols

2.2.1. Effects of Preculture and Cryoprotectant Protocols on Cell Viability

Range analysis (R-values, Table 1) revealed that the type of preculture medium had the greatest effect on the viability of L. olgensis EC (R = 1.931%), followed by preculture duration (R = 1.569%) and dimethyl sulfoxide (DMSO) concentration (R = 1.389%), while polyethylene glycol 6000 (PEG6000) concentration had minimal impact (R = 0.458%). Among all treatments, treatment 12 (a 24 h stepwise preculture on medium containing 0.2 and 0.4 mol∙L−1 sucrose, followed by cryoprotectant treatment with 0.4 mol∙L−1 sucrose, 5% (v/v) DMSO, and 10% PEG6000) resulted in significantly higher cell viability than the others.
Multiple comparisons (Table 2) showed that the highest viability (3.486%) was achieved with a 24 h preculture, which was significantly higher than the lowest viability (1.917%) observed at 12 h. No significant differences were found between 24 h and 36 h, or between 12 h and 48 h, but the difference between 24 h and 12 h was highly significant. Stepwise preculture on sucrose-containing medium resulted in a viability of 3.875%, which differed highly significantly from all other treatments. The highest viability under DMSO treatment (3.569%) was obtained at 2.5% concentration. This result was not significantly different from that of the 5% DMSO group, but was significantly lower than those treated with 10% and 15% DMSO. For PEG6000, the maximum viability (3.111%) occurred at 10% concentration, with no significant differences across the concentration gradient.
In summary, the optimal cryopreservation protocol for L. olgensis EC entails that the EC undergo 24 h preculture on a medium supplemented with 0.2 mol∙L−1 of sucrose, followed by a medium supplemented with 0.4 mol·L−1 sucrose. Subsequently, they are immersed in cryoprotectant solution containing 0.4 mol·L−1 sucrose, 2.5% DMSO, and 10% PEG6000. Since this specific combination was not included in the original 16 treatments of the orthogonal array testing strategy (OATS), further experimental validation was conducted to confirm its effectiveness in minimizing cryoinjury.
Under experimental conditions identical to the 16 OATS treatments, the same weight of EC (0.6 g) was cryopreserved using the optimized protocol. Cell viability was assessed with three replicates. Results demonstrated that EC preserved with the optimized protocol showed a post-thaw viability of 5.111% (Table 3). In contrast, the directly cryopreserved control showed only 1.111% viability, indicating a highly significant difference between the two groups.

2.2.2. Effects of Preculture and Cryoprotectant Protocols on Proliferation Rate

The proliferation rate of post-thaw EC reflects its recovery efficacy. This study quantified proliferation rates after 4 weeks of recovery for both the 16 OATS treatments and the optimized protocol (Table 4). The control exhibited no proliferation, whereas the optimized protocol achieved the highest proliferation rate (710%), followed by treatment 12 (480%). These results demonstrate that the optimized protocol minimizes cryoinjury and maximizes post-cryopreservation recovery.

2.3. Screening of Optimal Thawing Temperature

As shown in Figure 2, cell viability initially increased with rising thawing temperature, reaching a maximum of 5.11% at 37 °C, and then decreased at higher temperatures. The cell viability at 37 °C showed significant differences from that at all other temperatures tested. Therefore, 37 °C was selected as the optimal thawing temperature in this protocol.

2.4. Recovery Rate Assessment

Ten clumps of EC cryopreserved for 4 months using the optimized protocol (a 24 h stepwise preculture on medium containing 0.2 and 0.4 mol∙L−1 sucrose, followed by cryoprotectant treatment with 0.4 mol∙L−1 sucrose, 2.5% DMSO and 10% PEG6000) were thawed at 37 °C, and initial weights were recorded (Figure 3A,C). After recovery of 10 days, translucent white EC emerged. Following 4 weeks of recovery, all 10 clumps showed noticeable weight gain and were covered with a layer of translucent white callus (Figure 3B,D), confirming a 100% recovery rate. The emergence of new proliferative tissues confirms that the cryopreserved EC has successfully resumed normal growth under the optimized protocol.

2.5. Effect of Cryopreservation Duration on Cell Viability and Proliferation

To validate the long-term stability of this protocol for L. olgensis EC, samples cryopreserved for 1 day, 7 days, 1 month, 3 months, 6 months, and 1 year were thawed and assessed for cell viability (Figure 4A) and proliferation rate (Figure 4B). The results showed no significant differences in either cell viability or proliferation rate across the different cryopreservation durations, indicating negligible impact on post-thaw regenerative growth of EC. This protocol effectively minimized cryoinjury during extended cryopreservation, achieving stable long-term preservation of plant genetic resources.

2.6. SE and Germination After Cryopreservation

To evaluate the embryogenic potential after cryopreservation, EC that resumed normal proliferation was used in SE, germination, and plant regeneration assays. The cryopreserved EC retained the ability to undergo normal SE (Figure 5A). Crucially, somatic embryos derived from cryopreserved-recovered EC displayed normal morphology and developed into viable plantlets (Figure 5B–D). These results demonstrate that cryopreservation not only preserves proliferative competence but also maintains full embryogenic differentiation potential.

2.7. Flowchart of the Optimized Protocol

Based on the experimental results described above, a flowchart detailing the optimized cryopreservation procedure for L. olgensis EC is presented in Figure 6.

3. Discussion

This study successfully established a simple, efficient, and reliable protocol for the cryopreservation and regeneration of L. olgensis EC, addressing a critical gap in the preservation of this economically and ecologically important conifer.
A particularly notable result was the 100% recovery rate observed across all EC samples treated with the optimized protocol. Morphological evaluation showed complete encapsulation by translucent white callus after four weeks of recovery, highlighting the importance of integrating multiple protective strategies. The stepwise preculture using a sucrose gradient (0.2 mol∙L−1 followed by 0.4 mol∙L−1) under dark conditions at 25 °C promoted controlled cellular dehydration, which is essential for reducing osmotic shock and preventing intracellular ice formation during cryopreservation. This principle is supported by studies in other species, such as Castanea dentata [35], Castanea sativa [36], Robinia pseudoacacia [37], and Vitis spp. [38]. This was further enhanced by the composite cryoprotectant solution (0.4 mol∙L−1 sucrose, 2.5% DMSO, and 10% PEG6000). The combination of permeating (DMSO) and non-permeating (sucrose, PEG) cryoprotectants is consistent with established cryobiological theory [39]. Larix gmelinii var. [27] treated with this strategy (0.4 mol∙L−1 sorbitol + 5% DMSO) achieved a 70% regeneration rate. While the permeable agent DMSO is indispensable, its concentration must be carefully optimized to balance effectiveness and toxicity. In the present study, a lower concentration (2.5%) helped minimize DMSO cytotoxic effects, a concern also reported in Taxodium hybrid ‘zhongshanshan’ [40]. In the EC cell suspension of Taxodium hybrid ‘zhongshanshan’, DMSO concentrations were tested at 0%, 2.5%, 5%, 7.5%, 10%, and 12.5%. The results demonstrated that DMSO concentration significantly influenced both recovery time and callus proliferation. The most favorable recovery effect was observed with 10% DMSO following 60 min incubation on ice, which led to the shortest recovery period (5 days) and a high callus proliferation rate of 4.30. The inclusion of PEG is thought to enhance extracellular vitrification and stabilize membranes, further protecting cellular integrity [41]. Furthermore, rapid thawing in a 37 °C water bath resulted in the highest post-thaw viability (5.11%). This result is consistent with the fundamental cryobiological principle that rapid warming minimizes destructive ice recrystallization [42]. This aligns with findings in Olea europaea [43], and underscores the need for species-specific optimization at this step [12,27]. The highly significant difference in viability between the optimized protocol (5.11%) and direct cryopreservation controls (1.111%) clearly demonstrates the effectiveness of our protocol in reducing cryoinjury. While high TTC-reduction activity indicates viable cells with active metabolism, its discrepancy with proliferation capacity (e.g., in Treatment 1) highlights that only protocols that also preserve division competence, such as our optimized protocol, enable true long-term regeneration. A pivotal advantage of our protocol is its capability for long-term preservation without loss of biological quality. The absence of significant differences in cell viability and proliferation rate across cryopreservation durations from 1 day to 1 year confirms that cellular viability and proliferative capacity are stably maintained in liquid nitrogen. This stability is a cornerstone of successful cryopreservation [12]. It effectively eliminates the risks of somaclonal variation and loss of embryogenic competence inherent to chronic subculturing [6], thereby enabling the establishment of a reliable cryobank for L. olgensis genetic resources. Perhaps the most compelling evidence for the preservation of complete cellular function and totipotency is the ability of the regenerated EC to undergo normal SE. This ability confirms that the protocol not only preserves viability but also retains the differentiation capacity, which is essential for large-scale clonal propagation programs. The ability of the recovered EC to undergo SE is especially significant, given the previous work on L. olgensis that established methods for EC induction and SE [33], and Agrobacterium-mediated transformation [5].
In conclusion, this study develops the first comprehensive, highly efficient cryopreservation protocol for L. olgensis EC. Its success is evidenced by complete regeneration, stable long-term preservation, and maintained embryogenic potential. This protocol provides a powerful tool for the long-term conservation of elite genotypes of this important species. This supports advanced breeding programs, safeguards genetic diversity, and facilitates the deployment of clonal forestry. Future research could focus on employing techniques such as flow cytometry or SSR markers to conduct molecular verification of the genetic stability in L. olgensis following cryopreservation, and applying this validated protocol to a wider range of coniferous species.

4. Materials and Methods

4.1. Plant Material

The EC induced and subcultured for 6 months in our laboratory served as the experimental material [33,44]. The fresh EC selected and stabilized on proliferation medium for 3–5 days was used for subsequent experiments.

4.2. Culture Medium Formulation

All culture media (Table 5) were formulated using BM (Basal Medium) and MS (Murashige and Skoog) as the basal media [45].

4.3. Methods

4.3.1. Optimization of TTC Concentration

Cell viability refers to the percentage of living cells within a cell population, reflecting the overall health status of the cells [46]. Cell viability served as the key metric for determining the optimal cryopreservation protocol for EC [27].
Cell viability of L. olgensis EC was assessed using the TTC reduction assay, which primarily reflects dehydrogenase activity in living cells. The viability is estimated based on the intensity of red color formation resulting from the reduction of TTC to formation [47]. Fresh EC (0.1 g), not subjected to cryopreservation, was placed into 5 mL centrifuge tubes. Then, 1.5 mL of TTC solutions at concentrations of 0.1%, 0.25%, 0.5%, 0.75%, and 1% were added. The tubes were incubated in the dark at 25 °C for 24 h. Three independent replicates were performed for each concentration. After incubation, the staining intensity was visually assessed. The TTC solution was discarded, and any residual solution was removed by rinsing the EC with distilled water. EC was incubated in 3 mL of 95% ethanol at 65 °C for 30 min, and the absorbance of the resulting supernatant was then measured at 485 nm.

4.3.2. Preculture and Cryoprotectant Treatment

A total of 0.6 g EC was spread evenly onto a preculture medium for either stepwise preculture (first preculture on 0.2 mol∙L−1 sucrose or sorbitol, second preculture on 0.4 mol∙L−1 sucrose or sorbitol) or non-stepwise preculture (on 0.4 mol∙L−1 sucrose or sorbitol). All cultures were maintained in the dark at 25 °C for 12 h, 24 h, 36 h, or 48 h (Table 6). After preculture, the EC from different treatment groups were transferred into 2 mL cryovials, and 1 mL of filter-sterilized cryoprotectant solution was added at 25 °C. The cryoprotectant solution was formulated with DMSO (2.5%, 5%, 10%, 15%) and PEG6000 (0%, 5%, 10%, 15%) as base protectants, supplemented with 0.4 mol∙L−1 sucrose or sorbitol. The cryovials containing the cryoprotectant were then immediately transferred into a program cooling box (biosharp BS-02-CFC). The program cooling box commenced at a cooling rate of −1 °C∙min−1 until reaching −80 °C. After maintaining at −80 °C for at least 4 h, the cryovials were removed and rapidly plunged into a liquid nitrogen biological container for cryopreservation. Four factors, preculture duration, preculture strategy, DMSO concentration in the cryoprotective solution, and PEG6000 concentration, were evaluated, each at four levels. Sixteen treatment combinations were generated using OATS (Table 6). Cell viability (Section 4.3.1) and proliferation rate (Section 4.3.4) were assessed for each treatment after 24 h of cryopreservation. Following statistical analysis of viability across all treatment groups, the optimal preculture and cryoprotectant protocol was determined. A comparative analysis of proliferation rates across all treatment groups was performed, which validated the superior recovery performance of the optimal treatment group. EC without preculture and cryoprotectant treatment served as the directly cryopreserved control, with three replicates per treatment.

4.3.3. Thawing Treatment

After 24 h of cryopreservation, the cryovials were retrieved and thawed at 4 °C (refrigerator), 25 °C (ambient temperature), 37 °C, 42 °C, or 50 °C (water bath). Following complete EC thawing, the cryoprotectant solution was removed. The EC within each cryovial was washed 3 to 4 times with liquid proliferation medium. EC was then placed on sterile filter paper to absorb excess liquid before being transferred onto solid proliferation medium for subsequent cell viability assessment. Based on the cell viability (Section 4.3.1) results, the optimal thawing temperature was selected.

4.3.4. Proliferation Rate

The proliferation rate serves as a functional metric reflecting not only the survival of EC post-thaw but also the recovery capacity of the surviving cells. One day post-thawing, 0.1 g EC was randomly selected from the solid proliferation medium and transferred to fresh medium to thoroughly eliminate residual DMSO and PEG solutions. Following a 4-week recovery period, the samples were weighed under aseptic conditions using an analytical balance with a precision of 0.01 g to calculate the proliferation rate, with three replicates per treatment.

4.3.5. Effect of Cryopreservation Duration (Storage Duration in Liquid Nitrogen) on Cell Viability and Proliferation Rate

EC subjected to preculture and cryoprotectant treatment were preserved in liquid nitrogen for 1 day, 7 days, 3 months, 6 months, or 1 year. After each cryopreservation period, post-thaw cell viability (Section 4.3.1) and post-recovery proliferation rate (Section 4.3.4) were assessed to analyze the effect of duration on cryopreservation efficacy. Three independent replicates were established for each cryopreservation duration.

4.3.6. Assessment of Recovery Rate

The recovery rate serves as a reliable indicator of protocol stability. Ten cryovials cryopreserved for 4 months were retrieved and thawed. Under aseptic conditions, the L. olgensis EC from each cryovial was individually weighed using an analytical balance with a precision of 0.01 g. The EC was then transferred to solid proliferation medium and cultured in the dark at 25 °C. After 4 weeks, the EC was weighed again to assess recovery status. The recovery rate was calculated based on the number of recovery clumps.

4.3.7. Validation of Somatic Embryogenic Potential

Cryopreserved EC was thawed and subjected to proliferation according to the methods described in previous sections. Following at least one subculture cycle (15 days), 0.2 g EC was transferred onto pre-maturation medium. Cultures were maintained at 25 °C under dark conditions for 10 days. Subsequently, the EC was transferred to somatic embryo maturation medium. After approximately 40 days of culture on somatic embryo maturation medium, somatic embryos were carefully separated from the EC and transferred onto germination medium. Germination typically occurred within about 5 days. Following germination, root development was observed after approximately 20 days, leading to the regeneration of complete plantlets.

4.4. Statistical Analysis

The proliferation rate, cell viability, and recovery rate of cryopreserved EC were calculated using the following formulas:
Proliferation   rate   ( % )   =   Fresh   weight   of   regenerated   EC - 0.1   ( g ) 0.1   ( g )   ×   100
Cell   viability   ( % ) =   Absorbance   of   cryopreserved   EC Absorbance   of   non-cryopreserved   EC   ×   100
Recovery   rate   ( % ) = Number   of   recovered   EC   clumps Total   number   of   cryopreserved   EC   clumps   ×   100
The analysis of variance (ANOVA) was performed using SPSS Statistics 23.0. The OATS configuration was employed to identify the optimal combination of preculture and cryoprotectant conditions. The multiple comparisons were analyzed via the Least Significant Difference (LSD) program in SPSS Statistics 23.0. Values are presented as the mean ± SD.

Author Contributions

S.L. supervised the project and provided the funding; H.Z. provided the materials; C.W. performed the experiments, analyzed the data, and prepared the figures and tables; M.L. and W.Z. reviewed and edited the draft; Y.L., H.D., Y.N., and C.C. participated in the experimental validation. All authors have read and agreed to the published version of the manuscript.

Funding

This study was funded by the Biological Breeding-National Science and Technology Major Project (2023ZD040580204).

Data Availability Statement

All data are available in the manuscript.

Conflicts of Interest

The authors declare no conflicts of interest.

Abbreviations

The following abbreviations are used in this manuscript:
ECEmbryogenic callus
SESomatic embryogenesis
DMSODimethyl Sulfoxide
PEG6000Polyethylene Glycol 6000
TTC2,3,5-triphenyltetrazolium chloride
OATSOrthogonal array testing strategy

References

  1. An, P.Q.; Cao, Q.; Wang, C.; Wang, J.H.; Zhang, H.G.; Zhang, L. Spatiotemporal Expression and Bioinformatic Analyses of the HD-Zip Transcription Factor Family in Larix olgensis. Plant Mol. Biol. Rep. 2021, 39, 212–225. [Google Scholar] [CrossRef]
  2. Zhao, R.R.; Qi, S.Z.; Cui, Y.; Gao, Y.; Jiang, S.F.; Zhao, J.; Zhang, J.F.; Kong, L.S. Transcriptomic and physiological analysis identifies a gene network module highly associated with brassinosteroid regulation in hybrid sweetgum tissues differing in the capability of somatic embryogenesis. Hortic. Res. 2022, 9, uhab047. [Google Scholar] [CrossRef] [PubMed]
  3. Bai, Y.H.; Liu, M.; Zhou, R.; Jiang, F.L.; Li, P.; Li, M.Q.; Zhang, M.; Wei, H.Y.; Wu, Z. Construction of ceRNA Networks at Different Stages of Somatic Embryogenesis in Garlic. Int. J. Mol. Sci. 2023, 24, 5311. [Google Scholar] [CrossRef] [PubMed]
  4. Jiang, S.F.; Chen, X.Y.; Gao, Y.; Cui, Y.; Kong, L.S.; Zhao, J.; Zhang, J.F. Plant Regeneration via Somatic Embryogenesis in Larix principis-rupprechtii Mayr. Forests 2021, 12, 1335. [Google Scholar] [CrossRef]
  5. Song, Y.; Bai, X.M.; Dong, S.W.; Yang, Y.N.; Dong, H.; Wang, N.R.; Zhang, H.G.; Li, S.J. Stable and Efficient Agrobacterium-Mediated Genetic Transformation of Larch Using Embryogenic Callus. Front. Plant Sci. 2020, 11, 584492. [Google Scholar] [CrossRef]
  6. Caeiro, A.; Jarak, I.; Correia, S.; Canhoto, J.; Carvalho, R. Primary Metabolite Screening Shows Significant Differences between Embryogenic and Non-Embryogenic Callus of Tamarillo (Solanum betaceum Cav.). Plants 2023, 12, 2869. [Google Scholar] [CrossRef]
  7. Vásquez-Rivera, A.; Sommer, K.K.; Oldenhof, H.; Higgins, A.Z.; Brockbank, K.G.M.; Hilfiker, A.; Wolkers, W.F. Simultaneous monitoring of different vitrification solution components permeating into tissues. Analyst 2018, 143, 420–428. [Google Scholar] [CrossRef]
  8. Hu, J.W.; Pu, Z.Y.; Hao, C.H.; Yan, H.L.; Qian, S.M.; Zhu, T.Q.; Ma, W.J.; An, S.P.; Kong, L.S.; Wang, J.H. Optimized cryopreservation of embryogenic tissue of Picea abies based on differential scanning calorimetry. Cryobiology 2025, 120, 105278. [Google Scholar] [CrossRef]
  9. Bettoni, J.C.; Bonnart, R.; Volk, G.M. Challenges in implementing plant shoot tip cryopreservation technologies. Plant Cell Tissue Organ Cult. 2021, 144, 21–34. [Google Scholar] [CrossRef]
  10. Zhang, A.L.; Wang, M.R.; Li, Z.Y.; Panis, B.; Bettoni, J.C.; Vollmer, R.; Xu, L.; Wang, Q.C. Overcoming Challenges for Shoot Tip Cryopreservation of Root and Tuber Crops. Agronomy 2023, 13, 219. [Google Scholar] [CrossRef]
  11. Engels, J.M.M.; Ebert, A.W. A Critical Review of the Current Global Ex Situ Conservation System for Plant Agrobiodiversity. I. History of the Development of the Global System in the Context of the Political/Legal Framework and Its Major Conservation Components. Plants 2021, 10, 1557. [Google Scholar] [CrossRef]
  12. Nagel, M.; Pence, V.; Ballesteros, D.; Lambardi, M.; Popova, E.; Panis, B. Plant Cryopreservation: Principles, Applications, and Challenges of Banking Plant Diversity at Ultralow Temperatures. Annu. Rev. Plant Biol. 2024, 75, 797–824. [Google Scholar] [CrossRef] [PubMed]
  13. Kim, H. Optimizing the Droplet-Vitrification Procedure by Balancing the Cryoprotection and Cytotoxicity of Alternative Plant Vitrification Solutions Based on the Nature of Donor Plant Vigor. Plants 2023, 12, 4040. [Google Scholar] [CrossRef] [PubMed]
  14. Volk, G.M.; Bonnart, R.M.; Henk, A.D.; Chen, K.Y.; Bettoni, J.C.; Wang, Q.C.; Kreckel, H.D.; Levinger, N.E. Fundamentals of plant cryopreservation: Dormant bud two-step cooling and shoot tip vitrification. In Proceedings of the ISHS Acta Horticulturae 14211, Oslo, Norway, 27 February 2025; pp. 117–124. [Google Scholar]
  15. Wang, M.; Jing, Y.; Chen, L.; Wang, X.; Meng, C.; Huang, B.; Xu, L.; Li, Z. Applications and Prospects of Cryogenic Technology in the Conservation of Tropical Crop Germplasm Resources. Chin. J. Trop. Crops 2025, 46, 611–628. [Google Scholar]
  16. Xiang, J.; Mlambo, R.; Shaw, I.; Seid, Y.; Shah, H.M.; He, Y.J.; Kpegah, J.; Tan, S.W.; Zhou, W.H.; He, B.S. Cryopreservation of bioflavonoid-rich plant sources and bioflavonoid-microcapsules: Emerging technologies for preserving bioactivity and enhancing nutraceutical applications. Front. Nutr. 2023, 10, 1232129. [Google Scholar] [CrossRef]
  17. Hassani, S.B.; Trontin, J.F.; Raschke, J.; Zoglauer, K.; Rupps, A. Constitutive Overexpression of a Conifer WOX2 Homolog Affects Somatic Embryo Development in Pinus pinaster and Promotes Somatic Embryogenesis and Organogenesis in Arabidopsis Seedlings. Front. Plant Sci. 2022, 13, 838421. [Google Scholar] [CrossRef]
  18. Zeng, L.; He, M.-J.; Chen, K.; Wei, J.-H. Cryopreservation study on seeds and embryos in Dalbergia odorifera. China J. Chin. Mater. Medica 2014, 39, 2263–2266. [Google Scholar]
  19. Endoh, K.; Hanaoka, S.; Matsushita, M.; Ubukata, M.; Yamada, H. Ex situ conservation of birch trees by cryopreservation of dormant buds adapted to subzero temperatures by extracellular freezing. New For. 2023, 54, 515–523. [Google Scholar] [CrossRef]
  20. Halmagyi, A.; Valimareanu, S.; Sovarel, G.; Coste, A. Cryo-Technologies for Ex Situ Conservation of Rosa Germplasm. Plants 2022, 11, 1095. [Google Scholar] [CrossRef]
  21. Zhang, L.; Tian, H.; Liu, J.; Liu, Y. Cryopreservation of Shoot—Tips of Populus euphratica Dormant Buds by Encapsulation—Vitrification. Xinjiang Agric. Sci. 2017, 54, 2232–2238. [Google Scholar]
  22. Ozudogru, E.A.; Kirdok, E.; Kaya, E.; Capuana, M.; Benelli, C.; Engelmann, F. Cryopreservation of redweed (Sequoia sempervirens (D.Don) Endl.) in vitro buds using vitrification-based techniques. Cryoletters 2011, 32, 99–110. [Google Scholar]
  23. Rohini, M.R.; Malik, S.K.; Choudhary, R.; Kaur, S.; Uchoi, A.; Chaudhury, R. Storage behavior and cryopreservation studies in Indian rough lemon (Citrus jambhiri): A promising rootstock for long-term conservation. Turk. J. Agric. For. 2016, 40, 865–873. [Google Scholar] [CrossRef]
  24. Pu, Z.; Hu, J.; Wang, J.; Xu, Y.; An, S.; Wang, L.; Xu, N.; Zhu, T. Research Progress in Cryopreservation of Forest Trees. World For. Res. 2024, 37, 22–29. [Google Scholar]
  25. Wasilenczyk, U.; Wawrzyniak, M.K.; Martins, J.P.R.; Kosek, P.; Chmielarz, P. Cryopreservation of sessile oak (Quercus petraea (Matt.) Liebl.) plumules using aluminium cryo-plates: Influence of cryoprotection and drying. Plant Methods 2024, 20, 53. [Google Scholar] [CrossRef] [PubMed]
  26. Peng, C.X. Somatic Embryo Maturation and Embryogenic Callus Preservation During Somatic Embryogenesis of Pinus koraiensis. Master’s Thesis, Northeast Forestry University, Harbin, China, 2019. [Google Scholar] [CrossRef]
  27. Chen, X.; Jiang, S.; Dai, J.; Yuan, D.; Kong, L.; Zhang, J.; Zhao, J. Cryopreservation of embryogenic callus for Larix gmelinii var. principis-rupprechtii. J. Beijing For. Univ. 2021, 43, 47–53. [Google Scholar]
  28. Gao, F.; Chen, S.; Qin, C.; Cai, J.; Wang, C.; Dong, H.; Tao, J. Optimization of somatic embryogenesis system and cryopreservation of Picea koraiensis. J. Nanjing For. Univ. Nat. Sci. Ed. 2021, 45, 100–108. [Google Scholar]
  29. Shen, L.Y. Somatic Embryogenesis and Cryopreservation for Embryogenic Callus of Nematode-Resistant Pinus massoniana Lamb. Master’s Thesis, Nanjing Forestry University, Nanjing, China, 2019. [Google Scholar] [CrossRef]
  30. Varis, S.; Ahola, S.; Jaakola, L.; Aronen, T. Reliable and practical methods for cryopreservation of embryogenic cultures and cold storage of somatic embryos of Norway spruce. Cryobiology 2017, 76, 8–17. [Google Scholar] [CrossRef]
  31. Zhao, Z.; Liu, B. Application of Cryopreservation Technology in Biobank. Refrig. Technol. 2020, 40, 66–71. [Google Scholar]
  32. Fatiha, B.; Carolina, S. Effect of Cryopreservation on Olive (Olea europaea L.) Plant Regeneration via Somatic Embryogenesis. Plants 2020, 10, 34. [Google Scholar] [CrossRef]
  33. Song, Y.; Zhen, C.; Zhang, H.; Li, S. Embryogenic Callus Induction and Somatic Embryogenesis from Immature Zygotic Embryos of Larix olgensis. Sci. Silvae Sin. 2016, 52, 45–54. [Google Scholar]
  34. Munasinghe, S.; Somaratne, S.; Weerakoon, S.; Ranasinghe, C. Sustainable utilization of Gyrinops walla Gaetner: In Vitro production of sesquiterpenes by chemical and biological elicitation. J. Genet. Eng. Biotechnol. 2021, 19, 134. [Google Scholar] [CrossRef]
  35. Liu, Z.Y.; Bi, W.L.; Shukla, M.R.; Saxena, P.K. In Vitro Technologies for American Chestnut (Castanea dentata (Marshall) Borkh) Conservation. Plants 2022, 11, 21. [Google Scholar] [CrossRef]
  36. Jorquera, L.; Vidal, N.; Sánchez, C.; Vieitez, A.M. Optimizing conditions for successful plant regeneration from cryopreserved Castanea sativa shoot tips. In Proceedings of the ISHS Acta Horticulturae 693, Chaves, Portugal, 31 October 2005; pp. 511–518. [Google Scholar] [CrossRef]
  37. Verleysen, H.; Fernandes, P.; Pinto, I.S.; Van Bockstaele, E.; Debergh, P. Cryopreservation of Robinia pseudoacacia. Plant Cell Tissue Organ Cult. 2005, 81, 193–202. [Google Scholar] [CrossRef]
  38. Pathirana, R.; McLachlan, A.; Hedderley, D.; Panis, B.; Carimi, F. Pre-treatment with salicylic acid improves plant regeneration after cryopreservation of grapevine (Vitis spp.) by droplet vitrification. Acta Physiol. Plant. 2016, 38, 2002425. [Google Scholar] [CrossRef]
  39. Chang, T.; Zhao, G. Ice Inhibition for Cryopreservation: Materials, Strategies, and Challenges. Adv. Sci. 2021, 8, 2002425. [Google Scholar] [CrossRef]
  40. Chen, T.T.; Jia, X.Y.; Yu, C.G.; Yin, Y.L.; Hua, J.F. A simple and efficient protocol for cryopreservation of Taxodium hybrid ‘zhongshanshan’ embryogenic callus. Plant Cell Tissue Organ Cult. 2024, 156, 44. [Google Scholar] [CrossRef]
  41. Patel, M.; Park, J.K.; Jeong, B. Rediscovery of poly(ethylene glycol)s as a cryoprotectant for mesenchymal stem cells. Biomater. Res. 2023, 27, 104423. [Google Scholar] [CrossRef]
  42. Bai, G.Y.; Hu, J.H.; Qin, S.J.; Qi, Z.P.; Zhuang, H.N.; Sun, F.D.; Lu, Y.H.; Jin, S.L.; Gao, D.; Wang, J.J. Small-molecule fulvic acid with strong hydration ability for non-vitreous cellular cryopreservation. Iscience 2022, 25, 104423. [Google Scholar] [CrossRef]
  43. Long, W.; Yao, X.H.; Ren, H.D. A Cryopreservation Protocol for Olea europaea Embryogenic Callus. China Patent CN113854283A, 31 December 2021. [Google Scholar]
  44. Zhao, W.N.; Liu, Y.; Wang, C.; Ning, Y.J.; Cui, C.P.; Zhang, H.G.; Li, M.; Li, S.J. 5-AzaC Facilitates Somatic Embryogenesis and Germination Across Two Embryogenic Lines in Larix olgensis. Plants 2025, 14, 2818. [Google Scholar] [CrossRef]
  45. Song, Y. Studies on Somatic Embryogenesis and Genetic Transformation of Larix olgensis. Master’s Thesis, Northeast Forestry University, Harbin, China, 2017. [Google Scholar]
  46. Granata, A.; Nicoletti, R.; Perego, P.; Iorio, E.; Krishnamachary, B.; Benigni, F.; Ricci, A.; Podo, F.; Bhujwalla, Z.M.; Canevari, S.; et al. Global metabolic profile identifies choline kinase alpha as a key regulator of glutathione-dependent antioxidant cell defense in ovarian carcinoma. Oncotarget 2015, 6, 11216–11230. [Google Scholar] [CrossRef]
  47. Hawrylak-Nowak, B.; Matraszek-Gawron, R. Difference between Selenite and Selenate in the Regulation of Growth and Physiological Parameters of Nickel-Exposed Lettuce. Biology 2020, 9, 465. [Google Scholar] [CrossRef] [PubMed]
Figure 1. Absorbance and coloration comparison of L. olgensis EC under different TTC concentrations. (A) coloration comparison; (B) absorbance. Different uppercase letters indicate significant differences at the p < 0.01 level.
Figure 1. Absorbance and coloration comparison of L. olgensis EC under different TTC concentrations. (A) coloration comparison; (B) absorbance. Different uppercase letters indicate significant differences at the p < 0.01 level.
Plants 14 03127 g001
Figure 2. Cell viability of L. olgensis EC under different thawing temperatures. Different lowercase letters indicate significant differences at the p < 0.05 level.
Figure 2. Cell viability of L. olgensis EC under different thawing temperatures. Different lowercase letters indicate significant differences at the p < 0.05 level.
Plants 14 03127 g002
Figure 3. L. olgensis EC recovery 4 weeks post-thaw. (A,C) EC after thaw; (B,D) EC recovery for 4 weeks.
Figure 3. L. olgensis EC recovery 4 weeks post-thaw. (A,C) EC after thaw; (B,D) EC recovery for 4 weeks.
Plants 14 03127 g003
Figure 4. Effect of cryopreservation duration on cell viability or on the proliferation rate of L. olgensis EC. (A) cell viability; (B) proliferation rate.
Figure 4. Effect of cryopreservation duration on cell viability or on the proliferation rate of L. olgensis EC. (A) cell viability; (B) proliferation rate.
Plants 14 03127 g004
Figure 5. SE from cryopreserved-regenerated EC of L. olgensis. (A) somatic embryos maturation (40 days); (B) somatic embryo germination (5 days); (C) root elongation (20 days); (D) plantlet formation.
Figure 5. SE from cryopreserved-regenerated EC of L. olgensis. (A) somatic embryos maturation (40 days); (B) somatic embryo germination (5 days); (C) root elongation (20 days); (D) plantlet formation.
Plants 14 03127 g005
Figure 6. Cryopreservation procedure for EC of L. olgensis.
Figure 6. Cryopreservation procedure for EC of L. olgensis.
Plants 14 03127 g006
Table 1. Analysis of cell viability after preculture and cryoprotectant treatments using OATS L16 (44).
Table 1. Analysis of cell viability after preculture and cryoprotectant treatments using OATS L16 (44).
TreatmentsFactorsCell Viability (%)
Preculture Duration (T)Preculture Strategy (M)DMSO (D)PEG (P)
1T1M1D1P13.889
2T3M3D1P34.500
3T4M4D1P41.778
4T2M2D1P24.111
5T2M4D3P12.667
6T4M3D2P12.611
7T3M2D4P12.722
8T1M4D4P30.889
9T4M1D4P22.778
10T1M3D3P20.389
11T2M3D4P42.333
12T2M1D2P34.833
13T3M1D3P44.000
14T3M4D2P22.444
15T4M2D3P32.222
16T1M2D2P42.500
K123.00046.50042.83335.667
K241.83334.66737.16737.167
K341.00029.50027.83337.333
K428.16723.33326.16731.833
`X11.9173.8753.5692.972
`X23.4862.8893.0973.097
`X33.4172.4582.3193.111
`X42.3471.9442.1812.653
R1.5691.9311.3890.458
Ki denotes the sum of observed values at the same factor level; `Xi represents the mean of observed values across different levels of a factor; R indicates the range. Specifically: T1 = 12 h, T2 = 24 h, T3 = 36 h, T4 = 48 h; M1 = 0.2 mol∙L−1 + 0.4 mol∙L−1 sucrose, M2 = 0.2 mol∙L−1 + 0.4 mol∙L−1 sorbitol, M3 = 0.4 mol∙L−1 sucrose, M4 = 0.4 mol∙L−1 sorbitol; D1 = 2.5%, D2 = 5%, D3 = 10%, D4 = 15%; P1 = 0%, P2 = 5%, P3 = 10%, P4 = 15%. Bold numbers indicate the highest values, and bold letters are the best levels.
Table 2. Multiple comparisons of cell viability in L. olgensis EC across factor levels.
Table 2. Multiple comparisons of cell viability in L. olgensis EC across factor levels.
LevelsPreculture Duration (h)Preculture StrategyDMSO (%)PEG (%)
11.917 ± 1.483 B3.875 ± 0.951 A3.569 ± 1.366 A2.972 ± 0.813
23.486 ± 1.375 A2.889 ± 0.941 B3.097 ± 1.240 A2.431 ± 1.508
33.417 ± 1.086 A2.458 ± 1.719 BC2.320 ± 1.433 B3.111 ± 1.849
42.347 ± 0.694 B1.945 ± 0.903 C2.181 ± 0.941 B2.653 ± 1.043
Preculture duration level: 1 = 12 h, 2 = 24 h, 3 = 36 h, 4 = 48 h; Preculture strategy level: 1 = 0.2 mol∙L−1 + 0.4 mol∙L−1 sucrose, 2 = 0.2 mol∙L−1 + 0.4 mol∙L−1 sorbitol, 3 = 0.4 mol∙L−1 sucrose, 4 = 0.4 mol∙L−1 sorbitol; DMSO level: 1 = 2.5%, 2 = 5%, 3 = 10%, 4 = 15%; PEG level: 1 = 0%, 2 = 5%, 3 = 10%, 4 = 15%. See also Table 1, where different uppercase letters indicate significant differences at the p < 0.01 level, absence of letters indicates no significant difference at the p > 0.05 level.
Table 3. Multiple comparisons of cell viability in L. olgensis EC across 16 treatments, control, and optimized protocol.
Table 3. Multiple comparisons of cell viability in L. olgensis EC across 16 treatments, control, and optimized protocol.
TreatmentsFactorsCell Viability (%)
Preculture Duration (T)Preculture Strategy (M)DMSO (D)PEG (P)
1T1M1D1P13.889 ± 0.59 AB
2T3M3D3P34.500 ± 1.17 A
3T4M4D4P41.778 ± 0.67 CDE
4T2M2D2P24.111 ± 1.18 A
5T2M2D2P22.667 ± 0.76 BC
6T4M4D4P42.611 ± 1.00 BC
7T3M3D3P32.722 ± 0.10 BC
8T1M1D1P10.889 ± 0.48 EF
9T4M4D4P42.778 ± 0.19 BC
10T1M1D1P10.389 ± 0.25 F
11T2M2D2P22.333 ± 1.04 CD
12T2M2D2P24.833 ± 1.01 A
13T3M3D3P34.000 ± 0.6 A
14T3M3D3P32.444 ± 0.59 C
15T4M4D4P42.222 ± 0.51 CD
16T1M1D1P12.500 ± 0.17 C
control----1.111 ± 0.42 DEF
optimized protocolT2M1D1P35.111 ± 0.1 A
T1 = 12 h, T2 = 24 h, T3 = 36 h, T4 = 48 h; M1 = 0.2 mol∙L−1 + 0.4 mol∙L−1 sucrose, M2 = 0.2 mol∙L−1 + 0.4 mol∙L−1 sorbitol, M3 = 0.4 mol∙L−1 sucrose, M4 = 0.4 mol∙L−1 sorbitol; D1 = 2.5%, D2 = 5%, D3 = 10%, D4 = 15%; P1 = 0%, P2 = 5%, P3 = 10%, P4 = 15%; different uppercase letters indicate significant differences at the p < 0.01 level.
Table 4. Multiple comparisons of proliferation rate in L. olgensis EC across 16 treatments, control, and optimized protocol.
Table 4. Multiple comparisons of proliferation rate in L. olgensis EC across 16 treatments, control, and optimized protocol.
TreatmentsFactorsProliferation Rate (%)
Preculture Duration (T)Preculture Strategy (M)DMSO (D)PEG (P)
1T1M1D1P10.00 ± 0.00 F
2T3M3D3P3370.00 ± 27.00 C
3T4M4D4P40.00 ± 0.00 F
4T2M2D2P2340.33 ± 4.04 C
5T2M2D2P230.00 ± 17.32
6T4M4D4P466.67 ± 32.15 E
7T3M3D3P30.00 ± 0.00 F
8T1M1D1P10.00 ± 0.00 F
9T4M4D4P40.00 ± 0.00 F
10T1M1D1P10.00 ± 0.00 F
11T2M2D2P20.00 ± 0.00 F
12T2M2D2P2480.00 ± 30.00 B
13T3M3D3P3276.67 ± 30.55 D
14T3M3D3P30.00 ± 0.00 F
15T4M4D4P40.00 ± 0.00 F
16T1M1D1P10.00 ± 0.00 F
control----0.00 ± 0.00 F
optimized protocolT2M1D1P3713.33 ± 11.55 A
T1 = 12 h, T2 = 24 h, T3 = 36 h, T4 = 48 h; M1 = 0.2 mol∙L−1 + 0.4 mol∙L−1 sucrose, M2 = 0.2 mol∙L−1 + 0.4 mol∙L−1 sorbitol, M3 = 0.4 mol∙L−1 sucrose, M4 = 0.4 mol∙L−1 sorbitol; D1 = 2.5%, D2 = 5%, D3 = 10%, D4 = 15%; P1 = 0%, P2 = 5%, P3 = 10%, P4 = 15%; different uppercase letters indicate significant differences at the p < 0.01 level.
Table 5. Culture medium names and formulations.
Table 5. Culture medium names and formulations.
NamesFormulations
Preculture mediumBM supplemented with 0.15 mg·L−1 2,4-D, 0.05 mg·L−1 6-BA, 0.05 mg·L−1 KT, 1 g·L−1 L-glutamine, 1 g·L−1 inositol, 0.5 g·L−1 casein acids hydrolysate, 5.2 g·L−1 agar and 0.2 mol·L−1/0.4 mol·L−1 sucrose/sorbitol, pH of 6.0
Liquid proliferation mediumBM supplemented with 0.15 mg·L−1 2,4-D, 0.05 mg·L−1 6-BA, 0.05 mg·L−1 KT, 1 g·L−1 L-glutamine, 1 g·L−1 inositol, 0.5 g·L−1 casein acids hydrolysate and 25 g·L−1 sucrose, pH of 6.0
Solid proliferation mediumBM supplemented with 0.15 mg·L−1 2,4-D, 0.05 mg·L−1 6-BA, 0.05 mg·L−1 KT, 1 g·L−1 L-glutamine, 1 g·L−1 inositol, 0.5 g·L−1 casein acids hydrolysate, 5.2 g·L−1 agar and 25 g·L−1 sucrose, pH of 6.0
Pre-maturation medium1/4 BM supplemented with 1 g·L−1 L-glutamine, 10 g·L−1 inositol, 0.5 g·L−1 casein acids hydrolysate, 5.2 g·L−1 agar and 60 g·L−1 sucrose, pH of 6.0
Somatic embryo maturation mediumBM supplemented with 20 mg·L−1 abscisic acid, 80 g·L−1 PEG6000, 0.5 g·L−1 L-glutamine, 0.5 g·L−1 inositol, 0.25 g·L−1 casein acids hydrolysate, 2 g·L−1 GelzanTM CM and 60 g·L−1 sucrose, pH of 6.0
Germination medium1/2 MS supplemented with sucrose 30 g·L−1 and agar 6.5 g·L−1, pH of 5.8
Table 6. Screening for optimal preculture and cryoprotectant conditions of L. olgensis EC using OATS.
Table 6. Screening for optimal preculture and cryoprotectant conditions of L. olgensis EC using OATS.
LevelsPreculture Duration (T) (h)Preculture Strategy (M)DMSO (D) (%)PEG (P) (%)
1120.2 mol·L−1 + 0.4 mol·L−1 sucrose2.50
2240.2 mol·L−1 + 0.4 mol·L−1 sorbitol55
3360.4 mol·L−1 sucrose1010
4480.4 mol·L−1 sorbitol1515
Disclaimer/Publisher’s Note: The statements, opinions and data contained in all publications are solely those of the individual author(s) and contributor(s) and not of MDPI and/or the editor(s). MDPI and/or the editor(s) disclaim responsibility for any injury to people or property resulting from any ideas, methods, instructions or products referred to in the content.

Share and Cite

MDPI and ACS Style

Wang, C.; Zhao, W.; Liu, Y.; Dong, H.; Ning, Y.; Cui, C.; Zhang, H.; Li, M.; Li, S. A Cryopreservation and Regeneration Protocol for Embryogenic Callus of Larix olgensis. Plants 2025, 14, 3127. https://doi.org/10.3390/plants14203127

AMA Style

Wang C, Zhao W, Liu Y, Dong H, Ning Y, Cui C, Zhang H, Li M, Li S. A Cryopreservation and Regeneration Protocol for Embryogenic Callus of Larix olgensis. Plants. 2025; 14(20):3127. https://doi.org/10.3390/plants14203127

Chicago/Turabian Style

Wang, Chen, Wenna Zhao, Yu Liu, Hao Dong, Yajing Ning, Chengpeng Cui, Hanguo Zhang, Meng Li, and Shujuan Li. 2025. "A Cryopreservation and Regeneration Protocol for Embryogenic Callus of Larix olgensis" Plants 14, no. 20: 3127. https://doi.org/10.3390/plants14203127

APA Style

Wang, C., Zhao, W., Liu, Y., Dong, H., Ning, Y., Cui, C., Zhang, H., Li, M., & Li, S. (2025). A Cryopreservation and Regeneration Protocol for Embryogenic Callus of Larix olgensis. Plants, 14(20), 3127. https://doi.org/10.3390/plants14203127

Note that from the first issue of 2016, this journal uses article numbers instead of page numbers. See further details here.

Article Metrics

Back to TopTop