Characterization of PISTILLATA-like Genes and Their Promoters from the Distyly Fagopyrum esculentum
Abstract
1. Introduction
2. Results
2.1. Isolation and Characterization of FaesPI_1 and FaesPI_2 from F. esculentum
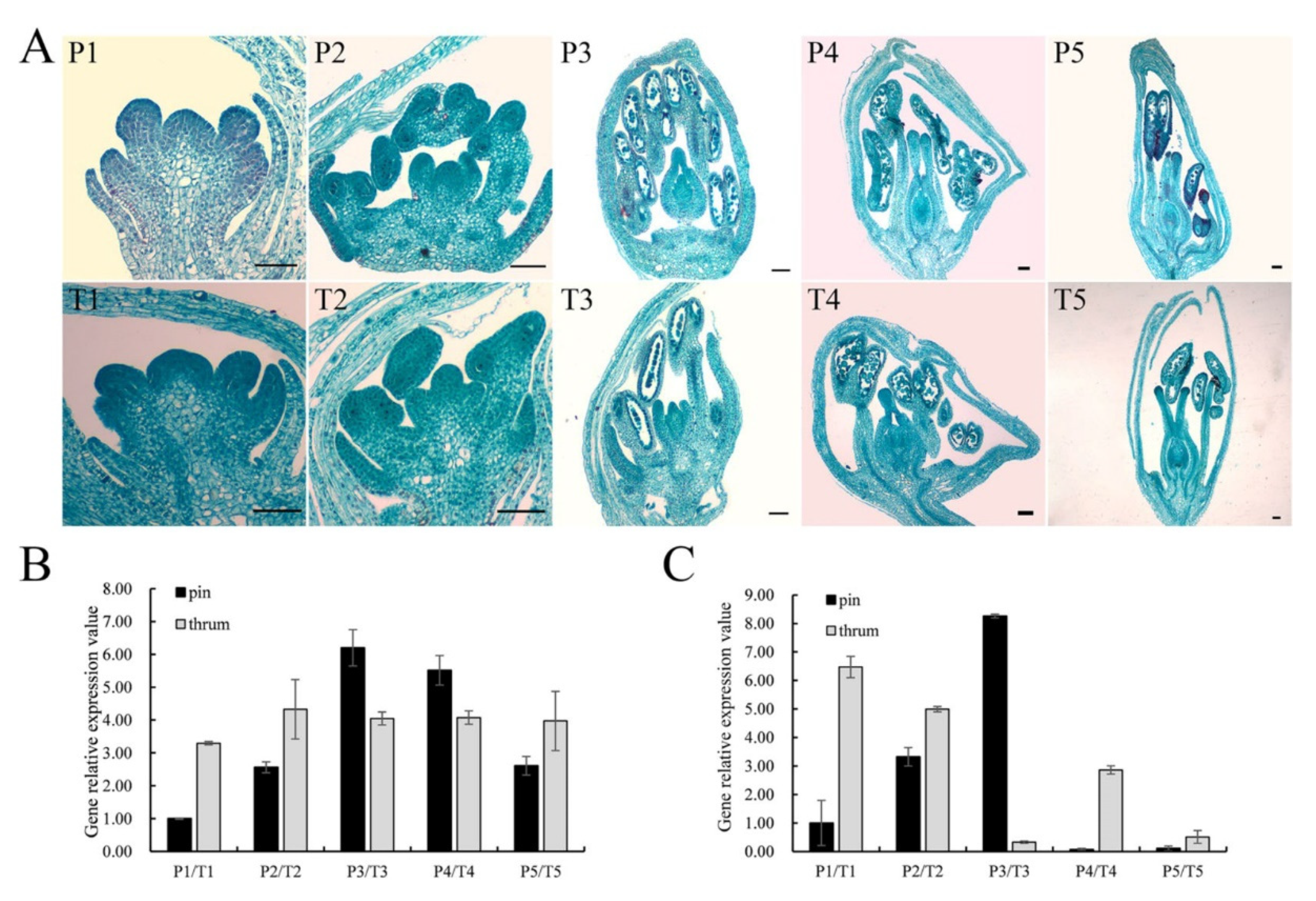
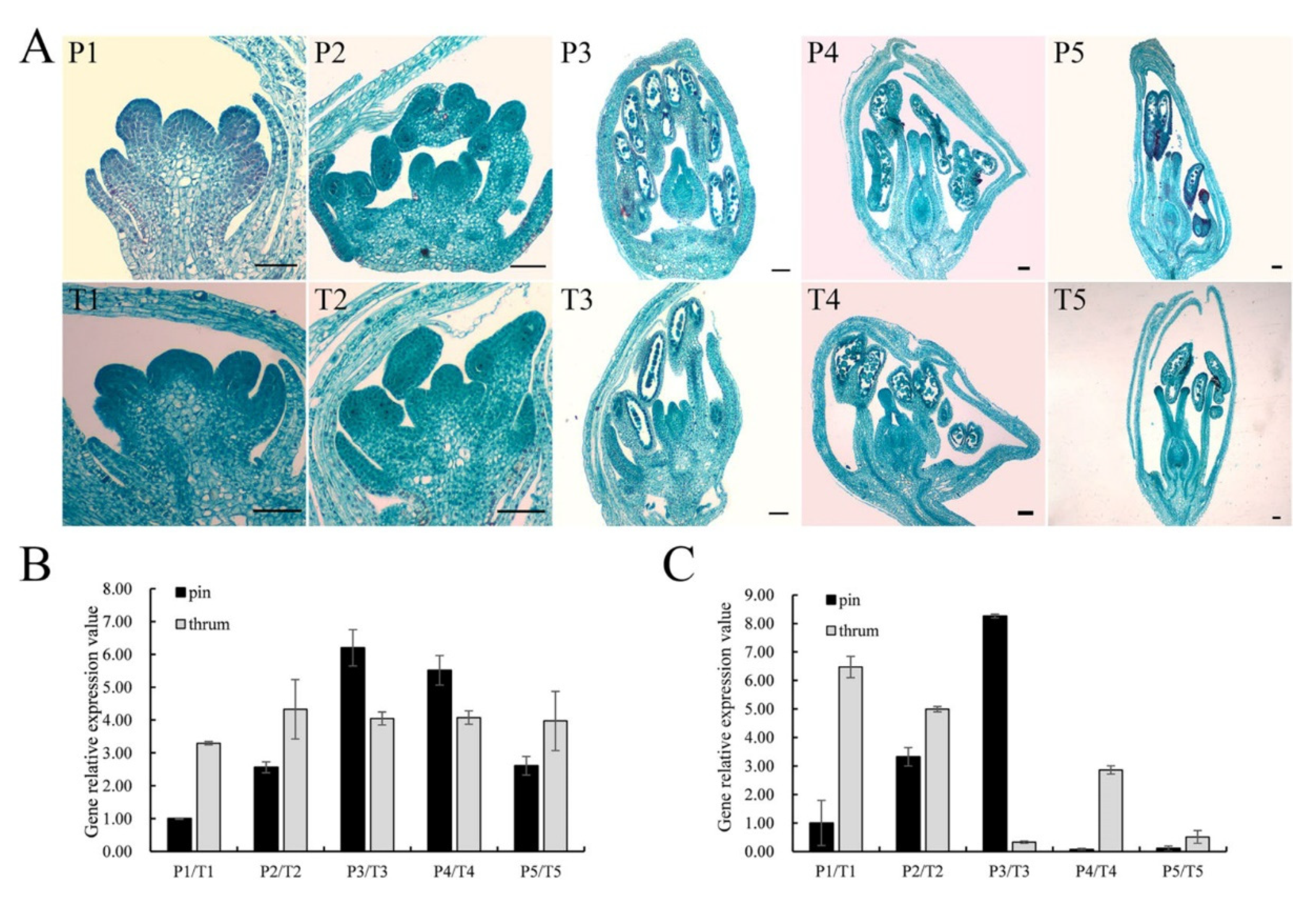
2.2. Expression Analysis of FaesPI_1 and FaesPI_2
2.3. Characterization of FaesPI_1 and FaesPI_2 Promoters from F. esculentum
2.4. Deletion Analysis of the pFaesPI_1 and pFaesPI_2 in Transgenic Arabidopsis
2.5. Phenotypic Analyses of pFaesPI_1::FaesPI_1 and pFaesPI_2::FaesPI_2 Transgenic pi-1 Arabidopsis
3. Discussion
4. Materials and Methods
4.1. Plant Material
4.2. Characterization of Genomic DNA FaesPI_1 and FaesPI_2 from F. esculentum
4.3. Isolation and Sequence Analysis of FaesPI_1 and FaesPI_2 Promoters from F. esculentum
4.4. Characterization of pFaesPI_1 and pFaesPI_2 Activity from the 5′ Deleted Promoter Fragments in Transgenic Arabidopsis
4.5. Cytomorphological Observation and Expression Analysis of FaesPI_1 and FaesPI_2
4.6. Phenotypic Analyses of pFaesPI_1::FaesPI_1 and pFaesPI_2::FaesPI_2 Transgenic pi-1 Arabidopsis
5. Conclusions
Supplementary Materials
Author Contributions
Funding
Institutional Review Board Statement
Informed Consent Statement
Data Availability Statement
Conflicts of Interest
References
- Huda, M.N.; Lu, S.; Jahan, T.; Ding, M.; Jha, R.; Zhang, K.; Zhang, W.; Georgiev, M.I.; Park, S.U.; Zhou, M. Treasure from Garden: Bioactive Compounds of Buckwheat. Food Chem. 2021, 335, 127653. [Google Scholar] [CrossRef] [PubMed]
- Matsui, K.; Yasui, Y. Buckwheat Heteromorphic Self-Incompatibility: Genetics, Genomics and Application to Breeding. Breed. Sci. 2020, 70, 32–38. [Google Scholar] [CrossRef] [PubMed]
- Li, L.-Y.; Fang, Z.-W.; Li, X.-F.; Liu, Z.-X. Isolation and Characterization of the C-class MADS-box Gene from the Distylous Pseudo-cereal Fagopyrum sculentum. J. Plant Biol. 2017, 60, 189–198. [Google Scholar] [CrossRef]
- Burrows, B.A.; McCubbin, A.G. Sequencing the Genomic Regions Flanking S-linked PvGLO Sequences Confirms the Presence of Two GLO Loci, One of which Lies Adjacent to the Style-Length Determinant Gene CYP734A50. Plant Reprod. 2017, 30, 53–67. [Google Scholar] [CrossRef]
- Shore, J.S.; Hamam, H.J.; Chafe, P.D.J.; Labonne, J.D.J.; Henning, P.M.; McCubbin, A.G. The Long and Short of the S-locus in Turnera (Passifloraceae). New Phytol. 2019, 224, 1316–1329. [Google Scholar] [CrossRef]
- Kim, S.; Yoo, M.; Albert, V.A.; Farris, J.S.; Soltis, P.S.; Soltis, D.E. Phylogeny and Diversification of B-Function MADS-box Genes in Angiosperms: Evolutionary and Functional Implications of a 260-million-year-old Duplication. Am. J. Bot. 2004, 91, 2102–2118. [Google Scholar] [CrossRef]
- Melzer, R.; Härter, A.; Rümpler, F.; Kim, S.; Soltis, P.S.; Soltis, D.E.; Theißen, G. DEF- and GLO-like Proteins May Have Lost Most of Their Interaction Partners during Angiosperm Evolution. Ann. Bot. 2014, 114, 1431–1443. [Google Scholar] [CrossRef]
- Wuest, S.E.; O’Maoileidigh, D.S.; Rae, L.; Kwasniewska, K.; Raganelli, A.; Hanczaryk, K.; Lohan, A.J.; Loftus, B.; Graciet, E.; Wellmer, F. Molecular Basis for the Specification of Floral Organs by APETALA3 and PISTILLATA. Proc. Natl. Acad. Sci. USA 2012, 109, 13452–13457. [Google Scholar] [CrossRef]
- Brockington, S.F.; Rudall, P.J.; Frohlich, M.W.; Oppenheimer, D.G.; Soltis, P.S.; Soltis, D.E. ‘Living stones’ reveal alternative petal identity programs within the core eudicots. Plant J. 2012, 69, 193–203. [Google Scholar] [CrossRef]
- Fang, Z.-W.; Li, X.-P.; Li, X.-F.; Liu, Z.-X. FaesPI, a Fagopyrum esculentum PISTILLATA Ortholog, Is Involved Only in Stamen Development. J. Plant Biol. 2015, 58, 102–109. [Google Scholar] [CrossRef]
- Yang, Y.; Jack, T. Defining Subdomains of the K Domain Important for Protein-Protein Interactions of Plant MADS Proteins. Plant Mol. Biol. 2004, 55, 45–59. [Google Scholar] [CrossRef] [PubMed]
- De Folter, S.; Angenent, G.C. Trans Meets cis in MADS Science. Trends Plant Sci. 2006, 11, 224–231. [Google Scholar] [CrossRef] [PubMed]
- Filichkin, S.A.; Leonard, J.M.; Monteros, A.; Liu, P.-P.; Nonogaki, H. A Novel Endo-β-Mannanase Gene in Tomato LeMAN5 Is Associated with Anther and Pollen Development. Plant Physiol. 2004, 134, 1080–1087. [Google Scholar] [CrossRef] [PubMed]
- Rogers, H.J.; Bate, N.; Combe, J.; Sullivan, J.; Sweetman, J.; Swan, C.; Lonsdale, D.M.; Twell, D. Functional Analysis of cis-Regulatory Elements within the Promoter of the Tobacco Late Pollen Gene g10. Plant Mol. Biol. 2001, 45, 577–585. [Google Scholar] [CrossRef] [PubMed]
- Dinh, T.T.; Girke, T.; Liu, X.; Yant, L.; Schmid, M.; Chen, X. The Floral Homeotic Protein APETALA2 Recognizes and Acts through an AT-Rich Sequence Element. Development 2012, 139, 1978–1986. [Google Scholar] [CrossRef] [PubMed]
- Agarwal, M.; Hao, Y.; Kapoor, A.; Dong, C.-H.; Fujii, H.; Zheng, X.; Zhu, J.-K. A R2R3 Type MYB Transcription Factor Is Involved in the Cold Regulation of CBF Genes and in Acquired Freezing Tolerance. J. Biol. Chem. 2006, 281, 37636–37645. [Google Scholar] [CrossRef]
- Zhang, Z.-L.; Xie, Z.; Zou, X.; Casaretto, J.; Ho, T.D.; Shen, Q.J. A Rice WRKY Gene Encodes a Transcriptional Repressor of the Gibberellin Signaling Pathway in Aleurone Cells. Plant Physiol. 2004, 134, 1500–1513. [Google Scholar] [CrossRef]
- Gubler, F.; Kalla, R.; Roberts, J.K.; Jacobsen, J.V. Gibberellin-Regulated Expression of a Myb Gene in Barley Aleurone Cells: Evidence for Myb Transactivation of a High-PI α-Amylase Gene Promoter. Plant Cell 1995, 7, 1879–1891. [Google Scholar] [CrossRef]
- Mena, M.; Cejudo, F.J.; Isabel-Lamoneda, I.; Carbonero, P. A Role for the DOF Transcription Factor BPBF in the Regulation of Gibberellin-Responsive Genes in Barley Aleurone. Plant Physiol. 2002, 130, 111–119. [Google Scholar] [CrossRef]
- Gowik, U.; Burscheidt, J.; Akyildiz, M.; Schlue, U.; Koczor, M.; Streubel, M.; Westhoff, P. cis -Regulatory Elements for Mesophyll-Specific Gene Expression in the C4 Plant Flaveria Trinervia, the Promoter of the C4 Phosphoenolpyruvate Carboxylase Gene. Plant Cell 2004, 16, 1077–1090. [Google Scholar] [CrossRef]
- Tatematsu, K.; Ward, S.; Leyser, O.; Kamiya, Y.; Nambara, E. Identification of cis-Elements That Regulate Gene Expression during Initiation of Axillary Bud Outgrowth in Arabidopsis. Plant Physiol. 2005, 138, 757–766. [Google Scholar] [CrossRef] [PubMed]
- Wenkel, S.; Turck, F.; Singer, K.; Gissot, L.; Le Gourrierec, J.; Samach, A.; Coupland, G. CONSTANS and the CCAAT Box Binding Complex Share a Functionally Important Domain and Interact to Regulate Flowering of Arabidopsis. Plant Cell 2006, 18, 2971–2984. [Google Scholar] [CrossRef] [PubMed]
- Causier, B.; Bradley, D.; Cook, H.; Davies, B. Conserved Intragenic Elements Were Critical for the Evolution of the Floral C-Function: Intragenic Regulation of the Floral C-Function. Plant J. 2009, 58, 41–52. [Google Scholar] [CrossRef] [PubMed]
- Welchen, E.; Gonzalez, D.H. Differential Expression of the Arabidopsis Cytochrome c Genes Cytc-1 and Cytc-2. Evidence for the Involvement of TCP-Domain Protein-Binding Elements in Anther- and Meristem-Specific Expression of the Cytc-1 Gene. Plant Physiol. 2005, 139, 88–100. [Google Scholar] [CrossRef] [PubMed][Green Version]
- Smyth, D.R.; Bowman, J.L.; Meyerowitz, E.M. Early Flower Development in Arabidopsis. Plant Cell 1990, 2, 755–767. [Google Scholar] [CrossRef] [PubMed]
- Xia, Y.; Shi, M.; Chen, W.; Hu, R.; Jing, D.; Wu, D.; Wang, S.; Li, Q.; Deng, H.; Guo, Q.; et al. Expression Pattern and Functional Characterization of PISTILLATA Ortholog Associated With the Formation of Petaloid Sepals in Double-Flower Eriobotrya Japonica (Rosaceae). Front. Plant Sci. 2020, 10, 1685. [Google Scholar] [CrossRef]
- Broholm, S.K.; Pöllänen, E.; Ruokolainen, S.; Tähtiharju, S.; Kotilainen, M.; Albert, V.A.; Elomaa, P.; Teeri, T.H. Functional Characterization of B Class MADS-Box Transcription Factors in Gerbera hybrida. J. Exp. Bot. 2010, 61, 75–85. [Google Scholar] [CrossRef]
- Louati, M.; Salazar-Sarasua, B.; Roque, E.; Beltrán, J.P.; Salhi Hannachi, A.; Gómez-Mena, C. Isolation and Functional Analysis of a PISTILLATA-like MADS-Box Gene from Argan Tree (Argania Spinosa). Plants 2021, 10, 1665. [Google Scholar] [CrossRef]
- Liu, S.; Sun, Y.; Du, X.; Xu, Q.; Wu, F.; Meng, Z. Analysis of the APETALA3- and PISTILLATA-like Genes in Hedyosmum orientale (Chloranthaceae) Provides Insight into the Evolution of the Floral Homeotic B-Function in Angiosperms. Ann. Bot. 2013, 112, 1239–1251. [Google Scholar] [CrossRef][Green Version]
- Liu, W.; Shen, X.; Liang, H.; Wang, Y.; He, Z.; Zhang, D.; Chen, F. Isolation and Functional Analysis of PISTILLATA Homolog From Magnolia wufengensis. Front. Plant Sci. 2018, 9, 1743. [Google Scholar] [CrossRef]
- Chen, M.-K.; Hsieh, W.-P.; Yang, C.-H. Functional Analysis Reveals the Possible Role of the C-Terminal Sequences and PI Motif in the Function of Lily (Lilium Longiflorum) PISTILLATA (PI) Orthologues. J. Exp. Bot. 2011, 63, 941–961. [Google Scholar] [CrossRef] [PubMed]
- Mao, W.; Hsu, W.; Li, J.; Yang, C. Distance-based Measurement Determines the Coexistence of B Protein Hetero- and Homodimers in Lily Tepal and Stamen Tetrameric Complexes. Plant J. 2021, 105, 1357–1373. [Google Scholar] [CrossRef] [PubMed]
- Mao, W.-T.; Hsu, H.-F.; Hsu, W.-H.; Li, J.-Y.; Lee, Y.-I.; Yang, C.-H. The C-Terminal Sequence and PI Motif of the Orchid (Oncidium Gower Ramsey) PISTILLATA (PI) Ortholog Determine Its Ability to Bind AP3 Orthologs and Enter the Nucleus to Regulate Downstream Genes Controlling Petal and Stamen Formation. Plant Cell Physiol. 2015, 56, 2079–2099. [Google Scholar] [CrossRef][Green Version]
- Hsu, H.-F.; Hsu, W.-H.; Lee, Y.-I.; Mao, W.-T.; Yang, J.-Y.; Li, J.-Y.; Yang, C.-H. Model for Perianth Formation in Orchids. Nat. Plants 2015, 1, 15046. [Google Scholar] [CrossRef]
- Hsu, H.-F.; Chen, W.-H.; Shen, Y.-H.; Hsu, W.-H.; Mao, W.-T.; Yang, C.-H. Multifunctional Evolution of B and AGL6 MADS Box Genes in Orchids. Nat. Commun. 2021, 12, 902. [Google Scholar] [CrossRef]
- Wang, P.; Liao, H.; Zhang, W.; Yu, X.; Zhang, R.; Shan, H.; Duan, X.; Yao, X.; Kong, H. Flexibility in the Structure of Spiral Flowers and Its Underlying Mechanisms. Nat. Plants 2016, 2, 15188. [Google Scholar] [CrossRef]
- Gong, P.; Ao, X.; Liu, G.; Cheng, F.; He, C. Duplication and Whorl-Specific Down-Regulation of the Obligate AP3–PI Heterodimer Genes Explain the Origin of Paeonia Lactiflora Plants with Spontaneous Corolla Mutation. Plant Cell Physiol. 2017, 58, 411–425. [Google Scholar] [CrossRef][Green Version]
- Roque, E.; Fares, M.A.; Yenush, L.; Rochina, M.C.; Wen, J.; Mysore, K.S.; Gómez-Mena, C.; Beltrán, J.P.; Cañas, L.A. Evolution by Gene Duplication of Medicago Truncatula PISTILLATA-like Transcription Factors. J. Exp. Bot. 2016, 67, 1805–1817. [Google Scholar] [CrossRef][Green Version]
- Huu, C.N.; Keller, B.; Conti, E.; Kappel, C.; Lenhard, M. Supergene Evolution via Stepwise Duplications and Neofunctionalization of a Floral-Organ Identity Gene. Proc. Natl. Acad. Sci. USA 2020, 117, 23148–23157. [Google Scholar] [CrossRef]
- Zeng, L.; Zhang, J.; Wang, X.; Liu, Z. Isolation and Characterization of APETALA3 Orthologs and Promoters from the Distylous Fagopyrum esculentum. Plants 2021, 10, 1644. [Google Scholar] [CrossRef]
- Liu, Z.; Fei, Y.; Zhang, K.; Fang, Z. Ectopic Expression of a Fagopyrum esculentum APETALA1 Ortholog Only Rescues Sepal Development in Arabidopsis Ap1 Mutant. Int. J. Mol. Sci. 2019, 20, 2021. [Google Scholar] [CrossRef] [PubMed]
- Higo, K.; Ugawa, Y.; Iwamoto, M.; Korenaga, T. Plant cis-Acting Regulatory DNA Elements (PLACE) Database: 1999. Nucleic Acids Res. 1999, 27, 297–300. [Google Scholar] [CrossRef] [PubMed]
- Clough, S.J.; Bent, A.F. Floral Dip: A Simplified Method for Agrobacterium-Mediated Transformation of Arabidopsis thaliana. Plant J. 1998, 16, 735–743. [Google Scholar] [CrossRef] [PubMed]
- Lamb, R.S.; Irish, V.F. Functional Divergence within the APETALA3/PISTILLATA Floral Homeotic Gene Lineages. Proc. Natl. Acad. Sci. USA 2003, 100, 6558–6563. [Google Scholar] [CrossRef]








| Publisher’s Note: MDPI stays neutral with regard to jurisdictional claims in published maps and institutional affiliations. | 
© 2022 by the authors. Licensee MDPI, Basel, Switzerland. This article is an open access article distributed under the terms and conditions of the Creative Commons Attribution (CC BY) license (https://creativecommons.org/licenses/by/4.0/).
Share and Cite
You, W.; Chen, X.; Zeng, L.; Ma, Z.; Liu, Z. Characterization of PISTILLATA-like Genes and Their Promoters from the Distyly Fagopyrum esculentum. Plants 2022, 11, 1047. https://doi.org/10.3390/plants11081047
You W, Chen X, Zeng L, Ma Z, Liu Z. Characterization of PISTILLATA-like Genes and Their Promoters from the Distyly Fagopyrum esculentum. Plants. 2022; 11(8):1047. https://doi.org/10.3390/plants11081047
Chicago/Turabian StyleYou, Wei, Xiangjian Chen, Lingtian Zeng, Zhiyuan Ma, and Zhixiong Liu. 2022. "Characterization of PISTILLATA-like Genes and Their Promoters from the Distyly Fagopyrum esculentum" Plants 11, no. 8: 1047. https://doi.org/10.3390/plants11081047
APA StyleYou, W., Chen, X., Zeng, L., Ma, Z., & Liu, Z. (2022). Characterization of PISTILLATA-like Genes and Their Promoters from the Distyly Fagopyrum esculentum. Plants, 11(8), 1047. https://doi.org/10.3390/plants11081047
 
         
                                                

