Synthesis and Degradation of the Phytohormone Indole-3-Acetic Acid by the Versatile Bacterium Paraburkholderia xenovorans LB400 and Its Growth Promotion of Nicotiana tabacum Plant
Abstract
1. Introduction
2. Results and Discussion
2.1. IAA Synthesis
2.1.1. P. xenovorans LB400 Possesses Genes for IAA Biosynthesis
2.1.2. Synthesis of IAA by P. xenovorans LB400
2.1.3. Synthesis of Anthranilic Acid by P. xenovorans LB400
2.1.4. P. xenovorans Expressed the ipdC Gene but Not the iaaH Gene
2.2. IAA Degradation
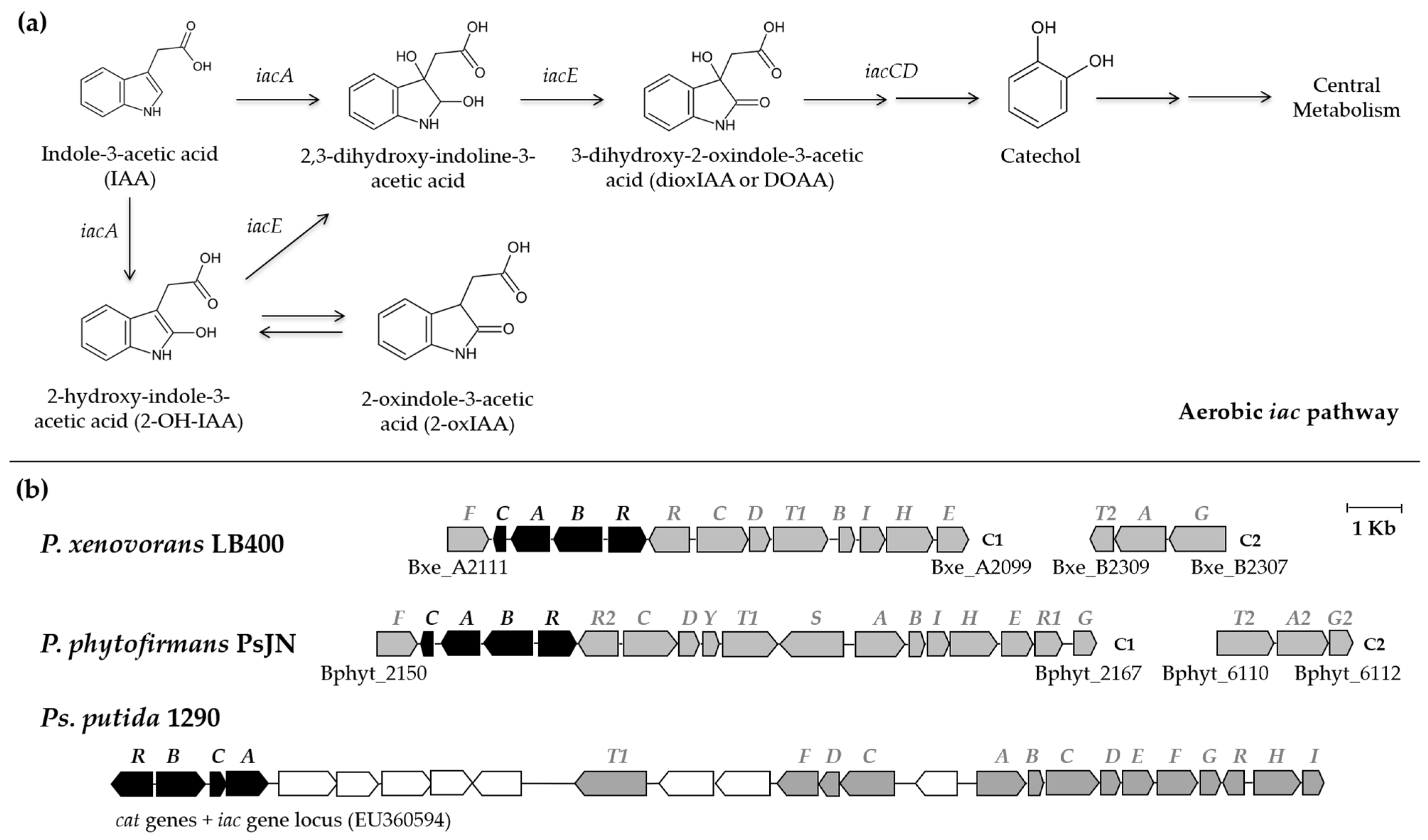
2.2.1. P. xenovorans LB400 Possesses Genes for IAA Degradation
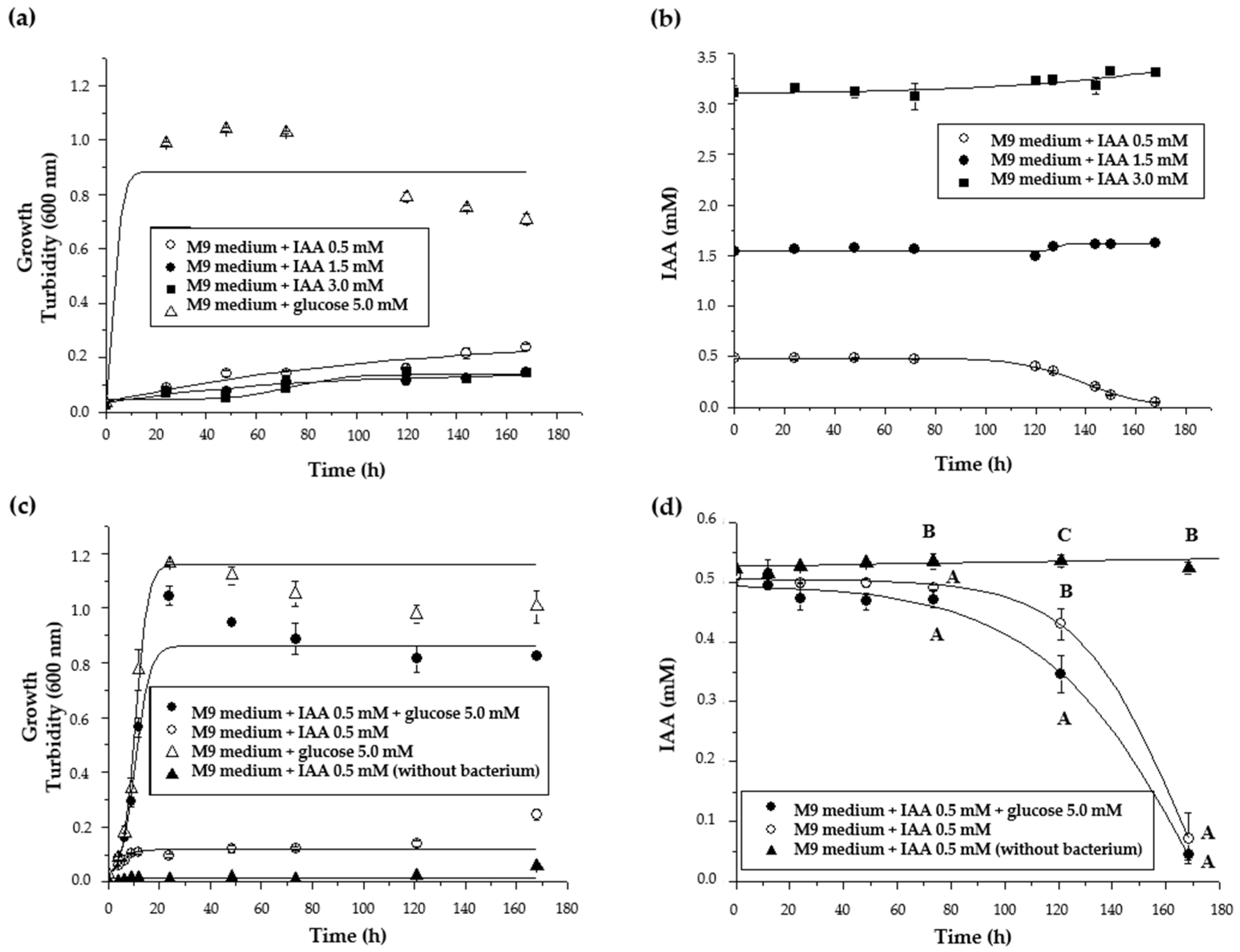
2.2.2. Degradation of IAA by P. xenovorans LB400
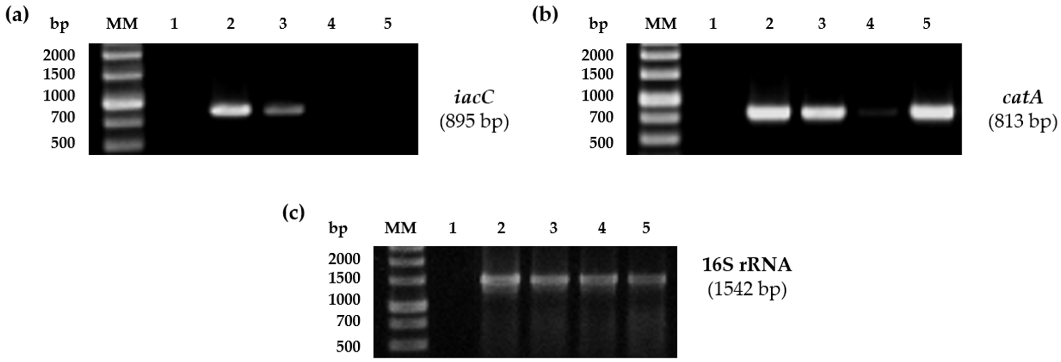
2.2.3. P. xenovorans Expressed the iacC and catA Genes
2.3. Promotion of Nicotiana Tabacum Plant Growth by P. xenovorans LB400
3. Materials and Methods
3.1. Bacterial Strains
3.2. Bioinformatic Analysis
3.3. Synthesis of IAA
3.4. Degradation of IAA
3.5. Quantification of IAA and AA
3.6. Isolation of RNA and RT-PCR
3.7. RT-PCR of Genes Associated to IAA Metabolism
3.8. Nicotiana tabacum Growth-Promoting Assay
3.9. Statistical Analysis
4. Conclusions
Supplementary Materials
Author Contributions
Funding
Data Availability Statement
Acknowledgments
Conflicts of Interest
References
- Babalola, O. Beneficial bacteria of agricultural importance. Biotechnol. Lett. 2010, 32, 1559–1570. [Google Scholar] [CrossRef] [PubMed]
- Vega-Celedón, P.; Bravo, G.; Velásquez, A.; Cid, F.P.; Valenzuela, M.; Ramírez, I.; Vasconez, I.N.; Álvarez, I.; Jorquera, M.A.; Seeger, M. Microbial diversity of psychrotolerant bacteria isolated from wild flora of Andes Mountains and Patagonia of Chile towards the selection of plant growth-promoting bacterial consortia to alleviate cold stress in plants. Microorganisms 2021, 9, 538. [Google Scholar] [CrossRef] [PubMed]
- Khoso, M.; Wagan, S.; Alam, I.; Hussain, A.; Qurban, A.; Sudipta, S.; Poudel, T.; Manghwar, H.; Liu, F. Impact of plant growth-promoting rhizobacteria (PGPR) on plant nutrition and root characteristics: Current perspective. Plant Stress 2024, 11, 10034. [Google Scholar] [CrossRef]
- Leveau, J.; Lindow, S. Utilization of the plant hormone indole-3-acetic acid for growth by Pseudomonas putida strain 1290. Appl. Environ. Microbiol. 2005, 71, 2365–2371. [Google Scholar] [CrossRef]
- Santner, A.; Calderon-Villalobos, L.; Estelle, M. Plant hormones are versatile chemical regulators of plant growth. Nat. Chem. Biol. 2009, 5, 301–307. [Google Scholar] [CrossRef]
- Lee, S.; Flores-Encarnación, M.; Contreras-Zentella, M.; Garcia-Flores, L.; Escamilla, J.; Kennedy, C. Indole-3-acetic acid biosynthesis is deficient in Gluconacetobacter diazotrophicus strains with mutations in cytochrome c biogenesis genes. J. Bacteriol. 2004, 186, 5384–5391. [Google Scholar] [CrossRef]
- Shih-Feng, F.; Jyuan-Yu, W.; Hung-Wei, C.; Yen-Yu, L.; Hsueh-Yu, L.; Jui-Yu, C. Indole-3-acetic acid: A widespread physiological code in interactions of fungi with other organisms. Plant Signal Behav. 2015, 10, e1048052. [Google Scholar]
- Patten, C.L.; Glick, B.R. Regulation of indoleacetic acid production in Pseudomonas putida GR12-2 by tryptophan and the stationary-phase sigma factor RpoS. Can. J. Microbiol. 2002, 48, 635–642. [Google Scholar] [CrossRef]
- Tang, J.; Li, Y.; Zhang, L.; Mu, J.; Jiang, Y.; Fu, H.; Zhang, Y.; Cui, H.; Yu, X.; Ye, Z. Biosynthetic pathways and functions of indole-3-acetic acid in microorganisms. Microorganisms 2023, 11, 2077. [Google Scholar] [CrossRef]
- Spaepen, S.; Vanderleyden, J. Auxin and plant-microbe interactions. CSH Perspect. Biol. 2011, 3, a001438. [Google Scholar] [CrossRef]
- Vega-Celedón, P.; Martínez, H.; Vergara, M.; Seeger, M. Biosíntesis de ácido indol-3-acético y promoción del crecimiento de plantas por bacterias. Cultiv. Trop. 2016, 37, 33–39. [Google Scholar]
- Zhang, P.; Jin, T.; Kumar, S.; Xu, J.; Shi, Q.; Liu, H.; Wang, Y. The distribution of tryptophan-dependent indole-3-acetic acid synthesis pathways in bacteria unraveled by large-scale genomic analysis. Molecules 2019, 24, 1411. [Google Scholar] [CrossRef] [PubMed]
- Balderas-Hernández, V.E.; Sabido-Ramos, A.; Silva, P.; Cabrera-Valladares, N.; Hernández-Chávez, G.; Báez-Viveros, J.L.; Martínez, A.; Bolívar, F.; Gosset, G. Metabolic engineering for improving anthranilate synthesis from glucose in Escherichia coli. Microb. Cell Fact. 2009, 8, 19. [Google Scholar] [CrossRef] [PubMed]
- Hernández-Mendoza, J.; Moreno-Medina, V.; Quiroz-Velásquez, J.; García-Olivares, J.; Mayek-Pérez, N. Efecto de diferentes concentraciones de ácido antranílico en el crecimiento del maíz. Rev. Colomb. Biotecnol. 2010, 12, 57–63. [Google Scholar]
- Aoki, Y.; Yoshida, Y.; Yoshida, M.; Kawaide, H.; Abe, H.; Natsume, M. Anthranilic acid, a spore germination inhibitor of phytopathogenic Streptomyces sp. B-9-1 causing root tumor of melon. Actinomycetologica 2005, 19, 48–54. [Google Scholar] [CrossRef]
- Leveau, J.; Gerards, S. Discovery of a bacterial gene cluster for catabolism of the plant hormone indole 3-acetic acid. FEMS Microbiol. Ecol. 2008, 65, 238–250. [Google Scholar] [CrossRef]
- Donoso, R.; Leiva-Novoa, P.; Zúñiga, A.; Timmermann, T.; Recabarren-Gajardo, G.; González, B. Biochemical and genetic bases of indole-3-acetic acid (auxin phytohormone) degradation by the plant- growth-promoting rhizobacterium Paraburkholderia phytofirmans PsJN. Appl. Environ. Microbiol. 2017, 83, e01991-16. [Google Scholar] [CrossRef]
- Laird, T.S.; Flores, N.; Leveau, J.H.J. Bacterial catabolism of indole-3-acetic acid. Appl. Microbiol. Biotechnol. 2020, 104, 9535–9550. [Google Scholar] [CrossRef]
- Pal, G.; Saxena, S.; Kumar, K.; Verma, A.; Sahu, P.K.; Pandey, A.; White, J.F.; Verma, S.K. Endophytic Burkholderia: Multifunctional roles in plant growth promotion and stress tolerance. Microbiol. Res. 2022, 265, 127201. [Google Scholar] [CrossRef]
- Bellés-Sancho, P.; Liu, Y.; Heiniger, B.; von Salis, E.; Eberl, L.; Ahrens, C.H.; Zamboni, N.; Bailly, A.; Pessi, G. A novel function of the key nitrogen-fixation activator NifA in beta-rhizobia: Repression of bacterial auxin synthesis during symbiosis. Front. Plant Sci. 2022, 13, 991548. [Google Scholar] [CrossRef]
- Chain, P.; Denef, V.; Konstantinidis, K.; Vergez, L.; Agulló, L.; Latorre, V.; Hauseri, L.; Córdova, M.; Gómez, L.; González, M.; et al. Burkholderia xenovorans LB400 harbors a multi-replicon, 9.73-Mbp genome shaped for versatility. Proc. Natl. Acad. Sci. USA 2006, 103, 15280–15287. [Google Scholar] [CrossRef] [PubMed]
- Seeger, M.; Zielinski, M.; Timmis, K.; Hofer, B. Regiospecificity of dioxygenation of di-to pentachlorobiphenyls and their degradation to chlorobenzoates by the bph-encoded catabolic pathway of Burkholderia sp. strain LB400. Appl. Environ. Microbiol. 1999, 65, 3614–3621. [Google Scholar] [CrossRef] [PubMed]
- Seeger, M.; Cámara, B.; Hofer, B. Dehalogenation, denitration, dehydroxylation, and angular attack on substituted biphenyls and related compounds by a biphenyl dioxygenase. J. Bacteriol. 2001, 183, 3548–3555. [Google Scholar] [CrossRef] [PubMed]
- Seeger, M.; González, M.; Cámara, B.; Muñoz, L.; Ponce, E.; Mejías, L.; Macayano, C.; Vásquez, Y.; Sepúlveda-Boza, S. Biotransformation of natural and synthetic isoflavonoids by two recombinant microbial enzymes. Appl. Environ. Microbiol. 2003, 69, 5045–5050. [Google Scholar] [CrossRef] [PubMed]
- Agulló, L.; Cámara, B.; Martínez, P.; Latorre, V.; Seeger, M. Response to (chloro)biphenyls of the polychlorobiphenyl-degrader Burkholderia xenovorans LB400 involves stress proteins also induced by heat shock and oxidative stress. Microbiol. Lett. 2007, 267, 167–175. [Google Scholar] [CrossRef]
- Martínez, P.; Agulló, L.; Hernández, M.; Seeger, M. Chlorobenzoate inhibits growth and induces stress proteins in the PCB-degrading bacterium Burkholderia xenovorans LB400. Arch. Microbiol. 2007, 188, 289–297. [Google Scholar] [CrossRef]
- Méndez, V.; Agulló, L.; González, M.; Seeger, M. The homogentisate and homoprotocatechuate central pathways are involved in 3- and 4-hydroxyphenylacetate degradation by Burkholderia xenovorans LB400. PLoS ONE 2011, 6, e17583. [Google Scholar] [CrossRef]
- Ponce, B.; Latorre, V.; González, M.; Seeger, M. Antioxidant compounds improved PCB-degradation by Burkholderia xenovorans strain LB400. Enzyme Microb. Technol. 2011, 49, 509–516. [Google Scholar] [CrossRef]
- Romero-Silva, M.J.; Méndez, V.; Agulló, L.; Seeger, M. Genomic and functional analyses of the gentisate and protocatechuate ring-cleavage pathways and related 3-hydroxybenzoate and 4-hydroxybenzoate peripheral pathways in Burkholderia xenovorans LB400. PLoS ONE 2013, 8, e56038. [Google Scholar] [CrossRef]
- Agulló, L.; Romero-Silva, M.J.; Domenech, M.; Seeger, M. p-Cymene promotes its catabolism through the p-cymene and the p-cumate pathways, activates a stress response and reduces the biofilm formation in Burkholderia xenovorans LB400. PLoS ONE 2017, 12, e0169544. [Google Scholar] [CrossRef]
- Rodríguez-Castro, L.; Durán, R.E.; Méndez, V.; Dorochesi, F.; Zühlke, D.; Riedel, K.; Seeger, M. The long-chain flavodoxin FldX1 improves the biodegradation of 4-hydroxyphenylacetate and 3-hydroxyphenylacetate and counteracts the oxidative stress associated to aromatic catabolism in Paraburkholderia xenovorans. Biol. Res. 2024, 57, 12. [Google Scholar] [CrossRef] [PubMed]
- Goris, J.; De Vos, P.; Caballero-Mellado, J.; Park, J.; Falsen, W.; Quensen, J.F.; Tiedje, J.; Vandamme, P. Classification of the biphenyl- and polychlorinated biphenyl-degrading strain LB400T and relatives as Burkholderia xenovorans sp. nov. Int. J. Syst. Ecol. Microbiol. 2004, 54, 1677–1681. [Google Scholar] [CrossRef] [PubMed]
- Estrada-de Los Santos, P.; Bustillos-Cristales, R.; Caballero-Mellado, J. Burkholderia, a genus rich in plant-associated nitrogen fixers with wide environmental and geographic distribution. Appl. Environ. Microbiol. 2001, 67, 2790–2798. [Google Scholar] [CrossRef] [PubMed]
- Salles, J.F.; van Veen, J.A.; van Elsas, J.D. Multivariate analyses of Burkholderia species in soil: Effect of crop and land use history. Appl. Environ. Microbiol. 2004, 70, 4012–4020. [Google Scholar] [CrossRef]
- Caballero-Mellado, J.; Onofre-Lemus, J.; Estrada-de Los Santos, P.; Martínez-Aguilar, L. The tomato rhizosphere, an environment rich in nitrogen-fixing Burkholderia species with capabilities of interest for agriculture and bioremediation. Appl. Environ. Microbiol. 2007, 73, 5308–5319. [Google Scholar] [CrossRef]
- Schütz, A.; Sandalova, T.; Ricagno, S.; Hübner, G.; König, S.; Schneider, G. Crystal structure of thiamindiphosphate-dependent indolepyruvate decarboxylase from Enterobacter cloacae, an enzyme involved in the biosynthesis of the plant hormone indole-3-acetic acid. Eur. J. Biochem. 2003, 270, 2312–2321. [Google Scholar] [CrossRef]
- Basse, C.W.; Lottspeich, F.; Steglich, W.; Kahmann, R. Two potential indole-3-acetaldehyde dehydrogenases in the phytopathogenic fungus Ustilago maydis. Eur. J. Biochem. 1996, 242, 648–656. [Google Scholar] [CrossRef]
- Vande, A.; Gysegom, P.; Ona, O.; Hendrickx, N.; Prinsen, E.; Van Impe, J.; Vanderleyden, J. Transcriptional analysis of the Azospirillum brasilense indole-3-pyruvate decarboxylase gene and identification of a cis-acting sequence involved in auxin responsive expression. Mol. Plant Microbe Interact. 2005, 4, 311–323. [Google Scholar]
- Malhotra, M.; Srivastava, S. An ipdC gene knock-out of Azospirillum brasilense strain SM and its implications on indole-3-acetic acid biosynthesis and plant growth promotion. Antonie Leeuwenhoek 2008, 93, 425–433. [Google Scholar] [CrossRef]
- Phi, Q.T.; Park, Y.M.; Ryu, C.M.; Park, S.H.; Ghim, S.Y. Functional identification and expression of indole-3-pyruvate decarboxylase from Paenibacillus polymyxa E681. J. Microbiol. Biotechnol. 2008, 18, 1235–1244. [Google Scholar]
- Ryu, R.J.; Patten, C.L. Aromatic amino acid-dependent expression of indole-3-pyruvate decarboxylase is regulated by TyrR in Enterobacter cloacae UW5. J. Bacteriol. 2008, 190, 7200–7208. [Google Scholar] [CrossRef] [PubMed]
- Lin, H.; Shu, H.; Lin, G.H. Biological roles of indole-3-acetic acid in Acinetobacter baumannii. Microbiol. Res. 2018, 216, 30–39. [Google Scholar] [CrossRef] [PubMed]
- Romasi, E.F.; Lee, J. Development of indole-3-acetic acid-producing Escherichia coli by functional expression of IpdC, AspC, and Iad1. Microb. Biotechnol. 2013, 23, 1726–1736. [Google Scholar] [CrossRef] [PubMed]
- Zeng, Q.; Xie, J.; Li, Y.; Gao, T.; Xu, C.; Wang, Q. Comparative genomic and functional analyses of four sequenced Bacillus cereus genomes reveal conservation of genes relevant to plant-growth-promoting traits. Sci. Rep. 2018, 8, 17009. [Google Scholar] [CrossRef]
- Ali, M.A.; Lou, Y.; Hafeez, R.; Li, X.; Hossain, A.; Xie, T.; Lin, L.; Li, B.; Yin, Y.; Yan, J.; et al. Functional analysis and genome mining reveal high potential of biocontrol and plant growth promotion in nodule-inhabiting bacteria within Paenibacillus polymyxa complex. Front. Microbiol. 2021, 11, 618601. [Google Scholar] [CrossRef]
- Shah, G.; Fiaz, S.; Attia, K.A.; Khan, N.; Jamil, M.; Abbas, A.; Yang, S.H.; Jumin, T. Indole pyruvate decarboxylase gene regulates the auxin synthesis pathway in rice by interacting with the indole-3-acetic acid–amido synthetase gene, promoting root hair development under cadmium stress. Front. Plant Sci. 2022, 13, 1023723. [Google Scholar] [CrossRef]
- Zhang, B.; Li, P.S.; Wang, Y.Y.; Wang, J.J.; Liu, X.L.; Wang, X.Y.; Hu, X.M. Characterization and synthesis of indole-3-acetic acid in plant growth promoting Enterobacter sp. RSC Adv. 2021, 11, 31601–31607. [Google Scholar] [CrossRef]
- de Los Ríos, S.; Perona, J.J. Structure of the Escherichia coli leucine-responsive regulatory protein Lrp reveals a novel octameric assembly. J. Mol. Biol. 2007, 366, 1589–1602. [Google Scholar] [CrossRef]
- Brinkman, A.; Ettema, T.; de Vos, W.; Van der Oost, J. The Lrp family of transcriptional regulators. Mol. Microbiol. 2003, 48, 287–294. [Google Scholar] [CrossRef]
- Cui, Y.; Wang, Q.; Stormo, G.D.; Calvo, J.M. A consensus sequence for binding of Lrp to DNA. J. Bacteriol. 1995, 177, 4872–4880. [Google Scholar] [CrossRef]
- Otten, L.; Salomone, J.Y.; Helfer, A.; Schmidt, J.; Hammann, P.; De Ruffray, P. Sequence and functional analysis of the left-hand part of the T-region from the nopaline-type Ti plasmid, pTiC58. Plant Mol. Biol. 1999, 41, 765–776. [Google Scholar] [CrossRef] [PubMed]
- Rodríguez-Palenzuela, P.; Matas, I.M.; Murillo, J.; López-Solanilla, E.; Bardaji, L.; Pérez-Martínez, I.; Rodriguez-Moskera, M.; Penyalver, R.; López, M.; Quesada, J.; et al. Annotation and overview of the Pseudomonas savastanoi pv. savastanoi NCPPB 3335 draft genome reveals the virulence gene complement of a tumour-inducing pathogen of woody hosts. Environ. Microbiol. 2010, 12, 1604–1620. [Google Scholar] [CrossRef] [PubMed]
- Fagen, J.R.; Leonard, M.T.; McCullough, C.M.; Edirisinghe, J.N.; Henry, C.S.; Davis, M.J.; Triplett, E.W. Comparative genomics of cultured and uncultured strains suggests genes essential for free-living growth of Liberibacter. PLoS ONE 2014, 9, e84469. [Google Scholar] [CrossRef] [PubMed]
- Glasner, J.D.; Yang, C.H.; Reverchon, S.; Hugouvieux-Cotte-Pattat, N.; Condemine, G.; Bohin, J.P.; Van Gijsegem, F.; Yang, S.; Franza, T.; Expert, D.; et al. Genome sequence of the plant-pathogenic bacterium Dickeya dadantii 3937. J. Bacteriol. 2011, 193, 2076–2077. [Google Scholar] [CrossRef]
- Zhang, Y.; Lee, C.W.; Wehner, N.; Imdahl, F.; Svetlana, V.; Weiste, C.; Imdahl, F.; Svetlana, V.; Weiste, C.; Dröge-Laser, W.; et al. Regulation of oncogene expression in T-DNA-transformed host plant cells. PLoS Pathog. 2015, 11, e1004620. [Google Scholar] [CrossRef]
- Hooykaas, P.J.J.; Beijersbergen, A.G.M. The virulence system of Agrobacterium tumefaciens. Ann. Rev. Phytopathol. 1994, 32, 157–179. [Google Scholar] [CrossRef]
- Khianngam, S.; Meetum, P.; Chiangmai, P.N.; Tanasupawat, S. Identification and optimisation of indole-3-acetic acid production of endophytic bacteria and their effects on plant growth. Trop. Life Sci. Res. 2023, 34, 219–239. [Google Scholar]
- Ghitti, E.; Rolli, E.; Vergani, L.; Borin, S. Flavonoids influence key rhizocompetence traits for early root colonization and PCB degradation potential of Paraburkholderia xenovorans LB400. Front. Plant Sci. 2024, 15, 1325048. [Google Scholar] [CrossRef]
- Basu, P.S.; Ghosh, A. Production of indole acetic acid in culture by a Rhizobium species from the root nodules of a monocotyledonous tree, Roystonea regia. Acta Biotechnol. 2001, 21, 65–72. [Google Scholar] [CrossRef]
- Datta, C.; Basu, P.S. Indole acetic acid production by a Rhizobium species from root nodules of a leguminous shrub, Cajanus cajan. Microbiol. Res. 2000, 155, 123–127. [Google Scholar] [CrossRef]
- Mohite, B. Isolation and characterization of indole acetic acid (IAA) producing bacteria from rhizospheric soil and its effect on plant growth. J. Soil Sci. Plant Nutr. 2013, 13, 638–649. [Google Scholar] [CrossRef]
- Özdal, M.; Özdal, Z.G.; Sezen, A.; Algur, M.F. Biosynthesis of indole-3-acetic acid by Bacillus cereus immobilized cells. Cumhur. Sci. J. 2016, 37, 212. [Google Scholar] [CrossRef]
- Boondaeng, A.; Vaithanomsat, P.; Apiwatanapiwat, W.; Trakunjae, C.; Janchai, P.; Suriyachai, N.; Kreetachat, T.; Wongcharee, S.; Imman, S. Biological conversion of agricultural wastes into indole-3-acetic acid by Streptomyces lavenduligriseus BS50-1 using a response surface methodology (RSM). ACS Omega 2023, 8, 40433–40441. [Google Scholar] [CrossRef]
- Hernández-Mendoza, J.; Quiroz-Velásquez, J.; Moreno-Medina, V.; Mayek-Pérez, N. Biosynthesis of anthranilic and indolacetic acids from tryptophan by one Azospirillum brasilense strain native from Tamaulipas, México. Rev. Investig. Agropecu. 2008, 12, 57–67. [Google Scholar]
- Apine, O.; Jadhav, J. Optimization of medium for indole-3-acetic acid production using Pantoea agglomerans strain PVM. J. Appl. Microbiol. 2011, 110, 1235–1244. [Google Scholar] [CrossRef]
- Forni, C.; Riov, J.; Grilli, M.; Tel-Or, E. Indole-3-acetic acid (IAA) production by Arthrobacter species isolated from Azolla. J. Gen. Microbiol. 1992, 138, 377–881. [Google Scholar] [CrossRef]
- Ona, O.; Impe, J.; Prinsen, E.; Vanderleyden, J. Growth and indole-3-acetic acid biosynthesis of Azospirillum brasilense Sp245 is environmentally controlled. Microbiol. Lett. 2005, 246, 125–132. [Google Scholar] [CrossRef]
- Liu, W.H.; Chen, F.F.; Wang, C.E.; Fu, H.H.; Fang, X.Q.; Ye, J.R.; Shi, J.R. Indole-3-acetic acid in Burkholderia pyrrocinia JK-SH007: Enzymatic identification of the indole-3-acetamide synthesis pathway. Front. Microbiol. 2019, 10, 2559. [Google Scholar] [CrossRef]
- Duca, D.R.; Glick, B.R. Indole-3-acetic acid biosynthesis and its regulation in plant-associated bacteria. Appl. Microbiol. Biotechnol. 2020, 104, 8607–8619. [Google Scholar] [CrossRef]
- Yusfi, L.A.; Tjong, D.H.; Chaniago, I.; Salsabilla, A.; Jamsari, J. Growth phase influence the gene expression and metabolite production related to indole-3-acetic acid (IAA) biosynthesis by Serratia plymuthica UBCF_13. Pak. J. Biol. Sci. 2022, 25, 1047–1057. [Google Scholar] [CrossRef]
- Oberhänsli, T.; Défago, G.; Haas, D. Indole-3-acetic acid (IAA) synthesis in the biocontrol strain CHA0 of Pseudomonas fluorescens: Role of tryptophan side chain oxidase. J. Gen. Microbiol. 1991, 137, 2273–2279. [Google Scholar] [CrossRef] [PubMed]
- Sambrook, J.; Fritsch, E.F.; Maniatis, T. Molecular Cloning: A Laboratory Mannual; Cold Spring Harbor Laboratory Press: Cold Spring Harbor, NY, USA, 1989. [Google Scholar]
- King, E.O.; Ward, M.K.; Raney, D.E. Two simple media for the demonstration of pyocyanin and fluorescin. J. Lab. Clin. Med. 1954, 44, 301–307. [Google Scholar] [PubMed]
- González, S.A.C.; Rodríguez, G.; Lizarazo-Ortega, C.; Cano, E.; Sánchez-Yáñez, J.; Hernández-Jiménez, M.C.; Hernández-Mendoza, J.L. Study of Indole 3 acetic acid biosynthesis pathways in Bradyrhizobium japonicum BJBV-05. Interciencia 2021, 46, 198–203. [Google Scholar]
- Farrow, J.M., III; Pesci, E.C. Two distinct pathways supply anthranilate as a precursor of the Pseudomonas quinolone signal. J. Bacteriol. 2007, 189, 3425–3433. [Google Scholar] [CrossRef]
- Yanofsky, C. Attenuation in the control of expression of bacterial operons. Nature 1981, 289, 751–758. [Google Scholar] [CrossRef]
- Merino, E.; Jensen, R.A.; Yanofsky, C. Evolution of bacterial trp operons and their regulation. Curr. Opin. Microbiol. 2008, 11, 78–86. [Google Scholar] [CrossRef]
- Ma, Z.; Qu, Y. Biodegradation and biotransformation of indole: Advances and perspectives. Front. Microbiol. 2018, 9, 2625. [Google Scholar] [CrossRef]
- Zimmer, W.; Wesche, M.; Timmermans, L. Identification and isolation of the indole-3-pyruvate decarboxylase gene from Azospirillum brasilense Sp7: Sequencing and functional analysis of the gene locus. Curr. Microbiol. 1998, 36, 327–331. [Google Scholar] [CrossRef]
- Rothballer, M.; Schmid, M.; Fekete, A.; Hartmann, A. Comparative in situ analysis of ipdC-gfpmut3 promoter fusions of Azospirillum brasilense strains Sp7 and Sp245. Environ. Microbiol. 2005, 7, 1839–1846. [Google Scholar] [CrossRef]
- Parsons, C.V.; Harris, D.M.; Patten, C.L. Regulation of indole-3-acetic acid biosynthesis by branched-chain amino acids in Enterobacter cloacae UW5. Microbiol. Lett. 2015, 362, fnv153. [Google Scholar] [CrossRef]
- Figueredo, E.F.; Da Cruz, T.A.; De Almeida, J.R.; Batista, B.D.; Marcon, J.; De Andrade, P.M.; De Almeida Hayashibara, C.A.; Rosa, M.S.; Azevedo, J.L.; Quecine, M.C. The key role of indole-3-acetic acid biosynthesis by Bacillus thuringiensis RZ2MS9 in promoting maize growth revealed by the ipdC gene knockout mediated by the CRISPR-Cas9 system. Microbiol. Res. 2023, 266, 127218. [Google Scholar] [CrossRef] [PubMed]
- Brandl, M.T.; Lindow, S.E. Cloning and characterization of a locus encoding an indolepyruvate decarboxylase involved in indole-3-acetic acid synthesis in Erwinia herbicola. Appl. Environ. Microbiol. 1996, 62, 4121–4128. [Google Scholar] [CrossRef] [PubMed]
- Rico-Jiménez, M.; Muñoz-Mira, S.; Lomas-Martínez, C.; Krell, T.; Matilla, M.A. Regulation of indole-3-acetic acid biosynthesis and consequences of auxin production deficiency in Serratia plymuthica. Microb. Biotechnol. 2023, 16, 1671–1689. [Google Scholar] [CrossRef] [PubMed]
- Ulmasov, T.; Liu, Z.-B.; Hagen, G.; Guilfoyle, T.J. Composite structure of auxin response elements. Plant Cell 1995, 7, 1611–1623. [Google Scholar] [PubMed]
- Vande Broek, A.; Lambrecht, M.; Eggermont, K.; Vanderleyden, J. Auxins upregulate expression of the indole-3-pyruvate decarboxylase gene in Azospirillum brasilense. J. Bacteriol. 1999, 181, 1338–1342. [Google Scholar] [CrossRef]
- Pérez-Pantoja, D.; Donoso, R.; Agulló, L.; Córdova, M.; Seeger, M.; Pieper, D.H.; González, B. Genomic analysis of the potential for aromatic compounds biodegradation in Burkholderiales. Environ. Microbiol. 2012, 14, 1091–1117. [Google Scholar] [CrossRef]
- Honeyfield, D.C.; Carlson, J.R. Effect of indoleacetic acid and related indoles on Lactobacillus sp. strain 11201 growth, indoleacetic acid catabolism, and 3-methylindole formation. Appl. Environ. Microbiol. 1990, 56, 1373–1377. [Google Scholar] [CrossRef]
- Sun, P.F.; Fang, W.T.; Shin, L.Y.; Wei, J.Y.; Fu, S.F.; Chou, J.Y. Indole-3-acetic acid-producing yeasts in the phyllosphere of the carnivorous plant Drosera indica L. PLoS ONE 2014, 9, e114196. [Google Scholar] [CrossRef]
- Luo, K.; Rocheleau, H.; Qi, P.F.; Zheng, Y.L.; Zhao, H.Y.; Ouellet, T. Indole-3-acetic acid in Fusarium graminearum: Identification of biosynthetic pathways and characterization of physiological effects. Fungal Biol. 2016, 120, 1135–1145. [Google Scholar] [CrossRef]
- Honeyfield, D.C.; Carlson, J.R. Assay for the enzymatic conversion of indoleacetic acid to 3-methylindole in a ruminal Lactobacillus species. Appl. Environ. Microbiol. 1990, 56, 724–729. [Google Scholar] [CrossRef]
- Liu, D.; Wei, Y.; Liu, X.; Zhou, Y.; Jiang, L.; Yin, J.; Wang, F.; Hu, Y.; Nanjaraj Urs, A.N.; Liu, Y.; et al. Indoleacetate decarboxylase is a glycyl radical enzyme catalysing the formation of malodorant skatole. Nat. Commun. 2018, 9, 4224. [Google Scholar] [CrossRef] [PubMed]
- Cámara, B.; Herrera, C.; González, M.; Couve, E.; Hofer, B.; Seeger, M. From PCBs to highly toxic metabolites by the biphenyl pathway. Environ. Microbiol. 2004, 6, 842–850. [Google Scholar] [CrossRef] [PubMed]
- Lin, G.H.; Chen, H.P.; Huang, J.H.; Liu, T.T.; Lin, T.K.; Wang, S.J.; Tseng, C.H.; Shu, H.Y. Identification and characterization of an indigo-producing oxygenase involved in indole 3-acetic acid utilization by Acinetobacter baumannii. Antonie Leeuwenhoek 2012, 101, 881–890. [Google Scholar] [CrossRef] [PubMed]
- Greenhut, I.V.; Slezak, B.L.; Leveau, J.H.J. Iac gene expression in the indole-3-acetic acid-degrading soil bacterium Enterobacter soli LF7. Appl. Environ. Microbiol. 2018, 84, e01057-18. [Google Scholar] [CrossRef]
- Sadauskas, M.; Statkevičiūtė, R.; Vaitekūnas, J.; Meškys, R. Bioconversion of biologically active indole derivatives with indole-3-acetic acid-degrading enzymes from Caballeronia glathei DSM50014. Biomolecules 2020, 10, 663. [Google Scholar] [CrossRef]
- Jaeger, C.H., III; Lindow, S.E.; Miller, W.; Clark, E.; Firestone, M.K. Mapping of sugar and amino acid availability in soil around roots with bacterial sensors of sucrose and tryptophan. Appl. Environ. Microbiol. 1999, 65, 2685–2690. [Google Scholar] [CrossRef]
- Kamilova, F.; Kravchenko, L.; Shaposhnikov, A.; Azarova, T.; Makarova, N.; Lugtenberg, B. Organic acids, sugars, and L-tryptophan in exudates of vegetables growing on stonewool and their effects on activities of rhizosphere bacteria. Mol. Plant Microbe Interact. 2006, 19, 250–256. [Google Scholar] [CrossRef]
- Suárez-Moreno, Z.; Devescovi, G.; Myers, M.; Hallack, L.; Mendonca-Previato, L.; Caballero-Mellado, J.; Venturi, V. Commonalities and differences in regulation of N-acyl homoserine lactone quorum sensing in the beneficial plant-associated Burkholderia species cluster. Appl. Environ. Microbiol. 2010, 76, 4302–4317. [Google Scholar] [CrossRef]
- Urtuvia, V.; Villegas, P.; González, M.; Seeger, M. Bacterial production of the biodegradable plastics polyhydroxyalkanoates. Int. J. Biol. Macromol. 2014, 70, 208–213. [Google Scholar] [CrossRef]
- Vargas-Straube, M.J.; Cámara, B.; Tello, M.; Montero-Silva, F.; Cárdenas, F.; Seeger, M. Genetic and functional analysis of the biosynthesis of a non-ribosomal peptide siderophore in Burkholderia xenovorans LB400. PLoS ONE 2016, 11, e0151273. [Google Scholar] [CrossRef]
- Urtuvia, V.; Villegas, P.; Fuentes, S.; González, M.; Seeger, M. Burkholderia xenovorans LB400 possesses a functional polyhydroxyalkanoate anabolic pathway encoded by the pha genes and synthesizes poly(3-hydroxybutyrate) under nitrogen-limiting conditions. Int. Microbiol. 2018, 21, 47–57. [Google Scholar] [CrossRef] [PubMed]
- Silveira, L.P.A.; Amaral, F.P.D.; Kim, D.; Bom, M.T.; Gavídia, M.P.; Teixeira, C.S.; Holthman, F.; De Oliveira Pedrosa, F.; De Souza, E.M.; Chubatsu, L.S.; et al. Importance of poly-3-hydroxybutyrate metabolism to the ability of Herbaspirillum seropedicae to promote plant growth. Appl. Environ. Microbiol. 2019, 85, e02586-18. [Google Scholar] [CrossRef] [PubMed]
- Ito, F.; Tamiya, T.; Ohtsu, I.; Fujimura, M.; Fukumori, F. Genetic and phenotypic characterization of the heat shock response in Pseudomonas putida. Microbiologyopen 2014, 3, 922–936. [Google Scholar] [CrossRef]
- Durán, R.E.; Barra-Sanhueza, B.; Salvà-Serra, F.; Méndez, V.; Jaén-Luchoro, D.; Moore, E.R.B.; Seeger, M. Complete genome sequence of the marine hydrocarbon degrader Alcaligenes aquatilis QD168, isolated from crude oil-polluted sediment of Quintero Bay, Central Chile. Microbiol. Resour. Announc. 2019, 8, e01664-18. [Google Scholar] [CrossRef]
- Méndez, V.; Rodríguez-Castro, L.; Durán, R.E.; Padrón, G.; Seeger, M. The OxyR and SoxR transcriptional regulators are involved in a broad oxidative stress response in Paraburkholderia xenovorans LB400. Biol. Res. 2022, 55, 7. [Google Scholar] [CrossRef]
- González-Reguero, D.; Robas-Mora, M.; Probanza, A.; Jiménez, P.A. Evaluation of the oxidative stress alleviation in Lupinus albus var. orden Dorado by the inoculation of four plant growth-promoting bacteria and their mixtures in mercury-polluted soils. Front. Microbiol. 2022, 13, 907557. [Google Scholar] [CrossRef]
- Robas, M.; Fernández, V.M.; González, D.; Gutiérrez, L.L.; Probanza, A.; Jiménez, P.A. Oxidative stress protection and growth promotion activity of Pseudomonas mercuritolerans sp. nov., in forage plants under mercury abiotic stress conditions. Front. Microbiol. 2022, 13, 1032901. [Google Scholar] [CrossRef]
- Rodríguez-Castro, L.; Méndez, V.; Durán, R.E.; Seeger, M. Long-chain flavodoxin FldX1 improves Paraburkholderia xenovorans LB400 tolerance to oxidative stress caused by paraquat and H2O2. PLoS ONE 2019, 14, e0221881. [Google Scholar] [CrossRef]
- Alvarez-Santullano, N.; Villegas, P.; Sepúlveda Mardones, M.; Durán, R.E.; Donoso, R.; González, A.; Sanhueza, C.; Navia, R.; Acevedo, F.; Pérez-Pantoja, D.; et al. Genome-wide metabolic reconstruction of the synthesis of polyhydroxyalkanoates from sugars and fatty acids by Burkholderia sensu lato species. Microorganisms 2021, 9, 1290. [Google Scholar] [CrossRef]
- Jousset, A.; Schuldes, J.; Keel, C.; Maurhofer, M.; Daniel, R.; Scheu, S.; Thuermer, A. Full-genome sequence of the plant growth-promoting bacterium Pseudomonas protegens CHA0. Genome Announc. 2014, 2, e00322-14. [Google Scholar] [CrossRef]
- Murashige, T.; Skoog, F. A revised medium for rapid growth and bioassays with tobacco tissue cultures. Physiol. Plant 1962, 15, 473–497. [Google Scholar] [CrossRef]









| Pathway | Gene | ORF | aa | Related Gene Products | |||
|---|---|---|---|---|---|---|---|
| Protein | Function | Organism (Accession Number) | Identity (%) | ||||
| IPyA | ipdC | Bxe_B0109 | 550 | IpdC | Indole-3-pyruvate decarboxylase | Pantoea agglomerans 299R (WP_003848906) | 229/539 (42) |
| iad1 | Bxe_B0108 | 497 | Iad1 | Indole-3-acetaldehyde dehydrogenase | Ustilago maydis FB1 (AAC49575) | 176/481 (37) | |
| IAM | iaaM | Bxe_C1245 | 575 | IaaM | Tryptophan-2- monooxygenase | Agrobacterium fabrum C58 (AAD30489) | 212/557 (38) |
| iaaH | Bxe_B1011 | 484 | IaaH | Indole-3-acetamide hydrolase | Agrobacterium fabrum C58 (AAD30488) | 200/466 (43) | |
| Bacterial Strain | Medium | Average IAA (mM) Synthesis (±SD) | Average AA (mM) Synthesis (±SD) | Average log (CFUs mL−1) (±SD) |
|---|---|---|---|---|
| P. xenovorans LB400 | LB | 0.193 (±0.012) | 0.141 (±0.034) | 5.349 (±0.494) |
| YM | 0.404 (±0.010) | 0.477 (±0.016) | 7.455 (±0.160) | |
| KB | 0.167 (±0.006) | 2.013 (±0.171) | 6.301 (±0.426) | |
| Ps. protegens CHA0 | LB | 0 | 0 | 7.331 (±0.142) |
| YM | 0.124 (±0.009) | 0.095 (±0.020) | 6.540 (±0.088) | |
| KB | 0 | 0.046 (±0.031) | 7.752 (±0.016) |
| Gene | ORF | aa | Related Gene Products | ||
|---|---|---|---|---|---|
| Protein | Function | Identity (%) | |||
| iacA | Bxe_B2308 | 405 | IacA | Acyl-CoA dehydrogenase flavoprotein | 187/374 (50) * |
| iacB | Bxe_A2102 | 125 | IacB | Hypothetical conserved protein | 65/119 (55) * |
| iacC | Bxe_A2105 | 427 | IacC | Aromatic ring hydroxylation dioxygenase, α subunit | 256/418 (61) * |
| iacD | Bxe_A2104 | 166 | IacD | Aromatic ring hydroxylation dioxygenase, β subunit | 69/147 (47) * |
| iacE | Bxe_A2099 | 247 | IacE | Short-chain dehydrogenase | 129/245 (53) * |
| iacF | Bxe_A2111 | 325 | IacF | Ferredoxin reductase | 131/328 (40) * |
| iacG | Bxe_B2309 | 183 | IacG | Flavin reductase domain protein | 72/154 (47) * |
| iacH | Bxe_A2100 | 374 | IacH | Amidase | 193/376 (51) * |
| iacI | Bxe_A2101 | 180 | IacI | Hypothetical conserved protein | 67/151 (44) * |
| iacT1 | Bxe_A2103 | 438 | IacT1 | Transporter major facilitator superfamily (MFS) (DOAA transporter) | 420/438 (96) ** |
| iacT2 | Bxe_B2307 | 452 | IacT2 | Transporter major facilitator superfamily (MFS) (DOAA transporter) | 221/436 (51) ** |
| iacR | Bxe_A2106 | 317 | IacR | Transcriptional regulator LysR family | 301/315 (96) ** |
| Primer | Gene | Sequence (5′–3′) | Reference |
|---|---|---|---|
| IPDC-f | ipdC | CATCGTTGAAGCCCTTGCGT | This study |
| IPDC-r | TCGCCGATGAACAGCAAATGG | This study | |
| IAAH-f | iaaH | TTCGTGCCGAAGACCAATGC | This study |
| IAAH-r | TCGTAACGCTCGCCGAAGATA | This study | |
| IACC-f | iacC | AGCGGAACTCGAACGCATTT | This study |
| IACC-r | TCGCCGATGAACAGCAAATGG | This study | |
| CATA-f | catA | TTGCTCCAGAAGATCAACGA | This study |
| CATA-r | GAAATCGATCAACGCGAAAT | This study | |
| 27f | 16S rRNA | AGAGTTTGATCMTGGCTCAG | [27] |
| 1492r | TACGGYTACCTTGTTACGACTT | [27] |
Disclaimer/Publisher’s Note: The statements, opinions and data contained in all publications are solely those of the individual author(s) and contributor(s) and not of MDPI and/or the editor(s). MDPI and/or the editor(s) disclaim responsibility for any injury to people or property resulting from any ideas, methods, instructions or products referred to in the content. |
© 2024 by the authors. Licensee MDPI, Basel, Switzerland. This article is an open access article distributed under the terms and conditions of the Creative Commons Attribution (CC BY) license (https://creativecommons.org/licenses/by/4.0/).
Share and Cite
Vega-Celedón, P.; Castillo-Novales, D.; Bravo, G.; Cárdenas, F.; Romero-Silva, M.J.; Seeger, M. Synthesis and Degradation of the Phytohormone Indole-3-Acetic Acid by the Versatile Bacterium Paraburkholderia xenovorans LB400 and Its Growth Promotion of Nicotiana tabacum Plant. Plants 2024, 13, 3533. https://doi.org/10.3390/plants13243533
Vega-Celedón P, Castillo-Novales D, Bravo G, Cárdenas F, Romero-Silva MJ, Seeger M. Synthesis and Degradation of the Phytohormone Indole-3-Acetic Acid by the Versatile Bacterium Paraburkholderia xenovorans LB400 and Its Growth Promotion of Nicotiana tabacum Plant. Plants. 2024; 13(24):3533. https://doi.org/10.3390/plants13243533
Chicago/Turabian StyleVega-Celedón, Paulina, Diyanira Castillo-Novales, Guillermo Bravo, Franco Cárdenas, María José Romero-Silva, and Michael Seeger. 2024. "Synthesis and Degradation of the Phytohormone Indole-3-Acetic Acid by the Versatile Bacterium Paraburkholderia xenovorans LB400 and Its Growth Promotion of Nicotiana tabacum Plant" Plants 13, no. 24: 3533. https://doi.org/10.3390/plants13243533
APA StyleVega-Celedón, P., Castillo-Novales, D., Bravo, G., Cárdenas, F., Romero-Silva, M. J., & Seeger, M. (2024). Synthesis and Degradation of the Phytohormone Indole-3-Acetic Acid by the Versatile Bacterium Paraburkholderia xenovorans LB400 and Its Growth Promotion of Nicotiana tabacum Plant. Plants, 13(24), 3533. https://doi.org/10.3390/plants13243533

