Immunohistochemistry as a Reliable Tool for the Diagnosis of Cystic Echinococcosis in Patients from Sardinia, Italy—A Confirmatory Study
Abstract
1. Introduction
2. Materials and Methods
2.1. Patients
2.2. Histopathological Analysis
3. Results
3.1. Patients
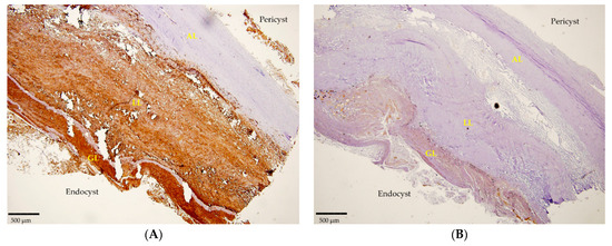
3.2. Histopathological Analysis
4. Discussion
5. Conclusions
Author Contributions
Funding
Institutional Review Board Statement
Informed Consent Statement
Data Availability Statement
Conflicts of Interest
References
- Thompson, R.C.A. Chapter Two—Biology and Systematics of Echinococcus. In Advances in Parasitology; Thompson, R.C.A., Deplazes, P., Lymbery, A.J., Eds.; Echinococcosis, Part A.; Academic Press: Cambridge, MA, USA, 2017; Volume 95, pp. 65–109. [Google Scholar]
- Nakao, M.; Lavikainen, A.; Yanagida, T.; Ito, A. Phylogenetic Systematics of the Genus Echinococcus (Cestoda: Taeniidae). Int. J. Parasitol. 2013, 43, 1017–1029. [Google Scholar] [CrossRef]
- Woolsey, I.D.; Miller, A.L. Echinococcus Granulosus Sensu Lato and Echinococcus Multilocularis: A Review. Res. Vet. Sci. 2021, 135, 517–522. [Google Scholar] [CrossRef]
- Nakao, M.; Yanagida, T.; Konyaev, S.; Lavikainen, A.; Odnokurtsev, V.A.; Zaikov, V.A.; Ito, A. Mitochondrial Phylogeny of the Genus Echinococcus (Cestoda: Taeniidae) with Emphasis on Relationships among Echinococcus Canadensis Genotypes. Parasitology 2013, 140, 1625–1636. [Google Scholar] [CrossRef]
- Deplazes, P.; Rinaldi, L.; Alvarez Rojas, C.A.; Torgerson, P.R.; Harandi, M.F.; Romig, T.; Antolova, D.; Schurer, J.M.; Lahmar, S.; Cringoli, G.; et al. Chapter Six—Global Distribution of Alveolar and Cystic Echinococcosis. In Advances in Parasitology; Thompson, R.C.A., Deplazes, P., Lymbery, A.J., Eds.; Echinococcosis, Part A.; Academic Press: Cambridge, MA, USA, 2017; Volume 95, pp. 315–493. [Google Scholar]
- Knapp, J.; Gottstein, B.; Saarma, U.; Millon, L. Taxonomy, Phylogeny and Molecular Epidemiology of Echinococcus Multilocularis: From Fundamental Knowledge to Health Ecology. Vet. Parasitol. 2015, 213, 85–91. [Google Scholar] [CrossRef] [PubMed]
- Eckert, J.; Gemmell, M.A.; Meslin, F.-X.; Pawlowski, Z.S.; World Health Organization. WHO/OIE Manual on Echinococcosis in Humans and Animals: A Public Health Problem of Global Concern; World Organization for Animal Health: Paris, France, 2001; ISBN 978-92-9044-522-7. [Google Scholar]
- Craig, P.S.; McManus, D.P.; Lightowlers, M.W.; Chabalgoity, J.A.; Garcia, H.H.; Gavidia, C.M.; Gilman, R.H.; Gonzalez, A.E.; Lorca, M.; Naquira, C.; et al. Prevention and Control of Cystic Echinococcosis. Lancet Infect. Dis. 2007, 7, 385–394. [Google Scholar] [CrossRef]
- Gessese, A.T. Review on Epidemiology and Public Health Significance of Hydatidosis. Vet. Med. Int. 2020, 2020, 8859116. [Google Scholar] [CrossRef] [PubMed]
- Casulli, A. Recognising the Substantial Burden of Neglected Pandemics Cystic and Alveolar Echinococcosis. Lancet Glob. Health 2020, 8, e470–e471. [Google Scholar] [CrossRef]
- Brundu, D.; Piseddu, T.; Stegel, G.; Masu, G.; Ledda, S.; Masala, G. Retrospective Study of Human Cystic Echinococcosis in Italy Based on the Analysis of Hospital Discharge Records between 2001 and 2012. Acta Trop. 2014, 140, 91–96. [Google Scholar] [CrossRef] [PubMed]
- Piseddu, T.; Brundu, D.; Stegel, G.; Loi, F.; Rolesu, S.; Masu, G.; Ledda, S.; Masala, G. The Disease Burden of Human Cystic Echinococcosis Based on HDRs from 2001 to 2014 in Italy. PLoS Neglected Trop. Dis. 2017, 11, e0005771. [Google Scholar] [CrossRef]
- Eckert, J.; Deplazes, P.; Kern, P. Alveolar Echinococcosis (Echinococcus multilocularis): And Neotropical Forms of Echinococcosis (Echinococcus vogeli and Echinococcus oligarthrus). In Oxford Textbook of Zoonoses: Biology, Clinical Practice, and Public Health Control; Palmer, S.R., Soulsby, L., Torgerson, P., Brown, D.W.G., Eds.; Oxford University Press: Oxford, UK, 2011; ISBN 978-0-19-857002-8. [Google Scholar]
- Tamarozzi, F.; Ronzoni, N.; Degani, M.; Oliboni, E.; Tappe, D.; Gruener, B.; Gobbi, F. Confirmed Autochthonous Case of Human Alveolar Echinococcosis, Italy, 2023. Emerg Infect. Dis. 2024, 30, 350–353. [Google Scholar] [CrossRef] [PubMed]
- Moro, P.; Schantz, P. Echinococcus Species (Agents of Cystic, Alveolar, and Polycystic Echinococcosis). In Principles and Practice of Pediatric Infectious Diseases; Elsevier: Amsterdam, The Netherlands, 2012; pp. 1356–1362.e2. ISBN 978-1-4377-2702-9. [Google Scholar]
- Moro, P.; Schantz, P.M. Echinococcosis: A Review. Int. J. Infect. Dis. 2009, 13, 125–133. [Google Scholar] [CrossRef] [PubMed]
- Eckert, J.; Deplazes, P. Biological, Epidemiological, and Clinical Aspects of Echinococcosis, a Zoonosis of Increasing Concern. Clin. Microbiol. Rev. 2004, 17, 107–135. [Google Scholar] [CrossRef]
- Kołodziej-Sobocińska, M. Factors Affecting the Spread of Parasites in Populations of Wild European Terrestrial Mammals. Mamm. Res. 2019, 64, 301–318. [Google Scholar] [CrossRef]
- Bhutani, N.; Kajal, P. Hepatic Echinococcosis: A Review. Ann. Med. Surg. 2018, 36, 99–105. [Google Scholar] [CrossRef] [PubMed]
- Ahn, C.-S.; Kim, J.-G.; Han, X.; Kang, I.; Kong, Y. Comparison of Echinococcus Multilocularis and Echinococcus Granulosus Hydatid Fluid Proteome Provides Molecular Strategies for Specialized Host-Parasite Interactions. Oncotarget 2017, 8, 97009–97024. [Google Scholar] [CrossRef]
- Kinkar, L.; Laurimäe, T.; Sharbatkhori, M.; Mirhendi, H.; Kia, E.B.; Ponce-Gordo, F.; Andresiuk, V.; Simsek, S.; Lavikainen, A.; Irshadullah, M.; et al. New Mitogenome and Nuclear Evidence on the Phylogeny and Taxonomy of the Highly Zoonotic Tapeworm Echinococcus Granulosus Sensu Stricto. Infect. Genet. Evol. 2017, 52, 52–58. [Google Scholar] [CrossRef]
- Romig, T.; Ebi, D.; Wassermann, M. Taxonomy and Molecular Epidemiology of Echinococcus Granulosus Sensu Lato. Vet. Parasitol. 2015, 213, 76–84. [Google Scholar] [CrossRef]
- Nakao, M.; Xiao, N.; Okamoto, M.; Yanagida, T.; Sako, Y.; Ito, A. Geographic Pattern of Genetic Variation in the Fox Tapeworm Echinococcus Multilocularis. Parasitol. Int. 2009, 58, 384–389. [Google Scholar] [CrossRef]
- Mihmanli, M.; Idiz, U.O.; Kaya, C.; Demir, U.; Bostanci, O.; Omeroglu, S.; Bozkurt, E. Current Status of Diagnosis and Treatment of Hepatic Echinococcosis. World J. Hepatol. 2016, 8, 1169–1181. [Google Scholar] [CrossRef] [PubMed]
- Alvi, M.A.; Ali, R.M.A.; Khan, S.; Saqib, M.; Qamar, W.; Li, L.; Fu, B.-Q.; Yan, H.-B.; Jia, W.-Z. Past and Present of Diagnosis of Echinococcosis: A Review (1999–2021). Acta Trop. 2023, 243, 106925. [Google Scholar] [CrossRef]
- Brunetti, E.; Kern, P.; Vuitton, D.A. Expert Consensus for the Diagnosis and Treatment of Cystic and Alveolar Echinococcosis in Humans. Acta Tropica 2010, 114, 1–16. [Google Scholar] [CrossRef] [PubMed]
- Wang, J.; Gao, C.; Steverding, D.; Wang, X.; Shi, F.; Yang, Y. Differential Diagnosis of Cystic and Alveolar Echinococcosis Using an Immunochromatographic Test Based on the Detection of Specific Antibodies. Parasitol. Res. 2013, 112, 3627–3633. [Google Scholar] [CrossRef]
- Krige, J.E.J.; Beckingham, I.J. Liver Abscesses and Hydatid Disease. BMJ 2001, 322, 537–540. [Google Scholar] [CrossRef] [PubMed]
- Peruzzu, A.; Mastrandrea, S.; Fancellu, A.; Bonelli, P.; Muehlethaler, K.; Masala, G.; Santucciu, C. Comparison and Evaluation of Analytic and Diagnostic Performances of Four Commercial Kits for the Detection of Antibodies against Echinococcus Granulosus and Multilocularis in Human Sera. Comp. Immunol. Microbiol. Infect. Dis. 2022, 86, 101816. [Google Scholar] [CrossRef]
- Maleki, F.; Akhlaghi, L.; Tabatabaie, F. Evaluation of Hydatid Cyst Antigen for Serological Diagnosis. Med. J. Islam. Repub. Iran. 2023, 37, 87. [Google Scholar] [CrossRef]
- Kronenberg, P.A.; Deibel, A.; Gottstein, B.; Grimm, F.; Müllhaupt, B.; Meyer Zu Schwabedissen, C.; Aitbaev, S.; Omorov, R.A.; Abdykerimov, K.K.; Minbaeva, G.; et al. Serological Assays for Alveolar and Cystic Echinococcosis-A Comparative Multi-Test Study in Switzerland and Kyrgyzstan. Pathogens 2022, 11, 518. [Google Scholar] [CrossRef]
- Brunetti, E.; Tamarozzi, F.; Macpherson, C.; Filice, C.; Piontek, M.S.; Kabaalioglu, A.; Dong, Y.; Atkinson, N.; Richter, J.; Schreiber-Dietrich, D.; et al. Ultrasound and Cystic Echinococcosis. Ultrasound Int. Open 2018, 4, E70–E78. [Google Scholar] [CrossRef] [PubMed]
- Bonnet, E.; Moutet, M.-L.; Baulard, C.; Bacq-Daian, D.; Sandron, F.; Mesrob, L.; Fin, B.; Delépine, M.; Palomares, M.-A.; Jubin, C.; et al. Performance Comparison of Three DNA Extraction Kits on Human Whole-Exome Data from Formalin-Fixed Paraffin-Embedded Normal and Tumor Samples. PLoS ONE 2018, 13, e0195471. [Google Scholar] [CrossRef]
- Knapp, J.; Lallemand, S.; Monnien, F.; Felix, S.; Valmary-Degano, S.; Courquet, S.; Demonmerot, F.; Heyd, B.; Turco, C.; Doussot, A.; et al. Molecular Diagnosis of Alveolar Echinococcosis in Patients Based on Frozen and Formalin-Fixed Paraffin-Embedded Tissue Samples. Parasite 2022, 29, 4. [Google Scholar] [CrossRef]
- Reinehr, M.; Micheloud, C.; Grimm, F.; Kronenberg, P.A.; Grimm, J.; Beck, A.; Nell, J.; Meyer zu Schwabedissen, C.; Furrer, E.; Müllhaupt, B.; et al. Pathology of Echinococcosis: A Morphologic and Immunohistochemical Study on 138 Specimens With Focus on the Differential Diagnosis Between Cystic and Alveolar Echinococcosis. Am. J. Surg. Pathol. 2020, 44, 43. [Google Scholar] [CrossRef]
- Deplazes, P.; Gottstein, B. A Monoclonal Antibody against Echinococcus Multilocularis Em2 Antigen. Parasitology 1991, 103, 41–49. [Google Scholar] [CrossRef] [PubMed]
- Kronenberg, P.A.; Reinehr, M.; Eichenberger, R.M.; Hasler, S.; Laurimäe, T.; Weber, A.; Deibel, A.; Müllhaupt, B.; Gottstein, B.; Müller, N.; et al. Monoclonal Antibody-Based Localization of Major Diagnostic Antigens in Metacestode Tissue, Excretory/Secretory Products, and Extracellular Vesicles of Echinococcus Species. Front. Cell. Infect. Microbiol. 2023, 13, 1162530. [Google Scholar] [CrossRef] [PubMed]
- Santucciu, C.; Bonelli, P.; Peruzzu, A.; Fancellu, A.; Farà, A.; Mastrandrea, S.; Drocchi, G.; Cossu, A.; Profili, S.; Porcu, A.; et al. Genetic Characterization of Echinococcus Granulosus Sensu Stricto Isolated from Human Cysts from Sardinia, Italy. Diseases 2023, 11, 91. [Google Scholar] [CrossRef]
- Magaki, S.; Hojat, S.A.; Wei, B.; So, A.; Yong, W.H. An Introduction to the Performance of Immunohistochemistry. Methods Mol. Biol. 2019, 1897, 289–298. [Google Scholar] [CrossRef] [PubMed]
- Çobanoğlu, U.; Aşker, S.; Mergan, D.; Sayır, F.; Bilici, S.; Melek, M. Diagnostic Dilemma in Hydatid Cysts: Tumor-Mimicking Hydatid Cysts. Turk. Thorac. J. 2015, 16, 180–184. [Google Scholar] [CrossRef] [PubMed]
- Tamarozzi, F.; Longoni, S.S.; Vola, A.; Degani, M.; Tais, S.; Rizzi, E.; Prato, M.; Scarso, S.; Silva, R.; Brunetti, E.; et al. Evaluation of Nine Commercial Serological Tests for the Diagnosis of Human Hepatic Cyst Echinococcosis and the Differential Diagnosis with Other Focal Liver Lesions: A Diagnostic Accuracy Study. Diagnostics 2021, 11, 167. [Google Scholar] [CrossRef] [PubMed]
- Barth, T.F.E.; Herrmann, T.S.; Tappe, D.; Stark, L.; Grüner, B.; Buttenschoen, K.; Hillenbrand, A.; Juchems, M.; Henne-Bruns, D.; Kern, P.; et al. Sensitive and Specific Immunohistochemical Diagnosis of Human Alveolar Echinococcosis with the Monoclonal Antibody Em2G11. PLoS Negl. Trop. Dis. 2012, 6, e1877. [Google Scholar] [CrossRef] [PubMed]
- Barth, T.F.E.; Casulli, A. Morphological Characteristics of Alveolar and Cystic Echinococcosis Lesions in Human Liver and Bone. Pathogens 2021, 10, 1326. [Google Scholar] [CrossRef]
- Romig, T. Epidemiology of Echinococcosis. Langenbecks Arch. Surg. 2003, 388, 209–217. [Google Scholar] [CrossRef]


| Cyst/ Patients | Stage * | Serology * ELISA/IB | Molecular Analysis | Parasitological Examination * | Histology * H/E | Immunohistochemistry | ||
|---|---|---|---|---|---|---|---|---|
| PCR cox1/nad5* | Genotyping * | MabEm2G11 | MabEmG3 | |||||
| 1 | CE2 | positive | P | G1 | parasitic features | P | N | P | 
| 2 | CE2 | positive | P | G1 | parasitic features | P | N | P | 
| 3 | CE2 | positive | P | G1 | parasitic features | P | N | P | 
| 4 | CE2 | positive | P | G3 | parasitic features | P | N | P | 
| 5 | CE3b | positive | P | G1 | parasitic features | P | N | P | 
| 6 | CE3b | positive | P | G1 | parasitic features | P | N | P | 
| 7 | CE3b | positive | P | G3 | parasitic features | P | N | P | 
| 8 | CE3b | positive | P | G1 | parasitic features | P | N | P | 
| 9 | CE3b | positive | P | G1 | parasitic features | P | N | P | 
| 10 | N.D. | positive | P | G1 | parasitic features | P | N | P | 
| 11 | CE4 | positive | P | G1 | parasitic features | P | N | P | 
| 12 | CE5 | positive | N | N.D. | parasitic features | P | N | P | 
| 13 | CE3b | negative | N | N.D. | non-parasitic source | N | N | N | 
| Disclaimer/Publisher’s Note: The statements, opinions and data contained in all publications are solely those of the individual author(s) and contributor(s) and not of MDPI and/or the editor(s). MDPI and/or the editor(s) disclaim responsibility for any injury to people or property resulting from any ideas, methods, instructions or products referred to in the content. | 
© 2024 by the authors. Licensee MDPI, Basel, Switzerland. This article is an open access article distributed under the terms and conditions of the Creative Commons Attribution (CC BY) license (https://creativecommons.org/licenses/by/4.0/).
Share and Cite
Santucciu, C.; Peruzzu, A.; Fara, A.M.; Cossu, A.; Kronenberg, P.A.; Deplazes, P.; Masala, G. Immunohistochemistry as a Reliable Tool for the Diagnosis of Cystic Echinococcosis in Patients from Sardinia, Italy—A Confirmatory Study. Diseases 2024, 12, 84. https://doi.org/10.3390/diseases12050084
Santucciu C, Peruzzu A, Fara AM, Cossu A, Kronenberg PA, Deplazes P, Masala G. Immunohistochemistry as a Reliable Tool for the Diagnosis of Cystic Echinococcosis in Patients from Sardinia, Italy—A Confirmatory Study. Diseases. 2024; 12(5):84. https://doi.org/10.3390/diseases12050084
Chicago/Turabian StyleSantucciu, Cinzia, Angela Peruzzu, Antonella Maria Fara, Antonio Cossu, Philipp A. Kronenberg, Peter Deplazes, and Giovanna Masala. 2024. "Immunohistochemistry as a Reliable Tool for the Diagnosis of Cystic Echinococcosis in Patients from Sardinia, Italy—A Confirmatory Study" Diseases 12, no. 5: 84. https://doi.org/10.3390/diseases12050084
APA StyleSantucciu, C., Peruzzu, A., Fara, A. M., Cossu, A., Kronenberg, P. A., Deplazes, P., & Masala, G. (2024). Immunohistochemistry as a Reliable Tool for the Diagnosis of Cystic Echinococcosis in Patients from Sardinia, Italy—A Confirmatory Study. Diseases, 12(5), 84. https://doi.org/10.3390/diseases12050084
 
        


 
       