The Prognosis of Blunt Bowel and Mesenteric Injury—The Pitfall in the Contemporary Image Survey
Abstract
1. Introduction
2. Experimental Section
2.1. Materials and Methods
2.2. Study Population
2.3. Statistical Analysis
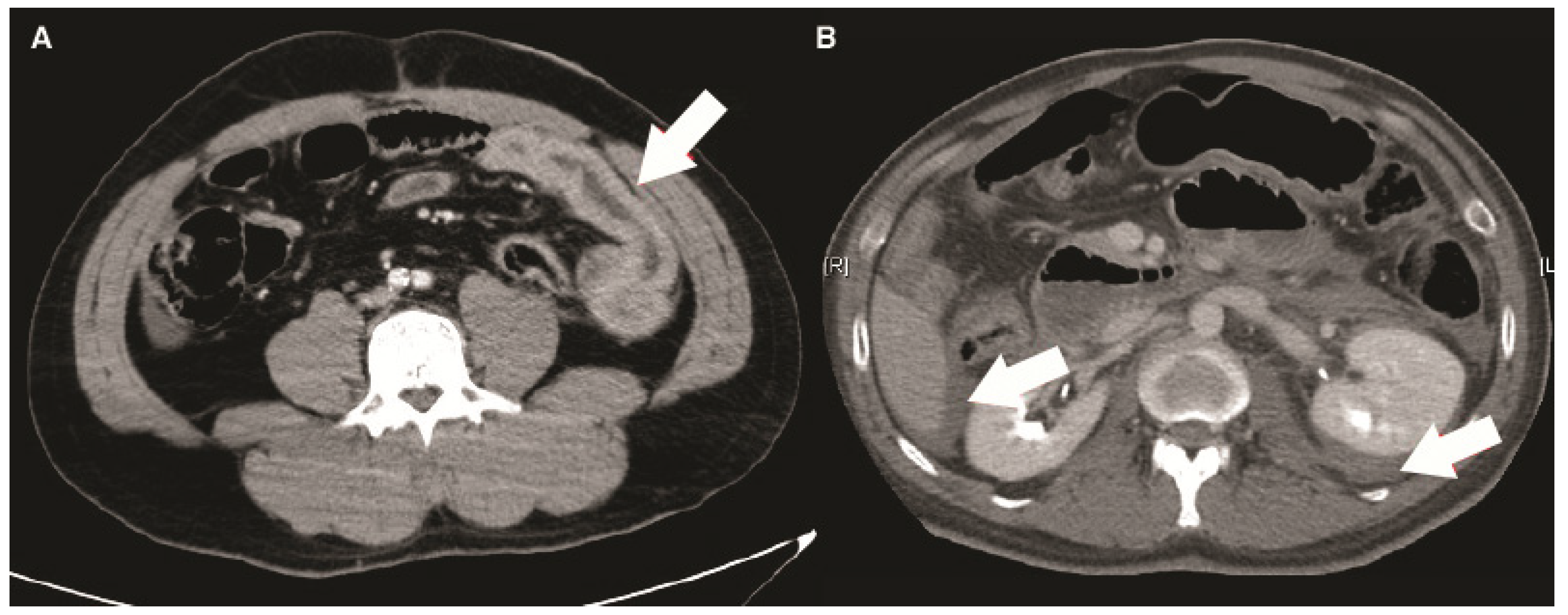
3. Results
4. Discussion
5. Conclusions
Author Contributions
Acknowledgments
Conflicts of Interest
References
- Fakhry, S.M.; Watts, D.D.; Luchette, F.A. EAST Multi-Institutional Hollow Viscus Injury Research Group Current diagnostic approaches lack sensitivity in the diagnosis of perforated blunt small bowel injury: Analysis from 275,557 trauma admissions from the EAST multi-institutional HVI trial. J. Trauma 2003, 54, 295–306. [Google Scholar] [CrossRef] [PubMed]
- Butela, S.T.; Federle, M.P.; Chang, P.J.; Thaete, F.L.; Peterson, M.S.; Dorvault, C.J.; Hari, A.K.; Soni, S.; Branstetter, B.F.; Paisley, K.J.; et al. Performance of CT in detection of bowel injury. AJR Am. J. Roentgenol. 2001, 176, 129–135. [Google Scholar] [CrossRef] [PubMed]
- Zingg, T.; Agri, F.; Bourgeat, M.; Yersin, B.; Romain, B.; Schmidt, S.; Keller, N.; Demartines, N. Avoiding delayed diagnosis of significant blunt bowel and mesenteric injuries: Can a scoring tool make the difference? A 7-year retrospective cohort study. Injury 2018, 49, 33–41. [Google Scholar] [CrossRef] [PubMed]
- Bekker, W.; Kong, V.Y.; Laing, G.L.; Bruce, J.L.; Manchev, V.; Clarke, D.L. The spectrum and outcome of blunt trauma related enteric hollow visceral injury. Ann. R. Coll. Surg. Engl. 2018, 100, 290–294. [Google Scholar] [CrossRef] [PubMed]
- Fakhry, S.M.; Brownstein, M.; Watts, D.D.; Baker, C.C.; Oller, D. Relatively short diagnostic delays (<8 hours) produce morbidity and mortality in blunt small bowel injury: An analysis of time to operative intervention in 198 patients from a multicenter experience. J. Trauma 2000, 48, 408–415. [Google Scholar] [PubMed]
- Malinoski, D.J.; Patel, M.S.; Yakar, D.O.; Green, D.; Qureshi, F.; Inaba, K.; Brown, C.V.R.; Salim, A. A diagnostic delay of 5 hours increases the risk of death after blunt hollow viscus injury. J. Trauma 2010, 69, 84–87. [Google Scholar] [CrossRef] [PubMed]
- Petrosoniak, A.; Engels, P.T.; Hamilton, P.; Tien, H.C. Detection of significant bowel and mesenteric injuries in blunt abdominal trauma with 64-slice computed tomography. J. Trauma Acute Care Surg. 2013, 74, 1081–1086. [Google Scholar] [CrossRef] [PubMed]
- Drasin, T.E.; Anderson, S.W.; Asandra, A.; Rhea, J.T.; Soto, J.A. MDCT evaluation of blunt abdominal trauma: Clinical significance of free intraperitoneal fluid in males with absence of identifiable injury. Am. J. Roentgenol. 2008, 191, 1821–1826. [Google Scholar] [CrossRef] [PubMed]
- Yu, J.; Fulcher, A.S.; Wang, D.B.; Turner, M.A.; Ha, J.D.; McCulloch, M.; Kennedy, R.M.; Malhotra, A.K.; Halvorsen, R.A. Frequency and importance of small amount of isolated pelvic free fluid detected with multidetector CT in male patients with blunt trauma. Radiology 2010, 256, 799–805. [Google Scholar] [CrossRef]
- Bates, D.D.B.; Wasserman, M.; Malek, A.; Gorantla, V.; Anderson, S.W.; Soto, J.A.; LeBedis, C.A. Multidetector CT of Surgically Proven Blunt Bowel and Mesenteric Injury. Radiographics 2017, 37, 613–625. [Google Scholar] [CrossRef]
- Morrison, J.E.; Wisner, D.H.; Bodai, B.I. Complications after negative laparotomy for trauma: Long-term follow-up in a health maintenance organization. J. Trauma 1996, 41, 509–513. [Google Scholar] [CrossRef] [PubMed]
- Gonser-Hafertepen, L.N.; Davis, J.W.; Bilello, J.F.; Ballow, S.L.; Sue, L.P.; Cagle, K.M.; Venugopal, C.; Hafertepen, S.C.; Kaups, K.L. Isolated free fluid on abdominal computed tomography in blunt trauma: Watch and wait or operate? J. Am. Coll. Surg. 2014, 219, 599–605. [Google Scholar] [CrossRef] [PubMed]
- Chereau, N.; Wagner, M.; Trésallet, C.; Lucidarme, O.; Raux, M.; Menegaux, F. CT scan and Diagnostic Peritoneal Lavage: Towards a better diagnosis in the area of nonoperative management of blunt abdominal trauma. Injury 2016, 47, 2006–2011. [Google Scholar] [CrossRef] [PubMed]
- Young, K.; Benson, M.; Higgins, A.; Dove, J.; Hunsinger, M.; Shabahang, M.; Blansfield, J.; Torres, D.; Widom, K.; Wild, J. In the Modern Era of CT, Do Blunt Trauma Patients with Markers for Blunt Bowel or Mesenteric Injury Still Require Exploratory Laparotomy? Am. Surg. 2017, 83, 722–727. [Google Scholar] [PubMed]
- Harmston, C.; Ward, J.B.M.; Patel, A. Clinical outcomes and effect of delayed intervention in patients with hollow viscus injury due to blunt abdominal trauma: A systematic review. Eur. J. Trauma Emerg. Surg. 2018, 44, 369–376. [Google Scholar] [CrossRef] [PubMed]
- Atri, M.; Hanson, J.M.; Grinblat, L.; Brofman, N.; Chughtai, T.; Tomlinson, G. Surgically important bowel and/or mesenteric injury in blunt trauma: Accuracy of multidetector CT for evaluation. Radiology 2008, 249, 524–533. [Google Scholar] [CrossRef] [PubMed]
- Brody, J.M.; Leighton, D.B.; Murphy, B.L.; Abbott, G.F.; Vaccaro, J.P.; Jagminas, L.; Cioffi, W.G. CT of blunt trauma bowel and mesenteric injury: Typical findings and pitfalls in diagnosis. Radiographics 2000, 20, 1525–1536. [Google Scholar] [CrossRef] [PubMed]
- Molinelli, V.; Iosca, S.; Duka, E.; De Marchi, G.; Lucchina, N.; Bracchi, E.; Carcano, G.; Novario, R.; Fugazzola, C. Ability of specific and nonspecific signs of multidetector computed tomography (MDCT) in the diagnosis of blunt surgically important bowel and mesenteric injuries. Radiol. Med. 2018, 123, 891–903. [Google Scholar] [CrossRef] [PubMed]
- Livingston, D.H.; Lavery, R.F.; Passannante, M.R.; Skurnick, J.H.; Fabian, T.C.; Fry, D.E.; Malangoni, M.A. Admission or observation is not necessary after a negative abdominal computed tomographic scan in patients with suspected blunt abdominal trauma: Results of a prospective, multi-institutional trial. J. Trauma 1998, 44, 273–282. [Google Scholar] [CrossRef] [PubMed]
- McNutt, M.K.; Chinapuvvula, N.R.; Beckmann, N.M.; Camp, E.A.; Pommerening, M.J.; Laney, R.W.; West, O.C.; Gill, B.S.; Kozar, R.A.; Cotton, B.A.; et al. Early surgical intervention for blunt bowel injury. J. Trauma Acute Care Surg. 2015, 78, 105–111. [Google Scholar] [CrossRef] [PubMed]
- Sharma, O.P.; Oswanski, M.F.; Singer, D.; Kenney, B. The role of computed tomography in diagnosis of blunt intestinal and mesenteric trauma (BIMT). J. Emerg. Med. 2004, 27, 55–67. [Google Scholar] [CrossRef] [PubMed]
- Lannes, F.; Scemama, U.; Maignan, A.; Boyer, L.; Beyer-Berjot, L.; Berdah, S.V.; Chaumoître, K.; Leone, M.; Bège, T. Value of early repeated abdominal CT in selective non-operative management for blunt bowel and mesenteric injury. Eur. Radiol. 2019, 54, 1–9. [Google Scholar] [CrossRef] [PubMed]
- Romano, S.; Scaglione, M.; Tortora, G.; Martino, A.; Di Pietto, F.; Romano, L.; Grassi, R. MDCT in blunt intestinal trauma. Eur. J. Radiol. 2006, 59, 359–366. [Google Scholar] [CrossRef] [PubMed]
- LeBedis, C.A.; Anderson, S.W.; Bates, D.D.B.; Khalil, R.; Matherly, D.; Wing, H.; Burke, P.A.; Soto, J.A. CT imaging signs of surgically proven bowel trauma. Emerg. Radiol. 2016, 23, 213–219. [Google Scholar] [CrossRef] [PubMed]
- Joseph, D.K.; Kunac, A.; Kinler, R.L.; Staff, I.; Butler, K.L. Diagnosing blunt hollow viscus injury: Is computed tomography the answer? Am. J. Surg. 2013, 205, 414–418. [Google Scholar] [CrossRef] [PubMed]
- Malhotra, A.K.; Fabian, T.C.; Katsis, S.B.; Gavant, M.L.; Croce, M.A. Blunt bowel and mesenteric injuries: The role of screening computed tomography. J. Trauma 2000, 48, 991–1000. [Google Scholar] [CrossRef]




| Characteristics | |
|---|---|
| Total Numbers | 188 |
| Age (Mean ± SD) | 45.3 ± 18.3 |
| Male Gender (n, %) | 146 (77.7%) |
| ISS (Mean ± SD) | 17.2 ± 11.2 |
| RTS (Mean ± SD) | 7.078 ± 1.394 |
| TRISS (Mean ± SD) | 0.871 ± 0.240 |
| CT Characters | |
| Bowel Wall Discontinuity (n, %) | 5 (2.7%) |
| Extraluminal Air (n, %) | 82 (43.6%) |
| Bowel Wall Thickening (n, %) | 43 (22.9%) |
| Abnormal Bowel Wall Enhancement (n, %) | 23 (12.2 %) |
| Mesenteric Extravasation (n, %) | 27 (14.4%) |
| Mesenteric Vascular Bleeding (n, %) | 4 (2.1%) |
| Mesenteric Infiltration (n, %) | 44 (23.4%) |
| Mesenteric Pseudoaneurysm (n, %) | 23 (12.2%) |
| Intraperitoneal and Retroperitoneal Free Fluid (n, %) | 134 (71.3%) |
| Abdominal Wall Injury (n, %) | 14 (7.4%) |
| Surgical timing | |
| Early Operation, <24 h (n, %) | 161 (85.6%) |
| Deferred Operation, >24 h (n, %) | 27 (14.4%) |
| Surgical finding | |
| Mesenteric Injury | 58 (30.9%) |
| Bowel Injury | 125 (66.5%) |
| Combined Injury | 5 (2.6%) |
| ICULOS (days, Mean ± SD) | 6.5 ± 8.5 |
| HLOS (days, Mean ± SD) | 17.3 ± 15.6 |
| Mortality (n, %) | 21 (11.2%) |
| Characteristics | Early Diagnosis n = 161 | Deferred Diagnosis n = 27 | p Value |
|---|---|---|---|
| Age | 26.1 ± 17.4 | 40.4 ± 22.5 | 0.224 |
| ISS | 17.2 ± 11.2 | 17.6 ± 10.5 | 0.718 |
| AIS abdomen | 2.9 ± 0.7 | 3.0 ± 0.6 | 0.437 |
| RTS | 7.03 ± 1.46 | 7.35 ± 0.89 | 0.129 |
| TRISS | 0.86 ± 0.25 | 0.92 ± 0.17 | 0.289 |
| Bowel Wall Discontinuity | 4 (2.5%) | 1 (3.7%) | 0.569 |
| Extraluminal Air | 70 (43.5%) | 12 (44.4%) | 0.466 |
| Bowel Wall Thickening | 36 (22.4%) | 7 (25.9%) | 0.535 |
| Abnormal Bowel Wall Enhancement | 22 (13.7%) | 1 (0.5%) | 0.072 |
| Mesenteric Extravasation | 27 (16.8%) | 0 (0%) | 0.008 * |
| Mesenteric Vascular Bleeding | 3 (1.9%) | 1 (3.7%) | 0.489 |
| Mesenteric Infiltration | 40 (24.8%) | 4 (14.8%) | 0.142 |
| Mesenteric Pseudoaneurysm | 23 (14.3%) | 0 (0%) | 0.017 * |
| Intraperitoneal and Retroperitoneal Fluid | 116 (72.0%) | 18 (66.7%) | 0.453 |
| Abdominal Wall Injury | 11 (6.8%) | 3 (11.1%) | 0.366 |
| TAE | 5 (3.1%) | 4 (14.8%) | 0.026 * |
| Mesentery Injury | 53 (32.9%) | 5 (18.5%) | 0.133 |
| Bowel Injury | 103 (64.0%) | 22 (81.5%) | 0.075 |
| Combined Injury | 5 (3.1%) | 0 (0%) | |
| Necessity for 2nd Operation | 88 (54.7%) | 15 (55.6%) | 1.000 |
| Bowel Resection | 42 (26.1%) | 8 (29.6%) | 0.814 |
| Stoma Creation | 4 (2.5%) | 2 (7.4%) | 0.207 |
| Intrabdominal Infection | 17 (10.6%) | 7 (25.9%) | 0.054 |
| ICU LOS | 6.37 ± 8.4 | 7.04 ± 8.8 | 0.718 |
| HLOS | 17.1 ± 15.4 | 18.3 ± 16.6 | 0.724 |
| Mortality | 18/161 (11.2%) | 3/27 (11.1%) | 1.000 |
| Characteristics | Survival n = 167 | Deceased n = 21 | p Value |
|---|---|---|---|
| Age | 44.38 ± 17.59 | 53.33 ± 21.13 | 0.060 |
| ISS | 15.65 ± 10.43 | 29.33 ± 10.07 | <0.001 * |
| RTS | 7.29 ± 1.10 | 5.43 ± 2.24 | 0.001 * |
| TRISS | 0.91 ± 1.86 | 0.56 ± 0.37 | <0.001 * |
| AIS abdomen | 2.90 ± 0.65 | 3.29 ± 0.90 | 0.069 |
| Bowel Wall Discontinuity | 5 (3.0%) | 0 (0%) | 1.000 |
| Extraluminal Air | 75 (44.9%) | 7 (33.3%) | 0.358 |
| Bowel Wall Thickening | 38 (22.8%) | 5 (23.8%) | 1.000 |
| Abnormal Bowel Wall Enhancement | 1 (4.8%) | 2 (13.2%) | 0.479 |
| Mesenteric Extravasation | 23 (13.8%) | 4 (19.0%) | 0.512 |
| Mesenteric Vascular Bleeding | 3 (1.8%) | 1 (4.8%) | 0.380 |
| Mesenteric Infiltration | 37 (22.2%) | 7 (33.3%) | 0.277 |
| Mesenteric Pseudoaneurysm | 19 (11.4%) | 4 (19.0%) | 0.297 |
| Intraperitoneal and Retroperitoneal Fluid | 119 (71.3%) | 15 (71.4%) | 1.000 |
| Abdominal Wall Injury | 11 (6.6%) | 3 (14.3%) | 0.194 |
| Transcatheter Arterial Embolization | 6 (3.6%) | 3 (14.3%) | 0.065 |
| Early Operation | 143 (85.6%) | 18 (85.7%) | 1.000 |
| Intraabdominal Infection | 19 (11.4%) | 5 (23.8%) | 0.155 |
© 2019 by the authors. Licensee MDPI, Basel, Switzerland. This article is an open access article distributed under the terms and conditions of the Creative Commons Attribution (CC BY) license (http://creativecommons.org/licenses/by/4.0/).
Share and Cite
Liao, C.-H.; Hsieh, F.-J.; Chen, C.-C.; Cheng, C.-T.; Ooyang, C.-H.; Hsieh, C.-H.; Yang, S.-J.; Fu, C.-Y. The Prognosis of Blunt Bowel and Mesenteric Injury—The Pitfall in the Contemporary Image Survey. J. Clin. Med. 2019, 8, 1300. https://doi.org/10.3390/jcm8091300
Liao C-H, Hsieh F-J, Chen C-C, Cheng C-T, Ooyang C-H, Hsieh C-H, Yang S-J, Fu C-Y. The Prognosis of Blunt Bowel and Mesenteric Injury—The Pitfall in the Contemporary Image Survey. Journal of Clinical Medicine. 2019; 8(9):1300. https://doi.org/10.3390/jcm8091300
Chicago/Turabian StyleLiao, Chien-Hung, Feng-Jen Hsieh, Chih-Chi Chen, Chi-Tung Cheng, Chun-Hsiang Ooyang, Chi-Hsun Hsieh, Shang-Ju Yang, and Chih-Yuan Fu. 2019. "The Prognosis of Blunt Bowel and Mesenteric Injury—The Pitfall in the Contemporary Image Survey" Journal of Clinical Medicine 8, no. 9: 1300. https://doi.org/10.3390/jcm8091300
APA StyleLiao, C.-H., Hsieh, F.-J., Chen, C.-C., Cheng, C.-T., Ooyang, C.-H., Hsieh, C.-H., Yang, S.-J., & Fu, C.-Y. (2019). The Prognosis of Blunt Bowel and Mesenteric Injury—The Pitfall in the Contemporary Image Survey. Journal of Clinical Medicine, 8(9), 1300. https://doi.org/10.3390/jcm8091300
