Identification of Viruses Infecting Oats in Korea by Metatranscriptomics
Abstract
1. Introduction
2. Results
2.1. Sample Collection and Library Generation for Identification of Viruses Infecting Oat Plants
2.2. Identification of Viruses from Oats’ Transcriptomes
2.3. Viral Genome Assembly and Analyses of SNPs of Identified Viruses
2.4. Phylogenetic Analyses of Identified Viruses
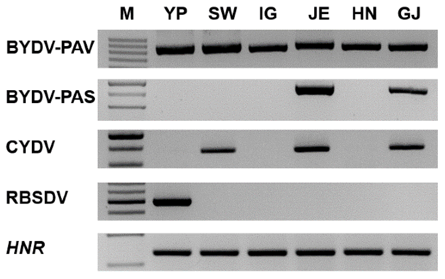
2.5. Validation of the Identified Viruses Using RT-PCR
3. Discussion
4. Materials and Methods
4.1. Sample Preparation
4.2. RNA Extraction and Library Preparation for RNA Sequencing (RNA-Seq)
4.3. Transcriptome Assembly and Virus Identification
4.4. Viral Sequence Mapping and Genome Assembly
4.5. Phylogenetic Analyses of Identified Viruses
4.6. Identification of SNPs for Assembled Virus Genome
4.7. Confirmation of Identified Virus Presence by RT-PCR
4.8. Data Availability
Supplementary Materials
Author Contributions
Funding
Institutional Review Board Statement
Informed Consent Statement
Data Availability Statement
Conflicts of Interest
References
- Adams, I.; Miano, D.; Kinyua, Z.; Wangai, A.; Kimani, E.; Phiri, N.; Reeder, R.; Harju, V.; Glover, R.; Hany, U. Use of next-generation sequencing for the identification and characterization of M aize chlorotic mottle virus and S ugarcane mosaic virus causing maize lethal necrosis in Kenya. Plant Pathol. 2013, 62, 741–749. [Google Scholar] [CrossRef]
- Nicaise, V. Crop immunity against viruses: Outcomes and future challenges. Front. Plant Sci. 2014, 5, 660. [Google Scholar] [CrossRef]
- Hackett, R. A comparison of husked and naked oats under Irish conditions. Ir. J. Agric. Food Res. 2018, 57, 1–8. [Google Scholar] [CrossRef]
- Zhou, X.; Jellen, E.; Murphy, J. Progenitor Germplasm of Domisticated Hexaploid Oat. Crop Sci. 1999, 39, 1208–1214. [Google Scholar] [CrossRef]
- Lee, S.; Yoon, H.; Lee, M.-c.; Oh, S.; Rauf, M.; sook Hur, O.; Ro, N.Y.; Yi, J.; Cho, G.T.; Ko, H. Comparison of the diversity of east Asian oat (Avena sativa L.) genetic resources by origins, considering major nutritional ingredients and agronomic traits. Korean J. Breed. Sci. 2019, 51, 9–19. [Google Scholar] [CrossRef]
- Braaten, J.; Wood, P.; Scott, F.; Wolynetz, M.; Lowe, M.; Bradley-White, P.; Collins, M. Oat beta-glucan reduces blood cholesterol concentration in hypercholesterolemic subjects. Eur. J. Clin. Nutr. 1994, 48, 465–474. [Google Scholar]
- Klose, C.; Arendt, E.K. Proteins in oats; their synthesis and changes during germination: A review. Crit. Rev. Food Sci. Nutr. 2012, 52, 629–639. [Google Scholar] [CrossRef]
- Balaji, B.; Bucholtz, D.B.; Anderson, J.M. Barley yellow dwarf virus and Cereal yellow dwarf virus quantification by real-time polymerase chain reaction in resistant and susceptible plants. Phytopathology 2003, 93, 1386–1392. [Google Scholar] [CrossRef]
- Bekele, B.; Makkouk, K.; Yusuf, A.; Alemayu, F.; Lencho, A. Occurrence and distribution of barley yellow dwarf virus (BYDV) isolates in central Ethiopia. Int. J. Pest Manag. 2001, 47, 115–119. [Google Scholar] [CrossRef]
- Thackray, D.; Diggle, A.; Jones, R. BYDV PREDICTOR: A simulation model to predict aphid arrival, epidemics of Barley yellow dwarf virus and yield losses in wheat crops in a Mediterranean-type environment. Plant Pathol. 2009, 58, 186–202. [Google Scholar] [CrossRef]
- Sõmera, M.; Massart, S.; Tamisier, L.; Sooväli, P.; Sathees, K.; Kvarnheden, A. A Survey Using High-Throughput Sequencing Suggests That the Diversity of Cereal and Barley Yellow Dwarf Viruses Is Underestimated. Front. Microbiol. 2021, 12, 992. [Google Scholar]
- Jarošová, J.; Chrpová, J.; Šíp, V.; Kundu, J. A comparative study of the Barley yellow dwarf virus species PAV and PAS: Distribution, accumulation and host resistance. Plant Pathol. 2013, 62, 436–443. [Google Scholar] [CrossRef]
- Mayo, M. ICTV at the Paris ICV: Results of the plenary session and the binomial ballot. Arch. Virol. 2002, 147, 2254–2260. [Google Scholar] [CrossRef]
- Rastgou, M.; Khatabi, B.; Kvarnheden, A.; Izadpanah, K. Relationships of Barley yellow dwarf virus-PAV and Cereal yellow dwarf virus-RPV from Iran with viruses of the family Luteoviridae. Eur. J. Plant Pathol. 2005, 113, 321–326. [Google Scholar] [CrossRef]
- McKirdy, S.; Jones, R.; Nutter, F., Jr. Quantification of yield losses caused by barley yellow dwarf virus in wheat and oats. Plant Dis. 2002, 86, 769–773. [Google Scholar] [CrossRef] [PubMed]
- Perry, K.L.; Kolb, F.L.; Sammons, B.; Lawson, C.; Cisar, G.; Ohm, H. Yield effects of barley yellow dwarf virus in soft red winter wheat. Phytopathology 2000, 90, 1043–1048. [Google Scholar] [CrossRef]
- Adhikari, A.; Lockhart, B.E.; Ganiger, M.; Byamukama, E.; Tande, C.; Smith, M.J.; Dill-Macky, R. Barley yellow dwarf virus-PAV is the dominant species causing Barley yellow dwarf disease in South Dakota and Minnesota. Crop Prot. 2020, 134, 105171. [Google Scholar] [CrossRef]
- Edwards, M.C.; Fetch, T.G., Jr.; Schwarz, P.B.; Steffenson, B.J. Effect of Barley yellow dwarf virus infection on yield and malting quality of barley. Plant Dis. 2001, 85, 202–207. [Google Scholar] [CrossRef] [PubMed]
- Ordon, F.; Habekuss, A.; Kastirr, U.; Rabenstein, F.; Kühne, T. Virus resistance in cereals: Sources of resistance, genetics and breeding. J. Phytopathol 2009, 157, 535–545. [Google Scholar] [CrossRef]
- Malmstrom, C.M.; Bigelow, P.; Trębicki, P.; Busch, A.K.; Friel, C.; Cole, E.; Abdel-Azim, H.; Phillippo, C.; Alexander, H.M. Crop-associated virus reduces the rooting depth of non-crop perennial native grass more than non-crop-associated virus with known viral suppressor of RNA silencing (VSR). Virus Res. 2017, 241, 172–184. [Google Scholar] [CrossRef] [PubMed]
- Lapierre, H.; Signoret, P.-A. Viruses and Virus Diseases of Poaceae (Gramineae); Editions Quae: Paris, France, 2004. [Google Scholar]
- Akinyemi, I.A.; Wang, F.; Zhou, B.; Qi, S.; Wu, Q. Ecogenomic survey of plant viruses infecting tobacco by next generation sequencing. Virol. J. 2016, 13, 1–12. [Google Scholar] [CrossRef]
- Boonham, N.; Kreuze, J.; Winter, S.; van der Vlugt, R.; Bergervoet, J.; Tomlinson, J.; Mumford, R. Methods in virus diagnostics: From ELISA to next generation sequencing. Virus Res. 2014, 186, 20–31. [Google Scholar] [CrossRef] [PubMed]
- Adams, I.P.; Glover, R.H.; Monger, W.A.; Mumford, R.; Jackeviciene, E.; Navalinskiene, M.; Samuitiene, M.; Boonham, N. Next-generation sequencing and metagenomic analysis: A universal diagnostic tool in plant virology. Mol. Plant Pathol. 2009, 10, 537–545. [Google Scholar] [CrossRef]
- Coetzee, B.; Freeborough, M.-J.; Maree, H.J.; Celton, J.-M.; Rees, D.J.G.; Burger, J.T. Deep sequencing analysis of viruses infecting grapevines: Virome of a vineyard. Virology 2010, 400, 157–163. [Google Scholar] [CrossRef]
- Jones, S.; Baizan-Edge, A.; MacFarlane, S.; Torrance, L. Viral diagnostics in plants using next generation sequencing: Computational analysis in practice. Front. Plant Sci. 2017, 8, 1770. [Google Scholar] [CrossRef] [PubMed]
- Kashif, M.; Pietilä, S.; Artola, K.; Jones, R.; Tugume, A.; Mäkinen, V.; Valkonen, J. Detection of viruses in sweetpotato from Honduras and Guatemala augmented by deep-sequencing of small-RNAs. Plant Dis. 2012, 96, 1430–1437. [Google Scholar] [CrossRef] [PubMed]
- Wylie, S.J.; Li, H.; Saqib, M.; Jones, M.G. The global trade in fresh produce and the vagility of plant viruses: A case study in garlic. PLoS ONE 2014, 9, e105044. [Google Scholar] [CrossRef]
- Choi, H.; Jo, Y.; Cho, W.K.; Yu, J.; Tran, P.-T.; Salaipeth, L.; Kwak, H.-R.; Choi, H.-S.; Kim, K.-H. Identification of viruses and viroids infecting tomato and pepper plants in vietnam by metatranscriptomics. Int. J. Mol. Sci. 2020, 21, 7565. [Google Scholar] [CrossRef]
- Jo, Y.; Bae, J.-Y.; Kim, S.-M.; Choi, H.; Lee, B.C.; Cho, W.K. Barley RNA viromes in six different geographical regions in Korea. Sci. Rep. 2018, 8, 1–13. [Google Scholar] [CrossRef]
- Jakovljevic, V.; Otten, P.; Berwarth, C.; Jelkmann, W. Analysis of the apple rubbery wood disease by next generation sequencing of total RNA. Eur. J. Plant Pathol. 2017, 148, 637–646. [Google Scholar] [CrossRef]
- Jo, Y.; Lian, S.; Chu, H.; Cho, J.K.; Yoo, S.-H.; Choi, H.; Yoon, J.-Y.; Choi, S.-K.; Lee, B.C.; Cho, W.K. Peach RNA viromes in six different peach cultivars. Sci. Rep. 2018, 8, 1–14. [Google Scholar] [CrossRef]
- Sun, X.; Zhou, S.; Meng, F.; Liu, S. De novo assembly and characterization of the garlic (Allium sativum) bud transcriptome by Illumina sequencing. Plant Cell Rep. 2012, 31, 1823–1828. [Google Scholar] [CrossRef] [PubMed]
- Jo, Y.; Choi, H.; Lian, S.; Cho, J.K.; Chu, H.; Cho, W.K. Identification of viruses infecting six plum cultivars in Korea by RNA-sequencing. PeerJ 2020, 8, e9588. [Google Scholar] [CrossRef]
- Zheng, Y.; Gao, S.; Padmanabhan, C.; Li, R.; Galvez, M.; Gutierrez, D.; Fuentes, S.; Ling, K.-S.; Kreuze, J.; Fei, Z. VirusDetect: An automated pipeline for efficient virus discovery using deep sequencing of small RNAs. Virology 2017, 500, 130–138. [Google Scholar] [CrossRef]
- Malmstrom, C.M.; Shu, R. Multiplexed RT-PCR for streamlined detection and separation of barley and cereal yellow dwarf viruses. J. Virol. Methods 2004, 120, 69–78. [Google Scholar] [CrossRef]
- Laney, A.G.; Acosta-Leal, R.; Rotenberg, D. Optimized yellow dwarf virus multiplex PCR assay reveals a common occurrence of Barley yellow dwarf virus-PAS in Kansas winter wheat. Plant Health Prog. 2018, 19, 37–43. [Google Scholar] [CrossRef]
- Lee, B.-C.; Hong, Y.-K.; Hong, S.-J.; Park, S.-T.; Lee, K.-W. Occurrence and detection of Rice black-streaked dwarf virus in Korea. Plant Pathol. J. 2005, 21, 172–173. [Google Scholar] [CrossRef]
- Yang, Z.; Wang, K.; Aziz, U.; Zhao, C.; Zhang, M. Evaluation of duplicated reference genes for quantitative real-time PCR analysis in genome unknown hexaploid oat (Avena sativa L.). Plant Methods 2020, 16, 1–14. [Google Scholar] [CrossRef]
- Rivarez, M.P.S.; Vučurović, A.; Mehle, N.; Ravnikar, M.; Kutnjak, D. Global advances in tomato virome research: Current status and the impact of high-throughput sequencing. Front. Microbiol. 2021, 12, 671925. [Google Scholar] [CrossRef]
- Kutnjak, D.; Tamisier, L.; Adams, I.; Boonham, N.; Candresse, T.; Chiumenti, M.; De Jonghe, K.; Kreuze, J.F.; Lefebvre, M.; Silva, G. A primer on the analysis of high-throughput sequencing data for detection of plant viruses. Microorganisms 2021, 9, 841. [Google Scholar] [CrossRef] [PubMed]
- Barzon, L.; Lavezzo, E.; Militello, V.; Toppo, S.; Palù, G. Applications of next-generation sequencing technologies to diagnostic virology. Int. J. Mol. Sci. 2011, 12, 7861–7884. [Google Scholar] [CrossRef]
- Morozova, O.; Marra, M.A. Applications of next-generation sequencing technologies in functional genomics. Genomics 2008, 92, 255–264. [Google Scholar] [CrossRef]
- Pallás, V.; Sánchez-Navarro, J.A.; James, D. Recent advances on the multiplex molecular detection of plant viruses and viroids. Front. Microbiol. 2018, 9, 2087. [Google Scholar] [CrossRef] [PubMed]
- Hodge, C.; Pope, E. Role of demonstration farms in accelerating positive change on farm. In Proceedings of the Dundee Conference, Crop Production in Northern Britain, Dundee, UK, 25–26 February 2020; pp. 103–110. [Google Scholar]
- Anderson, J.W.; Spencer, D.B.; Hamilton, C.C.; Smith, S.F.; Tietyen, J.; Bryant, C.; Oeltgen, P. Oat-bran cereal lowers serum total and LDL cholesterol in hypercholesterolemic men. Am. J. Clin. Nutr. 1990, 52, 495–499. [Google Scholar] [CrossRef]
- Barba, M.; Czosnek, H.; Hadidi, A. Historical perspective, development and applications of next-generation sequencing in plant virology. Viruses 2014, 6, 106–136. [Google Scholar] [CrossRef] [PubMed]
- Chen, Y.; Lun, A.T.; Smyth, G.K. From reads to genes to pathways: Differential expression analysis of RNA-Seq experiments using Rsubread and the edgeR quasi-likelihood pipeline. F1000Research 2016, 5, 1438. [Google Scholar]
- Zhang, C.; Zhang, B.; Lin, L.-L.; Zhao, S. Evaluation and comparison of computational tools for RNA-seq isoform quantification. BMC Genom. 2017, 18, 583. [Google Scholar] [CrossRef]
- Park, J.-C.; Seo, J.-H.; Choi, M.-K.; Lee, K.-J.; Kim, H.-M. The Incidence and distribution of viral diseases in barley fields in Korea. Res. Plant Dis. 2004, 10, 188–193. [Google Scholar] [CrossRef][Green Version]
- Massart, S.; Candresse, T.; Gil, J.; Lacomme, C.; Predajna, L.; Ravnikar, M.; Reynard, J.-S.; Rumbou, A.; Saldarelli, P.; Škorić, D. A framework for the evaluation of biosecurity, commercial, regulatory, and scientific impacts of plant viruses and viroids identified by NGS technologies. Front. Microbiol. 2017, 8, 45. [Google Scholar] [CrossRef] [PubMed]
- Beckett, R.; Miller, W.A. Rapid Full-Length Cloning of Nonpolyadenylated RNA Virus Genomes. Curr. Protoc. Microbiol. 2007, 4, 16F-3. [Google Scholar]
- Gray, S.M. Aphid Transmission of Plant Viruses: Plant Viruses. Curr. Protoc. Microbiol. 2008, 10, 16B-1. [Google Scholar] [CrossRef]
- Liu, F.; Wang, X.; Liu, Y.; Xie, J.; Gray, S.; Zhou, G.; Gao, B. A Chinese isolate of barley yellow dwarf virus-PAV represents a third distinct species within the PAV serotype. Arch. Virol. 2007, 152, 1365–1373. [Google Scholar] [CrossRef] [PubMed]
- Zhang, H.-M.; Yang, J.; Chen, J.-P.; Adams, M. A black-streaked dwarf disease on rice in China is caused by a novel fijivirus. Arch. Virol. 2008, 153, 1893–1898. [Google Scholar] [CrossRef]
- Zhang, H.; Chen, J.; Lei, J.; Adams, M.J. Sequence analysis shows that a dwarfing disease on rice, wheat and maize in China is caused by rice black-streaked dwarf virus. Eur. J. Plant Pathol. 2001, 107, 563–567. [Google Scholar] [CrossRef]
- Fauquet, C.M.; Mayo, M.A.; Maniloff, J.; Desselberger, U.; Ball, L.A. Virus Taxonomy: VIIIth Report of the International Committee on Taxonomy of Viruses; Academic Press: Cambridge, MA, USA, 2005. [Google Scholar]
- Li, Y.; Jia, M.; Jiang, Z.; Zhou, T.; Fan, Z. Molecular variation and recombination in RNA segment 10 of rice black-streaked dwarf virus isolated from China during 2007–2010. Arch. Virol. 2012, 157, 1351–1356. [Google Scholar] [CrossRef]
- Morgulis, A.; Coulouris, G.; Raytselis, Y.; Madden, T.L.; Agarwala, R.; Schäffer, A.A. Database indexing for production MegaBLAST searches. Bioinformatics 2008, 24, 1757–1764. [Google Scholar] [CrossRef] [PubMed]
- Kearse, M.; Moir, R.; Wilson, A.; Stones-Havas, S.; Cheung, M.; Sturrock, S.; Buxton, S.; Cooper, A.; Markowitz, S.; Duran, C. Geneious Basic: An integrated and extendable desktop software platform for the organization and analysis of sequence data. Bioinformatics 2012, 28, 1647–1649. [Google Scholar] [CrossRef]
- Tamura, K.; Peterson, D.; Peterson, N.; Stecher, G.; Nei, M.; Kumar, S. MEGA5: Molecular evolutionary genetics analysis using maximum likelihood, evolutionary distance, and maximum parsimony methods. Mol. Biol. Evol. 2011, 28, 2731–2739. [Google Scholar] [CrossRef]








| Name of Library | Region | Location | Cultivar | No. of Samples |
|---|---|---|---|---|
| YP | Yeoncheon | 38.1129° N, 127.0818° E | Joyang | 12 |
| Pocheon | 37.9422° N, 127.1930° E | Joyang | 4 | |
| SW | Suwon | 37.2741° N, 126.9884° E | mixed | 16 |
| IG | Iksan | 35.9127° N, 126.9082° E | Samhan | 21 |
| JE | Jeongeup | 35.6674° N, 126.9668° E | Joyang | 49 |
| 35.6499° N, 126.9356° E | Joyang | 36 | ||
| 35.6725° N, 126.8461° E | Joyang | 43 | ||
| HN | Haenam | 34.6360° N, 126.6220° E | Joyang | 22 |
| GJ | Gangjin | 34.6128° N, 126.7601° E | Joyang | 119 |
| Total | 322 | |||
| Name of Library | Total Read Bases (bp) | Total Reads | GC (%) | Clean up Contig (e-Value ≤ 1 × 10−5) | SRA Accession Number |
|---|---|---|---|---|---|
| YP | 5,504,951,432 | 36,456,632 | 49.47 | 600,485 | SRR13259170 |
| SW | 6,227,005,346 | 41,238,446 | 47.27 | 618,180 | SRR13259239 |
| IG | 5,981,435,254 | 39,612,154 | 45.47 | 365,264 | SRR13259172 |
| JE | 6,811,937,066 | 45,112,166 | 46.18 | 585,956 | SRR13259168 |
| HN | 6,156,541,498 | 40,771,798 | 49.46 | 503,397 | SRR13259171 |
| GJ | 6,353,319,262 | 42,074,962 | 46.83 | 585,956 | SRR13259240 |
| Library | Virus | Strains/Segment | Isolate | Accession No. |
|---|---|---|---|---|
| YP | Barley yellow dwarf virus | PAV | BYDV-PAV-YCPV | LC590229 |
| Rice black streaked dwarf virus | segment 1 | RBSDV-S1-YCPV | LC590230 | |
| segment 2 | RBSDV-S2-YCPV | LC590231 | ||
| segment 3 | RBSDV-S3-YCPV | LC590232 | ||
| segment 4 | RBSDV-S4-YCPV | LC590233 | ||
| segment 5 | RBSDV-52-YCPV | LC590234 | ||
| segment 6 | RBSDV-S6-YCPV | LC590235 | ||
| segment 7 | RBSDV-S7-YCPV | LC590236 | ||
| segment 8 | RBSDV-S8-YCPV | LC590237 | ||
| segment 9 | RBSDV-S9-YCPV | LC590238 | ||
| segment 10 | RBSDV-10-YCPV | LC590239 | ||
| SW | Barley yellow dwarf virus | PAV | BYDV-PAV-SW | LC589965 |
| Cereal yellow dwarf virus | RPS | CYDV-RPS-SW | LC589964 | |
| IG | Barley yellow dwarf virus | PAV | BYDV-PAV-GJIS | LC590228 |
| JE | Barley yellow dwarf virus | PAV | BYDV-PAV-JE2 | LC589962 |
| PAS | BYDV-PAS-JE | LC592174 | ||
| Cereal yellow dwarf virus | RPS | CYDV-RPS-JE | LC589967 | |
| RPV | CYDV-RPV-JE | LC590227 | ||
| HN | Barley yellow dwarf virus | PAV | BYDV-PAV-HN2 | LC589961 |
| GJ | Barley yellow dwarf virus | PAV | BYDV-PAV-KJ2 | LC589963 |
| PAS | BYDV-PAS-KJ | LC592173 | ||
| Cereal yellow dwarf virus | RPS | CYDV-RPS-KJ | LC589966 |
| Name of Virus | Primer Name | Sequence 5′-3′ | Product Size (bp) | Reference |
|---|---|---|---|---|
| BYDV-PAV | ShuF | TACGGTAAGTGCCCAACTCC | 831 | [36] |
| YanR | TGTTGAGGAGTCTACCTATTTG | |||
| BYDV-PAS | Fwd | GGAGACGACTGTGTCATCATCACTGAG | 448 | [37] |
| Rev | TGTCGTTTGTGATAGGTGTCTCC | |||
| CYDV | Fwd | TCACCTTCGGGCCGTCTCTATCAG | 372 | [36] |
| YanR | TGTTGAGGAGTCTACCTATTTG | |||
| RBSDV | Fwd | TGGCTGTACCTTGTTTTGAT | 501 | [38] |
| Rev | GACAATAGCTGAATTTCCCCC | |||
| HNR 1 | Fwd | ATTGGGTTTGTCACTTTCCGTAG | 134 | [39] |
| Rev | CTTGGAGGGTGTCTCGCATCT |
Publisher’s Note: MDPI stays neutral with regard to jurisdictional claims in published maps and institutional affiliations. |
© 2022 by the authors. Licensee MDPI, Basel, Switzerland. This article is an open access article distributed under the terms and conditions of the Creative Commons Attribution (CC BY) license (https://creativecommons.org/licenses/by/4.0/).
Share and Cite
Kim, N.-K.; Lee, H.-J.; Kim, S.-M.; Jeong, R.-D. Identification of Viruses Infecting Oats in Korea by Metatranscriptomics. Plants 2022, 11, 256. https://doi.org/10.3390/plants11030256
Kim N-K, Lee H-J, Kim S-M, Jeong R-D. Identification of Viruses Infecting Oats in Korea by Metatranscriptomics. Plants. 2022; 11(3):256. https://doi.org/10.3390/plants11030256
Chicago/Turabian StyleKim, Na-Kyeong, Hyo-Jeong Lee, Sang-Min Kim, and Rae-Dong Jeong. 2022. "Identification of Viruses Infecting Oats in Korea by Metatranscriptomics" Plants 11, no. 3: 256. https://doi.org/10.3390/plants11030256
APA StyleKim, N.-K., Lee, H.-J., Kim, S.-M., & Jeong, R.-D. (2022). Identification of Viruses Infecting Oats in Korea by Metatranscriptomics. Plants, 11(3), 256. https://doi.org/10.3390/plants11030256

