Some Physiological Effects of Nanofertilizers on Wheat-Aphid Interactions
Abstract
1. Introduction
2. Results
2.1. Total Phenolics Content
2.2. Wheat Lipid Peroxidation (MDA) Content
2.3. Wheat Proline Content
2.4. Wheat Hydrogen Peroxide (H2O2)
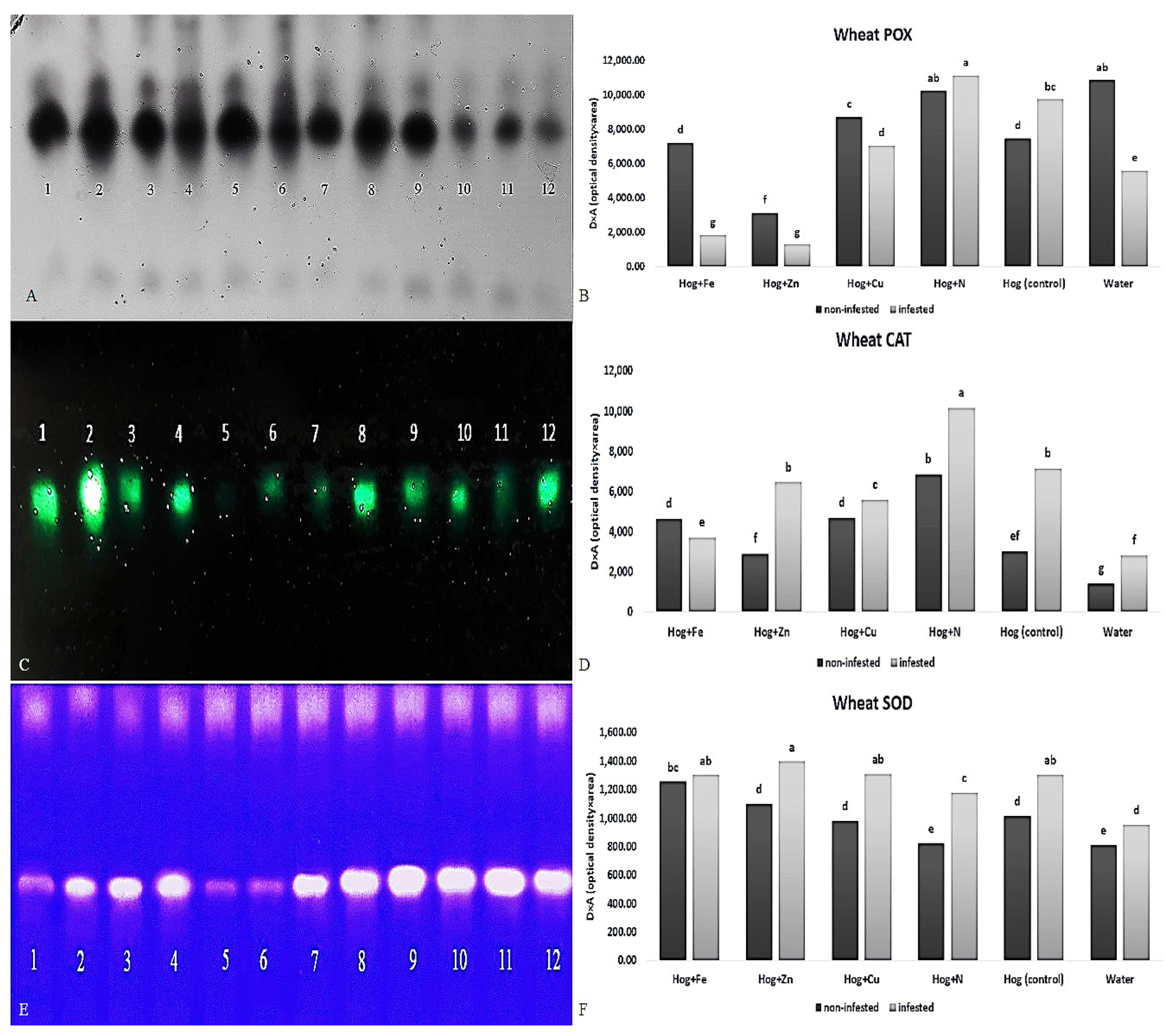
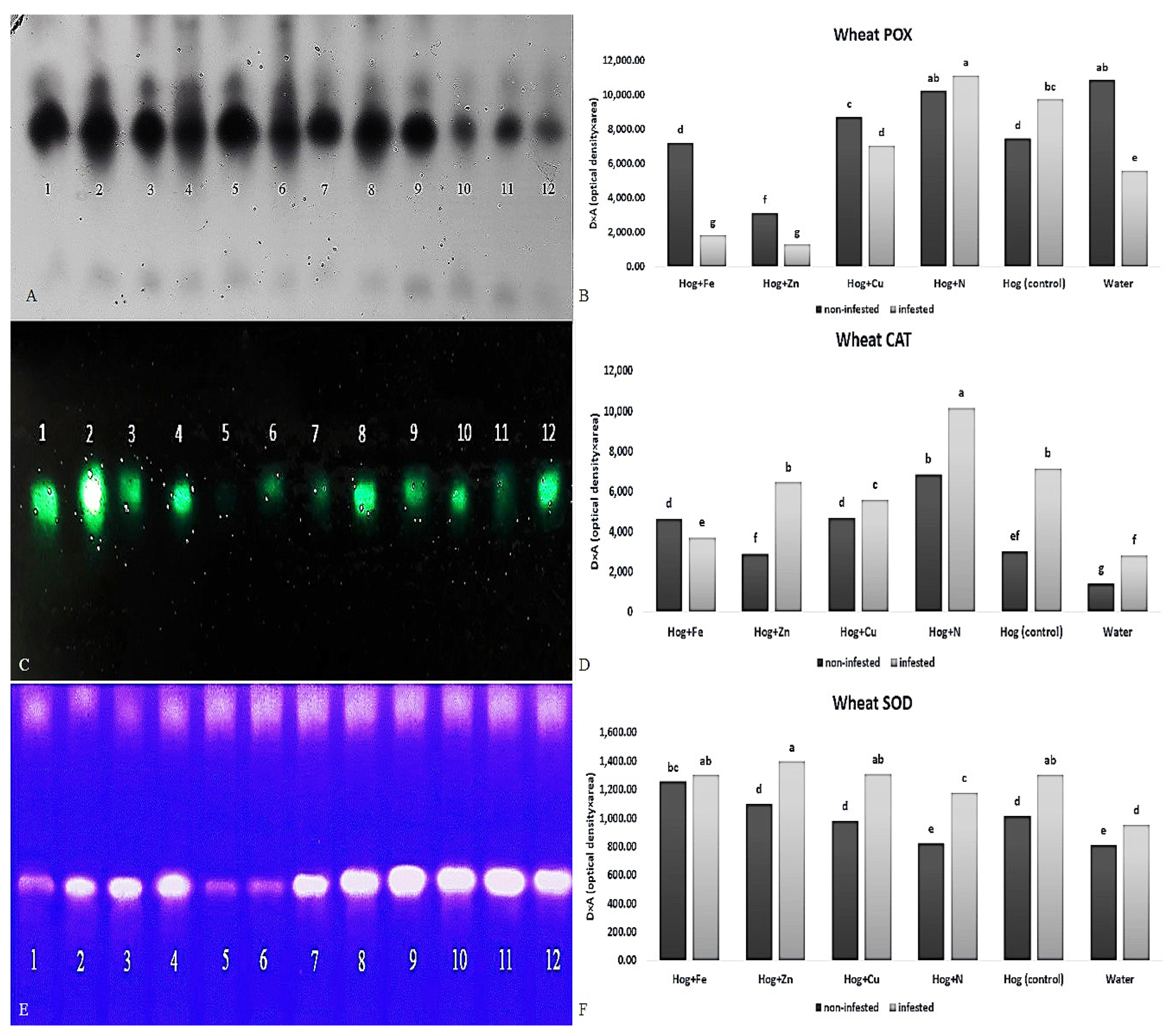
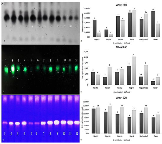
2.5. Antioxidant Enzymes Assay in Wheat
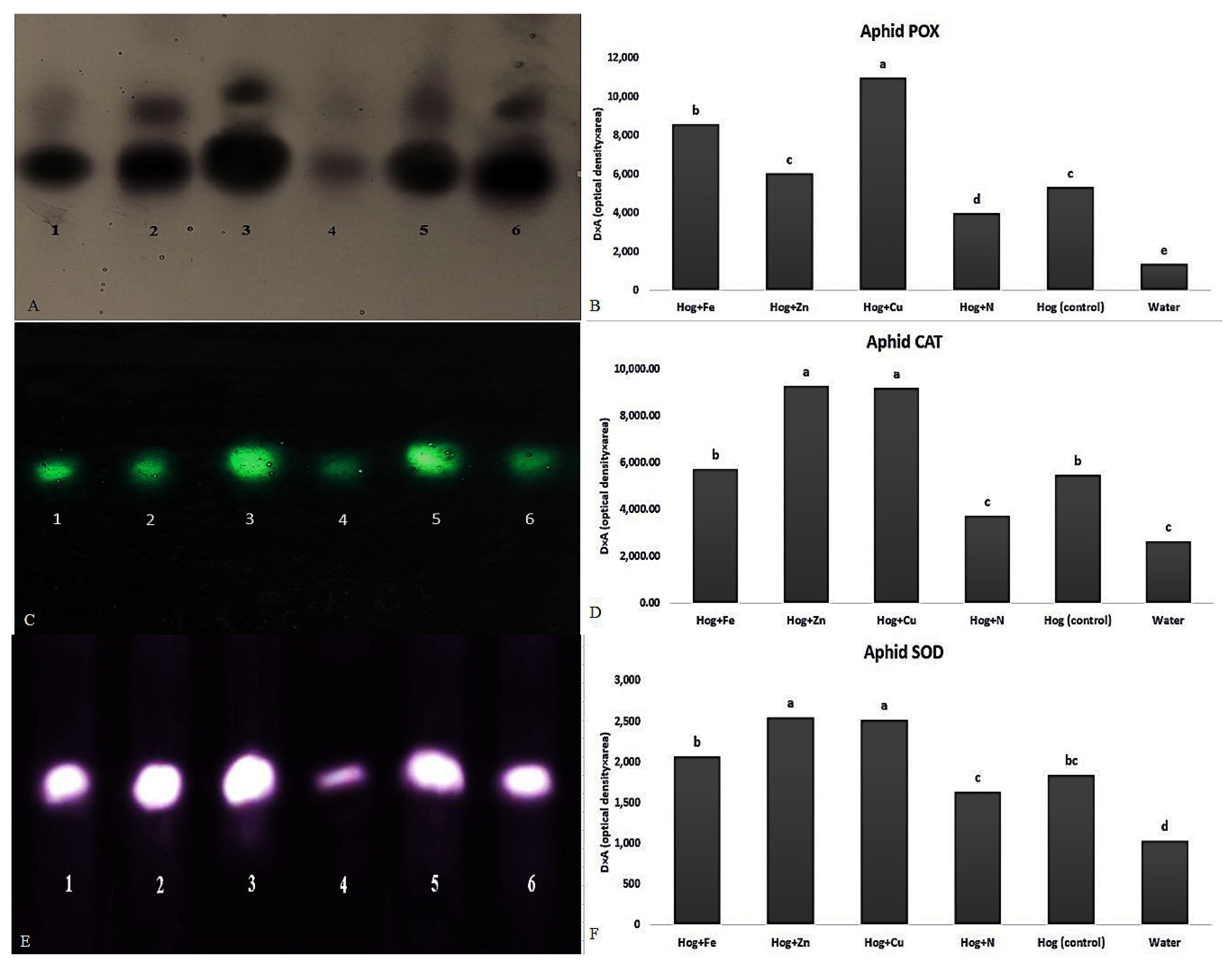
2.6. Antioxidant Enzymes Assay in Aphid
3. Discussion
4. Materials and Methods
4.1. Plant Material
4.2. Nanomaterials Tested
4.3. Insect Culture
4.4. Total Phenolics Content
4.5. Lipid Peroxidation Content
4.6. Proline Assay
4.7. Hydrogen Peroxide Content
4.8. Native Polyacrylamide Gel Electrophoresis (Native PAGE)
4.9. Statistical Analysis
5. Conclusions
Supplementary Materials
Author Contributions
Funding
Data Availability Statement
Acknowledgments
Conflicts of Interest
References
- Shewry, P.R. Wheat. J. Exp. Bot. 2009, 60, 1537–1553. [Google Scholar] [CrossRef] [PubMed]
- Lopes, T.; Hatt, S.; Xu, Q.; Chen, J.; Liu, Y.; Francis, F. Wheat (Triticum Aestivum L.)-Based Intercropping Systems for Biological Pest Control. Pest Manag. Sci. 2016, 72, 2193–2202. [Google Scholar] [CrossRef] [PubMed]
- Gray, S.M. Intraspecific Variability of Luteovirus Transmission within Aphid Vector Populations. In Luteoviridae; Smith, H.G., Barker, H., Eds.; CABI Publisher: Wallingford, UK, 1999. [Google Scholar]
- Gray, S.M.; Smith, D.M.; Barbierri, L.; Burd, J. Virus Transmission Phenotype Is Correlated with Host Adaptation among Genetically Diverse Populations of the Aphid Schizaphis Graminum. Phytopathology 2002, 92, 970–975. [Google Scholar] [CrossRef] [PubMed]
- Barbosa, P.R.R.; Oliveira, M.D.; Barros, E.M.; Michaud, J.P.; Torres, J.B. Differential Impacts of Six Insecticides on a Mealybug and Its Coccinellid Predator. Ecotoxicol. Environ. Saf. 2018, 147, 963–971. [Google Scholar] [CrossRef] [PubMed]
- Ebadollahi, A.; Ziaee, M.; Palla, F. Essential Oils Extracted from Different Species of the Lamiaceae Plant Family as Prospective Bioagents against Several Detrimental Pests. Molecules 2020, 25, 1556. [Google Scholar] [CrossRef]
- Russo, R.; Palla, F. Plant Essential Oils as Biocides in Sustainable Strategies for the Conservation of Cultural Heritage. Sustainability 2023, 15, 8522. [Google Scholar] [CrossRef]
- Biondo, F.; Baldassarre, F.; Vergaro, V.; Ciccarella, G. Controlled Biocide Release from Smart Delivery Systems: Materials Engineering to Tune Release Rate, Biointeractions, and Responsiveness. In Nanotechnology-Based Sustainable Alternatives for the Management of Plant Diseases; Balestra, G.M., Fortunati, E., Eds.; Elsevier: Amsterdam, The Netherlands, 2022; pp. 31–147. ISBN 9780128225882. [Google Scholar]
- Gad, H.A.; Al-Anany, M.S.; Atta, A.A.M.; Abdelgaleil, S.A.M. Efficacy of Low-Dose Combinations of Diatomaceous Earth, Spinosad and Trichoderma Harzianum for the Control of Callosobruchus Maculatus and Callosobruchus Chinensis on Stored Cowpea Seeds. J. Stored Prod. Res. 2021, 91, 101778. [Google Scholar] [CrossRef]
- Hermes, P.H.; Gabriela, M.P.; Ileana, V.R.; Fusaro, C.; Fernando, L.V.; Mariana, M.A.; Padilla-Rodríguez, C.; Fabián, F.L. Carbon Nanotubes as Plant Growth Regulators: Prospects. In Nanotechnology in the Life Sciences; Springer Science and Business Media B.V.: Berlin/Heidelberg, Germany, 2020; pp. 77–115. [Google Scholar]
- Suriya Prabha, A.; Angelin Thangakani, J.; Renuga Devi, N.; Dorothy, R.; Nguyen, T.A.; Senthil Kumaran, S.; Rajendran, S. Nanotechnology and Sustainable Agriculture. In Nanosensors for Smart Agriculture; Denizli, A., Nguyen, T.A., Rajendran, S., Yasin, G., Nadda, A.K., Eds.; Elsevier: Amsterdam, The Netherlands, 2022; pp. 25–39. ISBN 9780128245545. [Google Scholar]
- Serag, M.F.; Kaji, N.; Gaillard, C.; Okamoto, Y.; Terasaka, K.; Jabasini, M.; Tokeshi, M.; Mizukami, H.; Bianco, A.; Baba, Y. Trafficking and Subcellular Localization of Multiwalled Carbon Nanotubes in Plant Cells. ACS Nano 2011, 5, 493–499. [Google Scholar] [CrossRef]
- Su, Y.; Ashworth, V.; Kim, C.; Adeleye, A.S.; Rolshausen, P.; Roper, C.; White, J.; Jassby, D. Delivery, Uptake, Fate, and Transport of Engineered Nanoparticles in Plants: A Critical Review and Data Analysis. Environ. Sci. Nano 2019, 6, 2311–2331. [Google Scholar] [CrossRef]
- Nair, R.; Varghese, S.H.; Nair, B.G.; Maekawa, T.; Yoshida, Y.; Kumar, D.S. Nanoparticulate Material Delivery to Plants. Plant Sci. 2010, 179, 154–163. [Google Scholar] [CrossRef]
- Shweta; Sood, S.; Sharma, A.; Chadha, S.; Guleria, V. Nanotechnology: A Cutting-Edge Technology in Vegetable Production. J. Hortic. Sci. Biotechnol. 2021. [Google Scholar] [CrossRef]
- Vera-Reyes, I.; Vázquez-Núñez, E.; Lira-Saldivar, R.H.; Méndez-Argüello, B. Effects of Nanoparticles on Germination, Growth, and Plant Crop Development. In Agricultural Nanobiotechnology; López-Valdez, F., Fernández-Luqueño, F., Eds.; Springer International Publishing: Berlin/Heidelberg, Germany, 2018; pp. 77–110. [Google Scholar]
- Salama, D.M.; Abd El-Aziz, M.E.; Rizk, F.A.; Abd Elwahed, M.S.A. Applications of Nanotechnology on Vegetable Crops. Chemosphere 2021, 266. [Google Scholar] [CrossRef]
- Scott, N.R.; Chen, H.; Cui, H. Nanotechnology Applications and Implications of Agrochemicals toward Sustainable Agriculture and Food Systems. J. Agric. Food Chem. 2018, 66, 6451–6456. [Google Scholar] [CrossRef] [PubMed]
- Wilson, M.A.; Tran, N.H.; Milev, A.S.; Kannangara, G.S.K.; Volk, H.; Lu, G.Q.M. Nanomaterials in Soils. Geoderma 2008, 146, 291–302. [Google Scholar] [CrossRef]
- Villagarcia, H.; Dervishi, E.; De Silva, K.; Biris, A.S.; Khodakovskaya, M.V. Surface Chemistry of Carbon Nanotubes Impacts the Growth and Expression of Water Channel Protein in Tomato Plants. Small 2012, 8, 2328–2334. [Google Scholar] [CrossRef]
- Liu, R.; Lal, R. Potentials of Engineered Nanoparticles as Fertilizers for Increasing Agronomic Productions. Sci. Total Environ. 2015, 514, 131–139. [Google Scholar] [CrossRef]
- Liu, G.; Hanlon, E.; Li, Y. Understanding and Applying Chelated Fertilizers Effectively Based on Soil PH: HS1208/HS1208, 11/2012. EDIS 2012, 2012. [Google Scholar] [CrossRef]
- Gohari, G.; Panahirad, S.; Sepehri, N.; Akbari, A.; Zahedi, S.M.; Jafari, H.; Dadpour, M.R.; Fotopoulos, V. Enhanced Tolerance to Salinity Stress in Grapevine Plants through Application of Carbon Quantum Dots Functionalized by Proline. Environ. Sci. Pollut. Res. 2021, 28, 42877–42890. [Google Scholar] [CrossRef]
- Gill, S.S.; Tuteja, N. Reactive Oxygen Species and Antioxidant Machinery in Abiotic Stress Tolerance in Crop Plants. Plant Physiol. Biochem. 2010, 48, 909–930. [Google Scholar] [CrossRef]
- Ali, B.; Rani, I.; Hayat, S.; Ahmad, A. Effect of 4-Cl-Indole-3-Acetic Acid on the Seed Germination of Cicer Arietinum Exposed to Cadmium. Acta Bot. Croat. 2007, 66, 57–65. [Google Scholar]
- Apel, K.; Hirt, H. Reactive Oxygen Species: Metabolism, Oxidative Stress, and Signal Transduction. Annu. Rev. Plant Biol. 2004, 55, 373–399. [Google Scholar] [CrossRef]
- Wang, Y.; Oberley, L.W.; Murhammer, D.W. Evidence of Oxidative Stress Following the Viral Infection of Two Lepidopteran Insect Cell Lines. Free Radic. Biol. Med. 2001, 31, 1448–1455. [Google Scholar] [CrossRef] [PubMed]
- Thompson, G.A.; Schulz, A. Macromolecular Trafficking in the Phloem. Trends Plant Sci. 1999, 4, 354–360. [Google Scholar] [CrossRef] [PubMed]
- Mattson, W.J., Jr. Herbivory in Relation to Plant Nitrogen Content. Annu. Rev. Ecol. Syst. 1980, 11, 119–161. [Google Scholar] [CrossRef]
- Van Emden, H.F. Studies on the Relations of Insect and Host Plant: III. A Comparison of the Reproduction of Brevicoryne Brassicae and Myzus Persicae:(Hemiptera: Aphididae) on Brussels Sprout Plants Supplied with Different Rates of Nitrogen and Potassium. Entomol. Exp. Appl. 1966, 9, 444–460. [Google Scholar] [CrossRef]
- Daniels, N.E. Greenbug Populations and Their Damage to Winter Wheat as Affected by Fertilizer Applications. J. Econ. Entomol. 1957, 50, 793–794. [Google Scholar] [CrossRef]
- Gorur, G. Effects of Host Plant Contaminated with Heavy Metals on the Life History Traits of Aphids (Brevicoryne Brassicae L.). Polish J. Ecol. 2007, 55, 113. [Google Scholar]
- Shu, Y.; Zhou, J.; Tang, W.; Lu, K.; Zhou, Q.; Zhang, G. Molecular Characterization and Expression Pattern of Spodoptera Litura (Lepidoptera: Noctuidae) Vitellogenin, and Its Response to Lead Stress. J. Insect Physiol. 2009, 55, 608–616. [Google Scholar] [CrossRef]
- Fakharzadeh, S.; Hafizi, M.; Baghaei, M.A.; Etesami, M.; Khayamzadeh, M.; Kalanaky, S.; Akbari, M.E.; Nazaran, M.H. Using Nanochelating Technology for Biofortification and Yield Increase in Rice. Sci. Rep. 2020, 10, 4351. [Google Scholar] [CrossRef]
- Astaneh, N.; Bazrafshan, F.; Zare, M.; Amiri, B.; Bahrani, A. Nano-Fertilizer Prevents Environmental Pollution and Improves Physiological Traits of Wheat Grown under Drought Stress Conditions. Sci. Agropecu. 2021, 12, 41–47. [Google Scholar] [CrossRef]
- Ahmadian, K.; Jalilian, J.; Pirzad, A. Nano-Fertilizers Improved Drought Tolerance in Wheat under Deficit Irrigation. Agric. Water Manag. 2021, 244, 106544. [Google Scholar] [CrossRef]
- Rahemi, M.; Gharechahi, S.R.; Sedaghat, S. The Application of Nano-Iron Chelate and Iron Chelate to Soil and as Foliar Application: Treatments against Chlorosis and Fruit Quality in Quince. Int. J. Fruit Sci. 2020, 20, 300–313. [Google Scholar] [CrossRef]
- Schutzendubel, A.; Polle, A. Plant Responses to Abiotic Stresses: Heavy Metal-induced Oxidative Stress and Protection by Mycorrhization. J. Exp. Bot. 2002, 53, 1351–1365. [Google Scholar] [CrossRef] [PubMed]
- Gratão, P.L.; Polle, A.; Lea, P.J.; Azevedo, R.A. Making the Life of Heavy Metal-Stressed Plants a Little Easier. Funct. Plant Biol. 2005, 32, 481–494. [Google Scholar] [CrossRef] [PubMed]
- Seneviratne, G.; Jayasinghearachchi, H.S. Mycelial Colonization by Bradyrhizobia and Azorhizobia. J. Biosci. 2003, 28, 243. [Google Scholar] [CrossRef]
- Kaur, R.; Yadav, P.; Sharma, A.; Thukral, A.K.; Kumar, V.; Kohli, S.K.; Bhardwaj, R. Castasterone and Citric Acid Treatment Restores Photosynthetic Attributes in Brassica Juncea L. under Cd (II) Toxicity. Ecotoxicol. Environ. Saf. 2017, 145, 466–475. [Google Scholar] [CrossRef]
- Kohli, S.K.; Handa, N.; Sharma, A.; Gautam, V.; Arora, S.; Bhardwaj, R.; Wijaya, L.; Alyemeni, M.N.; Ahmad, P. Interaction of 24-Epibrassinolide and Salicylic Acid Regulates Pigment Contents, Antioxidative Defense Responses, and Gene Expression in Brassica Juncea L. Seedlings under Pb Stress. Environ. Sci. Pollut. Res. 2018, 25, 15159–15173. [Google Scholar] [CrossRef]
- Handa, N.; Kohli, S.K.; Sharma, A.; Thukral, A.K.; Bhardwaj, R.; Abd_Allah, E.F.; Alqarawi, A.A.; Ahmad, P. Selenium Modulates Dynamics of Antioxidative Defence Expression, Photosynthetic Attributes and Secondary Metabolites to Mitigate Chromium Toxicity in Brassica Juncea L. Plants. Environ. Exp. Bot. 2019, 161, 180–192. [Google Scholar] [CrossRef]
- Hezaveh, T.A.; Pourakbar, L.; Rahmani, F.; Alipour, H. Effects of ZnO NPs on Phenolic Compounds of Rapeseed Seeds under Salinity Stress. J. Plant Process Funct. 2020, 8, 11–18. [Google Scholar]
- Vidal, C.; Ruiz, A.; Ortiz, J.; Larama, G.; Perez, R.; Santander, C.; Ferreira, P.A.A.; Cornejo, P. Antioxidant responses of phenolic compounds and immobilization of copper in Imperata cylindrica, a plant with potential use for bioremediation of Cu contaminated environments. Plants 2020, 9, 1397. [Google Scholar] [CrossRef]
- Chong, W.J.; Guang, Y.Y.; Yun, F.H.; Tang, C.; Wu, P.; Shao, J.Z. Iron Deficiency-Induced Secretion of Phenolics Facilitates the Reutilization of Root Apoplastic Iron in Red Clover. Plant Physiol. 2007, 144, 278–285. [Google Scholar] [CrossRef]
- Chrzanowski, G.; Leszczyński, B. Induced Accumulation of Phenolic Acids in Winter Triticale (Triticosecale Wittm.) under Insects Feeding. Herba Pol. 2008, 54. [Google Scholar]
- Kariyat, R.R.; Gaffoor, I.; Sattar, S.; Dixon, C.W.; Frock, N.; Moen, J.; De Moraes, C.M.; Mescher, M.C.; Thompson, G.A.; Chopra, S. Sorghum 3-Deoxyanthocyanidin Flavonoids Confer Resistance against Corn Leaf Aphid. J. Chem. Ecol. 2019, 45, 502–514. [Google Scholar] [CrossRef] [PubMed]
- Bailly, C.; Benamar, A.; Corbineau, F.; Côme, D. Changes in Malondialdehyde Content and in Superoxide Dismutase, Catalase and Glutathione Reductase Activities in Sunflower Seeds as Related to Deterioration during Accelerated Aging. Physiol. Plant. 1996, 97, 104–110. [Google Scholar] [CrossRef]
- Jiang, M.Y.; Jing, J.H.; Wang, S.T. Generation of Hydroxyl Radical in Plants and Its Relation to the Initiation of Lipid Peroxidation. Plant Physiol. Commun. 1993, 29, 300–305. [Google Scholar]
- García-Gómez, C.; Obrador, A.; González, D.; Babín, M.; Fernández, M.D. Comparative Effect of ZnO NPs, ZnO Bulk and ZnSO4 in the Antioxidant Defences of Two Plant Species Growing in Two Agricultural Soils under Greenhouse Conditions. Sci. Total Environ. 2017, 589, 11–24. [Google Scholar] [CrossRef]
- Perveen, S.; Saeed, M.; Parveen, A.; Javed, M.T.; Zafar, S.; Iqbal, N. Modulation of Growth and Key Physiobiochemical Attributes after Foliar Application of Zinc Sulphate (ZnSO4) on Wheat (Triticum Aestivum L.) under Cadmium (Cd) Stress. Physiol. Mol. Biol. Plants 2020, 26, 1787–1797. [Google Scholar] [CrossRef]
- Gaschler, M.M.; Stockwell, B.R. Lipid Peroxidation in Cell Death. Biochem. Biophys. Res. Commun. 2017, 482, 419–425. [Google Scholar] [CrossRef]
- Zhang, L.; Li, S.; Zhang, H.; Liang, Z. Nitrogen Rates and Water Stress Effects on Production, Lipid Peroxidation and Antioxidative Enzyme Activities in Two Maize (Zea Mays L.) Genotypes. J. Agron. Crop Sci. 2007, 193, 387–397. [Google Scholar] [CrossRef]
- Farhoudi, R. Effect of Salt Stress on Physiological and Morphological Parameters of Rapeseed Cultivars. Adv. Environ. Biol. 2011, 5, 2501–2508. [Google Scholar]
- Maccaferri, M.; Sanguineti, M.C.; Demontis, A.; El-Ahmed, A.; Garcia del Moral, L.; Maalouf, F.; Nachit, M.; Nserallah, N.; Ouabbou, H.; Rhouma, S. Association Mapping in Durum Wheat Grown across a Broad Range of Water Regimes. J. Exp. Bot. 2011, 62, 409–438. [Google Scholar] [CrossRef]
- Ashraf, M.; Parveen, N. Photosynthetic Parameters at the Vegetative Stage and during Grain Development of Two Hexaploid Wheat Cultivars Differing in Salt Tolerance. Biol. Plant. 2002, 45, 401–407. [Google Scholar] [CrossRef]
- Szabados, L.; Savouré, A. Proline: A Multifunctional Amino Acid. Trends Plant Sci. 2010, 15, 89–97. [Google Scholar] [CrossRef]
- Slama, I.; Ghnaya, T.; Hessini, K.; Messedi, D.; Savouré, A.; Abdelly, C. Comparative Study of the Effects of Mannitol and PEG Osmotic Stress on Growth and Solute Accumulation in Sesuvium Portulacastrum. Environ. Exp. Bot. 2007, 61, 10–17. [Google Scholar] [CrossRef]
- Saradhi, P.P. Proline Accumulation under Heavy Metal Stress. J. Plant Physiol. 1991, 138, 554–558. [Google Scholar]
- Bassi, R.; Sharma, S.S. Proline Accumulation in Wheat Seedlings Exposed to Zinc and Copper. Phytochemistry 1993, 33, 1339–1342. [Google Scholar] [CrossRef]
- Sawhney, V.; Sheoran, I.S.; Singh, R. Nitrogen Fixation, Photosynthesis and Enzymes of Ammonia Assimilation and Ureide Biogenesis in Nodules of Mungbean (Vigna Radiata) Grown in Presence of Cadmium. Indian J. Exp. Biol. 1990, 28, 883–886. [Google Scholar]
- Saradhi, P.P.; Mohanty, P. Proline in Relation to Free Radical Production in Seedlings of Brassica Juncea Raised under Sodium Chloride Stress. In Proceedings of the Plant Nutrition—From Genetic Engineering to Field Practice: Proceedings of the Twelfth International Plant Nutrition Colloquium, Perth, Australia, 21–26 September 1993; Springer: Berlin/Heidelberg, Germany, 1993; pp. 731–734. [Google Scholar]
- Jetley, U.K.; Choudhary, M.; Fatma, T. Evaluation of Bio-Chemical Productivity in Cyanobacterium Spirulina Platensis-S5 under Heavy Metal Stress. Asian J. Chem. 2004, 16, 1524–1528. [Google Scholar]
- Kumar, S.; Jetley, U.K.; Fatma, T. Tolerance of Spirulina Platensis-S5 and Anabaena Sp to Endosulfan an Organochlorine Pesticide. Ann. Plant Physiol. 2004, 18, 103–107. [Google Scholar]
- Jajic, I.; Sarna, T.; Strzalka, K. Senescence, Stress, and Reactive Oxygen Species. Plants 2015, 4, 393–411. [Google Scholar] [CrossRef] [PubMed]
- Anjum, N.A.; Sofo, A.; Scopa, A.; Roychoudhury, A.; Gill, S.S.; Iqbal, M.; Lukatkin, A.S.; Pereira, E.; Duarte, A.C.; Ahmad, I. Lipids and Proteins—Major Targets of Oxidative Modifications in Abiotic Stressed Plants. Environ. Sci. Pollut. Res. 2015, 22, 4099–4121. [Google Scholar] [CrossRef]
- Kim, J.; Rees, D.C. Structural Models for the Metal Centers in the Nitrogenase Molybdenum-Iron Protein. Science 1992, 257, 1677–1682. [Google Scholar] [CrossRef] [PubMed]
- Weisany, W.; Sohrabi, Y.; Heidari, G.; Siosemardeh, A.; Ghassemi-Golezani, K. Changes in Antioxidant Enzymes Activity and Plant Performance by Salinity Stress and Zinc Application in Soybean (Glycine Max L.). Plant Omics 2012, 5, 60–67. [Google Scholar]
- Dat, J.; Vandenabeele, S.; Vranova, E.; Van Montagu, M.; Inzé*, D.; Van Breusegem, F. Dual Action of the Active Oxygen Species during Plant Stress Responses. Cell. Mol. Life Sci. C 2000, 57, 779–795. [Google Scholar] [CrossRef] [PubMed]
- Foyer, C.H.; Noctor, G. Tansley Review No. 112 Oxygen Processing in Photosynthesis: Regulation and Signalling. New Phytol. 2000, 146, 359–388. [Google Scholar] [CrossRef]
- León, J.; Rojo, E.; Sánchez-Serrano, J.J. Wound Signalling in Plants. J. Exp. Bot. 2001, 52, 1–9. [Google Scholar] [CrossRef]
- Demiral, T.; Türkan, I. Comparative Lipid Peroxidation, Antioxidant Defense Systems and Proline Content in Roots of Two Rice Cultivars Differing in Salt Tolerance. Environ. Exp. Bot. 2005, 53, 247–257. [Google Scholar] [CrossRef]
- Møller, I.M.; Jensen, P.E.; Hansson, A. Oxidative Modifications to Cellular Components in Plants. Annu. Rev. Plant Biol. 2007, 58, 459–481. [Google Scholar] [CrossRef]
- Briat, J.-F.; Curie, C.; Gaymard, F. Iron Utilization and Metabolism in Plants. Curr. Opin. Plant Biol. 2007, 10, 276–282. [Google Scholar] [CrossRef]
- Mosavat, N.; Golkar, P.; Yousefifard, M.; Javed, R. Modulation of Callus Growth and Secondary Metabolites in Different Thymus Species and Zataria Multiflora Micropropagated under ZnO Nanoparticles Stress. Biotechnol. Appl. Biochem. 2019, 66, 316–322. [Google Scholar] [CrossRef]
- Stohs, S.J.; Bagchi, D. Oxidative Mechanisms in the Toxicity of Metal Ions. Free Radic. Biol. Med. 1995, 18, 321–336. [Google Scholar] [CrossRef] [PubMed]
- Briat, J.-F. Metal Ion-Activated Oxidative Stress and Its Control. Oxidative Stress Plants 2002, 171–189. [Google Scholar]
- Chaoui, A.; Mazhoudi, S.; Habib Ghorbal, M.; Ferjani, E. Cadmium and Zinc Induction of Lipid Peroxidation and Effects on Antioxidant Enzyme Activities in Bean (Phaseolus vulgaris L.). Plant Sci. 1997, 127, 139–147. [Google Scholar] [CrossRef]
- Luna, C.M.; González, C.A.; Trippi, V.S. Oxidative Damage Caused by an Excess of Copper in Oat Leaves. Plant Cell Physiol. 1994, 35, 11–15. [Google Scholar]
- Mukherjee, A.; Peralta-Videa, J.R.; Bandyopadhyay, S.; Rico, C.M.; Zhao, L.; Gardea-Torresdey, J.L. Physiological Effects of Nanoparticulate ZnO in Green Peas (Pisum Sativum L.) Cultivated in Soil. Metallomics 2014, 6, 132–138. [Google Scholar] [CrossRef] [PubMed]
- Kim, S.; Lee, S.; Lee, I. Alteration of Phytotoxicity and Oxidant Stress Potential by Metal Oxide Nanoparticles in Cucumis Sativus. Water Air Soil Pollut. 2012, 223, 2799–2806. [Google Scholar] [CrossRef]
- Van Assche, F.; Clijsters, H. Effects of Metals on Enzyme Activity in Plants. Plant. Cell Environ. 1990, 13, 195–206. [Google Scholar] [CrossRef]
- Harinasut, P.; Poonsopa, D.; Roengmongkol, K.; Charoensataporn, R. Salinity Effects on Antioxidant Enzymes in Mulberry Cultivar. Sci. Asia 2003, 29, 109–113. [Google Scholar] [CrossRef]
- Bhattacharjee, S.; Mukherjee, A.K. Salt Stress-Induced Cytosolute Accumulation, Antioxidant Response and Membrane Deterioration in Three Rice Cultivars during Early Germination. Seed Sci. Technol. 2002, 30, 279–287. [Google Scholar]
- Štajner, D.; Kevrešan, S.; Gašić, O.; Mimica-Dukić, N.; Zongli, H. Nitrogen and Azotobacter Chroococcum Enhance Oxidative Stress Tolerance in Sugar Beet. Biol. Plant. 1997, 39, 441–445. [Google Scholar] [CrossRef]
- Zhang, F.; Wan, X.; Zheng, Y.; Sun, L.; Chen, Q.; Zhu, X.; Guo, Y.; Liu, M. Effects of Nitrogen on the Activity of Antioxidant Enzymes and Gene Expression in Leaves of Populus Plants Subjected to Cadmium Stress. J. Plant Interact. 2014, 9, 599–609. [Google Scholar] [CrossRef]
- Rengel, Z.; Graham, R.D. Wheat Genotypes Differ in Zn Efficiency When Grown in Chelate-Buffered Nutrient Solution: I. Growth. Plant Soil 1995, 176, 307–316. [Google Scholar] [CrossRef]
- Jeong, J.; Connolly, E.L. Iron Uptake Mechanisms in Plants: Functions of the FRO Family of Ferric Reductases. Plant Sci. 2009, 176, 709–714. [Google Scholar] [CrossRef]
- Li, M.; Hu, C.; Zhu, Q.; Chen, L.; Kong, Z.; Liu, Z. Copper and Zinc Induction of Lipid Peroxidation and Effects on Antioxidant Enzyme Activities in the Microalga Pavlova Viridis (Prymnesiophyceae). Chemosphere 2006, 62, 565–572. [Google Scholar] [CrossRef] [PubMed]
- Alscher, R.G.; Erturk, N.; Heath, L.S. Role of Superoxide Dismutases (SODs) in Controlling Oxidative Stress in Plants. J. Exp. Bot. 2002, 53, 1331–1341. [Google Scholar] [CrossRef]
- Asmar, F.; Singh, T.; Nielsen, N.E. Barley Genotypes Differ in Activity of Soluble Extracellular Phosphatase and Depletion of Organic Phosphorus in the Rhizosphere Soil. Plant Soil 1995, 172, 117–122. [Google Scholar] [CrossRef]
- Li, Z.-H.; Li, P.; Dzyuba, B.; Randak, T. Influence of Environmental Related Concentrations of Heavy Metals on Motility Parameters and Antioxidant Responses in Sturgeon Sperm. Chem. Biol. Interact. 2010, 188, 473–477. [Google Scholar] [CrossRef]
- Pandey, S.; Parvez, S.; Sayeed, I.; Haque, R.; Bin-Hafeez, B.; Raisuddin, S. Biomarkers of Oxidative Stress: A Comparative Study of River Yamuna Fish Wallago Attu (Bl. & Schn.). Sci. Total Environ. 2003, 309, 105–115. [Google Scholar]
- Okamoto, O.K.; Pinto, E.; Latorre, L.R.; Bechara, E.J.H.; Colepicolo, P. Antioxidant Modulation in Response to Metal-Induced Oxidative Stress in Algal Chloroplasts. Arch. Environ. Contam. Toxicol. 2001, 40, 18–24. [Google Scholar]
- Rijstenbil, J.W.; Derksen, J.W.M.; Gerringa, L.J.A.; Poortvliet, T.C.W.; Sandee, A.; Van den Berg, M.; Van Drie, J.; Wijnholds, J.A. Oxidative Stress Induced by Copper: Defense and Damage in the Marine Planktonic Diatom Ditylum Brightwellii, Grown in Continuous Cultures with High and Low Zinc Levels. Mar. Biol. 1994, 119, 583–590. [Google Scholar] [CrossRef]
- Nagalakshmi, N.; Prasad, M.N.V. Responses of Glutathione Cycle Enzymes and Glutathione Metabolism to Copper Stress in Scenedesmus Bijugatus. Plant Sci. 2001, 160, 291–299. [Google Scholar] [CrossRef] [PubMed]
- Cuypers, A.; Vangronsveld, J.; Clijsters, H. The Redox Status of Plant Cells (AsA and GSH) Is Sensitive to Zinc Imposed Oxidative Stress in Roots and Primary Leaves of Phaseolus Vulgaris. Plant Physiol. Biochem. 2001, 39, 657–664. [Google Scholar] [CrossRef]
- Galloway, T.S.; Depledge, M.H. Immunotoxicity in Invertebrates: Measurement and Ecotoxicological Relevance. Ecotoxicology 2001, 10, 5–23. [Google Scholar] [CrossRef] [PubMed]
- Dubovskiy, I.M.; Grizanova, E.V.; Ershova, N.S.; Rantala, M.J.; Glupov, V.V. The Effects of Dietary Nickel on the Detoxification Enzymes, Innate Immunity and Resistance to the Fungus Beauveria Bassiana in the Larvae of the Greater Wax Moth Galleria Mellonella. Chemosphere 2011, 85, 92–96. [Google Scholar] [CrossRef]
- Ha, E.-M.; Oh, C.-T.; Bae, Y.S.; Lee, W.-J. A Direct Role for Dual Oxidase in Drosophila Gut Immunity. Science 2005, 310, 847–850. [Google Scholar] [CrossRef]
- Alaraby, M.; Hernández, A.; Marcos, R. New Insights in the Acute Toxic/Genotoxic Effects of CuO Nanoparticles in the in Vivo Drosophila Model. Nanotoxicology 2016, 10, 749–760. [Google Scholar] [CrossRef]
- El-Samad, L.M.; El-Gendy, A.H.; Abdel-Moneim, A.M.; El-Ashram, S.; Augustyniak, M. CuO NPs-Induced Damage to Testes and Deregulation of the Antioxidant System in Wild Terrestrial Organism Blaps Sulcata (Coleoptera: Tenebrionidae). Environ. Nanotechnol. Monit. Manag. 2022, 18, 100751. [Google Scholar] [CrossRef]
- Sezer Tuncsoy, B.; Tuncsoy, M.; Gomes, T.; Sousa, V.; Teixeira, M.R.; Bebianno, M.J.; Ozalp, P. Effects of Copper Oxide Nanoparticles on Tissue Accumulation and Antioxidant Enzymes of Galleria Mellonella L. Bull. Environ. Contam. Toxicol. 2019, 102, 341–346. [Google Scholar] [CrossRef]
- Lemaitre, B.; Hoffmann, J. The Host Defense of Drosophila Melanogaster. Annu. Rev. Immunol. 2007, 25, 697–743. [Google Scholar] [CrossRef]
- Rodrıguez, J.; Le Moullac, G. State of the Art of Immunological Tools and Health Control of Penaeid Shrimp. Aquaculture 2000, 191, 109–119. [Google Scholar] [CrossRef]
- Ibrahim, A.M.A.; Ali, A.M. Silver and Zinc Oxide Nanoparticles Induce Developmental and Physiological Changes in the Larval and Pupal Stages of Spodoptera Littoralis (Lepidoptera: Noctuidae). J. Asia. Pac. Entomol. 2018, 21, 1373–1378. [Google Scholar] [CrossRef]
- Hansen, B.H.; Rømma, S.; Garmo, Ø.A.; Olsvik, P.A.; Andersen, R.A. Antioxidative Stress Proteins and Their Gene Expression in Brown Trout (Salmo Trutta) from Three Rivers with Different Heavy Metal Levels. Comp. Biochem. Physiol. Part C Toxicol. Pharmacol. 2006, 143, 263–274. [Google Scholar] [CrossRef] [PubMed]
- Kafel, A.; Bednarska, K.; Augustyniak, M.; Witas, I.; Szuliñska, E. Activity of Glutathione S-Transferase in Spodoptera Exigua Larvae Exposed to Cadmium and Zinc in Two Subsequent Generations. Environ. Int. 2003, 28, 683–686. [Google Scholar] [CrossRef]
- Xia, Q.; Sun, H.; Hu, X.; Shu, Y.; Gu, D.; Zhang, G. Apoptosis of Spodoptera Litura Larval Hemocytes Induced by Heavy Metal Zinc. Chinese Sci. Bull. 2005, 50, 2856–2860. [Google Scholar] [CrossRef]
- Abd El-Wahab, R.A.; Anwar, E.M. The Effect of Direct and Indirect Use of Nanoparticles on Cotton Leaf Worm, Spodoptera Littoralis. Int. J. Chem. Biol. Sci. 2014, 1, 17–24. [Google Scholar]
- Ahmed, A.; Ghallab, E.H.; Shehata, M.; Zekri, A.-R.N.; Ahmed, O.S. Impact of Nano-Conjugate on Drosophila for Early Diagnosis of Alzheimer’s Disease. Nanotechnology 2020, 31, 365102. [Google Scholar] [CrossRef]
- Memarizadeh, N.; Ghadamyari, M.; Adeli, M.; Talebi, K. Biochemical Biomarkers of Glyphodes Pyloalis Walker (Lepidoptera: Pyralidae) in Exposure to TiO2 Nanoparticles. Invertebr. Surviv. J. 2014, 11, 47–53. [Google Scholar]
- Gomes, T.; Pereira, C.G.; Cardoso, C.; Pinheiro, J.P.; Cancio, I.; Bebianno, M.J. Accumulation and Toxicity of Copper Oxide Nanoparticles in the Digestive Gland of Mytilus Galloprovincialis. Aquat. Toxicol. 2012, 118, 72–79. [Google Scholar] [CrossRef]
- Bhattacharya, A.; Kaliwal, B.B. The Biochemical Effects of Potassium Chloride on the Silkworm, (Bombyx Mori L.). Insect Sci. 2005, 12, 95–100. [Google Scholar] [CrossRef]
- Bray, T.M.; Bettger, W.J. The Physiological Role of Zinc as an Antioxidant. Free Radic. Biol. Med. 1990, 8, 281–291. [Google Scholar] [CrossRef]
- Felton, G.W.; Summers, C.B. Antioxidant Systems in Insects. Arch. Insect Biochem. Physiol. 1995, 29, 187–197. [Google Scholar] [CrossRef]
- Locke, M.; Nichol, H. Iron Economy in Insects: Transport, Metabolism, and Storage. Annu. Rev. Entomol. 1992, 37, 195–215. [Google Scholar] [CrossRef]
- Renault, D.; Dorrah, M.A.; Mohamed, A.A.; Abdelfattah, E.A.; Renault, D. Assessment of Oxidative Stress and Activities of Antioxidant Enzymes Depicts the Negative Systemic Effect of Iron-Containing Fertilizers and Plant Phenolic Compounds in the Desert Locust. Environ. Sci. Pollut. Res. 2016. [Google Scholar] [CrossRef]
- Huang, Y.; Han, Y.; Wei, L.; Wang, J. Comparative studies of tracheary element structure of some gymnosperms with angiosperms. Am. J. Plant Sci. 2017, 8, 959–984. [Google Scholar] [CrossRef]
- Van Bel, A.J.E. Xylem-Phloem Exchange via the Rays: The Undervalued Route of Transport. J. Exp. Bot. 1990, 41, 631–644. [Google Scholar] [CrossRef]
- Page, V.; Weisskopf, L.; Feller, U. Heavy Metals in White Lupin: Uptake, Root-to-shoot Transfer and Redistribution within the Plant. New Phytol. 2006, 171, 329–341. [Google Scholar] [CrossRef]
- Riesen, O.; Feller, U. Redistribution of Nickel, Cobalt, Manganese, Zinc, and Cadmium via the Phloem in Young and Maturing Wheat. J. Plant Nutr. 2005, 28, 421–430. [Google Scholar] [CrossRef]
- Page, V.; Feller, U. Heavy Metals in Crop Plants: Transport and Redistribution Processes on the Whole Plant Level. Agronomy 2015, 5, 447–463. [Google Scholar] [CrossRef]
- Hoagland, D.R.; Arnon, D.I. The Water-Culture Method for Growing Plants without Soil. Circ. Calif. Agric. Exp. Stn. 1950, 347, 1–32. [Google Scholar]
- Singleton, V.L.; Rossi, J.A. Colorimetry of Total Phenolics with Phosphomolybdic-Phosphotungstic Acid Reagents. Am. J. Enol. Vitic. 1965, 16, 144–158. [Google Scholar] [CrossRef]
- López-Hidalgo, C.; Meijón, M.; Lamelas, L.; Valledor, L. The Rainbow Protocol: A Sequential Method for Quantifying Pigments, Sugars, Free Amino Acids, Phenolics, Flavonoids and MDA from a Small Amount of Sample. Plant. Cell Environ. 2021, 44, 1977–1986. [Google Scholar] [CrossRef] [PubMed]
- Hodges, D.M.; DeLong, J.M.; Forney, C.F.; Prange, R.K. Improving the Thiobarbituric Acid-Reactive-Substances Assay for Estimating Lipid Peroxidation in Plant Tissues Containing Anthocyanin and Other Interfering Compounds. Planta 1999, 207, 604–611. [Google Scholar] [CrossRef]
- Bates, L.S.; Waldren, R.A.; Teare, I.D. Rapid Determination of Free Proline for Water-Stress Studies. Plant Soil 1973, 39, 205–207. [Google Scholar] [CrossRef]
- Velikova, V.; Yordanov, I.; Edreva, A. Oxidative Stress and Some Antioxidant Systems in Acid Rain-Treated Bean Plants: Protective Role of Exogenous Polyamines. Plant Sci. 2000, 151, 59–66. [Google Scholar] [CrossRef]
- Naderi, R.; Valizadeh, M.; Toorchi, M.; Shakiba, M.R. Antioxidant Enzyme Changes in Response to Osmotic Stress in Wheat (Triticum Aestivum L.) Seedling. Acta Biol. Szeged. 2014, 58, 95–101. [Google Scholar]
- Soltis, D.E. Isozymes in Plant Biology; Springer: Berlin/Heidelberg, Germany, 2012; ISBN 9400918402. [Google Scholar]
- Olson, P.D.; Varner, J.E. Hydrogen Peroxide and Lignification. Plant J. 1993, 4, 887–892. [Google Scholar] [CrossRef]









| Fertilizer | Manufacturing Company Instruction (kg/ha) | The Amount Used per Pot (mg) |
|---|---|---|
| N (urea) | 100 | 83.3 |
| Zn (chelated zinc 12%) | 4–6 | 6.25 |
| Cu (chelated copper 8%) | 1–2 | 1.87 |
| Fe (chelated iron 9%) | 3–10 | 8.12 |
Disclaimer/Publisher’s Note: The statements, opinions and data contained in all publications are solely those of the individual author(s) and contributor(s) and not of MDPI and/or the editor(s). MDPI and/or the editor(s) disclaim responsibility for any injury to people or property resulting from any ideas, methods, instructions or products referred to in the content. |
© 2023 by the authors. Licensee MDPI, Basel, Switzerland. This article is an open access article distributed under the terms and conditions of the Creative Commons Attribution (CC BY) license (https://creativecommons.org/licenses/by/4.0/).
Share and Cite
Chamani, M.; Naseri, B.; Rafiee-Dastjerdi, H.; Emaratpardaz, J.; Ebadollahi, A.; Palla, F. Some Physiological Effects of Nanofertilizers on Wheat-Aphid Interactions. Plants 2023, 12, 2602. https://doi.org/10.3390/plants12142602
Chamani M, Naseri B, Rafiee-Dastjerdi H, Emaratpardaz J, Ebadollahi A, Palla F. Some Physiological Effects of Nanofertilizers on Wheat-Aphid Interactions. Plants. 2023; 12(14):2602. https://doi.org/10.3390/plants12142602
Chicago/Turabian StyleChamani, Masoud, Bahram Naseri, Hooshang Rafiee-Dastjerdi, Javid Emaratpardaz, Asgar Ebadollahi, and Franco Palla. 2023. "Some Physiological Effects of Nanofertilizers on Wheat-Aphid Interactions" Plants 12, no. 14: 2602. https://doi.org/10.3390/plants12142602
APA StyleChamani, M., Naseri, B., Rafiee-Dastjerdi, H., Emaratpardaz, J., Ebadollahi, A., & Palla, F. (2023). Some Physiological Effects of Nanofertilizers on Wheat-Aphid Interactions. Plants, 12(14), 2602. https://doi.org/10.3390/plants12142602

