Abstract
The study of interaction proteins of the pathogen A. phaeospermum effector protein is an important means to analyze the disease-resistance mechanism of Bambusa pervariabilis × Dendrocalamopsis grandis shoot blight. To obtain the proteins interacting with the effector ApCE22 of A. phaeospermum, 27 proteins interacting with the effector ApCE22 were initially identified via a yeast two-hybrid assay, of which four interaction proteins were obtained after one-to-one validation. The B2 protein and the chaperone protein DnaJ chloroplast protein were then verified to interact with the ApCE22 effector protein by bimolecular fluorescence complementation and GST pull-down methods. Advanced structure prediction showed that the B2 protein contained the DCD functional domain related to plant development and cell death, and the DnaJ protein contained the DnaJ domain related to stress resistance. The results showed that both the B2 protein and DnaJ protein in B. pervariabilis × D. grandis were the target interaction proteins of the ApCE22 effector of A. phaeospermum and related to the stress resistance of the host B. pervariabilis × D. grandis. The successful identification of the pathogen effector interaction target protein in B. pervariabilis × D. grandis plays an important role in the mechanism of pathogen–host interaction, thus providing a theoretical basis for the control of B. pervariabilis × D. grandis shoot blight.
1. Introduction
In the process of invading the host, a fungal pathogen will be resisted by the host plant’s autoimmune system, which involves two immune responses. The first is a broad-spectrum immune response (PAMPs trigger immune) triggered by pathogen-associated molecular patterns (PAMPs). To suppress PTI (PAMPs trigger immune), the pathogen will secrete effectors as an invasion weapon. However, the immune receptor R proteins in the plant will recognize effectors, causing a hypersensitive reaction (HR) and inhibiting the further infection of pathogenic fungi [1]. These effectors belong to the avirulence (Avr) gene, while the gene-for-gene hypothesis asserts a one-on-one relationship between the Avr genes and plant resistance (R) genes [2]. It has been found that many effectors can regulate the infection of the pathogen and the resistance of the host by acting on the target genes. The Ustilago maydis effector Pep1 directly targets the maize peroxidase POX12, thereby inhibiting ROS generating capacity and early defense responses [3]. Effector Pst18363 in Puccinia striiformis directly targets the Nudix hydrolase TaNUDX23 and suppresses ROS accumulation to promote pathogen infection [4]. Pst_12806 in P. striiformis targets wheat TaISP and reduces photosynthesis, electron transport, and chloroplast-derived ROS [5]. The Magnaporthe oryzae effector AVR-Pii directly targets the OsNADP-ME2 in rice and inhibits the rice NADP-malic enzyme activity, resulting in the disruption of oxidative burst and host innate immunity [6]. Similarly, pathogen A. phaeospermum may secrete some effectors to suppress the immune response of the host B. pervariabilis × D. grandis during infection of the hybrid bamboo, thus aiding its own infestation.
The shoot blight caused by A. phaeospermum has led to a large amount of B. pervariabilis × D. grandis death, huge economic losses, and destruction of the ecological barrier. Most of the studies on the disease are about the pathogen A. phaeospermum, including the isolation and identification of the pathogen, the characteristics of disease occurrence, prevention methods, and other aspects of its physiological biology [7,8,9]. Moreover, studies on this pathogen also include bioinformatics such as whole-genome, transcriptome, protein analyses, and molecular biology analysis, such as the functional verification of virulence-related genes of the pathogen [10,11,12]. The research on the host B. pervariabilis × D. grandis has only involved proteome and transcriptome sequencing analysis after the plant has been infected by the pathogen [13,14,15]. However, there is no research on the interaction target proteins of A. phaeospermum effectors in B. pervariabilis × D. grandis. A. phaeospermum as a kind of hemibiotrophic pathogen, deploying a combination of diverse effectors, which suppress innate immunity during the biotrophic phase and elicit nonspecific cell death during the necrotrophic phase. The functions of these effectors are mainly realized by directly acting on the target genes of host plants [16]. In addition, ApCE22 effectors in A. phaeospermum have been proved to have positive effects on its virulence and can inhibit the immune response of host plants [17]. Therefore, the screening and identification of A. phaeospermum effector ApCE22 interaction targets in host plants are particularly important in the study of B. pervariabilis × D. grandis shoot blight. A. phaeospermum effector ApCE22 has been identified from the Dual seq sequencing data of A. phaeospermum and B. pervariabilis × D. grandis. ApCE22 has been proved to be an effector related to the virulence of A. phaeospermum in previous studies, and it could participate in hydrogen peroxide metabolism and thus inhibit the PTI response of host plants [17]. However, the interaction target protein of effector ApCE22 in the host hybrid bamboo is still unclear, which greatly limits the research progress of pathogenic mechanisms and host disease-resistance mechanisms. In this study, yeast two-hybrid, two-molecule fluorescence complementation and GST pull-down techniques were used to screen and identify the interacting proteins of the pathogen effector ApCE22 in B. pervariabilis × D. grandis. Finally, two interacting proteins B2 and DnaJ were identified, and might play an important role in the response and disease resistance of hybrid bamboo to external stresses.
2. Materials and Methods
2.1. Microorganism, Plant and Plasmid Vectors
Microorganism: A. phaeospermum was stored in the China Forestry Culture Collection Center, numbered cfcc 86860 (http://www.cfcc-caf.org.cn/, accessed on 1 January 2023). The Y187 yeast strain (containing reporter genes lacZ and MEL1) and Y2H gold yeast strain (containing reporter genes AUR1-C, ADE2, HIS3, and MEL1) were obtained from OE Biotech (Shanghai, China). Agrobacterium GV3101 was obtained from TransGen Biotech (Beijing, China). E. coli DH5α and BL21 were obtained from GeneCreate Biological Engineering Co. Ltd. (Wuhan, China).
Plant: Two-year-old B. pervariabilis × D. grandis bamboo seedlings purchased from Shuyang Qichen Bamboo Seedling Co., Ltd. (Suqian, China) were planted in the greenhouse in Chengdu, Sichuan, China. The study area was at an altitude of 515.98 m, with annual temperatures between 6.8 °C and 26.1 °C and annual precipitation of 1300–1700 mm.
Plasmid vectors: pGBKT7-53 was used to interact with PGADT7-T as a positive control, pGBKT7-Lam was used to interact with PGADT7-T as a negative control, pGBKT7 was used to construct a bait expression vector or as a blank control, and PGADT7 was used to construct a prey expression vector. pSPYNE(R)173 and pSPYCE(M) vectors were used for the bimolecular fluorescence complementation experiment. PGEX-6P-1 and pET28a vectors were used for the GST pull-down experiment.
Culture media and reagents: SD/-Trp/-Leu/-His/-Ade/x-a-gal/AbA, SD/-Trp, SD/-Leu, SD/-Trp/-Leu, SD/-Trp/-Ade/x-a-gal/AbA and SD/-Trp/-Leu/-His/x-a-gal/AbA. Aureobasidin A (AbA).
2.2. Screening of the Effector ApCE22’s Interacting Protein via Yeast Two-Hybrid
2.2.1. Construction of the Bait Expression Vector pGBKT7–ApCE22
The pGBKT7 vector was linearized by the BamHI (New England Biolabs, Ipswich, MA, USA) restriction endonuclease, and the effector ApCE22 primer with the complementary sequence of BamHI enzyme site of pGBKT7 was designed by Premier 5.0 software (Table S1). The bait gene ApCE22 was amplified by 2× TransTaq High Fidelity PCR SuperMix (TransGen Biotech, Beijing, China). The bait vector pGBKT7–ApCE22 was obtained by overnight treatment with homologous recombinant enzyme Exnase at 16 °C. It was transformed into E. coli DH5α via heat shock, followed by sequencing and detection. The positive colonies were selected for preservation, and the recombinant plasmid DNA of pGBKT7–ApCE22 was extracted and retained for subsequent use.
2.2.2. Detection of the Self-Activation and Toxicity of the Bait ApCE22
Y2H gold competent cells were prepared and plasmid transformed using the Yeastmaker Yeast Transformation System 2 (Clontech, Los Angeles, CA, USA). pGBKT7-ApCE22 plasmid DNA was transferred into Y2H gold yeast competent cells, and 100 μL of transformed yeast cell diluent was spread on the corresponding selective culture medium (as shown in Table S2). The culture was placed at 30 °C to observe colony growth for 3–5 days, and the toxicity and self-activation activity of the bait ApCE22 were analyzed.
2.2.3. Two-Hybrid Screening Library
The Y2H gold yeast containing the bait plasmid pGBKT7–ApCE22 was successfully transformed and cloned into 50 mL SD/-Trp liquid medium for culturing until OD600 = 0.8, the Y2H gold yeast was collected and the cells resuspended in 5 mL SD/-Trp liquid medium [18,19,20]. Then, 1 mL cDNA library solution (B. pervariabilis × D. grandis yeast library [21] infected by A. phaeospermum) and 5 mL pGBKT7–ApCE22 bait solution were put into a 2 L sterile flask, cultured at 30 °C and 30 rmp for 20–24 h, and put under a 10 × 40 microscope. When the hybrid solution appeared to be a clover-shaped complex, the cells were collected using 0.9% NaCl (50 μg/mL Kanmycin, kana). The cell solution was diluted 100, 1000, and 10,000 times, and 100 μL of each gradient was taken to spread on SD/-Trp, SD/-Leu, SD/-Trp/-Leu, SD/-Trp/-Ade/x-a-gal/AbA, and SD/-Trp/-Leu/-His/x-a-gal/AbA plates, respectively. The solution was incubated at 30 °C for 3–5 days, then the number of colonies were counted and the mating efficiency was calculated. The blue clones on the primary screen plate were transferred to the SD/-Trp/-Leu/-His/-Ade/x-a-gal/AbA plate with high screening intensity for further screening. Sanger sequencing and one-to-one verification were performed on the positive clones of the SD/-Trp/-Leu/-His/-Ade/x-a-gal/AbA plates.
2.2.4. One-to-One Interaction Verification between the Prey Plasmid and Bait Plasmid
Primers with complementary sequences of the BamHI enzyme sites of pGBKT7 and pGADT7 vectors were designed for the interaction genes and effector ApCE22 (Table S1). The restriction endonuclease BamHI (New England Biolabs, Ipswich, Massachusetts, USA) was used to linearize both the pGBKT7 and pGADT7 vectors. In addition, 2× HiFi PCR SuperMix (TransGen Biotech, Beijing, China) was used to amplify the interaction genes with ApCE22. The interaction genes and linearized vectors were cut and recycled for backup, pGBKT7 was connected with the effector ApCE22, and pGADT7 was connected with interacting genes B2, myb, MRH1, and DnaJ, respectively. They were each transferred into E. coli DH5α competent cells and plasmid DNA was extracted for use. Y2H gold competent cells were prepared according to the Yeastmaker Yeast Transformation System 2 (Clontech, USA), and 10 μL pre-denatured carrier DNA, 100ng pGBKT7–ApCE22 plasmid DNA, and 200ng prey plasmid DNA were added with 300 μL of 1xPEG/LiAC. This was placed in a 30 °C water bath, and the 20 μL DMSO that was added 30 min later was mixed evenly, heated for 15 min at 42 °C, and then the cells were collected. They were resuspended in YPD plus and incubated for 1 h. The colonies were collected, resuspended in 0.9% NaCl, and used to spread on SD/-Trp/-Leu/-His/-Ade/X-a-gal/AbA plates. The colonies were cultured at 30 °C for 3–5 days for observation. At the same time, the vector of bait and prey were exchanged and verified again.
2.3. Verification of the Interacting Proteins via Bimolecular Fluorescent Complementation Assay
2.3.1. Construction of the Bimolecular Fluorescent Complementary Vectors pSPYNE (R) 173-ApCE22 and pSPYCE(M)-Prey
Premier 5.0 software was used to design the primer of the effector ApCE22 with the complementary sequence of the BamHI digestion site in the pSPYNE(R)173 vector, as well as to design the primer of the interaction genes B2 and DnaJ with the complementary sequence of the BamHI digestion site in the pSPYCE(M) vector (Table S1). The restriction endonuclease BamHI (NEB) was used to linearize both the pSPYNE(R)173 and pSPYCE(M) vectors. Then, 2×HiFi PCR SuperMix (TransGen Biotech, Beijing, China) was used to amplify the interaction gene fragments with connectors. The interaction gene fragments and linearized vectors were cut and recycled for backup. After cloning ApCE22 into the pSPYNE (R) 173 vector, and cloning B2, DnaJ into the pSPSYCE (M) vector, respectively, they were transferred into E. coli DH5α susceptibility. The positive colonies recombinant plasmids pSPYNE(R)173–ApCE22, pSPYCE(M)–B2, and pSPYCE(M)–DnaJ were each detected by the primer ApCE22-F/R, B2-F/R and DnaJ-F/R, respectively. Colonies with correct sequencing were selected for storage. At the same time, the vector of bait and prey were exchanged and verified again.
2.3.2. Bimolecular Fluorescence Verification of the ApCE22 and Interacting Proteins in Tobacco
Tobaccos were cultivated for 3–4 weeks under 25 °C light, 16 h darkness, and 8 h of alternation. Then, we transformed the constructed BiFC recombinant plasmid (pSPYNE(R)173-ApCE22, pSPYCE(M)-B2, and pSPYCE(M)-DnaJ) into Agrobacterium GV3101. The pSPYNE(R)173–ApCE22 plasmid and pSPYCE(M)–B2 plasmid were mixed in equal volumes to obtain a mixed solution ApCE22-B2. The pSPYNE(R)173–ApCE22 plasmid and pSPYCE(M)–DnaJ plasmid were mixed in equal volume to obtain mixed solution ApCE22-DnaJ. The mixtures ApCE22-B2 and ApCE22-DnaJ were inoculated into tobacco leaves with syringes without needles. The infected tobaccos were cultured at 25 °C for 2 days. Fluorescence imaging was performed on the inoculated area of tobacco leaves with a laser confocal microscope. At the same time, the vector of bait and prey were exchanged and verified again. The genes bZIP63 and bZIP1 (Arabidopsis) were used as the positive control, and the three treatment groups pSPYNE (R) 173-ApCE22 and pSPYCE (M), pSPYCE (M)-B2 and pSPYNE (R) 173, and pSPYCE (M)-DnaJ and pSPYNE (R) 173 were used as negative controls. See Table 1 for the experimental settings.
Table 1.
BiFC’s experimental setup.
2.4. Verification of the Interacting Proteins via GST Pull-Down Assay
2.4.1. Construction of the PGEX-6P-1 and pET28a Expression Recombinant Vectors
Bioinformatics analysis was performed on the effector ApCE22 and the ORF sequence of the interaction gene obtained from yeast two-hybrid and bimolecular fluorescence complementation, using ProtParam (http://web.expasy.org/protparam/ accessed on 1 September 2022) to predict hydrophobicity and other properties of the protein. Moreover, TMHMM 2.0 (http://www.cbs.dtu.dk/services/TMHMM-2.0/, accessed on 1 October 2022) was used to predict the transmembrane region. The online software SignalP 4.1 (http://www.cbs.dtu.dk/services/SignalP/, accessed on 1 September 2022) was used to predict the protein signal peptide. PGEX-6P-1 and pET28a were linearized using the restriction endonuclease BamHI (New England Biolabs, Ipswich, MA, USA). Primers with the complementary sequence of the BamHI digestion site in the PGEX-6P-1 vector and the complementary sequence of the BamHI digestion site in the pET28a vector were designed (Table S1). Then, 2× TransTaq High Fidelity PCR SuperMix (TransGen Biotech, Beijing, China) was used to amplify the interaction genes B2 and DnaJ. The PGEX-6P-1–ApCE22 decoy protein vector was constructed by using homologous recombinant enzyme Exnase. pET28a–B2 and pET28a–DnaJ capture protein vectors were stored for future use.
2.4.2. Expression and Purification of the Fusion Protein
The constructed PGEX-6P-1-GST–ApCE22, pET28a-His–B2, and pET28a-His–DnaJ fusion protein prokaryotic expression vectors were all transformed into E. coli BL21 competent cells. After shake culturing at 37 °C at 225 rpm/min, the OD600 value was 0.6. A concentration of 0.1 mM IPTG was added to induce expression. After incubation at 16 °C for 16h, the cells were collected in 40 mL pre-cold GST balance solution, and the cells were ultrasonically broken (the parameters were set to 200 W power, 2.5 s ultrasound, a 5 s pause, and 80 cycles), and the supernatant and sediment collected. A small amount of supernatant and sediment were used for SDS-PAGE detection, and the remaining supernatant and sediment were retained at 4 °C for subsequent use.
2.4.3. Pull-Down Verification
A total of 200 μL of 50% glutathione agarose resin homogenate and 500 μg of GST-ApCE22 were used as the experimental group, and 500 μg GST and 200 μL 50% glutathione agarose resin homogenate were used as the control group. Then, 500 μg His-B2 and His-DnaJ were added to the control group and experimental group, respectively. The mixture was overturned at 4 °C for overnight incubation. The washing process was repeated three times with 1 mL of pre-cooled PBST, and 80 μL of RIPA buffer cell lysate and 20 μL 6× load buffer were added, mixed well, and boiled for 5–10 min. Finally, the supernatant obtained in the previous step was separated by SDS-PAGE electrophoresis, and the protein bands were transferred to the PVDF membrane by the wet transfer method for Western blot detection.
2.4.4. Modeling and Phylogenetic Analysis
The software TBtools (v1.09876) was used to build the rootless phylogenetic tree of the target protein, and the bootstrap number was 5000. Predictprotein (https://www.predictprotein.org/, accessed on 1 February 2023) was used for secondary structure prediction of the protein encoded by the gene. Online software SWISS-MODEL (http://swissmodel.expasy.org/interactive, accessed on 1 March 2023) was used to predict the tertiary structure of the protein [22]. Additionally, we used InterPro (https://www.ebi.ac.uk/interpro/, accessed on 1 March 2023) to predict the functional domains and analyze the protein’s putative functions.
3. Results
3.1. Screening of the Interaction Proteins of Effector ApCE22
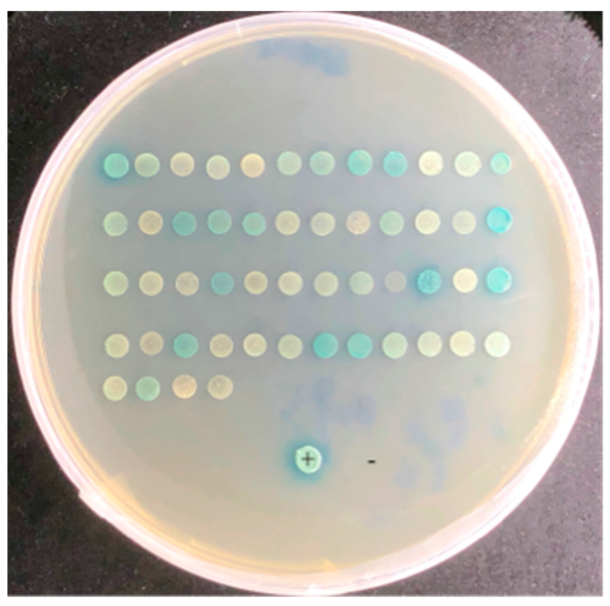
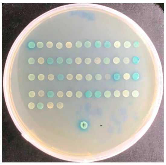
The pGBKT7 and pGADT7 vectors were linearized by the BamHI enzyme. The linearized pGBKT7 vector was ligated into effector ApCE22. The positive colony was obtained after E. coli transformation, and the pGBKT7–ApCE22 plasmid DNA was extracted. The clone of the pGBKT7-53 and pGADT7-T positive control reaction grew in SD/-Leu/-Trp/X-α-gal and SD/-Leu/-Trp/-His/-Ade/X-α-gal/AbA medium, and the clone grew and turned blue. It indicated that the pGBKT7-53 and pGADT7-T vectors were successfully expressed, and the positive control experiment was successful. In addition, yeast colonies of the negative controls pGBKT7-Lam and pGADT7-T grew on the SD/-Leu/-Trp/X-α-gal medium, indicating that pGBKT7-Lam and pGADT7-T were normally expressed, while there were no clones on the SD/-Leu/-Trp/-His/-Ade/ X-α-gal/AbA medium, indicating the negative control experiment was successful. In addition, the reaction results of the pGBKT7–ApCE22 bait and pGADT7-T are shown in Figure S1, indicating that pGBKT7–ApCE22 had slight self-activation, but activation at SD/-Leu/-Trp/-His/-Ade/X-α-gal/AbA could be inhibited and had no toxicity (Figure S1C). Thus, SD/-Leu/-Trp/-His/-Ade/X-α-gal/AbA provides the necessary conditions for subsequent screening experiments. After screening the interaction library of ApCE22 using the mating method, 52 blue clones of the pGBKT7–ApCE22 interaction protein grew on the screening plate of the SD/-Leu/-Trp/-His/-Ade/X-α-gal/AbA medium and were transferred to SD/-Leu/-Trp/-His/-Ade/X-α-gal/AbA for another screening, where 27 blue clones were obtained (Figure 1). However, multiple colonies turning blue in the same plate might have an effect on the color of the neighboring negative colonies. Therefore, the blue-positive colonies obtained from the second screening would be only half of the blue-positive colonies obtained from the first screening. The 27 positive clones were sequenced, and the sequencing results were aligned to 23 genes in the NCBI database (Table 2).
Figure 1.
Positive clones of the pGBKT7–ApCE22 interaction gene on a double-screen plate. Note: +: stands for positive control. −: stands for negative control. The first screening step is to screen for interacting prey proteins from a yeast library of hybrid bamboo using effector ApCE22 as a bait protein, and the direct screening marker for this step is colony bluing. The second screening step is to pick out the blue colonies obtained in the first step individually and screen them again.
Table 2.
Functional annotation of target gene of effector ApCE22.
3.2. One-to-One Verification of Effector ApCE22 and the Interacting Proteins
After one-to-one interaction verification between bait vector pGBKT7–ApCE22 and prey vector, four prey genes interacting with the bait vector were obtained. The annotation results of the interaction gene’s functions were myb-related protein P, chaperone protein DnaJ A6 chloroplastic, B2 protein, and putative LRR receiver-like serine/threonine protein kinase MRH1. At the same time, the linearized pGADT7 vector was ligated into these four target genes, respectively. After exchanging the vector of the prey gene and bait gene, the verification was performed again. The result of the interaction between effector ApCE22 and the four proteins is shown in Figure S2. The interaction colonies after exchanging bait carrier and prey carrier are shown in Figure 2.
Figure 2.
One-to-one yeast two-hybrid results of the interacting proteins and ApCE22. Note: Interaction proteins were as a prey protein, and ApCE22 protein was as a bait protein. (A): One-to-one yeast two-hybrid results of MRH1 proteins and ApCE22. (B): One-to-one yeast two-hybrid results of B2 proteins and ApCE22. (C): One-to-one yeast two-hybrid results of myb proteins and ApCE22. (D): One-to-one yeast two-hybrid results of DnaJ proteins and ApCE22.
3.3. Verification the Interaction of ApCE22 and the Interacting Proteins via Bimolecular Fluorescence Complementary
The fluorescence complementation results of two molecules showed that there was an interaction between the effector ApCE22 and B2 protein, and the ApCE22, and chaperone DnaJ chloroplast protein. The PCR detection results of recombinant plasmid pSPYNE(R)173–ApCE22, pSPYCE(M)–B2, and pSPYCE(M)–DnaJ DNA by the ApCE22-F/R, B2-F/R, and DnaJ-F/R primers are shown in Figure S3. It was found that the effector ApCE22 produced fluorescence whether it reacted with the chaperone DnaJ chloroplast or with the B2 protein in tobacco (Figure 3), indicating that there was an interaction between the ApCE22 effector of A. phaeospermum with the DnaJ chloroplast and with the B2 protein in hybrid bamboo.
Figure 3.
Results of the bimolecular fluorescence complementary reaction between the effector ApCE22 and the interaction proteins in tobacco. Note: The red bar indicates 10 μm. Tobacco is a recognized substitute for verifying protein interactions in hybrid bamboos that have not yet successfully established a genetic transformation system.
3.4. Pull-Down Validation of the Effector ApCE22 and the Interacting Protein
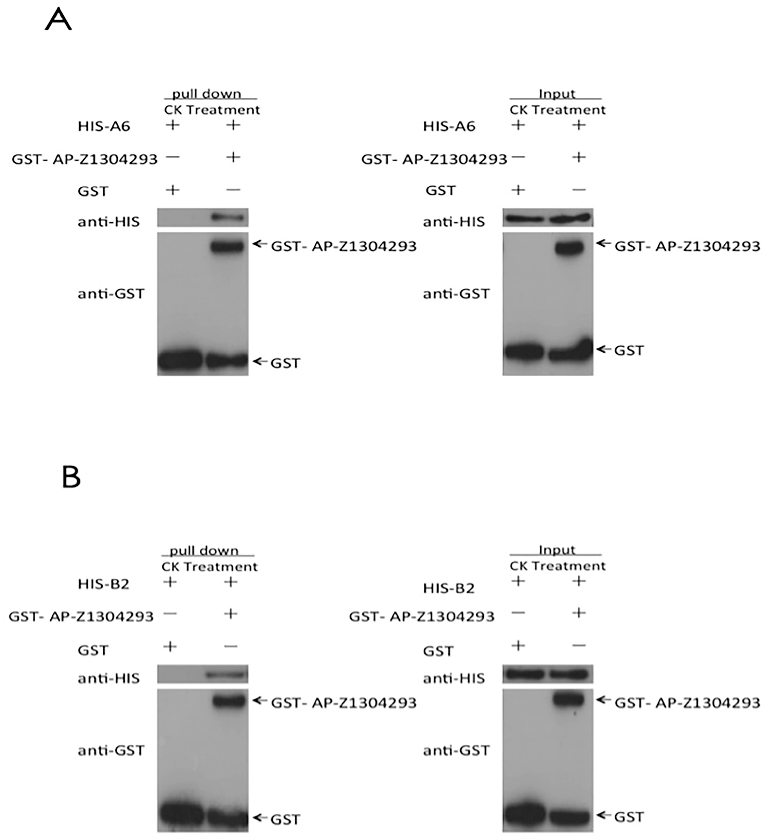
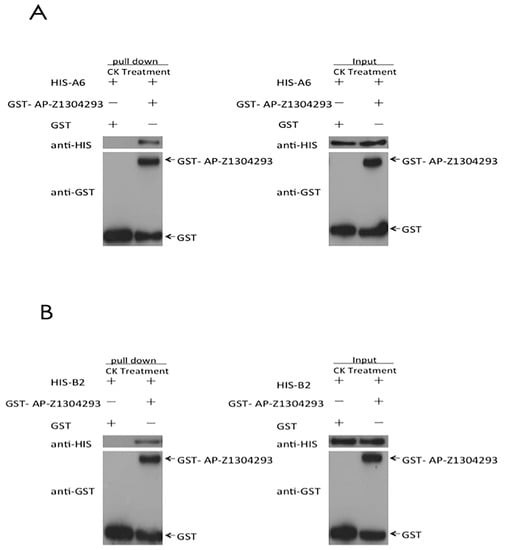
The sequence analysis results of the effector protein ApCE22 and the interacting proteins B2 and DnaJ showed that ApCE22 encoded for a peptide of 256 amino acids, and did not contain a transmembrane region (Figure S4A), and that 1–17 amino acids are signal peptides (Figure S4B). Moreover, the local hydrophilicity was good (Figure S4C). The B2 protein contained 346 amino acids, had no transmembrane region and no signal peptide sequence, and had good local hydrophilicity (Figure S5A–C). The DnaJ gene encoded 285 amino acids, had no transmembrane region and no signal peptide sequence, and had good local hydrophilicity (Figure S6A–C). The electrophoretic results of the purified effector ApCE22 and the target proteins B2 and DnaJ are shown in Figure S7; the sizes are consistent with the sizes of the target proteins. Their Western blot results are shown in Figure S8. The results of the pull-down analysis of the purified ApCE22 protein with B2, and ApCE22 protein with DnaJ are shown in Figure 4, indicating that the effectors ApCE22 interacted with B2 and DnaJ in vitro, respectively.
Figure 4.
GST pull-down results of the target proteins B2 and DnaJ. Note: (A): interaction between ApCE22 and DnaJ. (B): Interaction between ApCE22 and B2. Pull-down is the protein electrophoresis result of the eluent obtained after the DnaJ protein solution passes through the GST column. Input is the protein electrophoresis result of the DnaJ protein solution without passing through the GST column.
3.5. Advanced Structure Prediction and Phylogenetic Analysis of ApCE22, B2 and DnaJ
The tertiary structure results of ApCE22, and the interacting proteins B2 and DnaJ are shown in Figure 5. Among them, the ApCE22 protein contained three helixes, which were located at amino acids 2–18, 121–124, and 235–255. Its tertiary structure also contained calcium ion and bromine ion ligands. The secondary structure prediction of the amino acid sequence encoded by B2 and DnaJ through the SPOMA website showed that the B2 protein contained an α-helix (25.14%), an extended strand (11.27%), and a random coil (57.23%). The DnaJ protein contained an α-helix (14.74%), an extended strand (8.68%), an extended strand (23.51%), a β-turn (6.32%), and a random coil (55.44%). The B2 protein contained a DCD domain related to plant development and cell death, which was located in the 210th to 342nd amino acids. The secondary structure of this domain was mainly composed of β composed chains, which had an α-spiral limit. In addition, the structure of the B2 protein also contained three SO4 ligands. The 43rd to 258th amino acids of the DnaJ protein was the DnaJ domain, which was composed of the C-terminal region of the DnaJ protein. The two C-terminal domains CTDI and CTDII of the protein were necessary to maintain the DnaJ domain at its specific relative position. The DnaJ protein structure also contained two zinc ligands. Using the adjacency method, the evolutionary tree was constructed based on the amino acid sequence of the B2 protein and DnaJ protein (Figure 6). The results showed that both the B2 protein and DnaJ protein were aligned to gramineous setaria plant, the B2 protein was aligned to Setaria italica, and the DnaJ protein was aligned to Setaria viridis.
Figure 5.
Homology modeling of effectors and interacting proteins. Note: (A): effector ApCE22 contains two DIO ligands and one Br ligand, where the DIO ligand can combine DIO ions, and Br ligand can combine Br ions; (B): B2 protein contains three SO4 ligands and DCD domain (amino acids 210th to 342th), where the SO4 ligand can be a non-polymer covalently linked to polymer or other heterogen groups; (C): DnaJ protein contains two Zn ligands and DnaJ domain (amino acids 43rd to 258th), where the Zn ligand can combine zinc ions.
Figure 6.
Phylogenetic trees of B2 and DnaJ proteins. Note: (A): the phylogenetic tree of the relationship between the DnaJ protein and Gramineae was constructed using the adjacency method (NJ). The different color plates on the circle represent different genera of Gramineae, and the solid red dots represent the DnaJ protein in hybrid bamboo. (B): The phylogenetic tree of the relationship between the B2 protein and Gramineae was constructed using the adjacency method (NJ). The different color plates on the circle represent different genera of Gramineae, and the solid red dots represent the B2 protein in hybrid bamboo. Because the whole genome sequence of B. pervariabilis × D. grandis is not yet available, the interacting proteins can only be mapped to other species.
4. Discussion
Based on yeast-two hybrid technology, 27 interaction target proteins of the effector ApCE22 were screened in the hybrid bamboo B. pervariabilis × D. grandis. Four interaction proteins were obtained via yeast two-hybrid, including myb-related protein P, chaperone protein DnaJ A6 chloroplastic, B2 protein, and putative LRR receiver-like serine/threonine protein kinase MRH1. Bimolecular fluorescence complementary and GST pull-down assays were used to prove that chaperone protein DnaJ A6 chloroplastic and the B2 protein interacted with the effector protein ApCE22 in vivo and in vitro. The B2 protein belongs to the DCD domain-containing protein NRP-like family and contains a development cell death (DCD) domain. This family represents a group of plant asparagine-rich proteins containing a DCD domain, some of which contain additional recognizable motifs, like the KELCH repeats or the ParB domain. They are involved in the stress signaling pathways that mediate cell death in response to endoplasmic reticulum (ER) stress and osmotic stress, and include DCD domain-containing proteins NRP-A/B from soybean, NRP from Arabidopsis, and B2 protein from carrot [23,24,25]. Among them, DCD domain-containing protein NRP in soybean is induced under ER stress as a component of the early pathogen response. In Arabidopsis, DCD domain-containing protein NRP contributes to the initial phase of responses to abiotic and biotic stress signals. It binds the phytochrome-associated protein phosphatase FYPP3 and facilitates FYPP3 degradation to promote abscisic acid (ABA) response [26,27]. It has also been found that the over-expression of the B2 protein, which contains the DCD domain in Arabidopsis thaliana, leads to hypersensitivity [28]. The DCD domain is a conserved domain in proteins involved in plant development and programmed cell death, and, coincidentally, the interaction target B2 protein of effector ApCE22 also contains a DCD domain. It is speculated that the target protein B2 can interact with effector ApCE22 during A. phaeospermum invasion, thus leading to the programmed death of host plant cells. Although a dead cell on its own might already stop the growth of biotrophic pathogens [29], the hybrid bamboo shoot blight Pathogen A. phaeospermum, as a kind of hemibiotrophic pathogen, can still grow and develop in the necrotrophic stage and infect the host. This also shows that the B2 protein could recognize the effector ApCE22 of A. phaeospermum and cause the programmed cell death of hybrid bamboo, but it does not necessarily prevent the infection of A. phaeospermum.
Another protein that has been proven to interact with the effector protein ApCE22 is the Chaperone protein DnaJ A6 chloroplastic, which is a molecular chaperone that widely exists in plant cells and belongs to the Hsp40 homologous superfamily. The protein contains a DnaJ domain, which can not only combine with the folded polypeptide chain to prevent its aggregation but also stimulate the ATPase activity of the helper protein DnaK so that the helper proteins DnaK and DnaJ form a complex to respond to external stress [30,31]. The chaperone protein has a precise coordination effect on biological cell cycle entry, and the cell cycle mechanism is an important part of interfering with plant growth at the cell level [32]. For example, the Ydj1 chaperone and nuclear accumulation of the G1 cyclin Cln3 are inversely dependent on growth rate and readily respond to changes in protein synthesis and stress conditions that alter protein-folding requirements [33]. In addition, Ydj1, the same Hsp40 chaperone involved in releasing Cln3 from the ER, has also been shown to play an important role in the degradation mechanisms of this G1 cyclin [34,35]. Similar to DnaJ protein, Ydj1 is a kind of J-domain chaperone protein. It plays a role in protein homeostasis and releasing G1 cyclin Cln3 from the endoplasmic reticulum to trigger cell cycle entry [36]. Heat shock protein Hsp26 also participates in the UPR response provoked by ER stress [37].
At present, the DnaJ/Hsp40 family protein has been found to participate in the development and adversity stress of plants, including abiotic stress such as heat tolerance, salt stress, drought stress, and biological stress such as improving plant disease resistance [38,39,40,41]. The silencing cotton DnaJ/Hsp40 family protein GhDNAJ1 enhances cotton susceptibility to Verticillium dahlia [42]. Overexpression of a tomato chloroplast-targeted DnaJ gene enhances resistance to Pseudomonas solanacearumm [40]. The association between the capsid protein (CP) and host DnaJ-like proteins (HSP40) is essential during potato virus Y infection [43]. Similarly, the tobacco type I DnaJ protein NbMIP1 is required for tobacco innate immunity to the mosaic virus infection [44]. In addition, the soybean type III DnaJ protein GmHSP40 is essential for disease resistance [45]. What is more, the DnaJ protein in rice has been proven to be an important regulator of chloroplast growth and development, and the DnaJ protein in Arabidopsis has also been found to be essential for chloroplast growth [38,46,47].
In conclusion, this study first screened 27 interacting proteins from a hybrid bamboo yeast library using the pathogenic ApCE22 effector protein as bait, followed by one-to-one protein interaction validation to obtain two proteins, B2 and DnaJ, with true interactions with the ApCE22 effector protein. The B2 protein is mainly involved in the programmed cell death and other immune reactions of hybrid bamboo. The DnaJ protein not only plays an important role in the growth and development of chloroplast synthesis of hybrid bamboo leaves, but also plays an important role in heat tolerance, salt tolerance, drought stress, and resistance to A. phaeospermum. Although the DnaJ and B2 proteins have been proved to interact with the effector ApCE22, their functions have been only preliminarily predicted. Therefore, it is still necessary to identify their functions in the host B. pervariabilis × D. grandis through gene knockout, gene silencing, or gene expression techniques.
Supplementary Materials
The following supporting information can be downloaded at: https://www.mdpi.com/article/10.3390/biom13040590/s1, Figure S1: Self-activation detection of pGBKT7–ApCE22; Figure S2: One-to-one yeast two-hybrid results of ApCE22 and the interacting proteins; Figure S3: The gene detection results of recombinant plasmid pSPYNE(R) 173-ApCE22, pSPYCE(M)-B2, and pSPYCE(M)-DnaJ. Figure S4: Analysis of the transmembrane region, signal peptide and hydrophilicity of the sequence of the effector ApCE22; Figure S5: Analysis of the transmembrane region, signal peptide, and hydrophilicity of the effector B2; Figure S6: Analysis of the transmembrane region, signal peptide, and the hydrophilicity of the sequence of the effector DnaJ. Figure S7: Electrophoresis results of the purified protein of the effector ApCE22, and the target proteins B2 and DnaJ. Figure S8: Western blot results of the effector ApCE22, the B2 protein, and the DnaJ protein. Table S1: Primer sequences of various expression vectors. Table S2: List of different plasmid ingredients in the self-activation and toxicity test.
Author Contributions
Conceptualization, X.F. and S.L.; methodology, X.F.; software, X.F.; validation, P.Y., S.L. and T.Z.; formal analysis, X.F. and P.Y.; investigation, S.L. and A.M.O.; resources, P.Y.; data curation, P.Y. and X.F.; writing—original draft preparation, X.F.; writing—review and editing, A.M.O.; visualization, P.Y.; supervision, X.F.; project administration, T.Z.; funding acquisition, S.L. All authors have read and agreed to the published version of the manuscript.
Funding
This work was supported by the National Natural Science Foundation of China, grant number 32171795; the Sichuan Natural Science Foundation for Distinguished Young Scholar, grant number 2023NSFSC1936.
Institutional Review Board Statement
Not applicable.
Informed Consent Statement
Not applicable.
Data Availability Statement
Not applicable.
Conflicts of Interest
The authors declare no conflict of interest.
References
- Yang, X.J.; Zhang, L.C.; Li, Y.W.; Wang, Y.W. Research progress of plant pathogenic effectors. Chin. Sci. Life Sci. 2020, 50, 227. [Google Scholar]
- Jones, J.D.G.; Dangl, J.L. The plant immune system. Nature 2006, 444, 323–329. [Google Scholar] [CrossRef]
- Gassmann, W.; Bhattacharjee, S. Effector-triggered immunity signaling: From gene-for-gene pathways to protein-protein interaction networks. Mol. Plant Microbe Interact. 2012, 25, 862–868. [Google Scholar] [CrossRef] [PubMed]
- Hemetsberger, C.; Herrberger, C.; Zechmann, B.; Hillmer, M.; Doehlemann, G. The Ustilago maydis effector Pep1 suppresses plant immunity by inhibition of host peroxidase activity. PLoS Pathog. 2012, 8, e1002684. [Google Scholar] [CrossRef] [PubMed]
- Yang, Q.; Huai, B.; Lu, Y.; Cai, K.; Guo, J.; Zhu, X.; Kang, Z.; Guo, J.A. Stripe rust effector Pst18363 targets and stabilises TaNUDX23 that promotes stripe rust disease. New Phytol. 2020, 225, 880–895. [Google Scholar] [CrossRef]
- Xu, Q.; Tang, C.; Wang, W.; Sun, S.; Zhao, J.; Kang, Z.; Wang, W. An effector protein of the wheat stripe rust fungus targets chlor- oplasts and suppresses chloroplast function. Nat. Commun. 2019, 10, 5571. [Google Scholar] [CrossRef]
- Singh, R.; Dangol, S.; Chen, Y.; Choi, J.; Cho, Y.S.; Lee, J.E.; Choi, M.O.; Jwa, N.S. Magnaporthe oryzae effector AVR-Pii helps to establish compatibility by inhibition of the rice NADP-malic enzyme resulting in disruption of oxidative burst and host innate immunity. Mol. Cells 2016, 39, 426–438. [Google Scholar]
- Li, S.J.; Qiao, T.M.; Han, S.; Zhu, T.H.; Che, G.N. Effects of Protein Toxin from Arthrinium phaeospermum on Biophysical Char-acteristic and Respiration of Bambusa pervariabilis × Dendrocalamopsis grandis Mitochondria. Sci. Silvae Sin. 2014, 50, 119–125. [Google Scholar]
- Li, S.J.; Zhu, T.H. Purification of the toxin protein PC from Arthrinium phaeospermum and its effect on the defence enzymes of Bambusa pervariabilis × Dendrocalamopsis grandis varieties. Forest Pathol. 2013, 44, 96–106. [Google Scholar] [CrossRef]
- Li, S.J.; Zhu, T.H.; Zhu, H.M.Y.; Liang, M.; Qiao, T.M.; Han, S.; Che, G. Purification of protein AP-Toxin from Arthrinium phae-ospermum causing blight in Bambusa pervariabilis× Dendrocalamopisis grandis and its metabolic effects on four bamboo varieties. Phytopathology 2013, 103, 135–145. [Google Scholar] [CrossRef]
- Li, S.J.; Tang, Y.W.; Fang, X.M.; Qiao, T.M.; Han, S.; Zhu, T.H. Whole-genome sequence of Arthrinium phaeospermum, a glob-ally distributed pathogenic fungus. Genomics 2020, 112, 919–929. [Google Scholar] [CrossRef] [PubMed]
- Li, S.J.; Fang, X.M.; Han, S.; Zhu, T.H.; Zhu, H.M.Y. Differential proteome analysis of hybrid Bamboo (Bambusa pervariabilis× Dendrocalamopsis grandis) under fungal stress (Arthrinium phaeospermum). Sci. Rep. 2019, 9, 18681. [Google Scholar] [CrossRef]
- Fang, X.M.; Yan, P.; Guan, M.M.; Han, S.; Qiao, T.M.; Lin, T.T.; Zhu, T.H.; Li, S.Y. Comparative Transcriptomics and Gene Knockout Reveal Virulence Factors of Arthrinium Phaeospermum in Bambusa Pervariabilis × Dendrocalamopsis Grandis. J. Fungi 2021, 7, 1001. [Google Scholar] [CrossRef] [PubMed]
- Peng, Q.; Fang, X.M.; Zong, X.Z.; He, Q.Q.; Zhu, T.H.; Han, S.; Li, S.J. Comparative transcriptome analysis of Bambusa pervariabilis× Dendrocalamopsis grandis against Arthrinium phaeospermum under protein AP-toxin induction. Gene 2020, 725, 144–160. [Google Scholar] [CrossRef]
- He, Q.Q.; Fang, X.M.; Zhu, T.H.; Han, S.; Zhu, H.M.Y.; Li, S.J. Differential Proteomics Based on TMT and PRM Reveal the Resistance Response of Bambusa pervariabilis× Dendrocalamopisis grandis Induced by AP-Toxin. Metabolites 2019, 9, 166. [Google Scholar] [CrossRef] [PubMed]
- Luo, F.Y.; Fang, X.M.; Liu, H.; Zhu, T.H.; Han, S.; Peng, Q.; Li, S.J. Differential transcriptome analysis and identification of genes related to resistance to blight in three varieties of Bambusa pervariabilis × Dendrocalamopsis grandis. PeerJ 2021, 9, e12301. [Google Scholar] [CrossRef]
- Fang, X.M.; Yan, P.; Luo, F.Y.; Han, S.; Lin, T.T.; Li, S.Y.; Li, S.J.; Zhu, T.H. Functional Identification of Arthrinium phaeospermum Effectors Related to Bambusa pervariabilis × Dendrocalamopsis grandis Shoot Blight. Biomolecules 2022, 12, 1264. [Google Scholar] [CrossRef]
- Amponsah, P.S.; Yahya, G.; Zimmermann, J.; Mai, M.; Mergel, S.; Mühlhaus, T.; Storchova, Z.; Morgan, B. Peroxiredoxins couple metabolism and cell division in an ultradian cycle. Nat. Chem. Boil. 2021, 17, 477–484. [Google Scholar] [CrossRef] [PubMed]
- Yahya, G.; Menges, P.; Amponsah, P.S.; Ngandiri, D.A.; Schulz, D.; Wallek, A.; Kulak, N.; Mann, M.; Cramer, P.; Savage, V.; et al. Sublinear scaling of the cellular proteome with ploidy. Nat. Commun. 2022, 13, 6182. [Google Scholar] [CrossRef]
- Yahya, G.; Wu, Y.; Peplowska, K.; Röhrl, J.; Soh, Y.M.; Bürmann, F.; Gruber, S.; Storchova, Z. Phospho-regulation of the Shugoshin—Condensin interaction at the centromere in budding yeast. PLoS Genet. 2020, 16, e1008569. [Google Scholar] [CrossRef]
- Bolton, M.D.; van Esse, H.P.; Vossen, J.H.; Jonge, R.D.; Stergiopoulos, I.; Stulemeijer, I.J.E. The novel Cladosporium fulvum lysin motif effector Ecp6 is a virulence factor with orthologues in other fungal species. Mol. Microbiol. 2010, 69, 119–136. [Google Scholar] [CrossRef] [PubMed]
- Konstantin, A.; Lorenza, B.; Jürgen, K.; Torsten, S. The SWISS-MODEL workspace: A web-based environment for protein structure homology modelling. Bioinformatics 2006, 2, 195–201. [Google Scholar]
- Yan, P.; Yu, J.W.; Fang, X.M.; Li, S.Y.; Han, S.; Lin, T.T.; Liu, Y.G.; Yang, C.L.; Fang, H.; Zhu, T.H.; et al. Identification of the interacting proteins of Bambusa pervariabilis × Dendrocalamopsis grandis in response to the transcription factor ApCtf1β in Arthrinium phaeospermum. Front. Plant Sci. 2022, 13, 991077. [Google Scholar] [CrossRef] [PubMed]
- Costa, M.D.L.; Reis, P.A.B.; Valente, M.A.S. A new branch of endoplasmic reticulum stress signaling and the osmotic signal converge on plant-specific asparagine-rich proteins to promote cell death. J Biol. Chem. 2008, 283, 20209–20219. [Google Scholar] [CrossRef]
- Reis, P.A.; Carpinetti, P.P.; Freitas, P.P. Functional and regulatory conservation of the soybean ER stress-induced DCD/NRP-mediated cell death signaling in plants. BMC Plant Biol. 2016, 16, 156. [Google Scholar] [CrossRef]
- De Camargos, L.F.; Fraga, O.T.; Oliveira, C.C.; da Silva, J.C.F.; Fontes, E.P.B.; Reis, P.A.B. Development and cell death domain-containing asparagine-rich protein (DCD/NRP): An essential protein in plant development and stress responses. Theor. Exp. Plant Physiol. 2019, 31, 59–70. [Google Scholar] [CrossRef]
- Zhou, R.; Zhu, T.; Han, L. The asparagine-rich protein NRP interacts with the Verticillium effector PevD1 and regulates the subcellular localization of cryptochrome 2. J. Exp. Bot. 2017, 68, 3427–3440. [Google Scholar] [CrossRef]
- Zhu, T.; Wu, Y.; Yang, X.; Chen, W.; Gong, Q.; Liu, X. The asparagine-rich protein NRP facilitates the degradation of the PP6-type phosphatase FyPP3 to promote ABA response in Arabidopsis. Mol. Plant 2018, 11, 257–268. [Google Scholar] [CrossRef]
- Ludwig, A.; Tenhaken, R.A. new cell wall located N- rich protein is strongly induced during the hypersensitive response in Glycine max L. Eur. J. Plant Pathol. 2001, 107, 323–336. [Google Scholar] [CrossRef]
- Tenhaken, R.; Doerks, T.; Bork, P. DCD—A novel plant specific domain in proteins involved in development and programmed cell death. BMC Bioinform. 2005, 6, 169. [Google Scholar] [CrossRef]
- Kim, J.S.; Liu, L.; Vázquez-Torres, A. The DnaK/DnaJ Chaperone System Enables RNA Polymerase-DksA Complex Formation in Salmonella Experiencing Oxidative Stress. mBio 2021, 12, e03443-20. [Google Scholar] [CrossRef]
- Silva, J.C.; Borges, J.C.; Cyr, D.M.; Ramos, C.H.; Torriani, I.L. Central domain deletions affect the SAXS solution structure and function of yeast Hsp40 proteins Sis1 and Ydj1. BMC Struct. Biol. 2011, 11, 40. [Google Scholar] [CrossRef]
- Kamal, K.Y.; Khodaeiaminjan, M.; Yahya, G.; EI-Tantawy, A.A.; Abdel El-Moneim, M.A.; El-Esawi, A.A. Nassrallah, Modulation of cell cycle progression and chromatin dynamic as tolerance mechanisms to salinity and drought stress in maize. Physiol. Plant. 2021, 172, 684–695. [Google Scholar] [CrossRef] [PubMed]
- Moreno, D.F.; Parisi, F.; Yahya, G.; Vaggi, F.; Csikasz-Nagy, A.; Aldea, M. Competition in the chaperone-client network subordinates cell-cycle entry to growth and stress. Life Sci. Alliance 2019, 2, e201800277. [Google Scholar] [CrossRef] [PubMed]
- Parisi, E.; Yahya, G.; Flores, A.; Aldea, M. Cdc48/p97 segregase is modulated by cyclin- dependent kinase to determine cyclin fate during G1 progression. EMBO J. 2018, 37, e98724. [Google Scholar] [CrossRef] [PubMed]
- Yahya, G.; Parisi, E.; Flores, A.; Gallego, C.; Aldea, M.A. Whi7-Anchored Loop Controls the G1 Cdk-Cyclin Complex at Start. Mol. Cell 2014, 53, 115–126. [Google Scholar] [CrossRef]
- Georgieva, M.V.; Yahya, G.; Codó, L.; Ortiz, R.; Teixidó, L.; Claros, J.; Jara, R.; Jara, M.; Iborra, A.; Lluís Gelpí, J.; et al. Inntags: Small self-structured epitopes for innocuous protein tagging. Nat. Methods 2015, 12, 955–958. [Google Scholar] [CrossRef] [PubMed]
- Yahya, G.; Mohamed, N.H.; Pijuan, J.; Seleem, N.M.; Mosbah, R.; Hess, S.; Abdelmoaty, A.A.; Almeer, R.; Abdel-Daim, M.M.; Alshaman, H.S.; et al. Profiling the physiological pitfalls of anti-hepatitis C direct-acting agents in budding yeast. Microb. Biotechnol. 2021, 14, 2199–2213. [Google Scholar] [CrossRef] [PubMed]
- Zhu, X.; Liang, S.; Yin, J.; Yuan, C.; Wang, J.; Li, W.; Chen, X. The DnaJ OsDjA7/8 is essential for chloroplast development in rice (Oryza sativa). Gene 2015, 574, 11–19. [Google Scholar] [CrossRef]
- Wang, G.; Cai, G.; Xu, N.; Zhang, L.; Sun, X.; Guan, J.; Meng, Q. Novel DnaJ protein facilitates thermotolerance of transgenic tomatoes. Int. J. Mol. Sci. 2019, 20, 367. [Google Scholar] [CrossRef]
- Jin, T.; Shan, Z.; Zhou, S.; Yang, Q.; Gai, J.; Li, Y. GmDNAJC7 from Soybean Is Involved in Plant Tolerance to Alkaline-Salt, Salt, and Drought Stresses. Agronomy 2022, 12, 1419. [Google Scholar] [CrossRef]
- Wang, G.; Cai, G.; Kong, F.; Deng, Y.; Ma, N.; Meng, Q. Overexpression of to-mato chloroplast-targeted DnaJ protein enhances tolerance to drought stress and re-sistance to Pseudomonas solanacearum in transgenic tobacco. Plant Physiol. Biochem. 2014, 82, 95–104. [Google Scholar] [CrossRef] [PubMed]
- Feng, H.; Li, C.; Zhou, J. Cotton WAKL protein interacted with a DnaJ protein and was involved in defense against Verticillium dahliae. Int. J. Biol. Macromol. 2021, 167, 633–643. [Google Scholar] [CrossRef] [PubMed]
- Hofius, D.; Maier, A.T.; Dietrich, C.; Jungkunz, I.; Bornke, F.; Maiss, E.; Sonnewald, U. Capsid protein-mediated recruitment of host DnaJ-like pro- teins is required for Potato virus Y infection in tobacco plants. J. Virol. 2007, 81, 870–880. [Google Scholar] [CrossRef] [PubMed]
- Du, Y.; Zhao, J.; Chen, T.; Liu, Q.; Zhang, H.; Wang, Y.; Hong, Y.; Xiao, F.; Zhang, L.; Shen, Q. Type I J-domain NbMIP1 proteins are required for both Tobacco mosaic vi-rus infection and plant innate immunity. PLoS Pathog. 2013, 9, e1003659. [Google Scholar] [CrossRef] [PubMed]
- Liu, J.; Whitham, S.A. Overexpression of a soybean nuclear localized type-III DnaJ domain-containing HSP40 reveals its roles in cell death and disease resistance. Plant J. 2013, 74, 110–121. [Google Scholar] [CrossRef]
- Chen, K.M.; Holmström, M.; Raksajit, W.; Suorsa, M.; Piippo, M.; AroE, M. Small chloroplast-targeted DnaJ proteins are involved in optimization of photosynthetic reac-tions in Arabidopsis thaliana. BMC Plant Biol. 2010, 10, 43. [Google Scholar] [CrossRef]
Disclaimer/Publisher’s Note: The statements, opinions and data contained in all publications are solely those of the individual author(s) and contributor(s) and not of MDPI and/or the editor(s). MDPI and/or the editor(s) disclaim responsibility for any injury to people or property resulting from any ideas, methods, instructions or products referred to in the content. |
© 2023 by the authors. Licensee MDPI, Basel, Switzerland. This article is an open access article distributed under the terms and conditions of the Creative Commons Attribution (CC BY) license (https://creativecommons.org/licenses/by/4.0/).





