Prevalence and Associated Factors of HPV Infection in the Oropharyngeal Cavity Among University Students in a Southwest Population in Mexico
Abstract
1. Introduction
2. Materials and Methods
2.1. Participants
2.2. Study Setting
2.3. Statistical Analysis
2.4. Ethical Considerations
3. Results
3.1. Associated Risk Factors to HPV Infection
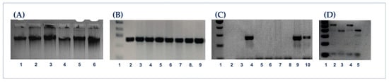
3.2. Amplification and Typification of HPV Using Consensus Primers and Restriction Enzymes
4. Discussion
5. Conclusions
Supplementary Materials
Author Contributions
Funding
Institutional Review Board Statement
Informed Consent Statement
Data Availability Statement
Acknowledgments
Conflicts of Interest
Correction Statement
Abbreviations
| HPV | Human papillomavirus |
| STI | Sexually transmitted infection |
| PCR | Polymerase chain reaction |
| RFLP | Restriction Fragment Length Polymorphisms |
| CI | Confidence Intervals (CI) |
| OR | Odds ratios |
| SCP | Squamous cell papilloma |
References
- Kokkinis, E.; Bastas, N.S.; Mega, I.; Tsironis, C.; Lianou, A.D. Association of HPV with Oral and Oropharyngeal Cancer: Current Evidence. Maedica 2024, 19, 801–806. [Google Scholar] [CrossRef] [PubMed] [PubMed Central]
- Katirachi, S.K.; Grønlund, M.P.; Jakobsen, K.K.; Grønhøj, C.; von Buchwald, C. The Prevalence of HPV in Oral Cavity Squamous Cell Carcinoma. Viruses 2023, 15, 451. [Google Scholar] [CrossRef] [PubMed]
- Sabatini, M.E.; Chiocca, S. Human papillomavirus as a driver of head and neck cancers. Br. J. Cancer 2020, 122, 306–314. [Google Scholar] [CrossRef] [PubMed] [PubMed Central]
- Cho, H.; Kishikawa, T.; Tokita, Y.; Suzuki, M.; Takemoto, N.; Hanamoto, A.; Fukusumi, T.; Yamamoto, M.; Fujii, M.; Ohno, Y.; et al. Prevalence of human papillomavirus in oral gargles and tonsillar washings. Oral Oncol. 2020, 105, 104669, Erratum in Oral Oncol. 2021, 120, 105478. https://doi.org/10.1016/j.oraloncology.2021.105478. [Google Scholar] [CrossRef] [PubMed]
- Hinton, H.; Herrera, L.; Valenzuela, S.; Howard, K.M.; Kingsley, K. Screening for High-Risk Human Papillomavirus Reveals HPV52 and HPV58 among Pediatric and Adult Patient Saliva Samples. Dent. J. 2024, 12, 56. [Google Scholar] [CrossRef] [PubMed] [PubMed Central]
- Sotelo, A.A.; Deluca, G.D. Oral HPV infection in HIV-positive persons from Corrientes, Argentina. Medicina 2023, 83, 883–889. (In Spanish) [Google Scholar] [PubMed]
- Aragón-Niño, Í.; Cuesta-Urquía, C.; González-Martín-Moro, J.; Morán-Soto, M.J.; Pozo-Kreilinger, J.J.; Pampín-Martinez, M.M.; Del Castillo-Pardo-de Vera, J.L.; Cebrián-Carretero, J.L. HPV infection in oral cancer, our experience: Prevalence, clinical implications, and current vaccination program in Spain. J. Clin. Exp. Dent. 2023, 15, e584–e589. [Google Scholar] [CrossRef] [PubMed] [PubMed Central]
- Morán-Torres, A.; Pazos-Salazar, N.G.; Téllez-Lorenzo, S.; Jiménez-Lima, R.; Lizano, M.; Reyes-Hernández, D.O.; Marin-Aquino, J.J.; Manzo-Merino, J. HPV oral and oropharynx infection dynamics in young population. Braz. J. Microbiol. 2021, 52, 1991–2000. [Google Scholar] [CrossRef] [PubMed] [PubMed Central]
- García-Galicia, A.; Andrade-Bonilla, C.M.; Vallejo-Ruiz, V.; Vallejo-Domínguez, B.E.; Ramírez-Mendoza, J.; Montiel-Jarquín, Á.J.; Bertado-Ramírez, N.R.; Loría-Castellanos, J. Identification of human Papillomavirus Genotypes in juvenile Laryngeal Papillomatosis. Three-year experience in a concentration hospital in Puebla, Mexico. Rev. Fac. Med. Hum. 2023, 23, 87–92. [Google Scholar] [CrossRef]
- Whitton, A.F.; Knight, G.L.; Marsh, E.K. Risk factors associated with oral Human Papillomavirus (HPV) prevalence within a young adult population. BMC Public Health 2024, 24, 1485. [Google Scholar] [CrossRef] [PubMed] [PubMed Central]
- Fiorillo, L.; Cervino, G.; Surace, G.; De Stefano, R.; Laino, L.; D’Amico, C.; Fiorillo, M.T.; Meto, A.; Herford, A.S.; Arzukanyan, A.V.; et al. M Human Papilloma Virus: Current Knowledge and Focus on Oral Health. Biomed. Res. Int. 2021, 2021, 6631757. [Google Scholar] [CrossRef] [PubMed] [PubMed Central]
- Díaz-Vallejo, J.J.; Lagunes-Baez, E.; Córdoba-Colorado, D.; Pérez-Vásquez, M.O.; Pascual-Mathey, L.I. Determination of Human Papillomavirus Serotypes in Endocervical Samples from Patients with Normal Cytology from a Mexican Population by Polymerase Chain Reaction-restriction Fragment Length Polymorphism. Indian J. Public Health 2025, 69, 115–118. [Google Scholar] [CrossRef]
- Nguyen, M.; Unger, E.; Lennox, J.; del Rio, C.; Gunthel, C.; Reznik, D.; Sumbry, A.; Reddy, D.; Steinau, M. Oral sampling and human papillomavirus genotyping in HIV-infected patients. J. Oral Pathol. Med. 2012, 41, 288–291. [Google Scholar] [CrossRef]
- Yoshikawa, H.; Kawana, T.; Kitagawa, K.; Mizuno, M.; Yoshikura, H.; Iwamoto, A. Detection and typing of multiple genital human papillomaviruses by DNA amplification with consensus primers. Jpn. J. Cancer Res. 1991, 82, 524–531. [Google Scholar] [CrossRef]
- NORMA Oficial Mexicana NOM012SSA32012, Que Establece los Criterios para la Ejecución de Proyectos de Investigación Para la Salud en Seres Humanos; Diario Oficial de la Federación: Ciudad de Mexico, Mexico, 2013.
- Carlander, A.F.; Jakobsen, K.K.; Bendtsen, S.K.; Garset-Zamani, M.; Lynggaard, C.D.; Jensen, J.S.; Grønhøj, C.; Buchwald, C.V. A Contemporary Systematic Review on Repartition of HPV-Positivity in Oropharyngeal Cancer Worldwide. Viruses 2021, 13, 1326. [Google Scholar] [CrossRef] [PubMed] [PubMed Central]
- Castro, T.P.; Bussoloti, F.I. Prevalence of human papillomavirus (HPV) in oral cavity and oropharynx. Braz. J. Otorhinolaryngol. 2006, 72, 272–282. [Google Scholar] [CrossRef] [PubMed] [PubMed Central]
- Kreimer, A.R.; Pierce-Campbell, C.M.; Lin, H.Y.; Fulp, W.; Papenfuss, M.R.; Abrahamsen, M.; Hildesheim, A.; Villa, L.L.; Salmerón, J.J.; Lazcano-Ponce, E.; et al. Incidence and clearance of oral human papillomavirus infection in men: The HIM cohort study. Lancet 2013, 382, 877–887. [Google Scholar] [CrossRef] [PubMed] [PubMed Central]
- Yang, D.; Zhang, J.; Cui, X.; Ma, J.; Wang, C.; Piao, H. Risk factors associated with human papillomavirus infection, cervical cancer, and precancerous lesions in large-scale population screening. Front. Microbiol. 2022, 13, 914516. [Google Scholar] [CrossRef]
- Hearnden, V.; Murdoch, C.; D’Apice, K.; Duthie, S.; Hayward, N.J.; Powers, H.J. Oral human papillomavirus infection in England and associated risk factors: A case-control study. BMJ Open 2018, 8, e022497. [Google Scholar] [CrossRef] [PubMed] [PubMed Central]
- D’Souza, G.; Tewari, S.R.; Troy, T.; Webster-Cyriaque, J.; Wiley, D.J.; Lahiri, C.D.; Palella, F.J.; Gillison, M.L.; Strickler, H.D.; Struijk, L.; et al. Oncogenic Oral Human Papillomavirus Clearance Patterns over 10 Years. Cancer Epidemiol. Biomark. Prev. 2024, 33, 516–524. [Google Scholar] [CrossRef] [PubMed] [PubMed Central]
- Antonsson, A.; Cornford, M.; Perry, S.; Davis, M.; Dunne, M.P.; Whiteman, D.C. Prevalence and risk factors for oral HPV infection in young Australians. PLoS ONE 2014, 9, e91761. [Google Scholar] [CrossRef] [PubMed] [PubMed Central]
- Steinau, M.; Gorbach, P.; Gratzer, B.; Braxton, J.; Kerndt, P.R.; Crosby, R.A.; Unger, E.R.; Markowitz, L.E.; Meites, E. Concordance Between Anal and Oral Human Papillomavirus Infections Among Young Men Who have Sex With Men. J. Infect. Dis. 2017, 215, 1832–1835. [Google Scholar] [CrossRef] [PubMed]


| Enzyme | HPV6 | HPV11 | HPV16 | HPV18 | HPV 31 | HPV 33 | HPV42 | HVP52 | HPV58 |
|---|---|---|---|---|---|---|---|---|---|
| RsaI | - | 204, 40 | - | - | 216, 40 | 140, 62 | - | 190, 70 | 195, 65 |
| HinfI | - | 147, 97 | - | 141, 112 | - | - | - | - | - |
| HaeIII | 207, 37 | 207, 37 | 200, 53 | 210, 43 | 122, 91, 43 | 112, 91, 43 | 140, 60 | 190, 50 | 200, 40 |
| PstI | - | - | - | 190, 63 | - | - | - | - | - |
| Population | N = 136 | ||
|---|---|---|---|
| Characteristics | Percentage (n, %) | Men | Women |
| Heterosexual | 108, 79.4% | 52 | 56 |
| Homosexual | 8, 5.9% | 6 | 2 |
| Bisexual | 15, 11% | 2 | 13 |
| Other sexual orientation | 5, 3.7% | 3 | 2 |
| Smoking | 67, 49.3% | 34 | 33 |
| Drinking alcohol | 127, 93.4% | 58 | 69 |
| Drug use | 27, 19.9% | 13 | 14 |
| Characteristics | OR (CI 95%) | p |
|---|---|---|
| Sexual orientation other than heterosexual | 7.5 (1.0–56.1) | 0.048 * |
| Number of sexual partners | 0.3 (0.0–3.0) | 0.361 |
| Use of condoms during sexual intercourse | 3.5 (0.5–24.7) | 0.201 |
| Early onset of sexual activity | 1.5 (0.1–13.4) | 0.697 |
| Alcohol consumption | 0.1 (0.0–2.3) | 0.172 |
| Tobacco consumption | 0.6 (0.0–5.1) | 0.700 |
| HPV Risk | HPV Genotypes | Frequency | Percentage n = 136 | Infections Associated | Reported by |
|---|---|---|---|---|---|
| Low-middle | 11 | 2 | 1.47% | Squamous cell papilloma (SCP) and condylomas Respiratory papillomatosis | [5,8,9,10] |
| High | 58 | 3 | 2.2% | Oral dysplasia and cancer | |
| High | 52 | 1 | 0.7% | Oral dysplasia and cancer |
Disclaimer/Publisher’s Note: The statements, opinions and data contained in all publications are solely those of the individual author(s) and contributor(s) and not of MDPI and/or the editor(s). MDPI and/or the editor(s) disclaim responsibility for any injury to people or property resulting from any ideas, methods, instructions or products referred to in the content. |
© 2025 by the authors. Licensee MDPI, Basel, Switzerland. This article is an open access article distributed under the terms and conditions of the Creative Commons Attribution (CC BY) license.
Share and Cite
Díaz-Vallejo, J.J.; Córdoba-Colorado, D.; González-Marcial, D.d.C.; Cruz-Pérez, E.; Pérez-Vásquez, M.O.; Locia-Espinoza, J.; Pascual-Mathey, L.I. Prevalence and Associated Factors of HPV Infection in the Oropharyngeal Cavity Among University Students in a Southwest Population in Mexico. Diseases 2026, 14, 16. https://doi.org/10.3390/diseases14010016
Díaz-Vallejo JJ, Córdoba-Colorado D, González-Marcial DdC, Cruz-Pérez E, Pérez-Vásquez MO, Locia-Espinoza J, Pascual-Mathey LI. Prevalence and Associated Factors of HPV Infection in the Oropharyngeal Cavity Among University Students in a Southwest Population in Mexico. Diseases. 2026; 14(1):16. https://doi.org/10.3390/diseases14010016
Chicago/Turabian StyleDíaz-Vallejo, Joel Jahaziel, Daniela Córdoba-Colorado, Dulce del Carmen González-Marcial, Ezri Cruz-Pérez, Magda Olivia Pérez-Vásquez, José Locia-Espinoza, and Luz Irene Pascual-Mathey. 2026. "Prevalence and Associated Factors of HPV Infection in the Oropharyngeal Cavity Among University Students in a Southwest Population in Mexico" Diseases 14, no. 1: 16. https://doi.org/10.3390/diseases14010016
APA StyleDíaz-Vallejo, J. J., Córdoba-Colorado, D., González-Marcial, D. d. C., Cruz-Pérez, E., Pérez-Vásquez, M. O., Locia-Espinoza, J., & Pascual-Mathey, L. I. (2026). Prevalence and Associated Factors of HPV Infection in the Oropharyngeal Cavity Among University Students in a Southwest Population in Mexico. Diseases, 14(1), 16. https://doi.org/10.3390/diseases14010016

