Morphological Study on the Differentiation of Flower Buds and the Embryological Stages of Male and Female Floral Organs in Lespedeza davurica (Laxm.) Schindl. cv. JinNong (Fabaceae)
Abstract
1. Introduction
2. Results
2.1. Microscopic Morphological Observation of Flower Structure
2.2. Observation of Pollen Germination and Pollen Tube Elongation
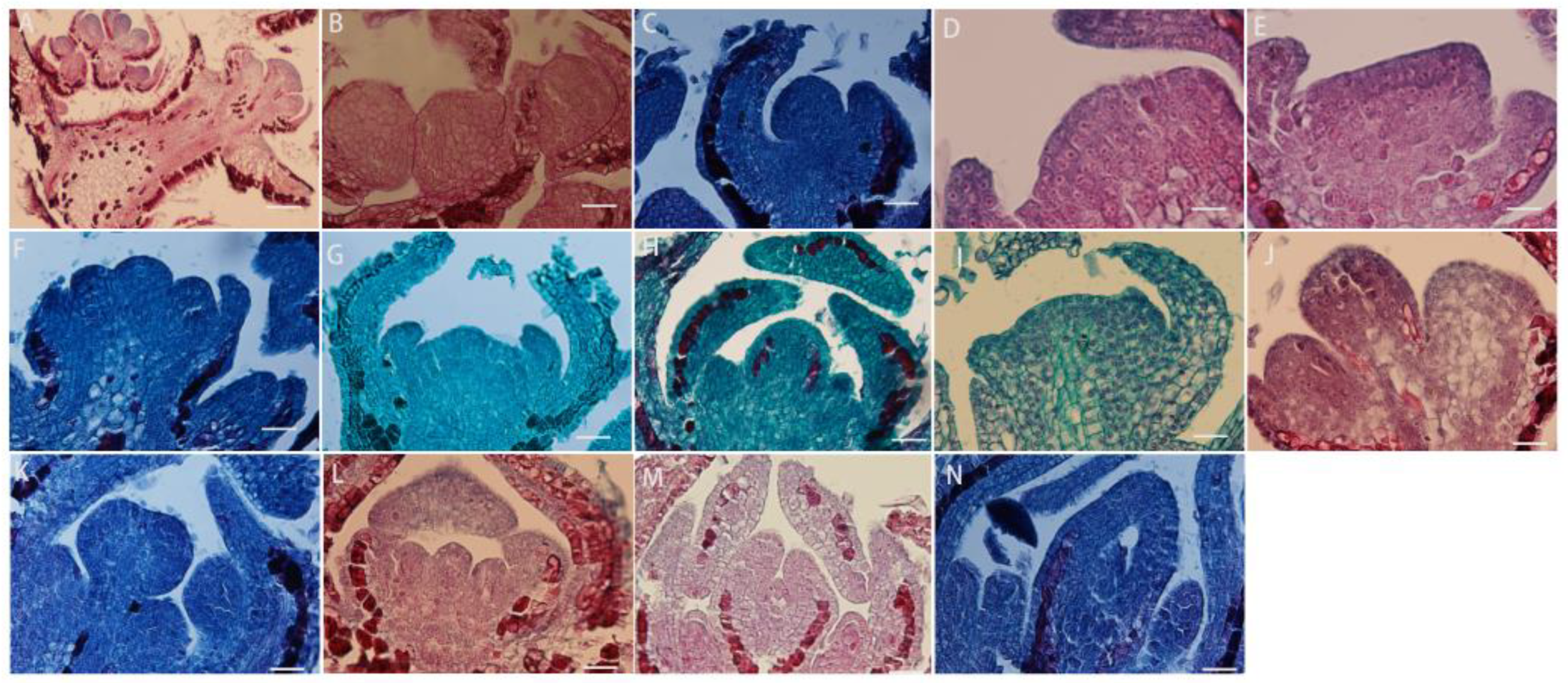
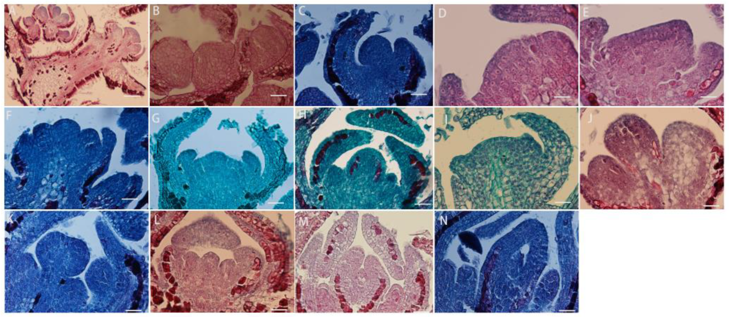
2.3. Flower Bud Differentiation
2.4. Microsporogenesis and Male Gametophyte Formation
2.5. Megasporogenesis and Formation of Female Gametophyte
2.6. Double Fertilization, Embryo and Endosperm Development
2.7. Structure and Development Process of Mature Seeds
2.8. Phylogenetic Tree Analysis
3. Discussion
3.1. Flower Bud Differentiation
3.2. Development of Male Gametophyte
3.3. Elongation of Pollen Tubes
3.4. The Formation of the Female Gametophyte
3.5. Double Fertilization and Early Seed Development
3.6. Phylogenetic Implications
4. Materials and Methods
4.1. Growth and Sample Collection of L. davurica
4.2. Paraffin Section Preparation and Observation
4.3. Microscopic Observation of Morphological Development of Flower Buds and Florets
4.4. SEM Observation
4.5. Phylogenetic Tree
5. Conclusions
Author Contributions
Funding
Data Availability Statement
Conflicts of Interest
References
- Runmei, G. Study and Improvement of Embrygology of Rare and Endangered Plants. J. Shanxi Agric. Univ. 2002, 22, 239–245. [Google Scholar]
- Vleugels, T.; Amdahl, H.; Roldán-Ruiz, I.; Cnops, G. Factors Underlying Seed Yield in Red Clover: Review of Current Knowledge and Perspectives. Agronomy 2019, 9, 829. [Google Scholar] [CrossRef]
- Silvia, C.; Leonel, T.; Ilda, A. Programmed Cell Death Induces Male Sterility in Actinidia deliciosa Female Flowers. Plant Physiol. Biochem. 2004, 42, 537–541. [Google Scholar]
- Liao, T.; Liu, G.; Guo, L.; Wang, Y.; Yao, Y.; Cao, J. Bud Initiation, Microsporogenesis, Megasporogenesis, and Cone Development in Platycladus Orientalis. HortScience 2021, 56, 85–93. [Google Scholar] [CrossRef]
- Avalos, A.A.; Zini, L.M.; Ferrucci, M.S.; Lattar, E.C. Anther and Gynoecium Structure and Development of Male and Female Gametophytes of Koelreuteria Elegans Subsp. Formosana (Sapindaceae): Phylogenetic Implications. Flora 2019, 255, 98–109. [Google Scholar]
- Benlloch, R.; Navarro, C.; Beltrán, J.; Cañas, L.A. Floral Development of the Model Legume Medicago Truncatula: Ontogeny Studies as a Tool to Better Characterize Homeotic Mutations. Sex. Plant Reprod. 2003, 15, 231–241. [Google Scholar] [CrossRef]
- Ali, M.; Mohammad, R.D.; Somayeh, N.; Somayeh, F.; Yadollah, O. Floral Development in Astragalus Caspicus Bieb. (Leguminosae: Papilionoideae: Galegeae). Flora 2010, 205, 251–258. [Google Scholar]
- Shao, F.; Wang, S.; Chen, J.; Hong, R. Megasporogenesis, Microsporogenesis, and Development of Female and Male Gametophytes of Ziziphus Jujuba Mill. ‘Zhongqiusucui’. HortScience 2019, 54, 1686–1693. [Google Scholar] [CrossRef]
- Pan, Y.; Liang, H.; Gong, X. Studies on the Reproductive Biology and Endangerment Mechanism of the Endangered Plant Manglietia aromatica. J. Integr. Plant Biol. 2003, 45, 311. [Google Scholar]
- González-Melendi, P.; Uyttewaal, M.; Morcillo, C.N.; Hernández Mora, J.R.; Fajardo, S.; Budar, F.; Lucas, M.M. A Light and Electron Microscopy Analysis of the Events Leading to Male Sterility in Ogu-INRA CMS of Rapeseed (Brassica Napus). J. Exp. Bot. 2008, 59, 827–838. [Google Scholar] [CrossRef]
- Zhang, H.; Wang, M.; Hampton, J.; Rolston, P.; Lucas, R.; Ti, Z. Morphology of Flower Bud Differentiation and Floral Organ Specialization in Caucasian Clover. Grass Forage Sci. 2024, 12658. [Google Scholar] [CrossRef]
- Brij, M.J.; Kunda, B.A.; Prem, S.S. Comparative Embryology of Angiosperms; Springer: Berlin, Germany, 1992; Volume 1. [Google Scholar]
- Svonna, E.; Greilhuber, J. Systematic Embryology of the Scilla Sib. Alliance (Hyacinthaceae). Nord. J. Bot. 1989, 8, 585–600. [Google Scholar] [CrossRef]
- Chen, Q. A Study of Microsporogenesis and Male Gametogenesis in Psammosilene Tunicoides (Caryophyllaceae). Ann. Bot. Fenn. 2010, 47, 175–189. [Google Scholar]
- Chen, T.; Christensen, M.; Nan, Z.; Hou, F. The Effects of Different Intensities of Long-Term Grazing on the Direction and Strength of Plant–Soil Feedback in a Semiarid Grassland of Northwest China. Plant Soil. 2017, 413, 303–317. [Google Scholar] [CrossRef]
- Xu, B.; Niu, F.; Duan, D.; Xu, W.; Huang, J. Root Morphological Characteristics of Lespedeza davurica (L.) Intercropped with Bothriochloa Ischaemum (L.) Keng under Water Stress and P Application Conditions. Pak. J. Bot. 2012, 44, 1857–1864. [Google Scholar]
- Xu, L.; Zhang, J.; Din, S. Characteristic on the Steppe of Bothriochloa Ischaemum in Loess Plateau and Its Geographical Significanc. Acta Bot. Boreali-Occident. Sin. 1997, 17, 88–93. [Google Scholar]
- Roberts, W.R.; Roalson, E.H. Comparative Transcriptome Analyses of Flower Development in Four Species of Achimenes (Gesneriaceae). BMC Genom. 2017, 18, 1–26. [Google Scholar] [CrossRef] [PubMed]
- Abdallah, D.; Baraket, G.; Perez, V.; Ben Mustapha, S.; Salhi-Hannachi, A.; Hormaza, J.I. Analysis of Self-Incompatibility and Genetic Diversity in Diploid and Hexaploid Plum Genotypes. Front. Plant Sci. 2019, 10, 896. [Google Scholar] [CrossRef]
- Koltunow, A.M.; Truettner, J.; Cox, K.H.; Wallroth, M.; Goldberg, R.B. Different Temporal and Spatial Gene Expression Patterns Occur during Anther Development. Plant Cell 1990, 2, 1201–1224. [Google Scholar] [CrossRef]
- Tobe, H. The Embryology of Angiosperms: Its Broad Application to the Systematic and Evolutionary Study. Bot. Mag. Tokyo 1989, 102, 351–367. [Google Scholar] [CrossRef]
- Bernier, G.; Périlleux, C. A Physiological Overview of the Genetics of Flowering Time Control. Plant Biotechnol. J. 2005, 3, 3–16. [Google Scholar] [CrossRef] [PubMed]
- Luo, T.; Zhang, J.; Mohammad, N.K.; Liu, J.; Xu, Z.; Hu, L. Temperature Variation Caused by Sowing Dates Significantly Affects Floral Initiation and Floral Bud Differentiation Processes in Rapeseed (Brassica Napus L.). Plant Sci. 2018, 271, 40–51. [Google Scholar] [CrossRef] [PubMed]
- Feng, Q.; Xia, Q.; Zhang, P.; Wang, H.; Zhang, S.-B. Is Seasonal Flowering Time of Paphiopedilum Species Caused by Differences in Initial Time of Floral Bud Differentiation? AoB Plants 2021, 13, plab053. [Google Scholar] [CrossRef] [PubMed]
- Remizowa, M.V.; Sokoloff, D.D.; Katsuhiko, K. Early Flower and Inflorescence Development in Dioscorea Tokoro (Dioscoreales):Shoot Chirality, Handedness of Cincinni and Common Tepal-Stamen Primordia. Wulfenia 2010, 17, 77–97. [Google Scholar]
- Naghiloo, S.; Dadpour, M.R.; Movafeghi, A. Floral Ontogeny in Astragalus Compactus (Leguminosae: Papilionoideae: Galegeae): Variable Occurrence of Bracteoles and Variable Patterns of Sepal Initiation. Planta 2012, 235, 793–805. [Google Scholar] [CrossRef] [PubMed]
- Yamasaki, S.; Fujii, N.; Takahashi, H. Characterization of Ethylene Effects on Sex Determination in Cucumber Plants. Sex. Plant Reprod. 2003, 16, 103–111. [Google Scholar] [CrossRef]
- Wei, H.; Gao, C.; Qiu, J.; Guo, Z.; Wang, B.; Long, L. Flower Bud Differentiation, Mega-Micro Spore Production, and Male-Female Gametophyte Development in Camellia weiningensis. J. Am. Soc. Hortic. Sci. 2022, 147, 104–115. [Google Scholar] [CrossRef]
- Xiao, D.; Xu, F. Megasporogenesis and Development of Female Gametophyte in Manglietia Decidua (Magnoliaceae) on JSTOR. Ann. Bot. Fenn. 2006, 43, 437–444. [Google Scholar]
- Chang, H.; Sun, F. Temporal Distinction between Male and Female Floral Organ Development in Nicotiana Tabacum Cv. Xanthi (Solanaceae). Plants 2020, 9, 127. [Google Scholar] [CrossRef]
- Wang, X.; Jiang, M.; Lin, S.; Yao, W.; Ding, Y. Inflorescence Architecture of Male and Female Gametophytes of Sasaella Kogasensis “Aureostriatus”. Cabidigitallibrary 2021, 48, 9–14. [Google Scholar]
- Dias, J.S.; Correia, M.C. Effect of Medium Renovation and Incubation Temperature Regimes on Tronchuda Cabbage Microspore Culture Embryogenesis. Sci. Hortic. 2002, 93, 205–214. [Google Scholar] [CrossRef]
- Yao, X.; Hu, W.; Yang, N. The Contributions of Sporophytic Tapetum to Pollen Formation. Seed Biol. 2022, 1, 1–13. [Google Scholar] [CrossRef]
- Gui, M.; Liu, W. Programmed Cell Death during Floral Development and Senescence in Ipomoea Purpurea. Protoplasma 2013, 146, S199–S200. [Google Scholar]
- Shao, T.; Tang, D.; Wang, K.; Wang, M.; Che, L.; Qin, B.; Yu, H.; Li, M.; Gu, M.; Cheng, Z. OsREC8 Is Essential for Chromatid Cohesion and Metaphase I Monopolar Orientation in Rice Meiosis. Plant Physiol. 2011, 156, 1386–1396. [Google Scholar] [CrossRef] [PubMed]
- Ravi, M.; Marimuthu, M.P.A.; Siddiqi, I. Gamete Formation without Meiosis in Arabidopsis. Nature 2008, 451, 1121–1124. [Google Scholar] [CrossRef] [PubMed]
- Vleugels, T.; Roldán-Ruiz, I.; Cnops, G. Influence of Flower and Flowering Characteristics on Seed Yield in Diploid and Tetraploid Red Clover. Plant Breed. 2015, 134, 56–61. [Google Scholar] [CrossRef]
- Zhu, Q.; Yuan, J.; Wei, D.; Wei, C.; Zhao, J. Sporogenesis and Gametogenesis of Lagerstroemia speciosa. Bull. Bot. Res. 2018, 38, 182. [Google Scholar]
- Márton, L.; Dresselhaus, T. Female Gametophyte-Controlled Pollen Tube Guidance. Biochem. Soc. Trans. 2010, 38, 627–630. [Google Scholar] [CrossRef]
- Xia, Z.; Wen, B.; Shao, J.; Zhang, T.; Hu, M.; Lin, L.; Zheng, Y.; Shi, Z.; Dong, X.; Song, J.; et al. The Transcription Factor PbrbZIP52 Positively Affects Pear Pollen Tube Longevity by Promoting Callose Synthesis. Plant Physiol. 2023, 191, 1734–1750. [Google Scholar] [CrossRef]
- Wang, Y.; Li, X.; Fan, B.; Zhu, C.; Chen, Z. Regulation and Function of Defense-Related Callose Deposition in Plants. Int. J. Mol. Sci. 2021, 22, 2393. [Google Scholar] [CrossRef]
- Zhong, S.; Li, L.; Wang, Z.; Ge, Z.; Li, Q.; Bleckmann, A.; Wang, J.; Song, Z.; Shi, Y.; Liu, T.; et al. RALF Peptide Signaling Controls the Polytubey Block in Arabidopsis. Science 2022, 375, 290–296. [Google Scholar] [CrossRef] [PubMed]
- Haruta, M.; Sabat, G.; Stecker, K.; Minkoff, B.B.; Sussman, M.R. A Peptide Hormone and Its Receptor Protein Kinase Regulate Plant Cell Expansion. Science 2014, 343, 408–411. [Google Scholar] [CrossRef] [PubMed]
- Rotman, N.; Rozier, F.; Boavida, L.; Dumas, C.; Berger, F.; Faure, J.-E. Female Control of Male Gamete Delivery during Fertilization in Arabidopsis thaliana. Curr. Biol. 2003, 13, 432–436. [Google Scholar] [CrossRef] [PubMed]
- Huck, N.; Moore, J.M.; Federer, M.; Grossniklaus, U. The Arabidopsis Mutant Feronia Disrupts the Female Gametophytic Control of Pollen Tube Reception. Development 2003, 130, 2149–2159. [Google Scholar] [CrossRef] [PubMed]
- Johnson, M.A.; Preuss, D. Plotting a Course: Multiple Signals Guide Pollen Tubes to Their Targets. Dev. Cell 2002, 2, 273–381. [Google Scholar] [CrossRef] [PubMed]
- Higashiyama, T. The Synergid Cell: Attractor and Acceptor of the Pollen Tube for Double Fertilization. J. Plant Res. 2002, 115, 149–160. [Google Scholar] [CrossRef] [PubMed]
- Huang, B.q.; Scott, D.R. Female Germ Unit: Organization, Isolation, and Function. In International Review of Cytology; Academic Press: Cambridge, MA, USA, 1992; Volume 140, pp. 233–293. [Google Scholar]
- Willemse, M.T.M.; van Went, J.L. The Female Gametophyte. In Embryology of Angiosperms; Springer: Berlin/Heidelberg, Germany, 1984; pp. 159–196. [Google Scholar]
- Elizabeth, A.K. Flowering Plants. Monocots; Springer: New York, USA, 2016; Volume 26. [Google Scholar]
- Soliman, M.; Espinoza, F.; Ortiz, J.P.A.; Delgado, L. Heterochronic Reproductive Developmental Processes between Diploid and Tetraploid Cytotypes of Paspalum rufum. Ann. Bot. 2019, 123, 901–915. [Google Scholar] [CrossRef] [PubMed]
- Gleiser, G.; Verdú, M.; Segarra-Moragues, J.G.; González-Martínez, S.C.; Pannell, J.R. Disassortative Mating, Sexual Specialization, and the Evolution of Gender Dimorphism in Heterodichogamous Acer opalus. Evolution 2008, 62, 1676–1688. [Google Scholar] [CrossRef] [PubMed]
- Russell, S.D. The Egg Cell: Development and Role in Fertilization and Early Embryogenesis. Plant Cell 1993, 5, 1349–1359. [Google Scholar] [CrossRef]
- Esau, K. Anatomy of Seed Plants. Bull. Torrey Bot. Club 1960, 90, 149. [Google Scholar] [CrossRef]
- Gn, D.; Tp, B.; Aq, B.; Rb, G. Regional and Cell-Specific Gene Expression Patterns during Petal Development. Plant Cell 1992, 4, 1383–1404. [Google Scholar]
- Jofuku, K.D.; Goldberg, S.R.B. A Frameshift Mutation Prevents Kunitz Trypsin Inhibitor mRNA Accumulation in Soybean Embryos. Plant Cell 1989, 1, 427–435. [Google Scholar] [PubMed]
- Michalczuk, L.; Cooke, T.J.; Cohen, J.D. Auxin Levels at Different Stages of Carrot Somatic Embryogenesis. Phytochemistry 1992, 31, 1097–1103. [Google Scholar] [CrossRef]
- Yadegari, R. Female Gametophyte Development. Plant Cell 2004, 16, S133–S141. [Google Scholar] [CrossRef]
- Williams, R.A.; Charlton, I.G.; Rode, J. Comparative Ploidy Studies Using Cytological and Paraffin Section Preparations. Cytopathology 1991, 2, 29–31. [Google Scholar] [CrossRef]










Disclaimer/Publisher’s Note: The statements, opinions and data contained in all publications are solely those of the individual author(s) and contributor(s) and not of MDPI and/or the editor(s). MDPI and/or the editor(s) disclaim responsibility for any injury to people or property resulting from any ideas, methods, instructions or products referred to in the content. |
© 2024 by the authors. Licensee MDPI, Basel, Switzerland. This article is an open access article distributed under the terms and conditions of the Creative Commons Attribution (CC BY) license (https://creativecommons.org/licenses/by/4.0/).
Share and Cite
Tong, L.; Wang, J. Morphological Study on the Differentiation of Flower Buds and the Embryological Stages of Male and Female Floral Organs in Lespedeza davurica (Laxm.) Schindl. cv. JinNong (Fabaceae). Plants 2024, 13, 1661. https://doi.org/10.3390/plants13121661
Tong L, Wang J. Morphological Study on the Differentiation of Flower Buds and the Embryological Stages of Male and Female Floral Organs in Lespedeza davurica (Laxm.) Schindl. cv. JinNong (Fabaceae). Plants. 2024; 13(12):1661. https://doi.org/10.3390/plants13121661
Chicago/Turabian StyleTong, Lirong, and Juan Wang. 2024. "Morphological Study on the Differentiation of Flower Buds and the Embryological Stages of Male and Female Floral Organs in Lespedeza davurica (Laxm.) Schindl. cv. JinNong (Fabaceae)" Plants 13, no. 12: 1661. https://doi.org/10.3390/plants13121661
APA StyleTong, L., & Wang, J. (2024). Morphological Study on the Differentiation of Flower Buds and the Embryological Stages of Male and Female Floral Organs in Lespedeza davurica (Laxm.) Schindl. cv. JinNong (Fabaceae). Plants, 13(12), 1661. https://doi.org/10.3390/plants13121661
