Are Cement Spacers and Beads Loaded with the Correct Antibiotic(s) at the Site of Periprosthetic Hip and Knee Joint Infections?
Abstract
1. Introduction
2. Results
2.1. Demographic Data
2.2. Microbiological Findings
2.3. Antibiotic Impregnation of the Spacers/Beads and Resistance Rates
2.4. Clinical and Infection Outcome
3. Discussion
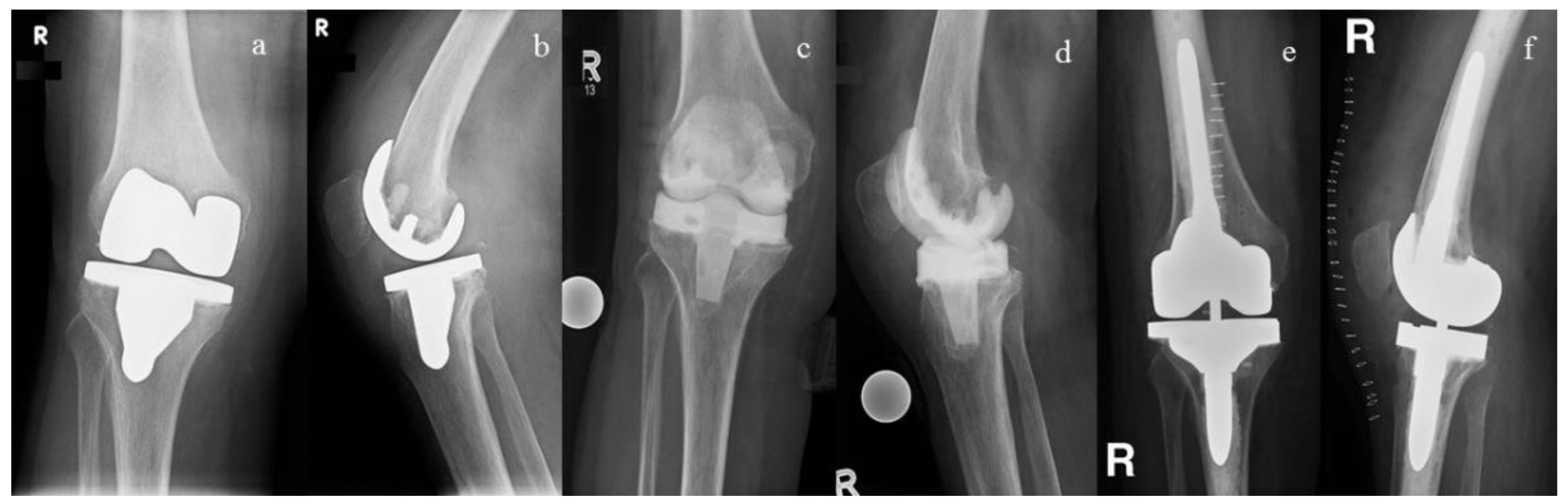
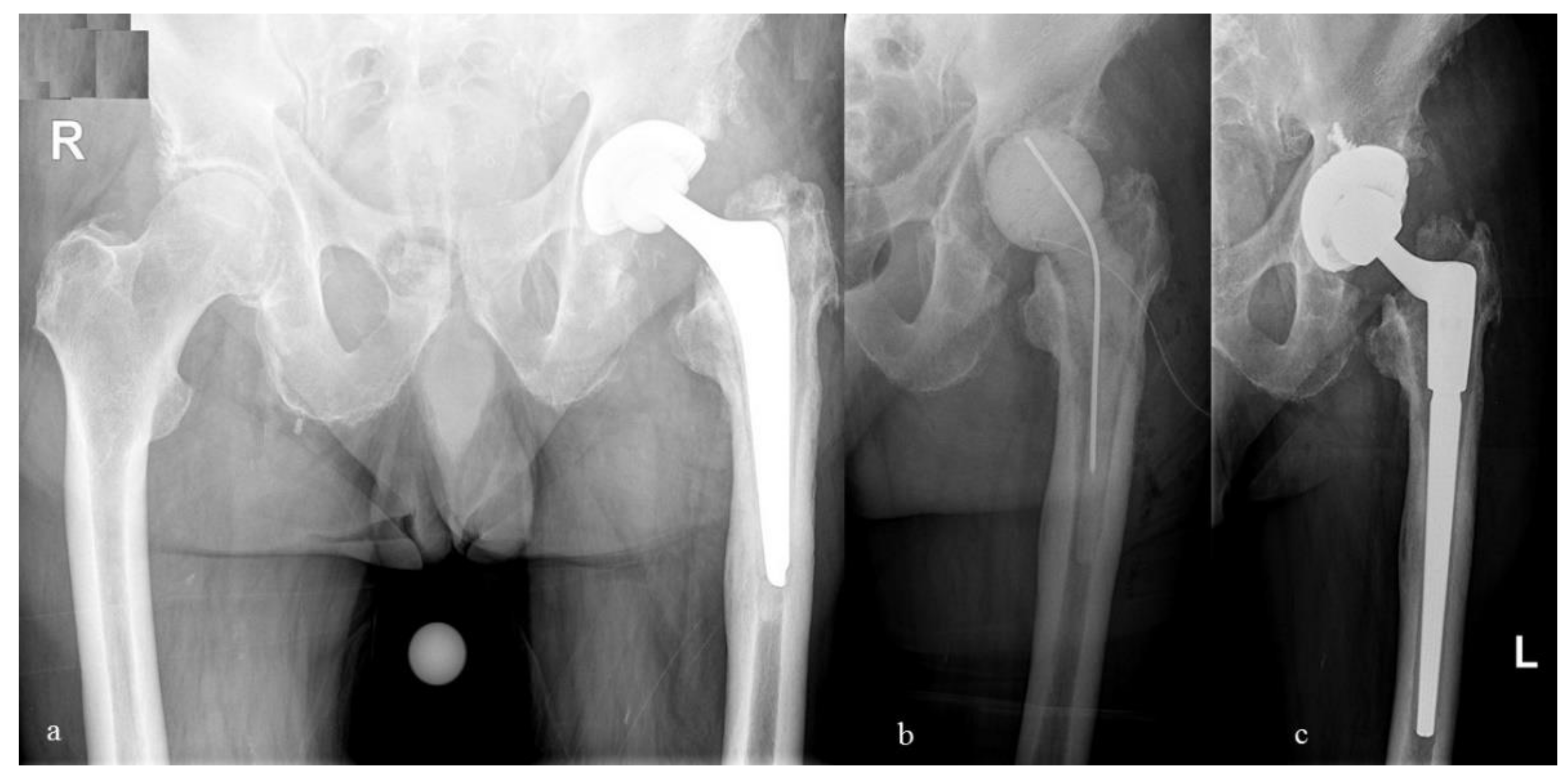
4. Materials and Methods
5. Conclusions
Author Contributions
Funding
Informed Consent Statement
Data Availability Statement
Conflicts of Interest
References
- Anagnostakos, K.; Fink, B. Antibiotic-loaded cement spacers—Lessons learned from the past 20 years. Expert Rev. Med. Devices 2018, 15, 231–245. [Google Scholar] [CrossRef] [PubMed]
- Janz, V.; Bartek, B.; Wassilew, G.I.; Stuhlert, M.; Perka, C.F.; Winkler, T. Validation of Synovial Aspiration in Girdlestone Hips for Detection of Infection Persistence in Patients Undergoing 2-Stage Revision Total Hip Arthroplasty. J. Arthroplast. 2016, 31, 684–687. [Google Scholar] [CrossRef] [PubMed]
- Zahar, A.; Webb, J.; Gehrke, M.T.; Kendoff, D. One-Stage Exchange for Prosthetic Joint Infection of the Hip. HIP Int. 2015, 25, 301–307. [Google Scholar] [CrossRef]
- Zeller, V.; Lhotellier, L.; Marmor, S.; Leclerc, P.; Krain, A.; Graff, W.; Ducroquet, F.; Biau, D.; Leonard, P.; Desplaces, N.; et al. One-Stage Exchange Arthroplasty for Chronic Periprosthetic Hip Infection: Results of a Large Prospective Cohort Study. J. Bone Jt. Surg. Am. 2014, 96, e1. [Google Scholar] [CrossRef] [PubMed]
- Sultan, A.A.; Samuel, L.T.; Umpierrez, E.; Swiergosz, A.; Rabin, J.; Mahmood, B.; Mont, M.A. Routine use of commercial antibiotic-loaded bone cement in primary total joint arthroplasty: A critical analysis of the current evidence. Ann. Transl. Med. 2019, 7, 73. [Google Scholar] [CrossRef]
- Available online: www.heraeus.com/de/hme/products_solutions_heraeus_medical/septicrevision/septic_revision_1.html (accessed on 5 January 2021).
- Anagnostakos, K.; Hitzler, P.; Pape, D.; Kohn, D.; Kelm, J. Persistence of bacterial growth on antibiotic-loaded beads: Is it actually a problem? Acta Orthop. 2008, 79, 302–307. [Google Scholar] [CrossRef]
- Schwarz, E.M.; McLaren, A.C.; Sculco, T.P.; Brause, B.; Bostrom, M.; Kates, S.L.; Parvizi, J.; Alt, V.; Arnold, W.V.; Carli, A.; et al. Adjuvant antibiotic-loaded bone cement: Concerns with current use and research to make it work. J. Orthop. Res. 2020. [Google Scholar] [CrossRef]
- Parvizi, J.; Zmistowski, B.; Berbari, E.F.; Bauer, T.W.; Springer, B.D.; Della Valle, C.J.; Garvin, K.L.; Mont, M.A.; Wongworawat, M.D.; Zalavras, C.G. New Definition for Periprosthetic Joint Infection: From the Workgroup of the Musculoskeletal Infection Society. Clin. Orthop. Relat. Res. 2011, 469, 2992–2994. [Google Scholar] [CrossRef]
- Parvizi, J.; Tan, T.L.; Goswami, K.; Higuera, C.; Della Valle, C.; Chen, A.F.; Shohat, N. The 2018 Definition of Periprosthetic Hip and Knee Infection: An Evidence-Based and Validated Criteria. J. Arthroplast. 2018, 33, 1309–1314.e2. [Google Scholar] [CrossRef]
- Renz, N.; Yermak, K.; Perka, C.; Trampuz, A. Alpha defensin lateral flow test for diagnosis of periprosthetic joint infection; not a screening but a confirmatory test. J. Bone Jt. Surg. Am. 2018, 100, 742–750. [Google Scholar] [CrossRef]
- Parvizi, J.; Fassihi, S.C.; Enayatollahi, M.A. Diagnosis of Periprosthetic Joint Infection Following Hip and Knee Arthroplasty. Orthop. Clin. N. Am. 2016, 47, 505–515. [Google Scholar] [CrossRef]
- Hardcastle, J.M.; So, D.H.; Lee, G.-C. The Fate of Revision Total Knee Arthroplasty with Preoperative Abnormalities in Either Sedimentation Rate or C-Reactive Protein. J. Arthroplast. 2016, 31, 2831–2834. [Google Scholar] [CrossRef]
- Kim, T.W.; Kim, N.H.; Oh, W.S.; Sim, J.A.; Lee, Y.S.; Lee, B.K. Analysis of the Causes of Elevated C-Reactive Protein Level in the Early Postoperative Period After Primary Total Knee Arthroplasty. J. Arthroplast. 2016, 31, 1990–1996. [Google Scholar] [CrossRef] [PubMed]
- Schiffner, E.; Latz, D.; Thelen, S.; Grassmann, J.P.; Karbowski, A.; Windolf, J.; Schneppendahl, J.; Jungbluth, P. Normal CRP and WBC values in total hip arthroplasty (THA) with signs of loosening. Do we need a joint aspiration? J. Clin. Orthop. Trauma 2019, 10, 566–570. [Google Scholar] [CrossRef] [PubMed]
- Gollwitzer, P.D.H.; Dombrowski, Y.; Prodinger, P.M.; Perić, M.; Summer, B.; Hapfelmeier, A.; Saldamli, B.; Pankow, F.; Von Eisenhart-Rothe, R.; Imhoff, A.B.; et al. Antimicrobial Peptides and Proinflammatory Cytokines in Periprosthetic Joint Infection. J. Bone Jt. Surg. Am. 2013, 95, 644–651. [Google Scholar] [CrossRef]
- Deirmengian, C.; Hallab, N.; Tarabishy, A.; Della Valle, C.; Jacobs, J.J.; Lonner, J.; Booth, R.E., Jr. Synovial fluid biomarkers for periprosthetic infection. Clin. Orthop. Relat. Res. 2010, 468, 2017–2023. [Google Scholar] [CrossRef] [PubMed]
- Randau, T.; Friedrich, M.J.; Wimmer, M.D.; Reichert, B.; Kuberra, D.; Stoffel-Wagner, B.; Limmer, A.; Wirtz, D.C.; Gravius, S. Interleukin-6 in Serum and in Synovial Fluid Enhances the Differentiation between Periprosthetic Joint Infection and Aseptic Loosening. PLoS ONE 2014, 9, e89045. [Google Scholar] [CrossRef]
- Goswami, K.; Parvizi, J.; Courtney, P.M. Current Recommendations for the Diagnosis of Acute and Chronic PJI for Hip and Knee—Cell Counts, Alpha-Defensin, Leukocyte Esterase, Next-generation Sequencing. Curr. Rev. Musculoskelet. Med. 2018, 11, 428–438. [Google Scholar] [CrossRef]
- Marson, B.A.; Deshmukh, S.R.; Grindlay, D.J.C.; Scammell, B.E. Alpha-defensin and the Synovasure lateral flow device for the diagnosis of prosthetic joint infection. Bone Jt. J. 2018, 100, 703–711. [Google Scholar] [CrossRef]
- Shafafy, R.; McClatchie, W.; Chettiar, K.; Gill, K.; Hargrove, R.; Sturridge, S.; Guyot, A.L. Use of leucocyte esterase reagent strips in the diagnosis or exclusion of prosthetic joint infection. Bone Jt. J. 2015, 97, 1232–1236. [Google Scholar] [CrossRef]
- Verberne, S.J.; Raijmakers, P.G.; Temmerman, O.P. The accuracy of imaging techniques in the assessment of periprosthetic hip infection: A systematic review and meta-analysis. J. Bone Jt. Surg. Am. 2016, 98, 1638–1645. [Google Scholar] [CrossRef] [PubMed]
- Osmon, D.R.; Berbari, E.F.; Berendt, A.R.; Lew, D.; Zimmerli, W.; Steckelberg, J.M.; Rao, N.; Hanssen, A.; Wilson, W.R. Diagnosis and Management of Prosthetic Joint Infection: Clinical Practice Guidelines by the Infectious Diseases Society of America. Clin. Infect. Dis. 2013, 56, e1–e25. [Google Scholar] [CrossRef] [PubMed]
- Drago, L.; De Vecchi, E.; Bortolin, M.; Zagra, L.; Romano, C.; Cappelletti, L. Epidemiology and Antibiotic Resistance of Late Prosthetic Knee and Hip Infections. J. Arthroplast. 2017, 32, 2496–2500. [Google Scholar] [CrossRef] [PubMed]
- Nickinson, R.; Board, T.; Gambhir, A.K.; Porter, M.L.; Kay, P.R. The microbiology of the infected knee arthroplasty. Int. Orthop. 2009, 34, 505–510. [Google Scholar] [CrossRef]
- Palan, J.; Nolan, C.; Sarantos, K.; Westerman, R.; King, R.; Foguet, P. Culture-negative periprosthetic joint infections. EFORT Open Rev. 2019, 4, 585–594. [Google Scholar] [CrossRef]
- Anagnostakos, K. Therapeutic Use of Antibiotic-loaded Bone Cement in the Treatment of Hip and Knee Joint Infections. J. Bone Jt. Infect. 2017, 2, 29–37. [Google Scholar] [CrossRef]
- Anagnostakos, K.; Kelm, J. Enhancement of antibiotic elution from acrylic bone cement. J. Biomed. Mater. Res. Part B Appl. Biomater. 2009, 90, 467–475. [Google Scholar] [CrossRef]
- Giers, M.; McLaren, A.C.; Schmidt, K.J.; Caplan, M.R.; McLemore, R. Distribution of molecules locally delivered from bone cement. J. Biomed. Mater. Res. Part B Appl. Biomater. 2014, 102, 806–814. [Google Scholar] [CrossRef]
- Bentley, K.L.D.M.; Trombetta, R.; Nishitani, K.; Bello-Irizarry, S.N.; Ninomiya, M.; Zhang, L.; Chung, H.L.; McGrath, J.L.; Daiss, J.L.; Awad, H.A.; et al. Evidence of Staphylococcus Aureus Deformation, Proliferation, and Migration in Canaliculi of Live Cortical Bone in Murine Models of Osteomyelitis. J. Bone Miner. Res. 2017, 32, 985–990. [Google Scholar] [CrossRef]
- Citak, M.; Argenson, J.N.; Masri, B.; Kendoff, D.; Springer, B.; Alt, V.; Cui, Q.; Deirmengian, D.K.; del Sel, H.; Harrer, M.F.; et al. Spacers. J. Orthop. Res. 2014, 32, S120–S129. [Google Scholar] [CrossRef]
- Sorli, L.; Puig, R.; Torres-Claramunt, R.; Gonzalez, A.; Alier, A.; Knobel, H.; Salvado, M.; Horcajada, J.P. The relationship between microbiology results in the second of a two-stage exchange procedure using cement spacers and the outcome after revision total joint replacement for infection: The use of sonication to aid bacteriological analysis. J. Bone Jt. Surg. Br. 2012, 94, 249–253. [Google Scholar] [CrossRef] [PubMed]
- Mariconda, M.; Ascione, T.; Balato, G.; Rotondo, R.; Smeraglia, F.; Costa, G.G.; Conte, M. Sonication of antibiotic-loaded cement spacers in a two-stage revision protocol for infected joint arthroplasty. BMC Musculoskelet. Disord. 2013, 14, 193. [Google Scholar] [CrossRef] [PubMed]
- Nelson, C.L.; Jones, R.B.; Wingert, N.C.; Foltzer, M.; Bowen, T.R. Sonication of antibiotic spacers predicts failure during zwo-stage revision for prosthetic knee and hip infections. Clin. Orthop. Relat. Res. 2014, 472, 2208–2214. [Google Scholar] [CrossRef] [PubMed]
- Schmolders, J.; Hischebeth, G.T.; Friedrich, M.J.; Randau, T.; Wimmer, M.D.; Kohlhof, H.; Molitor, E.; Gravius, S. Evidence of MRSE on a gentamicin and vancomycin impregnated polymethyl-methacrylate (PMMA) bone cement spacer after two-stage exchange arthroplasty due to periprosthetic joint infection of the knee. BMC Infect. Dis. 2014, 14, 144. [Google Scholar] [CrossRef] [PubMed]
- Corona, P.S.; Vicente, M.; Carrera, L.; Rodríguez-Pardo, D.; Corró, S. Current actual success rate of the two-stage exchange arthroplasty strategy in chronic hip and knee periprosthetic joint infection. Bone Jt. J. 2020, 102, 1682–1688. [Google Scholar] [CrossRef]
- Zhang, W.; Fang, X.; Shi, T.; Cai, Y.; Huang, Z.; Zhang, C.; Lin, J.; Li, W. Cemented prosthesis as spacer for two-stage revision of infected hip prostheses: A similar infection remission rate and a lower complication rate. Bone Jt. Res. 2020, 9, 484–492. [Google Scholar] [CrossRef]
- Theil, C.; Freudenberg, S.C.; Gosheger, G.; Schmidt-Braekling, T.; Schwarze, J.; Moellenbeck, B. Do Positive Cultures at Second Stage Re-Implantation Increase the Risk for Reinfection in Two-Stage Exchange for Periprosthetic Joint Infection? J. Arthroplast. 2020, 35, 2996–3001. [Google Scholar] [CrossRef]
- Schäfer, P.; Fink, B.; Sandow, D.; Margull, A.; Berger, I.; Frommelt, L. Prolonged Bacterial Culture to Identify Late Periprosthetic Joint Infection: A Promising Strategy. Clin. Infect. Dis. 2008, 47, 1403–1409. [Google Scholar] [CrossRef]
- Krenn, V.T.; Morawietz, L.; Baumhoer, D.; Krukemeyer, M.; Natu, S.; Boettner, F.; Zustin, J.; Kölbel, B.; Rüther, W.; Kretzer, J.; et al. Revised histopathological consensus classification of joint implant related pathology. Pathol. Res. Pract. 2014, 210, 779–786. [Google Scholar] [CrossRef]
- Anagnostakos, K.; Jung, J.; Schmid, N.V.; Schmitt, E.; Kelm, J. Mechanical complications and reconstruction strategies at the site of hip spacer implantation. Int. J. Med. Sci. 2009, 6, 274–279. [Google Scholar] [CrossRef]
- Engh, G.A.; Ammeen, D.J. Bone loss with revision total knee arthroplasty: Defect classification and alternatives for reconstruction. Instr. Course Lect. 1999, 48, 167–175. [Google Scholar] [PubMed]
- Preininger, B.; Janz, V.; Von Roth, P.; Trampuz, A.; Pfitzner, T.; Perka, C.F. Inadequacy of Joint Aspiration for Detection of Persistent Periprosthetic Infection During Two-Stage Septic Revision Knee Surgery. Orthopedics 2017, 40, 231–234. [Google Scholar] [CrossRef] [PubMed]
- Boelch, S.P.; Roth, M.; Arnholdt, J.; Rudert, M.; Luedemann, M. Synovial Fluid Aspiration Should Not Be Routinely Performed during the Two-Stage Exchange of the Knee. BioMed Res. Int. 2018, 2018, 6720712. [Google Scholar] [CrossRef] [PubMed]






| n = | Gender | Mean Age (Years) (Min–Max) | |
|---|---|---|---|
| total collective | 93 | 46 male, 47 female | 70.6 (35–88) |
| hip (total) | 49 | 19 male, 30 female | 72.1 (35–88) |
| hip (Girdlestone) | 41 | 13 male, 28 female | 72.8 (35–88) |
| hip (spacer) | 8 | 6 male, 2 female | 68.6 (42–86) |
| knee (total) | 44 | 27 male, 17 female | 69.1 (51–87) |
| Pathogen Organism | n = |
|---|---|
| MRSE | 23 |
| MSSA | 13 |
| beta-hem. streptococci | 8 |
| E. faecalis | 7 |
| E. faecium | 5 |
| MSSE | 4 |
| C. acnes | 4 |
| S. caprae | 3 |
| P. micra | 2 |
| E. coli | 2 |
| S. hemolyticus | 2 |
| Ps. aeruginosa | 2 |
| MRSA | 1 |
| C. koseri/diversus | 1 |
| S. warneri | 1 |
| Str. gallolyticus | 1 |
| Enterobacteriacae | 1 |
| Viridans streptococci | 1 |
| Streptococci—n.f.d. | 1 |
| S. hominis | 1 |
| S. marcescens | 1 |
| C. albicans | 1 |
| P. guillermondii | 1 |
| P. mirabilis | 1 |
| E. cloacae | 1 |
| M. morganii | 1 |
| Veilonella parvula/tobetsuensis | 1 |
| negative | 22 |
| Hip Girdlestone (n = 41) | Hip Spacer (n = 8) | Knee Spacer (n = 44) | Total Collective (n = 93) | Persistence of Infection | Reinfection | ||
|---|---|---|---|---|---|---|---|
| G | s | 20 | 0 | 0 | 20 | 0 | 2 |
| p.s. | 9 | 0 | 0 | 9 | 0 | 0 | |
| n.t./n.r. | 12 | 1 | 1 | 14 | 0 | 0 | |
| G + C | s | 0 | 0 | 5 | 5 | 1 | 0 |
| p.s. | 0 | 2 | 7 | 9 | 0 | 0 | |
| n.t./n.r. | 0 | 0 | 5 | 5 | 0 | 0 | |
| G + V | s | 0 | 1 | 7 | 8 | 2 | 1 |
| p.s. | 0 | 1 | 6 | 7 | 0 | 0 | |
| n.t./n.r. | 0 | 2 | 1 | 3 | 0 | 3 | |
| G + C + V | s | 0 | 0 | 3 | 3 | 1 | 0 |
| p.s. | 0 | 1 | 4 | 5 | 0 | 0 | |
| n.t./n.r. | 0 | 0 | 5 | 5 | 0 | 1 |
Publisher’s Note: MDPI stays neutral with regard to jurisdictional claims in published maps and institutional affiliations. |
© 2021 by the authors. Licensee MDPI, Basel, Switzerland. This article is an open access article distributed under the terms and conditions of the Creative Commons Attribution (CC BY) license (http://creativecommons.org/licenses/by/4.0/).
Share and Cite
Anagnostakos, K.; Sahan, I. Are Cement Spacers and Beads Loaded with the Correct Antibiotic(s) at the Site of Periprosthetic Hip and Knee Joint Infections? Antibiotics 2021, 10, 143. https://doi.org/10.3390/antibiotics10020143
Anagnostakos K, Sahan I. Are Cement Spacers and Beads Loaded with the Correct Antibiotic(s) at the Site of Periprosthetic Hip and Knee Joint Infections? Antibiotics. 2021; 10(2):143. https://doi.org/10.3390/antibiotics10020143
Chicago/Turabian StyleAnagnostakos, Konstantinos, and Ismail Sahan. 2021. "Are Cement Spacers and Beads Loaded with the Correct Antibiotic(s) at the Site of Periprosthetic Hip and Knee Joint Infections?" Antibiotics 10, no. 2: 143. https://doi.org/10.3390/antibiotics10020143
APA StyleAnagnostakos, K., & Sahan, I. (2021). Are Cement Spacers and Beads Loaded with the Correct Antibiotic(s) at the Site of Periprosthetic Hip and Knee Joint Infections? Antibiotics, 10(2), 143. https://doi.org/10.3390/antibiotics10020143
