Composite Hydrogels of Ultrasound-Assisted-Digested Formic Acid-Decellularized Extracellular Matrix and Sacchachitin Nanofibers Incorporated with Platelet-Rich Plasma for Diabetic Wound Treatment
Abstract
1. Introduction
2. Materials and Methods
2.1. Materials
2.2. Methods
2.2.1. Preparation of US-Assisted Pepsin-Solubilized dECM Hydrogels
2.2.2. Biochemical Characterization of UdECM Hydrogels
Qualitative Analysis of Collagen
Quantitative Analysis of Collagen
DNA Quantitative Analysis
2.2.3. Physical Characterizations of UdECM Hydrogels
Rheological Studies of UdECM Hydrogels
Morphological Observations
2.2.4. R-PRP Preparation and Determination of PDGF-AB and TGF-β1
2.2.5. In Vivo Studies of Diabetic Wound-Healing
Preparation of Wound Dressings for Animal Studies
Laboratory Animals
Evaluation of Induction of Type 1 Diabetes of the Animal Model
Experimental Design and Surgical Methods
Analysis of Wound-Healing
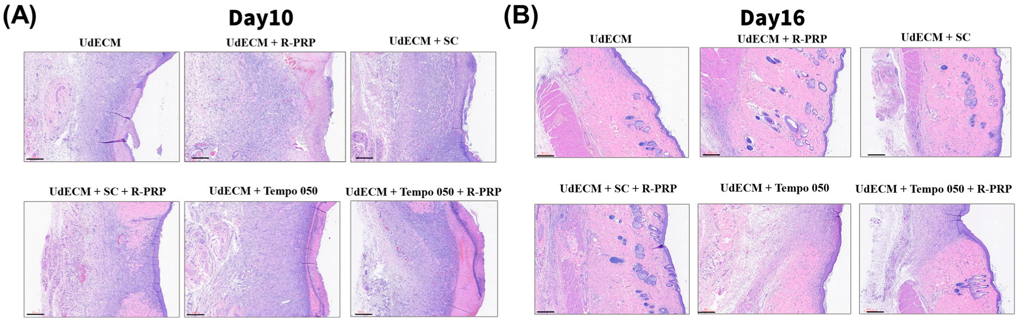
Histopathological Biopsy Evaluation
2.2.6. Statistical Analysis
3. Results and Discussion
3.1. Preparation and Characterization of UdECM Hydrogels
3.1.1. UdECM Process Development
3.1.2. Qualitative and Qualitative Analysis of Collagen in UdECM
3.1.3. DNA Quantitative Analysis
3.2. Rheological Studies
Morphological Studies
3.3. Contents of PDGF-AB and TGF-β1 in R-PRP
3.4. In Vivo Testing on Diabetic Animals
4. Conclusions
Author Contributions
Funding
Data Availability Statement
Acknowledgments
Conflicts of Interest
References
- Badylak, S.F. The extracellular matrix as a biologic scaffold material. Biomaterials 2007, 28, 3587–3593. [Google Scholar] [CrossRef] [PubMed]
- Saldin, L.T.; Cramer, M.C.; Velankar, S.S.; White, L.J.; Badylak, S.F. Extracellular matrix hydrogels from decellularized tissues: Structure and function. Acta Biomater. 2017, 49, 1–15. [Google Scholar] [CrossRef] [PubMed]
- Spang, M.T.; Christman, K.L. Extracellular matrix hydrogel therapies: In vivo applications and development. Acta Biomater. 2018, 68, 1–14. [Google Scholar] [CrossRef] [PubMed]
- Badylak, S.F.; Freytes, D.O.; Gilbert, T.W. Extracellular matrix as a biological scaffold material: Structure and function. Acta Biomater. 2009, 5, 1–13. [Google Scholar] [CrossRef] [PubMed]
- Christman, K.L. Biomaterials for tissue repair. Science 2019, 363, 340–341. [Google Scholar] [CrossRef] [PubMed]
- Freytes, D.O.; Martin, J.; Velankar, S.S.; Lee, A.S.; Badylak, S.F. Preparation and rheological characterization of a gel form of the porcine urinary bladder matrix. Biomaterials 2008, 29, 1630–1637. [Google Scholar] [CrossRef] [PubMed]
- Singelyn, J.M.; DeQuach, J.A.; Seif-Naraghi, S.B.; Littlefield, R.B.; Schup-Magoffin, P.J.; Christman, K.L. Naturally derived myocardial matrix as an injectable scaffold for cardiac tissue engineering. Biomaterials 2009, 30, 5409–5416. [Google Scholar] [CrossRef] [PubMed]
- Singelyn, J.M.; Sundaramurthy, P.; Johnson, T.D.; Schup-Magoffin, P.J.; Hu, D.P.; Faulk, D.M.; Wang, J.; Mayle, K.M.; Bartels, K.; Salvatore, M.; et al. Catheter-deliverable hydrogel derived from decellularized ventricular extracellular matrix increases endogenous cardiomyocytes and preserves cardiac function post-myocardial infarction. J. Am. Coll. Cardiol. 2012, 59, 751–763. [Google Scholar] [CrossRef]
- Seif-Naraghi, S.B.; Singelyn, J.M.; Salvatore, M.A.; Osborn, K.G.; Wang, J.J.; Sampat, U.; Kwan, O.L.; Strachan, G.M.; Wong, J.; Schup-Magoffin, P.J.; et al. Safety and efficacy of an injectable extracellular matrix hydrogel for treating myocardial infarction. Sci. Transl. Med. 2013, 5, 173ra125. [Google Scholar] [CrossRef]
- Wassenaar, J.W.; Gaetani, R.; Garcia, J.J.; Braden, R.L.; Luo, C.G.; Huang, D.; DeMaria, A.N.; Omens, J.H.; Christman, K.L. Evidence for Mechanisms Underlying the Functional Benefits of a Myocardial Matrix Hydrogel for Post-MI Treatment. J. Am. Coll. Cardiol. 2016, 67, 1074–1086. [Google Scholar] [CrossRef]
- Dziki, J.L.; Badylak, S.F. Immunomodulatory biomaterials. Curr. Opin. Biomed. Eng. 2018, 6, 51–57. [Google Scholar] [CrossRef]
- Sadtler, K.; Sommerfeld, S.D.; Wolf, M.T.; Wang, X.; Majumdar, S.; Chung, L.; Kelkar, D.S.; Pandey, A.; Elisseeff, J.H. Proteomic composition and immunomodulatory properties of urinary bladder matrix scaffolds in homeostasis and injury. Semin. Immunol. 2017, 29, 14–23. [Google Scholar] [CrossRef] [PubMed]
- Voytik-Harbin, S.L.; Brightman, A.O.; Waisner, B.Z.; Robinson, J.P.; Lamar, C.H. Small intestinal submucosa: A tissue-derived extracellular matrix that promotes tissue-specific growth and differentiation of cells in vitro. Tissue Eng. 1998, 4, 157–174. [Google Scholar]
- Uriel, S.; Huang, J.J.; Moya, M.L.; Francis, M.E.; Wang, R.; Chang, S.Y.; Cheng, M.H.; Brey, E.M. The role of adipose protein derived hydrogels in adipogenesis. Biomaterials 2008, 29, 3712–3719. [Google Scholar] [CrossRef]
- Uriel, S.; Labay, E.; Francis-Sedlak, M.; Moya, M.L.; Weichselbaum, R.R.; Ervin, N.; Cankova, Z.; Brey, E.M. Extraction and assembly of tissue-derived gels for cell culture and tissue engineering. Tissue Eng. Part C Methods 2009, 15, 309–321. [Google Scholar] [CrossRef] [PubMed]
- Hussey, G.S.; Nascari, D.G.; Saldin, L.T.; Kolich, B.; Lee, Y.C.; Crum, R.J.; El-Mossier, S.O.; D’Angelo, W.; Dziki, J.L.; Badylak, S.F. Ultrasonic cavitation to prepare ECM hydrogels. Acta Biomater. 2020, 108, 77–86. [Google Scholar] [CrossRef] [PubMed]
- Hsieh, C.-M.; Wang, W.; Chen, Y.-H.; Wei, P.-S.; Liu, Y.-H.; Sheu, M.-T.; Ho, H.-O. A Novel Composite Hydrogel Composed of Formic Acid-Decellularized Pepsin-Soluble Extracellular Matrix Hydrogel and Sacchachitin Hydrogel as Wound Dressing to Synergistically Accelerate Diabetic Wound Healing. Pharmaceutics 2020, 12, 538. [Google Scholar] [CrossRef]
- Li, D.; Mu, C.; Cai, S.; Lin, W. Ultrasonic irradiation in the enzymatic extraction of collagen. Ultrason. Sonochem. 2009, 16, 605–609. [Google Scholar] [CrossRef]
- Chao, F.C.; Wu, M.H.; Chen, L.C.; Lin, H.L.; Liu, D.Z.; Ho, H.O.; Sheu, M.T. Preparation and characterization of chemically TEMPO-oxidized and mechanically disintegrated sacchachitin nanofibers (SCNF) for enhanced diabetic wound healing. Carbohydr. Polym. 2020, 229, 115507. [Google Scholar] [CrossRef]
- Van Buul, G.M.; Koevoet, W.L.; Kops, N.; Bos, P.K.; Verhaar, J.A.; Weinans, H.; Bernsen, M.R.; van Osch, G.J. Platelet-rich plasma releasate inhibits inflammatory processes in osteoarthritic chondrocytes. Am. J. Sports Med. 2011, 39, 2362–2370. [Google Scholar] [CrossRef]
- Qian, Z.; Wang, H.; Bai, Y.; Wang, Y.; Tao, L.; Wei, Y.; Fan, Y.; Guo, X.; Liu, H. Improving Chronic Diabetic Wound Healing through an Injectable and Self-Healing Hydrogel with Platelet-Rich Plasma Release. ACS Appl. Mater. Interfaces 2020, 12, 55659–55674. [Google Scholar] [CrossRef] [PubMed]
- Jhan, H.-J.; Liu, J.-J.; Chen, Y.-C.; Liu, D.-Z.; Sheu, M.-T.; Ho, H.-O. Novel injectable thermosensitive hydrogels for delivering hyaluronic acid–doxorubicin nanocomplexes to locally treat tumors. Nanomedicine 2015, 10, 1263–1274. [Google Scholar] [CrossRef] [PubMed]
- Ho, H.-O.; Lin, L.-H.; Sheu, M.-T. Characterization of collagen isolation and application of collagen gel as a drug carrier. J. Control. Release 1997, 44, 103–112. [Google Scholar] [CrossRef]
- Palsamy, P.; Subramanian, S. Resveratrol, a natural phytoalexin, normalizes hyperglycemia in streptozotocin-nicotinamide induced experimental diabetic rats. Biomed. Pharmacother. 2008, 62, 598–605. [Google Scholar] [CrossRef] [PubMed]
- Antoine, E.E.; Vlachos, P.P.; Rylander, M.N. Review of collagen I hydrogels for bioengineered tissue microenvironments: Characterization of mechanics, structure, and transport. Tissue Eng. Part B Rev. 2014, 20, 683–696. [Google Scholar] [CrossRef] [PubMed]
- Tosh, S.M.; Marangoni, A.G. Determination of the maximum gelation temperature in gelatin gels. Appl. Phys. Lett. 2004, 84, 4242–4244. [Google Scholar] [CrossRef]
- Lin, H.J.; Wang, T.J.; Li, T.W.; Chang, Y.Y.; Sheu, M.T.; Huang, Y.Y.; Liu, D.Z. Development of Decellularized Cornea by Organic Acid Treatment for Corneal Regeneration. Tissue Eng. Part A 2019, 25, 652–662. [Google Scholar] [CrossRef]
- Lai, F.; Kakudo, N.; Morimoto, N.; Taketani, S.; Hara, T.; Ogawa, T.; Kusumoto, K. Platelet-rich plasma enhances the proliferation of human adipose stem cells through multiple signaling pathways. Stem Cell Res. Ther. 2018, 9, 107. [Google Scholar] [CrossRef]
- Van den Dolder, J.; Mooren, R.; Vloon, A.P.; Stoelinga, P.J.; Jansen, J.A. Platelet-rich plasma: Quantification of growth factor levels and the effect on growth and differentiation of rat bone marrow cells. Tissue Eng. 2006, 12, 3067–3073. [Google Scholar] [CrossRef]
- Guo, X.; Mu, D.; Gao, F. Efficacy and safety of acellular dermal matrix in diabetic foot ulcer treatment: A systematic review and meta-analysis. Int. J. Surg. 2017, 40, 1–7. [Google Scholar] [CrossRef]
- Lin, Y.C.; Tan, F.J.; Marra, K.G.; Jan, S.S.; Liu, D.C. Synthesis and characterization of collagen/hyaluronan/chitosan composite sponges for potential biomedical applications. Acta Biomater. 2009, 5, 2591–2600. [Google Scholar] [CrossRef]
- Hung, W.S.; Fang, C.L.; Su, C.H.; Lai, W.F.; Chang, Y.C.; Tsai, Y.H. Cytotoxicity and immunogenicity of SACCHACHITIN and its mechanism of action on skin wound healing. J. Biomed. Mater. Res. 2001, 56, 93–100. [Google Scholar] [CrossRef]
- Solanki, D.; Vinchhi, P.; Patel, M.M. Design Considerations, Formulation Approaches, and Strategic Advances of Hydrogel Dressings for Chronic Wound Management. ACS Omega 2023, 8, 8172–8189. [Google Scholar] [CrossRef]











| A | B | C | D | E | F | |
|---|---|---|---|---|---|---|
| Wound Dressing | UdECM | UdECM/PRP | UdECM/SCNFs | UdECM/SCNFs/PRP | UdECM/TEMPO 050 | UdECM/TEMPO 050/PRP |
| UdECM (mg) | 50 | 50 | 50 | 50 | 50 | 50 |
| SCNFs (mg) | 50 | 50 | ||||
| TEMPO 050 (mg) | 50 | 50 | ||||
| R-PRP (pg) | 800 | 800 | 800 |
| Wound Dressing | Scarring | H&E | MT | CD31 | Sum |
|---|---|---|---|---|---|
| UdECM | 1 | 2 | 4 | 2 | 9 |
| UdECM/R-PRP | 3 | 3 | 4 | 4 | 14 |
| UdECM/SCNFs | 3 | 4 | 3 | 3 | 13 |
| UdECM/SCNFs/R-PRP | 4 | 5 | 5 | 4 | 18 |
| UdECM/TEMPO 050 | 1 | 1 | 2 | 1 | 5 |
| UdECM/TEMPO 050/R-PRP | 1 | 2 | 2 | 2 | 7 |
Disclaimer/Publisher’s Note: The statements, opinions and data contained in all publications are solely those of the individual author(s) and contributor(s) and not of MDPI and/or the editor(s). MDPI and/or the editor(s) disclaim responsibility for any injury to people or property resulting from any ideas, methods, instructions or products referred to in the content. |
© 2023 by the authors. Licensee MDPI, Basel, Switzerland. This article is an open access article distributed under the terms and conditions of the Creative Commons Attribution (CC BY) license (https://creativecommons.org/licenses/by/4.0/).
Share and Cite
Lin, C.-J.; Lin, H.-L.; You, W.-C.; Ho, H.-O.; Sheu, M.-T.; Chen, L.-C.; Cheng, W.-J. Composite Hydrogels of Ultrasound-Assisted-Digested Formic Acid-Decellularized Extracellular Matrix and Sacchachitin Nanofibers Incorporated with Platelet-Rich Plasma for Diabetic Wound Treatment. J. Funct. Biomater. 2023, 14, 423. https://doi.org/10.3390/jfb14080423
Lin C-J, Lin H-L, You W-C, Ho H-O, Sheu M-T, Chen L-C, Cheng W-J. Composite Hydrogels of Ultrasound-Assisted-Digested Formic Acid-Decellularized Extracellular Matrix and Sacchachitin Nanofibers Incorporated with Platelet-Rich Plasma for Diabetic Wound Treatment. Journal of Functional Biomaterials. 2023; 14(8):423. https://doi.org/10.3390/jfb14080423
Chicago/Turabian StyleLin, Chien-Ju, Hong-Liang Lin, Wen-Chen You, Hsiu-O Ho, Ming-Thau Sheu, Ling-Chun Chen, and Wei-Jie Cheng. 2023. "Composite Hydrogels of Ultrasound-Assisted-Digested Formic Acid-Decellularized Extracellular Matrix and Sacchachitin Nanofibers Incorporated with Platelet-Rich Plasma for Diabetic Wound Treatment" Journal of Functional Biomaterials 14, no. 8: 423. https://doi.org/10.3390/jfb14080423
APA StyleLin, C.-J., Lin, H.-L., You, W.-C., Ho, H.-O., Sheu, M.-T., Chen, L.-C., & Cheng, W.-J. (2023). Composite Hydrogels of Ultrasound-Assisted-Digested Formic Acid-Decellularized Extracellular Matrix and Sacchachitin Nanofibers Incorporated with Platelet-Rich Plasma for Diabetic Wound Treatment. Journal of Functional Biomaterials, 14(8), 423. https://doi.org/10.3390/jfb14080423

