Cesarean Hysterectomy in Abnormally Invasive Placenta: The Role of Prenatal Diagnosis
Abstract
:1. Introduction
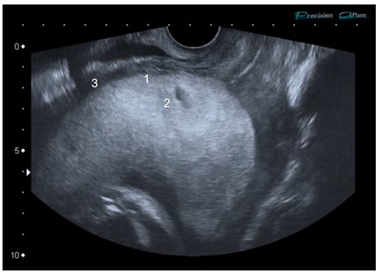
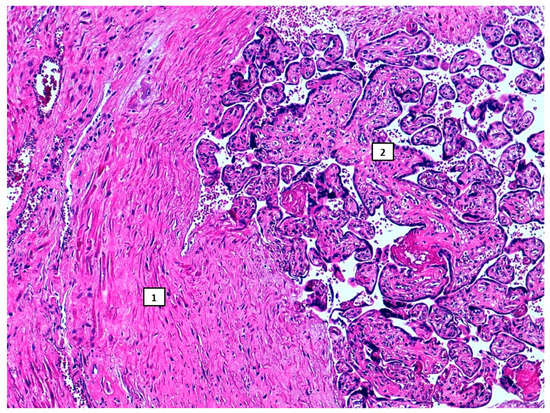
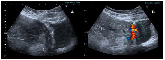
2. Case Report
3. Discussion
4. Conclusions
Author Contributions
Funding
Institutional Review Board Statement
Informed Consent Statement
Data Availability Statement
Conflicts of Interest
References
- Chantraine, F.; Langhoff-Roos, J. Abnormally Invasive Placenta—AIP. Awareness and pro-active management is necessary. Acta Obs. Gynecol. Scand. 2013, 92, 369–371. [Google Scholar] [CrossRef] [PubMed]
- Collins, S.L.; Alemdar, B.; van Beekhuizen, H.J.; Bertholdt, C.; Braun, T.; Calda, P.; Delorme, P.; Duvekot, J.; Gronbeck, L.; Kayem, G.; et al. Evidence-based guidelines for the management of abnormally invasive placenta: Recommendations from the International Society for Abnormally Invasive Placenta. Am. J. Obs. Gynecol. 2019, 220, 511–526. [Google Scholar] [CrossRef] [Green Version]
- D’Antonio, F.; Palacios-Jaraquemada, J.; Lim, P.S.; Forlani, F.; Lanzone, A.; Timor-Tritsch, I.; Cali, G. Counseling in fetal medicine: Evidence-based answers to clinical questions on morbidly adherent placenta. Ultrasound Obs. Gynecol. 2016, 47, 290–301. [Google Scholar] [CrossRef]
- Jauniaux, E.; Chantraine, F.; Silver, R.M.; Langhoff-Roos, J. FIGO consensus guidelines on placenta accreta spectrum disorders: Epidemiology. Int. J. Gynecol. Obs. 2018, 140, 265–273. [Google Scholar] [CrossRef] [Green Version]
- WHO; HRPWHO. Statement on Caesarean Section Rates; WHO: Geneva, Switzerland, 2015; pp. 1–8. [Google Scholar]
- Collins, S.L.; Ashcroft, A.; Braun, T.; Calda, P.; Langhoff-Roos, J.; Morel, O.; Stefanovic, V.; Tutschek, B.; Chantraine, F. European Working Group on Abnormally Invasive Placenta (EW-AIP). Proposal for standardized ultrasound descriptors of abnormally invasive placenta (AIP). Ultrasound Obs. Gynecol. 2016, 47, 271–275. [Google Scholar] [CrossRef] [Green Version]
- Maher, N.; Gleeson, N.; Darcy, T.; Byrne, B. Comparison of blood transfusion and surgical complications in peripartum hysterectomy when anticipated and unanticipated. J. Obs. Gynaecol. 2016, 36, 15–18. [Google Scholar] [CrossRef]
- Warshak, C.R.; Ramos, G.A.; Eskander, R.; Benirschke, K.; Saenz, C.C.; Kelly, T.F.; Moore, T.R.; Resnik, R. Effect of Predelivery Diagnosis in 99 Consecutive Cases of Placenta Accreta. Obs. Gynecol. 2010, 115, 65–69. [Google Scholar] [CrossRef] [PubMed]
- Allen, L.; Jauniaux, E.; Hobson, S.; Papillon-Smith, J.; Belfort, M.A. FIGO consensus guidelines on placenta accreta spectrum disorders: Nonconservative surgical management. Int. J. Gynecol. Obs. 2018, 140, 281–290. [Google Scholar] [CrossRef] [Green Version]
- Shamshirsaz, A.A.; Fox, K.A.; Erfani, H.; Clark, S.L.; Salmanian, B.; Baker, B.W.; Coburn, M.; Shamshirsaz, A.A.; Bateni, Z.H.; Espinoza, J. Multidisciplinary team learning in the management of the morbidly adherent placenta: Outcome improvements over time. Am. J. Obs. Gynecol. 2017, 216, 612.e1–612.e5. [Google Scholar] [CrossRef]
- Alfirevic, Z.; Tang, A.W.; Collins, S.L.; Palacios-Jaraquemada, R.J. Pro forma for ultrasound reporting in suspected abnormally invasive placenta (AIP): An international consensus. Ultrasound Obs. Gynecol. 2016, 47, 276–278. [Google Scholar] [CrossRef] [PubMed] [Green Version]
- Tovbin, J.; Melcer, Y.; Shor, S.; Pekar-Zlotin, M.; Mendlovic, S.; Svirsky, R.; Maymon, R. Prediction of morbidly adherent placenta using a scoring system. Ultrasound Obs. Gynecol. 2016, 48, 504–510. [Google Scholar] [CrossRef] [Green Version]
- Rac, M.W.F.; Dashe, J.S.; Wells, C.E.; Moschos, E.; McIntire, D.D.; Wickler, D.M.T. Affiliations expand. Ultrasound predictors of placental invasion: The Placenta Accreta Index. Am. J. Obs. Gynecol. 2015, 212, 343.e1–343.e7. [Google Scholar]
- Gilboa, Y.; Spira, M.; Mazaki-Tovi, S.; Schiff, E.; Sivan, E.; Achiron, R. A novel sonographic scoring system for antenatal risk assessment of obstetric complications in suspected morbidly adherent placenta. J. Ultrasound Med. 2015, 34, 561–567. [Google Scholar] [CrossRef]
- Jauniaux, E.; Collins, S.L.; Jurkovic, D.; Burton, G.J. Accreta placentation: A systematic review of prenatal ultrasound imaging and grading of villous invasiveness. Am. J. Obstet. Gynecol. 2016, 215, 712–721. [Google Scholar] [CrossRef]
- Pagani, G.; Cali, G.; Acharya, G.; Trisch, I.T.; Palacios-Jaraquemada, J.; Familiari, A.; Buca, D.; Manzoli, L.; Flacco, M.E.; Fanfani, F.; et al. Diagnostic accuracy of ultrasound in detecting the severity of abnormally invasive placentation: A systematic review and meta-analysis. Acta Obs. Gynecol. Scand. 2018, 97, 25–37. [Google Scholar] [CrossRef]
- Cali, G.; Timor-Trisch, I.E.; Palacios-Jaraquemada, J.; Monteaugudo, A.; Forlani, F.; Minneci, G.; Foti, F.; Buca, D.; Familiari, A.; Scambia, G.; et al. Hanges in ultrasonography indicators of abnormally invasive placenta during pregnancy. Int. J. Gynecol. Obs. 2018, 140, 319–325. [Google Scholar] [CrossRef]
- Familiari, A.; Liberati, M.; Lim, P.; Pagani, G.; Cali, G.; Buca Manzoli, D.; Flacco, L.; Scambia, M.E.; D’antonio, G. Diagnostic accuracy of magnetic resonance imaging in detecting the severity of abnormal invasive placenta: A systematic review and meta-analysis. Acta Obs. Gynecol. Scand. 2018, 97, 507–520. [Google Scholar] [CrossRef] [Green Version]
- Aryananda, R.A.; Akbar, A.; Wardhana, M.P.; Gumilar, K.E.; Wicaksono, B.; Ernawati, E.; Sulistyono, A.; Aditiawarman, A.; Joewono, H.T.; Dachlan, E.G.; et al. New three-dimensional/four-dimensional volume rendering imaging software for detecting the abnormally invasive placenta. J. Clin. Ultrasound 2019, 47, 9–13. [Google Scholar] [CrossRef] [PubMed] [Green Version]
- Sentilhes, L.; Kayem, G.; Chandraharan, E.; Palacios-Jaraquemada, J.; Jauniaux, E. FIGO consensus guidelines on placenta accreta spectrum disorders: Conservative management. Int. J. Gynecol. Obs. 2018, 140, 291–298. [Google Scholar] [CrossRef] [Green Version]
- Matsuzaki, S.; Yoshino, K.; Endo, M.; Kakigano, A.; Takiuchi, T.; Kimura, T. Conservative management of placenta percreta. Int. J. Gynecol. Obs. 2018, 140, 299–306. [Google Scholar] [CrossRef]
- Fox, K.A.; Shamshirsaz, A.A.; Carusi, D.; Secord, A.A.; Lee, P.; Turan, O.M.; Huls, C.; Abuhamad, A.; Simhan, H.; Barton, J.; et al. Conservative management of morbidly adherent placenta: Expert review. Am. J. Obs. Gynecol. 2015, 213, 755–760. [Google Scholar] [CrossRef]
- Mohr-Sasson, A.; Hochman, R.; Anteby, M.; Spira, M.; Castel, E.; Hendler, I.; Mazaki-Tovi, S.; Sivan, E. Cesarean delivery with and without uterine artery embolization for the management of placenta accreta spectrum disorder—A comparative study. Acta Obs. Gynecol Scand. 2020, 99, 1374–1380. [Google Scholar] [CrossRef]
- Yuan, Q.; Jin, Y.; Chen, L.; Ling, L.; Bai, X.M. Prophylactic uterine artery embolization during cesarean delivery for placenta previa complicated by placenta accreta. Int. J. Gynecol Obs. 2020, 149, 43–47. [Google Scholar] [CrossRef]
- Matsubara, S.; Kuwata, T.; Usui, R.; Watanabe, T.; Izumi, A.; Ohkuchi, A.; Suzuki, M.; Nakata, M. Important surgical measures and techniques at cesarean hysterectomy for placenta previa accreta. Acta Obs. Gynecol. Scand. 2013, 92, 372–377. [Google Scholar] [CrossRef]
- Stanleigh, J.; Michaeli, J.; Armon, S.; Khatib, F.; Zuckerman, B.; Shaya, M.; Ioscovitch, A.; Shenfeld, O.; Greenblat, D.; Farkash, R.; et al. Maternal and neonatal outcomes following a proactive peripartum multidisciplinary management protocol for placenta creta spectrum as compared to the urgent delivery. Eur. J. Obs. Gynecol. Reprod. Biol. 2019, 237, 139–144. [Google Scholar] [CrossRef]
- Tam Tam, K.B.; Dozier, J.; Martin, J.N. Approaches to reduce urinary tract injury during management of placenta accreta, increta, and percreta: A systematic review. J. Matern. Neonatal Med. 2012, 25, 329–334. [Google Scholar] [CrossRef]
- Gulino, F.A.; Frigerio, L.; Bogani, G.; Rapisarda, A.M.; Gulino, F.A.; Frigerio, L. Usefulness of vessel-sealing devices for peripartum hysterectomy: A retrospective cohort study. Updates Surg. 2015, 67, 301–304. [Google Scholar]





Publisher’s Note: MDPI stays neutral with regard to jurisdictional claims in published maps and institutional affiliations. |
© 2021 by the authors. Licensee MDPI, Basel, Switzerland. This article is an open access article distributed under the terms and conditions of the Creative Commons Attribution (CC BY) license (https://creativecommons.org/licenses/by/4.0/).
Share and Cite
Cubo, A.M.; Villalba Yarza, A.; Gastaca, I.; Lapresa-Alcalde, M.V.; Doyague, M.J.; Gónzalez, C.; Sayagués, J.M. Cesarean Hysterectomy in Abnormally Invasive Placenta: The Role of Prenatal Diagnosis. Diseases 2021, 9, 56. https://doi.org/10.3390/diseases9030056
Cubo AM, Villalba Yarza A, Gastaca I, Lapresa-Alcalde MV, Doyague MJ, Gónzalez C, Sayagués JM. Cesarean Hysterectomy in Abnormally Invasive Placenta: The Role of Prenatal Diagnosis. Diseases. 2021; 9(3):56. https://doi.org/10.3390/diseases9030056
Chicago/Turabian StyleCubo, Ana Maria, Ana Villalba Yarza, Irene Gastaca, María Victoria Lapresa-Alcalde, Maria José Doyague, Cristina Gónzalez, and José María Sayagués. 2021. "Cesarean Hysterectomy in Abnormally Invasive Placenta: The Role of Prenatal Diagnosis" Diseases 9, no. 3: 56. https://doi.org/10.3390/diseases9030056
APA StyleCubo, A. M., Villalba Yarza, A., Gastaca, I., Lapresa-Alcalde, M. V., Doyague, M. J., Gónzalez, C., & Sayagués, J. M. (2021). Cesarean Hysterectomy in Abnormally Invasive Placenta: The Role of Prenatal Diagnosis. Diseases, 9(3), 56. https://doi.org/10.3390/diseases9030056

