Effects of Eucalyptus Biochar on Intestinal Health and Function in Largemouth Bass (Micropterus salmoides)
Simple Summary
Abstract
1. Introduction
2. Materials and Methods
2.1. Experimental Fish
2.2. Experimental Feeding and Diets
2.3. Fish Intestinal Sampling
2.4. Intestinal Morphology Analysis
2.5. Digestive Enzymes Analysis
2.6. Messenger Ribonucleic Acid (mRNA) Expression Analysis
2.7. Gut Microbiota Analysis
2.8. Intestinal Content Metabolomics Analysis
2.9. Statistical Analysis
3. Results
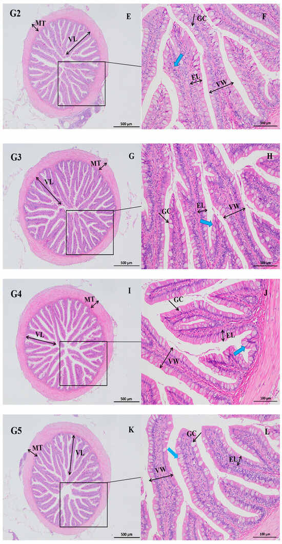
3.1. Intestinal Morphology
3.2. Digestive Enzyme Activity
3.3. Gene Expression
3.3.1. Tight Junction Protein-Associated Genes
3.3.2. Inflammation-Related Genes
3.4. Gut Microbiota
3.4.1. Diversity Analysis
3.4.2. Composition of Gut Microbiota
3.5. Metabolomics Analysis
4. Discussion
5. Conclusions
Supplementary Materials
Author Contributions
Funding
Institutional Review Board Statement
Data Availability Statement
Acknowledgments
Conflicts of Interest
References
- Chen, W.; Gao, S. Current status of industrialized aquaculture in China: A review. Environ. Sci. Pollut. R. 2023, 30, 32278–32287. [Google Scholar] [CrossRef]
- Rahayu, S.; Amoah, K.; Huang, Y.; Cai, J.; Wang, B.; Shija, V.M.; Jin, X.; Anokyewaa, M.A.; Jiang, M. Probiotics application in aquaculture: Its potential effects, current status in China and future prospects. Front. Mar. Sci. 2024, 11, 1455905. [Google Scholar] [CrossRef]
- Wang, Y.; Ni, J.; Nie, Z.; Gao, J.; Sun, Y.; Shao, N.; Li, Q.; Hu, J.; Xu, P.; Xu, G. Effects of stocking density on growth, serum parameters, antioxidant status, liver and intestine histology and gene expression of largemouth bass (Micropterus salmoides) farmed in the in-pond raceway system. Aquacult. Res. 2020, 51, 5228–5240. [Google Scholar] [CrossRef]
- Yin, P.; Xie, S.; Huo, Y.; Guo, T.; Fang, H.; Zhang, Y.; Liu, Y.; Tian, L.; Niu, J. Effects of dietary oxidized fish oil on growth performance, antioxidant defense system, apoptosis and mitochondrial function of juvenile largemouth bass (Micropterus salmoides). Aquaculture 2019, 500, 347–358. [Google Scholar] [CrossRef]
- Hou, D.; Zhao, H.; Peng, K.; Chen, B.; Hu, J.; Zhu, X.; Wang, G.; Cao, J.; Huang, W. Sodium butyrate mitigates aflatoxin B1 toxicity in largemouth bass. Aquacult. Rep. 2025, 43, 102966. [Google Scholar] [CrossRef]
- Li, M.; Yang, L.; Liu, Y.; Ma, H. Long-term crowding stress disrupts intestinal homeostasis in largemouth bass (Micropterus salmoides). Aquaculture 2025, 599, 742171. [Google Scholar] [CrossRef]
- Zheng, J.; Wang, Z.; Pu, D.; Li, P.; Wei, X.; Li, M.; Li, D.; Gao, L.; Zhai, X. Effects of stocking density on intestinal health of juvenile Micropterus salmoides in industrial aquaponics. Fishes 2023, 8, 555. [Google Scholar] [CrossRef]
- Schmidt, H.-P.; Hagemann, N.; Draper, K.; Kammann, C. The use of biochar in animal feeding. PeerJ 2019, 7, e7373. [Google Scholar] [CrossRef] [PubMed]
- Wong, C.F.; Saif, U.M.; Chow, K.L.; Wong, J.T.F.; Chen, X.W.; Liang, Y.; Cheng, Z.; Tsang, Y.F.; Wong, M.H.; Man, Y.B. Applications of charcoal, activated charcoal, and biochar in aquaculture-A review. Sci. Total Environ. 2024, 929, 172574. [Google Scholar] [CrossRef]
- Mishra, V.; Sureshkumar, M.K.; Gupta, N.; Kaushik, C.P. Study on sorption characteristics of uranium onto biochar derived from eucalyptus wood. WaterAir Soil Poll. 2017, 228, 309. [Google Scholar] [CrossRef]
- Ilyas, M.; Liao, Y.; Xu, J.; Wu, S.; Liao, W.; Zhao, X. Removal of anthracene from vehicle-wash wastewater through adsorption using eucalyptus wood waste-derived biochar. Desalin. Water Treat. 2024, 317, 100115. [Google Scholar] [CrossRef]
- Mohamed, H.A.; Rengel, Z.; Bolan, N.; Khan, B.A.; Siddique, K.H.M.; Solaiman, Z.M. Adsorption of Ammonium from Anaerobic Food Waste Digestate by Pristine and Modified Eucalyptus Biochar for Nitrogen Fertiliser Use. J. Soil Sci. Plant Nut. 2025, 25, 4531–4551. [Google Scholar] [CrossRef]
- Lu, Z.; Zhang, H.; Shahab, A.; Zhang, K.; Zeng, H.; Bacha, A.-U.-R.; Nabi, I.; Ullah, H. Comparative study on characterization and adsorption properties of phosphoric acid activated biochar and nitrogen-containing modified biochar employing Eucalyptus as a precursor. J. Clean. Prod. 2021, 303, 127046. [Google Scholar] [CrossRef]
- Iswantari, A.; Prakoso, V.A.; Nafiqoh, N.; Ginanjar, R.; Rachmat, H.H.; Irawan, A.; Kurniawan, K.; Zamroni, M.; Rochman, F.; Adli, D.N.; et al. Does charcoal act as a protective agent in fish nutrition to increase growth and physiological performance? A meta-analysis. Ital. J. Anim. Sci. 2025, 24, 1449–1467. [Google Scholar] [CrossRef]
- Michael, F.R.; Helal, A.M. Rule of dietary activated wood charcoal on the growth and biochemical composition of Gilthead Seabream (Sparus aurata) reared under different stocking densities. Life Sci. J. 2018, 15, 79–86. [Google Scholar]
- Firdus, F.; Samadi, S.; Muhammadar, A.A.; Sarong, M.A.; Muchlisin, Z.A.; Sari, W.; Mellisa, S.; Satria, S.; Boihaqi, B.; Batubara, A.S. Supplementation of rice husk activated charcoal in feed and its effects on growth and histology of the stomach and intestines from giant trevally, Caranx ignobilis. F1000Research 2020, 9, 1274. [Google Scholar] [CrossRef]
- Huang, B.; Zhang, S.; Dong, X.; Chi, S.; Yang, Q.; Liu, H.; Tan, B.; Xie, S. Effects of fishmeal replacement by black soldier fly on growth performance, digestive enzyme activity, intestine morphology, intestinal flora and immune response of pearl gentian grouper (Epinephelus fuscoguttatus ♀ × Epinephelus lanceolatus ♂). Fish Shellfish Immun. 2022, 120, 497–506. [Google Scholar] [CrossRef]
- Wang, S.; Han, Z.; Turchini, G.M.; Wang, X.; Fang, Z.; Chen, N.; Xie, R.; Zhang, H.; Li, S. Effects of dietary phospholipids on growth performance, digestive enzymes activity and intestinal health of largemouth bass (Micropterus salmoides) larvae. Front. Immun. 2022, 12, 827946. [Google Scholar] [CrossRef]
- Livak, K.J.; Schmittgen, T.D. Analysis of relative gene expression data using real-time quantitative PCR and the 2−ΔΔCT method. Methods 2001, 25, 402–408. [Google Scholar] [CrossRef]
- Li, X.; Zhao, G.; Zheng, Y.; Wang, Y.; Bai, X.; Li, F.; Gu, Y.; Zhu, C. Effects of single fermentation of Lactobacillus sakei and compound fermentation with Staphylococcus carnosus on the metabolomics of beef sausages. Food Chem. 2025, 464, 141728. [Google Scholar] [CrossRef]
- De Marco, G.; Cappello, T.; Maisano, M. Histomorphological changes in fish gut in response to prebiotics and probiotics treatment to improve their health status: A review. Animals 2023, 13, 2860. [Google Scholar] [CrossRef]
- Ju, K.; Kil, M.; Ri, S.; Kim, T.; Kim, J.; Shi, W.; Zhang, L.; Yan, M.; Zhang, J.; Liu, G. Impacts of dietary supplementation of bamboo vinegar and charcoal powder on growth performance, intestinal morphology, and gut microflora of large-scale loach Paramisgurnus dabryanus. J. Oceanol. Limnol. 2023, 41, 1187–1196. [Google Scholar] [CrossRef]
- Pirarat, N.; Boonananthanasarn, S.; Krongpong, L.; Katagiri, T.; Maita, M. Effect of activated charcoal-supplemented diet on growth performance and intestinal morphology of Nile tilapia (Oreochromis niloticus). Thai J. Vet. Med. 2015, 45, 113–119. [Google Scholar] [CrossRef]
- Hoseinifar, S.H.; Dadar, M.; Ringø, E. Modulation of nutrient digestibility and digestive enzyme activities in aquatic animals: The functional feed additives scenario. Aquac. Res. 2017, 48, 3987–4000. [Google Scholar] [CrossRef]
- Khalid, M.A.; Hussain, S.M.; Mahboob, S.; Al-Ghanim, K.A.; Riaz, M.N. Biochar as a feed supplement for nutrient digestibility and growth performance of Catla catla fingerlings. Saudi J. Biol. Sci. 2022, 29, 103453. [Google Scholar] [CrossRef]
- Khalid, M.A.; Hussain, S.M.; Ali, S.; Ali, Q.; Rizwan, M.; Paray, B.A.; Sarker, P.K.; Naeem, A. Impact of feeding biochar sources in rohu (Labeo rohita): Evaluating the growth, nutrient absorption, carcass composition, haematology and mineral status. J. Anim. Physiol. Anim. Nutr. 2024, 108, 1028–1037. [Google Scholar] [CrossRef]
- Al-Kindi, A.; Schiborra, A.; Buerkert, A.; Schlecht, E. Effects of quebracho tannin extract and activated charcoal on nutrient digestibility, digesta passage and faeces composition in goats. J. Anim. Physiol. Anim. Nutr. 2017, 101, 576–588. [Google Scholar] [CrossRef]
- Rossi, L.; Frazzini, S.; Santoru, M.; Canala, B.; Ferri, I.; Moscatelli, A.; Onelli, E.; Dell’Anno, M.; Pilu, S.; Reggi, S. Exploiting chestnut biochar as a functional and circular ingredient in weaned piglet diets. Agriculture 2025, 15, 1082. [Google Scholar] [CrossRef]
- Elhetawy, A.I.G.; Abdel-Rahim, M.M.; Sallam, A.E.; Shahin, S.A.; Lotfy, A.M.A.; El Basuini, M.F. Dietary wood and activated charcoal improved ammonium removal, heavy metals detoxification, growth performance, blood biochemistry, carcass traits, and histopathology of European seabass. Aquacult. Nutr. 2023, 2023, 8860652. [Google Scholar] [CrossRef] [PubMed]
- Wang, G.; Chen, L.; Xing, Y.; Sun, C.; Fu, P.; Li, Q.; Chen, R. Biochar establishing syntrophic partnership between exoelectrogens to facilitate extracellular electron transfer. Sci. Total Environ. 2023, 904, 166549. [Google Scholar] [CrossRef] [PubMed]
- Ayeneshet, B.; Temesgen, T. Role of biochar as a feed additive on animal performance, digestibility, micro-biota dynamics, and reduction of enteric methane production. Adv. Agric. 2025, 2025, 9911760. [Google Scholar] [CrossRef]
- Li, K.; Li, J.; Wei, X.; Wang, J.; Geng, M.; Ai, K.; Liang, W.; Zhang, J.; Li, K.; Gao, H.; et al. IL-10 negatively controls the primary T cell response of tilapia by triggering the JAK1/STAT3/SOCS3 axis that suppresses NF-κB and MAPK/ERK signaling. J. Immun. 2023, 210, 229–244. [Google Scholar] [CrossRef]
- Zhang, Y.; Fu, X.; Wang, L.; Guo, X.; Dong, B. Sorption of phenols and flavonoids on activated charcoal improves protein metabolism, antioxidant status, immunity, and intestinal morphology in broilers. Front. Vet. Sci. 2024, 10, 1327455. [Google Scholar] [CrossRef]
- Yıldızlı, G.; Coral, G.; Ayaz, F. Biochar as a biocompatible mild anti-inflammatory supplement for animal feed and agricultural fields. Chem. Biodivers. 2021, 18, e2001002. [Google Scholar] [CrossRef]
- Yang, Y.; Tang, J.; Li, Q.; Wang, J. Pharmacological research and clinical applications of carbonized Chinese medicine. J. Liaoning Univ. Traditional Chin. Med. 2020, 22, 186–190. [Google Scholar]
- Schulzke, J.D.; Ploeger, S.; Amasheh, M.; Fromm, A.; Zeissig, S.; Troeger, H.; Richter, J.; Bojarski, C.; Schumann, M.; Fromm, M. Epithelial tight junctions in intestinal inflammation. Ann. N. Y. Acad. Sci. 2009, 1165, 294–300. [Google Scholar] [CrossRef] [PubMed]
- Lu, Z.; Ding, L.; Lu, Q.; Chen, Y.-H. Claudins in intestines. Tissue Barriers 2013, 1, e24978. [Google Scholar] [CrossRef] [PubMed]
- Kuo, W.-T.; Odenwald, M.A.; Turner, J.R.; Zuo, L. Tight junction proteins occludin and ZO-1 as regulators of epithelial proliferation and survival. Ann. N. Y. Acad. Sci. 2022, 1514, 21–33. [Google Scholar] [CrossRef]
- Tremaroli, V.; Bäckhed, F. Functional interactions between the gut microbiota and host metabolism. Nature 2012, 489, 242–249. [Google Scholar] [CrossRef]
- Laitinen, K.; Mokkala, K. Overall dietary quality relates to gut microbiota diversity and abundance. Int. J. Mol. Sci. 2019, 20, 1835. [Google Scholar] [CrossRef]
- Fan, C.H.; Wang, W.K.; Xu, Z.Y.; Tsai, S.H.; Chien, C.C.; Kuo, C.H.; Chen, B.; Wang, K.T.; Chang, C.H.; Wu, T.M.; et al. Seaweed-derived biochar as a sustainable feed supplement enhances tilapia growth associated with gut microbiota modulation. Aquaculture 2025, 609, 742846. [Google Scholar] [CrossRef]
- Zheng, Q.; Zheng, Y.; Junaid, M.; Zeng, M.; Liao, H.; Li, Y.; Zhao, Y.; Huang, Q.; Wang, J. Biochar alleviates nanoplastics and bisphenol A mediated immunological, neurological and gut microbial toxicity in channel catfish Ictalurus punctatus. Chemosphere 2025, 378, 144422. [Google Scholar] [CrossRef]
- Zhu, C.Z.; Li, D.; Chen, W.J.; Ban, S.N.; Liu, T.; Wen, H.; Jiang, M. Effects of dietary host-associated Lactococcus lactis on growth performance, disease resistance, intestinal morphology and intestinal microbiota of mandarin fish (Siniperca chuatsi). Aquaculture 2021, 540, 736702. [Google Scholar] [CrossRef]
- Wu, Y.; Yang, Y.; Dang, H.; Xiao, H.; Huang, W.; Jia, Z.; Zhao, X.; Chen, K.; Ji, N.; Guo, J.; et al. Molecular identification of Klebsiella pneumoniae and expression of immune genes in infected spotted gar Lepisosteus oculatus. Fish Shellfish Immun. 2021, 119, 220–230. [Google Scholar] [CrossRef] [PubMed]
- Reggi, S.; Frazzini, S.; Torresani, M.C.; Guagliano, M.; Cristiani, C.; Pilu, S.R.; Ghidoli, M.; Rossi, L. Metabolomic profiling and functional characterization of biochar from vine pruning residues for applications in animal feed. Animals 2024, 14, 3440. [Google Scholar] [CrossRef] [PubMed]
- Hu, Z.; Guan, Y.; Hu, W.; Xu, Z.; Ishfaq, M. An overview of pharmacological activities of baicalin and its aglycone baicalein: New insights into molecular mechanisms and signaling pathways. Iran. J. Basic Med. Sci. 2022, 25, 14–26. [Google Scholar]
- Sharifi-Rad, J.; Quispe, C.; Imran, M.; Rauf, A.; Nadeem, M.; Gondal, T.A.; Ahmad, B.; Atif, M.; Mubarak, M.S.; Sytar, O.; et al. Genistein: An integrative overview of its mode of action, pharmacological properties, and health benefits. Oxid. Med. Cell. Longev. 2021, 2021, 3268136. [Google Scholar] [CrossRef]
- Lin, W.; Ouyang, K.; He, Y.; Yang, H.; Kuang, Y.; Li, D.; Li, L. Combined effects of microcystin-LR and rice straw-derived biochar on the hepatic antioxidant capacity of zebrafish: Insights from LC-MS/MS-based metabolomics analysis. Sci. Total Environ. 2023, 904, 166830. [Google Scholar] [CrossRef]
- Olasehinde, T.A.; Olaokun, O.O. The beneficial role of apigenin against cognitive and neurobehavioural dysfunction: A systematic review of preclinical investigations. Biomedicines 2024, 12, 178. [Google Scholar] [CrossRef]
- Hu, Q.; Qu, C.; Xiao, X.; Zhang, W.; Jiang, Y.; Wu, Z.; Song, D.; Peng, X.; Ma, X.; Zhao, Y. Flavonoids on diabetic nephropathy: Advances and therapeutic opportunities. Chin. Med. 2021, 16, 74. [Google Scholar] [CrossRef] [PubMed]
- Xu, J.; Xie, S.; Chi, S.; Zhang, S.; Cao, J.; Tan, B. Protective effects of taurocholic acid on excessive hepatic lipid accumulation via regulation of bile acid metabolism in grouper. Food Funct. 2022, 13, 3050–3062. [Google Scholar] [CrossRef] [PubMed]
- Han, J.; Meng, J.; Chen, S.; Li, C. Integrative analysis of the gut microbiota and metabolome in rats treated with rice straw biochar by 16S rRNA gene sequencing and LC/MS-based metabolomics. Sci. Rep. 2019, 9, 17860. [Google Scholar] [CrossRef]
- Zhang, Y.; Lin, Z.; Wang, L.; Guo, X.; Hao, Z.; Li, Z.; Johnston, L.J.; Dong, B. Cooperative interaction of phenolic acids and flavonoids contained in activated charcoal with herb extracts, involving cholesterol, bile acid, and FXR/PXR activation in broilers fed with mycotoxin-containing diets. Antioxidants 2022, 11, 2200. [Google Scholar] [CrossRef]
- Kortner, T.M.; Skugor, S.; Penn, M.H.; Mydland, L.T.; Djordjevic, B.; Hillestad, M.; Krasnov, A.; Krogdahl, Å. Dietary soyasaponin supplementation to pea protein concentrate reveals nutrigenomic interactions underlying enteropathy in Atlantic salmon (Salmo salar). BMC Vet. Res. 2012, 8, 101. [Google Scholar] [CrossRef]
- Chang, W.; Nie, J.; Geng, Y.; Zhang, D.; Wang, Q.; Farooq, S. Etoxazole stereoselective determination, bioaccumulation, and resulting oxidative stress in Danio rerio (zebrafish). Ecotoxicol. Environ. Saf. 2020, 192, 110287. [Google Scholar] [CrossRef]
- Xia, T.; Li, Z.; Xu, M.; Lu, J.; Cai, G. Structural characteristics, biological functions, and modification strategies of soybean saponins: Biotransformation potential through structure–activity relationship modulation. J. Agric. Food Chem. 2025, 73, 23147–23160. [Google Scholar] [CrossRef] [PubMed]
- Qin, S.; Chen, S.; Wang, X.; Zang, Y.; Wang, Z.; Wei, J. Experimental study on the degradation of acaricides on the surface of kumquat cuimi by nonthermal air plasma. Appl. Sci. 2023, 13, 7560. [Google Scholar] [CrossRef]













| Items | Group | |||||
|---|---|---|---|---|---|---|
| G0 | G1 | G2 | G3 | G4 | G5 | |
| Ingredients | ||||||
| Fish meal | 450.0 | 450.0 | 450.0 | 450.0 | 450.0 | 450.0 |
| Soybean meal | 160.0 | 160.0 | 160.0 | 160.0 | 160.0 | 160.0 |
| Soybean protein concentrate | 166.0 | 166.0 | 166.0 | 166.0 | 166.0 | 166.0 |
| α-starch | 85.0 | 85.0 | 85.0 | 85.0 | 85.0 | 85.0 |
| Fish oil | 20.0 | 20.0 | 20.0 | 20.0 | 20.0 | 20.0 |
| Soybean oil | 35.0 | 35.0 | 35.0 | 35.0 | 35.0 | 35.0 |
| Soybean lecithin | 10.0 | 10.0 | 10.0 | 10.0 | 10.0 | 10.0 |
| Vitamin C phosphate ester | 3.0 | 3.0 | 3.0 | 3.0 | 3.0 | 3.0 |
| Vitamin premix 1 | 1.0 | 1.0 | 1.0 | 1.0 | 1.0 | 1.0 |
| Mineral premix 2 | 5.0 | 5.0 | 5.0 | 5.0 | 5.0 | 5.0 |
| Ca(H2PO4)2 | 15.0 | 15.0 | 15.0 | 15.0 | 15.0 | 15.0 |
| Choline chloride | 5.0 | 5.0 | 5.0 | 5.0 | 5.0 | 5.0 |
| Betaine | 5.0 | 5.0 | 5.0 | 5.0 | 5.0 | 5.0 |
| Cellulose | 40.0 | 37.5 | 35.0 | 30.0 | 20.0 | 0.0 |
| Eucalyptus biochar | 0.0 | 2.5 | 5.0 | 10.0 | 20.0 | 40.0 |
| Nutrient levels | ||||||
| Crude protein | 472.7 | 495.1 | 491.3 | 479.8 | 484.3 | 473.6 |
| Crude lipid | 76.6 | 79.1 | 78.9 | 82.8 | 87.7 | 87.8 |
| Moisture | 83.4 | 53.7 | 62.7 | 62.5 | 75.0 | 84.7 |
| Ash | 110.8 | 113.4 | 111.4 | 114.0 | 116.5 | 116.9 |
| Ca | 17.8 | 18.0 | 18.0 | 18.2 | 19.0 | 20.9 |
| Total phosphorus | 16.3 | 16.5 | 16.4 | 16.4 | 17.4 | 16.9 |
| Gene | Forward Sequence (5′-3′) | Genbank No. | Length (bp) | Tm (°C) |
|---|---|---|---|---|
| Claudin-3 | Forward: CATCCTTGCTGGCCTTTTGG | XM_038708625.1 | 128 | 58.9 |
| Reverse: AGCCAATGTAGAGCGATGC | ||||
| IL-10 | Forward: CGGCACAGAAATCCCAGAGC | XM_038696252.1 | 119 | 60.9 |
| Reverse: CAGCAGGCTCACAAAATAAACATCT | ||||
| IL-1β | Forward: ACATGACGGAAGTTCAGGAT | XM_038733429.1 | 150 | 57.3 |
| Reverse: GCTGCCTGCTATAGTTGGTT | ||||
| TGF-β1 | Forward: GCTCAAAGAGAGCGAGGATG | XM_038693206.1 | 118 | 57.8 |
| Reverse: TCCTCTACCATTCGCAATCC | ||||
| TNF-α | Forward: CTTCGTCTACAGCCAGGCATCG | XM_038710731.1 | 161 | 63.1 |
| Reverse: TTTGGCACACCGACCTCACC | ||||
| ZO-1 | Forward: GCTTACCTCACTGTGCGTCT | XM_038701018.1 | 232 | 57.2 |
| Reverse: GCATCCTCTTCATTTTATCCC | ||||
| β-actin | Forward: GGTGTGATGGTTGGTATGG | XM_038712920.1 | 156 | 55.2 |
| Reverse: CTCGTTGTAGAAGGTGTGAT |
| Items | Groups | |
|---|---|---|
| G0 | G3 | |
| Sobs | 171.33 ± 80.68 | 93.00 ± 28.29 |
| Coverage (%) | 99.93 ± 0.02 | 99.94 ± 0.02 |
| ACE index | 201.32 ± 82.60 | 138.45 ± 49.54 |
| Chao1 index | 195.25 ± 83.04 | 117.97 ± 39.53 |
| Shannon index | 1.62 ± 0.11 | 1.29 ± 0.15 |
| Simpson index | 0.29 ± 0.03 | 0.38 ± 0.07 |
Disclaimer/Publisher’s Note: The statements, opinions and data contained in all publications are solely those of the individual author(s) and contributor(s) and not of MDPI and/or the editor(s). MDPI and/or the editor(s) disclaim responsibility for any injury to people or property resulting from any ideas, methods, instructions or products referred to in the content. |
© 2025 by the authors. Licensee MDPI, Basel, Switzerland. This article is an open access article distributed under the terms and conditions of the Creative Commons Attribution (CC BY) license (https://creativecommons.org/licenses/by/4.0/).
Share and Cite
Fu, B.; Chen, Y.; Li, X.; Zhou, H.; Hu, J.; Li, J.; Huang, W.; Zhao, H.; Chen, B.; Loh, J.-Y. Effects of Eucalyptus Biochar on Intestinal Health and Function in Largemouth Bass (Micropterus salmoides). Biology 2025, 14, 1754. https://doi.org/10.3390/biology14121754
Fu B, Chen Y, Li X, Zhou H, Hu J, Li J, Huang W, Zhao H, Chen B, Loh J-Y. Effects of Eucalyptus Biochar on Intestinal Health and Function in Largemouth Bass (Micropterus salmoides). Biology. 2025; 14(12):1754. https://doi.org/10.3390/biology14121754
Chicago/Turabian StyleFu, Bing, Yan Chen, Xiang Li, Huiyun Zhou, Junru Hu, Jinghong Li, Wen Huang, Hongxia Zhao, Bing Chen, and Jiun-Yan Loh. 2025. "Effects of Eucalyptus Biochar on Intestinal Health and Function in Largemouth Bass (Micropterus salmoides)" Biology 14, no. 12: 1754. https://doi.org/10.3390/biology14121754
APA StyleFu, B., Chen, Y., Li, X., Zhou, H., Hu, J., Li, J., Huang, W., Zhao, H., Chen, B., & Loh, J.-Y. (2025). Effects of Eucalyptus Biochar on Intestinal Health and Function in Largemouth Bass (Micropterus salmoides). Biology, 14(12), 1754. https://doi.org/10.3390/biology14121754

