An Unusual Case of Anuric Acute Kidney Injury Secondary to the Use of Low-Dose Acetazolamide as Preventive Management for Acute Mountain Sickness
Abstract
1. Introduction
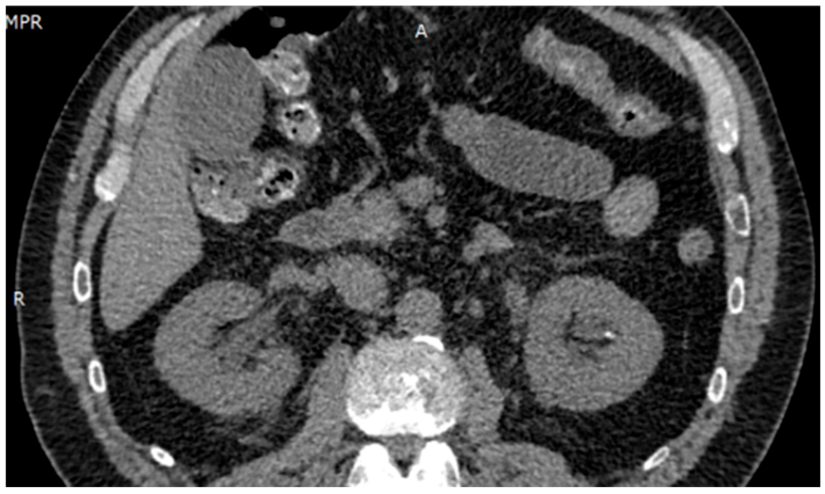
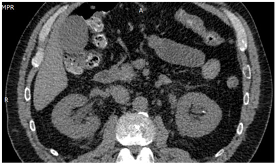
2. Case Report
3. Discussion
4. Conclusions
Author Contributions
Funding
Institutional Review Board Statement
Informed Consent Statement
Data Availability Statement
Acknowledgments
Conflicts of Interest
References
- Mincione, F.; Scozzafava, A.; Supuran, C.T. The development of topically acting carbonic anhydrase inhibitors as antiglaucoma agents. Curr. Pharm. Des. 2008, 14, 649–654. [Google Scholar] [CrossRef] [PubMed]
- Shukralla, A.A.; Dolan, E.; Delanty, N. Acetazolamide: Old drug, new evidence? Epilepsia Open 2022, 7, 378–392. [Google Scholar] [CrossRef] [PubMed]
- Schmickl, C.N.; Owens, R.L.; Orr, J.E.; Edwards, B.A.; Malhotra, A. Side effects of acetazolamide: A systematic review and meta-analysis assessing overall risk and dose dependence. BMJ Open Respir. Res. 2020, 7, e000557. [Google Scholar] [CrossRef] [PubMed]
- Paisley, K.E.; Tomson, C.R. Calcium phosphate stones during long-term acetazolamide treatment for epilepsy. Postgrad. Med. J. 1999, 75, 427–428. [Google Scholar] [CrossRef] [PubMed][Green Version]
- Liu, X.; Sii, F.; Horsburgh, J.; Shah, P. Anuric acute kidney injury due to low dose oral acetazolamide with hypercrystalluria. Clin. Exp. Ophthalmol. 2017, 45, 927–929. [Google Scholar] [CrossRef] [PubMed]
- Imray, C.; Wright, A.; Subudhi, A.; Roach, R. Acute mountain sickness: Pathophysiology, prevention, and treatment. Prog. Cardiovasc. Dis. 2010, 52, 467–484. [Google Scholar] [CrossRef] [PubMed]
- Whymper, E.; Shipton, E. (Eds.) Travels Amongst the Great Andes of the Equator; Republished; Charles Knight: London, UK, 1972; originally published in London: Murray, 1891–1892. [Google Scholar]
- Savioli, G.; Ceresa, I.F.; Gori, G.; Fumoso, F.; Gri, N.; Floris, V.; Varesi, A.; Martuscelli, E.; Marchisio, S.; Longhitano, Y.; et al. Pathophysiology and Therapy of High-Altitude Sickness: Practical Approach in Emergency and Critical Care. J. Clin. Med. 2022, 11, 3937. [Google Scholar] [CrossRef] [PubMed] [PubMed Central]
- Khwaja, A. KDIGO clinical practice guidelines for acute kidney injury. Nephron Clin. Pract. 2012, 120, c179–c184. [Google Scholar] [CrossRef] [PubMed]
- López-Romero, L.C.; Poma, S.F.; Viejo, B.I. Acute kidney injury secondary to post-phacoemulsification treatment with acetazolamide. Rev. Nefrol. Dial. Traspl. 2022, 42, 248–252. [Google Scholar]
- Higenbottam, T.; Ogg, C.S.; Saxton, H.M. Acute renal failure from the use of acetazolamide (Diamox). Postgrad. Med. J. 1978, 54, 127–128. [Google Scholar] [CrossRef] [PubMed]
- López-Menchero, R.; Albero, M.D.; Barrachina, M.D.; Álvarez, L. Fracaso renal agudo anúrico secundario a tratamiento con acetazolamida. Nefrología 2006, 26, 755–756. [Google Scholar] [PubMed]
- Neyra, J.A.; Alvarez-Maza, J.C.; Novak, J.E. Anuric Acute Kidney Injury Induced by Acute Mountain Sickness Prophylaxis With Acetazolamide. J. Investig. Med. High Impact Case Rep. 2014, 2, 2324709614530559. [Google Scholar] [CrossRef] [PubMed]
- Rossert, J.; Rondeau, E.; Jondeau, G.; Ronco, P.; Mougenot, B.; Kanfer, A.; Sraer, J.D. Tamm-Horsfall protein accumulation in glomeruli during acetazolamide-induced acute renal failure. Am. J. Nephrol. 1989, 9, 56–57. [Google Scholar] [CrossRef] [PubMed]
- Moledina, D.G.; Perazella, M.A. Treatment of Drug-Induced Acute Tubulointerstitial Nephritis: The Search for Better Evidence. Clin. J. Am. Soc. Nephrol. 2018, 13, 1785–1787. [Google Scholar] [CrossRef] [PubMed]
- Gérard, A.O.; Merino, D.; Laurain, A.; Cremoni, M.; Andreani, M.; Rocher, F.; Destere, A.; Esnault, V.L.; Sicard, A.; Drici, M.-D. Drug-Induced Tubulointerstitial Nephritis: Insights From the World Health Organization Safety Database. Kidney Int. Rep. 2022, 7, 1699–1702. [Google Scholar] [CrossRef] [PubMed]
- Abou-Mrad, R.M.; Ibrahim, M.; Osman, N.; Babu, R.S. Anuric acute kidney injury requiring dialysis following acetazolamide use for cataract surgery. Am. J. Case Rep. 2021, 22, e931319. [Google Scholar] [CrossRef] [PubMed] [PubMed Central]
- Lawson, C.; Morris, L.; Wilson, V.; Burns, B., Jr. Hemorrhagic Anuria With Acute Kidney Injury After a Single Dose of Acetazolamide: A Case Study of a Rare Side Effect. Cureus 2020, 12, e10107. [Google Scholar] [CrossRef] [PubMed]


| Day 1 | Day 2 | Day 4 | Normal Range-United | |
|---|---|---|---|---|
| Hemoglobin (Hb) | 15.8 | 14.1 | 14 | 11–15 g/dL |
| Platelet count | 289 | 259 | 257 | 150–400 × 103 µL |
| White blood cells (WBCs) | 17.6 | 17.99 | 8.35 | 5–10 × 103 µL |
| Glucose | 106 | 98 | 75–110 mg/dL | |
| Urea | 77.1 | 110 | 32.9 | 15–36 mg/dL |
| Creatinine | 5.84 | 10.6 | 1.11 | 0.7–1.2 mg/dL |
| Sodium | 141.8 | 140.7 | 135–148 mmol/L | |
| Chloride | 106.5 | 108.3 | 98–106 mEq/L | |
| Potassium | 4.55 | 4.66 | 3.5–5.3 mmol/L | |
| Ionic Calcium | 1.14 | 1.1–1.3 mmol/L | ||
| Phosphorus | 4.1 | 2.5–4.5 mg/dL | ||
| Magnesium | 2.44 | 1.6–2.3 mg/dL | ||
| pH | 7.29 | 7.28 | 7.42 | 7.35–7.45 |
| HCO3− | 13 | 13.1 | 20.7 | 21–26 mEq/L |
| pCO2 | 26.2 | 27.7 | 31.1 | 35–48 mmHg |
| pO2, | 86.6 | 83.4 | 77.6 | 83–108 mmHg |
| pO2/FIO2 | 412.2 | 397.3 | 371.3 | >300 mmHg |
| CRP | 28.03 | 79.97 | 50.42 | mg/L |
| Hematuria | 0–2 hpf | >100 hpf | <5 hpf | |
| Blood culture | Negative | Negative | ||
| Urine culture | Negative | Negative | ||
| 24 h urine total protein excretion | 950 | 42–225 mg/24 h | ||
| ANA | Negative | ≤1:80 IIF | ||
| Anti-dsDNA | Negative | <30 IU/mL | ||
| C3 | 148 | 90–180 mg/dL | ||
| C4 | 27 | 10–40 mg/dL | ||
| p-ANCA | Negative | <20 IU/mL | ||
| c-ANCA | Negative | <20 IU/mL |
Disclaimer/Publisher’s Note: The statements, opinions and data contained in all publications are solely those of the individual author(s) and contributor(s) and not of MDPI and/or the editor(s). MDPI and/or the editor(s) disclaim responsibility for any injury to people or property resulting from any ideas, methods, instructions or products referred to in the content. |
© 2025 by the authors. Licensee MDPI, Basel, Switzerland. This article is an open access article distributed under the terms and conditions of the Creative Commons Attribution (CC BY) license (https://creativecommons.org/licenses/by/4.0/).
Share and Cite
Dominguez Davalos, M.; Valenzuela Córdova, R.; Rodríguez Tudero, C.; Jiménez Mayor, E.; Castillo, C.B.; De La Flor, J.C.; Leon Montesinos, R.; León Rabanal, C.; Cieza Terrones, M.; Neyra, J.A. An Unusual Case of Anuric Acute Kidney Injury Secondary to the Use of Low-Dose Acetazolamide as Preventive Management for Acute Mountain Sickness. Diseases 2025, 13, 228. https://doi.org/10.3390/diseases13070228
Dominguez Davalos M, Valenzuela Córdova R, Rodríguez Tudero C, Jiménez Mayor E, Castillo CB, De La Flor JC, Leon Montesinos R, León Rabanal C, Cieza Terrones M, Neyra JA. An Unusual Case of Anuric Acute Kidney Injury Secondary to the Use of Low-Dose Acetazolamide as Preventive Management for Acute Mountain Sickness. Diseases. 2025; 13(7):228. https://doi.org/10.3390/diseases13070228
Chicago/Turabian StyleDominguez Davalos, Marco, Raúl Valenzuela Córdova, Celia Rodríguez Tudero, Elena Jiménez Mayor, Carlos Bedia Castillo, José C. De La Flor, Roger Leon Montesinos, Cristian León Rabanal, Michael Cieza Terrones, and Javier A. Neyra. 2025. "An Unusual Case of Anuric Acute Kidney Injury Secondary to the Use of Low-Dose Acetazolamide as Preventive Management for Acute Mountain Sickness" Diseases 13, no. 7: 228. https://doi.org/10.3390/diseases13070228
APA StyleDominguez Davalos, M., Valenzuela Córdova, R., Rodríguez Tudero, C., Jiménez Mayor, E., Castillo, C. B., De La Flor, J. C., Leon Montesinos, R., León Rabanal, C., Cieza Terrones, M., & Neyra, J. A. (2025). An Unusual Case of Anuric Acute Kidney Injury Secondary to the Use of Low-Dose Acetazolamide as Preventive Management for Acute Mountain Sickness. Diseases, 13(7), 228. https://doi.org/10.3390/diseases13070228

