Reproductive Cycle of the Sea Urchin Paracentrotus lividus (Lamarck, 1816) on the Central West Coast of Portugal: New Perspective on the Gametogenic Cycle
Abstract
:1. Introduction
2. Materials and Methods
2.1. Study Site and Sampling Method
2.2. Biometric Measurements
2.3. Histology
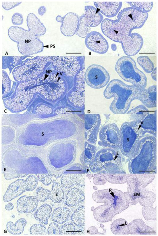
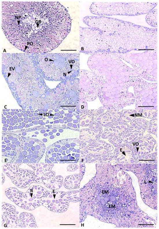
Development of the Gametogenic Stage Scale
- Stage I—Initial phase
 
- Stage II—Growth
 
- Stage III—Premature stage
 
- Stage IV—Mature
 
- Stage V—Spawning
 
- Stage VI—Spent
 
- Stage VII—Reabsorption
 
2.4. Temperature and Photoperiod
2.5. Data Analysis
3. Results
3.1. Biometric Data: Wet Weight and Gonadal Weight
3.2. Variation in Gonadosomatic Index, Temperature and Photoperiod
3.3. Variation in Oocyte Diameter
3.4. Population’s Sex Ratio
3.5. Gametogenic Cycle
4. Discussion
Author Contributions
Funding
Institutional Review Board Statement
Informed Consent Statement
Data Availability Statement
Conflicts of Interest
Appendix A
| Site | Year | Nº of Spawning Events | Spawning Periods | References | 
|---|---|---|---|---|
| Bantry Bay, Ireland | 1972 | 2 | January–March August–September  | [54] | 
| Ballynahown, Ireland | 1986–1988 | 1 | May–July | [25] | 
| Glinsk, Ireland | 1986–1988 | 1 | June–July | [25] | 
| North of Brittany, France | 1968 | 1 | March–September | [7] | 
| Brittany, France | 1993–1995 | 1 | May–August | [28] | 
| Villefranche, France | - | 2 | June October–November  | [41] | 
| Villefranche, France | 1984–1988 | 2 | April–May September–October  | [26] | 
| Marseille, France | - | 2 | June September–November  | [55] | 
| Corsica, France | 1991–1992 | 2 | March–June September–October  | [29] | 
| Bergeggi, Italy | 2004 | 2 | January–May September–December  | [47] | 
| Tavolara island, Italy | 2013–2014 | 2 | June–July October  | [36] | 
| Sínis peninsula, Italy | 2013–2014 | 1 | March–April | [43] | 
| Bistrina Bay, Croatia | 2002–2003 | 1 | March–July | [33] | 
| Bay of Biscay, Spain | 2004–2005 | 2 | March–April July–September  | [5] | 
| Bay of Biscay, Spain | 2008–2009 | 1 | April-May | [56] | 
| Gallize, Spain | 1988–1993 | 1 | April–July | [27] | 
| Torregorda, Spain | 2003 | 1 | April–July | [34] | 
| Pagasitikos Gulf, Greece | 2008–2010 | 2 | March–April October–November  | [48] | 
| Viana do Castelo, Portugal | 2016–2017 | 1 | May–July | [18] | 
| Carreço, Portugal | 2010–2012 | 1 | May–Jun | [17] | 
| Cascais, Portugal | 1999–2000 | 1 | May–Jun | [11] | 
| Aljezur, Portugal | 2010–2012 | 1 | May–Jun | [17] | 
| Gulf of Tunis, Tunisia | 2004–2005 | 1 | April–July | [46] | 
| Casablanca, Morocco | 1999–2000 | 1 | March–June | [31] | 
References
- McBride, S.C. Sea urchin aquaculture. In American Fisheries Society Symposium; American Fisheries Society: Bethesda, MD, USA, 2005; p. 179. [Google Scholar]
 - Bertocci, I.; Dominguez, R.; Freitas, C.; Sousa-Pinto, I. Patterns of variation of intertidal species of commercial interest in the Parque Litoral Norte (north Portugal) MPA: Comparison with three reference shores. Mar. Environ. Res. 2012, 77, 60–70. [Google Scholar] [CrossRef] [PubMed]
 - Bertocci, I.; Dominguez, R.; Machado, I.; Freitas, C.; Godino, J.D.; Sousa-Pinto, I.; Gonçalves, M.; Gaspar, M.B. Multiple effects of harvesting on populations of the purple sea urchin Paracentrotus lividus in north Portugal. Fish. Res. 2014, 150, 60–65. [Google Scholar] [CrossRef]
 - Carboni, S. Research and Development of Hatchery Techniques to Optimise Juvenile Production of the Edible Sea Urchin, Paracentrotus lividus. Ph.D Thesis, University of Stirling, Stirling, UK, 2013. [Google Scholar]
 - González-Irusta, J.M.; Goñi de Cerio, P.; Canteras, J.C. Reproductive cycle of the sea urchin Paracentrotus lividus in the Cantabrian Sea (northern Spain): Environmental effects. J. Mar. Biol. Assoc. U. K. 2010, 90, 699–709. [Google Scholar] [CrossRef]
 - Boudouresque, C.F.; Verlaque, M. Ecology of Paracentrotus lividus. Dev. Aquac. Fish. Sci. 2007, 37, 243–285. [Google Scholar]
 - Allain, J.Y. Structure des populations de Paracentrotus lividus (Lamarck) (Echinodermata, Echinoidea) soumises à la peche sur les côtes nord de Bretagne. Rev. Trav. L’institut Pêches Marit. 1975, 39, 171–212. [Google Scholar]
 - Le Gall, P.; Bucaille, D.; Dutot, P. Résistance aux variations de salinité chez Paracentrotus et Psammechinus. Vie Mar. HS 1989, 10, 83–84. [Google Scholar]
 - Hereu, B. Movement patterns of the sea urchin Paracentrotus lividus in a marine reserve and an unprotected area in the NW Mediterranean. Mar. Ecol. 2005, 26, 54–62. [Google Scholar] [CrossRef]
 - Fernandez, C. Effect of Diet on the Biochemical Composition of Paracentrotus lividus (Echinodermata: Echinoidea) Under Natural and Rearing Conditions (Effect of Diet on Biochemical Composition of Urchins). Comp. Biochem. Physiol. 1997, 118A, 1377–1384. [Google Scholar] [CrossRef]
 - Gago, J.; Range, P.; Luís, O. Growth, reproductive biology and habitat selection of the sea urchin Paracentrotus lividus in the coastal waters of Cascais, Portugal. In Echinoderm Research 2001; Féral, J.P., David, B., Eds.; AA Balkema: Lisse, NL, USA, 2003; pp. 269–276. [Google Scholar]
 - Torres, A.C.; Rubal, M.; Sousa-Pinto, I.; Veiga, P. Effects of Paracentrotus lividus (Lamark, 1816) harvesting on benthic assemblages. An experimental approach. Mar. Ecol. 2019, 40, e12569. [Google Scholar] [CrossRef]
 - Abraham, E.R. Sea-urchin feeding fronts. Ecol. Complex. 2007, 4, 161–168. [Google Scholar] [CrossRef]
 - Agnetta, D.; Bonaviri, C.; Badalamenti, F.; Scianna, C.; Vizzini, S.; Gianguzza, P. Functional traits of two co-occurring sea urchins across a barren / forest patch system. J. Sea Res. 2012, 76, 170–177. [Google Scholar] [CrossRef]
 - Brusca, R.C.; Brusca, G.J. Invertebrates, 2nd ed.; Sinauer Associatespxix: Sunderland, MA, USA, 2003; p. 936. [Google Scholar]
 - Domínguez, R.; Godino, J.D.; Freitas, C.; Machado, I.; Bertocci, I. Habitat traits and patterns of abundance of the purple sea urchin, Paracentrotus lividus (Lamarck, 1816), at multiple scales along the north Portuguese coast. Estuar. Coast. Shelf Sci. 2015, 155, 47–55. [Google Scholar] [CrossRef]
 - Machado, I.; Moura, P.; Pereira, F.; Vasconcelos, P.; Gaspar, M.B. Reproductive cycle of the commercially harvested sea urchin (Paracentrotus lividus) along the western coast of Portugal. Invertebr. Biol. 2019, 138, 40–54. [Google Scholar] [CrossRef]
 - Rocha, F.; Baião, L.F.; Moutinho, S.; Reis, B.; Oliveira, A.; Arenas, F.; Maia MR, G.; Fonseca AJ, M.; Pintado, M.; Valente, L.M. The effect of sex, season and gametogenic cycle on gonad yield, biochemical composition and quality traits of Paracentrotus lividus along the North Atlantic coast of Portugal. Sci. Rep. 2019, 9, 2994. [Google Scholar] [CrossRef] [PubMed]
 - Rocha, F.; Rocha, A.C.; Baião, L.F.; Gadelha, J.; Camacho, C.; Carvalho, M.L.; Arenas, F.; Oliveira, A.; Maia, M.R.G.; Cabrita, A.R.; et al. Seasonal effect in nutritional quality and safety of the wild sea urchin Paracentrotus lividus harvested in the European Atlantic shores. Food Chem. 2019, 282, 84–94. [Google Scholar] [CrossRef] [PubMed]
 - Jacinto, D.; Cruz, T. Paracentrotus lividus (Echinodermata: Echinoidea) attachment force and burrowing behavior in rocky shores of SW Portugal. Zoosymposia 2012, 7, 231–240. [Google Scholar] [CrossRef]
 - Jacinto, D.; Bulleri, F.; Benedetti-Cecchi, L.; Cruz, T. Patterns of abundance, population size structure and microhabitat usage of Paracentrotus lividus (Echinodermata: Echinoidea) in SW Portugal and NW Italy. Mar. Biol. 2013, 160, 1135–1146. [Google Scholar] [CrossRef]
 - Instituto Nacional de Estatística. Estatísticas da Pesca—2013; Instituto Nacional de Estatística e Direção Geral de Recursos Naturais, Segurança e Serviços Marítimos (DGRM): Lisboa, Portugal, 2014; p. 60.
 - Instituto Nacional de Estatística. Estatísticas da Pesca—2022; Instituto Nacional de Estatistica e Direção Geral de Recursos Naturais, Segurança e Serviços Marítimos (DGRM): Lisboa, Portugal, 2023.
 - Andrew, N.L.; Agatsuma, Y.; Ballesteros, E.; Bazhin, A.G.; Creaser, E.P.; Barnes, D.K.; Botsford, L.W.; Bradbury, A.; Campbell, A.; Dixon, J.D.; et al. Status and management of world sea urchin fisheries. In Oceanography and Marine Biology; An Annual Review; CRC Press: Boca Raton, FL, USA, 2002; Volume 40, pp. 351–438. [Google Scholar]
 - Byrne, M. Annual reproductive cycles of the commercial sea urchin Paracentrotus lividus from an exposed intertidal and a sheltered habitat on the west coast of Ireland. Mar. Biol. 1990, 104, 275–289. [Google Scholar] [CrossRef]
 - Pedrotti, M.L. Spatial and temporal distribution and recruitment of echinoderm larvae in the Ligurian Sea. J. Mar. Biol. Assoc. U. K. 1993, 73, 513–530. [Google Scholar] [CrossRef]
 - Catoira, J.L. Spatial and temporal evolution of the gonad index of the sea urchin Paracentrotus lividus (Lamarck) in Galicia, Spain. Echinoderm Res. 1995, 1995, 295. [Google Scholar]
 - Spirlet, C.; Grosjean, P.; Jangoux, M. Reproductive cycle of the echinoid Paracentrotus lividus: Analysis by means of maturity index. Invertebr. Reprod. Dev. 1998, 34, 69–81. [Google Scholar] [CrossRef]
 - Fernandez, C. Seasonal changes in the biochemical composition of the edible sea urchin Paracentrotus lividus (Echinodermata: Echinoidea) in a Lagoonal Environment. Mar. Ecol. 1998, 19, 1–11. [Google Scholar] [CrossRef]
 - Sánchez-España, A.I.; Martínez-Pita, I.; García, F.J. Gonadal growth and reproduction in the commercial sea urchin Paracentrotus lividus (Lamarck, 1816) (Echinodermata: Echinoidea) from southern Spain. Hydrobiologia 2004, 519, 61–72. [Google Scholar] [CrossRef]
 - Bayed, A.; Benrha, A.; Guillou, M. The Paracentrotus lividus populations from the northern Moroccan Atlantic coast: Growth, reproduction and health condition. J. Mar. Biol. Assoc. U. K. 2005, 85, 999–1007. [Google Scholar] [CrossRef]
 - Walker, C.W.; Unuma, T.; Lesser, M.P. Gametogenesis and Reproduction of Sea Urchins. In Edible Sea Urchins: Biology and Ecology; Lawrence, J.M., Ed.; Elsevier Science: Amsterdam, The Netherlands, 2007; pp. 11–33. [Google Scholar]
 - Tomšić, S.; Conides, A.; Dupčić Radić, I.; Glamuzina, B. Growth, size class frequency and reproduction of purple sea urchin, Paracentrotus lividus (Lamarck, 1816) in Bistrina Bay (Adriatic Sea, Croatia). Acta Adriat. 2010, 51, 67–77. [Google Scholar]
 - Martinez-Pita, I.; Garcia, F.J.; Pita, M.L. The effect of seasonality on gonad fatty acids of the sea urchins Paracentrotus lividus and Arbacia lixula (Echinodermata:Echinoidea). J. Shellfish. Res. 2010, 29, 517–525. [Google Scholar] [CrossRef]
 - Ouréns, R.; Fernández, L.; Freire, J. Geographic, population, and seasonal patterns in the reproductive parameters of the sea urchin Paracentrotus lividus. Mar. Biol. 2011, 158, 793–804. [Google Scholar] [CrossRef]
 - Siliani, S.; Melis, R.; Loi, B.; Guala, I.; Baroli, M.; Sanna, R.; Uzzau, S.; Roggio Addis, M.F.; Anedda, R. Influence of seasonal and environmental patterns on the lipid content and fatty acid profiles in gonads of the edible sea urchin Paracentrotus lividus from Sardinia. Mar. Environ. Res. 2016, 113, 124–133. [Google Scholar] [CrossRef]
 - Shpigel, M.; McBride, S.C.; Marciano, S.; Lupatsch, I. The effect of photoperiod and temperature on the reproduction of European sea urchin Paracentrotus lividus. Aquaculture 2004, 232, 342–355. [Google Scholar] [CrossRef]
 - Dincer, T.; Cakli, S. Chemical composition and biometrical measurements of the Turkish sea urchin (Paracentrotus lividus, Lamarck, 1816). Crit. Rev. Food Sci. Nutr. 2007, 47, 21–26. [Google Scholar] [CrossRef]
 - Cellario, C.; Fenaux, L. Paracentrotus lividus (Lamarck) in culture (larval and benthic phases): Parameters of growth observed during two years following metamorphosis. Aquaculture 1990, 84, 173–188. [Google Scholar] [CrossRef]
 - Zar, J.H. Biostatistical Analysis, 5th ed.; Practice Hall: Hoboken, NJ, USA, 2010; pp. 226–244. [Google Scholar]
 - Fenaux, L. Maturation des gonades et cycle saisonnier des larves chez A. lirula, P. lividus et P. microtuberculatus (Echinides) à Villefranche-sur-Mer. Vie Milieu 1968, 19, 1–52. [Google Scholar]
 - Pérez, A.F.; Boy, C.; Morriconi, E.; Calvo, J. Reproductive cycle and reproductive output of the sea urchin Loxechinus albus (Echinodermata: Echinoidea) from Beagle Channel, Tierra del Fuego, Argentina. Polar Biol. 2010, 33, 271–280. [Google Scholar] [CrossRef]
 - Pearse, J.S.; Pearse, V.B.; Davis, K.K. Photoperiod regulation of gametogenesis and growth in the sea urchin Strongylocentrus purpuratus. J. Exp. Zool. 1986, 237, 107–118. [Google Scholar] [CrossRef]
 - Walker, C.W.; Lesser, M.P. Manipulation of food and photoperiod promotes out-of-season gametogenesis in the green sea urchin, Strongylocentrotus droebachiensis: Implications for aquaculture. Mar. Biol. 1998, 132, 663–676. [Google Scholar] [CrossRef]
 - Spirlet, C.; Grosjean, P.; Jangoux, M. Optimization of gonad growth by manipulation of temperature and photoperiod in cultivated sea urchins, Paracentrotus lividus (Lamarck) (Echinodermata). Aquaculture 2000, 185, 85–99. [Google Scholar] [CrossRef]
 - Arafa, S.; Chouaibi, M.; Sadok, S.; El Abed, A. The influence of season on the gonad index and biochemical composition of the sea urchin Paracentrotus lividus from the Golf of Tunis. Sci. World J. 2012, 2012, 815935. [Google Scholar] [CrossRef]
 - Barbaglio, A.; Sugni, M.; Di Benedetto, C.; Bonasoro, F.; Schnell, S.; Lavado, R.; Porte, C.; Candia Carnevali, D.M. Gametogenesis correlated with steroid levels during the gonadal cycle of the sea urchin Paracentrotus lividus (Echinodermata: Echinoidea). Comp. Biochem. Physiol. 2007, 147 Pt A, 466–474. [Google Scholar] [CrossRef]
 - Vafidis, D.; Antoniadou, C.; Kyriakouli, K. Reproductive Cycle of the Edible Sea Urchin Paracentrotus lividus (Echinodermata: Echinoidae) in the Aegean Sea. Water 2019, 11, 1029. [Google Scholar] [CrossRef]
 - Walker, C.W.; Harrington, L.M.; Lesser, M.P.; Fagerberg, W.R. Nutritive phagocyte incubation chambers provide a structural and nutritive microenvironment for germ cells of Strongylocentrotus droebachiensis, the green sea urchin. Biol. Bull. 2005, 209, 31–48. [Google Scholar] [CrossRef]
 - Sun, J.; Chiang, F.S. Use and Exploitation of Sea Urchins. In Echinoderm Aquaculture; John Wiley & Sons: Hoboken, NJ, USA, 2015; pp. 25–45. [Google Scholar]
 - Regulamento da Apanha; Portaria N° 1228/2010 de 6 de Dezembro. Diário da República, 1ª Série, N° 235; Ministério da Agricultura, do Desenvolvimento Rural e das Pescas: Lisbon, Portugal, 2010; pp. 5471–5477.
 - Tamanhos Mínimos de Desembarque; Portaria N° 82/2011 de 22 de Fevereiro. Diário da República, 1ª Série, N° 37; Ministério da Agricultura, do Desenvolvimento Rural e das Pescas: Lisbon, Portugal, 2011; pp. 886–887.
 - Correia, M.J.; Lopes, P.M.; Santos, P.M.; Jacinto, D.; Mateus, D.; Maresca, F.; Quintella, B.R.; Cruz, T.; Lourenço, S.; Pombo, A.; et al. Pilot studies for stock enhancement of purple sea urchins (Paracentrotus lividus, Lamarck, 1816): Usefulness of refuges and calcein marking for the monitoring of juveniles released into the natural environment. Aquat. Living Resour. 2023, 36, 12. [Google Scholar] [CrossRef]
 - Crapp, G.B.; Willis, M.E. Age determination in the sea urchin Paracentrotus lividus (Lamarck), with notes on the reproductive cycle. J. Exp. Mar. Biol. Ecol. 1975, 20, 157–178. [Google Scholar] [CrossRef]
 - Régis, M.B. Analyses des fluctuations des indices physiologiques chez deux échinoïdes (Paracentrotus lividus (Lmk) et Arbacia lixula (L.) du Golfe de Marseille. Théthys 1979, 9, 167–181. [Google Scholar]
 - Garmendia, J.M.; Menchaca, I.; Belzunce, M.J.; Franco, J.; Revilla, M. Seasonal variability in gonad development in the sea urchin (Paracentrotus lividus) on the Basque coast (Southeastern Bay of Biscay). Mar. Pollut. Bull. 2010, 61, 259–266. [Google Scholar] [CrossRef] [PubMed]
 









Disclaimer/Publisher’s Note: The statements, opinions and data contained in all publications are solely those of the individual author(s) and contributor(s) and not of MDPI and/or the editor(s). MDPI and/or the editor(s) disclaim responsibility for any injury to people or property resulting from any ideas, methods, instructions or products referred to in the content.  | 
© 2023 by the authors. Licensee MDPI, Basel, Switzerland. This article is an open access article distributed under the terms and conditions of the Creative Commons Attribution (CC BY) license (https://creativecommons.org/licenses/by/4.0/).
Share and Cite
Raposo, A.; Ferreira, S.M.F.; Ramos, R.; Anjos, C.; Gonçalves, S.C.; Santos, P.M.; Baptista, T.; Costa, J.L.; Pombo, A. Reproductive Cycle of the Sea Urchin Paracentrotus lividus (Lamarck, 1816) on the Central West Coast of Portugal: New Perspective on the Gametogenic Cycle. J. Mar. Sci. Eng. 2023, 11, 2366. https://doi.org/10.3390/jmse11122366
Raposo A, Ferreira SMF, Ramos R, Anjos C, Gonçalves SC, Santos PM, Baptista T, Costa JL, Pombo A. Reproductive Cycle of the Sea Urchin Paracentrotus lividus (Lamarck, 1816) on the Central West Coast of Portugal: New Perspective on the Gametogenic Cycle. Journal of Marine Science and Engineering. 2023; 11(12):2366. https://doi.org/10.3390/jmse11122366
Chicago/Turabian StyleRaposo, Andreia, Susana M. F. Ferreira, Rodolfo Ramos, Catarina Anjos, Sílvia C. Gonçalves, Pedro M. Santos, Teresa Baptista, José L. Costa, and Ana Pombo. 2023. "Reproductive Cycle of the Sea Urchin Paracentrotus lividus (Lamarck, 1816) on the Central West Coast of Portugal: New Perspective on the Gametogenic Cycle" Journal of Marine Science and Engineering 11, no. 12: 2366. https://doi.org/10.3390/jmse11122366
APA StyleRaposo, A., Ferreira, S. M. F., Ramos, R., Anjos, C., Gonçalves, S. C., Santos, P. M., Baptista, T., Costa, J. L., & Pombo, A. (2023). Reproductive Cycle of the Sea Urchin Paracentrotus lividus (Lamarck, 1816) on the Central West Coast of Portugal: New Perspective on the Gametogenic Cycle. Journal of Marine Science and Engineering, 11(12), 2366. https://doi.org/10.3390/jmse11122366
        
