Unraveling Dual Cognitive Disorders: A Case Report and Literature Review on Marchiafava–Bignami Disease and Possible Alzheimer’s Disease
Abstract
1. Introduction
Methods
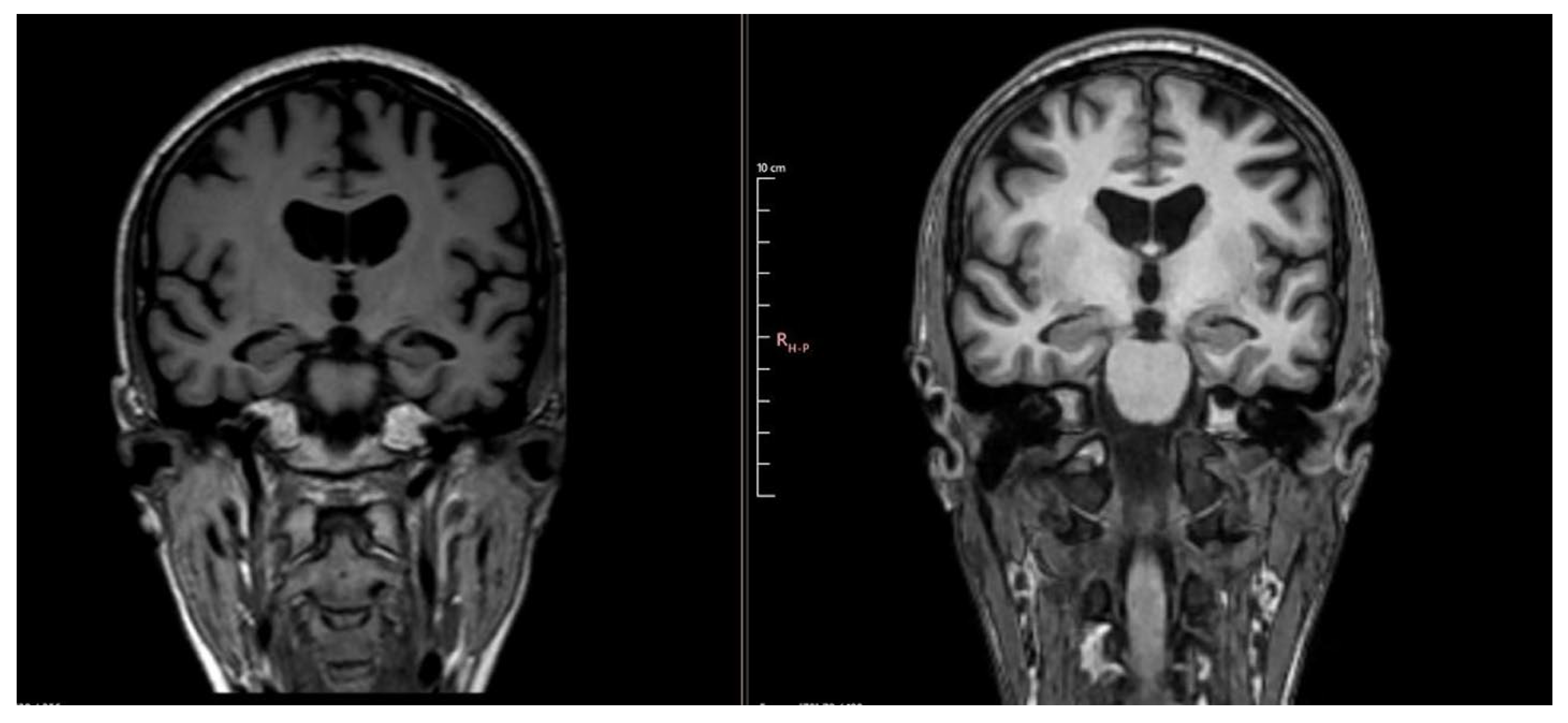
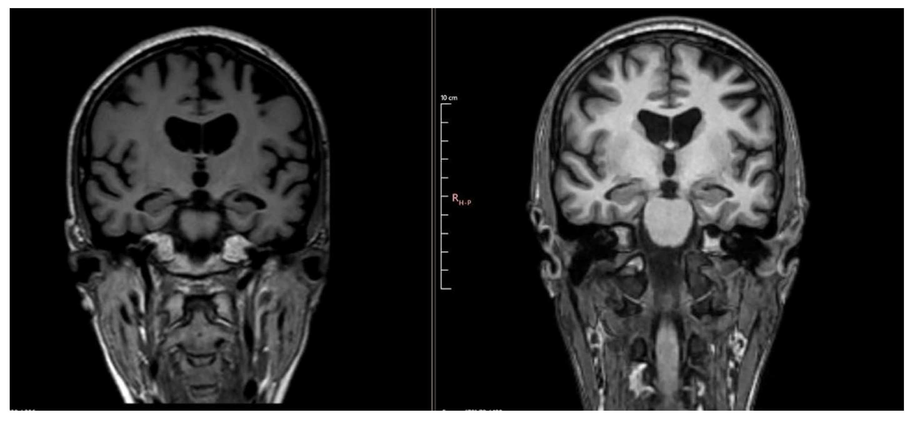
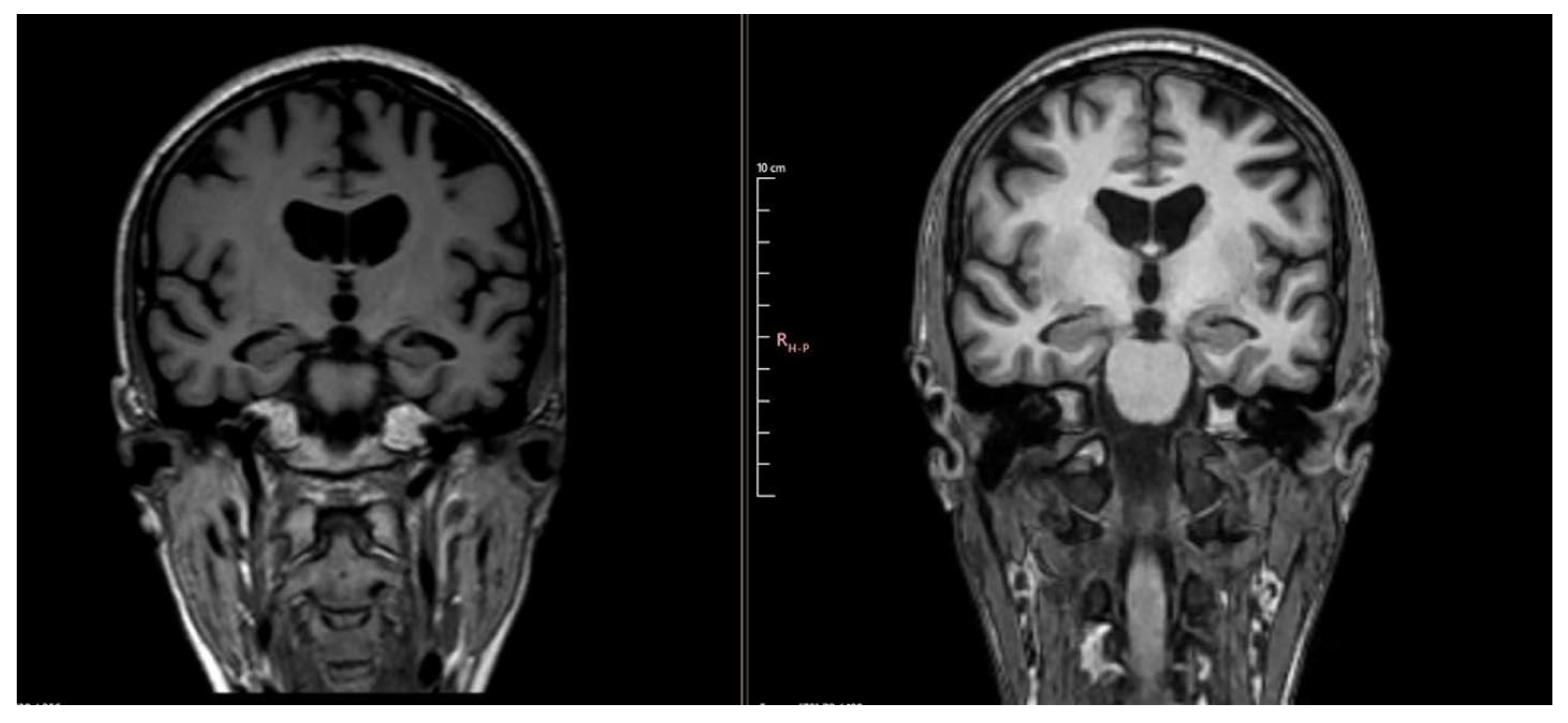
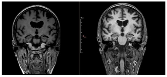
2. Case Presentation
3. Discussion
4. Conclusions
Author Contributions
Funding
Informed Consent Statement
Data Availability Statement
Acknowledgments
Conflicts of Interest
References
- Kumar, A.; Sidhu, J.; Lui, F.; Tsao, J.W. Alzheimer Disease. In StatPearls; StatPearls Publishing: Treasure Island, FL, USA, 2024. [Google Scholar]
- Mendez, M.F. Early-Onset Alzheimer Disease. Neurol. Clin. 2017, 35, 263–281. [Google Scholar] [CrossRef]
- Nwadiugwu, M. Early-Onset Dementia: Key Issues Using a Relationship-Centred Care Approach. Postgrad. Med. J. 2021, 97, 598–604. [Google Scholar] [CrossRef]
- Lai, M.; Jeon, Y.-H.; McKenzie, H.; Withall, A. Journey to Diagnosis of Young-Onset Dementia: A Qualitative Study of People with Young-Onset Dementia and Their Family Caregivers in Australia. Dementia 2023, 22, 1097–1114. [Google Scholar] [CrossRef]
- Silva, M.V.F.; de Loures, C.M.G.; Alves, L.C.V.; de Souza, L.C.; Borges, K.B.G.; das Carvalho, M.G. Alzheimer’s Disease: Risk Factors and Potentially Protective Measures. J. Biomed. Sci. 2019, 26, 33. [Google Scholar] [CrossRef]
- Kuruppu, D.K.; Matthews, B.R. Young-Onset Dementia. Semin. Neurol. 2013, 33, 365–385. [Google Scholar] [CrossRef]
- Zetterberg, H.; Bendlin, B.B. Biomarkers for Alzheimer’s Disease-Preparing for a New Era of Disease-Modifying Therapies. Mol. Psychiatry 2021, 26, 296–308. [Google Scholar] [CrossRef] [PubMed]
- Di Battista, A.M.; Heinsinger, N.M.; Rebeck, G.W. Alzheimer’s Disease Genetic Risk Factor APOE-Ε4 Also Affects Normal Brain Function. Curr. Alzheimer Res. 2016, 13, 1200–1207. [Google Scholar] [CrossRef] [PubMed]
- Haapasalo, A.; Hiltunen, M. A Report from the 8th Kuopio Alzheimer Symposium. Neurodegener. Dis. Manag. 2018, 8, 289–299. [Google Scholar] [CrossRef] [PubMed]
- Petersen, R.C. How Early Can We Diagnose Alzheimer Disease (and Is It Sufficient)? The 2017 Wartenberg Lecture. Neurology 2018, 91, 395–402. [Google Scholar] [CrossRef]
- Bottino, C.M.C.; Castro, C.C.; Gomes, R.L.E.; Buchpiguel, C.A.; Marchetti, R.L.; Neto, M.R.L. Volumetric MRI Measurements Can Differentiate Alzheimer’s Disease, Mild Cognitive Impairment, and Normal Aging. Int. Psychogeriatr. 2002, 14, 59–72. [Google Scholar] [CrossRef]
- Hillbom, M.; Saloheimo, P.; Fujioka, S.; Wszolek, Z.K.; Juvela, S.; Leone, M.A. Diagnosis and Management of Marchiafava-Bignami Disease: A Review of CT/MRI Confirmed Cases. J. Neurol. Neurosurg. Psychiatry 2014, 85, 168–173. [Google Scholar] [CrossRef]
- Lechevalier, B.; Andersson, J.C.; Morin, P. Hemispheric Disconnection Syndrome with a “Crossed Avoiding” Reaction in a Case of Marchiafava-Bignami Disease. J. Neurol. Neurosurg. Psychiatry 1977, 40, 483–497. [Google Scholar] [CrossRef][Green Version]
- Castaigne, P.; Buge, A.; Cambier, J.; Escourolle, R.; Rancurel, G. Marchiafava-Bignami disease: Anatomoclinical study of 2 cases. Rev. Neurol. 1971, 125, 179–196. [Google Scholar][Green Version]
- Tobita, M.; Mochizuki, H.; Takahashi, S.; Onodera, H.; Itoyama, Y.; Iwasaki, Y. A Case of Marchiafava-Bignami Disease with Complete Recovery: Sequential Imaging Documenting Improvement of Callosal Lesions. Tohoku J. Exp. Med. 1997, 182, 175–179. [Google Scholar] [CrossRef][Green Version]
- Walter, G.F. Marchiafava-Bignami Disease: First Case in Germany. Arch. Psychiat. Nervenkr. 1978, 226, 75–78. [Google Scholar] [CrossRef]
- Hoshino, Y.; Ueno, Y.; Shimura, H.; Miyamoto, N.; Watanabe, M.; Hattori, N.; Urabe, T. Marchiafava-Bignami Disease Mimics Motor Neuron Disease: Case Report. BMC Neurol. 2013, 13, 208. [Google Scholar] [CrossRef]
- Matsuura, H.; Shindo, K. Marchiafava–Bignami Disease. QJM Int. J. Med. 2018, 111, 755. [Google Scholar] [CrossRef] [PubMed]
- Kapogiannis, D.; Kisser, J.; Davatzikos, C.; Ferrucci, L.; Metter, J.; Resnick, S.M. Alcohol Consumption and Premotor Corpus Callosum in Older Adults. Eur. Neuropsychopharmacol. 2012, 22, 704–710. [Google Scholar] [CrossRef] [PubMed]
- Hampel, H.; Teipel, S.J.; Alexander, G.E.; Horwitz, B.; Teichberg, D.; Schapiro, M.B.; Rapoport, S.I. Corpus Callosum Atrophy Is a Possible Indicator of Region- and Cell Type-Specific Neuronal Degeneration in Alzheimer Disease: A Magnetic Resonance Imaging Analysis. Arch. Neurol. 1998, 55, 193–198. [Google Scholar] [CrossRef] [PubMed]
- Wiegmann, C.; Mick, I.; Brandl, E.J.; Heinz, A.; Gutwinski, S. Alcohol and Dementia—What Is the Link? A Systematic Review. Neuropsychiatr. Dis. Treat. 2020, 16, 87–99. [Google Scholar] [CrossRef]
- Khasawneh, R.R.; Abu-El-Rub, E.; Alzu’bi, A.; Abdelhady, G.T.; Al-Soudi, H.S. Corpus Callosum Anatomical Changes in Alzheimer Patients and the Effect of Acetylcholinesterase Inhibitors on Corpus Callosum Morphometry. PLoS ONE 2022, 17, e0269082. [Google Scholar] [CrossRef] [PubMed]
- Estruch, R.; Nicolás, J.M.; Salamero, M.; Aragón, C.; Sacanella, E.; Fernández-Solà, J.; Urbano-Márquez, A. Atrophy of the Corpus Callosum in Chronic Alcoholism. J. Neurol. Sci. 1997, 146, 145–151. [Google Scholar] [CrossRef] [PubMed]
- Yadala, S.; Luo, J.J. Marchiafava-Bignami Disease in a Nonalcoholic Diabetic Patient. Case Rep. Neurol. Med. 2013, 2013, 979383. [Google Scholar] [CrossRef]
- Pérez Álvarez, A.I.; Ramón Carbajo, C.; Morís de la Tassa, G.; Pascual Gómez, J. Marchiafava-Bignami Disease Triggered by Poorly Controlled Diabetes Mellitus. Neurologia 2016, 31, 498–500. [Google Scholar] [CrossRef]
- Fernandes, L.M.P.; Bezerra, F.R.; Monteiro, M.C.; Silva, M.L.; de Oliveira, F.R.; Lima, R.R.; Fontes-Júnior, E.A.; Maia, C.S.F. Thiamine Deficiency, Oxidative Metabolic Pathways and Ethanol-Induced Neurotoxicity: How Poor Nutrition Contributes to the Alcoholic Syndrome, as Marchiafava-Bignami Disease. Eur. J. Clin. Nutr. 2017, 71, 580–586. [Google Scholar] [CrossRef]
- Suzuki, Y.; Oishi, M.; Ogawa, K.; Kamei, S. A Patient with Marchiafava-Bignami Disease as a Complication of Diabetes Mellitus Treated Effectively with Corticosteroid. J. Clin. Neurosci. 2012, 19, 761–762. [Google Scholar] [CrossRef]
- Bachar, M.; Fatakhov, E.; Banerjee, C.; Todnem, N. Rapidly Resolving Nonalcoholic Marchiafava-Bignami Disease in the Setting of Malnourishment After Gastric Bypass Surgery. J. Investig. Med. High. Impact Case Rep. 2018, 6. [Google Scholar] [CrossRef] [PubMed]
- Cui, Y.; Zheng, L.; Wang, X.; Zhang, W.; Yuan, D.; Wei, Y. Marchiafava-Bignami Disease with Rare Etiology: A Case Report. Exp. Ther. Med. 2015, 9, 1515–1517. [Google Scholar] [CrossRef][Green Version]
- Boutboul, D.; Lidove, O.; Aguilar, C.; Klein, I.; Papo, T. Marchiafava-Bignami Disease Complicating SC Hemoglobin Disease and Plasmodium Falciparum Infection. Presse Med. 2010, 39, 990–993. [Google Scholar] [CrossRef]
- Garcia-Santibanez, R. Marchiafava-Bignami Disease Presenting as Acute Dysarthria and Ataxia. Alcohol. Alcohol. 2015, 50, 256–257. [Google Scholar] [CrossRef]
- Ceylan-Isik, A.F.; McBride, S.M.; Ren, J. Sex Difference in Alcoholism: Who Is at a Greater Risk for Development of Alcoholic Complication? Life Sci. 2010, 87, 133–138. [Google Scholar] [CrossRef]
- Khan, S.; Okuda, M.; Hasin, D.S.; Secades-Villa, R.; Keyes, K.; Lin, K.-H.; Grant, B.; Blanco, C. Gender Differences in Lifetime Alcohol Dependence: Results from the National Epidemiologic Survey on Alcohol and Related Conditions. Alcohol. Clin. Exp. Res. 2013, 37, 1696–1705. [Google Scholar] [CrossRef] [PubMed]
- Heinrich, A.; Runge, U.; Khaw, A.V. Clinicoradiologic Subtypes of Marchiafava-Bignami Disease. J. Neurol. 2004, 251, 1050–1059. [Google Scholar] [CrossRef] [PubMed]
- Wu, X.; Li, W.; Wang, Y.; Zhou, F.; Chen, X.; Xi, Z.-Q. Analysis of 21 Patients With Alcoholic Marchiafava–Bignami Disease in Chongqing, China. Can. J. Neurol. Sci. 2023, 51, 513–520. [Google Scholar] [CrossRef] [PubMed]
- Singh, S.; Wagh, V. Marchiafava Bignami Disease: A Rare Neurological Complication of Long-Term Alcohol Abuse. Cureus 2022, 14, e30863. [Google Scholar] [CrossRef]
- Rosa, A.; Demiati, M.; Cartz, L.; Mizon, J.P. Marchiafava-Bignami Disease, Syndrome of Interhemispheric Disconnection, and Right-Handed Agraphia in a Left-Hander. Arch. Neurol. 1991, 48, 986–988. [Google Scholar] [CrossRef]
- Zhang, Y.-L.; Ran, C.; Xu, C.; Li, W. Clinico-Radiologic Subtypes and Therapeutic Observation of Acute Marchiafava-Bignami Disease. Sci. Rep. 2023, 13, 18516. [Google Scholar] [CrossRef]
- Dong, X.; Bai, C.; Nao, J. Clinical and Radiological Features of Marchiafava-Bignami Disease. Medicine 2018, 97, e9626. [Google Scholar] [CrossRef]
- Parmanand, H.T. Marchiafava-Bignami Disease in Chronic Alcoholic Patient. Radiol. Case Rep. 2016, 11, 234–237. [Google Scholar] [CrossRef][Green Version]
- Castro, I.; Cardoso, J.; Esteves, C.; Figueiredo, A. Marchiafava-Bignami Disease: Report of a Subacute Case. Cureus 2023, 15, e34692. [Google Scholar] [CrossRef]
- Latt, N.; Dore, G. Thiamine in the Treatment of Wernicke Encephalopathy in Patients with Alcohol Use Disorders. Intern. Med. J. 2014, 44, 911–915. [Google Scholar] [CrossRef]
- Iliuta, F.; Manea, M.; Budisteanu, M.; Andrei, E.; Linca, F.; Rad, F.; Cergan, R.; Ciobanu, A. Magnetic Resonance Imaging of Brain Anomalies in Adult and Pediatric Schizophrenia Patients: Experience of a Romanian Tertiary Hospital. Exp. Ther. Med. 2021, 22, 1098. [Google Scholar] [CrossRef] [PubMed]
- Manea, M.; Iliuta, F.; Manea, M.; Lacau, R.; Varlam, C.-I.; Mares, A.; Ciobanu, C.; Ciobanu, A. Alien Hand Syndrome: Pathophysiology, Semiology and Differential Diagnosis with Psychiatric Disorders (Review). Biomed. Rep. 2024, 20, 74. [Google Scholar] [CrossRef] [PubMed]
- Iliuta, F.P.; Manea, M.; Mares, A.M.; Varlam, C.I.; Lacau, R.M.; Stefanescu, A.; Ciobanu, C.A.; Ciobanu, A.M.; Manea, M.C. Understanding the Patient Landscape: A Ten-Year Retrospective Examination of Electroconvulsive Therapy in Romania’s Largest Psychiatric Hospital. Biomedicines 2024, 12, 1028. [Google Scholar] [CrossRef] [PubMed]
- van de Pol, L.A.; Scheltens, P. Medial Temporal Lobe Atrophy Scores Translated to Clinical Practice: Editorial Comment on “Influence of Age, Disease Onset and ApoE4 on Visual Medial Temporal Lobe Atrophy Cut-Offs”. J. Intern. Med. 2014, 275, 331–333. [Google Scholar] [CrossRef]
- Campbell, S.; Marriott, M.; Nahmias, C.; MacQueen, G.M. Lower Hippocampal Volume in Patients Suffering From Depression: A Meta-Analysis. Am. J. Psychiatry 2004, 161, 598–607. [Google Scholar] [CrossRef]
- Zahr, N.M.; Pfefferbaum, A. Alcohol’s Effects on the Brain: Neuroimaging Results in Humans and Animal Models. Alcohol. Res. 2017, 38, 183–206. [Google Scholar]



| Assessment | Patient Score (Year 0) | Patient Score (Year 3) | Reference Range (Normal) |
|---|---|---|---|
| Mini-Mental State Examination (MMSE) | 16/30 | 9/30 | ≥27 |
| Montreal Cognitive Assessment (MoCA) | - | 4/30 | ≥26 |
| Hamilton Anxiety Rating Scale (HAM-A) | 29 | 34 | Mild < 17; Moderate 18–24; Severe ≥ 25 |
| Beck Depression Inventory (BDI) | 32 | 29 | Normal < 13; Moderate 14–28; Severe ≥ 29 |
| Clock Drawing Test (Sunderland scale) | 7/10 | 5/10 | ≥9/10 |
| Reisberg Global Deterioration Scale (GDS) | 3 | 6 | 1 = No impairment; 7 = Severe impairment |
| Global Assessment of Functioning (GAF) | 65 | 30 | 91–100 = Healthy; ≤20 = Severe impairment |
| Biomarker | Baseline (Year 0) | Year 3 | Reference Range (Normal) |
|---|---|---|---|
| Tau (pg/mL) | Normal | ↑ 877 pg/ml | <450 pg/ml |
| Phosphorylated Tau (p-Tau181, pg/mL) | Normal | ↑ 63.6 pg/ml | <61 pg/ml |
| Amyloid-beta 42 (Aβ42, ratio) | Normal | 0.94 (↓) | ≥1.0 |
| 14-3-3 Protein | Negative | - | Negative |
| Year/Timepoint | MMSE/MoCA | CSF Biomarkers | MRI Findings | Clinical Course |
|---|---|---|---|---|
| Baseline (4 years ago) | MMSE 16/30 | Tau, p-Tau, Aβ42 within normal limits; 14-3-3 negative | Temporal atrophy; two punctiform FLAIR lesions (insula + occipital horn); ex vacuo ventriculomegaly | Initial cognitive decline after vestibular neuritis; onset of disorientation and working memory/language deficits |
| Year 1 (3 years ago) | MMSE 16/30 | Not repeated | Progressive cortical/subcortical atrophy; lesions unchanged | Dependence increasing, moderate neurocognitive disorder |
| Year 2 (2 years ago) | MMSE 12/30 | Not repeated | Parietal atrophy becoming evident | Rapid decline, moderate-to-severe impairment |
| Year 3 (1 year ago) | MMSE 9/30, MoCA 4/30 | Tau ↑ 877 pg/mL; p-Tau ↑ 63.6 pg/mL; Aβ42 ↓ 0.94 | Hippocampal atrophy (MTA score 2); parietal atrophy (Koedam 2); severe corpus callosum thinning with splenium demyelination (T2/FLAIR hyperintensity, T1 hypointensity) | Severe cognitive disorder requiring permanent care; anxiety and depression prominent |
| Year 4 (Current) | Severe impairment, no formal testing | Not repeated | Global progression of atrophy; no new lesions | Severe apathy, hypersomnia, total dependence, high wandering risk |
Disclaimer/Publisher’s Note: The statements, opinions and data contained in all publications are solely those of the individual author(s) and contributor(s) and not of MDPI and/or the editor(s). MDPI and/or the editor(s) disclaim responsibility for any injury to people or property resulting from any ideas, methods, instructions or products referred to in the content. |
© 2025 by the authors. Licensee MDPI, Basel, Switzerland. This article is an open access article distributed under the terms and conditions of the Creative Commons Attribution (CC BY) license (https://creativecommons.org/licenses/by/4.0/).
Share and Cite
Iliuta, F.P.; Manea, M.; Mares, A.M.; Varlam, C.I.; Ciobanu, C.A.; Ciobanu, A.M.; Lacau, R.-M.; Manea, M.C. Unraveling Dual Cognitive Disorders: A Case Report and Literature Review on Marchiafava–Bignami Disease and Possible Alzheimer’s Disease. Diseases 2025, 13, 310. https://doi.org/10.3390/diseases13090310
Iliuta FP, Manea M, Mares AM, Varlam CI, Ciobanu CA, Ciobanu AM, Lacau R-M, Manea MC. Unraveling Dual Cognitive Disorders: A Case Report and Literature Review on Marchiafava–Bignami Disease and Possible Alzheimer’s Disease. Diseases. 2025; 13(9):310. https://doi.org/10.3390/diseases13090310
Chicago/Turabian StyleIliuta, Floris Petru, Mirela Manea, Aliss Madalina Mares, Corina Ioana Varlam, Constantin Alexandru Ciobanu, Adela Magdalena Ciobanu, Radu-Mihail Lacau, and Mihnea Costin Manea. 2025. "Unraveling Dual Cognitive Disorders: A Case Report and Literature Review on Marchiafava–Bignami Disease and Possible Alzheimer’s Disease" Diseases 13, no. 9: 310. https://doi.org/10.3390/diseases13090310
APA StyleIliuta, F. P., Manea, M., Mares, A. M., Varlam, C. I., Ciobanu, C. A., Ciobanu, A. M., Lacau, R.-M., & Manea, M. C. (2025). Unraveling Dual Cognitive Disorders: A Case Report and Literature Review on Marchiafava–Bignami Disease and Possible Alzheimer’s Disease. Diseases, 13(9), 310. https://doi.org/10.3390/diseases13090310

