Plant Regeneration via Organogenesis in Jerusalem Artichokes and Comparative Analysis of Endogenous Hormones and Antioxidant Enzymes in Typical and Atypical Shoots
Abstract
:1. Introduction
2. Results
2.1. Surface Disinfection with HgCl2 Solution
2.2. Effects of Different Concentrations of 6-BA on Shoot Induction
2.3. Effects of Different Concentrations of 6-BA and GA3 on Shoot Multiplication
2.4. In Vitro Rooting and Plant Establishment in the Field
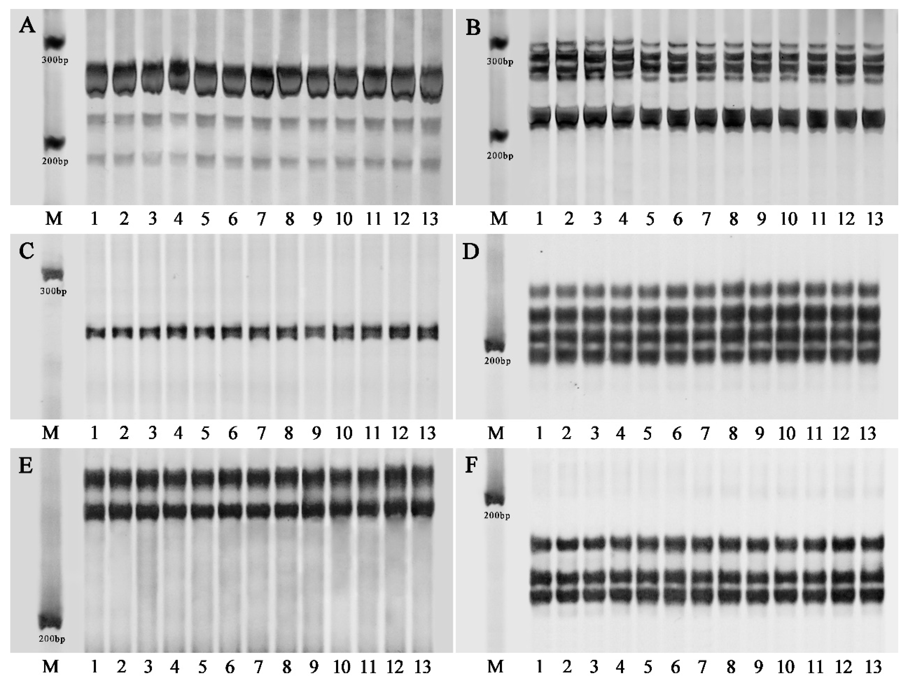
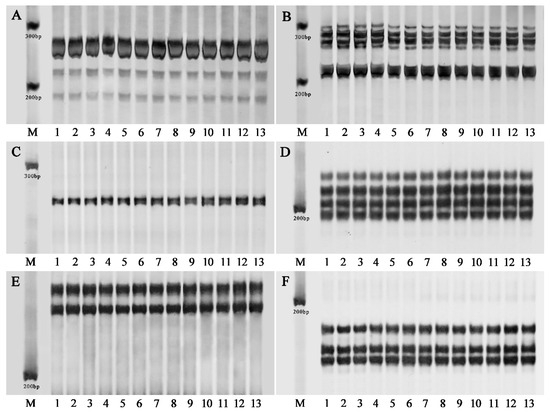
2.5. Genetic Stability Analysis via Flow Cytometry and SSR Markers
2.6. Comparative Analysis of the Endogenou Hormone Levels and Antioxidant Enzyme Activity in the Two Types of Shoots
2.7. Correlation Analysis
3. Discussion
3.1. Establishment of In Vitro Propagation System
3.2. Genetic Stability Assessment of In Vitro-Regenerated Plants
3.3. Differences in the Endogenous Hormone Content and Antioxidant Enzyme Activity in the Typical and Atypical Shoots
4. Materials and Methods
4.1. Plant Material
4.2. Explant Disinfection
4.3. Shoot Induction and Multiplication
4.4. Induction of Rooting
4.5. Acclimatization and Transplantation
4.6. Flow Cytometry Analysis
4.7. SSR Analysis
4.8. Analysis of Endogenous Hormone Content and Antioxidant Enzyme Activity
4.9. Statistical Analysis
5. Conclusions
Supplementary Materials
Author Contributions
Funding
Data Availability Statement
Conflicts of Interest
References
- Swanton, C.J.; Cavers, P.B.; Clements, D.R.; Moore, M.J. The biology of Canadian weeds. 101. Helianthus tuberosus L. Can. J. Plant Sci. 1992, 72, 1367–1382. [Google Scholar] [CrossRef]
- Shao, T.; Long, X.; Liu, Y.; Gao, X.; Liu, M.; Rengel, Z. Effect of industrial crop Jerusalem artichoke on the micro-ecological rhizosphere environment in saline soil. Appl. Soil Ecol. 2021, 166, 104080. [Google Scholar] [CrossRef]
- Wang, Y.; Zhao, Y.; Xue, F.; Nan, X.; Wang, H.; Hua, D.; Liu, J.; Yang, L.; Jiang, L.; Xiong, B. Nutritional value, bioactivity, and application potential of Jerusalem artichoke (Helianthus tuberosus L.) as a neotype feed resource. Anim. Nutr. 2020, 6, 429–437. [Google Scholar] [CrossRef]
- Wan, X.; Guo, H.; Liang, Y.; Zhou, C.; Liu, Z.; Li, K.; Niu, F.; Zhai, X.; Wang, L. The physiological functions and pharmaceutical applications of inulin: A review. Carbohydr. Polym. 2020, 246, 116589. [Google Scholar] [CrossRef] [PubMed]
- Ndhlala, A.R.; Kavaz, Y.A.; Yüksel, M. Nutritional supplementation of yogurt with Jerusalem artichoke tubers: Organic acid profiles and quality parameters. Plants 2022, 11, 3086. [Google Scholar] [CrossRef]
- Wangsomnuk, P.P.; Khampa, S.; Jogloy, S. Exogenous supplementation of growth regulators and temperature improves germination of dormant Jerusalem artichoke (Helianthus tuberosus L.) seeds under in vitro and in vivo conditions. J. Appl. Bio. Sci. 2015, 9, 21–30. [Google Scholar]
- Alla, N.A.; Domokos-Szabolcsy, É.; El-Ramady, H.; Hodossi, S.; Fári, M.; Ragab, M.; Taha, H. Jerusalem artichoke (Helianthus tuberosus L.): A review of in vivo and in vitro propagation. Int. J. Hortic. Sci. 2014, 20, 131–136. [Google Scholar] [CrossRef]
- Cassells, A.C.; Walsh, M. Screening for Sclerotinia resistance in Helianthus tuberosus L. (Jerusalem artichoke) varieties, lines and somaclones, in the field and in vitro. Plant Pathol. 1995, 44, 428–437. [Google Scholar] [CrossRef]
- Sennoi, R.; Jogloy, S.; Saksirirat, W.; Kesmala, T.; Patanothai, A. Genotypic variation of resistance to southern stem rot of Jerusalem artichoke caused by Sclerotium rolfsii. Euphytica 2013, 190, 415–424. [Google Scholar] [CrossRef]
- Chandran, H.; Meena, M.; Barupal, T.; Sharma, K. Plant tissue culture as a perpetual source for production of industrially important bioactive compounds. Biotechnol. Rep. 2020, 26, e00450. [Google Scholar] [CrossRef]
- Wijerathna-Yapa, A.; Ramtekey, V.; Ranawaka, B.; Basnet, B.R. Applications of in vitro tissue culture technologies in breeding and genetic improvement of wheat. Plants 2022, 11, 2273. [Google Scholar] [CrossRef]
- Zhang, Y.; Cao, Y.; Wang, Y.; Cai, X. Somatic embryogenesis induction and genetic stability assessment of plants regenerated from immature seeds of Akebia trifoliate (Thunb.) Koidz. Forests 2023, 14, 473. [Google Scholar] [CrossRef]
- EI Mostafa, N.; Fakiri, M.; Benchekroun, M.; Amzil, J.; El Arbaoui, A.; Hilali, S. Effect of plant growth regulators on somatic embryogenesis from leaf in vitro cultures of Helianthus tuberosus L. J. Food Agric. Environ. 2008, 6, 213–216. [Google Scholar]
- Abdalla, N.A.; Ragab, M.E.; El-Miniawy, S.M.; Arafa, N.M.; Taha, H.S. A new aspect for in vitro propagation of Jerusalem artichoke and molecular assessment using RAPD, ISSR and SCoT marker techniques. Egypt. J. Bot. 2021, 61, 203–218. [Google Scholar] [CrossRef]
- Homsuwan, N.; Mapiyaphun, K.; Ngampanya, B. Effect of sucrose on microtuber induction and inulin accumulation in Jerusalem artichoke (Helianthus tuberosus L.). CMU J. Nat. Sci. 2021, 20, e2021063. [Google Scholar] [CrossRef]
- Zhang, J.M.; Han, L.; Lu, X.X.; Volk, G.M.; Xin, X.; Yin, G.K.; He, J.J.; Wang, L.; Chen, X.L. Cryopreservation of Jerusalem artichoke cultivars using an improved droplet-vitrification method. Plant Cell Tiss. Organ Cult. 2017, 128, 577–587. [Google Scholar] [CrossRef]
- Kim, M.J.; An, D.J.; Moon, K.B.; Cho, H.S.; Min, S.R.; Sohn, J.H.; Jeon, J.H.; Kim, H.S. Highly efficient plant regeneration and Agrobacterium-mediated transformation of Helianthus tuberosus L. Ind. Crops Prod. 2016, 83, 670–679. [Google Scholar] [CrossRef]
- Cai, X.; Deng, Z. Thidiazuron promotes callus induction and proliferation in Caladium × hortulanum Birdsey UF-4609. Propag. Ornam. Plants 2016, 16, 90–97. [Google Scholar]
- Yaroshko, O.; Pasternak, T.; Larriba, E.; Pérez-Pérez, J.M. Optimization of callus induction and shoot regeneration from tomato cotyledon explants. Plants 2023, 12, 2942. [Google Scholar] [CrossRef]
- Song, Y.; Luo, W.; Wu, Y.; Li, X.; Albert, N.W.; Zhang, Y.; Chen, X.; Lin-Wang, K.; Deng, C.H.; Hu, Z.; et al. A callus-derived regeneration and Agrobacterium-mediated gene transformation developed for bilberry, Vaccinium myrtillus. Plant Cell Tiss. Organ Cult. 2023, 154, 177–187. [Google Scholar] [CrossRef]
- Taha, H.S.; El-sawy, A.M.; Bekheet, S.A. In vitro studies on Jerusalem artichoke (Helianthus tuberosus) and enhancement of inulin production. J. Appl. Sci. Res. 2007, 3, 853–858. [Google Scholar]
- Yan, D.; Liu, Z.; Long, X. Primary culture of Helianthus tuberosus plantlet and its adventitious bud induction from callus. J. Plant. Resour. Environ. 2014, 23, 108–110, (In Chinese with English Abstract). [Google Scholar]
- Gaspar, T.; Kevers, C.; Penel, C.; Greppin, H.; Reid, D.M.; Thorpe, T.A. Plant hormones and plant growth regulators in plant tissue culture. In Vitro Cell. Dev. Biol.-Plant 1996, 32, 272–289. [Google Scholar] [CrossRef]
- Wen, S.; Miao, D.; Cui, H.; Li, S.; Gu, Y.; Jia, R.; Leng, Y. Physiology and transcriptomic analysis of endogenous hormones regulating in vitro adventitious root formation in tree peony. Sci. Hortic. 2023, 318, 112122. [Google Scholar] [CrossRef]
- Liu, W.; Wang, C.; Shen, X.; Liang, H.; Wang, Y.; He, Z.; Zhang, D.; Chen, F. Comparative transcriptome analysis highlights the hormone effects on somatic embryogenesis in Catalpa bungei. Plant Reprod. 2019, 32, 141–151. [Google Scholar] [CrossRef] [PubMed]
- Polivanova, O.B.; Bedarev, V.A. Hyperhydricity in plant tissue culture. Plants 2022, 11, 3313. [Google Scholar] [CrossRef]
- Kumari, A.; Baskaran, P.; Plačková, L.; Omámiková, H.; Nisler, J.; Doležal, K.; Van Staden, J. Plant growth regulator interactions in physiological processes for controlling plant regeneration and in vitro development of Tulbaghia simmleri. J. Plant Physiol. 2018, 223, 65–71. [Google Scholar] [CrossRef]
- Liang, Y.; Xu, X.; Shen, H.; Gao, M.; Zhao, Y.; Bai, X. Morphological and endogenous phytohormone changes during long-term embryogenic cultures in Korean pine. Plant. Cell. Tiss. Organ. Cult. 2022, 151, 253–264. [Google Scholar] [CrossRef]
- Ya, R.; Li, J.; Zhang, N.; Yu, Q.; Xu, W. Phenotypically abnormal cotyledonary Vitis vinifera embryos differ in anatomy, endogenous hormone levels and transcriptome profiles. Tree Physiol. 2023, 43, 467–485. [Google Scholar] [CrossRef]
- Vaičiukynė, M.; Žiauka, J.; Žūkienė, R.; Vertelkaitė, L.; Kuusienė, S. Abscisic acid promotes root system development in birch tissue culture: A comparison to aspen culture and conventional rooting-related growth regulators. Physiol. Plant. 2019, 165, 114–122. [Google Scholar] [CrossRef]
- García-Ramírez, Y. Morphological and physiological responses of proliferating shoots of bamboo to cytokinin. Vegetos 2023. [Google Scholar] [CrossRef]
- Kapoor, D.; Singh, S.; Kumar, V.; Romero, R.; Prasad, R.; Singh, J. Antioxidant enzymes regulation in plants in reference to reactive oxygen species (ROS) and reactive nitrogen species (RNS). Plant Gene 2019, 19, 182. [Google Scholar] [CrossRef]
- Guo, B.; He, W.; Zhao, Y.; Wu, Y.; Fu, Y.; Guo, J.; Wei, Y. Changes in endogenous hormones and H2O2 burst during shoot organogenesis in TDZ-treated Saussurea involucrate explants. Plant Cell Tiss. Organ Cult. 2017, 128, 1–8. [Google Scholar] [CrossRef]
- Huang, T.; Zhang, H.; Sheng, Q.; Zhu, Z. Morphological, anatomical, physiological and biochemical changes during adventitious roots formation of Bougainvillea buttiana ‘Miss Manila’. Horticulturae 2022, 8, 1156. [Google Scholar] [CrossRef]
- Schnablova, R.; Synkova, H.; Vicankova, A.; Burketova, L.; Ederc, J.; Cvikrova, M. Transgenic ipt tobacco overproducing cytokinins over accumulates phenolic compounds during in vitro growth. Plant Physiol. Biochem. 2006, 44, 526–534. [Google Scholar] [CrossRef] [PubMed]
- Chen, J.J.; Zhang, Y.S.; Cai, X.D. Optimization of a rapid propagation system for mass production of high-quality plantlets of Trichosanthes kirilowii cv. ‘Yuelou-2’ via organogenesis. Not. Bot. Horti. Agrobo. 2019, 47, 722–728. [Google Scholar]
- Phillips, G.C.; Garda, M. Plant tissue culture media and practices: An overview. In Vitro Cell. Dev. Biol.-Plant. 2019, 55, 242–257. [Google Scholar] [CrossRef]
- Chmielarz, P.; Kotlarski, S.; Kalemba, E.M.; Martins, J.P.R.; Michalak, M. Successful in vitro shoot multiplication of Quercus robur L. trees aged up to 800 years. Plants 2023, 12, 2230. [Google Scholar] [CrossRef]
- Azeri, F.N.; Öztürk, G. Microbulb and plantlet formation of a native bulbous flower, Lilium monodelphum M. Bieb, var. Armenum, through tissue culture propagation. Biotechnol. Rep. 2021, 32, e00665. [Google Scholar] [CrossRef]
- Muhammad, A.; Rashid, H.; Hussain, I. Proliferation-rate effects of BAP and kinetin on banana (Musa spp. AAA group) ‘Basrai’. Hortscience 2007, 42, 1253–1255. [Google Scholar] [CrossRef]
- Xiong, Y.; Chen, S.; Guo, B.; Niu, M.; Zhang, X.; Li, Y.; Wu, K.; Zheng, F.; da Silva, J.A.T.; Zeng, S.; et al. An efficient micropropagation protocol for Metasequoia glyptostroboides Hu et Cheng from shoot segments of 2-year-old trees. Trees 2020, 34, 307–313. [Google Scholar] [CrossRef]
- Halmagyi, A.; Coste, A.; Deliu, C.; Băcilă, I. High frequency direct organogenesis in five Romanian tomato (Lycopersicon esculentum Mill.) cultivars. Horticulturae 2023, 9, 411. [Google Scholar] [CrossRef]
- Chen, J.J.; Zhang, Y.S.; Duan, J.X.; Cao, Y.M.; Cai, X.D. Morphological, cytological, and pigment analysis of leaf color variants regenerated from long-term subcultured caladium callus. In Vitro Cell. Dev. Biol.-Plant. 2021, 57, 60–71. [Google Scholar] [CrossRef]
- Zhao, X.; Yu, S.; Wang, Y.; Jiang, D.; Zhang, Y.; Hu, L.; Zhu, Y.; Jia, Q.; Yin, J.; Liu, Y.; et al. Field performance of disease-free plants of ginger produced by tissue culture and agronomic, cytological, and molecular characterization of the morphological variants. Agronomy 2023, 13, 74. [Google Scholar] [CrossRef]
- Ferreira, M.d.S.; Rocha, A.d.J.; Nascimento, F.d.S.; Oliveira, W.D.d.S.; Soares, J.M.d.S.; Rebouças, T.A.; Morais Lino, L.S.; Haddad, F.; Ferreira, C.F.; Santos-Serejo, J.A.d.; et al. The role of somaclonal variation in plant genetic improvement: A systematic review. Agronomy 2023, 13, 730. [Google Scholar]
- Yu, S.; Zhao, X.; Wang, Y.; Jiang, D.; Zhang, Y.; Hu, L.; Liu, Y.; Cai, X. Morphological, cytological, and molecular-based genetic stability analysis of in vitro-propagated plants from newly induced aneuploids in caladium. Agriculture 2022, 12, 1708. [Google Scholar] [CrossRef]
- Ioannidis, K.; Tomprou, I.; Mitsis, V.; Koropouli, P. Genetic evaluation of in vitro micropropagated and regenerated plants of Cannabis sativa L. using SSR molecular markers. Plants 2022, 11, 2569. [Google Scholar] [CrossRef]
- Wu, Z.; Chen, L.J.; Long, Y.J. Analysis of ultrastructure and reactive oxygen species of hyperhydric garlic (Allium sativum L.) shoots. In Vitro Cell. Dev. Biol.-Plant. 2009, 45, 483–490. [Google Scholar] [CrossRef]
- Hisano, H.; Matsuura, T.; Mori, I.C.; Yamane, M.; Sato, K. Endogenous hormone levels affect the regeneration ability of callus derived from different organs in barley. Plant Physiol. Biochem. 2016, 99, 66–72. [Google Scholar] [CrossRef]
- Jamra, G.; Shah, P.; Agarwal, A.; Sharma, D.; Kumar, A. Endogenous phytonutrient, phytochemical, and phytohormone levels modulate in-vitro callus induction and plant regeneration in finger millet (Eleusine coracana) genotypes. Plant Biosyst. 2021, 156, 700–709. [Google Scholar] [CrossRef]
- Tang, Q.; Guo, X.; Zhang, Y.; Li, Q.; Chen, G.; Sun, H.; Wang, W.; Shen, X. An optimized protocol for indirect organogenesis from root explants of Agapanthus praecox subsp. orientalis ‘Big Blue’. Horticulturae 2022, 8, 715. [Google Scholar]
- Wang, Y.; He, S.; Long, Y.; Zhang, X.; Zhang, X.; Hu, H.; Li, Z.; Hou, F.; Ge, F.; Gao, S.; et al. Genetic variations in ZmSAUR15 contribute to the formation of immature embryo-derived embryonic calluses in maize. Plant J. 2022, 109, 980–991. [Google Scholar]
- Zhou, Y.; Wang, Y.; Li, J.; Liang, J. In vivo FRET-FLIM reveals ER-specific increases in the ABA level upon environmental stresses. Plant Physiol. 2021, 186, 1545–1561. [Google Scholar]
- Pérez-Jiménez, M.; Cantero-Navarro, E.; Pérez-Alfocea, F.; Le-Disquet, I.; Guivarc’h, A.; Cos-Terrer, J. Relationship between endogenous hormonal content and somatic organogenesis in callus of peach (Prunus persica L. Batsch) cultivars and Prunus persica × Prunus dulcis rootstocks. J. Plant Physiol. 2014, 171, 619–624. [Google Scholar] [PubMed]
- Mostafa, H.H.A.; Wang, H.; Song, J.; Li, X. Effects of genotypes and explants on garlic callus production and endogenous hormones. Sci. Rep. 2020, 10, 4867. [Google Scholar] [PubMed]
- Luo, Y.; Hu, T.; Huo, Y.; Wang, L.; Zhang, L.; Yan, R. Transcriptomic and physiological analyses reveal the molecular mechanism through which exogenous melatonin increases drought stress tolerance in chrysanthemum. Plants 2023, 12, 1489. [Google Scholar]
- Baťková, P.; Pospíšilová, J.; Synková, H. Production of reactive oxygen species and development of antioxidative systems during in vitro growth and ex vitro transfer. Biol. Plant. 2008, 52, 413–422. [Google Scholar]
- Mohamed, S.M.; El-Mahrouk, M.E.; El-Banna, A.N.; Hafez, Y.M.; El-Ramady, H.; Abdalla, N.; Dobránszki, J. Optimizing medium composition and environmental culture condition enhances antioxidant enzymes, recovers Gypsophila paniculata L. hyperhydric shoots and improves rooting in vitro. Plants 2023, 12, 306. [Google Scholar]
- Murashige, T.; Skoog, F. A revised medium for rapid growth and bioassay with tobacco tissue cultures. Physiol. Plant. 1962, 15, 473–497. [Google Scholar]
- Zhang, Y.S.; Chen, J.J.; Cao, Y.M.; Duan, J.X.; Cai, X.D. Induction of tetraploids in ‘Red Flash’ caladium using colchicine and oryzalin: Morphological, cytological, photosynthetic and chilling tolerance analysis. Sci. Hortic. 2020, 272, 109524. [Google Scholar]
- Pfosser, M.; Amon, A.; Lelley, T.; Heberle-Bors, E. Evaluation of sensitivity of flow cytometry in detecting aneuploidy in wheat using disomic and ditelosomic wheat-rye addition lines. Cytometry 1995, 21, 387–393. [Google Scholar] [PubMed]
- Fulton, T.M.; Chunwongse, J.; Tanksley, S.D. Microprep protocol for extraction of DNA from tomato and other herbaceous plants. Plant Mol. Biol. Rep. 1995, 13, 207–209. [Google Scholar]
- Yang, S.; Sun, X.; Wang, L.; Gao, J.; Li, L.; Tian, J.; Zhao, M.; Zhong, Q. Development and identification of SSR markers based on transcriptome of Helianthus tuberosus L. Mol. Plant Breed. 2018, 16, 484–492, (In Chinese with English Abstract). [Google Scholar]
- Ge, W.; Bu, H.; Wang, X.; Xia, Y.; Martinez, S.A.; Wang, X.; Qi, W.; Liu, K.; Du, G. Changes in endogenous hormone contents during seed germination of Anemone rivularis var. flore-minore. Glob. Ecol. Conserv. 2020, 24, e01200. [Google Scholar]









| Medium | 6-BA (mg/L) | Shoot Induction Frequency (%) | No. of Regenerated Shoots per Explant | Node Number per Shoot | Shoot Length (cm) | No. of Leaves per Shoot | Fresh Weight of the Calli Formed at the Explant Base (mg) | Frequency of Atypical Shoots (%) |
|---|---|---|---|---|---|---|---|---|
| SI1 | 0 | 94.4 ± 8.2 a | 1.1 ± 0.1 c | 5.7 ± 1.1 a | 4.6 ± 0.8 a | 11.8 ± 1.1 ab | 36.6 ± 6.3 c | 0.0 ± 0.0 d |
| SI2 | 0.25 | 90.2 ± 2.9 ab | 1.5 ± 0.4 c | 3.9 ± 0.7 b | 2.3 ± 0.5 b | 9.3 ± 1.0 c | 468.1 ± 57.1 b | 8.3 ± 0.9 c |
| SI3 | 0.5 | 87.2 ±1.7 b | 2.5 ± 0.7 b | 6.5 ± 1.1 a | 3.9 ± 0.8 a | 13.4 ± 2.4 a | 502.3 ± 41.3 b | 17.3 ± 4.8 b |
| SI4 | 1.0 | 85.2 ± 3.0 b | 3.6 ± 0.8 a | 4.3 ± 0.8 b | 1.8 ± 0.3 b | 10.3 ± 1.3 bc | 728.1 ± 167.4 a | 28.0 ± 6.2 a |
| Medium | PGRs (mg/L) | No. of Shoots per Explant | Shoot Length (cm) | No. of Leaves per Shoot | ||||
|---|---|---|---|---|---|---|---|---|
| 6-BA | GA3 | |||||||
| SM1 | 0.5 | 0.1 | 2.9 ± 0.8 b | 3.1 ± 0.3 a | 5.7 ± 1.4 ab | |||
| SM2 | 0.5 | 0.5 | 3.2 ± 0.7 ab | 3.3 ± 0.4 a | 6.1 ± 1.5 a | |||
| SM3 | 1.0 | 0.1 | 3.0 ± 0.8 b | 2.5 ± 0.6 b | 4.8 ± 1.1 bc | |||
| SM4 | 1.0 | 0.5 | 3.7 ± 1.1 a | 1.7 ± 0.2 c | 4.3 ± 1.2 c | |||
| ANOVA summary table | ||||||||
| Source | F value | p value | F value | p value | F value | p value | ||
| 6-BA | 1.568 | ns | 106.458 | *** | 13.476 | *** | ||
| GA3 | 5.961 | * | 8.634 | ** | 0.005 | ns | ||
| 6-BA × GA3 | 0.581 | ns | 20.907 | *** | 1.432 | ns | ||
| Medium | PGRs (mg/L) | Root Induction Frequency (%) | No. of Adventitious Roots per Plantlet | Average Root Length (cm) | ||||
|---|---|---|---|---|---|---|---|---|
| IBA | NAA | |||||||
| RI1 | 0.05 | 0 | 87.5 ± 12.5 a | 3.3 ± 0.2 c | 12.2 ± 1.7 a | |||
| RI2 | 0.05 | 0.05 | 95.8 ± 7.2 a | 4.7 ± 0.8 a | 14.7 ± 2.0 a | |||
| RI3 | 0.1 | 0 | 85.0 ± 4.3 a | 3.9 ± 0. 5 bc | 13.3 ± 1.5 a | |||
| RI4 | 0.1 | 0.05 | 95.2 ± 8.3 a | 4.4 ± 0.2 ab | 12.4 ± 0.4 a | |||
| ANOVA summary table | ||||||||
| Source | F value | p value | F value | p value | F value | p value | ||
| IBA | 0.097 | ns | 0.205 | ns | 0.485 | ns | ||
| NAA | 3.506 | ns | 12.023 | ** | 0.820 | ns | ||
| IBA × NAA | 0.037 | ns | 2.750 | ns | 3.978 | ns | ||
Disclaimer/Publisher’s Note: The statements, opinions and data contained in all publications are solely those of the individual author(s) and contributor(s) and not of MDPI and/or the editor(s). MDPI and/or the editor(s) disclaim responsibility for any injury to people or property resulting from any ideas, methods, instructions or products referred to in the content. |
© 2023 by the authors. Licensee MDPI, Basel, Switzerland. This article is an open access article distributed under the terms and conditions of the Creative Commons Attribution (CC BY) license (https://creativecommons.org/licenses/by/4.0/).
Share and Cite
Zhang, Y.; Zhang, J.; Yin, J.; Liu, Y.; Cai, X. Plant Regeneration via Organogenesis in Jerusalem Artichokes and Comparative Analysis of Endogenous Hormones and Antioxidant Enzymes in Typical and Atypical Shoots. Plants 2023, 12, 3789. https://doi.org/10.3390/plants12223789
Zhang Y, Zhang J, Yin J, Liu Y, Cai X. Plant Regeneration via Organogenesis in Jerusalem Artichokes and Comparative Analysis of Endogenous Hormones and Antioxidant Enzymes in Typical and Atypical Shoots. Plants. 2023; 12(22):3789. https://doi.org/10.3390/plants12223789
Chicago/Turabian StyleZhang, Yiming, Jiahui Zhang, Junliang Yin, Yiqing Liu, and Xiaodong Cai. 2023. "Plant Regeneration via Organogenesis in Jerusalem Artichokes and Comparative Analysis of Endogenous Hormones and Antioxidant Enzymes in Typical and Atypical Shoots" Plants 12, no. 22: 3789. https://doi.org/10.3390/plants12223789
APA StyleZhang, Y., Zhang, J., Yin, J., Liu, Y., & Cai, X. (2023). Plant Regeneration via Organogenesis in Jerusalem Artichokes and Comparative Analysis of Endogenous Hormones and Antioxidant Enzymes in Typical and Atypical Shoots. Plants, 12(22), 3789. https://doi.org/10.3390/plants12223789

