Lymphocyte-Specific Protein 1 Regulates Expression and Stability of Endothelial Nitric Oxide Synthase
Abstract
1. Introduction
2. Materials and Methods
2.1. Cell Culture
2.2. Lentiviral Packaging
2.3. Lentiviral Transduction and Western Blotting
2.4. Adenovirus Packaging and Transduction
2.5. Co-Immunoprecipitation
2.6. Confocal Immunofluorescence Microscopy
2.7. Measurement of Intracellular NO Levels
2.8. Determination of eNOS Dimerization Status
2.9. Experimental Animal Studies
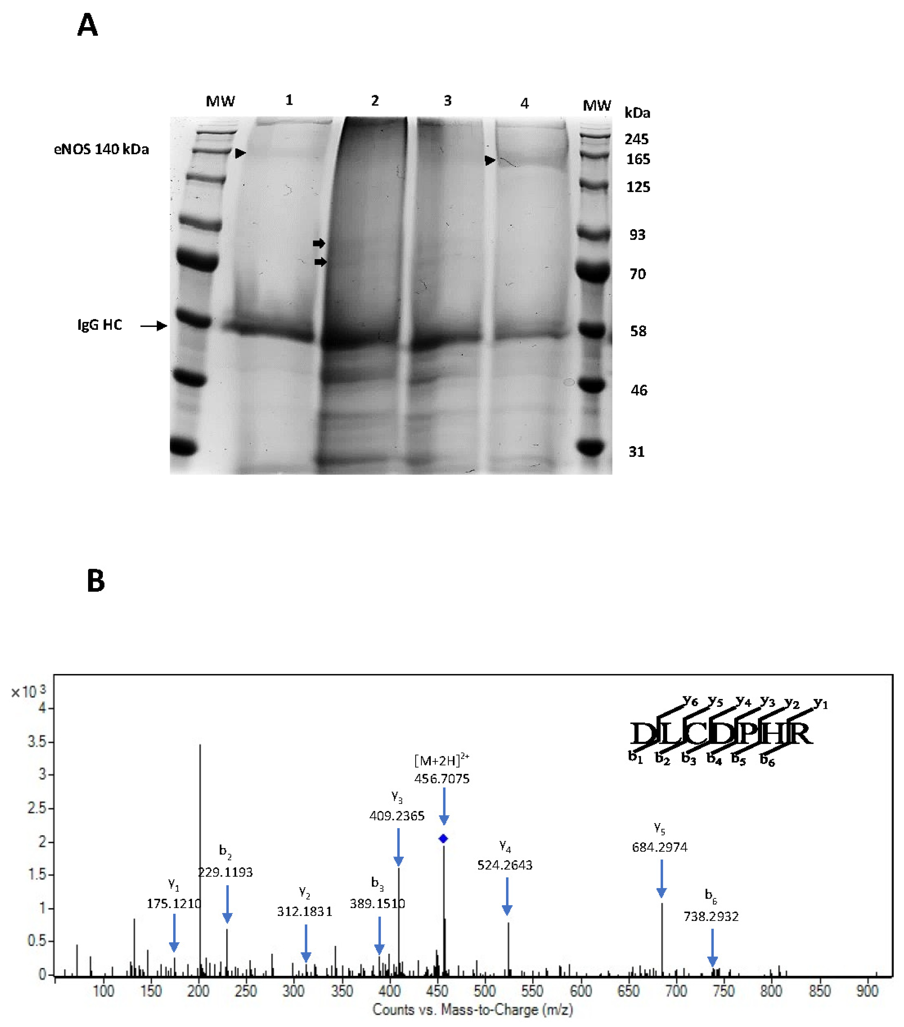
2.10. eNOS Immunoprecipitation for Mass Spectrometry
2.11. In-Gel Digestion of Proteins
2.12. Liquid Chromatography–Mass Spectrometry (LC-MS/MS)
2.13. Peptide Identification and Bioinformatics Analysis
2.14. CRISPR Mismatch Cleavage Assay
2.15. Statistical Analysis
3. Results
3.1. CRISPR-Cas9-Mediated Genomic Editing of Human LSP1 Gene and Validation of the sgRNAs
3.2. Knockout of Human LSP1 Reduces eNOS Gene Expression in EA.hy926 Cells
3.3. Human LSP1 Overexpression Enhances the Expression of eNOS
3.4. LSP1 and eNOS Interact Physically in Human Macrovascular Endothelial Cells
3.5. Impaired NO Production in LSP1-Deficient Human Endothelial Cells
3.6. LSP1 Deficiency Leads to Increased Expression of eNOS with eNOS Instability In Vivo and Enhanced Susceptibility of eNOS to Proteolytic Degradation in LSP1 KO Mice
4. Discussion
Supplementary Materials
Author Contributions
Funding
Institutional Review Board Statement
Informed Consent Statement
Data Availability Statement
Acknowledgments
Conflicts of Interest
References
- Davignon, J.; Ganz, P. Role of endothelial dysfunction in atherosclerosis. Circulation 2004, 109 (Suppl. 1), III27–III32. [Google Scholar] [CrossRef]
- Barbato, J.E.; Tzeng, E. Nitric oxide and arterial disease. J. Vasc. Surg. 2004, 40, 187–193. [Google Scholar] [CrossRef] [PubMed]
- Andrew, P.J.; Mayer, B. Enzymatic function of nitric oxide synthases. Cardiovasc. Res. 1999, 43, 521–531. [Google Scholar] [CrossRef] [PubMed]
- Campbell, M.G.; Smith, B.C.; Potter, C.S.; Carragher, B.; Marletta, M.A. Molecular architecture of mammalian nitric oxide synthases. Proc. Natl. Acad. Sci. USA 2014, 111, E3614–E3623. [Google Scholar] [CrossRef]
- Crabtree, M.J.; Tatham, A.L.; Al-Wakeel, Y.; Warrick, N.; Hale, A.B.; Cai, S.; Channon, K.M.; Alp, N.J. Quantitative regulation of intracellular endothelial nitric-oxide synthase (eNOS) coupling by both tetrahydrobiopterin-eNOS stoichiometry and biopterin redox status: Insights from cells with tet-regulated GTP cyclohydrolase I expression. J. Biol. Chem. 2009, 284, 1136–1144. [Google Scholar] [CrossRef]
- Crabtree, M.J.; Hale, A.B.; Channon, K.M. Dihydrofolate reductase protects endothelial nitric oxide synthase from uncoupling in tetrahydrobiopterin deficiency. Free Radic. Biol. Med. 2011, 50, 1639–1646. [Google Scholar] [CrossRef]
- Govers, R.; Rabelink, T.J. Cellular regulation of endothelial nitric oxide synthase. Am. J. Physiol.-Ren. Physiol. 2001, 280, F193–F206. [Google Scholar] [CrossRef]
- Hennenberg, M.; Trebicka, J.; Sauerbruch, T.; Heller, J. Mechanisms of extrahepatic vasodilation in portal hypertension. Gut 2008, 57, 1300–1314. [Google Scholar] [CrossRef]
- Qian, J.; Fulton, D. Post-translational regulation of endothelial nitric oxide synthase in vascular endothelium. Front. Physiol. 2013, 4, 347. [Google Scholar] [CrossRef]
- Kearney, P.M.; Whelton, M.; Reynolds, K.; Muntner, P.; Whelton, P.K.; He, J. Global burden of hypertension: Analysis of worldwide data. Lancet 2005, 365, 217–223. [Google Scholar] [CrossRef]
- Kjeldsen, S.E. Hypertension and cardiovascular risk: General aspects. Pharmacol. Res. 2018, 129, 95–99. [Google Scholar] [CrossRef]
- Vasan, R.S.; Massaro, J.M.; Wilson, P.W.; Seshadri, S.; Wolf, P.A.; Levy, D.; D’Agostino, R.B.; Framingham Heart, S. Antecedent blood pressure and risk of cardiovascular disease: The Framingham Heart Study. Circulation 2002, 105, 48–53. [Google Scholar] [CrossRef] [PubMed]
- Li, Q.; Youn, J.Y.; Cai, H. Mechanisms and consequences of endothelial nitric oxide synthase dysfunction in hypertension. J. Hypertens. 2015, 33, 1128–1136. [Google Scholar] [CrossRef] [PubMed]
- Gamboa, A.; Shibao, C.; Diedrich, A.; Choi, L.; Pohar, B.; Jordan, J.; Paranjape, S.; Farley, G.; Biaggioni, I. Contribution of endothelial nitric oxide to blood pressure in humans. Hypertension 2007, 49, 170–177. [Google Scholar] [CrossRef]
- Huang, P.L.; Huang, Z.; Mashimo, H.; Bloch, K.D.; Moskowitz, M.A.; Bevan, J.A.; Fishman, M.C. Hypertension in mice lacking the gene for endothelial nitric oxide synthase. Nature 1995, 377, 239–242. [Google Scholar] [CrossRef] [PubMed]
- Rees, D.D.; Palmer, R.M.; Moncada, S. Role of endothelium-derived nitric oxide in the regulation of blood pressure. Proc. Natl. Acad. Sci. USA 1989, 86, 3375–3378. [Google Scholar] [CrossRef] [PubMed]
- Ohashi, Y.; Kawashima, S.; Hirata, K.; Yamashita, T.; Ishida, T.; Inoue, N.; Sakoda, T.; Kurihara, H.; Yazaki, Y.; Yokoyama, M. Hypotension and reduced nitric oxide-elicited vasorelaxation in transgenic mice overexpressing endothelial nitric oxide synthase. J. Clin. Investig. 1998, 102, 2061–2071. [Google Scholar] [CrossRef]
- Jongstra-Bilen, J.; Janmey, P.A.; Hartwig, J.H.; Galea, S.; Jongstra, J. The lymphocyte-specific protein LSP1 binds to F-actin and to the cytoskeleton through its COOH-terminal basic domain. J. Cell Biol. 1992, 118, 1443–1453. [Google Scholar] [CrossRef]
- Klein, D.P.; Jongstra-Bilen, J.; Ogryzlo, K.; Chong, R.; Jongstra, J. Lymphocyte-specific Ca2+-binding protein LSP1 is associated with the cytoplasmic face of the plasma membrane. Mol. Cell Biol. 1989, 9, 3043–3048. [Google Scholar]
- Pulford, K.; Jones, M.; Banham, A.H.; Haralambieva, E.; Mason, D.Y. Lymphocyte-specific protein 1: A specific marker of human leucocytes. Immunology 1999, 96, 262–271. [Google Scholar] [CrossRef]
- Liu, L.; Cara, D.C.; Kaur, J.; Raharjo, E.; Mullaly, S.C.; Jongstra-Bilen, J.; Jongstra, J.; Kubes, P. LSP1 is an endothelial gatekeeper of leukocyte transendothelial migration. J. Exp. Med. 2005, 201, 409–418. [Google Scholar] [CrossRef] [PubMed]
- Petri, B.; Kaur, J.; Long, E.M.; Li, H.; Parsons, S.A.; Butz, S.; Phillipson, M.; Vestweber, D.; Patel, K.D.; Robbins, S.M.; et al. Endothelial LSP1 is involved in endothelial dome formation, minimizing vascular permeability changes during neutrophil transmigration in vivo. Blood 2011, 117, 942–952. [Google Scholar] [CrossRef] [PubMed]
- Zhang, H.; Wang, Y.; Liu, Z.; Yao, B.; Dou, C.; Xu, M.; Li, Q.; Jia, Y.; Wu, S.; Tu, K.; et al. Lymphocyte-specific protein 1 inhibits the growth of hepatocellular carcinoma by suppressing ERK1/2 phosphorylation. FEBS Open Bio 2016, 6, 1227–1237. [Google Scholar] [CrossRef]
- Chen, H.; Qi, X.; Qiu, P.; Zhao, J. Correlation between LSP1 polymorphisms and the susceptibility to breast cancer. Int. J. Clin. Exp. Pathol. 2015, 8, 5798–5802. [Google Scholar] [PubMed]
- Miyoshi, E.K.; Stewart, P.L.; Kincade, P.W.; Lee, M.B.; Thompson, A.A.; Wall, R. Aberrant expression and localization of the cytoskeleton-binding pp52 (LSP1) protein in hairy cell leukemia. Leuk. Res. 2001, 25, 57–67. [Google Scholar] [CrossRef] [PubMed]
- Marafioti, T.; Jabri, L.; Pulford, K.; Brousset, P.; Mason, D.Y.; Delsol, G. Leucocyte-specific protein (LSP1) in malignant lymphoma and Hodgkin’s disease. Br. J. Haematol. 2003, 120, 671–678. [Google Scholar] [CrossRef]
- Carballo, E.; Colomer, D.; Vives-Corrons, J.L.; Blackshear, P.J.; Gil, J. Characterization and purification of a protein kinase C substrate in human B cells. Identification as lymphocyte-specific protein 1 (LSP1). J. Immunol. 1996, 156, 1709–1713. [Google Scholar] [CrossRef]
- Huang, C.K.; Zhan, L.; Ai, Y.; Jongstra, J. LSP1 is the major substrate for mitogen-activated protein kinase-activated protein kinase 2 in human neutrophils. J. Biol. Chem. 1997, 272, 17–19. [Google Scholar] [CrossRef]
- Azam, A.B.; Azizan, E.A.B. Brief Overview of a Decade of Genome-Wide Association Studies on Primary Hypertension. Int. J. Endocrinol. 2018, 2018, 7259704. [Google Scholar] [CrossRef]
- Johnson, T.; Gaunt, T.R.; Newhouse, S.J.; Padmanabhan, S.; Tomaszewski, M.; Kumari, M.; Morris, R.W.; Tzoulaki, I.; O’Brien, E.T.; Poulter, N.R.; et al. Blood pressure loci identified with a gene-centric array. Am. J. Hum. Genet. 2011, 89, 688–700. [Google Scholar] [CrossRef]
- Jongstra-Bilen, J.; Misener, V.L.; Wang, C.; Ginzberg, H.; Auerbach, A.; Joyner, A.L.; Downey, G.P.; Jongstra, J. LSP1 modulates leukocyte populations in resting and inflamed peritoneum. Blood 2000, 96, 1827–1835. [Google Scholar] [CrossRef] [PubMed]
- Bhattacharya, D.; Van Meir, E.G. A simple genotyping method to detect small CRISPR-Cas9 induced indels by agarose gel electrophoresis. Sci. Rep. 2019, 9, 4437. [Google Scholar] [CrossRef]
- Kapahnke, M.; Banning, A.; Tikkanen, R. Random Splicing of Several Exons Caused by a Single Base Change in the Target Exon of CRISPR/Cas9 Mediated Gene Knockout. Cells 2016, 5, 45. [Google Scholar] [CrossRef]
- Tuladhar, R.; Yeu, Y.; Tyler Piazza, J.; Tan, Z.; Rene Clemenceau, J.; Wu, X.; Barrett, Q.; Herbert, J.; Mathews, D.H.; Kim, J.; et al. CRISPR-Cas9-based mutagenesis frequently provokes on-target mRNA misregulation. Nat. Commun. 2019, 10, 4056. [Google Scholar] [CrossRef] [PubMed]
- Wang, Y.; Shin, W.S.; Kawaguchi, H.; Inukai, M.; Kato, M.; Sakamoto, A.; Uehara, Y.; Miyamoto, M.; Shimamoto, N.; Korenaga, R.; et al. Contribution of sustained Ca2+ elevation for nitric oxide production in endothelial cells and subsequent modulation of Ca2+ transient in vascular smooth muscle cells in coculture. J. Biol. Chem. 1996, 271, 5647–5655. [Google Scholar] [CrossRef] [PubMed]
- Heiss, E.H.; Dirsch, V.M. Regulation of eNOS enzyme activity by posttranslational modification. Curr. Pharm. Des. 2014, 20, 3503–3513. [Google Scholar] [CrossRef]
- Nguyen, K.T.; Mun, S.H.; Lee, C.S.; Hwang, C.S. Control of protein degradation by N-terminal acetylation and the N-end rule pathway. Exp. Mol. Med. 2018, 50, 1–8. [Google Scholar] [CrossRef] [PubMed]
- Rieber, A.J.; Marr, H.S.; Comer, M.B.; Edgell, C.J. Extent of differentiated gene expression in the human endothelium-derived EA.hy926 cell line. Thromb. Haemost. 1993, 69, 476–480. [Google Scholar] [CrossRef]
- Bouis, D.; Hospers, G.A.; Meijer, C.; Molema, G.; Mulder, N.H. Endothelium in vitro: A review of human vascular endothelial cell lines for blood vessel-related research. Angiogenesis 2001, 4, 91–102. [Google Scholar] [CrossRef]
- Ahn, K.; Pan, S.; Beningo, K.; Hupe, D. A permanent human cell line (EA.hy926) preserves the characteristics of endothelin converting enzyme from primary human umbilical vein endothelial cells. Life Sci. 1995, 56, 2331–2341. [Google Scholar] [CrossRef]
- Zheng, B.; Han, M.; Bernier, M.; Wen, J.K. Nuclear actin and actin-binding proteins in the regulation of transcription and gene expression. FEBS J. 2009, 276, 2669–2685. [Google Scholar] [CrossRef]
- Gettemans, J.; Van Impe, K.; Delanote, V.; Hubert, T.; Vandekerckhove, J.; De Corte, V. Nuclear actin-binding proteins as modulators of gene transcription. Traffic 2005, 6, 847–857. [Google Scholar] [CrossRef] [PubMed]
- Louvet, E.; Percipalle, P. Transcriptional control of gene expression by actin and myosin. Int. Rev. Cell Mol. Biol. 2009, 272, 107–147. [Google Scholar]
- Ou, H.; Shen, Y.H.; Utama, B.; Wang, J.; Wang, X.; Coselli, J.; Wang, X.L. Effect of nuclear actin on endothelial nitric oxide synthase expression. Arter. Thromb. Vasc. Biol. 2005, 25, 2509–2514. [Google Scholar] [CrossRef]
- Li, Y.; Guerrero, A.; Howard, T.H. The actin-binding protein, lymphocyte-specific protein 1, is expressed in human leukocytes and human myeloid and lymphoid cell lines. J. Immunol. 1995, 155, 3563–3569. [Google Scholar] [CrossRef] [PubMed]
- Zhang, Q.; Li, Y.; Howard, T.H. Human lymphocyte-specific protein 1, the protein overexpressed in neutrophil actin dysfunction with 47-kDa and 89-kDa protein abnormalities (NAD 47/89), has multiple F-actin binding domains. J. Immunol. 2000, 165, 2052–2058. [Google Scholar] [CrossRef] [PubMed]
- Zhang, R.; Min, W.; Sessa, W.C. Functional analysis of the human endothelial nitric oxide synthase promoter. Sp1 and GATA factors are necessary for basal transcription in endothelial cells. J. Biol. Chem. 1995, 270, 15320–15326. [Google Scholar] [CrossRef]
- El-Brolosy, M.A.; Stainier, D.Y.R. Genetic compensation: A phenomenon in search of mechanisms. PLoS Genet. 2017, 13, e1006780. [Google Scholar] [CrossRef]
- Searles, C.D. Transcriptional and posttranscriptional regulation of endothelial nitric oxide synthase expression. Am. J. Physiol. Cell Physiol. 2006, 291, C803–C816. [Google Scholar] [CrossRef]
- Fulton, D.; Fontana, J.; Sowa, G.; Gratton, J.P.; Lin, M.; Li, K.X.; Michell, B.; Kemp, B.E.; Rodman, D.; Sessa, W.C. Localization of endothelial nitric-oxide synthase phosphorylated on serine 1179 and nitric oxide in Golgi and plasma membrane defines the existence of two pools of active enzyme. J. Biol. Chem. 2002, 277, 4277–4284. [Google Scholar] [CrossRef]
- Church, J.E.; Fulton, D. Differences in eNOS activity because of subcellular localization are dictated by phosphorylation state rather than the local calcium environment. J. Biol. Chem. 2006, 281, 1477–1488. [Google Scholar] [CrossRef] [PubMed]
- Fulton, D.; Babbitt, R.; Zoellner, S.; Fontana, J.; Acevedo, L.; McCabe, T.J.; Iwakiri, Y.; Sessa, W.C. Targeting of endothelial nitric-oxide synthase to the cytoplasmic face of the Golgi complex or plasma membrane regulates Akt-versus calcium-dependent mechanisms for nitric oxide release. J. Biol. Chem. 2004, 279, 30349–30357. [Google Scholar] [CrossRef] [PubMed]
- Sessa, W.C.; Garcia-Cardena, G.; Liu, J.; Keh, A.; Pollock, J.S.; Bradley, J.; Thiru, S.; Braverman, I.M.; Desai, K.M. The Golgi association of endothelial nitric oxide synthase is necessary for the efficient synthesis of nitric oxide. J. Biol. Chem. 1995, 270, 17641–17644. [Google Scholar] [CrossRef] [PubMed]
- Berggard, T.; Linse, S.; James, P. Methods for the detection and analysis of protein-protein interactions. Proteomics 2007, 7, 2833–2842. [Google Scholar] [CrossRef]
- Brymora, A.; Valova, V.A.; Robinson, P.J. Protein-protein interactions identified by pull-down experiments and mass spectrometry. Curr. Protoc. Cell Biol. 2004, 22, 17.5. [Google Scholar] [CrossRef]
- Bell, M.R.; Engleka, M.J.; Malik, A.; Strickler, J.E. To fuse or not to fuse: What is your purpose? Protein Sci. 2013, 22, 1466–1477. [Google Scholar] [CrossRef]
- Tesauro, M.; Thompson, W.C.; Rogliani, P.; Qi, L.; Chaudhary, P.P.; Moss, J. Intracellular processing of endothelial nitric oxide synthase isoforms associated with differences in severity of cardiopulmonary diseases: Cleavage of proteins with aspartate vs. glutamate at position 298. Proc. Natl. Acad. Sci. USA 2000, 97, 2832–2835. [Google Scholar] [CrossRef]
- Fairchild, T.A.; Fulton, D.; Fontana, J.T.; Gratton, J.P.; McCabe, T.J.; Sessa, W.C. Acidic hydrolysis as a mechanism for the cleavage of the Glu(298)-->Asp variant of human endothelial nitric-oxide synthase. J. Biol. Chem. 2001, 276, 26674–26679. [Google Scholar] [CrossRef]
- Black, S.M.; Ross, P.A.; Levic, S.; Hallmark, O.G. Reactive Oxygen Species Inhibit Endothelial NO Synthase by Multiple Mechanisms. Pediatr. Res. 1999, 45, 296A. [Google Scholar] [CrossRef][Green Version]
- Persu, A.; Stoenoiu, M.S.; Messiaen, T.; Davila, S.; Robino, C.; El-Khattabi, O.; Mourad, M.; Horie, S.; Feron, O.; Balligand, J.L.; et al. Modifier effect of ENOS in autosomal dominant polycystic kidney disease. Hum. Mol. Genet. 2002, 11, 229–241. [Google Scholar] [CrossRef]
- Tesauro, M.; Thompson, W.C.; Moss, J. Effect of staurosporine-induced apoptosis on endothelial nitric oxide synthase in transfected COS-7 cells and primary endothelial cells. Cell Death Differ. 2006, 13, 597–606. [Google Scholar] [CrossRef]
- Lee, C.M.; Robinson, L.J.; Michel, T. Oligomerization of endothelial nitric oxide synthase. Evidence for a dominant negative effect of truncation mutants. J. Biol. Chem. 1995, 270, 27403–27406. [Google Scholar] [CrossRef]
- Galluccio, E.; Cassina, L.; Russo, I.; Gelmini, F.; Setola, E.; Rampoldi, L.; Citterio, L.; Rossodivita, A.; Kamami, M.; Colombo, A.; et al. A novel truncated form of eNOS associates with altered vascular function. Cardiovasc. Res. 2014, 101, 492–502. [Google Scholar] [CrossRef] [PubMed]
- Llorens, S.; Salazar, F.J.; Nava, E. Assessment of the nitric oxide system in the heart, aorta and kidney of aged Wistar-Kyoto and spontaneously hypertensive rats. J. Hypertens. 2005, 23, 1507–1514. [Google Scholar] [CrossRef] [PubMed]
- Vaziri, N.D.; Ni, Z.; Oveisi, F. Upregulation of renal and vascular nitric oxide synthase in young spontaneously hypertensive rats. Hypertension 1998, 31, 1248–1254. [Google Scholar] [CrossRef]
- Li, H.; Wallerath, T.; Munzel, T.; Forstermann, U. Regulation of endothelial-type NO synthase expression in pathophysiology and in response to drugs. Nitric Oxide 2002, 7, 149–164. [Google Scholar] [CrossRef]
- Nava, E.; Noll, G.; Luscher, T.F. Increased activity of constitutive nitric oxide synthase in cardiac endothelium in spontaneous hypertension. Circulation 1995, 91, 2310–2313. [Google Scholar] [CrossRef]
- Zhen, J.; Lu, H.; Wang, X.Q.; Vaziri, N.D.; Zhou, X.J. Upregulation of Endothelial and Inducible Nitric Oxide Synthase Expression by Reactive Oxygen Species. Am. J. Hypertens. 2008, 21, 28–34. [Google Scholar] [CrossRef]
- Vaziri, N.D.; Wang, X.Q. cGMP-mediated negative-feedback regulation of endothelial nitric oxide synthase expression by nitric oxide. Hypertension 1999, 34, 1237–1241. [Google Scholar] [CrossRef]
- Grumbach, I.M.; Chen, W.; Mertens, S.A.; Harrison, D.G. A negative feedback mechanism involving nitric oxide and nuclear factor kappa-B modulates endothelial nitric oxide synthase transcription. J. Mol. Cell Cardiol. 2005, 39, 595–603. [Google Scholar] [CrossRef]
- Forstermann, U.; Li, H. Therapeutic effect of enhancing endothelial nitric oxide synthase (eNOS) expression and preventing eNOS uncoupling. Br. J. Pharmacol. 2011, 164, 213–223. [Google Scholar] [CrossRef] [PubMed]
- Zhao, Y.; Vanhoutte, P.M.; Leung, S.W. Vascular nitric oxide: Beyond eNOS. J. Pharmacol. Sci. 2015, 129, 83–94. [Google Scholar] [CrossRef] [PubMed]







Disclaimer/Publisher’s Note: The statements, opinions and data contained in all publications are solely those of the individual author(s) and contributor(s) and not of MDPI and/or the editor(s). MDPI and/or the editor(s) disclaim responsibility for any injury to people or property resulting from any ideas, methods, instructions or products referred to in the content. |
© 2024 by the authors. Licensee MDPI, Basel, Switzerland. This article is an open access article distributed under the terms and conditions of the Creative Commons Attribution (CC BY) license (https://creativecommons.org/licenses/by/4.0/).
Share and Cite
Smeir, M.; Chumala, P.; Katselis, G.S.; Liu, L. Lymphocyte-Specific Protein 1 Regulates Expression and Stability of Endothelial Nitric Oxide Synthase. Biomolecules 2024, 14, 111. https://doi.org/10.3390/biom14010111
Smeir M, Chumala P, Katselis GS, Liu L. Lymphocyte-Specific Protein 1 Regulates Expression and Stability of Endothelial Nitric Oxide Synthase. Biomolecules. 2024; 14(1):111. https://doi.org/10.3390/biom14010111
Chicago/Turabian StyleSmeir, Musstafa, Paulos Chumala, George S. Katselis, and Lixin Liu. 2024. "Lymphocyte-Specific Protein 1 Regulates Expression and Stability of Endothelial Nitric Oxide Synthase" Biomolecules 14, no. 1: 111. https://doi.org/10.3390/biom14010111
APA StyleSmeir, M., Chumala, P., Katselis, G. S., & Liu, L. (2024). Lymphocyte-Specific Protein 1 Regulates Expression and Stability of Endothelial Nitric Oxide Synthase. Biomolecules, 14(1), 111. https://doi.org/10.3390/biom14010111

