Carotid Artery Calcification: A Digital Panoramic-Based Study
Abstract
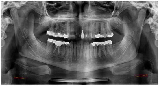
:1. Introduction
2. Material and Methods
3. Results
4. Discussion
5. Conclusions
Author Contributions
Conflicts of Interest
References
- Bayram, B.; Uckan, S.; Acikgoz, A.; Müderrisoglu, H.; Aydinalp, A. Digital panoramic radiography: A reliable method to diagnose carotid artery atheromas? Dentomaxillofac. Radiol. 2006, 35, 266–270. [Google Scholar] [CrossRef] [PubMed]
- White, S.C.; Pharoah, M.J. Oral Radiology: Principles and Interpretation, 5th ed.; Mosby: Saint Louis, MO, USA, 2007. [Google Scholar]
- Moshfeghi, M.; Taheri, J.B.; Bahemmat, N.; Evazzadeh, M.E.; Hadian, H. Relationship between carotid artery calcification detected in dental panoramic images and hypertension and myocardial infarction. Iran. J. Radiol. 2014, 11, e8714. [Google Scholar] [CrossRef] [PubMed]
- Ohba, T.; Takata, Y.; Ansai, T.; Morimoto, Y.; Tanaka, T.; Kito, S.; Awano, S.; Akifusa, S.; Takehara, T. Evaluation of calcified carotid artery atheromas detected by panoramic radiograph among 80-year-olds. Oral Surg. Oral Med. Oral Pathol. Oral Radiol. Endod. 2003, 96, 647–650. [Google Scholar] [CrossRef] [PubMed]
- Cohen, S.N.; Friedlander, A.H.; Jolly, D.A.; Date, L. Carotid calcification on panoramic radiographs: An important marker for vascular risk. Oral Surg. Oral Med. Oral Pathol. Oral Radiol. Endod. 2002, 94, 510–514. [Google Scholar] [CrossRef] [PubMed]
- Almog, D.M.; Horev, T.; Illig, K.A.; Green, R.M.; Carter, L.C. Correlating carotid artery stenosis detected by panoramic radiography with clinically relevant carotid artery stenosis determined by duplex ultrasound. Oral Surg. Oral Med. Oral Pathol. Oral Radiol. Endod. 2002, 94, 768–773. [Google Scholar] [CrossRef] [PubMed]
- Friedlander, A.H.; Altman, L. Carotid artery atheromas in postmenopausal women. Their prevalence on panoramic radiographs and their relationship to atherogenic risk factors. J. Am. Dent. Assoc. 2001, 132, 1130–1136. [Google Scholar] [CrossRef] [PubMed]
- Carter, L.C. Discrimination between calcified triticeous cartilage and calcified carotid atheroma on panoramic radiography. Oral Surg. Oral Med. Oral Pathol. Oral Radiol. Endod. 2000, 90, 108–110. [Google Scholar] [CrossRef] [PubMed]
- Friedlander, A.H.; Garrett, N.R.; Norman, D.C. The prevalence of calcified carotid artery atheromas on the panoramic radiographs of patients with type 2 diabetes mellitus. J. Am. Dent. Assoc. 2002, 133, 1516–1523. [Google Scholar] [CrossRef] [PubMed]
- Wells, A.B. Incidence of Soft Tissue Calcifications of the Head and Neck Region on Maxillofacial Cone Beam Computed Tomography. Master’s Thesis, University of Louisville, Louisville, KY, USA, 2011. [Google Scholar] [CrossRef]
- Nasseh, I.; Sokhn, S.; Noujeim, M.; Aoun, G. Considerations in detecting soft tissue calcifications on panoramic radiography. J. Int. Oral Health 2016, 8, 742–746. [Google Scholar]
- Fanning, N.F.; Walters, T.D.; Fox, A.J.; Symons, S.P. Association between calcification of the cervical artery bifurcation and white matter ischemia. AJNR Am. J. Neuroradiol. 2006, 27, 378–383. [Google Scholar] [PubMed]
- Friedlander, A.H.; Lande, A. Panoramic radiographic identification of carotid arterial plaques. Oral Surg. Oral Med. Oral Pathol. 1981, 52, 102–104. [Google Scholar] [CrossRef]
- Friedlander, A.H.; Friedlander, I.K. Identification of stroke prone patients by panoramic radiography. Aust. Dent. J. 1998, 43, 51–54. [Google Scholar] [CrossRef] [PubMed]
- Alzoman, H.A.; Al-Sadhan, R.I.; Al-Lahem, Z.H.; Al-Sakaker, A.N.; Al-Fawaz, Y.F. Prevalence of carotid calcification detected on panoramic radiographs in a Saudi population from a training institute in Central Saudi Arabia. Saudi Med. J. 2012, 33, 177–181. [Google Scholar] [PubMed]
- Sisman, Y.; Ertas, E.T.; Gokce, C.; Menku, A.; Ulker, M.; Akgunlu, F. The Prevalence of carotid artery calcification on the panoramic radiographs in Cappadocia region population. Eur. J. Dent. 2007, 1, 132–138. [Google Scholar] [PubMed]
- Lee, J.S.; Kim, O.S.; Chung, H.J.; Kim, Y.J.; Kweon, S.S.; Lee, Y.H.; Shin, M.H.; Yoon, S.J. The prevalence and correlation of carotid artery calcification on panoramic radiographs and peripheral arterial disease in a population from the Republic of Korea: The Dong-gu study. Dentomaxillofac. Radiol. 2013, 42, 29725099. [Google Scholar] [CrossRef] [PubMed]
- Pornprasertsuk-Damrongsri, S.; Thanakun, S. Carotid artery calcification detected on panoramic radiographs in a group of Thai population. Oral Surg. Oral Med. Oral Pathol. Oral Radiol. Endod. 2006, 101, 110–115. [Google Scholar] [CrossRef] [PubMed]
- Kumagai, M.; Yamagishi, T.; Fukui, N.; Chiba, M. Carotid artery calcification seen on panoramic dental radiographs in the Asian population in Japan. Dentomaxillofac. Radiol. 2007, 36, 92–96. [Google Scholar] [CrossRef] [PubMed]
- Uthman, A.T.; Al-Saffar, A.B. Prevalence in digital panoramic radiographs of carotid area calcification among Iraqi individuals with stroke-related disease. Oral Surg. Oral Med. Oral Pathol. Oral Radiol. Endod. 2008, 105, e68–e73. [Google Scholar] [CrossRef] [PubMed]
- Brand, H.S.; Mekenkamp, W.C.; Baart, J.A. Prevalence of carotid artery calcification on panoramic radiographs. Ned. Tijdschr. Tandheelkd. 2009, 116, 69–73. [Google Scholar] [PubMed]
- Abreu, T.Q.; Ferreira, E.B.; de Brito Filho, S.B.; de Sales, K.P.; Lopes, F.F.; de Oliveira, A.E. Prevalence of carotid artery calcifications detected on panoramic radiographs and confirmed by Doppler ultrasonography: Their relationship with systemic conditions. Indian J. Dent. Res. 2015, 26, 345–350. [Google Scholar] [CrossRef] [PubMed]
- Scarfe, W.C.; Farman, A.G. Soft Tissue Calcifications in the Neck: Maxillofacial CBCT Presentation and Significance; American Association of Dental Maxillofacial Radiographic Technicians (AADMRT): Modesto, CA, USA, 2010; pp. 1–25. [Google Scholar]
- Yeluri, G.; Kumar, C.A.; Raghav, N. Correlation of dental pulp stones, carotid artery and renal calcifications using digital panoramic radiography and ultrasonography. Contemp. Clin. Dent. 2015, 6 (Suppl. S1), S147–S151. [Google Scholar] [CrossRef] [PubMed]




© 2018 by the authors. Licensee MDPI, Basel, Switzerland. This article is an open access article distributed under the terms and conditions of the Creative Commons Attribution (CC BY) license (http://creativecommons.org/licenses/by/4.0/).
Share and Cite
Nasseh, I.; Aoun, G. Carotid Artery Calcification: A Digital Panoramic-Based Study. Diseases 2018, 6, 15. https://doi.org/10.3390/diseases6010015
Nasseh I, Aoun G. Carotid Artery Calcification: A Digital Panoramic-Based Study. Diseases. 2018; 6(1):15. https://doi.org/10.3390/diseases6010015
Chicago/Turabian StyleNasseh, Ibrahim, and Georges Aoun. 2018. "Carotid Artery Calcification: A Digital Panoramic-Based Study" Diseases 6, no. 1: 15. https://doi.org/10.3390/diseases6010015
APA StyleNasseh, I., & Aoun, G. (2018). Carotid Artery Calcification: A Digital Panoramic-Based Study. Diseases, 6(1), 15. https://doi.org/10.3390/diseases6010015

