Green Synthesis of Silver Nanoparticles from Diospyros villosa Extracts and Evaluation of Antioxidant, Antimicrobial and Anti-Quorum Sensing Potential
Abstract
1. Introduction
2. Materials and Methods
2.1. Chemicals and Reagents
2.2. Plant Collection
2.3. Plant Extraction
2.4. Synthesis of Silver Nanoparticles (AgNPs)
2.5. Quantification of AgNPs
2.6. UV-Vis Spectra Analysis
2.7. Fourier Transform Infrared (FT-IR) Analysis
2.8. Scanning Electron Microscopy (SEM) and Energy Dispersive X-ray (EDX) Analysis
2.9. Transmission Electron Microscopy (TEM)
2.10. DPPH Scavenging Activity
2.11. Ferric Reducing Antioxidant Potential (FRAP) Assay
2.12. Total Phenolic Content (TPC)
2.13. Antimicrobial Susceptibility Test
2.14. Qualitative Quorum Sensing Inhibition
2.15. Quantitative Quorum Sensing Inhibition
2.16. Statistical Analysis
3. Results
3.1. Synthesis and quantification of AgNPs
3.2. UV-Visible Spectra Analysis
3.3. Fourier Transform Infrared (FT-IR) Analysis
3.4. Scanning Electron Microscopy (SEM) Analysis
3.5. Energy Dispersive X-ray (EDX) Analysis
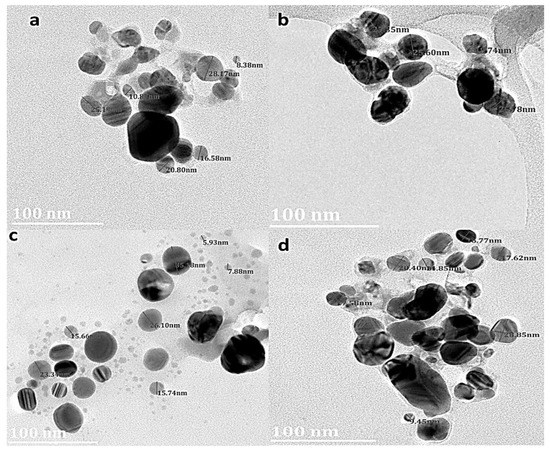
3.6. Transmission Electron Microscopy (TEM) Analysis
3.7. DPPH Scavenging Activity
3.8. Ferric Reducing Antioxidant Power
3.9. Total Phenol Content
3.10. Antibacterial Activity
3.11. Quorum Sensing Inhibition Potential
4. Discussion
5. Conclusions
Author Contributions
Funding
Institutional Review Board Statement
Informed Consent Statement
Data Availability Statement
Acknowledgments
Conflicts of Interest
References
- Sharifi-Rad, M.; Roberts, T.H.; Matthews, K.R.; Bezerra, C.F.; Morais-Braga, M.F.B.; Coutinho, H.D.; Sharopov, F.; Salehi, B.; Yousaf, Z.; Sharifi-Rad, M. Ethnobotany of the genus Taraxacum—Phytochemicals and antimicrobial activity. Phytother. Res. 2018, 32, 2131–2145. [Google Scholar] [CrossRef]
- Ayaz, M.; Ullah, F.; Sadiq, A.; Ullah, F.; Ovais, M.; Ahmed, J.; Devkota, H.P. Synergistic interactions of phytochemicals with antimicrobial agents: Potential strategy to counteract drug resistance. Chem.-Biol. Interact. 2019, 308, 294–303. [Google Scholar] [CrossRef]
- Gyebi, G.A.; Ogunro, O.B.; Adegunloye, A.P.; Ogunyemi, O.M.; Afolabi, S.O. Potential inhibitors of coronavirus 3-chymotrypsin-like protease (3CLpro): An in silico screening of alkaloids and terpenoids from African medicinal plants. J. Biomol. Struct. Dyn. 2020, 39, 3396–3408. [Google Scholar] [CrossRef]
- Liu, Y.; Ding, S.; Shen, J.; Zhu, K. Nonribosomal antibacterial peptides that target multidrug-resistant bacteria. Nat. Prod. Rep. 2019, 36, 573–592. [Google Scholar] [CrossRef]
- Krishnamurthy, M.; Moore, R.T.; Rajamani, S.; Panchal, R.G. Bacterial genome engineering and synthetic biology: Combating pathogens. BMC Microbiol. 2016, 16, 258. [Google Scholar] [CrossRef] [PubMed]
- Welsh, M.A.; Blackwell, H.E. Chemical probes of quorum sensing: From compound development to biological discovery. FEMS Microbiol. Rev. 2016, 40, 774–794. [Google Scholar] [CrossRef]
- Fleitas Martínez, O.; Cardoso, M.H.; Ribeiro, S.M.; Franco, O.L. Recent advances in anti-virulence therapeutic strategies with a focus on dismantling bacterial membrane microdomains, toxin neutralization, quorum-sensing interference and biofilm inhibition. Front. Cell. Infect. Microbiol. 2019, 9, 74–316. [Google Scholar] [CrossRef] [PubMed]
- Rafique, M.; Sadaf, I.; Rafique, M.S.; Tahir, M.B. A review on green synthesis of silver nanoparticles and their applications. Artif. Cells Nanomed. Biotechnol. 2017, 45, 1272–1291. [Google Scholar] [CrossRef]
- Khani, R.; Roostaei, B.; Bagherzade, G.; Moudi, M. Green synthesis of copper nanoparticles by fruit extract of Ziziphus spina-christi (L.) Willd: Application for adsorption of triphenylmethane dye and antibacterial assay. J. Mol. Liq. 2018, 255, 541–549. [Google Scholar] [CrossRef]
- Ahmad, S.; Munir, S.; Zeb, N.; Ullah, A.; Khan, B.; Ali, J.; Bilal, M.; Omer, M.; Alamzeb, M.; Salman, S.M. Green nanotechnology: A review on green synthesis of silver nanoparticles—An ecofriendly approach. Int. J. Nanomed. 2019, 14, 5087–5107. [Google Scholar] [CrossRef] [PubMed]
- Anandaradje, A.; Meyappan, V.; Kumar, I.; Sakthivel, N. Microbial synthesis of silver nanoparticles and their biological potential. In Nanoparticles in Medicine; Springer: Berlin/Heidelberg, Germany, 2020; pp. 99–133. [Google Scholar]
- Hamed, A.A.; Kabary, H.; Khedr, M.; Emam, A.N. Antibiofilm, antimicrobial and cytotoxic activity of extracellular green-synthesized silver nanoparticles by two marine-derived actinomycete. RSC Adv. 2020, 10, 10361–10367. [Google Scholar] [CrossRef] [PubMed]
- Kasithevar, M.; Periakaruppan, P.; Muthupandian, S.; Mohan, M. Antibacterial efficacy of silver nanoparticles against multi-drug resistant clinical isolates from post-surgical wound infections. Microb. Pathog. 2017, 107, 327–334. [Google Scholar] [CrossRef]
- Rasheed, T.; Bilal, M.; IqbaL, H.M.; Li, C. Green biosynthesis of silver nanoparticles using leaves extract of Artemisia vulgaris and their potential biomedical applications. Colloids Surf. B Biointerfaces 2017, 158, 408–415. [Google Scholar] [CrossRef] [PubMed]
- Zhang, Y.; Pan, X.; Liao, S.; Jiang, C.; Wang, L.; Tang, Y.; Wu, G.; Dai, G.; Chen, L. Quantitative proteomics reveals the mechanism of silver nanoparticles against multidrug-resistant Pseudomonas aeruginosa biofilms. J. Proteome Res. 2020, 19, 3109–3122. [Google Scholar] [CrossRef] [PubMed]
- Salleh, A.; Naomi, R.; Utami, N.D.; Mohammad, A.W.; Mahmoudi, E.; Mustafa, N.; Fauzi, M.B. The potential of silver nanoparticles for antiviral and antibacterial applications: A mechanism of action. Nanomaterials 2020, 10, 1566. [Google Scholar] [CrossRef] [PubMed]
- Ali, S.G.; Ansari, M.A.; Khan, H.M.; Jalal, M.; Mahdi, A.A.; Cameotra, S.S. Crataeva nurvala nanoparticles inhibit virulence factors and biofilm formation in clinical isolates of Pseudomonas aeruginosa. J. Basic Microbiol. 2017, 57, 193–203. [Google Scholar] [CrossRef]
- Satish, L.; Santhakumari, S.; Gowrishankar, S.; Pandian, S.K.; Ravi, A.V.; Ramesh, M. Rapid biosynthesized AgNPs from Gelidiella acerosa aqueous extract mitigates quorum sensing mediated biofilm formation of Vibrio species—An in vitro and in vivo approach. Environ. Sci. Pollut. Res. 2017, 24, 27254–27268. [Google Scholar] [CrossRef] [PubMed]
- Lewis-Oscar, F.; Nithya, C.; VismayA, S.; Arunkumar, M.; Pugazhendhi, A.; Nguyen-Tri, P.; Alharbi, S.A.; Alharbi, N.S.; Thajuddin, N. In vitro analysis of green fabricated silver nanoparticles (AgNPs) against Pseudomonas aeruginosa PA14 biofilm formation, their application on urinary catheter. Prog. Org. Coat. 2021, 151, 106058–1006064. [Google Scholar] [CrossRef]
- Agarwal, H.; Kumar, S.V.; Rajesh Kumar, S. A review on green synthesis of zinc oxide nanoparticles–An eco-friendly approach. Resour.-Effic. Technol. 2017, 3, 406–413. [Google Scholar] [CrossRef]
- Nephawe, M.J. Biosynthesis, Characterization and Antibacterial Activity of Silver and Gold Nanoparticles from the Leaf and Bark Extracts of Zanthoxylum capense; University of Johannesburg: Johannesburg, South Africa, 2015. [Google Scholar]
- Sridhar, K.R. Diversity, Ecology, and significance of fungal endophytes. In Endophytes and Secondary Metabolites. Reference Series in Phytochemistry; Jha, S., Ed.; Springer: Cham, Switzerland, 2019; pp. 61–100. [Google Scholar] [CrossRef]
- Mustafa, G.; Arif, R.; Atta, A.; Sharif, S.; Jamil, A. Bioactive compounds from medicinal plants and their importance in drug discovery in Pakistan. Matrix Sci. Pharma 2017, 1, 17–26. [Google Scholar] [CrossRef]
- Salehi, B.; Kumar, N.V.A.; Şener, B.; Sharifi-Rad, M.; Kılıç, M.; Mahady, G.B.; Vlaisavljevic, S.; Iriti, M.; Kobarfard, F.; Setzer, W.N. Medicinal plants used in the treatment of human immunodeficiency virus. Int. J. Mol. Sci. 2018, 19, 1459. [Google Scholar] [CrossRef] [PubMed]
- Anand, U.; Jacobo-Herrera, N.; Altemimi, A.; Lakhssassi, N. A comprehensive review on medicinal plants as antimicrobial therapeutics: Potential avenues of biocompatible drug discovery. Metabolites 2019, 9, 258. [Google Scholar] [CrossRef] [PubMed]
- Cirera, J.; DA Silva, G.; Gomes, E.; Serrano, R.; Silva, O. Diospyros villosa root botanical identification. Planta Med. 2010, 76, P012. [Google Scholar] [CrossRef]
- Cirera, J.; Da Silva, G.; Serrano, R.; Gomes, E.; Duarte, A.; Silva, O. Antimicrobial activity of Diospyros villosa root. Planta Med. 2010, 76, P454. [Google Scholar] [CrossRef]
- Dougnon, V.; Hounsa, E.; Koudokpon, H.; Legba, B.B.; Fabiyi, K.; Sintondji, K.; Dougnon, J. A Literature Review—Khaya senegalensis, Anacardium ouest L.; Cassia sieberiana DC.; Pterocarpus erinaceus, Diospyros mespiliformis, Ocimum gratissimum, Manihot esculenta, Vernonia amygdalina Delile, Pseudocedrela kotschyi and Daniellia oliveri possess properties for managing infectious diarrhea. Adv. Biosci. Biotechnol. 2020, 11, 457–473. [Google Scholar]
- Bodede, O.; Shaik, S.; Govinden, R.; Moodley, R. Evaluating the bioreducing potential of the leaves, knobs and roots of Zanthoxylum capense (small knobwood) for the synthesis of silver nanoparticles, applicable to in vitro fungal contamination control. Adv. Nat. Sci. Nanosci. Nanotechnol. 2017, 8, 045007. [Google Scholar] [CrossRef]
- Moodley, J.S.; Krishna, S.B.N.; Pillay, K.; Govender, P. Green synthesis of silver nanoparticles from Moringa oleifera leaf extracts and its antimicrobial potential. Adv. Nat. Sci. Nanosci. Nanotechnol. 2018, 9, 15011–15019. [Google Scholar] [CrossRef]
- Kannan, R.; Stirk, W.; van Staden, J. Synthesis of silver nanoparticles using the seaweed Codium capitatum PC Silva (Chlorophyceae). S. Afr. J. Bot. 2013, 86, 1–4. [Google Scholar] [CrossRef]
- Sharma, S.; Kumar, S.; Bulchandini, B.; Taneja, S.; Banyal, S. Green synthesis of silver nanoparticles and their antimicrobial activity against Gram positive and Gram negative bacteria. Int. J. Biotechnol. Bioeng. Res. 2013, 4, 711–714. [Google Scholar]
- Moteriya, P.; Chanda, S. Synthesis and characterization of silver nanoparticles using Caesalpinia pulcherrima flower extract and assessment of their in vitro antimicrobial, antioxidant, cytotoxic, and genotoxic activities. Artif. Cells Nanomed. Biotechnol. 2017, 45, 1556–1567. [Google Scholar] [CrossRef]
- Labulo, A.H.; Adesuji, E.T.; Dodeke, O.A.; Bodede, O.S.; Oseghale, C.O.; Moodley, R.; Nyamori, V.O.; Dare, E.O.; Adegoke, O.A. A dual-purpose silver nanoparticles biosynthesized using aqueous leaf extract of Detarium microcarpum. An underutilized species. Talanta 2016, 160, 735–744. [Google Scholar] [CrossRef] [PubMed]
- Munien, P.; Naidoo, Y.; Naidoo, G. Micromorphology, histochemistry and ultrastructure of foliar trichomes of Wathania somnifera (L.) Dunal (Solanaceae). Planta 2015, 242, 1101–1122. [Google Scholar] [CrossRef] [PubMed]
- Braca, A.; De Tommasi, N.; Di Bari, L.; Pizza, C.; Politi, M.; Morelli, I. Antioxidant principles from Bauhinia tarapotensis. J. Nat. Prod. 2001, 64, 892–895. [Google Scholar] [CrossRef] [PubMed]
- Juntachote, T.; Berghofer, E. Antioxidative properties and stability of ethanolic extracts of Holy basil and Galangal. Food Chem. 2005, 92, 193–202. [Google Scholar] [CrossRef]
- Atanassova, M.; Georgieva, S.; Ivancheva, K. Total phenolic and total flavonoid contents, antioxidant capacity and biological contaminants in medicinal herbs. J. Univ. Chem. Technol. Metall. 2011, 46, 81–88. [Google Scholar]
- Shao, Y.; Xu, F.; Sun, X.; Bao, J.; Beta, T. Identification and quantification of phenolic acids and anthocyanins as antioxidants in bran, embryo and endosperm of white, red and black rice kernels (Oryza sativa L.). J. Cereal Sci. 2014, 59, 211–218. [Google Scholar] [CrossRef]
- Chenia, H.Y. Anti-quorum sensing potential of crude Kigelia africana fruit extracts. Sensors 2013, 13, 2802. [Google Scholar] [CrossRef]
- Truchado, P.; Giménez-Bastida, J.-A.; Larrosa, M.; Castro-Ibáñez, I.; Espín, J.C.; Tomás-Barberán, F.A.; García-Conesa, M.T.; Allende, A. Inhibition of quorum sensing (QS) in Yersinia enterocolitica by an orange extract rich in glycosylated flavanones. J. Agric. Food Chem. 2012, 60, 8885–8894. [Google Scholar] [CrossRef]
- Abraham, S.V.P.I.; Palani, A.; Ramaswamy, B.R.; Shunmugiah, K.P.; Arumugam, V.R. Antiquorum sensing and antibiofilm potential of Capparis spinosa. Arch. Med. Res. 2011, 42, 658–668. [Google Scholar] [CrossRef]
- Dhanani, T.; Shah, S.; Gajbhiye, N.; Kumar, S. Effect of extraction methods on yield, phytochemical constituents and antioxidant activity of Withania somnifera. Arab. J. Chem. 2017, 10, S1193–S1199. [Google Scholar] [CrossRef]
- Zayed, M.F.; Eisa, W.H.; El-Kousy, S.M.; Mleha, W.K.; Kamal, N. Ficus retusa-stabilized gold and silver nanoparticles: Controlled synthesis, spectroscopic characterization, and sensing properties. Spectrochim. Acta Part A Mol. Biomol. Spectrosc. 2019, 214, 496–512. [Google Scholar] [CrossRef] [PubMed]
- Baruah, P.K.; Singh, A.; Rangan, L.; Sharma, A.K.; Khare, A. Elucidation of size, structure, surface plasmon resonance, and photoluminescence of Ag nanoparticles synthesized by pulsed laser ablation in distilled water and its viability as SERS substrate. Appl. Phys. A 2020, 126, 1–14. [Google Scholar] [CrossRef]
- Vinod, V.T.P.; Wacławek, S.; Senan, C.; Kupčík, J.; Pešková, K.; Černík, M.; Somashekarappa, H. Gum karaya (Sterculia urens) stabilized zero-valent iron nanoparticles: Characterization and applications for the removal of chromium and volatile organic pollutants from water. RSC Adv. 2017, 7, 13997–14009. [Google Scholar] [CrossRef]
- Ayepola, O.; Olasehinde, G.; Adedeji, O.; Adeyemi, O.; Onile-Ere, O. In-vitro antimicrobial activity of crude extracts of Diospyros monbuttensis. Afr. J. Clin. Exp. Microbiol. 2018, 19, 84–87. [Google Scholar] [CrossRef]
- Sara, G.Y.; Dauda, S.; Emmanuel, A.; Bhutto, Y.Y.; Joseph, I. Phytochemical screening and antimicrobial activity of leaf and stem-bark aqueous extracts of Diospyros mespiliformis. Int. J. Biochem. Res. Rev. 2018, 22, 1–8. [Google Scholar] [CrossRef]
- Tarekegne, A.T.; Janting, J.; Ou, H. Strong visible-light emission in annealed poly (acrylic acid). Opt. Mater. Express 2020, 10, 3424–3434. [Google Scholar] [CrossRef]
- He, L.; He, T.; Farrar, S.; Ji, L.; Liu, T.; Ma, X. Antioxidants maintain cellular redox homeostasis by elimination of reactive oxygen species. Cell. Physiol. Biochem. 2017, 44, 532–553. [Google Scholar] [CrossRef]
- Bizimenyera, E. The Potential Role of Antibacterial, Antioxidant and Antiparasitic Activity of Peltophorum africanum Sond (Fabaceae) Extracts in the Ethnoveterinary Medicine. PhD Thesis, University of Pretoria, Pretoria, South Africa, 2007. [Google Scholar]
- Atawodi, S.E. Antioxidant potential of African medicinal plants. Afr. J. Biotechnol. 2005, 4, 128–133. [Google Scholar]
- Bharathi, D.; Josebin, M.D.; Vasantharaj, S.; Bhuvaneshwari, V. Biosynthesis of silver nanoparticles using stem bark extracts of Diospyros montana and their antioxidant and antibacterial activities. J. Nanostructure Chem. 2018, 8, 83–92. [Google Scholar] [CrossRef]
- Untea, A.; Lupu, A.; Saracila, M.; Panaite, T. Comparison of ABTS, DPPH, phosphomolybdenum assays for estimating antioxidant activity and phenolic compounds in five different plant extracts. Bull. Univ. Agric. Sci. Vet. Med. Cluj-Napoca Anim. Sci. Biotechnol. 2018, 75, 110–114. [Google Scholar] [CrossRef]
- Caleja, C.; Barros, L.; Barreira, J.C.; Ciric, A.; Sokovic, M.; Calhelha, R.C.; Beatriz, M.; Oliveira, P.; Ferreira, I.C. Suitability of lemon balm (Melissa officinalis L.) extract rich in rosmarinic acid as a potential enhancer of functional properties in cupcakes. Food Chem. 2018, 250, 67–74. [Google Scholar] [CrossRef] [PubMed]
- Hamedi, S.; Shojaosadati, S.A. Rapid and green synthesis of silver nanoparticles using Diospyros lotus extract: Evaluation of their biological and catalytic activities. Polyhedron 2019, 171, 172–180. [Google Scholar] [CrossRef]
- Maridass, M.; Ganapathy, R. Anti-inflammatory activity of some medicinal plants in India. Nat. Pharm. Technol. 2018, 8, 1–4. [Google Scholar]
- Gontijo, L.A.P.; Raphael, E.; Ferrari, D.P.S.; Ferrari, J.L.; Lyon, J.P.; Schiavon, M.A. pH effect on the synthesis of different size silver nanoparticles evaluated by DLS and their size-dependent antimicrobial activity. Matéria 2020, 25, 1–10. [Google Scholar] [CrossRef]
- Wink, M. Mode of action of herbal medicines and plant secondary metabolites. Medicine 2015, 2, 251. [Google Scholar] [CrossRef]
- Khan, M.S.; Qais, F.A.; Ahmad, I. Quorum sensing interference by natural products from medicinal plants: Significance in combating bacterial infection. In Biotechnological Applications of Quorum Sensing Inhibitors; Springer: Singapore, 2018; pp. 417–445. [Google Scholar]
- Shah, S.; Gaikwad, S.; Nagar, S.; Kulshrestha, S.; Vaidya, V.; Nawani, N.; Pawar, S. Biofilm inhibition and anti-quorum sensing activity of phytosynthesized silver nanoparticles against the nosocomial pathogen Pseudomonas aeruginosa. Biofouling 2019, 35, 34–49. [Google Scholar] [CrossRef]
- Qais, F.A.; Shafiq, A.; Ahmad, I.; Husain, F.M.; Khan, R.A.; Hassan, I. Green synthesis of silver nanoparticles using Carum copticum: Assessment of its quorum sensing and biofilm inhibitory potential against gram negative bacterial pathogens. Microb. Pathog. 2020, 144, 104172. [Google Scholar] [CrossRef]














| Temperature (°C) | Part of the Plant | |
|---|---|---|
| Leaf (L) | Stem Bark (SB) | |
| 25 °C (RT) | LRT | SBRT |
| 80 °C | L80 | SB80 |
| AgNPs | E. coli ATCC 25922 | E. coli ATCC 35218 | K. pneumoniae ATCC 700603 | P. aeruginosa ATCC 27853 | ||||
|---|---|---|---|---|---|---|---|---|
| 100 μg | 200 μg | 100 μg | 200 μg | 100 μg | 200 μg | 100 μg | 200 μg | |
| L RT | 11 | 15 | 7 | 8 | 0 | 0 | 0 | 0 |
| L 80 | 8 | 9 | 7 | 9 | 0 | 0 | 0 | 0 |
| SB RT | 0 | 8 | 7 | 9 | 8 | 8 | 8 | 10 |
| SB 80 | 0 | 9 | 7 | 8 | 8 | 8 | 8 | 10 |
| Control | ||||||||
| CIP5 | 30 (S) | 37 (S) | 26 (S) | 32 (S) | ||||
| GN10 | 19 (S) | 20 (S) | 17 (S) | 19 (S) | ||||
| AgNPs | E. faecalis ATCC 29212 | E. faecalis ATCC 51299 | S. aureus ATCC 29213 | S. aureus ATCC 33591 | S. aureus ATCC 43300 | S. aureus ATCC 700698 | S. epidermidis ATCC 12228 | |||||||
|---|---|---|---|---|---|---|---|---|---|---|---|---|---|---|
| Quantity (µg) | 100 | 200 | 100 | 200 | 100 | 200 | 100 | 200 | 100 | 200 | 100 | 200 | 100 | 200 |
| L RT | 9 | 10 | 8 | 9 | 9 | 9 | 12 | 14 | 9 | 9 | 11 | 16 | 12 | 16 |
| L 80 | 9 | 10 | 8 | 9 | 8 | 7 | 11 | 14 | 8 | 8 | 12 | 18 | 12 | 14 |
| SB RT | 7 | 8 | 0 | 8 | 0 | 8 | 0 | 8 | 7 | 8 | 0 | 8 | 9 | 12 |
| SB 80 | 8 | 9 | 0 | 9 | 0 | 10 | 8 | 10 | 0 | 7 | 0 | 10 | 8 | 11 |
| CIP5 | 33 (S) | 38 (S) | 23 (S) | 22 (S) | 23 (S) | 6 (R) | 28 (S) | |||||||
| GN10 | 18 (R) | 0 (R) | 19 (R) | 16 (S) | 9 (R) | 11 (R) | 20 (S) | |||||||
| AgNPs | C. violaceum ATCC 12472 | C. subtsugae CV017 | ||||||||||
|---|---|---|---|---|---|---|---|---|---|---|---|---|
| 100 μg | 200 μg | 100 μg | 200 μg | |||||||||
| TZD | CZD | QSI | TZD | CZD | QSI | TZD | CZD | QSI | TZD | CZD | QSI | |
| L RT | 13 | 8 | 5 | 14 | 9 | 5 | 13 | 8 | 5 | 14 | 9 | 5 |
| L 80 | 12 | 8 | 4 | 13 | 8 | 5 | 13 | 8 | 5 | 14 | 9 | 5 |
| SB RT | 11 | 7 | 4 | 14 | 9 | 5 | 13 | 10 | 3 | 14 | 9 | 5 |
| SB 80 | 12 | 8 | 4 | 15 | 10 | 5 | 15 | 11 | 4 | 14 | 9 | 5 |
| Vanillin | 10 | 0 | 10 | 16 | 0 | 16 | 10 | 0 | 10 | 15 | 0 | 15 |
Publisher’s Note: MDPI stays neutral with regard to jurisdictional claims in published maps and institutional affiliations. |
© 2022 by the authors. Licensee MDPI, Basel, Switzerland. This article is an open access article distributed under the terms and conditions of the Creative Commons Attribution (CC BY) license (https://creativecommons.org/licenses/by/4.0/).
Share and Cite
Adu, O.T.; Mohamed, F.; Naidoo, Y.; Adu, T.S.; Chenia, H.; Dewir, Y.H.; Rihan, H. Green Synthesis of Silver Nanoparticles from Diospyros villosa Extracts and Evaluation of Antioxidant, Antimicrobial and Anti-Quorum Sensing Potential. Plants 2022, 11, 2514. https://doi.org/10.3390/plants11192514
Adu OT, Mohamed F, Naidoo Y, Adu TS, Chenia H, Dewir YH, Rihan H. Green Synthesis of Silver Nanoparticles from Diospyros villosa Extracts and Evaluation of Antioxidant, Antimicrobial and Anti-Quorum Sensing Potential. Plants. 2022; 11(19):2514. https://doi.org/10.3390/plants11192514
Chicago/Turabian StyleAdu, Oluwatosin Temilade, Farzana Mohamed, Yougasphree Naidoo, Temitope Samson Adu, Hafizah Chenia, Yaser Hassan Dewir, and Hail Rihan. 2022. "Green Synthesis of Silver Nanoparticles from Diospyros villosa Extracts and Evaluation of Antioxidant, Antimicrobial and Anti-Quorum Sensing Potential" Plants 11, no. 19: 2514. https://doi.org/10.3390/plants11192514
APA StyleAdu, O. T., Mohamed, F., Naidoo, Y., Adu, T. S., Chenia, H., Dewir, Y. H., & Rihan, H. (2022). Green Synthesis of Silver Nanoparticles from Diospyros villosa Extracts and Evaluation of Antioxidant, Antimicrobial and Anti-Quorum Sensing Potential. Plants, 11(19), 2514. https://doi.org/10.3390/plants11192514

