Cytogenetic Identification and Molecular Marker Analysis of Two Wheat–Thinopyrum ponticum Translocations with Stripe Rust Resistance
Abstract
1. Introduction
2. Materials and Methods
2.1. Plant Materials
2.2. Stripe Rust Resistance Evaluation
2.3. Cytogenetic Analyses
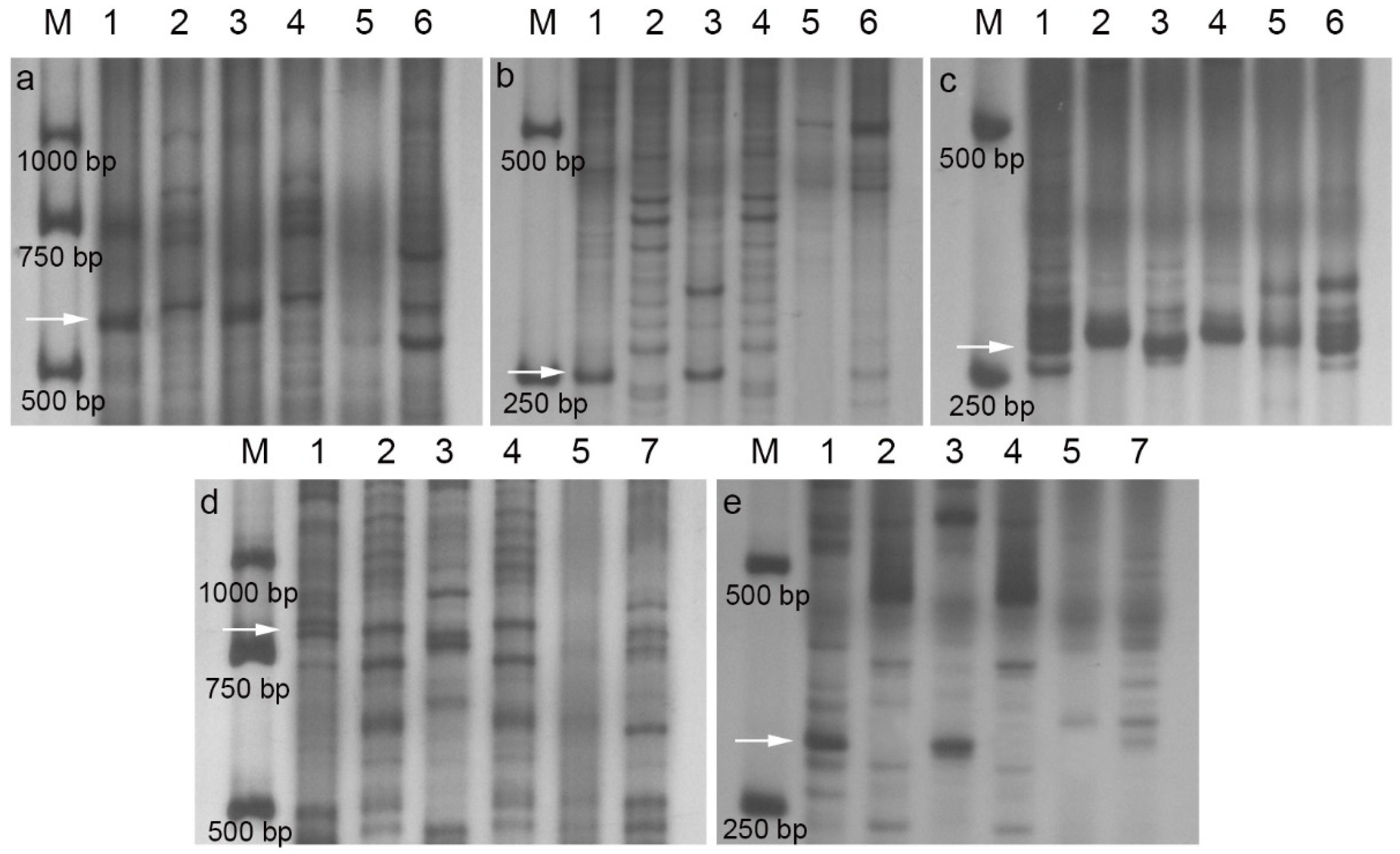
2.4. Molecular Marker Analysis
2.5. Agronomic Traits Evaluation
3. Results
3.1. Evaluation of the Resistance of Stripe Rust
3.2. Chromosome Constitution and Structural Variation
3.3. Intron-Targeting Marker Analyses
3.4. Agronomic Performance of SN21171 and SN52684
3.5. Discussion
4. Conclusions
Supplementary Materials
Author Contributions
Funding
Data Availability Statement
Conflicts of Interest
References
- Chen, X.M. Epidemiology and control of stripe rust (Puccinia striiformis f. sp. tritici) on wheat. Can. J. Plant Pathol. 2005, 27, 314–337. [Google Scholar] [CrossRef]
- Beddow, J.M.; Pardey, P.G.; Chai, Y.; Hurley, T.M.; Kriticos, D.J.; Braun, H.J.; Park, R.F.; Cuddy, W.S.; Yonow, T. Research investment implications of shifts in the global geography of wheat stripe rust. Nat. Plants 2015, 1, 15132. [Google Scholar] [CrossRef] [PubMed]
- Wellings, C.R. Global status of stripe rust: A review of historical and current threats. Euphytica 2011, 179, 129–141. [Google Scholar] [CrossRef]
- Chen, W.Q.; Wu, L.R.; Liu, T.G.; Xu, S.C.; Jin, S.L.; Peng, Y.L.; Wang, B.T. Race dynamics, diversity, and virulence evolution in Puccinia striiformis f. sp. tritici, the causal agent of wheat stripe rust in China from 2003 to 2007. Plant Dis. 2009, 93, 1093–1101. [Google Scholar] [CrossRef] [PubMed]
- Ma, Z.H. Researches and control of wheat stripe rust in China. J. Plant Prot. 2018, 45, 1–6. (In Chinese) [Google Scholar] [CrossRef]
- Wan, A.M.; Chen, X.M.; He, Z.H. Wheat stripe rust in China. Aust. J. Agric. Res. 2007, 58, 605–619. [Google Scholar] [CrossRef]
- Huang, L.; Xiao, X.Z.; Liu, B.; Gao, L.; Gong, G.S.; Chen, W.Q.; Zhang, M.; Liu, T.G. Identification of stripe rust resistance genes in common wheat cultivars from the Huang-Huai-Hai region of China. Plant Dis. 2020, 104, 1763–1770. [Google Scholar] [CrossRef]
- Ni, F.; Zheng, Y.; Liu, X.; Yu, Y.; Zhang, G.; Epstein, L.; Mao, X.; Wu, J.; Yuan, C.; Lv, B.; et al. Sequencing trait-associated mutations to clone wheat rust-resistance gene YrNAM. Nat. Commun. 2023, 14, 4353. [Google Scholar] [CrossRef]
- Marchal, C.; Zhang, J.P.; Zhang, P.; Fenwick, P.; Steuernagel, B.; Adamski, N.M.; Boyd, L.; McIntosh, R.; Wulff, B.B.H.; Berry, S.; et al. BED-domain-containing immune receptors confer diverse resistance spectra to yellow rust. Nat. Plants 2018, 4, 662–668. [Google Scholar] [CrossRef] [PubMed]
- Zhang, C.Z.; Huang, L.; Zhang, H.F.; Hao, Q.Q.; Lyu, B.; Wang, M.N.; Epstein, L.; Liu, M.; Kou, C.L.; Qi, J.; et al. An ancestral NB-LRR with duplicated 3’UTRs confers stripe rust resistance in wheat and barley. Nat. Commun. 2019, 10, 4023. [Google Scholar] [CrossRef] [PubMed]
- Wang, H.; Zou, S.H.; Li, Y.W.; Lin, F.Y.; Tang, D.Z. An ankyrin-repeat and WRKY-domain-containing immune receptor confers stripe rust resistance in wheat. Nat. Commun. 2020, 11, 1353. [Google Scholar] [CrossRef] [PubMed]
- Krattinger, S.G.; Lagudah, E.S.; Spielmeyer, W.; Singh, R.P.; Huerta-Espino, J.; McFadden, H.; Bossolini, E.; Selter, L.L.; Keller, B. A putative ABC transporter confers durable resistance to multiple fungal pathogens in wheat. Science 2009, 323, 1360–1363. [Google Scholar] [CrossRef]
- Moore, J.W.; Herrera-Foessel, S.; Lan, C.; Schnippenkoetter, W.; Ayliffe, M.; Huerta-Espino, J.; Lillemo, M.; Viccars, L.; Milne, R.; Periyannan, S.; et al. A recently evolved hexose transporter variant confers resistance to multiple pathogens in wheat. Nat. Genet. 2015, 47, 1494–1498. [Google Scholar] [CrossRef]
- Fu, D.L.; Uauy, C.; Distelfeld, A.; Blechl, A.; Epstein, L.; Chen, X.M.; Sela, H.; Fahima, T.; Dubcovsky, J. A kinase-START gene confers temperature-dependent resistance to wheat stripe rust. Science 2009, 323, 1357–1360. [Google Scholar] [CrossRef]
- Klymiuk, V.; Yaniv, E.; Huang, L.; Raats, D.; Fatiukha, A.; Chen, S.; Feng, L.; Frenkel, Z.; Krugman, T.; Lidzbarsky, G.; et al. Cloning of the wheat Yr15 resistance gene sheds light on the plant tandem kinase-pseudokinase family. Nat. Commun. 2018, 9, 3735. [Google Scholar] [CrossRef] [PubMed]
- Jiao, M.; Tan, C.L.; Wang, L.; Guo, J.; Zhang, H.C.; Kang, Z.S.; Guo, J. Basidiospores of Puccinia striiformis f. sp. tritici succeed to infect barberry, while Urediniospores are blocked by non-host resistance. Protoplasma 2017, 254, 2237–2246. [Google Scholar] [CrossRef] [PubMed]
- McIntosh, R.; Mu, J.; Han, D.; Kang, Z. Wheat stripe rust resistance gene Yr24/Yr26: A retrospective review. Crop J. 2018, 6, 321–329. [Google Scholar] [CrossRef]
- Li, J.B.; Li, J.; Dundas, I.; Dong, C.M.; Li, G.R.; Trethowan, R.; Yang, Z.J.; Hoxha, S.; Zhang, P. Identification and characterization of a new stripe rust resistance gene Yr83 on rye chromosome 6R in wheat. Theor. Appl. Genet. 2020, 133, 1095–1107. [Google Scholar] [CrossRef]
- Zhang, R.Q.; Lu, C.T.; Meng, X.R.; Fan, Y.L.; Du, J.; Liu, R.R.; Feng, Y.G.; Xing, L.P.; Cápal, P.; Holušová, K.; et al. Fine mapping of powdery mildew and stripe rust resistance genes Pm5V/Yr5V transferred from Dasypyrum villosum into wheat without yield penalty. Theor. Appl. Genet. 2022, 135, 3629–3642. [Google Scholar] [CrossRef] [PubMed]
- Liu, J.; Chang, Z.J.; Zhang, X.J.; Yang, Z.J.; Li, X.; Jia, J.Q.; Zhan, H.X.; Guo, H.J.; Wang, J.M. Putative Thinopyrum intermedium-derived stripe rust resistance gene Yr50 maps on wheat chromosome arm 4BL. Theor. Appl. Genet. 2013, 126, 265–274. [Google Scholar] [CrossRef] [PubMed]
- Hou, L.Y.; Jia, J.Q.; Zhang, X.J.; Li, X.; Yang, Z.J.; Ma, J.; Guo, H.J.; Zhan, H.X.; Qiao, L.Y.; Chang, Z.J. Molecular mapping of the stripe rust resistance gene Yr69 on wheat chromosome 2AS. Plant Dis. 2016, 100, 1717–1724. [Google Scholar] [CrossRef] [PubMed]
- Jia, H.W.; Feng, H.; Yang, G.T.; Li, H.W.; Fu, S.L.; Li, B.; Li, Z.S.; Zheng, Q. Establishment and identification of six wheat–Thinopyrum ponticum disomic addition lines derived from partial amphiploid Xiaoyan 7430. Theor. Appl. Genet. 2022, 135, 3277–3291. [Google Scholar] [CrossRef] [PubMed]
- Wang, S.W.; Wang, C.Y.; Feng, X.B.; Zhao, J.X.; Deng, P.C.; Wang, Y.J.; Zhang, H.; Liu, X.L.; Li, T.D.; Chen, C.H.; et al. Molecular cytogenetics and development of St-chromosome-specific molecular markers of novel stripe rust resistant wheat–Thinopyrum intermedium and wheat–Thinopyrum ponticum substitution lines. BMC Plant Biol. 2022, 22, 111. [Google Scholar] [CrossRef] [PubMed]
- Roelfs, A.; Singh, R.; Saari, E. Rust Diseases of Wheat: Concepts and Methods of Disease Management; CIMMYT: Texcoco, Mexico, 1992; pp. 42–43. [Google Scholar]
- Li, M.Z.; Wang, Y.Z.; Liu, X.J.; Li, X.F.; Wang, H.G.; Bao, Y.G. Molecular cytogenetic identification of a novel wheat–Thinopyrum ponticum 1Js (1B) substitution line resistant to powdery mildew and leaf rust. Front. Plant Sci. 2021, 12, 727734. [Google Scholar] [CrossRef] [PubMed]
- Huang, X.Y.; Zhu, M.Q.; Zhuang, L.F.; Zhang, S.Y.; Wang, J.J.; Chen, X.J.; Wang, D.R.; Chen, J.Y.; Bao, Y.G.; Guo, J.; et al. Structural chromosome rearrangements polymorphisms identified in Chinese wheat cultivars by high-resolution multiplex oligonucleotide FISH. Theor. Appl. Genet. 2018, 131, 1967–1986. [Google Scholar] [CrossRef] [PubMed]
- Zhang, X.D.; Wei, X.; Xiao, J.; Yuan, C.X.; Wu, Y.F.; Cao, A.Z.; Xing, L.P.; Chen, P.D.; Zhang, S.Z.; Wang, X.E.; et al. Whole genome development of intron targeting (IT) markers specific for Dasypyrum villosum chromosomes based on next-generation sequencing technology. Mol. Breed. 2017, 37, 115. [Google Scholar] [CrossRef]
- Zheng, Q.; Luo, Q.L.; Niu, Z.X.; Li, H.W.; Li, B.; Xu, S.S.; Li, Z.S. Variation in chromosome constitution of the Xiaoyan series partial amphiploids and its relationship to stripe rust and stem rust resistance. J. Genet. Genom. 2015, 42, 657–660. [Google Scholar] [CrossRef] [PubMed]
- Hao, C.; Jiao, C.; Hou, J.; Li, T.; Liu, H.; Wang, Y.; Zheng, J.; Liu, H.; Bi, Z.; Xu, F.; et al. Resequencing of 145 landmark cultivars reveals asymmetric sub-genome selection and strong founder genotype effects on wheat breeding in China. Mol. Plant 2020, 13, 1733–1751. [Google Scholar] [CrossRef]
- Hu, L.J.; Li, G.R.; Zeng, Z.X.; Chang, Z.J.; Liu, C.; Yang, Z.J. Molecular characterization of a wheat–Thinopyrum ponticum partial amphiploid and its derived substitution line for resistance to stripe rust. J. Appl. Genet. 2011, 52, 279–285. [Google Scholar] [CrossRef] [PubMed]
- Niu, J.; Ma, S.; Zheng, S.; Zhang, C.; Lu, Y.; Si, Y.; Tian, S.; Shi, X.; Liu, X.; Naeem, M.K.; et al. Whole-genome sequencing of diverse wheat accessions uncovers genetic changes during modern breeding in China and the United States. Plant Cell 2023, 35, 4199–4216. [Google Scholar] [CrossRef] [PubMed]
- Guo, X.; Huang, Y.; Wang, J.; Fu, S.; Wang, C.; Wang, M.; Zhou, C.; Hu, X.; Wang, T.; Yang, W.; et al. Development and cytological characterization of wheat–Thinopyrum intermedium translocation lines with novel stripe rust resistance gene. Front. Plant Sci. 2023, 14, 1135321. [Google Scholar] [CrossRef]
- Han, B.; Wang, X.; Sun, Y.; Kang, X.; Zhang, M.; Luo, J.; Han, H.; Zhou, S.; Lu, Y.; Liu, W.; et al. Pre-breeding of spontaneous Robertsonian translocations for density planting architecture by transferring Agropyron cristatum chromosome 1P into wheat. Theor. Appl. Genet. 2024, 137, 110. [Google Scholar] [CrossRef] [PubMed]
- Yang, G.T.; Boshoff, W.H.P.; Li, H.W.; Pretorius, Z.A.; Luo, Q.L.; Li, B.; Li, Z.S.; Zheng, Q. Chromosomal composition analysis and molecular marker development for the novel Ug99-resistant wheat–Thinopyrum ponticum translocation line WTT34. Theor. Appl. Genet. 2021, 134, 1587–1599. [Google Scholar] [CrossRef] [PubMed]
- An, D.; Ma, P.; Zheng, Q.; Fu, S.; Li, L.; Han, F.; Han, G.; Wang, J.; Xu, Y.; Jin, Y.; et al. Development and molecular cytogenetic identification of a new wheat–rye 4R chromosome disomic addition line with resistances to powdery mildew, stripe rust and sharp eyespot. Theor. Appl. Genet. 2019, 132, 257–272. [Google Scholar] [CrossRef] [PubMed]
- Wang, J.; Liu, Y.L.; Su, H.D.; Guo, X.G.; Han, F.P. Centromere structure and function analysis in wheat–rye translocation lines. Plant J. 2017, 91, 199–207. [Google Scholar] [CrossRef] [PubMed]
- Xing, L.; Yuan, L.; Lv, Z.; Wang, Q.; Yin, C.; Huang, Z.; Liu, J.; Cao, S.; Zhang, R.; Chen, P.; et al. Long-range assembly of sequences helps to unravel the genome structure and small variation of the wheat–Haynaldia villosa translocated chromosome 6VS.6AL. Plant Biotechnol. J. 2021, 19, 1567–1578. [Google Scholar] [CrossRef]





Disclaimer/Publisher’s Note: The statements, opinions and data contained in all publications are solely those of the individual author(s) and contributor(s) and not of MDPI and/or the editor(s). MDPI and/or the editor(s) disclaim responsibility for any injury to people or property resulting from any ideas, methods, instructions or products referred to in the content. |
© 2024 by the authors. Licensee MDPI, Basel, Switzerland. This article is an open access article distributed under the terms and conditions of the Creative Commons Attribution (CC BY) license (https://creativecommons.org/licenses/by/4.0/).
Share and Cite
Yang, G.; Han, Y.; Yin, H.; Li, X.; Wang, H.; Bao, Y. Cytogenetic Identification and Molecular Marker Analysis of Two Wheat–Thinopyrum ponticum Translocations with Stripe Rust Resistance. Plants 2025, 14, 27. https://doi.org/10.3390/plants14010027
Yang G, Han Y, Yin H, Li X, Wang H, Bao Y. Cytogenetic Identification and Molecular Marker Analysis of Two Wheat–Thinopyrum ponticum Translocations with Stripe Rust Resistance. Plants. 2025; 14(1):27. https://doi.org/10.3390/plants14010027
Chicago/Turabian StyleYang, Guotang, Yi Han, Huihui Yin, Xingfeng Li, Honggang Wang, and Yinguang Bao. 2025. "Cytogenetic Identification and Molecular Marker Analysis of Two Wheat–Thinopyrum ponticum Translocations with Stripe Rust Resistance" Plants 14, no. 1: 27. https://doi.org/10.3390/plants14010027
APA StyleYang, G., Han, Y., Yin, H., Li, X., Wang, H., & Bao, Y. (2025). Cytogenetic Identification and Molecular Marker Analysis of Two Wheat–Thinopyrum ponticum Translocations with Stripe Rust Resistance. Plants, 14(1), 27. https://doi.org/10.3390/plants14010027
