Fatal Feline Leukemia Virus-Associated Enteritis in a Wild Eurasian Lynx (Lynx lynx) in Germany
Simple Summary
Abstract
1. Introduction
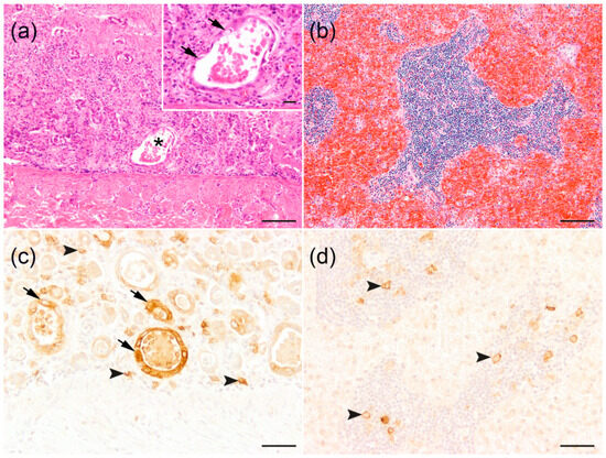
2. Case Report
3. Discussion
4. Conclusions
Supplementary Materials
Author Contributions
Funding
Institutional Review Board Statement
Informed Consent Statement
Data Availability Statement
Acknowledgments
Conflicts of Interest
References
- Hartmann, K.; Hofmann-Lehmann, R. What’s new in feline leukemia virus infection. Vet. Clin. N. Am. Small Anim. Pract. 2020, 50, 1013–1036. [Google Scholar] [CrossRef] [PubMed]
- Hofmann-Lehmann, R.; Hartmann, K. Feline leukaemia virus infection: A practical approach to diagnosis. J. Feline Med. Surg. 2020, 22, 831–846. [Google Scholar] [CrossRef] [PubMed]
- Gleich, S.; Hartmann, K. Hematology and serum biochemistry of feline immunodeficiency virus-infected and feline leukemia virus-infected cats. J. Vet. Intern. Med. 2009, 23, 552–558. [Google Scholar] [CrossRef] [PubMed]
- Chiu, E.S.; Kraberger, S.; Cunningham, M.; Cusack, L.; Roelke, M.; Vande Woude, S. Multiple introductions of domestic cat feline leukemia virus in endangered Florida panthers. Emerg. Infect. Dis. 2019, 25, 92–101. [Google Scholar] [CrossRef] [PubMed]
- Mora, M.; Napolitano, C.; Ortega, R.; Poulin, E.; Pizarro-Lucero, J. Feline immunodeficiency virus and feline leukemia virus infection in free-ranging guignas (Leopardus guigna) and sympatric domestic cats in human perturbed landscapes on Chiloé Island, Chile. J. Wildl. Dis. 2015, 51, 199–208. [Google Scholar] [CrossRef]
- Nájera, F.; López, G.; Del Rey-Wamba, T.; Malik, R.A.; Garrote, G.; López-Parra, M.; Fernández-Pena, L.; García-Tardío, M.; Arenas-Rojas, R.; Simón, M.A.; et al. Long-term surveillance of the feline leukemia virus in the endangered Iberian lynx (Lynx pardinus) in Andalusia, Spain (2008–2021). Sci. Rep. 2024, 14, 5462. [Google Scholar] [CrossRef]
- Petch, R.J.; Gagne, R.B.; Chiu, E.; Mankowski, C.; Rudd, J.; Roelke-Parker, M.; Vickers, T.W.; Logan, K.A.; Alldredge, M.; Clifford, D.; et al. Feline leukemia virus frequently spills over from domestic cats to North American pumas. J. Virol. 2022, 96, e0120122. [Google Scholar] [CrossRef]
- Ryser-Degiorgis, M.P.; Hofmann-Lehmann, R.; Leutenegger, C.M.; af Segerstad, C.H.; Mörner, T.; Mattsson, R.; Lutz, H. Epizootiologic investigations of selected infectious disease agents in free-ranging Eurasian lynx from Sweden. J. Wildl. Dis. 2005, 41, 58–66. [Google Scholar] [CrossRef]
- Chapron, G.; Kaczensky, P.; Linnell, J.D.; von Arx, M.; Huber, D.; Andrén, H.; López-Bao, J.V.; Adamec, M.; Álvares, F.; Anders, O.; et al. Recovery of large carnivores in Europe’s modern human-dominated landscapes. Science 2014, 346, 1517–1519. [Google Scholar] [CrossRef]
- Idelberger, S. Reintroduction of Eurasian lynx in the Palatinate Forest Germany. CATnews 2021, 14, 38–42. [Google Scholar]
- Luchsverbreitung in Deutschland. Available online: https://www.bfn.de/daten-und-fakten/luchsverbreitung-deutschland (accessed on 19 August 2024).
- Palmero, S.; Belotti, E.; Bufka, L.; Gahbauer, M.; Heibl, C.; Premier, J.; Weingarth-Dachs, K.; Heurich, M. Demography of a Eurasian lynx (Lynx lynx) population within a strictly protected area in Central Europe. Sci. Rep. 2021, 11, 19868. [Google Scholar] [CrossRef] [PubMed]
- von Arx, M. Lynx lynx (Amended Version of 2018 Assessment). The IUCN Red List of Threatened Species 2020: e.T12519A177350310. Available online: https://www.iucnredlist.org/species/12519/177350310 (accessed on 19 August 2024).
- von Arx, M.; Kaczensky, P.; Linnell, J.; Lanz, T.; Breitenmoser-Würsten, C.; Boitani, L.; Breitenmoser, U. Conservation status of the Eurasian lynx in West and Central Europe. CATnews 2021, 14, 5–8. [Google Scholar]
- Wölfl, S.; Anders, O.; Middelhoff, T.L.; Hohmann, U.; Back, M.; Idelberger, S.; Krebühl, J.; Ohm, J.; Prüssing, A.; Herdtfelder, M. Status des Luchses in Deutschland. Nat. Landsch. 2021, 96, 2–10. [Google Scholar]
- Heiderich, E.; Origgi, F.C.; Pisano, S.R.R.; Kittl, S.; Oevermann, A.; Ryser-Degiorgis, M.-P.; Marti, I.A. Listeria monocytogenes infection in free-ranging red foxes (Vulpes vulpes) and Eurasian lynx (Lynx lynx) in Switzerland. J. Zoo Wildl. Med. 2024, 55, 268–276. [Google Scholar] [CrossRef]
- Lombardo, M.S.; Mirolo, M.; Brandes, F.; Osterhaus, A.D.M.E.; Schutte, K.; Ludlow, M.; Barkhoff, M.; Baumgärtner, W.; Puff, C. Case report: Canine distemper virus infection as a cause of central nervous system disease in a Eurasian lynx (Lynx lynx). Front. Vet. Sci. 2023, 10, 1251018. [Google Scholar] [CrossRef]
- Ryser-Degiorgis, M.P.; Marti, I.; Pisano, S.R.R.; Pewsner, M.; Wehrle, M.; Breitenmoser-Würsten, C.; Origgi, F.C.; Kübber-Heiss, A.; Knauer, F.; Posautz, A.; et al. Management of suspected cases of feline immunodeficiency virus infection in Eurasian lynx (Lynx lynx) during an international translocation program. Front. Vet. Sci. 2021, 8, 730874. [Google Scholar] [CrossRef]
- Scherrer, P.; Ryser-Degiorgis, M.P.; Marti, I.A.; Borel, S.; Frey, C.F.; Mueller, N.; Ruetten, M.; Basso, W. Exploring the epidemiological role of the Eurasian lynx (Lynx lynx) in the life cycle of Toxoplasma gondii. Int. J. Parasitol. Parasites Wildl. 2023, 21, 1–10. [Google Scholar] [CrossRef]
- Schmidt-Posthaus, H.; Breitenmoser-Wörsten, C.; Posthaus, H.; Bacciarini, L.; Breitenmoser, U. Causes of mortality in reintroduced Eurasian lynx in Switzerland. J. Wildl. Dis. 2002, 38, 84–92. [Google Scholar] [CrossRef]
- Krengel, A.; Cattori, V.; Meli, M.L.; Wachter, B.; Böni, J.; Bisset, L.R.; Thalwitzer, S.; Melzheimer, J.; Jago, M.; Hofmann-Lehmann, R.; et al. Gammaretrovirus-specific antibodies in free-ranging and captive Namibian cheetahs. Clin. Vaccine Immunol. 2015, 22, 611–617. [Google Scholar] [CrossRef]
- Marker, L.; Munson, L.; Basson, P.A.; Quackenbush, S. Multicentric T-cell lymphoma associated with feline leukemia virus infection in a captive Namibian cheetah (Acinonyx jubatus). J. Wildl. Dis. 2003, 39, 690–695. [Google Scholar] [CrossRef]
- Thalwitzer, S.; Wachter, B.; Robert, N.; Wibbelt, G.; Müller, T.; Lonzer, J.; Meli, M.L.; Bay, G.; Hofer, H.; Lutz, H. Seroprevalences to viral pathogens in free-ranging and captive cheetahs (Acinonyx jubatus) on Namibian Farmland. Clin. Vaccine Immunol. 2010, 17, 232–238. [Google Scholar] [CrossRef] [PubMed]
- Naidenko, S.V.; Pavlova, E.V.; Kirilyuk, V.E. Detection of seasonal weight loss and a serologic survey of potential pathogens in wild Pallas’ cats (Felis [Otocolobus] manul) of the Daurian Steppe, Russia. J. Wildl. Dis. 2014, 50, 188–194. [Google Scholar] [CrossRef] [PubMed]
- Ostrowski, S.; Van Vuuren, M.; Lenain, D.M.; Durand, A. A serologic survey of wild felids from central west Saudi Arabia. J. Wildl. Dis. 2003, 39, 696–701. [Google Scholar] [CrossRef] [PubMed]
- Guimaraes, A.M.; Brandão, P.E.; de Moraes, W.; Cubas, Z.S.; Santos, L.C.; Villarreal, L.Y.; Robes, R.R.; Coelho, F.M.; Resende, M.; Santos, R.C.; et al. Survey of feline leukemia virus and feline coronaviruses in captive neotropical wild felids from Southern Brazil. J. Zoo Wildl. Med. 2009, 40, 360–364. [Google Scholar] [CrossRef][Green Version]
- Sleeman, J.M.; Keane, J.M.; Johnson, J.S.; Brown, R.J.; Vande Woude, S. Feline leukemia virus in a captive bobcat. J. Wildl. Dis. 2001, 37, 194–200. [Google Scholar] [CrossRef]
- Naidenko, S.V.; Hernandez-Blanco, J.A.; Pavlova, E.V.; Erofeeva, M.N.; Sorokin, P.A.; Litvinov, M.N.; Kotlyar, A.K.; Sulikhan, N.S.; Rozhnov, V.V. Primary study of seroprevalence to virus pathogens in wild felids of South Primorie, Russia. Can. J. Zool. 2018, 96, 839–846. [Google Scholar] [CrossRef]
- Silva, C.P.; Onuma, S.S.; de Aguiar, D.M.; Dutra, V.; Nakazato, L. Molecular detection of feline leukemia virus in free-ranging jaguars (Panthera onca) in the Pantanal region of Mato Grosso, Brazil. Braz. J. Infect. Dis. 2016, 20, 316–317. [Google Scholar] [CrossRef]
- Kusuda, S.; Funahashi, T.; Adachi, I.; Yamamoto, H.; Nagao, E.; Matsui, K.; Akiba, Y. Fecal glucocorticoid metabolites as a noninvasive indicator of stress in the Tsushima leopard cats (Prionailurus bengalensis euptilurus): Application to health care. Animals 2022, 12, 1072. [Google Scholar] [CrossRef]
- Rasheed, S.; Gardner, M.B. Isolation of feline leukemia virus from a leopard cat cell line and search for retrovirus in wild felidae. J. Natl. Cancer Inst. 1981, 67, 929–933. [Google Scholar] [CrossRef]
- Filoni, C.; Helfer-Hungerbuehler, A.K.; Catão-Dias, J.L.; Marques, M.C.; Torres, L.N.; Reinacher, M.; Hofmann-Lehmann, R. Putative progressive and abortive feline leukemia virus infection outcomes in captive jaguarundis (Puma yagouaroundi). Virol. J. 2017, 14, 226. [Google Scholar] [CrossRef]
- Daniels, M.J.; Golder, M.C.; Jarrett, O.; MacDonald, D.W. Feline viruses in wildcats from Scotland. J. Wildl. Dis. 1999, 35, 121–124. [Google Scholar] [CrossRef] [PubMed]
- Duarte, A.; Fernandes, M.; Santos, N.; Tavares, L. Virological survey in free-ranging wildcats (Felis silvestris) and feral domestic cats in Portugal. Vet. Microbiol. 2012, 158, 400–404. [Google Scholar] [CrossRef] [PubMed]
- Fromont, E.; Sager, A.; Léger, F.; Bourguemestre, F.; Jouquelet, E.; Stahl, P.; Pontier, D.; Artois, M. Prevalence and pathogenicity of retroviruses in wildcats in France. Vet. Rec. 2000, 146, 317–319. [Google Scholar] [CrossRef] [PubMed]
- Heddergott, M.; Steeb, S.; Osten-Sacken, N.; Steinbach, P.; Schneider, S.; Pir, J.P.; Müller, F.; Pigneur, L.M.; Frantz, A.C. Serological survey of feline viral pathogens in free-living European wildcats (Felis s. silvestris) from Luxembourg. Arch. Virol. 2018, 163, 3131–3134. [Google Scholar] [CrossRef]
- Leutenegger, C.M.; Hofmann-Lehmann, R.; Riols, C.; Liberek, M.; Worel, G.; Lups, P.; Fehr, D.; Hartmann, M.; Weilenmann, P.; Lutz, H. Viral infections in free-living populations of the European wildcat. J. Wildl. Dis. 1999, 35, 678–686. [Google Scholar] [CrossRef]
- Millán, J.; Candela, M.G.; Palomares, F.; Cubero, M.J.; Rodríguez, A.; Barral, M.; de la Fuente, J.; Almería, S.; León-Vizcaíno, L. Disease threats to the endangered Iberian lynx (Lynx pardinus). Vet. J. 2009, 182, 114–124. [Google Scholar] [CrossRef]
- Englert, T.; Lutz, H.; Sauter-Louis, C.; Hartmann, K. Survey of the feline leukemia virus infection status of cats in Southern Germany. J. Feline Med. Surg. 2012, 14, 392–398. [Google Scholar] [CrossRef]
- Langhammer, S.; Hübner, J.; Kurth, R.; Denner, J. Antibodies neutralizing feline leukaemia virus (FeLV) in cats immunized with the transmembrane envelope protein p15e. Immunology 2006, 117, 229–237. [Google Scholar] [CrossRef]
- Studer, N.; Lutz, H.; Saegerman, C.; Gönczi, E.; Meli, M.L.; Boo, G.; Hartmann, K.; Hosie, M.J.; Moestl, K.; Tasker, S.; et al. Pan-European study on the prevalence of the feline leukaemia virus infection—Reported by the European advisory board on cat diseases (ABCD Europe). Viruses 2019, 11, 993. [Google Scholar] [CrossRef]
- Pfankuche, V.M.; Jo, W.K.; van der Vries, E.; Jungwirth, N.; Lorenzen, S.; Osterhaus, A.D.M.E.; Baumgärtner, W.; Puff, C. Neuronal vacuolization in feline panleukopenia virus infection. Vet. Pathol. 2018, 55, 294–297. [Google Scholar] [CrossRef]
- Martin, D.P.; Murrell, B.; Golden, M.; Khoosal, A.; Muhire, B. Rdp4: Detection and analysis of recombination patterns in virus genomes. Virus Evol. 2015, 1, vev003. [Google Scholar] [CrossRef] [PubMed]
- Di Martino, B.; Di Profio, F.; Melegari, I.; Marsilio, F. Feline virome—A review of novel enteric viruses detected in cats. Viruses 2019, 11, 908. [Google Scholar] [CrossRef] [PubMed]
- Mitchell, S.D.; Ramachandran, A.; Gupta, S.K.; Olson, D.; Ford, A.K. Acute gastrointestinal disease in a young bobcat (Lynx rufus). J. Am. Vet. Med. Assoc. 2024, 262, 1–3. [Google Scholar] [CrossRef]
- Kipar, A.; Kremendahl, J.; Jackson, M.L.; Reinacher, M. Comparative examination of cats with feline leukemia virus-associated enteritis and other relevant forms of feline enteritis. Vet. Pathol. 2001, 38, 359–371. [Google Scholar] [CrossRef]
- Reinacher, M. Feline leukemia virus-associated enteritis—A condition with features of feline panleukopenia. Vet. Pathol. 1987, 24, 1–4. [Google Scholar] [CrossRef]
- Kipar, A.; Kremendahl, J.; Grant, C.K.; von Bothmer, I.; Reinacher, M. Expression of viral proteins in feline leukemia virus-associated enteritis. Vet. Pathol. 2000, 37, 129–136. [Google Scholar] [CrossRef] [PubMed]
- Hartmann, K. Clinical aspects of feline retroviruses: A review. Viruses 2012, 4, 2684–2710. [Google Scholar] [CrossRef]
- Meli, M.L.; Cattori, V.; Martínez, F.; López, G.; Vargas, A.; Palomares, F.; López-Bao, J.V.; Hofmann-Lehmann, R.; Lutz, H. Feline leukemia virus infection: A threat for the survival of the critically endangered Iberian lynx (Lynx pardinus). Vet. Immunol. Immunopathol. 2010, 134, 61–67. [Google Scholar] [CrossRef]
- Highland, M.A.; Byrne, B.A.; Debroy, C.; Samitz, E.M.; Peterson, T.S.; Oslund, K.L. Extraintestinal pathogenic Escherichia coli-induced pneumonia in three kittens and fecal prevalence in a clinically healthy cohort population. J. Vet. Diagn. Investig. 2009, 21, 609–615. [Google Scholar] [CrossRef]
- Silva, R.O.S.; Ribeiro, M.G.; de Paula, C.L.; Pires, I.H.; Oliveira Junior, C.A.; Diniz, A.N.; de Araújo Nunes, T.A.; Lobato, F.C.F. Isolation of Clostridium perfringens and Clostridioides difficile in diarrheic and nondiarrheic cats. Anaerobe 2020, 62, 102164. [Google Scholar] [CrossRef]
- Nájera, F.; Sánchez-Cuerda, S.; López, G.; Del Rey-Wamba, T.; Rueda, C.; Vallverdú-Coll, N.; Panadero, J.; Palacios, M.J.; López-Bao, J.V.; Jiménez, J. Lynx eats cat: Disease risk assessment during an Iberian lynx intraguild predation. Eur. J. Wildl. Res. 2019, 65, 39. [Google Scholar] [CrossRef] [PubMed]
- Gajdárová, B.; Belotti, E.; Bufka, L.; Volfová, J.; Wölfl, S.; Mináriková, T.; Hollerbach, L.; Duľa, M.; Kleven, O.; Kutal, M.; et al. Long-term genetic monitoring of a reintroduced Eurasian lynx population does not indicate an ongoing loss of genetic diversity. Glob. Ecol. Conserv. 2023, 42, e02399. [Google Scholar] [CrossRef]
- Mueller, S.A.; Prost, S.; Anders, O.; Breitenmoser-Würsten, C.; Kleven, O.; Klinga, P.; Konec, M.; Kopatz, A.; Krojerová-Prokešová, J.; Middelhoff, T.L.; et al. Genome-wide diversity loss in reintroduced Eurasian lynx populations urges immediate conservation management. Biol. Conserv. 2022, 266, 109442. [Google Scholar] [CrossRef]
- Brandes, F. (Wildtier- und Artenschutzstation e.V., Sachsenhagen, Lower Saxony, Germany). Personal communication, 2024.
- Wölfl, S. (Luchs Bayern e.V., Waldmünchen, Bavaria, Germany). Personal communication, 2024.
- Meli, M.L.; Cattori, V.; Martínez, F.; López, G.; Vargas, A.; Simón, M.A.; Zorrilla, I.; Muñoz, A.; Palomares, F.; López-Bao, J.V.; et al. Feline leukemia virus and other pathogens as important threats to the survival of the critically endangered Iberian lynx (Lynx pardinus). PLoS ONE 2009, 4, e4744. [Google Scholar] [CrossRef]
- Allander, T.; Emerson, S.U.; Engle, R.E.; Purcell, R.H.; Bukh, J. A virus discovery method incorporating DNase treatment and its application to the identification of two bovine parvovirus species. Proc. Natl. Acad. Sci. USA 2001, 98, 11609–11614. [Google Scholar] [CrossRef]
- Kalantar, K.L.; Carvalho, T.; de Bourcy, C.F.; Dimitrov, B.; Dingle, G.; Egger, R.; Han, J.; Holmes, O.B.; Juan, Y.F.; King, R.; et al. IDseq-An open source cloud-based pipeline and analysis service for metagenomic pathogen detection and monitoring. GigaScience 2020, 9, giaa111. [Google Scholar] [CrossRef]
- Tandon, R.; Cattori, V.; Gomes-Keller, M.A.; Meli, M.L.; Golder, M.C.; Lutz, H.; Hofmann-Lehmann, R. Quantitation of feline leukaemia virus viral and proviral loads by TaqMan real-time polymerase chain reaction. J. Virol. Methods 2005, 130, 124–132. [Google Scholar] [CrossRef]
- Katoh, K.; Rozewicki, J.; Yamada, K.D. MAFFT online service: Multiple sequence alignment, interactive sequence choice and visualization. Brief. Bioinform. 2019, 20, 1160–1166. [Google Scholar] [CrossRef]
- Tamura, K.; Stecher, G.; Kumar, S. MEGA11: Molecular evolutionary genetics analysis version 11. Mol. Biol. Evol. 2021, 38, 3022–3027. [Google Scholar] [CrossRef]
- Erbeck, K.; Gagne, R.B.; Kraberger, S.; Chiu, E.S.; Roelke-Parker, M.; VandeWoude, S. Feline leukemia virus (FeLV) endogenous and exogenous recombination events result in multiple FeLV-B subtypes during natural infection. J. Virol. 2021, 95, e0035321. [Google Scholar] [CrossRef]
- Goettling, J.; Goeritz, F.; Jewgenow, K.; Painer, J. Serum chemistry and haematology for female Eurasian lynx (Lynx lynx). Eur. J. Wildl. Res. 2016, 62, 365–367. [Google Scholar] [CrossRef]
- Moen, R.; Rasmussen, J.M.; Burdett, C.L.; Pelican, K.M. Hematology, serum chemistry, and body mass of free-ranging and captive Canada lynx in Minnesota. J. Wildl. Dis. 2010, 46, 13–22. [Google Scholar] [CrossRef] [PubMed][Green Version]
- Gregor, K.M.; Jesse, S.T.; Verspohl, J.; Brandes, F.; Beineke, A. Felines-Leukämievirus-assoziierte Enteritis bei einem Eurasischen Luchs (Lynx lynx). In proceedings of the 64. Jahrestagung der Fachgruppe Pathologie der Deutschen Veterinärmedizinischen Gesellschaft, Fulda, Germany, 06.03.2021–07.03.2021. Tierärztliche Prax. Großtiere 2021, 49, 218. [Google Scholar] [CrossRef]



Disclaimer/Publisher’s Note: The statements, opinions and data contained in all publications are solely those of the individual author(s) and contributor(s) and not of MDPI and/or the editor(s). MDPI and/or the editor(s) disclaim responsibility for any injury to people or property resulting from any ideas, methods, instructions or products referred to in the content. |
© 2024 by the authors. Licensee MDPI, Basel, Switzerland. This article is an open access article distributed under the terms and conditions of the Creative Commons Attribution (CC BY) license (https://creativecommons.org/licenses/by/4.0/).
Share and Cite
Gregor, K.M.; Mirolo, M.; Brandes, F.; Jesse, S.T.; Kaiser, F.; Verspohl, J.; Wölfl, S.; Osterhaus, A.D.M.E.; Baumgärtner, W.; Ludlow, M.; et al. Fatal Feline Leukemia Virus-Associated Enteritis in a Wild Eurasian Lynx (Lynx lynx) in Germany. Biology 2024, 13, 997. https://doi.org/10.3390/biology13120997
Gregor KM, Mirolo M, Brandes F, Jesse ST, Kaiser F, Verspohl J, Wölfl S, Osterhaus ADME, Baumgärtner W, Ludlow M, et al. Fatal Feline Leukemia Virus-Associated Enteritis in a Wild Eurasian Lynx (Lynx lynx) in Germany. Biology. 2024; 13(12):997. https://doi.org/10.3390/biology13120997
Chicago/Turabian StyleGregor, Katharina M., Monica Mirolo, Florian Brandes, Sonja T. Jesse, Franziska Kaiser, Jutta Verspohl, Sybille Wölfl, Albert D. M. E. Osterhaus, Wolfgang Baumgärtner, Martin Ludlow, and et al. 2024. "Fatal Feline Leukemia Virus-Associated Enteritis in a Wild Eurasian Lynx (Lynx lynx) in Germany" Biology 13, no. 12: 997. https://doi.org/10.3390/biology13120997
APA StyleGregor, K. M., Mirolo, M., Brandes, F., Jesse, S. T., Kaiser, F., Verspohl, J., Wölfl, S., Osterhaus, A. D. M. E., Baumgärtner, W., Ludlow, M., & Beineke, A. (2024). Fatal Feline Leukemia Virus-Associated Enteritis in a Wild Eurasian Lynx (Lynx lynx) in Germany. Biology, 13(12), 997. https://doi.org/10.3390/biology13120997

