Cloning, Expression, and Functional Analysis of the MYB Transcription Factor SlMYB86-like in Tomato
Abstract
1. Introduction
2. Results
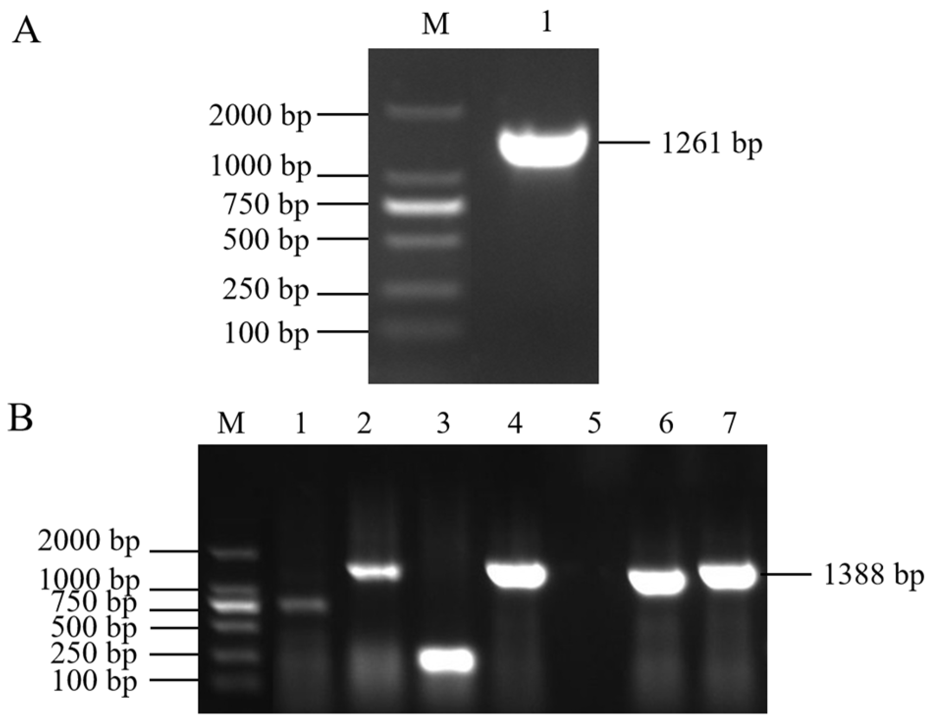
2.1. Cloning of Tomato SlMYB86-like and Gene Structure Analysis
2.2. Bioinformatics Analysis of the Tomato SlMYB86-like Gene
2.3. Analysis of the Tissue-Specific Expression Patterns of SlMYB86-like in Tomato
2.4. Analysis of SlMYB86-like Gene Expression under Different Types of Stress in Tomato
2.5. Functional Analysis of the Role of SlMYB86-like in Regulating the Resistance of Tomato to Bacterial Wilt
3. Discussion
4. Materials and Methods
4.1. Plant Materials
4.2. Methods
4.2.1. Extraction of Total RNA and cDNA Synthesis
4.2.2. Cloning of the Tomato SlMYB86-like Gene
4.2.3. Bioinformatics Analysis of the Tomato SlMYB86-like Gene
4.2.4. qRT-PCR Analysis of SlMYB86-like in Different Samples
4.2.5. VIGS of the Tomato SlMYB86-like Gene
5. Conclusions
Supplementary Materials
Author Contributions
Funding
Data Availability Statement
Conflicts of Interest
References
- Ren, M.H.; Zhang, J.Y.; Cui, X.D.; Chen, R.H.; Liu, Q.G. Diversity of Ralstonia solanacearum strains from tomato in the south of Jiangxi Province. J. South China Agri. Univ. 2022, 43, 67–76. [Google Scholar] [CrossRef]
- Qiu, Z.K.; Yan, S.S.; Xia, B.; Jiang, J.; Yu, B.W.; Lei, J.J.; Chen, C.M.; Chen, L.; Yang, Y.; Wang, Y.Q.; et al. The eggplant transcription factor MYB44 enhances resistance to bacterial wilt by activating the expression of spermidine synthase. J. Exp. Bot. 2019, 70, 5343–5354. [Google Scholar] [CrossRef]
- Wang, L.; Gao, Y.; Jiang, N.H.; Yan, J.; Lin, W.P.; Cai, K.Z. Silicon controls bacterial wilt disease in tomato plants and inhibits the virulence-related gene expression of Ralstonia solanacearum. Int. J. Mol. Sci. 2022, 23, 6965. [Google Scholar] [CrossRef]
- Shi, J.L.; Shui, D.J.; Su, S.W.; Xiong, Z.L.; Zai, W.S. Gene enrichment and co-expression analysis shed light on transcriptional responses to Ralstonia solanacearum in tomato. BMC Genom. 2023, 24, 159. [Google Scholar] [CrossRef]
- Dong, H.H.; Xu, X.; Gao, R.X.; Li, Y.Q.; Li, A.Z.; Yao, Q.; Zhu, H.H. Myxococcus xanthus R31 suppresses tomato bacterial wilt by inhibiting the pathogen Ralstonia solanacearum with secreted proteins. Front. Microbiol. 2022, 12, 801091. [Google Scholar] [CrossRef] [PubMed]
- Jaspers, P.; Kangasjärvi, J. Reactive oxygen species in abiotic stress signaling. Physiol. Plant 2010, 138, 405–413. [Google Scholar] [CrossRef] [PubMed]
- Duan, T.Y.; Huang, L.Y.; Wang, L.; Li, J. Research progress of MYB transcription factors in the field of secondary metabolism of medicinal plants. Mol. Plant Breed. 2020, 18, 425–432. [Google Scholar] [CrossRef]
- Chen, N.; Pan, L.J.; Yang, Z.; Su, M.W.; Xu, J.; Jiang, X.; Yin, X.Z.; Wang, T.; Wan, F.F.; Chi, X.Y. A MYB-related transcription factor from peanut, AhMYB30, improves freezing and salt stress tolerance in transgenic Arabidopsis through both DREB/CBF and ABA-signaling pathways. Front. Plant Sci. 2023, 14, 1136626. [Google Scholar] [CrossRef]
- Wang, X.Y.; Zhao, S.S.; Zhou, R.J.; Liu, Y.L.; Guo, L.L.; Hu, H.L. Identification of Vitis vinifera MYB transcription factors and their response against grapevine berry inner necrosis virus. BMC Plant Biol. 2023, 23, 279. [Google Scholar] [CrossRef]
- Hu, Z.W.; Zhong, X.; Zhang, H.R.; Luo, X.C.; Wang, Y.X.; Wang, Y.; Liu, T.; Zhang, Y.; Wang, X.P.; An, H.L.; et al. GhMYB18 confers Aphis gossypii Glover resistance through regulating the synthesis of salicylic acid and flavonoids in cotton plants. Plant Cell Rep. 2023, 42, 355–369. [Google Scholar] [CrossRef] [PubMed]
- Lu, M.; Chen, Z.T.; Dang, Y.Y.; Li, J.L.; Wang, J.Y.; Zheng, H.X.; Li, S.M.; Wang, X.M.; Du, X.H.; Sui, N. Identification of the MYB gene family in Sorghum bicolor and functional analysis of SbMYBAS1 in response to salt stress. Plant Mol. Biol. 2023, 113, 249–264. [Google Scholar] [CrossRef] [PubMed]
- Paz-Ares, J.; Ghosal, D.; Wienand, U.; Peterson, P.A.; Saedler, H. The regulatory c1 locus of Zea mays encodes a protein with homology to myb proto-oncogene products and with structural similarities to transcriptional activators. EMBO J. 1987, 6, 3553–3558. [Google Scholar] [CrossRef] [PubMed]
- Du, H.; Yang, S.S.; Liang, Z.; Feng, B.R.; Liu, L.; Huang, Y.B.; Tang, Y.X. Genome-wide analysis of the MYB transcription factor superfamily in soybean. BMC Plant Biol. 2012, 12, 106. [Google Scholar] [CrossRef]
- Riechmann, J.L.; Heard, J.; Martin, G.; Reuber, L.; Jiang, C.; Keddie, J.; Adam, L.; Pineda, O.; Ratcliffe, O.J.; Samaha, R.R.; et al. Arabidopsis transcription factors: Genome-wide comparative analysis among eukaryotes. Science 2000, 290, 2105–2110. [Google Scholar] [CrossRef] [PubMed]
- Wilkins, O.; Nahal, H.; Foong, J.; Provart, N.J.; Campbell, M.M. Expansion and diversification of the Populus R2R3-MYB family of transcription factors. Plant Physiol. 2009, 149, 981–993. [Google Scholar] [CrossRef] [PubMed]
- Chen, Y.L.; Yang, Z.E.; Xiao, Y.Q.; Wang, P.; Wang, Y.; Ge, X.Y.; Zhang, C.J.; Zhang, X.L.; Li, F.G. Genome-wide analysis of the NF-YB gene family in Gossypium hirsutum L. and characterization of the role of GhDNF-YB22 in embryogenesis. Int. J. Mol. Sci. 2018, 19, 483. [Google Scholar] [CrossRef] [PubMed]
- Li, Z.J.; Peng, R.H.; Tian, Y.S.; Han, H.J.; Xu, J.; Yao, Q.H. Genome-wide identification and analysis of the MYB transcription factor superfamily in Solanum lycopersicum. Plant Cell Physiol. 2016, 57, 1657–1677. [Google Scholar] [CrossRef]
- Jiao, B.; Zhao, X.; Lu, W.X.; Guo, L.; Luo, K.M. The R2R3 MYB transcription factor MYB189 negatively regulates secondary cell wall biosynthesis in Populus. Tree Physiol. 2019, 39, 1187–1200. [Google Scholar] [CrossRef] [PubMed]
- Wang, S.S.; Shi, M.Y.; Zhang, Y.; Xie, X.B.; Sun, P.P.; Fang, C.B.; Zhao, J. FvMYB24, a strawberry R2R3-MYB transcription factor, improved salt stress tolerance in transgenic Arabidopsis. Biochem. Biophys. Res. Commun. 2021, 569, 93–99. [Google Scholar] [CrossRef]
- Liu, W.D.; Wang, T.H.; Wang, Y.; Liang, X.Q.; Han, J.L.; Han, D.J. MbMYBC1, a M. baccata MYB transcription factor, contribute to cold and drought stress tolerance in transgenic Arabidopsis. Front. Plant Sci. 2023, 14, 1141446. [Google Scholar] [CrossRef]
- Cao, W.L.; Chu, R.Z.; Zhang, Y.; Luo, J.; Su, Y.Y.; Xie, L.J.; Zhang, H.S.; Wang, J.F.; Bao, Y.M. OsJAMyb, a R2R3-type MYB transcription factor, enhanced blast resistance in transgenic rice. Physiol. Mol. Plant Pathol. 2015, 92, 154–160. [Google Scholar] [CrossRef]
- Jiang, C.Y.; Wang, D.; Zhang, J.; Xu, Y.; Zhang, C.H.; Zhang, J.X.; Wang, X.P.; Wang, Y.J. VqMYB154 promotes polygene expression and enhances resistance to pathogens in Chinese wild grapevine. Hortic. Res. 2021, 8, 151. [Google Scholar] [CrossRef]
- Liu, T.L.; Chen, T.Z.; Kan, J.L.; Yao, Y.; Guo, D.S.; Yang, Y.W.; Ling, X.T.; Wang, J.Y.; Zhang, B.L. The GhMYB36 transcription factor confers resistance to biotic and abiotic stress by enhancing PR1 gene expression in plants. Plant Biotechnol. J. 2022, 20, 722–735. [Google Scholar] [CrossRef]
- Shriti, S.; Paul, S.; Das, S. Overexpression of CaMYB78 transcription factor enhances resistance response in chickpea against Fusarium oxysporum and negatively regulates anthocyanin biosynthetic pathway. Protoplasma 2023, 260, 589–605. [Google Scholar] [CrossRef]
- Liu, Y.N.; Cao, Y.; Wang, S.; Du, M.X.; Zheng, L.; Chen, S.C.; Zou, X.P. Expression analysis of CsMYB41 and CsMYB63 genes in response to Citrus Canker. Acta Hort. Sin. 2023, 50, 495–507. [Google Scholar] [CrossRef]
- Shan, T.L.; Hong, Y.T.; Du, L.P.; Xu, H.J.; Wei, X.N.; Zhang, Z.Y. Development and characterization of TaMYB86-overexpressing transgenic wheat lines with resistance to common root rot. Acta Agron. Sin. 2016, 42, 1429–1436. [Google Scholar] [CrossRef]
- Gu, K.D.; Zhang, Q.Y.; Yu, J.Q.; Wang, J.H.; Zhang, F.J.; Wang, C.K.; Zhao, Y.W.; Sun, C.H.; You, C.X.; Hu, D.G.; et al. R2R3-MYB transcription factor MdMYB73 confers increased resistance to the fungal pathogen Botryosphaeria dothidea in apples via the salicylic acid pathway. J. Agric. Food. Chem. 2021, 69, 447–458. [Google Scholar] [CrossRef]
- Zhu, X.; Li, X.; He, Q.; Guo, D.; Liu, C.; Cao, J.; Wu, Z.; Kang, Z.; Wang, X. TaMYB29: A novel R2R3-MYB transcription factor involved in wheat defense against stripe rust. Front. Plant Sci. 2021, 12, 783388. [Google Scholar] [CrossRef] [PubMed]
- Zhu, Y.T.; Hu, X.Q.; Wang, P.; Wang, H.W.; Ge, X.Y.; Li, F.G.; Hou, Y.X. GhODO1, an R2R3-type MYB transcription factor, positively regulates cotton resistance to Verticillium dahliae via the lignin biosynthesis and jasmonic acid signaling pathway. Int. J. Biol. Macromol. 2022, 201, 580–591. [Google Scholar] [CrossRef] [PubMed]
- Gong, Z.H.; Luo, Y.Q.; Zhang, W.F.; Jian, W.; Zhang, L.; Gao, X.L.; Hu, X.W.; Yuan, Y.J.; Wu, M.B.; Xu, X.; et al. A SlMYB75-centred transcriptional cascade regulates trichome formation and sesquiterpene accumulation in tomato. J. Exp. Bot. 2021, 72, 3806–3820. [Google Scholar] [CrossRef] [PubMed]
- Chen, Y.N.; Li, L.; Tang, B.Y.; Wu, T.; Chen, G.P.; Xie, Q.L.; Hu, Z.L. Silencing of SlMYB55 affects plant flowering and enhances tolerance to drought and salt stress in tomato. Plant Sci. 2022, 316, 111166. [Google Scholar] [CrossRef]
- Cui, J.; Jiang, N.; Zhou, X.X.; Hou, X.; Yang, G.L.; Meng, J.; Luan, Y.S. Tomato MYB49 enhances resistance to Phytophthora infestans and tolerance to water deficit and salt stress. Planta 2018, 248, 1487–1503. [Google Scholar] [CrossRef] [PubMed]
- Wang, J.Y.; Chen, C.; Wu, C.Z.; Meng, Q.W.; Zhuang, K.Y.; Ma, N.N. SlMYB41 positively regulates tomato thermotolerance by activating the expression of SlHSP90.3. Plant Physiol. Biochem. 2023, 204, 108106. [Google Scholar] [CrossRef] [PubMed]
- Zhang, F.; Liu, X.; Zuo, K.; Sun, X.; Tang, K. Molecular cloning and expression analysis of a novel SANT/MYB gene from Gossypium barbadense. Mol. Biol. Rep. 2011, 38, 2329–2336. [Google Scholar] [CrossRef] [PubMed]
- Wang, W.L.; Wei, Y.R.; Zheng, S.F.; Tang, Z.S.; Huang, X.Y.; Tang, X.H.; Fang, S.L.; Wang, L.F.; Cheng, H.S. Cloning and bioinformatics analysis of MYB1 gene from Macadamia integrifolia. J. South. Agric. 2020, 51, 245–254. [Google Scholar]
- Dai, P.H.; Hu, Z.Y.; Li, X.Q.; Lei, J.F.; Liu, C.; Liu, X.D.; Li, Y. Cloning and functional analysis of GhMYB6 gene related to cotton Verticillium wilt resistance. J. South. Agric. 2022, 53, 3020–3027. [Google Scholar]
- Luo, D.; Raza, A.; Cheng, Y.; Zou, X.; Lv, Y. Cloning and functional characterization of cold-inducible MYB-like 17 transcription factor in rapeseed (Brassica napus L.). Int. J. Mol. Sci. 2023, 24, 9514. [Google Scholar] [CrossRef] [PubMed]
- Ma, X.; Ran, J.; Mei, G.; Hou, X.; You, X. Cloning and functional analysis of NoMYB60 gene involved in flavonoid biosynthesis in watercress (Nasturtium officinale R. Br.). Genes 2022, 13, 2109. [Google Scholar] [CrossRef]
- Hu, M.Y.; Yang, Y.; Guo, Y.D.; Zhang, X.C. Functional analysis of SlMYB96 gene in tomato under cold stress. Biotechnol. Bull. 2023, 39, 236–245. [Google Scholar] [CrossRef]
- Yang, D.W.; Deng, Y.; Zhang, C.; Luan, M.B.; Huang, S.Q.; Li, J.J.; Chang, L.; Pan, G.; Tang, H.J.; Li, D.F. Gene cloning and expression analysis of HcMYB3 in kenaf. Plant Fiber Sci. China 2022, 44, 201–210. [Google Scholar]
- Shi, C.C.; Chen, P.; Jiao, Q.Z.; Liu, Y.P.; Liu, H.L. Cloning and function analysis of MaMYB114 gene in grape hyacinth. Acta Bot. Boreal-Occident. Sin. 2023, 43, 2039–2048. [Google Scholar]
- Li, T.; Zhang, X.Y.; Huang, Y.; Xu, Z.S.; Wang, F.; Xiong, A.S. An R2R3-MYB transcription factor, SlMYB28, involved in the regulation of TYLCV infection in tomato. Sci. Hortic. 2018, 237, 192–200. [Google Scholar] [CrossRef]
- Liu, C.X.; Zhang, Y.Y.; Tan, Y.X.; Zhao, T.T.; Xu, X.Y.; Yang, H.H.; Li, J.F. CRISPR/Cas9-mediated SlMYBS2 mutagenesis reduces tomato resistance to Phytophthora infestans. Int. J. Mol. Sci. 2021, 22, 11423. [Google Scholar] [CrossRef]
- Yin, Z.Y.; Liu, J.Z.; Zhao, H.P.; Chu, X.M.; Liu, H.Q.; Ding, X.Y.; Lu, C.C.; Wang, X.Y.; Zhao, X.Y.; Li, Y.; et al. SlMYB1 regulates the accumulation of lycopene, fruit shape, and resistance to Botrytis cinerea in tomato. Hortic. Res. 2022, 10, uhac282. [Google Scholar] [CrossRef] [PubMed]
- Raffaele, S.; Rivas, S. Regulate and be regulated: Integration of defense and other signals by the AtMYB30 transcription factor. Front. Plant Sci. 2013, 4, 98. [Google Scholar] [CrossRef] [PubMed]
- Liu, M.Y.; Zhang, Z.; Xu, Z.X.; Wang, L.N.; Chen, C.H.; Ren, Z.H. Overexpression of SlMYB75 enhances resistance to Botrytis cinerea and prolongs fruit storage life in tomato. Plant Cell Rep. 2021, 40, 43–58. [Google Scholar] [CrossRef] [PubMed]
- Hawku, M.D.; He, F.X.; Bai, X.X.; Islam, M.A.; Huang, X.L.; Kang, Z.S.; Guo, J. A R2R3 MYB transcription factor, TaMYB391, is positively involved in wheat resistance to Puccinia striiformis f. sp. tritici. Int. J. Mol. Sci. 2022, 23, 14070. [Google Scholar] [CrossRef] [PubMed]
- Livak, K.J.; Schmittgen, T.D. Analysis of relative gene expression data using realtime quantitative PCR and the 2−ΔΔCt Method. Methods 2001, 25, 402–408. [Google Scholar] [CrossRef] [PubMed]
- Chen, N.; Shao, Q.; Xiong, Z.L. Isolation and characterization of a pathogenesis-related protein 1 (SlPR1) gene with induced expression in tomato (Solanum lycopersicum) during Ralstonia solanacearum infection. Gene 2023, 855, 147105. [Google Scholar] [CrossRef] [PubMed]












| Tools | Website |
|---|---|
| NCBI-ORF | https://www.ncbi.nlm.nih.gov/orffinder/ (accessed on 11 May 2023) |
| NCBI-PROGRAM | https://blast.ncbi.nlm.nih.gov/Blast.cgi?PROGRAM=blastp&PAGE_TYPE=BlastSearch&LINK_LOC=blasthome (accessed on 11 May 2023) |
| SMART | https://smart.embl.de/smart/set_mode.cgi?NORMAL=1 (accessed on 11 May 2023) |
| PlantCARE | https://bioinformatics.psb.ugent.be/webtools/plantcare/html/ (accessed on 31 January 2024) |
| EXPASY-ProtParam | https://web.expasy.org/protparam/ (accessed on 11 May 2023) |
| EXPASY-ProtScale | https://web.expasy.org/protscale (accessed on 11 May 2023) |
| SOPMA | https://npsa-prabi.ibcp.fr/cgi-bin/npsa_automat.pl?page=%20npsa_sopma.html (accessed on 11 May 2023) |
| SWISS-MODEL | https://swissmodel.expasy.org/ (accessed on 11 May 2023) |
| SIGNALP 6.0 | https://services.healthtech.dtu.dk/service.php?SignalP (accessed on 11 May 2023) |
| TMHMM Server v.2.0 | https://services.healthtech.dtu.dk/service.php?TMHMM-2.0 (accessed on 11 May 2023) |
| PredictProtein | https://predictprotein.org/home (accessed on 30 January 2024) |
Disclaimer/Publisher’s Note: The statements, opinions and data contained in all publications are solely those of the individual author(s) and contributor(s) and not of MDPI and/or the editor(s). MDPI and/or the editor(s) disclaim responsibility for any injury to people or property resulting from any ideas, methods, instructions or products referred to in the content. |
© 2024 by the authors. Licensee MDPI, Basel, Switzerland. This article is an open access article distributed under the terms and conditions of the Creative Commons Attribution (CC BY) license (https://creativecommons.org/licenses/by/4.0/).
Share and Cite
Chen, N.; Zhan, W.; Shao, Q.; Liu, L.; Lu, Q.; Yang, W.; Que, Z. Cloning, Expression, and Functional Analysis of the MYB Transcription Factor SlMYB86-like in Tomato. Plants 2024, 13, 488. https://doi.org/10.3390/plants13040488
Chen N, Zhan W, Shao Q, Liu L, Lu Q, Yang W, Que Z. Cloning, Expression, and Functional Analysis of the MYB Transcription Factor SlMYB86-like in Tomato. Plants. 2024; 13(4):488. https://doi.org/10.3390/plants13040488
Chicago/Turabian StyleChen, Na, Wenwen Zhan, Qin Shao, Liangliang Liu, Qineng Lu, Weihai Yang, and Zhiqun Que. 2024. "Cloning, Expression, and Functional Analysis of the MYB Transcription Factor SlMYB86-like in Tomato" Plants 13, no. 4: 488. https://doi.org/10.3390/plants13040488
APA StyleChen, N., Zhan, W., Shao, Q., Liu, L., Lu, Q., Yang, W., & Que, Z. (2024). Cloning, Expression, and Functional Analysis of the MYB Transcription Factor SlMYB86-like in Tomato. Plants, 13(4), 488. https://doi.org/10.3390/plants13040488
