Anti-Migratory Activity of Brazilin Chemodiversification on Breast Cancer Cells
Abstract
1. Introduction
2. Materials and Methods
2.1. Chemistry General Information
2.2. Compound Brazilin Isolation
2.3. Semi-Synthesis of Brazilin-(OMe)3 and Brazilin-(OAc)3
2.4. Cell Culture and Treatments
2.5. Viability Assays
2.6. Cell Migration Assays
2.7. FAK Activation by Western Blot
2.8. Statistical Analysis
3. Results
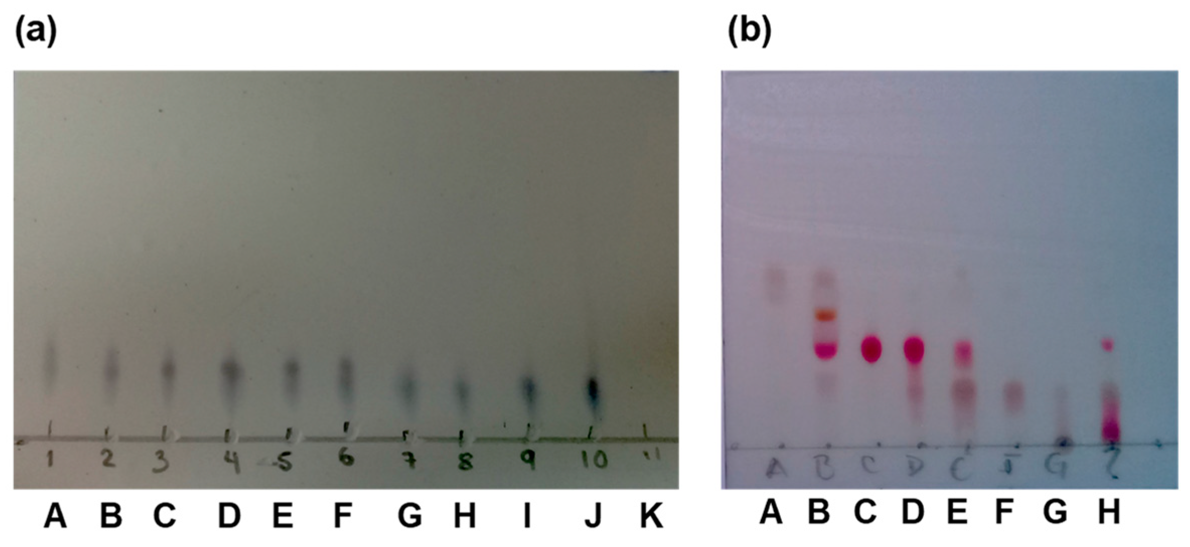
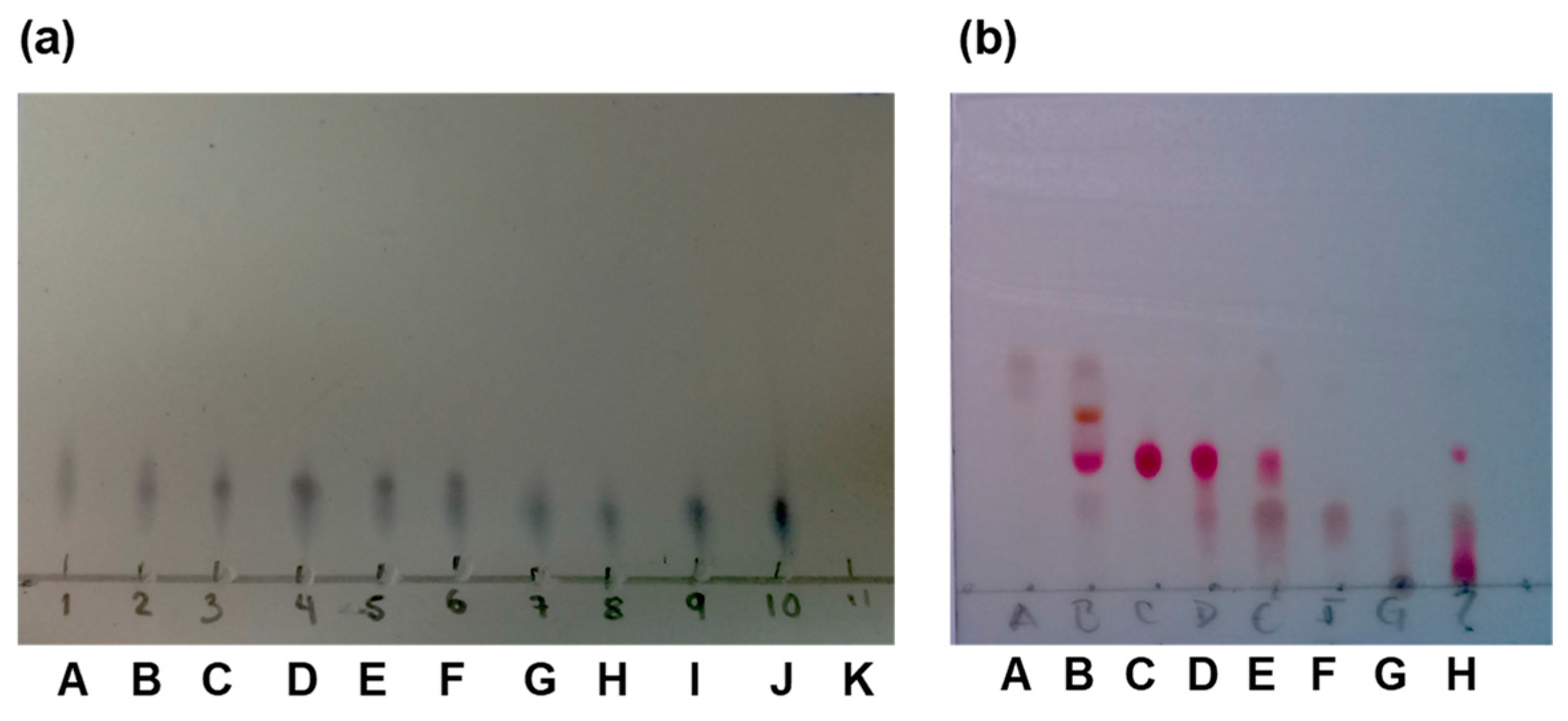
3.1. Brazilin Purification from H. brasiletto and Semi-Synthesis of Brazilin-(OMe)3 and Brazilin-(OAc)3
3.2. Brazilin, Brazilin-(OMe)3, and Brazilin-(OAc)3 Effects in Cell Viability
3.3. Brazilin, Brazilin-(OMe)3, and Brazilin-(OAc)3 Inhibited Cell Migration of Breast Cancer Cell
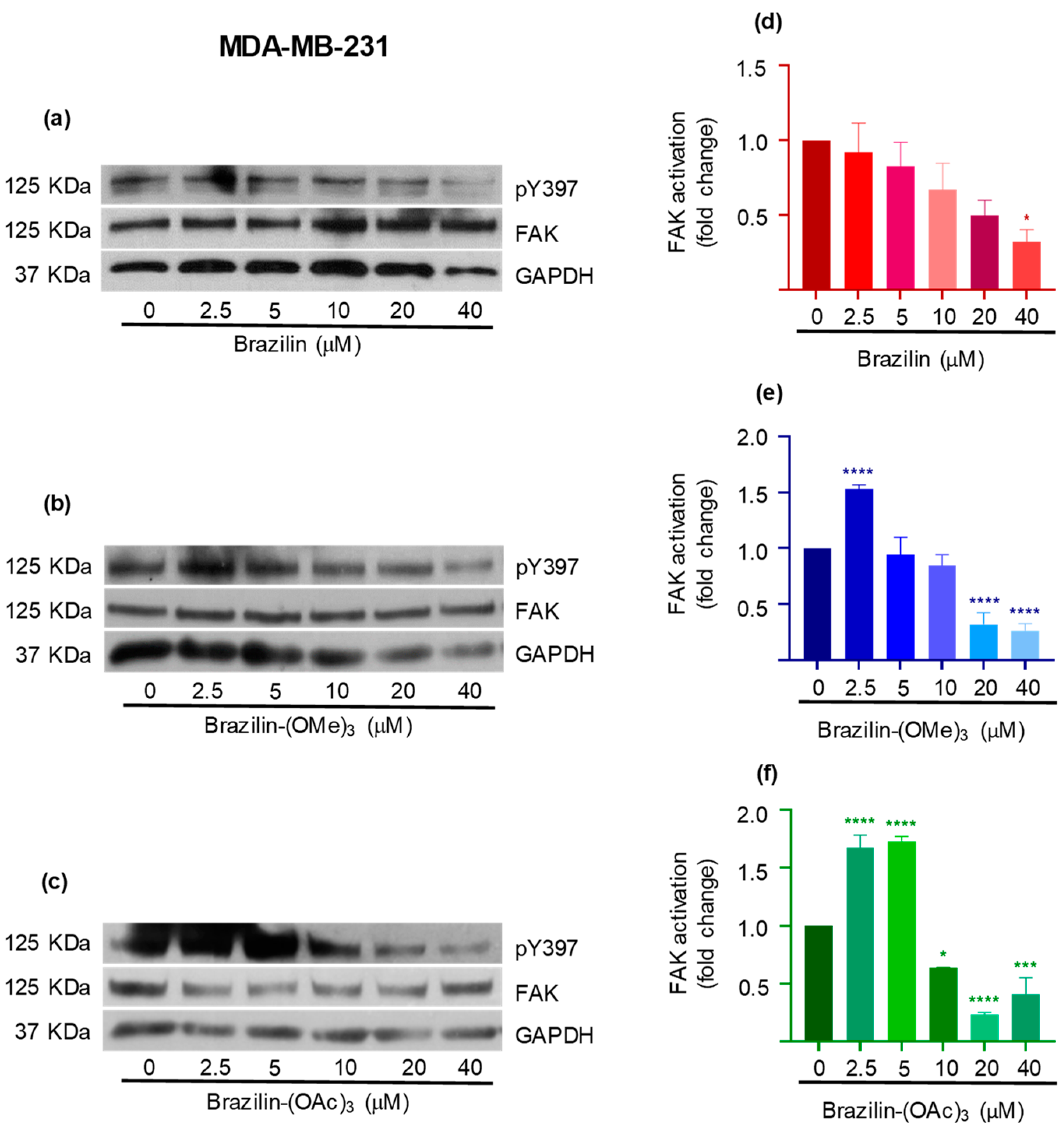
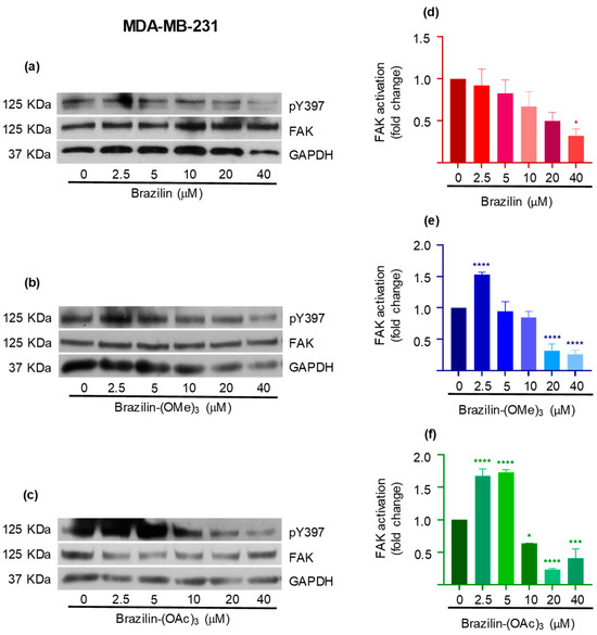
3.4. Brazilin, Brazilin-(OMe)3, and Brazilin-(OAc)3 Inhibited Activation of FAK
4. Discussion
5. Conclusions
Supplementary Materials
Author Contributions
Funding
Institutional Review Board Statement
Informed Consent Statement
Data Availability Statement
Acknowledgments
Conflicts of Interest
Abbreviations
| 1H NMR | Proton Nuclear Magnetic Resonance |
| 13C NMR | Carbon-13 Nuclear Magnetic Resonance |
| AC2O | Acetic anhydride |
| CD3OD | Deuterated methanol |
| CDCl3 | Deuterated chloroform |
| CH2Cl2 | Methylene chloride |
| EtOAc | Ethyl acetate |
| EtOH | Ethanol |
| H2O | Water |
| K2CO3 | Potassium carbonate |
| KMnO4 | Potassium permanganate |
| m.p | Melting point |
| MeI | Iodomethane |
| MeOH | Methanol |
| NaHCO3 | Sodium bicarbonate |
| ppm | Parts per million |
| THF | Tetrahidrofuran |
| TMS | Tetramethylsilane |
Appendix A

Appendix B

Appendix C
| Information | |||||
|---|---|---|---|---|---|
| Reagents | P.M | E.Q | mg | µL | mmoles |
| Brazilin | 286.27 | 1 | 40 | 0.1397 | |
| K2CO3 | 138.21 | 3 | 57.93 | 0.4191 | |
| MeI | 141.94 | 5 | 99.16 | 0.6986 | |
| Acetone | 58.08 | 3500 | |||
| Information | |||||
|---|---|---|---|---|---|
| Reagents | P.M | E.Q | mg | µL | mmoles |
| Brazilin | 286.27 | 1 | 50 | 0.1746 | |
| Acetic anhydride | 102.09 | 5 | 89.15 | 83 | 0.8733 |
| NaHCO3 | 84.01 | 3 | 44 | 0.5238 | |
| THF | 72.11 | 2500 | |||
References
- Bauer, A. Industrial Natural Product Chemistry for Drug Discovery and Development. Nat. Prod. Rep. 2014, 31, 35–60. [Google Scholar] [CrossRef] [PubMed]
- Mathur, S.; Hoskins, C. Drug Development: Lessons from Nature (Review). Biomed. Rep. 2017, 6, 612–614. [Google Scholar] [CrossRef] [PubMed]
- Newman, D.J.; Cragg, G.M. Natural Products as Sources of New Drugs over the Nearly Four Decades from 01/1981 to 09/2019. J. Nat. Prod. 2020, 83, 770–803. [Google Scholar] [CrossRef]
- Rahman, M.M.; Rahaman, M.S.; Islam, M.R.; Rahman, F.; Mithi, F.M.; Alqahtani, T.; Almikhlafi, M.A.; Alghamdi, S.Q.; Alruwaili, A.S.; Hossain, M.S.; et al. Role of Phenolic Compounds in Human Disease: Current Knowledge and Future Prospects. Molecules 2021, 27, 233. [Google Scholar] [CrossRef] [PubMed]
- Kopustinskiene, D.M.; Jakstas, V.; Savickas, A.; Bernatoniene, J. Flavonoids as Anticancer Agents. Nutrients 2020, 12, 457. [Google Scholar] [CrossRef]
- Patil, V.M.; Masand, N. Anticancer Potential of Flavonoids: Chemistry, Biological Activities, and Future Perspectives. Stud. Nat. Prod. Chem. 2018, 59, 401–430. [Google Scholar]
- Cayetano-Salazar, L.; Olea-Flores, M.; Zuñiga-Eulogio, M.D.; Weinstein-Oppenheimer, C.; Fernández-Tilapa, G.; Mendoza-Catalán, M.A.; Zacapala-Gómez, A.E.; Ortiz-Ortiz, J.; Ortuño-Pineda, C.; Navarro-Tito, N. Natural Isoflavonoids in Invasive Cancer Therapy: From Bench to Bedside. Phytother. Res. 2021, 35, 4092–4110. [Google Scholar] [CrossRef]
- Nava-Tapia, D.A.; Cayetano-Salazar, L.; Herrera-Zúñiga, L.D.; Bello-Martínez, J.; Mendoza-Catalán, M.A.; Navarro-Tito, N. Brazilin: Biological Activities and Therapeutic Potential in Chronic Degenerative Diseases and Cancer. Pharmacol. Res. 2022, 175, 106023. [Google Scholar] [CrossRef]
- Bello-Martínez, J.; Jiménez-Estrada, M.; Rosas-Acevedo, J.L.; Avila-Caballero, L.P.; Vidal-Gutierrez, M.; Patiño-Morales, C.; Ortiz-Sánchez, E.; Robles-Zepeda, R.E. Antiproliferative Activity of Haematoxylum Brasiletto H. Karst. Pharmacogn. Mag. 2017, 13, S289–S293. [Google Scholar] [CrossRef]
- Cayetano-Salazar, L.; Hernandez-Moreno, J.A.; Bello-Martinez, J.; Olea-Flores, M.; Castañeda-Saucedo, E.; Ramirez, M.; Mendoza-Catalán, M.A.; Navarro-Tito, N. Regulation of Cellular and Molecular Markers of Epithelial-Mesenchymal Transition by Brazilin in Breast Cancer Cells. PeerJ 2024, 12, e17360. [Google Scholar] [CrossRef]
- Sung, H.; Ferlay, J.; Siegel, R.L.; Laversanne, M.; Soerjomataram, I.; Jemal, A.; Bray, F. Global Cancer Statistics 2020: GLOBOCAN Estimates of Incidence and Mortality Worldwide for 36 Cancers in 185 Countries. CA Cancer J Clin 2021, 71, 209–249. [Google Scholar] [CrossRef] [PubMed]
- Laporta, E.; Welsh, J. Modeling Vitamin D Actions in Triple Negative/Basal-like Breast Cancer. J. Steroid Biochem. Mol. Biol. 2014, 144, 65–73. [Google Scholar] [CrossRef] [PubMed]
- Hanahan, D.; Weinberg, R.A. Hallmarks of Cancer: The Next Generation. Cell 2011, 144, 646–674. [Google Scholar] [CrossRef] [PubMed]
- Dillekås, H.; Rogers, M.S.; Straume, O. Are 90% of Deaths from Cancer Caused by Metastases? Cancer Med. 2019, 8, 5574–5576. [Google Scholar] [CrossRef]
- Fares, J.; Fares, M.Y.; Khachfe, H.H.; Salhab, H.A.; Fares, Y. Molecular Principles of Metastasis: A Hallmark of Cancer Revisited. Signal Transduct. Target. Ther. 2020, 5, 28. [Google Scholar] [CrossRef]
- Alblazi, K.M.O.; Siar, C.H. Cellular Protrusions—Lamellipodia, Filopodia, Invadopodia and Podosomes—And Their Roles in Progression of Orofacial Tumours: Current Understanding. Asian Pac. J. Cancer Prev. 2015, 16, 2187–2191. [Google Scholar] [CrossRef]
- Janiszewska, M.; Primi, M.C.; Izard, T. Cell Adhesion in Cancer: Beyond the Migration of Single Cells. J. Biol. Chem. 2020, 295, 2495–2505. [Google Scholar] [CrossRef]
- Nounou, M.I.; ElAmrawy, F.; Ahmed, N.; Abdelraouf, K.; Goda, S.; Syed-Sha-Qhattal, H. Breast Cancer: Conventional Diagnosis and Treatment Modalities and Recent Patents and Technologies. Breast Cancer 2015, 9s2, BCBCR.S29420. [Google Scholar] [CrossRef]
- Jia, J.B.; Lall, C.; Tirkes, T.; Gulati, R. Chemotherapy-Related Complications in the Kidneys and Collecting System: An Imaging Perspective. Insights Into Imaging 2015, 6, 479–487. [Google Scholar] [CrossRef]
- Grigorian, A.; Brien, C.B.O. Review Article Hepatotoxicity Secondary to Chemotherapy. J. Clin. Transl. Hepatol. 2014, 2, 95–102. [Google Scholar]
- Guo, J.; Li, L.; Wu, Y.-J.; Yan, Y.; Xu, X.-N.; Wang, S.-B.; Yuan, T.-Y.; Fang, L.-H.; Du, G.-H. Inhibitory Effects of Brazilin on the Vascular Smooth Muscle Cell Proliferation and Migration Induced by PDGF-BB. Am. J. Chin. Med. 2013, 41, 1283–1296. [Google Scholar] [CrossRef] [PubMed]
- Jenie, R.I.; Handayani, S.; Susidarti, R.A.; Udin, L.Z.; Meiyanto, E. The Cytotoxic and Antimigratory Activity of Brazilin-Doxorubicin on MCF-7/HER2 Cells. Adv. Pharm. Bull. 2018, 8, 507–516. [Google Scholar] [CrossRef] [PubMed]
- Yang, X.; Liang, Y.; Zhao, L.; Chen, L.; Yang, Y.; Wang, J.; Yan, L.; Zhang, S.; Liu, X.; Zhang, H. Brazilin Inhibits the Invasion and Metastasis of Breast Cancer. Biol. Pharm. Bull. 2023, 46, 773–780. [Google Scholar] [CrossRef] [PubMed]
- Ding, Y.; Xue, X. Medicinal Chemistry Strategies for the Modification of Bioactive Natural Products. Molecules 2024, 29, 689. [Google Scholar] [CrossRef]
- Yao, H.; Liu, J.; Xu, S.; Zhu, Z.; Xu, J. The Structural Modification of Natural Products for Novel Drug Discovery. Expert. Opin. Drug Discov. 2017, 12, 121–140. [Google Scholar] [CrossRef]
- Vrignaud, P.; Benning, V.; Beys, E.; Gupta, S.; Semiond, D.; Bouchard, H. Preclinical Profile of Cabazitaxel. Drug Des. Devel Ther. 2014, 8, 1851–1867. [Google Scholar] [CrossRef]
- Zheng, W.; Seletsky, B.M.; Palme, M.H.; Lydon, P.J.; Singer, L.A.; Chase, C.E.; Lemelin, C.A.; Shen, Y.; Davis, H.; Tremblay, L.; et al. Macrocyclic Ketone Analogues of Halichondrin B. Bioorg Med. Chem. Lett. 2004, 14, 5551–5554. [Google Scholar] [CrossRef]
- McBride, A.; Butler, S.K. Eribulin Mesylate: A Novel Halichondrin B Analogue for the Treatment of Metastatic Breast Cancer. Am. J. Health-Syst. Pharm. 2012, 69, 745–755. [Google Scholar] [CrossRef]
- Wang, X.; Zhang, H.; Yang, X.; Zhao, J.; Pan, C. Enantioselective Total Synthesis of (+)-Brazilin, (−)-Brazilein and (+)-Brazilide A. Chem. Commun. 2013, 49, 5405–5407. [Google Scholar] [CrossRef]
- De la Fuente, I.M.; López, J.I. Cell Motility and Cancer. Cancers 2020, 12, 2177. [Google Scholar] [CrossRef]
- Pan, M.R.; Hou, M.F.; Ou-Yang, F.; Wu, C.C.; Chang, S.J.; Hung, W.C.; Yip, H.K.; Luo, C.W. FAK Is Required for Tumor Metastasis-Related Fluid Microenvironment in Triple-Negative Breast Cancer. J. Clin. Med. 2019, 8, 38. [Google Scholar] [CrossRef] [PubMed]
- Castillo-Sanchez, R.; Ramirez-Ricardo, J.; Martinez-Baeza, E.; Cortes-Reynosa, P.; Candanedo-Gonzales, F.; Gomez, R.; Salazar, E.P. Bisphenol A Induces Focal Adhesions Assembly and Activation of FAK, Src and ERK2 via GPER in MDA-MB-231 Breast Cancer Cells. Toxicology in Vitro 2020, 66, 104871. [Google Scholar] [CrossRef] [PubMed]
- Park, M.N.; Song, H.S.; Kim, M.; Lee, M.J.; Cho, W.; Lee, H.J.; Hwang, C.H.; Kim, S.; Hwang, Y.; Kang, B.; et al. Review of Natural Product-Derived Compounds as Potent Antiglioblastoma Drugs. Biomed. Res. Int. 2017, 2017, 8139848. [Google Scholar] [CrossRef]
- Hashem, S.; Ali, T.A.; Akhtar, S.; Nisar, S.; Sageena, G.; Ali, S.; Al-Mannai, S.; Therachiyil, L.; Mir, R.; Elfaki, I.; et al. Targeting Cancer Signaling Pathways by Natural Products: Exploring Promising Anti-Cancer Agents. Biomed. Pharmacother. 2022, 150, 113054. [Google Scholar] [CrossRef] [PubMed]
- National Center for Biotechnology Information PubChem Compound Summary for CID 73384, Brazilin. Available online: https://pubchem.ncbi.nlm.nih.gov/compound/Brazilin (accessed on 23 October 2024).
- Siraichi, J.T.G.; Felipe, D.F.; Brambilla, L.Z.S.; Gatto, M.J.; Terra, V.A.; Cecchini, A.L.; Cortez, L.E.R.; Rodrigues-Filho, E.; Cortez, D.A.G. Antioxidant Capacity of the Leaf Extract Obtained from Arrabidaea Chica Cultivated in Southern Brazil. PLoS ONE 2013, 8, e72733. [Google Scholar] [CrossRef] [PubMed]
- Jung, Y.; Kim, I. Total Synthesis of Brazilin. J. Org. Chem. 2015, 80, 2001–2005. [Google Scholar] [CrossRef]
- Wainwright, C.L.; Teixeira, M.M.; Adelson, D.L.; Buenz, E.J.; David, B.; Glaser, K.B.; Harata-Lee, Y.; Howes, M.J.R.; Izzo, A.A.; Maffia, P.; et al. Future Directions for the Discovery of Natural Product-Derived Immunomodulating Drugs: An IUPHAR Positional Review. Pharmacol. Res. 2022, 177, 106076. [Google Scholar] [CrossRef]
- Das, B.; Baidya, A.T.K.; Mathew, A.T.; Yadav, A.K.; Kumar, R. Structural Modification Aimed for Improving Solubility of Lead Compounds in Early Phase Drug Discovery. Bioorg Med. Chem. 2022, 56, 116614. [Google Scholar] [CrossRef]
- Shi, Y.; Ye, P.; Long, X. Differential Expression Profiles of the Transcriptome in Breast Cancer Cell Lines Revealed by Next Generation Sequencing. Cell. Physiol. Biochem. 2017, 44, 804–816. [Google Scholar] [CrossRef]
- Huang, Z.; Yu, P.; Tang, J. Characterization of Triple-Negative Breast Cancer MDA-MB-231 Cell Spheroid Model. Onco Targets Ther. 2020, 13, 5395–5405. [Google Scholar] [CrossRef]
- Witt, B.L.; Tollefsbol, T.O. Molecular, Cellular, and Technical Aspects of Breast Cancer Cell Lines as a Foundational Tool in Cancer Research. Life 2023, 13, 2311. [Google Scholar] [CrossRef] [PubMed]
- Mota, A.; Evangelista, A.; Macedo, T.; Oliveira, R.; Scapulatempo-Neto, C.; Vieira, R.; Marques, M. Molecular Characterization of Breast Cancer Cell Lines by Clinical Immunohistochemical Markers. Oncol. Lett. 2017, 13, 4708–4712. [Google Scholar] [CrossRef] [PubMed]
- Raghunathan, S.; Jaganade, T.; Priyakumar, U.D. Urea-Aromatic Interactions in Biology. Biophys. Rev. 2020, 12, 65–84. [Google Scholar] [CrossRef]
- Coimbra, J.T.S.; Feghali, R.; Ribeiro, R.P.; Ramos, M.J.; Fernandes, P.A. The Importance of Intramolecular Hydrogen Bonds on the Translocation of the Small Drug Piracetam through a Lipid Bilayer. RSC Adv. 2020, 11, 899–908. [Google Scholar] [CrossRef]
- Caron, G.; Digiesi, V.; Solaro, S.; Ermondi, G. Flexibility in Early Drug Discovery: Focus on the beyond-Rule-of-5 Chemical Space. Drug Discov. Today 2020, 25, 621–627. [Google Scholar] [CrossRef]
- Maziveyi, M.; Suresh, K. Alahari Cell Matrix Adhesions in Cancer: The Proteins That Form the Glue. Oncotarget 2017, 8, 48471–48487. [Google Scholar] [CrossRef]
- Katoh, K. FAK-Dependent Cell Motility and Cell Elongation. Cells 2020, 9, 192. [Google Scholar] [CrossRef]
- Bao, J.; Huang, B.; Zou, L.; Chen, S.; Zhang, C.; Zhang, Y.; Chen, M.; Wan, J.B.; Su, H.; Wang, Y.; et al. Hormetic Effect of Berberine Attenuates the Anticancer Activity of Chemotherapeutic Agents. PLoS ONE 2015, 10, e0139298. [Google Scholar] [CrossRef]
- Basu, P.; Maier, C. Phytoestrogens and Breast Cancer: In Vitro Anticancer Activities of Isoflavones, Lignans, Coumestans, Stilbenes and Their Analogs and Derivatives. Biomed. Pharmacother. 2018, 107, 1648–1666. [Google Scholar] [CrossRef]
- Lepri, S.R.; Luiz, R.C.; Zanelatto, L.C.; Da Silva, P.B.G.; Sartori, D.; Ribeiro, L.R.; Mantovani, M.S. Chemoprotective Activity of the Isoflavones, Genistein and Daidzein on Mutagenicity Induced by Direct and Indirect Mutagens in Cultured HTC Cells. Cytotechnology 2013, 65, 213–222. [Google Scholar] [CrossRef]
- Tsai, C.L.; Wu, H.M.; Lin, C.Y.; Lin, Y.J.; Chao, A.; Wang, T.H.; Hsueh, S.; Lai, C.H.; Wang, H.S. Estradiol and Tamoxifen Induce Cell Migration through GPR30 and Activation of Focal Adhesion Kinase (FAK) in Endometrial Cancers with Low or without Nuclear Estrogen Receptor α (ERα). PLoS ONE 2013, 8, e72999. [Google Scholar] [CrossRef] [PubMed]
- Koirala, N.; Thuan, N.H.; Ghimire, G.P.; Thang, D.; Van Sohng, J.K. Methylation of Flavonoids: Chemical Structures, Bioactivities, Progress and Perspectives for Biotechnological Production. Enzyme Microb. Technol. 2016, 86, 103–116. [Google Scholar] [CrossRef] [PubMed]
- Imai, K.; Nakanishi, I.; Ohkubo, K.; Ohba, Y.; Arai, T.; Mizuno, M.; Fukuzumi, S.; Matsumoto, K.; Fukuhara, K. Synthesis of Methylated Quercetin Analogues for Enhancement of Radical-Scavenging Activity. RSC Adv. 2017, 7, 17968–17979. [Google Scholar] [CrossRef]
- Hirpara, K.V.; Aggarwal, P.; Mukherjee, A.J.; Joshi, N.; Burman, A.C. Quercetin and Its Derivatives: Synthesis, Pharmacological Uses with Special Emphasis on Anti-Tumor Properties and Prodrug with Enhanced Bio-Availability. Anticancer. Agents Med. Chem. 2009, 9, 138–161. [Google Scholar] [CrossRef] [PubMed]
- da Silva, J.L.; Cardoso Nunes, N.C.; Izetti, P.; de Mesquita, G.G.; de Melo, A.C. Triple Negative Breast Cancer: A Thorough Review of Biomarkers. Crit. Rev. Oncol. Hematol. 2020, 145, 102855. [Google Scholar] [CrossRef]
- Simu, S.; Marcovici, I.; Dobrescu, A.; Malita, D.; Dehelean, C.A.; Coricovac, D.; Olaru, F.; Draghici, G.A.; Navolan, D. Insights into the Behavior of Triple-Negative Mda-Mb-231 Breast Carcinoma Cells Following the Treatment with 17β-Ethinylestradiol and Levonorgestrel. Molecules 2021, 26, 2776. [Google Scholar] [CrossRef]
- Hba, S.; Ghaddar, S.; Wahnou, H.; Pinon, A.; El Kebbaj, R.; Pouget, C.; Sol, V.; Liagre, B.; Oudghiri, M.; Limami, Y. Natural Chalcones and Derivatives in Colon Cancer: Pre-Clinical Challenges and the Promise of Chalcone-Based Nanoparticles. Pharmaceutics 2023, 15, 2718. [Google Scholar] [CrossRef]
- Wahnou, H.; Liagre, B.; Sol, V.; El Attar, H.; Attar, R.; Oudghiri, M.; Duval, R.E.; Limami, Y. Polyphenol-Based Nanoparticles: A Promising Frontier for Enhanced Colorectal Cancer Treatment. Cancers 2023, 15, 3826. [Google Scholar] [CrossRef]










| Raw Material (g) | Yield (g) | Yield (%) | Purity (%) |
|---|---|---|---|
| 1500 | 0.680 | 0.047 | 91 |
| Raw Material (mg) (Brazilin) | Sample Obtained (mg) | Yield (%) | |
|---|---|---|---|
| Brazilin-(OMe)3 | 40 | 20.8 | 52 |
| Brazilin-(OAc)3 | 50 | 24 | 48 |
| Cell Line | Brazilin | Brazilin-(OMe)3 | Brazilin-(OAc)3 |
|---|---|---|---|
| MDA-MB-231 | 49.92 ± 1.26 | >80 µM | 70.75 ± 3.48 |
| MCF7 | 67.59 ± 0.40 | >80 µM | 49.97 ± 3.91 |
| MCF10A | 63.64 ± 3.02 | >80 µM | 104.09 ± 4.34 |
Disclaimer/Publisher’s Note: The statements, opinions and data contained in all publications are solely those of the individual author(s) and contributor(s) and not of MDPI and/or the editor(s). MDPI and/or the editor(s) disclaim responsibility for any injury to people or property resulting from any ideas, methods, instructions or products referred to in the content. |
© 2025 by the authors. Published by MDPI on behalf of the Österreichische Pharmazeutische Gesellschaft. Licensee MDPI, Basel, Switzerland. This article is an open access article distributed under the terms and conditions of the Creative Commons Attribution (CC BY) license (https://creativecommons.org/licenses/by/4.0/).
Share and Cite
Hernández-Moreno, A.; Nava-Tapia, D.A.; Zuñiga-Eulogio, M.D.; Bello-Martínez, J.; Olea-Flores, M.; Hernández-Moreno, T.; Ordoñez, M.; Zacapala-Gómez, A.E.; Mendoza-Catalán, M.A.; Navarro-Tito, N. Anti-Migratory Activity of Brazilin Chemodiversification on Breast Cancer Cells. Sci. Pharm. 2025, 93, 4. https://doi.org/10.3390/scipharm93010004
Hernández-Moreno A, Nava-Tapia DA, Zuñiga-Eulogio MD, Bello-Martínez J, Olea-Flores M, Hernández-Moreno T, Ordoñez M, Zacapala-Gómez AE, Mendoza-Catalán MA, Navarro-Tito N. Anti-Migratory Activity of Brazilin Chemodiversification on Breast Cancer Cells. Scientia Pharmaceutica. 2025; 93(1):4. https://doi.org/10.3390/scipharm93010004
Chicago/Turabian StyleHernández-Moreno, Alberto, Dania A. Nava-Tapia, Miriam D. Zuñiga-Eulogio, Jorge Bello-Martínez, Monserrat Olea-Flores, Tadeo Hernández-Moreno, Mario Ordoñez, Ana E. Zacapala-Gómez, Miguel A. Mendoza-Catalán, and Napoleón Navarro-Tito. 2025. "Anti-Migratory Activity of Brazilin Chemodiversification on Breast Cancer Cells" Scientia Pharmaceutica 93, no. 1: 4. https://doi.org/10.3390/scipharm93010004
APA StyleHernández-Moreno, A., Nava-Tapia, D. A., Zuñiga-Eulogio, M. D., Bello-Martínez, J., Olea-Flores, M., Hernández-Moreno, T., Ordoñez, M., Zacapala-Gómez, A. E., Mendoza-Catalán, M. A., & Navarro-Tito, N. (2025). Anti-Migratory Activity of Brazilin Chemodiversification on Breast Cancer Cells. Scientia Pharmaceutica, 93(1), 4. https://doi.org/10.3390/scipharm93010004

