Impact Effect of Methyl Tertiary-Butyl Ether “Twelve Months Vapor Inhalation Study in Rats”
Simple Summary
Abstract
1. Introduction
2. Materials and Methods
2.1. Animals
2.2. Blood and Tissue Samples
2.3. Sodium Dodecyl Sulfate-Polyacrylamide Gel Electrophoresis
2.4. LC-MS/MS Analysis
3. Results
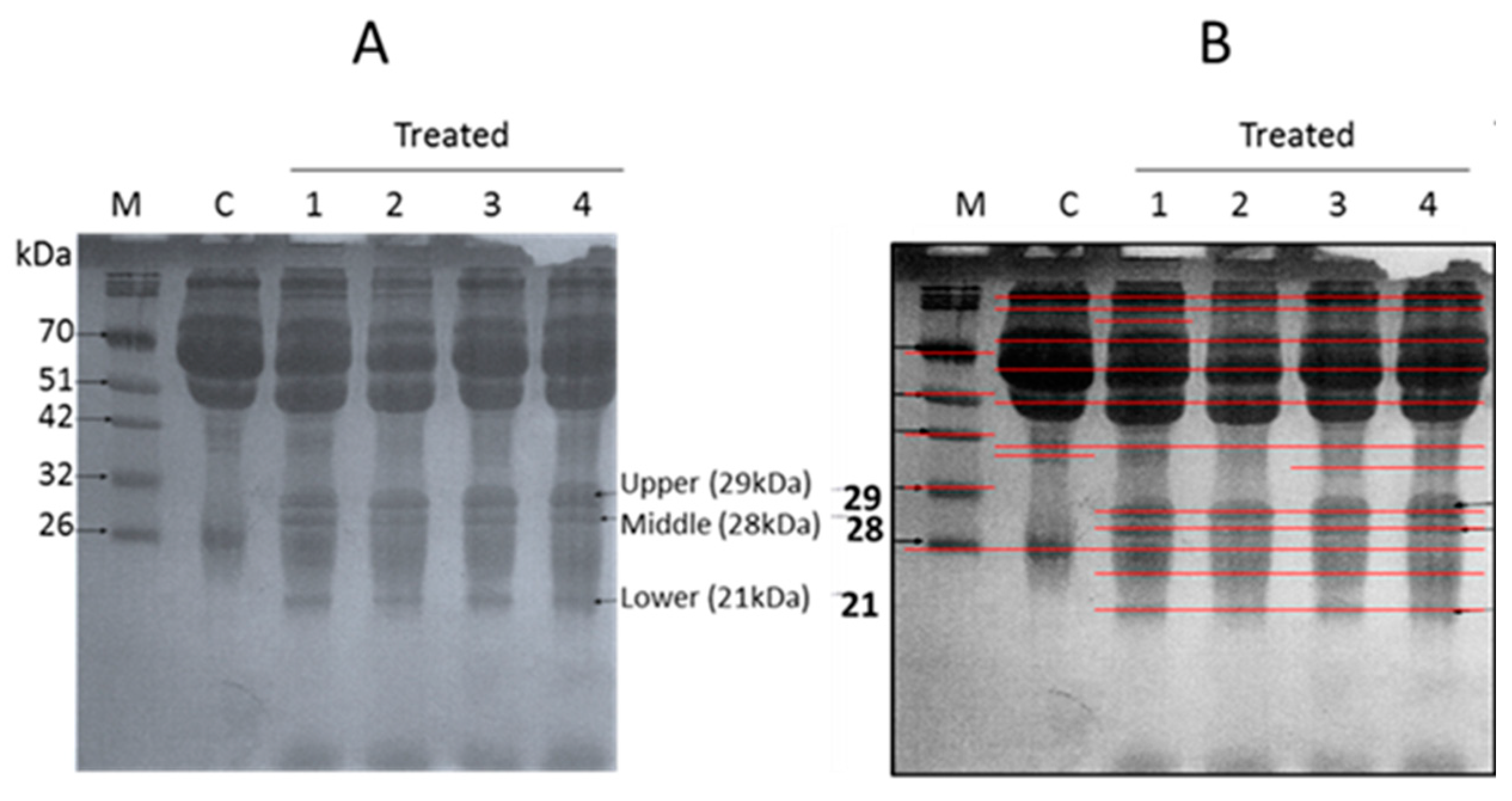
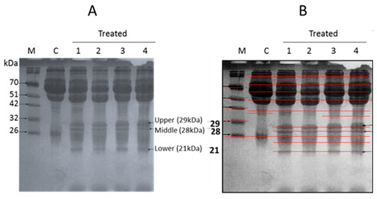
3.1. SDS-PAGE
3.2. LC-MS/MS Analysis
4. Discussion
5. Conclusions
Author Contributions
Funding
Acknowledgments
Conflicts of Interest
Data Availability
Abbreviations
| AA | air alveoli |
| AC | Acini formation |
| Ad | Tunica adventitia |
| AG | Adenoma |
| BC | Blood capillary |
| Br | bronchiole |
| BV | Blood vessel (s) |
| CA | Collapsed air alveoli |
| CB | Congested blood vessel |
| CC | and blood capillaries |
| CF | Collagen fibers |
| Ch | Chondroclasts |
| CT | Connective tissue (s) |
| DA | Dilated air alveoli |
| Da | Degenerated air alveoli |
| DB | Dilated bronchiole |
| Dc | Deciliation in the RE |
| DE | Degeneration |
| Df | Deformation in the HC |
| DH | Diffuse hemorrhage |
| Di | Increase the diameter HC |
| DHC | Degenerated hyaline cartilage |
| Ds | Desquamation |
| DT | Degenerated thyroid follicles |
| DV | Dilated blood vessel |
| EC | Enlarged hyaline cartilage |
| FD | Fatty degeneration |
| Em | Emphysema |
| Epi | Epithelialization |
| F | Fibrocytes |
| FC | Foam cells |
| FE | Flattened epithelium |
| Fi | Fibroid degeneration |
| HA | Hypertrophied artery |
| HC | Hyaline cartilage |
| HD | Hydropic degeneration |
| HM | Hypertrophy of tunica media |
| Hp | Hyperplasia |
| IA | Inter-alveolar septum |
| If | Inflammatory cells infiltrations |
| LA | lung adenoma |
| LH | Lymphoid hyperplasia |
| LP | Lamina propria |
| Lu | Tracheal lumen |
| M | Monocytic infiltration |
| MF | Mitotic figure |
| Mp | Metaplasia |
| Mu | Mucosal layer |
| MUl | Mucosal ulceration |
| Ne | Necrosis |
| Nc | Necrotic epithelial cells |
| Oe | Edema |
| P | Plasma cells |
| Pa | Perialveolar region |
| Pb | Peribronchiolar region |
| PC | Protrusion in HC |
| Pe | Perichondrium |
| PF | Polyp’s formation |
| PeT | Perichondrial thickening |
| Pv | Perivascular region |
| RE | Respiratory epithelium |
| SA | Septal destruction of air alveoli |
| SD | Septal destruction of air alveoli |
| SE | Severe emphysema |
| St | Steatosis |
| TA | Tracheal adenoma |
| Ta | Tunica adventitia |
| Th | Thickening |
| TI | Tunica intima |
| TM | Tunica media |
References
- Dodd, D.; Willson, G.; Parkinson, H.; Bermudez, E. Two-year drinking water carcinogenicity study of methyl tertiary-butyl ether (MTBE) in Wistar rats. J. Appl. Toxicol. 2013, 33, 593–606. [Google Scholar] [CrossRef]
- Komex, International Ltd. Water Quality Guidelines for Methyl Tertiary Butyl Ether (MTBE); British Colombia Ministry of Environment, Lands & Parks Water Management Branch: Alberta, BC, Canada, 2001. [Google Scholar]
- Johnson, R.; Pankow, J.; Bender, D.; Price, C.; Zogorski, J. MTBE-To what extent will past releases contaminate community water supply wells. Environ. Sci. Technol. 2000, 34, 210A–217A. [Google Scholar] [CrossRef] [PubMed]
- White, M.C.; Johnson, C.A.; Ashley, D.L.; Buchta, T.M.; Pelletier, D.J. Exposure to methyl tertiary-butyl ether from oxygenated gasoline in Stamford, Connecticut. Arch. Environ. Health 1995, 50, 183–189. [Google Scholar] [CrossRef] [PubMed]
- Fowler, D.R. An Analysis and Comparison of Methyl Tertiary Butyl Ether’s (MTBE’S) Use as a Fuel Oxygenate against the Tenets of the Precautionary Principle. Master’s Thesis, The Evergreen State College, Olympia, WA, USA, March 2011. [Google Scholar]
- Chun, J.S.; Kintigh, W.J. Methyl Tertiary-butyl Ether; Twenty Eight Day Vapor Inhalation Study in Rats and Mice; Laboratory project ID93N1241; Bushy Run Research Center: Rxport, PA, USA, 1993.
- Moser, G.J.; Wong, B.A.; Wolf, D.C.; Fransson-Steen, R.L. Goldsworthy TL Methyl tertiary butyl ether lacks tumor-promoting activity in N nitrosodiethylamine-initiated B6C3F1 female mouse liver. Carcinogenesis 1996, 17, 2753–2761. [Google Scholar] [CrossRef] [PubMed]
- Clary, J.J. Methyl tert butyl ether systemic toxicity. Risk Anal. 1997, 17, 661–672. [Google Scholar] [CrossRef] [PubMed]
- Prescott-Mathews, J.S.; Wolf, D.C.; Wong, B.A.; Borghoff, S.J. Methyltert-Butyl Ether Causes α2u-Globulin Nephropathy and Enhanced Renal Cell Proliferation in Male Fischer-344 Rats. Toxicol. Appl. Pharm. 1997, 143, 301–314. [Google Scholar] [CrossRef] [PubMed]
- Luo, L.; Lin, Z.; Zeng, X.; Huang, H. Biomarkers of liver-cancer discovered from the male patients crude serum without depletion of high abundance proteins. Cancer Rep. Rev. 2018, 2, 1–5. [Google Scholar] [CrossRef]
- Kenneth, T.; Oakland, C.A.; Jacqueline, M. Reassessment of MTBE Cancer Potency Considering Modes of Action for MTBE and its Metabolites. Crit. Rev. Toxicol. 2015, 45, 1–56. [Google Scholar]
- Knight, S.B.; Phil, A.; Crosbie, P.A.; Balata, H.; Chudziak, J.; Hussell, T.; Dive, C. Progress and prospects of early detection in lung cancer. Open Biol. 2017, 7, 170070. [Google Scholar] [CrossRef]
- Gildea, T.R.; Byfield, S.D.; Hogarth, D.K.; Wilson, D.S.; Curtis, C.; Quinn, C.C. A retrospective analysis of delays in the diagnosis of lung cancer and associated costs. Clin. Outcomes Res. 2017, 9, 261–269. [Google Scholar] [CrossRef]
- Tothova, C.; Nagy, O.; Kovac, G. Serum proteins and their diagnostic utility in veterinary medicine: A review. Vet. Med. 2016, 619, 475–496. [Google Scholar] [CrossRef]
- Naz, S.; Ahmed, S.; Ghafoor, F.; Akhtar, M. Qualitative analysis of serum protein in bengin prostatic hyperplasia separated by SDS-PAGE. ARPN J. Agric. Biol. Sci. 2009, 4, 24–28. [Google Scholar]
- Pahl, P.; Berger, R.; Hart, I.; Chae, H.Z.; Rhee, S.G.; Patterson, D. Localization of TDPX1, a human homologue of the yeast thioredoxin-dependent peroxide reductase gene (TPX), to chromosome 13q12. Genomics 1995, 26, 602–606. [Google Scholar] [CrossRef]
- Badr, A.A.; Saadat, I.; Saadat, M. Study of liver function and expression of some detoxification genes in the male rats exposed to methyl-tertiary butyl ether. Egypt. J. Med. Hum. Genet. 2016, 17, 325–329. [Google Scholar] [CrossRef]
- Buckley, T.J.; Prah, J.D.; Ashley, D.; Zweidinger, R.A.; Wallace, L.A. Body burden measurements and models to assess inhalation exposure to methyl tertiary-butyl ether (MTBE). J. Air Waste Manag. Assoc. 1997, 47, 739–752. [Google Scholar] [CrossRef]
- Bancroft, J.D.; Gamble, M. Theory and Practice of Histological Techniques, 6th ed.; Churchill Livingstone, Elsevier: Guangzhou, China, 2008. [Google Scholar]
- Laemmli, U.K. Cleavage of structural proteins during the assembly of the head of bacteriophage T4. Nature 1970, 227, 680–685. [Google Scholar] [CrossRef]
- Jung, S.Y.; Choi, J.M.; Rousseaux, M.W.; Malovannaya, A.; Kim, J.J.; Kutzera, J.; Wang, Y.; Huang, Y.; Zhu, W.; Maity, S.; et al. An Anatomically Resolved Mouse Brain Proteome Reveals Parkinson Disease-relevant Pathways. Mol. Cell. Proteom. 2017, 16, 581–593. [Google Scholar] [CrossRef]
- Klee, E.W.; Bondar, O.P.; Goodmanson, K.G.; Dyer, R.B.; Erdogan, S.; Bergstralh, E.J.; Bergen, H.R.; Sebo, T.J.; Klee, G.G. Candidate Serum Biomarkers for Prostate Adenocarcinoma Identified by mRNA Differences in Prostate Tissue and Verified with Protein Measurements in Tissue and Blood. Clin. Chem. 2012, 58, 599–609. [Google Scholar] [CrossRef]
- Sobolesky, P.; Parry, C.; Boxall, B.; Wells, R.; Venn-Watson, S.; Janech, M.G. Proteomic Analysis of Non-depleted Serum Proteins from Bottlenose Dolphins Uncovers a High Vanin-1 Phenotype. Sci. Rep. 2016, 6, 33879. [Google Scholar] [CrossRef]
- Idrees, D.; Kumar, S.; Rehman, S.; Gourinath, S.; Islam, A.; Ahmad, F.; Hassan, I. Cloning, expression, purification and characterization of human mitochondrial carbonic anhydrase VA. 3 Biotech. 2016, 6, 16. [Google Scholar] [CrossRef]
- Stadie, W.; O’Brien, H. The catalytic hydration of carbon dioxide and dehydration of carbonic acid by enzyme isolated from red blood cells. J. Biol. Chem. 1933, 103, 521–529. [Google Scholar]
- Sakurai, H.; Hada, M.; Oyama, T. Nodular lymphoid hyperplasia of the lung: A very rare disease entity. Ann. Thorac. Surg. 2007, 83, 2197–2199. [Google Scholar] [CrossRef] [PubMed]
- Supuran, C.T. How many carbonic anhydrase inhibition mechanisms exist. J. Enzyme Inhib. Med. Chem. 2016, 31, 345–360. [Google Scholar] [CrossRef] [PubMed]
- Swietach, P.; Vaughan-Jones, R.D.; Harris, A.L.; Hulikova, A. The chemistry, physiology and pathology of pH in cancer. Philos. Trans. R. Soc. B Biol. Sci. 2014, 369, 1638–1644. [Google Scholar] [CrossRef] [PubMed]
- Mahon, B.P.; Pinard, M.A.; McKenna, R. Targeting carbonic anhydrase IX activity and expression. Molecules 2015, 20, 2323–2348. [Google Scholar] [CrossRef] [PubMed]
- Uda, N.R.; Seibert, V.; Stenner-Liewen, F.; Müller, P.; Herzig, P. Esterase activity of carbonic anhydrases serves as surrogate for selecting antibodies blocking hydratase activity. J. Enzym. Inhib. Med. Chem. 2015, 30, 955–960. [Google Scholar] [CrossRef]
- Jamali, S.; Klier, M.; Ames, S.; Felipe, B.L.; McKenna, R. Hypoxia-induced carbonic anhydrase IX facilitates lactate flux in human breast cancer cells by non-catalytic function. Sci. Rep. 2015, 5, 13605. [Google Scholar] [CrossRef]
- Uhlen, M.; Zhang, C.; Lee, S.; Sjöstedt, E.; Fagerberg, L. A pathology atlas of the human cancer transcriptome. Science 2017, 357, eaan2507. [Google Scholar] [CrossRef]
- Wang, D.; Lu, X.; Zhang, X.; Li, Z.; Li, C. Carbonic anhydrase 1 is a promising biomarker for early detection of non-small cell lung cancer. Tumor Biol. 2016, 37, 553–559. [Google Scholar] [CrossRef]
- Zhou, R.; Huang, W.; Yao, Y.; Wang, Y.; Li, Z. CA II, A potential biomarker by proteomic analysis, exerts significant inhibitory effect on the growth of colorectal cancer cells. Int. J. Oncol. 2013, 43, 611–621. [Google Scholar] [CrossRef]
- Nuovo, G.J.; Schmittgen, T.D. Benign Metastasizing Leiomyoma of the Lung. Diagn. Mol. Pathol. 2008, 17, 145–150. [Google Scholar] [CrossRef]
- Bird, M.G.; Burleigh-Flayer, H.D.; Chun, J.S.; Douglasi, F.; Kneiss, J.J.; Andrews, L.S. Oncogenicity Studies of Inhaled Methyl Tertiary-butyl Ether (MTBE) in CD-i Mice and F-344 Rats. J. Appl. Toxicol. 1997, 17, 45–55. [Google Scholar] [CrossRef]
- Gabella, G. Hypertrophy of visceral smooth muscle. Anat. Embryol. 1990, 182, 409–424. [Google Scholar] [CrossRef] [PubMed]
- Li, X.C.; Miyasaka, M.; Issekutz, T.B. Blood Monocyte Migration to Acute Lung Inflammation Involves Both CD11/CD18 and Very Late Activation Antigen-4-Dependent and Independent Pathways. J. Immunol. 1998, 161, 6258–6264. [Google Scholar] [PubMed]
- Azoulay, É.; Fieux, F.; Moreau, D.; Thiery, G.; Rousselot, P.H. Acute Monocytic Leukemia Presenting as Acute Respiratory Failure. Am. J. Respir. Crit. Care Med. 2003, 167, 1329–1333. [Google Scholar] [CrossRef] [PubMed]
- Romero, F.; Shah, D.; Duong, M.; Penn, R.B.; Fessler, M.B.; Madenspacher, J. A pneumocyte-macrophage paracrine lipid axis drives the lung toward fibrosis. Am. J. Respir. Cell Mol. Biol. 2015, 53, 74–86. [Google Scholar] [CrossRef] [PubMed]
- Burns, K.M.; Melnick, R.L. MTBE: Recent carcinogenicity studies. Int. J. Occup. Environ. Health 2012, 18, 66–68. [Google Scholar] [CrossRef]
- Belpoggi, F.; Soffritti, M.; Maltoni, C. Immunoblastic lymphomas in Sprague-Dawley rats following exposure to the gasoline oxygenated additives methyl tertiary-butyl-ether (MTBE) and ethyl-tertiary-butyl-ether (ETBE): Early observations on their natural history. Eur. J. Oncol. 1999, 4, 563–572. [Google Scholar]





| Experimental Design (Four Groups, n = 15) | |||
|---|---|---|---|
| Rat Groups: | MTBE Vapor Dose | Inhalation Time | Experimental Period |
| G1: control | Non exposed | Non exposed | 0–12 months |
| G2: expose to | 60 µL/day | 3 min | 0–3 months |
| G3: expose to | 0–6 months | ||
| G4: expose to | 0–12 months | ||
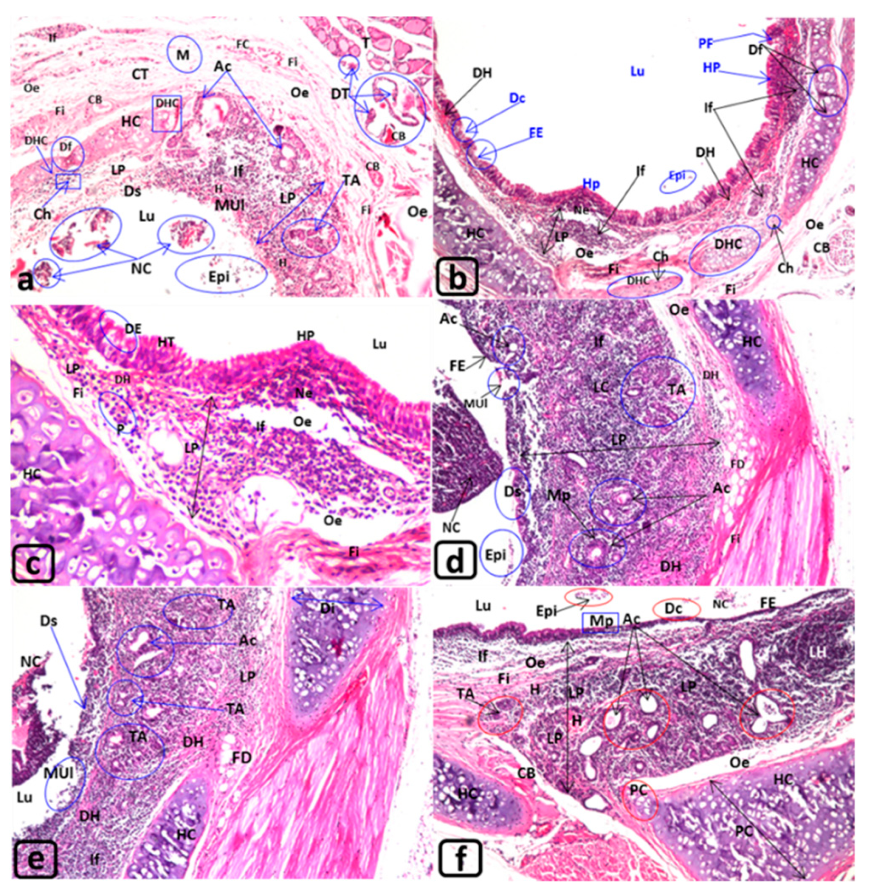
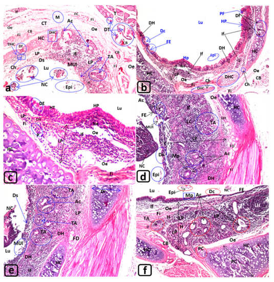
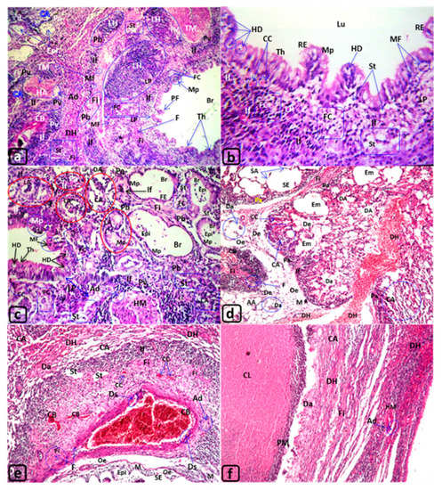
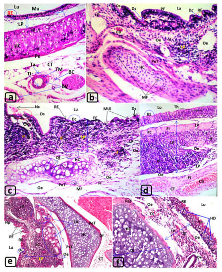
| Trachea of Rats Exposed to MTBE Vapor Inhalation 60 µL/3 min/day for 3, 6, or 12 Months | |||||
|---|---|---|---|---|---|
| Groups | G1 | G2 | G3 | G4 | |
| MTBE exposure | Non exposed | MTBE 60 µL/3 min/day/for 3 months | MTBE 60 µL/3 min/day/for 6 months | MTBE 60 µL/3 min/day/for 12 months | |
| Results | |||||
| Figures | (Figure 1a) | (Figure 1b–d) | (Figure 1e,f) | (Figure 2a–f) | |
| Tracheal lumen “Lu” | Clear | - | - | Epithelialization Epi | |
| Necrotic cells “NC” | |||||
| Mucosal layer: Lining “respiratory “epithelia “RE” | Normal | Ulceration “MUl” | Desquamation “Ds” | ||
| Deciliation “Dc” | Flattened “FE” | ||||
| Polyp formation PF | Degenerative epithelium “DE” | ||||
| --- | Hydropic degeneration “HD” | ||||
| Hyperplasia “Hp” | |||||
| Metaplasia “Mp” | |||||
| Lamina propria “LP” | Normal | --- | Tracheal adenomas “TA” | ||
| Inflammatory cells “IF”, | |||||
| Congested blood vessels “CB”, | |||||
| edema “Oe”, | |||||
| Fibroid changes “Fi” | |||||
| Foam cells “FC” | |||||
| Hyaline cartilage “HC” | Normal | Perichondrial thickening “PeT” | |||
| Deformation “Df” | Increase in diameter “Di” | Di with Degeneration DHC | |||
| Peritracheal connective tissue “CT” | Normal | --- | --- | Foam cells “FC”, fatty degeneration “FD” | |
| --- | --- | Monocytic infiltration “M” | |||
| Edema “Oe” | |||||
| Fibroid changes “Fi” | |||||
| Blood vessels of CT | Normal | Dilated and congested blood vessels “CB” | |||
| Thyroid gland | Normal | ---- | ---- | Degenerated thyroid follicles “DT” | |
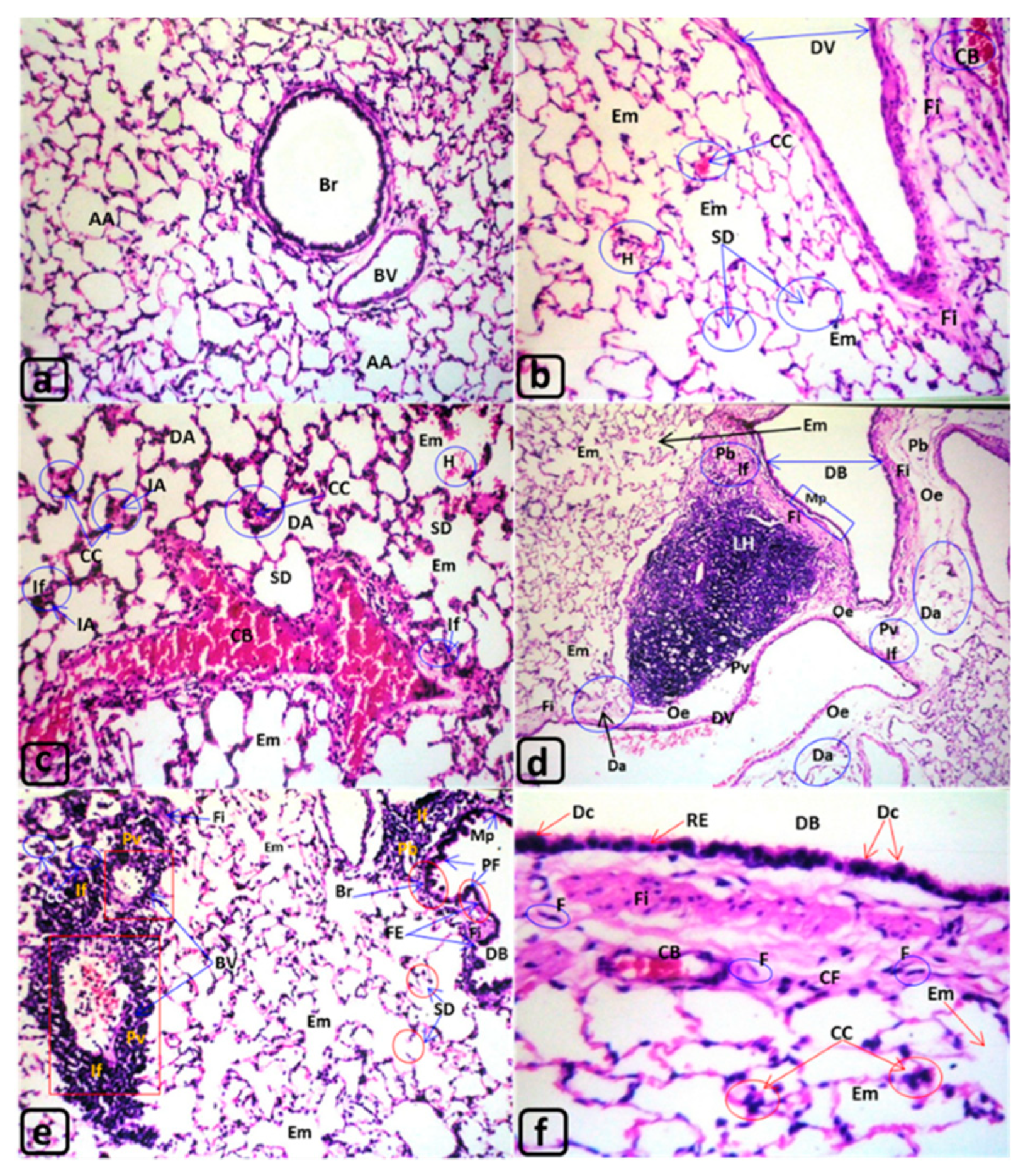
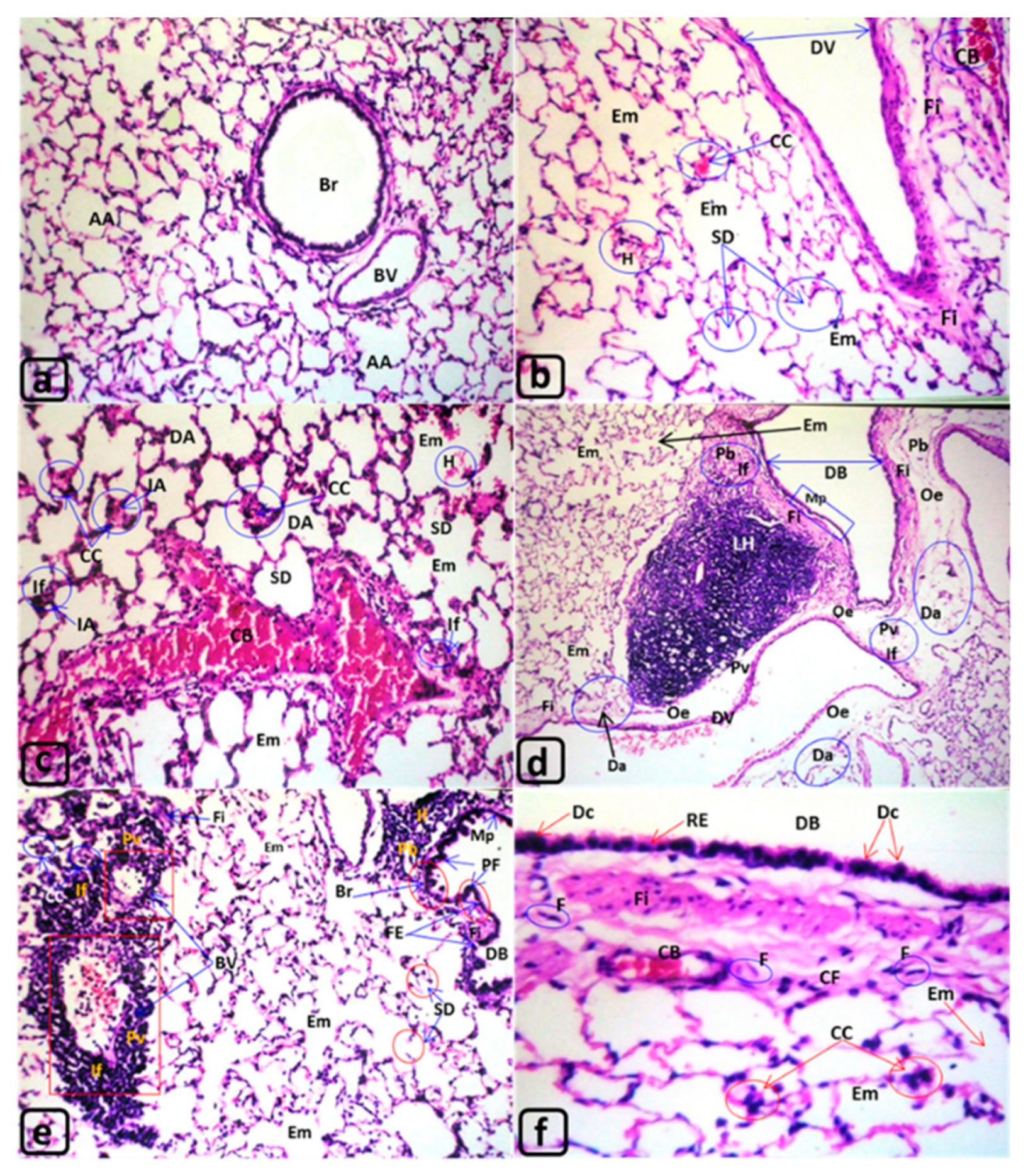
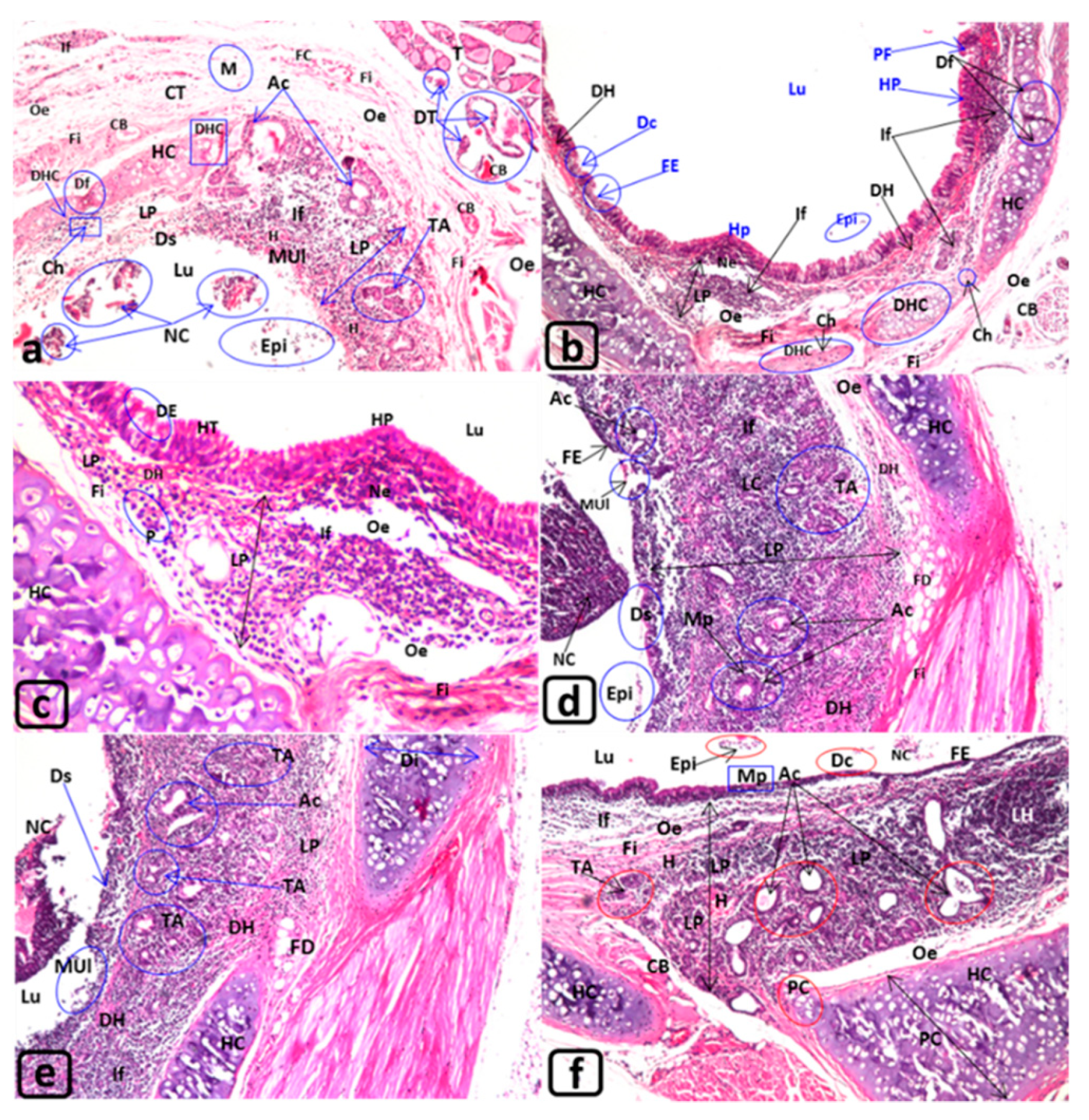
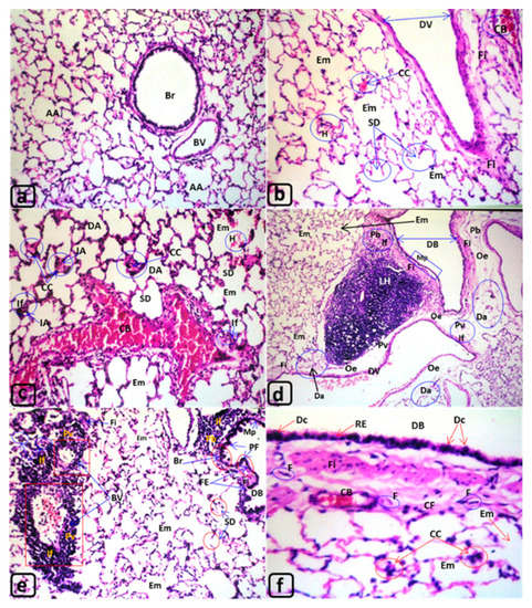
| Lung of Rats Exposed to MTBE Vapor Inhalation 60 µL/3 min/day for 3, 6, or 12 Months | |||||
|---|---|---|---|---|---|
| Groups | G1 | G2 | G3 | G4 | |
| MTBE exposure | Non exposed | MTBE 60 µL/3 min/day/for 3 months | MTBE 60 µL/3 min/day/for 6 months | MTBE 60 µL/3 min/day/for 12 months | |
| Results | |||||
| Figures | (Figure 1a) | (Figure 3b–d) | (Figure 3e,f) | (Figure 4a–f) | |
| Lumen of Bronchioles “Br” | Normal, Clear | Dilatation in some bronchi “DB” | |||
| Lining epithelia of bronchioles “Br” | Normal | deciliation “Dc” and shortening | --- | ||
| --- | Metaplasia “Mp” | ||||
| --- | Polyp formation PF | Hydroid degeneration “HD” | |||
| Peribronchiolar “Pb” and perivascular “Pv” connective tissue “CT” | Normal | --- | --- | Pulmonary fibrosis Fi | |
| --- | --- | Foam cells “FC” | |||
| --- | --- | Steatosis “St” | |||
| Lymphocytic infiltrations “If” | |||||
| large lymphoid hyperplasia “LH” | |||||
| Edema “Oe” | |||||
| fibroid changes “Fi” | |||||
| Lumen of air alveoli | Normal, Clear | --- | --- | Collapsed alveoli CA | |
| --- | --- | Dilated lumen with Epithelialization Epi | |||
| Hemorrhages “H” | H + Diffuse “DH” | ||||
| Epithelia of air alveoli “AA” | Normal | Emphysematous changes “Em” | Severe Em | ||
| Desquamation “Ds” | |||||
| Shortening with deciliation “Dc” | Degenerated (De) in some air alveoli (Da) | De, Da, metaplasia “Mp”, or thickening “Th” | |||
| --- | --- | Polyp’s formation “PF” | |||
| Interalveolar septa of air alveoli “IA” (Interalveolar CT) and perivascular CT | Normal | Destructed septa “SD” | |||
| Inflammatory cells infiltrations “If” | If with monocytic infiltration “M” | ||||
| Destructed septa “DS”, sever dilated (DV), congested vessels (CB), & capillaries (CC) | Lymphoid hyperplasia “LH” | ||||
| Adenomatous changes (lung adenoma) “LA” | |||||
| Abscess with central liquefaction “CL” covered by pyogenic membrane “PM” | |||||
| Fibroid changes “Fi” | “Fi” with diffused fibrocytes “F” | steatosis (St) with Fi | |||
| --- | --- | Numerous lipid-laden macrophages “Foam cells” “FC” | |||
| ---- | ---- | Mitotic figure “MF” | |||
| Focal hemorrhages “H” | H + Diffuse DH | ||||
| Blood vessels of CT “BV” | Normal | Dilated vessels “DV” | Occluded lumen | ||
| Congested blood vessels “CB “, Dilatated and Congested blood capillaries “CC” | |||||
| Arterial alterations in tunica intima “TI”, tunica media “TM”, and tunica adventitia “Ad”, | Normal TI, TM & Ad | --- | --- | Desquamation “Ds” in TI | |
| --- | --- | Thickening TM & Ad | |||
| MW Values | Lane M | Lane C | Lane 1 | Lane 2 | Lane 3 | Lane 4 |
|---|---|---|---|---|---|---|
| Band 1 | 70 | 87 | 87 | 87 | 87 | 87 |
| Band 2 | 51 | 82 | 82 | 82 | 82 | 82 |
| Band 3 | 42 | 70 | 77 | 70 | 70 | 70 |
| Band 4 | 32 | 60 | 70 | 60 | 60 | 60 |
| Band 5 | 25 | 51 | 60 | 51 | 51 | 51 |
| Band 6 | ***** | 41 | 51 | 41 | 41 | 41 |
| Band 7 | ***** | 39 | 41 | 30 | 37 | 37 |
| Band 8 | ***** | 25 | 29 | 29 | 29 | 29 |
| Band 9 | ***** | ***** | 28 | 28 | 28 | 28 |
| Band 10 | ***** | ***** | 25 | 25 | 25 | 25 |
| Band 11 | ***** | ***** | 21 | 21 | 21 | 21 |
| Band 12 | ***** | ***** | 18 | ***** | 18 | 18 |
| Band 13 | ***** | ***** | ***** | ***** | ***** | ***** |
| Band 14 | ***** | ***** | ***** | ***** | ***** | ***** |
| Band 15 | ***** | ***** | ***** | ***** | ***** | ***** |
| Band 16 | ***** | ***** | ***** | ***** | ***** | ***** |
| Band 17 | ***** | ***** | ***** | ***** | ***** | ***** |
| Total RF | Total MW (M) | Lane C | Lane 1 | Lane 2 | Lane 3 | Lane 4 |
|---|---|---|---|---|---|---|
| 0.04 | 87 | + | + | + | + | + |
| 0.07 | 82 | + | + | + | + | + |
| 0.1 | 77 | − | + | − | − | − |
| 0.15 | 69 | + | + | + | + | + |
| 0.18 | 65 | − | − | − | − | − |
| 0.22 | 60 | + | + | + | + | + |
| 0.28 | 53 | − | − | − | − | − |
| 0.3 | 51 | + | + | + | + | + |
| 0.38 | 43 | − | − | − | − | − |
| 0.41 | 41 | + | + | + | + | + |
| 0.43 | 39 | + | − | − | − | − |
| 0.46 | 37 | − | − | − | + | + |
| 0.51 | 33 | − | − | − | − | − |
| 0.57 | 29 | − | + | + | + | + |
| 0.61 | 28 | − | + | + | + | + |
| 0.66 | 25 | + | + | + | + | + |
| 0.72 | 21 | − | + | + | + | + |
| 0.81 | 18 | − | + | + | + | + |
| Gene ID | Symbol | Relative Protein Amount (iBAQ) | ||
|---|---|---|---|---|
| Upper | Middle | Lower | ||
| 310218 | Car1 | 23172 | 51634 | |
| 54231 | Car2 | 21187 | 1146 | |
| 296973 | Bpgm | 6293 | 6543 | |
| 24440 | Hbb | 2678 | 6378 | |
| 25419 | Crp | 2035 | 3056 | |
| 29338 | Prdx2 | 19904 | ||
| 25475 | Lgals5 | 9310 | ||
| 24786 | Sod1 | 5556 | ||
| 360678 | Arhgdia | 1590 | ||
| 117254 | Prdx1 | 1022 | ||
© 2019 by the authors. Licensee MDPI, Basel, Switzerland. This article is an open access article distributed under the terms and conditions of the Creative Commons Attribution (CC BY) license (http://creativecommons.org/licenses/by/4.0/).
Share and Cite
Sarhan, O.M.; Jain, A.; Mutwally, H.M.A.; Osman, G.H.; Yun Jung, S.; Issa, T.; Elmogy, M. Impact Effect of Methyl Tertiary-Butyl Ether “Twelve Months Vapor Inhalation Study in Rats”. Biology 2020, 9, 2. https://doi.org/10.3390/biology9010002
Sarhan OM, Jain A, Mutwally HMA, Osman GH, Yun Jung S, Issa T, Elmogy M. Impact Effect of Methyl Tertiary-Butyl Ether “Twelve Months Vapor Inhalation Study in Rats”. Biology. 2020; 9(1):2. https://doi.org/10.3390/biology9010002
Chicago/Turabian StyleSarhan, Osama M., Antrix Jain, Hamed M. A. Mutwally, Gamal H. Osman, Sung Yun Jung, Tawfik Issa, and Mohamed Elmogy. 2020. "Impact Effect of Methyl Tertiary-Butyl Ether “Twelve Months Vapor Inhalation Study in Rats”" Biology 9, no. 1: 2. https://doi.org/10.3390/biology9010002
APA StyleSarhan, O. M., Jain, A., Mutwally, H. M. A., Osman, G. H., Yun Jung, S., Issa, T., & Elmogy, M. (2020). Impact Effect of Methyl Tertiary-Butyl Ether “Twelve Months Vapor Inhalation Study in Rats”. Biology, 9(1), 2. https://doi.org/10.3390/biology9010002

